Preprint
Communication

This version is not peer-reviewed.

Most Colorectal Hyperplastic Nodules Represent Polypoid Colitis Nucleomigrans - A New Challenge in Classifying Colorectal Mucosal Tumor-Like Lesions

Submitted:

29 March 2024

Posted:

29 March 2024

You are already at the latest version

Abstract
Hyperplastic nodules (HNs) are benign polypoid lesions of the colorectal mucosa reportedly caused by hyperplasia of the crypt epithelial cells. They differ from hyperplastic polyps because the crypts do not have histologically serrated changes. HNs often occur in the rectal mucosa and tend to be multifocal. We have proposed a new colitis nucleomigrans (CN) concept as the third type of microscopic colitis. Our histopathological criteria of CN include: i) chained nuclear migration to the middle part of the surface-lining columnar epithelium, ii) apoptotic nuclear debris scattered in the eosinophilic cytoplasm underneath the nuclei, and iii) mild to moderate chronic inflammation in the lamina propria. Immunostaining for cleaved-caspase 3 revealed apoptotic bodies. In this study, we report that most HN lesions share the histological features with CN, representing polypoid CN. We evaluated 108 lesions of HN in total, and 94 (87%) were reclassified as polypoid CN. In the polypoid CN, the lamina propria mucosae were uniformly edematous, suggesting that accelerated apoptosis of the mucosal surface epithelium may cause osmotic dysregulation to form localized mucosal elevations.
Keywords: 
;  ;  ;  ;  

1. Introduction

A variety of colorectal mucosal tumors and tumor-like lesions have been described. The most common benign colorectal mucosal tumors/polyps include adenomas and hyperplastic polyps, which are known as precursor lesions of cancer [1]. Hyperplastic nodules (HNs) are benign elevated lesions of the colorectal mucosa reportedly caused by hyperplasia of the crypt epithelial cells. They are distinct from hyperplastic polyps in that the crypts do not show serrated changes histologically nor possess KRAS/BRAF mutations genetically [2]. HNs have commonly been considered hyperplastic lesions among Japanese gastrointestinal pathologists, although they have not yet been recognized as such worldwide [2]. Uesugi et al. [2] reported that hyperplastic polyps exhibit a neoplastic nature, whereas HNs are nonneoplastic. Most HNs occur in the left side of the large intestinal mucosa and tend to be seen in older men [2].
We have proposed a new colitis nucleomigrans (CN) concept as the third type of microscopic colitis [3,4]. Our histopathological criteria of CN include: i) chained nuclear migration to the middle part of the surface-lining columnar epithelium, ii) apoptotic nuclear debris scattered underneath the migrated nuclei, and iii) mild to moderate chronic inflammation in the lamina propria mucosae [3,4]. There has been no report of CN forming a mucosal polypoid nodule.
The question we raise in this study is this: Are there any CNs that form raised lesions in colorectal mucosal lesions? To answer this question, we performed the present study the purpose of which was to find polypoid CN lesions.

