Submitted:
04 August 2024
Posted:
06 August 2024
You are already at the latest version
Abstract
Keywords:
1. Introduction
- Pain in Extension, Adduction, and Flexion of the Joint
- Intermittent Claudication and Paresis of Hind Limbs
- Intra-articular Pressure
- Pectineus and Iliopsoas Contracture
- Hypertrophy of the Gluteus, Quadriceps, and Biceps Femoris
- Pain in the Sacral Loin and Lumbar-Thoracic Spine
- Muscle and Joint Capsule Pain
- Inflammation and Retraction of the Joint Capsule
2. Materials and Methods
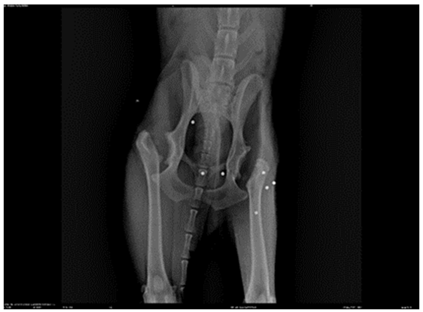
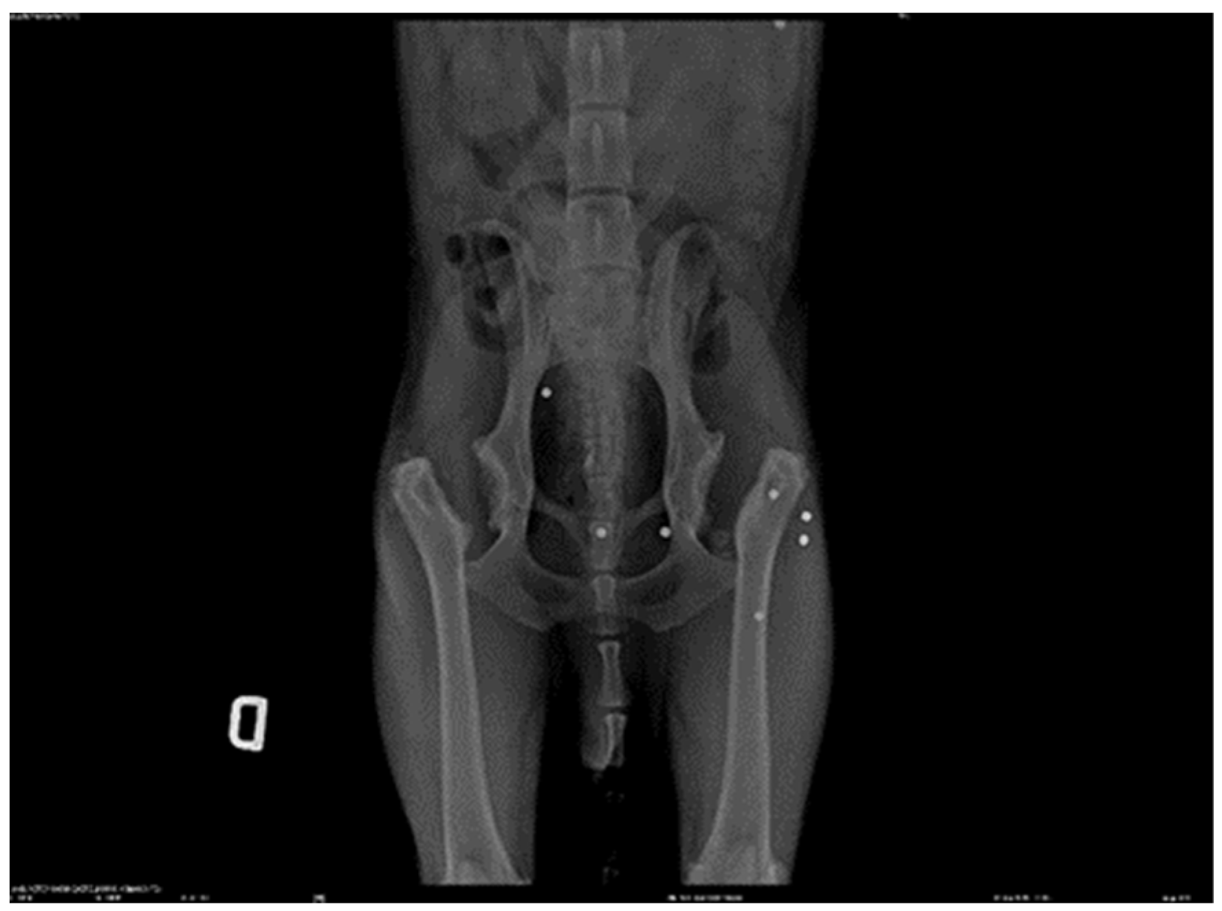
2.1. Patient Details a 7-Year-Old Male Canine Setter, 23 kg Was the Subject of This Study




2.2. History
2.3. Assessment


2.4. Methods
3. Results
- Goniometry of the left coxofemoral joint pre-treatment: flexion 48º extension 158º (normal flexion 50º extension 162º) Post treatment flexion 50º extension 160º
- Goniometry of the right coxofemoral joint pre-treatment: flexion 47º extension 157º (normal flexion 50º extension 162º) Post treatment flexion 50º extension 159º
- Pre-treatment perimeter left thigh 28 cm left thigh 29 cm
- Post treatment Right thigh perimetry 30 cm; left thigh 31 cm.
