Submitted:
01 June 2025
Posted:
04 June 2025
You are already at the latest version
Abstract
Keywords:
1. Introduction
Article 13: Transparency and provision of information to users
1. High-risk AI systems shall be designed and developed in such a way to ensure that their operation is sufficiently transparent to enable users to interpret the system’s output and use it appropriately. An appropriate type and degree of transparency shall be ensured, with a view to achieving compliance with the relevant obligations of the user and of the provider set out in Chapter 3 of this Title.
2. Literature Review
3. Methodology
3.1. Feature Extraction
3.2. Attention Mechanism
3.3. Quantum Processing Layer
3.4. Training and Loss Function
4. Results
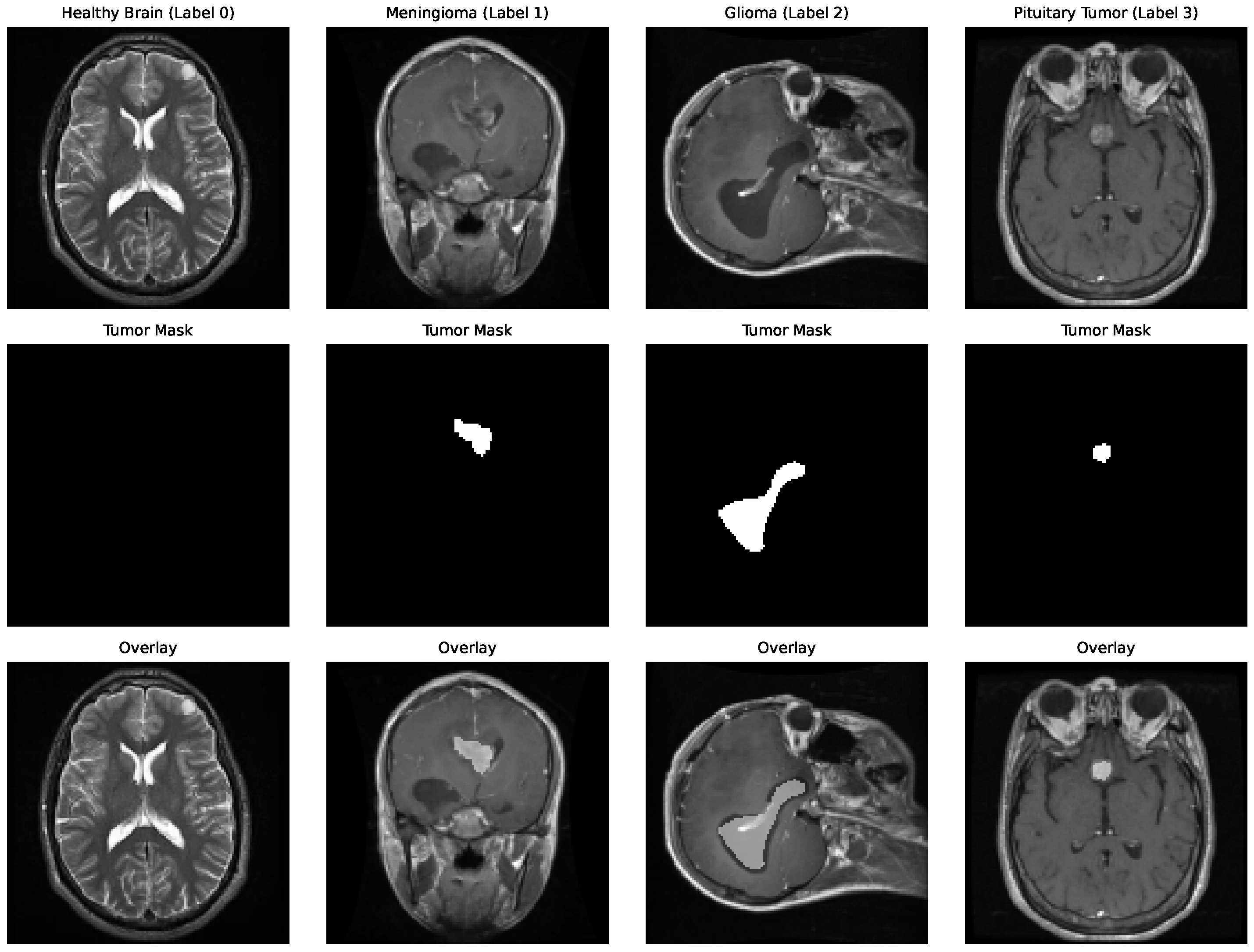
4.1. Dataset Construction and Preprocessing
4.2. Hyperparameter Settings
4.3. Training Performance Analysis
4.4. Quantitative Performance Evaluation
4.5. Confusion Matrix Analysis
4.6. Attention Map Analysis
4.7. Conclusion
5. Discussion
| Parameter | Value |
|---|---|
| Optimizer | AdamW |
| Learning Rate | 0.011 |
| Weight Decay | |
| Gradient Clipping (Max Norm) | 1.0 |
| LR Scheduler | ReduceLROnPlateau (factor=0.5, patience=3) |
| Early Stopping | 5 epochs |
| Maximum Epochs | 40 |
| Batch Size | 64 |
| Quantum Processing Layer | |
| Qubits per Circuit | 5 |
| Circuit Depth | 2 |
| Parallel Circuits | 5 |
| Loss Function Weights | |
| Classification Loss () Weight () | 1 |
| Attention Loss () Weight () | 1 |
| Dice Loss Scaling () | 0.3 |
| BCE Loss Scaling () | 0.7 |
| Hardware and Training Time | |
| GPU | Tesla T4 (Google Colab) |
Author Contributions
Data Availability Statement
Use of Artificial Intelligence
Conflicts of Interest
References
- Atika Akter, Nazeela Nosheen, Sabbir Ahmed, Mariom Hossain, Mohammad Abu Yousuf, Mohammad Ali Abdullah Almoyad, Khondokar Fida Hasan, and Mohammad Ali Moni. Robust clinical applicable cnn and u-net based algorithm for mri classification and segmentation for brain tumor. Expert Systems with Applications, 238:122347, 2024. [CrossRef]