2. Materials and Methods

We describe herein that most HN lesions share histological features with CN, representing a localized polypoid form of CN. Patients with HNs polypectomized between 2020 and 2022 were extracted from a computer file of Shimada General Medical Center, Shimada, Shizuoka, Japan.
We included cases from 2020 because we wanted to examine HN cases after the concept of CN was proposed [3]. Because HNs are a common lesion, the number of cases would be too large and complex to analyze if the collection period was too long, so we limited the period to two years. The criterion for the exclusion of cases from the study was superficial mucosal epithelium that was challenging to observe because of exfoliation due to thermal denaturation during specimen collection.
Data regarding microscopic diagnosis were reviewed in histopathologic reports. Clinical data were obtained from the electronic medical record, including treatment information, history of chemotherapy against malignancies, and history of collagen vascular disease. We collected in total 108 lesions without thermal mucosal damage. Two well-trained diagnostic pathologists (M.T. and H.H.) independently observed the specimens. The diagnostic criteria for CN were based on the report of Tachibana et al., as described above [3,4]. Infranuclear apoptotic bodies were confirmed as diaminobenzidine brown deposits with immunoperoxidase staining for cleaved caspase-3 using a 1:500-diluted rabbit polyclonal antibody available from Cell Signaling Technology, Danvers, MA, USA, as was described earlier [5].
After learning of the diagnostic criteria before observation, two well-trained pathologists (authors M.T. and H.H.) independently searched glass slide specimens collected for this study. The results showed high reproducibility between the two diagnosticians, and no issues required resolution. Although the diagnostic criteria of the polypoid CN appear complex at first glance, we believe that they are relatively simple if one focuses on the location of the nuclei of the mucosal surface epithelium and the presence of apoptotic bodies. Therefore, the diagnostic criteria may not lead to significant interobserver variation.
In the mucosa of polypoid CN, paraffin sections were prepared (3-to-4-μm thickness) and stained using routine methods on VENTANA (Roche, Basel, Switzerland) Autostainer with the following antibodies: CD3 (LN10, Leica Biosystems, Breckland, UK), CD4(1F6, Nichirei Biosciences, Tokyo, Japan), and CD8(C8/144B, Nichirei Biosciences, Tokyo, Japan) was attempted to determine the degree of infiltration of intraepithelial T-lymphocytes (IELs) and whether the number of regulatory T cells was reduced. The nuclei were briefly counterstained with Mayer's hematoxylin. Diaminobenzidine-labeled apoptotic bodies and IELs among surface-lining epithelial cells were quantified as follows: the numbers of cleaved caspase-3-positive apoptotic bodies and CD8-immunoreactive IELs were counted among at least 170 colorectal surface-lining epithelial cells in the most severely involved areas, and the results are expressed as the number per 100 epithelial cells.

3. Results

Between January 2020 and September 2022, 108 colorectal mucosal lesions were endoscopically polypectomized from 108 patients and microscopically diagnosed as HN (M: F ratio = 80:20, median age 72 [range: 38–88]). Ninety-four lesions (87%) represented polypoid CN (right colon: left colon=30:70, M: F ratio = 79:21, median age 71 [range: 38–88] years. Proton pump inhibitors (PPIs) were administered in 22 polypoid CN cases (23%). Three patients (3%) had a history of chemotherapy against malignancies, and three patients (3%) were associated with immune-related disorders.
Grossly, 74 lesions (79%) showed the endoscopic morphology of a 0-Is polyp (Figure 1), whereas some of them had the endoscopic morphology of a 0-Isp polyp (n=12, 13%), 0-IIa polyp (n=7, 7.0%), or 0-Ip polyp (n=1, 1.0%).
Microscopically, the polypoid CN showed prominent edema of the lamina propria mucosae, with features of CN, such as nuclear deviation of the mucosal surface epithelial cells with an eosinophilic cytoplasm beneath the chained nucleus, where apoptotic bodies were scattered (Figure 2). Apoptotic bodies revealing a “debris pattern” (clustered fragments of nuclear debris) beneath the migrated nuclei were consistently immunoreactive for cleaved caspase-3 (Figure 3). In the polypoid CN lesions, cleaved caspase-3-positive apoptotic bodies of the debris type were counted at 10.3 per 100 surface-lining epithelial cells on average (median 9.9, range 1.4–22.6) (data not shown). IELs were immunoreactive for both CD3 and CD8 and were scattered among the polypoid CN lesion (but without significant increase). The average number of CD8-positive IELs was 7.0 per 100 surface epithelial cells (median: 3.6, range: 2.3–17.4) in polypoid CN. In the control group, the mean number of IELs was 18.1 (median: 7.2, range: 4.0–64.9) in collagenous colitis, 7.6 (median: 6.0, range: 0–18.3) in UC in a remission state, and 4.4 (median: 4.2, range: 1.3–7.1) in surgically resected normal colorectal mucosa [3,4].
In contrast to the diagnostic term, hyperplasia of the crypt epithelial cells was minimal in most lesions.