4. Discussion
5. Conclusions
Informed Consent Statement
Acknowledgments
Conflicts of Interest
References
- Bettini CM, et al. Incidence of coxofemoral dysplasia in Border Collie dogs. Unipar Veterinary and Zoological Sciences Archive. 2007;10(1):21-25.
- McLaughlin Junior R, Tomlinson J. Radiographic diagnosis of canine hip dysplasia. Veterinary medicine. 1996;91(2):36-47.
- Minto BW, et al. Clinical evaluation of acetabular denervation in dogs with coxofemoral dysplasia treated at the FMVZ Veterinary Hospital - Botucatu - SP. Veterinary and Animal Sciences. 2012;19(1):91-98.
- Mueller M, et al. Effects of radial shock wave therapy on limb function of dogs with osteoarthritis of the hip. Veterinary record. 2007;160(1):762–765.
- Morgan JP, Wind A, Davidson AP. Elbow dysplasia. In: Hereditary diseases of bones and joints in dogs: osteochondrosis, hip dysplasia, elbow dysplasia. Hanover: Schlütersche; 2000. p. 41-94.
- Mostafa AA, Berry CR, Nahla MA. Quantitative evaluation of hip morphology to improve the identification of coxofemoral dysplasia in German Shepherd dogs. Am J Vet Res. 2023 Feb;7:1-10. [PubMed]
- Piermattei, D. Arthroplasty for excision of the coxofemoral joint in dogs and cats. Vet Comp Orthop Traumatol. 2011;24(1):89. [PubMed]
- Rocha FPC, et al. Coxofemoral dysplasia in dogs. Revista Cientí Eletrônica de Medicina Veterinária. 2008;4(11):1-7.
- Off W, Matis U. Arthroplasty for excision of the coxofemoral joint in dogs and cats. Results of clinical, radiographic and gait analysis of the Department of Surgery, Faculty of Veterinary Medicine, Ludwig-Maximilians-University of Munich, Germany. Vet Comp Orthop Traumatol. 2010;23(5):297-305. [PubMed]
- Virag Y, Gumpenberger M, Tichy A, Lutonsky C, Peham C, Bockstahler B. Center of pressure and reaction forces of the soil in Labradors and Golden Retrievers with and without coxofemoral dysplasia at 4, 8 and 12 months of age. Front Vet Sci. 2022 Dec 22;9:1087693. PMCID: PMC9814507. [PubMed]
- Reusing MSO, Villanova Júnior JA, Weber SH. Efeitos terapêuticos do exercício em esteira aquática e da laserterapia de baixa intensidade em cães com displasia coxofemoral = Therapeutic effects of underwater treadmill exercise and low-level laser therapy in dogs with hip dysplasia. 2019. Available at: link. Accessed July 16, 2023.
- Ali Q, et al. Low Energy Laser Effects in Relieving Pain in Patients with Knee Osteoarthritis. International Journal of Medicine and Public Health. 2018;2(1):6-10.
- Baker S, et al. Comparison of four commercial devices to measure limb circumference in dogs. Veterinary and Comparative Orthopaedics and Traumatology. 2010;23(6):406-410.
- Barr A, Denny H, Gibbs C. Clinical hip dysplasia in growing dogs: the long-term results of conservative management. Journal of Small Animal Practice. 1987;28(4):243-252.
- Bender T, et al. The effect of physical therapy on beta-endorphin levels. European journal of applied physiology. 2007;100(4):371-382.
- Bjordal JM, et al. A systematic review of low level laser therapy with location-specific doses for pain from chronic joint disorders. Journal of Physiotherapy. 2003;49(2):107-116.
- Bockstahler B, et al. Pelvic limb kinematics and surface electromyography of the vastus lateralis, biceps femoris, and gluteus medius muscle in dogs with hip osteoarthritis. Veterinary Surgery. 2012;41(1):54-62.
