Preprint
Article

This version is not peer-reviewed.

Tissue Engineering Approach in the Development of Cardiovascular Biomaterials: Technological Features and Mechanobiological Studies

A peer-reviewed article of this preprint also exists.

Submitted:

05 December 2024

Posted:

06 December 2024

You are already at the latest version

Abstract
This study presents a novel method to enhance the biocompatibility of decellularized porcine aortic segments while preserving their mechanical properties and histological structure. Detergent-decellularized aortic segments were treated with modified globular chitosan (Novochizol™) at varying concentrations (0.5%, 1%, 2%, 3%) by sonication and subsequently subjected to mechanical testing. To further improve cell infiltration, blind-ended laser channels were created within the decellularized segments. The modified grafts were then seeded with porcine vascular interstitial cells in vitro for 7 days or implanted into the thoracic aorta of minipigs for 30 days. Histological analysis was performed at each stage of the study. Impregnation with Novochizol™ significantly increased the specific strength (from 0.97 ± 0.19 MPa to 4.99 ± 2.43 MPa) and Young's modulus (from 0.73 ± 0.06 MPa to 14.66 ± 7.14 MPa) of the decellularized aortic segments. Histological examination confirmed the preservation of the connective tissue matrix's morphological structure. Optimal modification conditions were identified as a 30-minute sonication in a 1% Novochizol™ solution at 25°C. A 35-ms continuous laser treatment was sufficient to create a 1 mm deep blind-ended channel, thereby promoting the seeding of vascular interstitial cells within the acellular graft, as confirmed by implantation in minipigs.
Keywords: 
;  ;  ;  ;  

1. Introduction

Heart valve pathology requiring surgical intervention is a common cardiovascular condition affecting people of all ages. Mechanical and biological valve prostheses each have their own significant drawbacks. The former require lifelong anticoagulant therapy and are associated with an increased risk of thromboembolic or hemorrhagic events. The latter, composed of chemically treated animal tissues, do not support the growth, regeneration, or renewal of collagen matrix or cells, and are therefore subject to degeneration, resulting in limited durability [1]. Donor allografts - biological valve prostheses- allow graft growth and adaptation to changing mechanical loads and are thus preferable, particularly in younger patients [2,3,4]. Compared to valves of artificial and xenogeneic origin, their hemodynamic characteristics are similar to the patient’s original valves, and their thrombogenicity and risk of infection are lower [5,6]. They also minimize the risk of structural degradation and the associated need for reoperation [2,6,7,8]. However, donor material is in short supply. The development of tissue-engineered valve prostheses is a promising venue to address the unmet needs.
Tissue engineering offers new perspectives in the development of heart valve prostheses. Extracellular matrix (ECM) scaffolds of natural origin (cell-free animal tissues) and synthetic constructs made from biodegradable polymers are the two primary types of matrices for tissue engineering [6,9]. To date, various synthetic and biological materials have been developed and studied. Different decellularized heart valves have been produced, with biological scaffolds comprising extracellular matrices made of type I collagen, Matrigel®, and other materials [10]. Decellularized biological matrices offer several advantages: mechanical anisotropy, structures similar to that of a native heart valve, and the ability to be replaced by the recipient's own cells during recellularization [9]. In practice, ex vivo tissue engineering methods promise to restore the anatomical structure and physiological function of the replaced component of the cardiovascular system.
Optimization of decellularization methods aims to preserve tissue biomechanical properties and to reduce the residual amounts of both donor cellular material and of components of decellularizing solutions. Physical decellularization methods fail to adequately preserve the mechanical properties of cardiovascular tissues. There are different chemical decellularization methods: enzymatic, acid-base and detergent-based methods using surfactants. The latter are preferred because they inflict minimal damage to the extracellular matrix (ECM) fibers and effectively remove residual cellular debris and genetic material contained in cell nuclei [11].
Decellularization methods for the generation of cell-free ECM scaffolds must be optimized in three aspects. The first aspect concerns the decellularizing solutions that have nonspecific proteolytic and lipolytic properties, needed to destroy cells located on the surface and within the ECM. Such solutions also inflict damage to the ECM fibers, and hence to the scaffold’s biomechanical properties [12]. The second aspect concerns residual amounts of donor material (cell wall fragments, nuclear material) that may remain in the scaffold, leading to adverse immune reactions in the recipient. Indeed, the development of local or generalized immune-mediated cytotoxic reactions, accompanied by the degeneration of implants with fibrosis and calcification, significantly reduces the long-term, uninterrupted function of such valve prostheses [13,14]. The third aspect concerns the significant cytotoxic activity of certain high ionic strength components of decellularizing solutions with poor dissociation from the ECM. An insufficiently effective protocol for washing the ECM after decellularization would generate toxic biomaterials that are not suitable for further use.
One of the consequences of decellularization is a decrease in the mechanical strength of biomaterials. This is due to the specific features of the ECM of the biological tissues studied, namely, the predominance of concentrically arranged fibers over longitudinal ones and the possible reduction in the number of inter-fiber connections between concentric fibers during the decellularization process [15,17]. While crosslinking with glutaraldehyde or epoxy compounds may restore or preserve the mechanical properties of ECMs, current methods have known drawbacks such as an increased risk of calcification, increased stiffness, and residual toxicity of the biomaterial after treatment [1,18]. As an alternative, natural biopolymers, such as chemically modified chitosan, can be used to achieve similar results [19].
A tissue-engineered valve must be populated with functional cells present in the surrounding vascular tissue. Methods for complete repopulation of decellularized materials have been extensively researched. In vitro expansion of endothelial cells has been successfully demonstrated in the past using a bioreactor system [20]. However, repopulation of biomaterials with interstitial cells (fibroblasts, fibrocytes, myofibroblasts, smooth muscle cells) remains an unsolved problem. In vivo implantation experiments involving long-term (9 months) observations have shown only minor repopulation of the matrix interstitium of the leaflet apparatus with fibroblast cells. The observed cells apparently migrated from surrounding tissues, rather than being descendants of the cellular material with which the tissue-engineered valves were seeded during manufacturing [21]. This finding underlies the importance of optimizing the cell-seeding method of decellularized scaffolds to increase the efficiency of cell migration into interstitial spaces. Additionally, in vitro tests must take into account the arterial pressure and mechanical loads that tissue-engineered prostheses will experience in vivo, after implantation.
The main objective in seeding cell-free scaffolds is the restoration of the population of interstitial cells [16,23,24]. Since interstitial cell migration into an unmodified cell-free matrix is limited to the adventitial side (from the outside), it may be beneficial to create additional pathways for the "entry" of circulating interstitial cells and their precursors from the "inside." To achieve this, it is necessary to modify the structure of the dense basement membrane lining the inner (facing the bloodstream) surface of vascular ECMs. Chemical treatments of the basement membrane, whether enzymatic or detergent-based, cannot be used because they cause irreversible damage to the ECM architecture that accelerates the degradation of the entire tissue-engineered graft. The preferred methods of basement membrane perforation are physical [25]. Of these, the perforation of the basement membrane using laser irradiation to form "blind-ended" channels in the ECM is an interesting option for the entry of interstitial cells into the cell-free matrix.
The goal of this study is to develop an optimized modification method to enhance the biocompatibility of decellularized porcine aortic segments while maximizing their ability to retain the original mechanical and histological characteristics of the transplanted material.