4. Discussion

In the present study, we frequently recognized HNs as a localized polypoid form of CN and found that 87% (94/108) of HNs were reclassified as polypoid CN. To date, no report has mentioned the histology of HN accompanying microscopic features of CN.
In polypoid CN, localized edema of the lamina propria mucosae is evident which probably contributes to the localized mucosal elevation. It can be assumed that this phenomenon is caused by localized dysregulation or alteration of mucosal osmotic pressure due to accelerated apoptosis of the mucosal surface epithelium. We dare to propose “polypoid CN” as a new variant of CN.
The authors showed previously that some cases of CN were suggested to be caused by PPI administration [3,4], and 23% of polypoid CN may also be related to PPI administration in the present study. The conventional diagnosis of HNs is based on the histopathological appearance of the macroscopic polypoid nodules, and the use of polypoid CN as a new diagnostic term will better clarify the pathogenesis of the disease. O’Connell et al. described in 2018 that neonatal-onset chronic osmotic diarrhea was caused by homozygous nonsense WNT2B mutations [6]. In the figure presented by the authors, microscopic features of CN are suggested in the biopsy specimen sampled from the right colon [6]. It is plausible that the pathogenesis of polypoid CN may be related to localized alterations in WNT2B expression. The etiology of microscopic colitis, or CN, remains unsettled. Oral medications suggested as potential triggers include lansoprazole, simvastatin, flutamide, ranitidine, carbanazepin, vinburninem paroxetine, sertraline, penicillin V, pivmecillinam, orlistate, tardyferon, and Cyclo 3 Fort [7]. Autoimmune disorders may be associated with microscopic colitis, ranging from 20–60% for both collagenous and lymphocytic colitis [7].
In the present study, PPI was administered in 23% of polypoid CN cases, and three patients (3%) were associated with immune-related disorders. It has been suggested that the pathogenesis of CN may be related to dysbiosis of the microbiota due to the administration of drugs such as PPIs [3,4]. Also, in the case of polypoid CN, as shown in the present study, there may be a history of administration of PPI and other drugs, chemotherapy for malignant tumors, and autoimmune disease. Therefore, a histopathologic diagnosis of polypoid CN may help the endoscopist to search for background disease and eliminate the cause from the patient, thereby preventing recurrence.
The apoptosis bodies of surface mucosal epithelial cells express CD300a (MAIR-1) and block microbiota signaling via dendritic cells, leading to decreased INFβ and regulatory T cells, which in turn induce colorectal mucosal inflammation [3]. Indeed, the CD4/CD8 ratio was also lower in polypoid CNs than in normal colonic mucosa, suggesting that the number of regulatory T cells was decreased compared to normal (Figure 4). The CD300a inhibitory receptor belongs to the CD300 family of cell surface molecules that regulate a diverse array of immune cell processes [8]. CD300a receptor blocking also enhanced the conversion of CD4-positive T effector cells to their memory phenotypes, i.e., CCR7 (high) CD62L (high) up to 1.6 and 1.9-fold after 14- and 21-days post-infection, respectively. IL-15/IFNβ/IL-21 transcriptional signatures could be linked to transcriptional alterations in risk loci for complex immune diseases [9].
This study has two major limitations. First, it is a small case series from a single institution. Additional clinicopathological analyses, including multicenter studies, are needed to settle the cause and pathophysiology of this perplexing condition. Second, the relationship between polypoid CN and CD300a or INFβ has not been examined. Regarding the relationship between polypoid CN and CD300a, in the future, we would like to collaborate with institutions that have CD300a immunostaining antibodies and conduct a joint study with a facility that has this antibody. Multiple proteins, such as INFβ, can be comprehensively quantified by detecting fluorescently labeled beads using a special flow method. The authors do not possess such an experimental system and thus cannot show the results in this paper. Still, we hope that interested readers of this paper will attempt to quantify the cytokine signature of INFβ, as one example.