- Bockstahler BA, et al. Hind limb kinematics during therapeutic exercises in dogs with osteoarthritis of the hip joints. American Journal of Veterinary Research. 2012;73(9):1371-1376.
- Brown DC, et al. Ability of the canine brief pain inventory to detect response to treatment in dogs with osteoarthritis. Journal of the American Veterinary Medical Association. 2008;233(8):1278-1283.
- Cartlidge, H. Hydrotherapy for the osteoarthritic dog: why might it help and is there any evidence? The Veterinary Nurse. 2015;6(10):600-606.
- Chauvet A, et al. Incorporation of exercise, using an underwater treadmill, and active client education into a weight management program for obese dogs. Canadian Veterinary Journal. 2011;52(5):491.
- Collard F, et al. Canine hip denervation: Comparison between clinical outcome and gait analysis. Revue de Medecine Veterinaire. 2010;161(6):277.
- Crestani MV, Telöken MA, Gusmão PDF. Impacto femoroacetabular: uma das condições precursoras da osteoartrose do quadril. Rev Bras Ortop. 2006;41(8):285-293.
- Denning WE, Bressel E, Dolny DG. Underwater treadmill exercise as a potential treatment for adults with osteoarthritis. International Journal of Aquatic Research and Education. 2010;4(1):9.
- Diniz, R. Hidroterapia. In: Lopes RS, Diniz R, editors. Fisiatria em Pequenos Animais. São Paulo: Editora Inteligente; 2018. p. 156-162.
- Doust S, et al. Preliminary study of the hip dysplasia incidence based on clinical and radiographical examination in large breed dogs referred to veterinary teaching hospital of Ferdowsi University of Mashhad. Journal of Veterinary Research. 2018;73(1).
- Duff R, Campbell J. Long-term results of excision arthroplasty of the canine hip. The Veterinary Record. 1977;101(10):181-184.
- Edge-Hughes, L. Hip and sacroiliac disease: selected disorders and their management with physical therapy. Clinical Techniques in Small Animal Practice. 2007;22(4):183-194.
- Ginja M, et al. Diagnosis, genetic control and preventive management of canine hip dysplasia: a review. The Veterinary Journal. 2010;184(3):269-276.
- Greshake RJ, Ackerman N. Ultrasound evaluation of the coxofemoral joints of the canine neonate. Veterinary Radiology & Ultrasound. 1993;34(2):99-104.
- Gulick Tape Measure. (n.d.). VBS Group. Available online: https://vbsgroup-shop.eu/en/diagnosis-veterinary-equipment/59-gulick-tape.html (accessed on 4 August 2024).
- Gusi N, et al. Exercise in waist-high warm water decreases pain and improves health-related quality of life and strength in the lower extremities in women with fibromyalgia. Arthritis Care & Research. 2006;55(1):66-73.
- Harper, T.A. Conservative Management of Hip Dysplasia. Veterinary Clinics: Small Animal Practice. 2017;47(4):807-821.
- Henrigson B, Norberg I, Olssons SE. On the etiology and pathogenesis of hip dysplasia: a comparative review. Journal of Small Animal Practice. 1966;7(11):673-688.
- Honmura A, et al. Therapeutic effect of Ga-Al-As diode laser irradiation on experimentally induced inflammation in rats. Lasers in surgery and medicine. 1992;12(4):441-449.
- Jaegger G, Marcellin-Little DJ, Levine D. Reliability of goniometry in Labrador Retrievers. American journal of veterinary research. 2002;63(7):979-986.
- Kass P, Wallace L, Guffy M. Association between pelvic muscle mass and canine hip dysplasia. Journal of the American Veterinary Medical Association. 1997;210(10):1466-1473.
- Kyriazis, A. Canine hip dysplasia. Part I: Aetiopathogenesis & diagnostic approach. Hellenic Journal of Companion Animal Medicine. 2016;5(1):37.
- König HE, Liebich H-G. Anatomia dos Animais Domésticos-: Texto e Atlas Colorido. Artmed Editora; 2016.
- Lewis G, Holt S. The Effects of Low-level Laser Therapy on the Gait of the Osteoarthritic Canine Hindlimb. BVNA Congress 2018. 2018.
- Matera JM, Tatarunas AC, Oliveira SM. Uso do laser arseneto de gálio (904nm) após excisão artroplástica da cabeça do fêmur em cães. Acta Cirúrgica Brasileira. 2003;18(2):102-106.
- McCarthy G, et al. Randomised double-blind, positive-controlled trial to assess the efficacy of glucosamine/chondroitin sulfate for the treatment of dogs with osteoarthritis. The Veterinary Journal. 2007;174(1):54-61.