2. Materials and Methods

Preparation of Biomaterials. Porcine aortic materials were obtained from a local slaughterhouse in the cleanest possible manner. Tissues were cleaned of loosely attached tissues (adventitia and adipose tissue) and placed in a chilled sterile physiological solution for subsequent transportation to the laboratory. Further manipulations were carried out in a sterile box in a germ-free air environment. The collected materials were cut into fragments without visible damage or natural openings.
Preparation of Decellularization Solutions. Sodium deoxycholate and sodium dodecyl sulfate (Applichem, Germany) were weighed and dissolved in the required volume of phosphate buffer (Biolot, Russia) at room temperature with constant stirring for 1 hour using an orbital shaker PSU-20 (Biosan, Latvia) until complete dissolution. The final concentration of sodium deoxycholate and sodium dodecyl sulfate was 0.5%.
Detergent Decellularization. Groups of samples (10 samples each) was placed in a sterile 500 ml conical flask, covered with 200 ml of decellularizing solution and hermetically sealed with a sterile stopper. The flask was placed in an orbital thermo-shaker Unimax (Heidolf, Germany) and incubated for 24 hours, as described previously [26,27]. The materials were then washed in the same containers used for decellularization, replacing the decellularizing solution with 300 ml of sterile phosphate buffer. After 8 washes of 12 hours each, the materials were used for further studies.
Treatment of Decellularized Tissues with Chitosan Solutions. Chemically modified globular chitosan Novochizol™ (Novochizol SA, Switzerland) was obtained as a 3% sterile stock solution in 1.5% succinic acid buffer. Solutions with lower concentrations (2%, 1%, 0.5%) were prepared by diluting the stock solution with the required amount of sterile deionized water at room temperature. Samples (n=96) were individually placed in 50 ml Falcon tubes (Axygen, USA) with 50 ml of Novochizol™ solution, tightly closed with screw caps, and incubated in an ultrasonic bath (300 W, 35 kHz) in a water bath at a temperature of 25 to 40°C for various time intervals (from 5 to 30 minutes). A complete list of the solutions used, the duration of ultrasound exposure, and the temperature conditions is given below (Table 1).
Tensile Testing of Biomaterials. Tensile strength tests were conducted on 10 samples after decellularization and on 5 samples per group subsequenty treated with chitosan. Rectangular sections of samples (9 x 28 mm) were cut from blanks using a standard puncher. Thickness was measured in triplicates using an electronic digital micrometer. Samples were stretched in the longitudinal direction relative to the blood flow axis, using a tensile testing apparatus (ESM-303, Mark-10, USA), at a rate of 20 mm/min. Specific strength and Young's modulus were calculated for each collected sample fragment.
Selection of Laser Processing Modes for Decellularized Matrices. The material was processed using a laser cutting device for sheet biological materials «Melaz-Cardio» (Institute of Laser Physics SB RAS, Novosibirsk, Russia). When selecting irradiation modes to obtain blind-ending channels in the Ao tissues, the irradiation duration varied within 30-50 ms. As a result, in each experiment, it was necessary to obtain blind-ended channels with a diameter of 100-400 μm, penetrating into the material to a depth of 200-500 μm. When manufacturing a prototype of a tubular aortic graft, the distance between the irradiation points was 2 mm. The irradiation duration was 35 ms. Before laser processing, the graft was turned inside out, its ends were fixed, and it was flattened to obtain a flat surface, which was then processed.
Scanning Electron Microscopy. After laser processing, the samples were dried and coated with a conductive carbon layer 7-10 nm thick using a carbon thermal sputtering device GVC-3000 (KYKY Technology Co., China). The study was performed using a WIN SEM A6000LV microscope (KYKY Technology Co., China) using a secondary electron detector at an accelerating voltage of 20 kV and an electron beam current of 120 μA.
In vitro Cellular Seeding of Obtained Materials. Porcine aortic tissue samples treated with Novochizol™ were seeded with porcine vascular interstitial cells (VICs) under static conditions. To obtain VICs, native aortic tissue obtained before the decellularization stage was mechanically minced into 1-2 mm³ pieces and then incubated with a 0.2% solution of type IV collagenase (Worthington Biochemical Corporation, USA) for 24 hours at 37°C. The fermented tissue was repeatedly and thoroughly resuspended with a pipette, then coarse filtration was performed using a 40 μm Cell-Strainer (Becton Dickinson, USA). An equal volume of phosphate buffer (Biolot, Russia) was added to the obtained cell suspension, centrifuged at 300 g for 5 minutes, the cell pellet was resuspended in DMEM medium supplemented with 15% FBS, 2 mM L-glutamine, and 100 U/ml penicillin/streptomycin (all Biolot, Russia) and placed in a culture dish treated with poly-D-lysine (Corning, USA). Cells were cultured at 37°C and 5% CO2. The culture medium was changed every 2-3 days. Cells were passaged after reaching confluence and used for experiments within 2-5 passages. For recellularization of cell-free porcine aortic samples, 20 μl of a suspension containing 50,000 VICs in DMEM culture medium was applied with a Microfine syringe with a 30G needle (Becton Dickinson, Germany) to the inner surface and into the laser channels of a 1 x 1 cm sample. Further culturing of samples with cells was carried out in DMEM supplemented with 15% FBS, 2 mM L-glutamine, and 100 U/ml penicillin/streptomycin at 37°C and 5% CO2 for 7 days. To label the cell culture with green fluorescent protein (GFP), a lentiviral vector pGpur carrying the GFP gene under the control of the CMV promoter was used. Viral particles were produced in HEK293FT cell culture according to a previously described protocol [28]. One day before transduction, cells were seeded in gelatin-coated wells of 4 cm² culture plates at a density of 50x10³ cells/well (approximately 60% confluence). One hour before transduction, the growth medium was changed to fresh (1 ml) and hexadimethrine bromide (Polybrene, Sigma, USA) was added to a final concentration of 4 μg/ml. Then, 100 μl of medium with viral particles was added. Sixteen hours after transduction, the medium was changed to fresh. GFP fluorescence in cells transduced with the lentivirus pGpur was observed 48 hours after transduction.
Implantation of Tissue-Engineered Vascular Grafts in Minipigs. As a test system for experimental studies, we used castrated male laboratory minipigs of the ICG SB RAS line, weighing 57 ± 5 kg, aged 10-14 months.
This study was performed in line with the principles of the Declaration of Helsinki. Approval was granted by the local ethical committee of E.Meshalkin National medical research center of the Ministry of Health of the Russian Federation (approval date 20 Dec 2021, protocol 4). Animals were kept in the vivarium in accordance with the requirements of normative and regulatory documentation. Surgical interventions (n = 3) were performed in a specialized hybrid veterinary operating room, observing the rules of asepsis and antisepsis. Under the intubation narcosis and mechanical ventilation, with control of ECG, invasive blood pressure, and blood oxygen saturation, prosthetics of the descending aortic arch was performed using a manufactured vascular graft. Surgical access was via a lateral thoracotomy with resection of the right 5th rib. After systemic heparinization with 5000 units of heparin (NPO "Synthesis", Russia), the subclavian artery and the thoracic aorta above the diaphragm were cannulated for temporary shunting of blood to the lower half of the body during the main stage of implantation. The thoracic aorta was clamped, a section of the descending arch and thoracic aorta 4-5 cm long was resected, followed by replacement with a previously washed sterile vascular graft. The graft was washed sequentially in three containers with 150 ml of physiological solution for 15 minutes immediately before implantation. The proximal and distal anastomoses were sutured with 5/0 monofilament polypropylene suture. After restoration of the main blood flow, the temporary aortic shunt was removed, control aortography was performed using a mobile angiograph OEC9900 (GE Healthcare, USA), and heparin was inactivated by intravenous administration of a calculated dose of protamine sulfate (Ferrein, Russia). Then the wound was sutured layer by layer, leaving drains, which were removed the next day. For the next 30 days, the animals were under observation in the vivarium, where they received antiplatelet therapy (clopidogrel, 75 mg/day) and antibiotic prophylaxis. Then the animals were removed from the experiment using supertherapeutic doses of sodium thiopental, before euthanasia, control aortography was performed. For histological studies, the implant material was excised as a single block with sampling of the overlying and underlying parts of the aorta.
Histological Studies. For histological studies, the materials were fixed in 10% formalin in phosphate buffer (Biovitrum, Russia) for 48 hours. Further processing of the materials and preparation of paraffin blocks were carried out according to the standard method. Then, 5 μm thick histological sections were prepared on a rotary microtome HM340E (Microm, Germany), the sections were transferred to SuperFrost Plus slides (Menzel-Gläser, Germany) and dried for 1 day at 40°C. Sections were stained with hematoxylin and eosin using reagent kits (Biovitrum, Russia) according to the manufacturer's recommendations and mounted under coverslips in Biomount mounting medium (Biovitrum, Russia).
Materials of the aorta after seeding with VICs were frozen in liquid nitrogen vapor in Tissue-Tek OCT medium (Sakura Finetek, Japan). Sections 10 μm thick were prepared using a cryomicrotome MSM-2850 (MedTechnikaPoint, Russia) and mounted on SuperFrost Plus slides (Menzel-Gläser, Germany). Then they were fixed in 96% ethanol for 10 minutes and stained with hematoxylin according to the standard method and mounted under coverslips in Biomount mounting medium (Biovitrum, Russia). Microscopic studies were performed using an Axioskop 40FL microscope (Carl Zeiss, Germany), an ADF PRO 08 camera, and ADF ImageCapture software (ADF Optics Co. Ltd, China).
Statistical Analysis. The research results were processed using Statistica 13 software (TIBCO Software, USA). The normality of the distribution was checked using the Shapiro-Wilk test. The Student's t-test was used to compare two groups. For multiple group comparisons, one-way ANOVA analysis of variance with Dunnett's correction was used. Data are presented as M ± σ, where M is the arithmetic mean, σ is the standard deviation, n is the sample size, and p is the statistical significance level. The critical value of the significance level was taken as 5% (p ≤ 0.05).