- Sabaa Ahmed Yahya Al-Galal, Imad Fakhri Taha Alshaikhli, and MM Abdulrazzaq. Mri brain tumor medical images analysis using deep learning techniques: a systematic review. Health and Technology, 11(2):267–282, 2021. [CrossRef]
- American Cancer Society. Key statistics for brain and spinal cord tumors, 2021. Accessed: 2025-02-01.
- Javeria Amin, Muhammad Almas Anjum, Muhammad Sharif, Saima Jabeen, Seifedine Kadry, and Pablo Moreno Ger. A new model for brain tumor detection using ensemble transfer learning and quantum variational classifier. Computational intelligence and neuroscience, 2022(1):3236305, 2022.
- R. Amin et al. A hybrid quantum-classical framework for lesion detection and segmentation. IEEE Transactions on Medical Imaging, 42(5):1123–1135, 2023.
- W. Ayadi, W. Elhamzi, I. Charfi, and M. Atri. Deep cnn for brain tumor classification. Neural Processing Letters, 53:671–700, 2021.
- Reza Azad, Moein Heidary, Kadir Yilmaz, Michael Hüttemann, Sanaz Karimijafarbigloo, Yuli Wu, Anke Schmeink, and Dorit Merhof. Loss functions in the era of semantic segmentation: A survey and outlook, 2023.
- Ville Bergholm, Josh Izaac, Maria Schuld, Christian Gogolin, Shahnawaz Ahmed, Vishnu Ajith, M. Sohaib Alam, Guillermo Alonso-Linaje, B. AkashNarayanan, Ali Asadi, Juan Miguel Arrazola, Utkarsh Azad, Sam Banning, Carsten Blank, Thomas R Bromley, Benjamin A. Cordier, Jack Ceroni, Alain Delgado, Olivia Di Matteo, Amintor Dusko, Tanya Garg, Diego Guala, Anthony Hayes, Ryan Hill, Aroosa Ijaz, Theodor Isacsson, David Ittah, Soran Jahangiri, Prateek Jain, Edward Jiang, Ankit Khandelwal, Korbinian Kottmann, Robert A. Lang, Christina Lee, Thomas Loke, Angus Lowe, Keri McKiernan, Johannes Jakob Meyer, J. A. Montañez-Barrera, Romain Moyard, Zeyue Niu, Lee James O’Riordan, Steven Oud, Ashish Panigrahi, Chae-Yeun Park, Daniel Polatajko, Nicolás Quesada, Chase Roberts, Nahum Sá, Isidor Schoch, Borun Shi, Shuli Shu, Sukin Sim, Arshpreet Singh, Ingrid Strandberg, Jay Soni, Antal Száva, Slimane Thabet, Rodrigo A. Vargas-Hernández, Trevor Vincent, Nicola Vitucci, Maurice Weber, David Wierichs, Roeland Wiersema, Moritz Willmann, Vincent Wong, Shaoming Zhang, and Nathan Killoran. Pennylane: Automatic differentiation of hybrid quantum-classical computations, 2022.