- Mendes S, Coutinho I, Rebelo P. Hidroterapia canina. Revista Portuguesa de Ciências Veterinárias. 2015;110(595-596):160-164.
- Millis DL, Levine D. The role of exercise and physical modalities in the treatment of osteoarthritis. Veterinary Clinics: Small Animal Practice. 1997;27(4):913-930.
- Morales J, et al. He-Ne Laser has no Effect on Cell Cycle Phases. Revista espanola de fisiologia. 1995;51(1):43-48.
- MVS Hospital for Pets. Hip Dysplasia. MVS Hospital for Pets. Available online: https://www.mvshospital.com/hip-dysplasia/ (accessed on 4 June 2024).
- Nielsen C, Pluhar G. Diagnosis and treatment of hind limb muscle strain injuries in dogs. Veterinary and Comparative Orthopaedics and Traumatology. 2005;18(4):247.
- Nganvongpanit, K., Boonchai, T., Taothong, O., & Sathanawongs, A. (2014). Physiological effects of water temperatures in swimming toy breed dogs. Kafkas Universitesi Veteriner Fakultesi Dergisi, 20(2), 213-218. [CrossRef]
- Parkinson, S., Wills, A. P., Tabor, G., & Williams, J. M. (2018). Effect of water depth on muscle activity of dogs when walking on a water treadmill. Comparative Exercise Physiology, 14(2), 1-12. [CrossRef]
- Pereira FC, et al. Antinociceptive effects of low-level laser therapy at 3 and 8 j/cm2 in a rat model of postoperative pain: possible role of endogenous Opioids. Lasers in surgery and medicine. 2017;49(9):844-851.
- Prankel, S. Hydrotherapy in practice. In practice. 2008;30(5):272.
- Petazzoni, M. (Ed.). (2008). Atlas of Clinical Goniometry and Radiographic Measurements of the Canine Pelvic Limb (2nd ed.). Merial.
- Raghuvir H, et al. Treatment of canine hip dysplasia: A review. J Anim Sci Adv. 2013;3(12):589-597.
- Remedios AM, Fries CL. Treatment of canine hip dysplasia: a review. The Canadian Veterinary Journal. 1995;36(8):503.
- Syrcle, J. Hip Dysplasia: Clinical Signs and Physical Examination Findings. Veterinary Clinics: Small Animal Practice. 2017;47(4):769-775.
- Reusing, M., Brocardo, M., Weber, S., & Villanova, J. Jr. (2020). Goniometric evaluation and passive range of joint motion in chondrodystrophic and nonchondrodystrophic dogs of different sizes. VCOT Open, 3, e66–e71.
- Reusing, M.S.O. (2019). Therapeutic Effects of Underwater Treadmill Exercise and Low-Level Laser Therapy in Dogs with Hip Dysplasia. Master’s Thesis, Pontifícia Universidade Católica do Paraná, School of Life Sciences, Graduate Program in Animal Science, Curitiba, Brazil.
- Tai G, Tai M, Zhao M. Electrically stimulated cell migration and its contribution to wound healing. Burns & trauma. 2018;6(1):20.
- Upariputti R, et al. Effect of interferential current therapy on ground reaction force in dogs with hip osteoarthritis: A randomized placebo-controlled cross-over clinical trial. The Thai Journal of Veterinary Medicine. 2018;48(1):111-116.
- Vince, K.J. Canine hip dysplasia: surgical treatment for the military working dog. Army Medical Department Journal. 2007;44-50.
- Wallace, L.J. Pectineus tendon surgery for the management of canine hip dysplasia. Veterinary Clinics of North America: Small Animal Practice. 1992;22(3):607-621.
- Weigel JP, Cartee RE, Marich KW. Preliminary study on the use of ultrasonic transmission imaging to evaluate the hip joint in the immature dog. Ultrasound in medicine & biology. 1983;9(4):371-378.
- Wong, E. Swim to Recovery: Canine Hydrotherapy Healing. Veloce Publishing Ltd.; 2011.
- Zink C, Carr BJ. What is a canine athlete? Canine sports medicine and rehabilitation. 2018;1-22.
- Zink C, Van Dyke JB. Canine sports medicine and rehabilitation. John Wiley & Sons; 2018.


Disclaimer/Publisher’s Note: The statements, opinions and data contained in all publications are solely those of the individual author(s) and contributor(s) and not of MDPI and/or the editor(s). MDPI and/or the editor(s) disclaim responsibility for any injury to people or property resulting from any ideas, methods, instructions or products referred to in the content. |
© 2024 by the authors. Licensee MDPI, Basel, Switzerland. This article is an open access article distributed under the terms and conditions of the Creative Commons Attribution (CC BY) license (https://creativecommons.org/licenses/by/4.0/).