3. Results

At the stage of preparation for the study, a number of tests were conducted, showing that simple incubation of decellularized tissues in solutions with a Novochizol™ concentration of 0.5 to 3% on an orbital shaker for 1 hour has no effect on the strength properties. Similarly, ultrasonic treatment of samples in an isotonic solution leads only to a decrease in specific strength (Figure 1).
Analysis of the results of tensile tests showed that the specific strength of decellularized fragments of the porcine aortic wall increases from 0.97 ± 0.19 MPa to an absolute maximum of 4.99 ± 2.43 MPa when treated with 1% Novochizol™ for 25 minutes at 25°C (Figure 2).
The level of increase depends on the processing conditions and the concentration of chitosan. For all studied concentrations of Novochizol™, a wave-like profile of increases in sample strength is characteristic: the strength increases with increasing processing time and reaches maximum values: 1.9 ± 0.25 MPa when treated with 3% chitosan for 20 minutes at 25°C; 4.06 ± 0.19 MPa when treated with 2% Novochizol™ for 30 minutes at 30°C; 2.85 ± 1.33 MPa when treated with 0.5% Novochizol™ for 30 minutes at 25°C (Figure 2). The most optimal processing time for aortic samples was a period of 25-30 minutes.
Temperature conditions also had a significant impact on the specific strength of decellularized fragments of the porcine aortic wall (Figure 3).
Data analysis shows that when the processing temperature is increased above 35°C, the specific strength decreases regardless of the Novochizol™ concentration and processing time to minimum values: 0.76 ± 0.14 MPa when treated with 3% Novochizol™ for 30 minutes at 40°C; 2.01 ± 1.25 MPa when treated with 2% Novochizol™ for 30 minutes at 40°C; 2.26 ± 1.69 MPa when treated with 1% Novochizol™ for 30 minutes at 40°C; 1.65 ± 0.76 MPa when treated with 0.5% Novochizol™ for 30 minutes at 40°C. Statistical analysis of the differences in specific strength of aortic samples only for a processing time of 30 minutes showed a significant difference both with the native material and with the decellularized one.
Young's modulus of decellularized fragments of the porcine aortic wall increases from 0.73 ± 0.06 MPa to an absolute maximum of 14.66 ± 7.14 MPa when treated with 1% Novochizol™ for 25 minutes at 25°C (Figure 4).
Young's modulus of the remaining samples increases with increasing processing time and reaches maximum values: 2.26 ± 0.65 MPa when treated with 3% Novochizol™ for 30 minutes at 35°C; 7.05 ± 3.56 MPa when treated with 2% Novochizol™ for 30 minutes at 30°C; 6.93 ± 3.24 MPa when treated with 0.5% Novochizol™ for 30 minutes at 25°C. Statistical analysis of the differences in Young's modulus of aortic samples for a processing time of 30 minutes at 25°C showed a significant difference both with the native material and with the decellularized one. Significant differences with the native and decellularized material were also obtained for processing times of 25 and 30 minutes at 30°C (Figure 5).
Control histological studies of aortic materials before and after decellularization showed good preservation of connective tissue structures and complete elimination of cellular elements (Figure 6).
Native material is characterized by a dense, uniform packing of the main connective tissue fibers. Elastin appears as relatively thick, uniform, long, and curved strands. The aortic wall is uniformly filled with smooth muscle cells (the majority) and fibroblasts. From the intimal side, the wall is covered by endothelial cells (Figure 6A). After decellularization, voids appear in the aortic wall in places where cells were located. The waviness of elastic fibers, typical of the normal aortic wall, decreases, and the fibers moderately lose their uniform thickness. Zones of microfragmentation appear on the elastic fibers, and single zones of elastolysis are observed. Collagen fibers also partially disaggregate, and there are small areas of fiber swelling and focal homogenization (Figure 6B).