- Jacob Biamonte, Peter Wittek, Nicola Pancotti, Patrick Rebentrost, Nathan Wiebe, and Seth Lloyd. Quantum machine learning. Nature, 549(7671):195–202, 2017. [PubMed]
- I. Chen, F. D. Johansson, and D. Sontag. Can ai fairness be improved through explainability? Proceedings of the AAAI Conference on Artificial Intelligence, 34(4):5074–5081, 2020.
- Rudrajit Choudhuri and Amiya Halder. Brain mri tumour classification using quantum classical convolutional neural net architecture. Neural Computing and Applications, 35(6):4467–4478, 2023.
- Iris Cong, Soonwon Choi, and Mikhail D Lukin. Quantum convolutional neural networks. Nature Physics, 15(12):1273–1278, 2019. [CrossRef]
- Maurizio Corbetta and Gordon L. Shulman. Control of goal-directed and stimulus-driven attention in the brain. Nature Reviews Neuroscience, 3(3):201–215, March 2002.
- European Commission. Proposal for a regulation laying down harmonized rules on artificial intelligence (artificial intelligence act), 2021. Official Journal of the European Union.
- Edward Farhi and Hartmut Neven. Classification with quantum neural networks on near term processors. arXiv preprint arXiv:1802.06002, 2018.
- Kerem Gencer and Gülcan Gencer. Hybrid deep learning approach for brain tumor classification using efficientnetb0 and novel quantum genetic algorithm. PeerJ Computer Science, 11:e2556, 2025.
- Andreas Holzinger, Georg Langs, Helmut Denk, Kurt Zatloukal, and Heimo Müller. Causability and explainability of artificial intelligence in medicine. Wiley Interdisciplinary Reviews: Data Mining and Knowledge Discovery, 9(4):e1312, 2019.
- Cheng Jun. Brain tumor dataset. Figshare, 10:m9, 2017.
- Muhammad Al-Zafar Khan, Nouhaila Innan, Abdullah Al Omar Galib, and Mohamed Bennai. Brain tumor diagnosis using quantum convolutional neural networks. arXiv preprint arXiv:2401.15804, 2024.
- R. Kolb. Fundamentals of Brain Tumors. Academic Press, 1985.
- Tarun Kumar, Dilip Kumar, and Gurmohan Singh. Brain tumour classification using quantum support vector machine learning algorithm. IETE Journal of Research, 70(5):4815–4828, 2024. [CrossRef]
- Hugo Larochelle and Geoffrey E. Hinton. Learning to combine foveal glimpses with a third-order boltzmann machine. In Advances in Neural Information Processing Systems (NIPS), 2010.
- G. Litjens, T. Kooi, B. E. Bejnordi, A. A. A. Setio, F. Ciompi, M. Ghafoorian, and B. van Ginneken. A survey on deep learning in medical image analysis. Medical Image Analysis, 42:60–88, 2017. [CrossRef]
- S. M. Lundberg and S.-I. Lee. A unified approach to interpreting model predictions. In Advances in Neural Information Processing Systems, pages 4765–4774, 2017.
- Anqi Mao, Mehryar Mohri, and Yutao Zhong. Cross-entropy loss functions: Theoretical analysis and applications, 2023.
- H Müller, A Holzinger, M Plass, L Brcic, C Stumptner, and K Zatloukal. Explainability and causability for artificial intelligence-supported medical image analysis in the context of the european in vitro diagnostic regulation. N Biotechnol, 70:67–72, Sep 25 2022. [CrossRef]
- M. L. Rahman, A. W. Reza, and S. I. Shabuj. An internet of things-based automatic brain tumor detection system. Indonesian Journal of Electrical Engineering and Computer Science, 25(1):214–222, 2022. [CrossRef]
- SP Rajamohana, Vani Yelamali, Pallavi Soni, Manjunath Vanahalli, and Prabu Prasad. Hybrid quantum graph neural network for brain tumor mr image classification: Hybrid quantum graph neural network for brain tumor mr image. Journal of Scientific & Industrial Research (JSIR), 84(1):60–71, 2025.