Histological examination of aortic fragments after chitosan treatment revealed the following findings. The temperature regime has a significant impact on the structure of the connective tissue. Increasing the temperature significantly increases collagen fiber dissociation, the number of microdamages, and the overall level of degradation. Temperature denaturation of the protein components of the collagen-elastic framework of the aorta occurs (Figure 7).
During the preliminary selection of laser irradiation parameters for the samples, it was established that 35-40 ms of continuous operation of the laser installation is sufficient to obtain a blind-ending channel with a depth of about 1 mm, which on average is half the thickness of the aortic wall (Figure 8).
To assess the possibility of seeding decellularized and laser-treated biomaterials, VICs obtained from the main vessels of pigs were used. Cultivation of VICs on the surface of the samples at a rate of 50,000 cells/cm² for 7 days showed the preservation of cell viability (Figure 9).
Tubular aortic prostheses for implantation into pigs were manufactured according to the following scheme:
a)
decellularization of purified tubular fragments of porcine aorta with a diameter of 12-14 mm;
b)
8-fold washing in sterile phosphate buffer;
c)
ultrasonic treatment in a 1% chitosan solution for 30 minutes at 25°C;
d)
application of blind-ended laser channels with a step of 2 mm;
e)
decontamination in a complex alcohol solution until the moment of implantation [29].
Implantation of the developed vascular prostheses was performed in the descending aorta and thoracic aorta. To provide access to the descending aorta, a surgical technique similar to that used in human heart surgery was applied: a lateral thoracotomy with resection of one rib. During the operation, surgeons noted a great similarity in the techniques used between aortic prosthetics in pigs and in humans (Figure 10).
In total, 3 animals were operated on. In all cases, the implanted prostheses showed tightness when blood circulation was started. No cases of suture rupture were found. One animal died in the early postoperative period as a result of acute bleeding from the aortic cannulation site. The remaining animals were removed from the experiment as planned. Immediately after implantation (in the operating room) and after 30 days of observation, the animals underwent a control aortography to obtain objective data on blood flow through the implanted vascular prosthesis, to identify possible leaks and other adverse events. Analysis of the radiographs showed patency of the vascular prosthesis along its entire length. Paraprosthetic fistulas and bleeding sites were not recorded (data not shown). Macroscopic examination of the removed vascular prosthesis, obtained from a decellularized porcine aorta, subjected to chitosan treatment and laser tunneling, showed the preservation of the outer and inner walls of the graft, the absence of signs of paraprosthetic leaks, thrombosis, and the beginning of epithelialization processes (Figure 11).
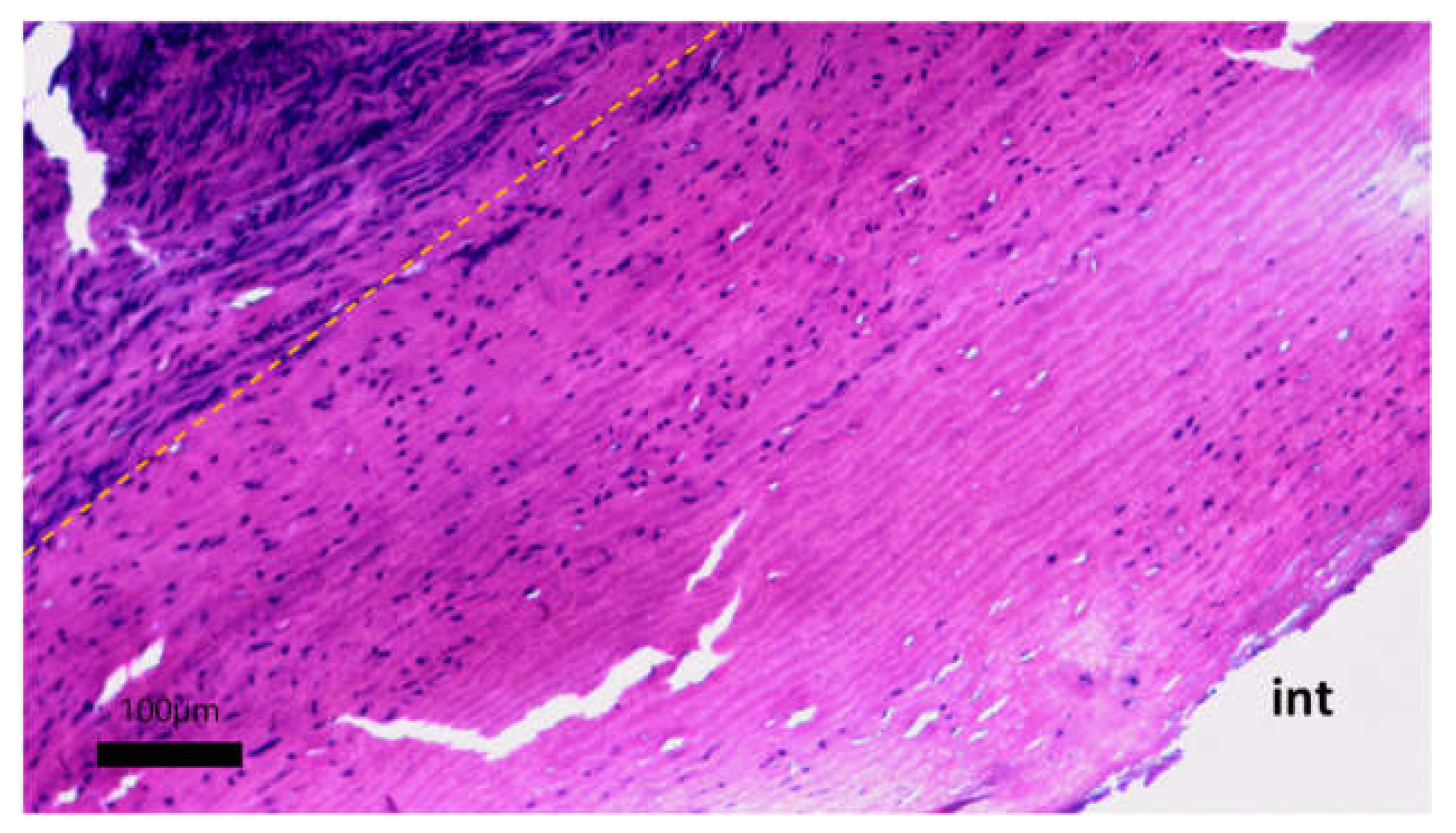
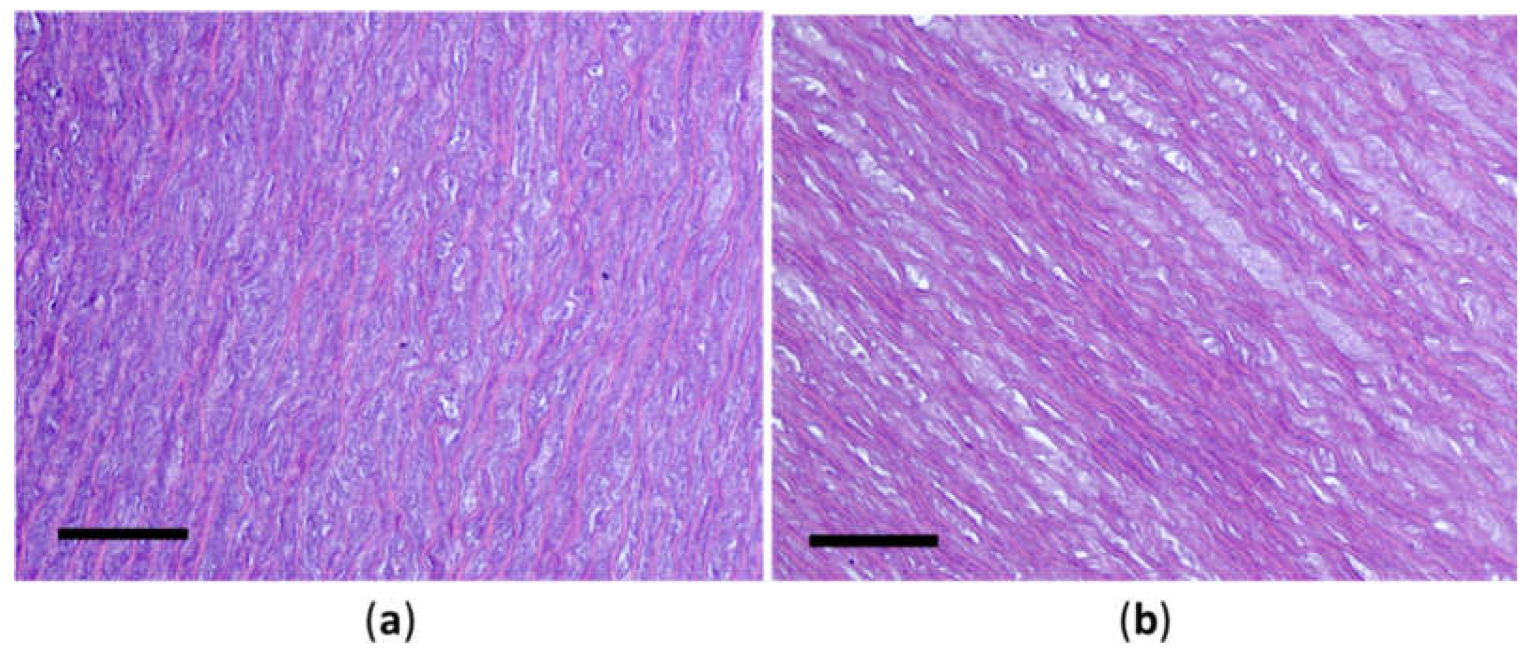
The formation of a neointimal layer is noted directly in the anastomosis zones with further spread to the tissue of the vascular graft. Laser treatment did not have a negative effect on the permeability of the vascular graft wall for fluid. Microscopic examination of the developed vascular prostheses after 30 days of implantation in pigs revealed the initial stages of colonization of the cell-free stroma of the graft with fibroblast-like cells (Figure 12).
On the micrographs, there were no zones of inflammation with foci of lymphocytic infiltration, and no signs of thrombus formation on the surface of the vascular graft were found. The tissue of the prosthesis does not differ in its structure from the original one, the packing of collagen fibers is dense, the waviness of elastic fibers is not disturbed, and no zones of loosening were found. The stroma of the graft is populated by small fibroblast-like cells (Figure 13).

4. Discussion

Based on the results of tensometric studies, decellularized aortic fragments required improvement in mechanical properties, as decellularization negatively affected the strength of these materials. Previously, we found that chemically modified chitosan with a globular structure, Novochizol™, when interacting with decellularized tissues of the cow's jugular vein, not only reduces the rate of their calcification but also slightly increases the strength of the materials [18]. Therefore, this processing method was now optimized for use with aortic tissues. Optimization consisted in selecting the temperature conditions and incubation time of decellularized materials in solutions with different concentrations of chitosan, followed by tensometric tests, based on which the best combination of conditions was selected.
A solution with a concentration of more than 3% has too high a viscosity, which makes it unsuitable for use in the full cycle of this experiment for technical reasons: the sterilization filtration technology used through Millex-GS syringe filters does not allow working with solutions of such a viscosity. Thus, it is possible to obtain prototypes of implants, but it is impossible to obtain them in a sterile form using this technology. Therefore, in the study, several solutions with a concentration of Novochizol™ from 0.5 to 2% were used.
An important point was the use of ultrasound: in the course of this work, the hypothesis was confirmed that it was precisely the combination of ultrasonic exposure and incubation of materials in various Novochizol™ solutions that could affect the mechanical properties of tissues.
Young's modulus, which is used to describe the properties of materials in the region of reversible elastic deformation, from the point of view of the clinical application of the biomaterial, is a characteristic of stiffness and compliance, which is very important when creating prostheses that mimic elements of the cardiovascular system [30,31,32]. Analysis of the elastic deformation of samples allowed us to determine the most promising processing conditions, as well as to confirm the previously made conclusions.
Thus, the optimal conditions for treating decellularized aortic samples with a Novochizol™ solution to increase their strength characteristics were recognized as the use of: 1% solution, 30 minutes of incubation at 25°C. All other things being equal, lowering the temperature is a priority, since this reduces the thermal effect on the connective tissue framework of the material and the degree of its degradation, which is confirmed by histological studies. However, when comparing microstructure of decellularized aortic fragments treated and untreated with a Novochizol™ solution, it is impossible to unequivocally determine the depth of penetration of chitosan and the nature of its interaction with the collagen-elastic framework. Existing histochemical methods for detecting aminopolysaccharides are not applicable for this analysis. Novochizol™-treated materials look subjectively somewhat denser from the outside than materials immediately after decellularization.
The problem of accelerating the migration of cells into the interstitial spaces of decellularized matrices has long been unsuccessfully solved by many scientific groups [33]. When planning this study, it was suggested that the creation of additional migration pathways for cells, such as laser channels from the basal membrane side, should accelerate the process of populating the cell-free matrix. At the same time, it was necessary to preserve the mechanical properties of the material and the tightness of the material surface [34,35,36]. The latter is necessary to exclude the penetration of blood through the wall of an implant made from the studied decellularized material.
To study the possibility of cell seeding of the obtained samples under static in vitro conditions, VICs obtained from the porcine aorta were used. VICs are a heterogeneous population of cells that include fibroblasts, fibrocytes, myofibroblasts, and smooth muscle cells [37]. These cells normally populate the stroma of connective tissue and are involved in the synthesis of the main proteins of the extracellular matrix, such as collagen and elastin [38]. The functional differences of these cells from skin fibroblasts or other localizations are the justification for their use when seeding cell-free biomaterials for tissue engineering of vascular prostheses [39]. Despite the fact that cells remained viable even after 7 days of static cultivation, no pronounced expansion and a significant increase in the amount of cellular material were found. This confirms the conclusions of researchers about the need to create dynamic conditions for culturing fibroblasts and other VICs using specialized bioreactors to provide biophysical stimulation of cells [19,40].
To study the biocompatibility of experimental vascular grafts in vivo, the obtained samples (decellularized tubular fragments of the aorta, treated with a 1% Novochizol™ solution for 30 minutes at 25°C, with blind-ended laser channels applied) were implanted into minipigs in the descending aorta and thoracic aorta for a period of 30 days. The circulatory system of pigs is closest in its hemodynamic characteristics to humans [41]. This feature is used in experimental studies of various implants to study the biological properties of the developed materials and implanted products. Unlike ordinary pigs, the use of minipigs has the advantage of weight and height indicators of an adult animal comparable to the average person, but with a slower growth rate and weight gain [42]. This allows successful modeling of conditions for implanting cardiovascular prostheses similar to the adult human body.
During macroscopic examination of the grafts removed from the animal's body, no negative effect of the proposed experimental treatment on the preservation and permeability of the walls of the vascular prosthesis was noted. The results of histological studies of decellularized porcine aortic samples at each stage of this work showed the preservation of the morphological structure of the connective tissue matrix. The main finding was the fact of cell migration into the acellular stroma of the vascular aortic graft. It occurs not only from the adventitial side but also from the neointimal side, facing the bloodstream. In the studies conducted by us earlier, we did not observe such cellular reactions. Therefore, a conclusion was made about the potentiating effect of laser tunneling of the basal membrane, which promotes the colonization of the cell-free graft with cells of the fibroblast series.