- R Ranjbarzadeh, A Caputo, EB Tirkolaee, S Jafarzadeh Ghoushchi, and M Bendechache. Brain tumor segmentation of mri images: A comprehensive review on the application of artificial intelligence tools. Comput Biol Med, 152:106405, Jan 2023. [CrossRef]
- Patrick Rebentrost, Masoud Mohseni, and Seth Lloyd. Quantum support vector machine for big data classification. Physical Review Letters, 113(13):130503, 2014. [CrossRef]
- W. Samek, T. Wiegand, and K.-R. Müller. Explainable artificial intelligence: Understanding, visualizing and interpreting deep learning models. arXiv preprint arXiv:1708.08296, 2017.
- Maria Schuld and Nathan Killoran. Quantum machine learning in feature hilbert spaces. Physical review letters, 122(4):040504, 2019.
- Ramprasaath R Selvaraju, Michael Cogswell, Abhishek Das, Ramakrishna Vedantam, Devi Parikh, and Dhruv Batra. Grad-cam: Visual explanations from deep networks via gradient-based localization. In Proceedings of the IEEE International Conference on Computer Vision (ICCV), pages 618–626. IEEE, 2017.
- Amrita Ticku, Vaibhav Sangwan, Sanket Balani, Sriti Jha, Sahil Rawat, Anu Rathee, and Deepika Yadav. Advancing neuroimaging with quantum convolutional neural networks for brain tumor detection. International Journal of Information Technology, pages 1–8, 2025.
- TrainingDataPro. dicom-brain-dataset. Accessed: 2025-11-20.
- Muhammad Sami Ullah, Muhammad Attique Khan, Anum Masood, Olfa Mzoughi, Oumaima Saidani, and Nazik Alturki. Brain tumor classification from mri scans: a framework of hybrid deep learning model with bayesian optimization and quantum theory-based marine predator algorithm. Frontiers in Oncology, 14:1335740, 2024. [CrossRef] [PubMed]
- Laurens Van der Maaten and Geoffrey Hinton. Visualizing data using t-sne. Journal of machine learning research, 9(11):2579–2605, 2008.
- Ashish Vaswani, Noam Shazeer, Niki Parmar, Jakob Uszkoreit, Llion Jones, Aidan N Gomez, Łukasz Kaiser, and Illia Polosukhin. Attention is all you need. In Advances in Neural Information Processing Systems (NeurIPS), volume 30, 2017.
- Aliénor Vienne-Jumeau, Camille Tafani, and D Ricard. Environmental risk factors of primary brain tumors: A review. Revue neurologique, 175(10):664–678, 2019. [CrossRef]
- Sanghyun Woo, Jongchan Park, Joon-Young Lee, and In So Kweon. Cbam: Convolutional block attention module, 2018.










| HQCM-EBTC | Classical Counterpart | ||||||
|---|---|---|---|---|---|---|---|
| Class | Precision | Recall | F1-score | Precision | Recall | F1-score | |
| 0 | 0.99 | 0.97 | 0.98 | 0.91 | 0.98 | 0.94 | |
| 1 | 0.96 | 0.91 | 0.93 | 0.80 | 0.88 | 0.84 | |
| 2 | 0.94 | 0.98 | 0.96 | 0.99 | 0.69 | 0.82 | |
| 3 | 0.96 | 0.99 | 0.97 | 0.84 | 0.99 | 0.91 | |
| Overall Accuracy | 96.48% | 86.72% | |||||
| Macro Avg | 0.96 | 0.96 | 0.96 | 0.88 | 0.88 | 0.88 | |
| Weighted Avg | 0.96 | 0.96 | 0.96 | 0.89 | 0.88 | 0.87 | |
| Threshold () | HQCM-EBTC | Classical Counterpart | Wilcoxon Test Statistic | p-value |
|---|---|---|---|---|
| 0.99 | 0.43220 | 0.40219 | 914737.5 | 0.0017 |
| 0.90 | 0.39353 | 0.36829 | 921261.5 | 0.0350 |
| 0.75 | 0.37609 | 0.36664 | 950092.0 | 0.1064 |
Disclaimer/Publisher’s Note: The statements, opinions and data contained in all publications are solely those of the individual author(s) and contributor(s) and not of MDPI and/or the editor(s). MDPI and/or the editor(s) disclaim responsibility for any injury to people or property resulting from any ideas, methods, instructions or products referred to in the content. |
© 2025 by the authors. Licensee MDPI, Basel, Switzerland. This article is an open access article distributed under the terms and conditions of the Creative Commons Attribution (CC BY) license (http://creativecommons.org/licenses/by/4.0/).