Author Contributions

Conceptualization, D.S. and V.F.; methodology, D.S.; software, D.S.; validation, E.C., M.V.; formal analysis, D.S.; investigation, V.F., E.C., E.K., A.V., M.Z., M.V.; resources, D.S.; data curation, D.S., M.V.; writing—original draft preparation, D.S.; writing—review and editing, V.F.; visualization, D.S., A.V., M.V.; supervision, D.S.; project administration, D.S. All authors have read and agreed to the published version of the manuscript.

Funding

This research received no external funding.

Institutional Review Board Statement

This study was performed in accordance with the principles of the Declaration of Helsinki, and approved by the Institutional Ethics Committee of E.Meshalkin National medical research center of the Ministry of Health of the Russian Federation (protocol 4, approval date 20 Dec 2021).

Data Availability Statement

Additional data on this study can be provided by the authors upon special request.

Conflicts of Interest

The authors declare no conflicts of interest.

References

  1. David, T. How to Decide Between a Bioprosthetic and Mechanical Valve. Can J Cardiol. 2021, 37(7), 1121–1123. [Google Scholar] [CrossRef] [PubMed]
  2. Horke, A., Tudorache, I., Laufer, G., Andreas, M. et al. Early results from a prospective, single-arm European trial on decellularized allografts for aortic valve replacement: the ARISE study and ARISE Registry data. Eur J Cardiothorac Surg. 2020, 58(5), 1045-1053.
  3. Arabkhani, B., Bekkers, J.A., Andrinopoulou, E.R., Roos-Hesselink, J.W. et al. Allografts in aortic position: Insights from a 27-year, single-center prospective study. J Thorac Cardiovasc Surg. 2016, 152(6), 1572-1579.
  4. Demidov, D.P., Astapov, D.A., Bogachev-Prokofiev, A.V., Zheleznev, S.I. Assessment of the quality of life after aortic valve prosthetics with biological prostheses in elderly patients. Circulatory Pathology and Cardiac Surgery. 2017, 21(3), 40-47.
  5. Spiridonov, S.V. , Odintsov, V.O., Shchetinko, N.N., Mozgova, E.A. et al. Aortic allografts in world cardiac surgery: historical aspects of introduction into clinical practice and review of the results of use. Medical Journal. 2015, 1, 55–67. [Google Scholar]
  6. Fioretta, E.S. , von Boehmer, L., Motta, S.E., Lintas, V. et al. Cardiovascular tissue engineering: From basic science to clinical application. Exp Gerontol. 2019, 117, 1–12. [Google Scholar] [CrossRef] [PubMed]
  7. VeDepo, M.C. , Detamore, M.S., Hopkins, R.A., Converse, G.L. Recellularization of decellularized heart valves: Progress toward the tissue-engineered heart valve. J Tissue Eng. 2017, 8, 2041731417726327. [Google Scholar] [CrossRef]
  8. Cebotari, S., Tudorache, I., Ciubotaru, A., Boethig, D. et al. Use of fresh decellularized allografts for pulmonary valve replacement may reduce the reoperation rate in children and young adults: Early report. Circulation. 2011, 124, 115–124.
  9. Argento, G. , Simonet, M., Oomens, C.W., Baaijens, F.P.T. Multi-scale mechanical characterization of scaffolds for heart valve tissue engineering. J Biomech. 2012, 45, 2893–2898. [Google Scholar] [CrossRef]
  10. Nachlas, A.L.Y. , Li, S., Davis, M.E. Developing a Clinically Relevant Tissue Engineered Heart Valve-A Review of Current Approaches. Adv Healthc Mater. 2017, 24, 1700918. [Google Scholar] [CrossRef]
  11. Gilpin, A., Yang, Y. Decellularization Strategies for Regenerative Medicine: From Processing Techniques to Applications. BioMed Research International, 2017,9831534.
  12. Vasilyeva, M.B., Kuznetsova, E.V., Rusakova, Y.L., Chepeleva, E.V et al. Mechanical properties of native and decellularised aortic wall after long-term storage in biocidal solutions. Bulletin of transplantology and artificial organs. 2021, 23(4), 86-94.
  13. Wong, M.L., Griffiths, L.G. Immunogenicity in xenogeneic scaffold generation: antigen removal vs. decellularization. Acta Biomaterialia. 2014, 10(5), 1806–1816.
  14. Ivanov, A.V. , Lipatov, V.A., Lazarenko, S.V., Zherdev, N.N. et al. Study of tissue reaction of laboratory animals on implantation of new samples of vascular endoprostheses. Circulation pathology and cardiac surgery. 2016, 20(2), 87–94. [Google Scholar]
  15. Alberti, K.A., Xu, Q. Biocompatibility and degradation of tendon-derived scaffolds. Regen Biomater. 2016, 3(1), 1-11.
  16. Baiguera, S., Del Gaudio, C., Jaus, M.O., Polizzi, L. et al. Long-term changes to in vitro preserved bioengineered human trachea and their implications for decellularized tissues. Biomaterials. 2012, 33(14), 3662-3672.
  17. Mendibil, U., Ruiz-Hernandez, R., Retegi-Carrion, S., Garcia-Urquia, N. Tissue-Specific Decellularization Methods: Rationale and Strategies to Achieve Regenerative Compounds. Int J Mol Sci. 2020, 21(15), 5447.
  18. Jang, W. , Choi, S., Kim, S.H., Yoon, E., et al. A comparative study on mechanical and biochemical properties of bovine pericardium after single or double crosslinking treatment. Korean Circ J. 2012, 42(3), 154–163. [Google Scholar] [CrossRef]
  19. Krasilnikova, A.A. , Sergeevichev, D.S., Fomenko, V.V., Korobeynikov, A.A. et al. Globular chitosan treatment of bovine jugular veins: evidence of anticalcification efficacy in the subcutaneous rat model. Cardiovasc Pathol. 2018, 32, 1–7. [Google Scholar] [CrossRef]
  20. Selden, C. , Fuller, B. Role of Bioreactor Technology in Tissue Engineering for Clinical Use and Therapeutic Target Design. Bioengineering (Basel). 2018, 5(2), 32. [Google Scholar]
  21. Barbulescu, G.I., Bojin, F.M., Ordodi, V.L., Goje, I.D. et al. Decellularized Extracellular Matrix Scaffolds for Cardiovascular Tissue Engineering: Current Techniques and Challenges. Int J Mol Sci. 2022, 23(21), 13040.
  22. Roosens, A., Asadian, M., De Geyter, N., Somers, P. et al. Complete Static Repopulation of Decellularized Porcine Tissues for Heart Valve Engineering: An in vitro Study. Cells Tissues Organs. 2017, 204(5-6), 270-282.
  23. Theodoridis, K. , Tudorache, I., Calistru, A., Cebotari, S. et al. Successful matrix guided tissue regeneration of decellularized pulmonary heart valve allografts in elderly sheep. Biomaterials. 2015, 52, 221–228. [Google Scholar] [CrossRef] [PubMed]
  24. Badria, A.F. , Koutsoukos, P.G., Mavrilas, D. Decellularized tissue-engineered heart valves calcification: what do animal and clinical studies tell us? J Mater Sci Mater Med. 2020, 31(12), 132. [Google Scholar] [CrossRef] [PubMed]
  25. Bergmeister, H. , Boeck, P., Kasimir, M.T., Fleck, T. et al. Effect of laser perforation on the remodeling of acellular matrix grafts. J Biomed Mater Res B Appl Biomater. 2005, 74(1), 495–503. [Google Scholar] [CrossRef] [PubMed]
  26. Sergeevichev, D. , Vasiliyeva, M., Kuznetsova, E., Chelobanov, B. Preservation of Mechanical and Morphological Properties of Porcine Cardiac Outflow Vessels after Decellularization and Wet Storage. Biomimetics. 2023, 8, 315. [Google Scholar] [CrossRef]
  27. Sergeevichev, D. , Vasiliyeva, M., Kuznetsova, E., Zhulkov, M. et al. Morphological Post-implantation Features of Aortic Conduits After Long-term wet Storage. J Med Biol Eng. 2023, 43, 185–194. [Google Scholar] [CrossRef]
  28. Chepeleva, E.V., Balashov, V.A., Dokuchaeva, A.A., Korobejnikov, A.A. et al. Analyis of biological compatibility of polylactide nanofibrous matrix vitalized with cardiac fibroblasts in a porcine model. Genes & Cells. 2017, 12(4), 62-68.
  29. Zhuravleva, I. Biocidal Composition for Aseptic Storage of Preserved Prosthetic Material Made of Tissues of Animal Origin. Patent RU2580621C1, published 2016-04-10.
  30. Nam, J. , Choi, S.Y., Sung, S.C., Lim, H.G.et al. Changes of the Structural and Biomechanical Properties of the Bovine Pericardium after the Removal of α-Gal Epitopes by Decellularization and α-Galactosidase Treatment. Korean J. Thorac. Cardiovasc. Surg. 2012, 45, 380–389. [Google Scholar] [CrossRef]
  31. McKee, C.T. , Last, J.A., Russell, P., Murphy, C.J. Indentation Versus Tensile Measurements of Young’s Modulus for Soft Biological Tissues. Tissue Eng. Part B Rev. 2011, 17, 155–164. [Google Scholar] [CrossRef]
  32. Liu, X. , Li, N., Gong, D., Xia, C., Xu, Z. Comparison of detergent-based decellularization protocols for the removal of antigenic cellular components in porcine aortic valve. Xenotransplantation. 2018, 25, e12380. [Google Scholar] [CrossRef]
  33. Isaeva, E.V., Beketov, E.E., Arguchinskaya, N.V., Ivanov, S.А. et al. Decellularized Extracellular Matrix for Tissue Engineering. Sovrem Tekhnologii Med. 2022, 14(3), 57-68.
  34. García-Gareta, E. , Abduldaiem, Y., Sawadkar, P., Kyriakidis, Ch., et al. Decellularised scaffolds: just a framework? Current knowledge and future directions. J Tissue Eng. 2020, 11, 2041731420942903. [Google Scholar] [CrossRef]
  35. Jansen, K.A. , Atherton, P., Ballestrem, C. Mechanotransduction at the cell-matrix interface. Semin Cell Dev Biol. 2017, 71, 75–83. [Google Scholar] [CrossRef]
  36. Barthold, J.E., St. Martin, B.M., Sridhar, S.L., Vernerey, F. et al. Recellularization and integration of dense extracellular matrix by percolation of tissue microparticles. Adv Funct Mater. 2021, 31(35), 2103355. [Google Scholar] [CrossRef] [PubMed]
  37. Masjedi, S. , Amarnath, A., Baily, K.M., Ferdous, Z. Comparison of calcification potential of valvular interstitial cells isolated from individual aortic valve cusps. Cardiovasc Pathol. 2016, 25(3), 185–194. [Google Scholar] [CrossRef] [PubMed]
  38. Horne, T.E. , VandeKopple, M., Sauls, K., Koenig, S.N. et al. Dynamic Heterogeneity of the Heart Valve Interstitial Cell Population in Mitral Valve Health and Disease. J Cardiovasc Dev Dis. 2015, 2(3), 214–232. [Google Scholar] [PubMed]
  39. Pucovský, V. Interstitial cells of blood vessels. Scientific World Journal. 2010, 10, 1152–68. [Google Scholar] [CrossRef]
  40. Adil, A. , Xu, M., Haykal, S. Recellularization of Bioengineered Scaffolds for Vascular Composite Allotransplantation. Front Surg. 2022, 9, 843677. [Google Scholar] [CrossRef]
  41. Lelovas, P.P., Kostomitsopoulos, N.G., Xanthos, T.T. A comparative anatomic and physiologic overview of the porcine heart. J Am Assoc Lab Anim Sci. 2014, 53(5), 432-438.
  42. Nikitin, S.V., Knyazev, S.P., Shatokhin, K.S., Zaporozhets, V.I. Breeding and selection of mini-pigs in the ICG SB RAS. Vavilov Journal of Genetics and Breeding. 2018, 22(8), 922-930 (in Russian).
Figure 1. Results of preliminary tests of the specific strength of decellularized aortic samples: Native - native materials, Decell - decellularized materials, us 10` - 10-minute ultrasound treatment in saline, us 30` - 30-minute ultrasound treatment in saline, NC - incubation in Novochizol™ solution with the indicated concentration for 60 minutes.
Figure 1. Results of preliminary tests of the specific strength of decellularized aortic samples: Native - native materials, Decell - decellularized materials, us 10` - 10-minute ultrasound treatment in saline, us 30` - 30-minute ultrasound treatment in saline, NC - incubation in Novochizol™ solution with the indicated concentration for 60 minutes.
Preprints 141930 g001
Figure 2. Dynamics of average strength indicators for aortic samples depending on the processing conditions: Native - native materials, Decell - decellularized materials. The legend indicates the concentrations of Novochizol™ in the solutions.
Figure 2. Dynamics of average strength indicators for aortic samples depending on the processing conditions: Native - native materials, Decell - decellularized materials. The legend indicates the concentrations of Novochizol™ in the solutions.
Preprints 141930 g002
Figure 3. Increase in specific strength of aortic samples treated with 1% Novochizol™ solution relative to intact materials: * p = 0.0206; # p = 0.0444; Native - native materials, Decell - decellularized materials.
Figure 3. Increase in specific strength of aortic samples treated with 1% Novochizol™ solution relative to intact materials: * p = 0.0206; # p = 0.0444; Native - native materials, Decell - decellularized materials.
Preprints 141930 g003
Figure 4. Dynamics of average Young's modulus values for aortic samples depending on the processing conditions: Native - native materials, Decell - decellularized materials. The legend indicates the concentrations of Novochizol™ in the solutions.
Figure 4. Dynamics of average Young's modulus values for aortic samples depending on the processing conditions: Native - native materials, Decell - decellularized materials. The legend indicates the concentrations of Novochizol™ in the solutions.
Preprints 141930 g004
Figure 5. Increase in Young's modulus values of aortic samples treated with 1% Novochizol™ solution relative to intact materials: * p = 0.039; # p = 0.0158; § p = 0.0306; Native - native materials, Decell - decellularized materials.
Figure 5. Increase in Young's modulus values of aortic samples treated with 1% Novochizol™ solution relative to intact materials: * p = 0.039; # p = 0.0158; § p = 0.0306; Native - native materials, Decell - decellularized materials.
Preprints 141930 g005
Figure 6. Histological structure of the porcine aortic wall before (a) and after (b) decellularization: hematoxylin-eosin staining, scale bar 200 μm. Adv – adventitial surface of the aorta.
Figure 6. Histological structure of the porcine aortic wall before (a) and after (b) decellularization: hematoxylin-eosin staining, scale bar 200 μm. Adv – adventitial surface of the aorta.
Preprints 141930 g006
Figure 7. Histological structure of the porcine aortic wall after treatment with Novochizol™ (1% solution, 30 minutes) at a temperature of 25°C (a) and 40°C (b): hematoxylin-eosin staining, scale bar 100 μm.
Figure 7. Histological structure of the porcine aortic wall after treatment with Novochizol™ (1% solution, 30 minutes) at a temperature of 25°C (a) and 40°C (b): hematoxylin-eosin staining, scale bar 100 μm.
Preprints 141930 g007
Figure 8. Evaluation of the size and ultrastructure of laser channels in decellularized and chitosan-treated aorta: (a) General view (arrows indicate channels made every 2 mm; the entrance of one channel is closed with tissue debris); (b) Micrometry of the channel entrance (276x253 μm); (c) Micrographs of the aorta after laser tunneling, transverse cryo-section, the arrow indicates the direction of laser exposure, duration 40 ms, hematoxylin-eosin staining, scale bar 500 μm.
Figure 8. Evaluation of the size and ultrastructure of laser channels in decellularized and chitosan-treated aorta: (a) General view (arrows indicate channels made every 2 mm; the entrance of one channel is closed with tissue debris); (b) Micrometry of the channel entrance (276x253 μm); (c) Micrographs of the aorta after laser tunneling, transverse cryo-section, the arrow indicates the direction of laser exposure, duration 40 ms, hematoxylin-eosin staining, scale bar 500 μm.
Preprints 141930 g008
Figure 9. Seeding of decellularized and chitosan-treated porcine aortic samples under static in vitro conditions, observation for 7 days: (a) Viable GFP-labeled VICs on the surface of the treated aortic sample (scale bar 100 μm); (b) General view of the sample with applied VICs in a 24-well plate; (c) Presence of VICs inside the laser channel (indicated by an arrow, 10 μm cryo-section, hematoxylin-eosin staining, scale bar 100 μm).
Figure 9. Seeding of decellularized and chitosan-treated porcine aortic samples under static in vitro conditions, observation for 7 days: (a) Viable GFP-labeled VICs on the surface of the treated aortic sample (scale bar 100 μm); (b) General view of the sample with applied VICs in a 24-well plate; (c) Presence of VICs inside the laser channel (indicated by an arrow, 10 μm cryo-section, hematoxylin-eosin staining, scale bar 100 μm).
Preprints 141930 g009
Figure 10. Immediate results of aortic prosthesis implantation in pigs: (a) The clamp is removed from the aorta and blood flow is restored, vascular prosthesis at the implantation site (indicated by a yellow arrow); (b) Vital signs (pulse 111-112 bpm, arterial pressure in the femoral artery 89/54 mm Hg, arterial pressure on the prosthesis 112/70 mm Hg, peripheral blood oxygen saturation 95%).
Figure 10. Immediate results of aortic prosthesis implantation in pigs: (a) The clamp is removed from the aorta and blood flow is restored, vascular prosthesis at the implantation site (indicated by a yellow arrow); (b) Vital signs (pulse 111-112 bpm, arterial pressure in the femoral artery 89/54 mm Hg, arterial pressure on the prosthesis 112/70 mm Hg, peripheral blood oxygen saturation 95%).
Preprints 141930 g010
Figure 11. Macroscopic preparation of the developed vascular prosthesis, opened by a longitudinal incision through both anastomoses: Ao - tissues of the recipient aorta; graft - material of the implanted vascular graft; prox - proximal anastomosis; dist - distal anastomosis.
Figure 11. Macroscopic preparation of the developed vascular prosthesis, opened by a longitudinal incision through both anastomoses: Ao - tissues of the recipient aorta; graft - material of the implanted vascular graft; prox - proximal anastomosis; dist - distal anastomosis.
Preprints 141930 g011
Figure 12. Cellular migration into the stroma of the vascular prosthesis: hematoxylin-eosin staining, scale bar 100 μm. Yellow dotted line - the boundary of the implanted vascular graft and the newly formed adventitial tissue; int - intimal side of the vascular graft.
Figure 12. Cellular migration into the stroma of the vascular prosthesis: hematoxylin-eosin staining, scale bar 100 μm. Yellow dotted line - the boundary of the implanted vascular graft and the newly formed adventitial tissue; int - intimal side of the vascular graft.
Preprints 141930 g012
Figure 13. Migration of cellular elements into the acellular stroma of the vascular graft, hematoxylin-eosin staining, scale bar 50 μm. (a) Adventitial side of the vascular graft; (b) Intimal side of the graft; yellow dotted line - the boundary of the implanted vascular graft and the newly formed adventitial tissue; fib - clusters of fibroblast-like cells; end - single endothelial cells.
Figure 13. Migration of cellular elements into the acellular stroma of the vascular graft, hematoxylin-eosin staining, scale bar 50 μm. (a) Adventitial side of the vascular graft; (b) Intimal side of the graft; yellow dotted line - the boundary of the implanted vascular graft and the newly formed adventitial tissue; fib - clusters of fibroblast-like cells; end - single endothelial cells.
Preprints 141930 g013
Table 1. Quantitative Characteristics of Biomaterial Processing Parameters.
Table 1. Quantitative Characteristics of Biomaterial Processing Parameters.
Group Designation Novochizol™ Concentration (%) Temperature (°C) Duration (min)
«Х»-«Т»-«В»1 3; 2; 1; 0,5 25; 30; 35; 40 5; 10; 15; 20; 25; 30
1 where: «X» - chitosan concentration value, «T» – treatment temperature, «B» – treatment duration.
Disclaimer/Publisher’s Note: The statements, opinions and data contained in all publications are solely those of the individual author(s) and contributor(s) and not of MDPI and/or the editor(s). MDPI and/or the editor(s) disclaim responsibility for any injury to people or property resulting from any ideas, methods, instructions or products referred to in the content.
Copyright: This open access article is published under a Creative Commons CC BY 4.0 license, which permit the free download, distribution, and reuse, provided that the author and preprint are cited in any reuse.
Prerpints.org logo

Preprints.org is a free preprint server supported by MDPI in Basel, Switzerland.

Subscribe

Disclaimer

Terms of Use

Privacy Policy

Privacy Settings

© 2026 MDPI (Basel, Switzerland) unless otherwise stated