Author Contributions

Conceptualization, M.T.; methodology, M.T.; validation, M.T., and H.H.; investigation, M.T., and H.H.; resources, A.Y. and M.M.; data curation, M.T.; writing—original draft preparation, M.T.; writing—review and editing, H.H., and M.M.; supervision, M.M.; project administration, M.M. All authors have read and agreed to the published version of the manuscript.

Funding

This research received no external funding.

Institutional Review Board Statement

The study was conducted according to the guidelines of the Declaration of Helsinki (1975) and approved by the Ethics Committee of Shimada General Medical Center, Shimada, Shizuoka, Japan (ref: R5-13, approval date: October 11, 2023).

Informed Consent Statement

Informed consent was obtained from all subjects involved in the study. Patient intent confirmed by opt-out.

Data Availability Statement

Data is unavailable.

Acknowledgments

The authors thank Mr. Naoki Ooishi, Mr. Takayoshi Hirota, and Mr. Kuniaki Muramatsu (Division of Pathology and Oral Pathology, and Department of the Diagnostic Pathology, Shimada General Medical Center, Shimada, Shizuoka, Japan) for performing immunohistochemical staining; Dr. Hiroto Ishiki (Department of Palliative Medicine, National Cancer Center Hospital, Tsukiji, Chuo-ku, Tokyo, Japan) for his valuable advice in preparing a poster session at the 115th annual meeting of the Japanese Society of Pathology in Sapporo, Hokkaido, Japan; and Prof. Hiroko Tina Tajima (St. Marianna University School of Medicine, Kawasaki, Kanagawa, Japan) for kindly reviewing and editing the English manuscript.

Conflicts of Interest

The authors declare no conflict of interest.

Abbreviations

HN Hyperplastic nodule
CN Colitis nucleomigrans
PPI Proton pump inhibitors
IEL Intraepithelial T-lymphocyte

References

  1. Pai, R.K. (Rish); Mäkinen, M.J.; Rosty, C. Colorectal serrated lesions and polyp. Hamilton, S.R.; Sekine, S. Conventional colorectal adenoma. In Edited by The WHO Classification of Tumours Editorial Board. WHO Classification of Tumours, Digestive System Tumours, 5th ed.; WHO Press: Lyon, France, 2019; p. 163169, 170173. [Google Scholar]
  2. Uesugi, N.; Ajioka, Y.; Arai, T.; Tanaka, Y.; Sugai, T. Clinicopathological and molecular analysis of hyperplastic lesions including microvesicular variant and goblet cell rich variant hyperplastic polyps and hyperplastic nodules. Hyperplastic nodule is an independent histological entity. Pathol. Int. 2022, 72, 128–137. [Google Scholar] [CrossRef] [PubMed]
  3. Tachibana, M.; Hanaoka, T.; Watanabe, S.; Matsushita, M.; Isono, T.; Tsutsumi, Y. Colitis nucleomigrans The third type of microscopic colitis (part 1). Pathol. Int. 2020, 70, 752–760. [Google Scholar] [CrossRef] [PubMed]
  4. Tachibana, M.; Tsutsumi, Y. Colitis nucleomigrans a proposal for the third type of microscopic colitis. Arch. Clin. Med. Case Rep. 2021, 5, 342–354. [Google Scholar] [CrossRef]
  5. Tsutsumi, Y.; Kamoshida, S. Pitfalls and caveats in histochemically demonstrating apoptosis. Acta Histochem. Cytochem. 2003, 36, 271–280. [Google Scholar] [CrossRef]
  6. O’Connell, A.E.; Zhou, F.; Shah, M.S.; Murphy, Q.; Rickner, H.; Kelsen, J.; Boyle, J.; Doyle, J.J.; Gangwani, B.; Thiagarajah, J.R.; et al. Neonatal-onset chronic diarrhea caused by homozygous nonsense WNT2B mutations. Am. J. Hum. Genet. 2018, 103, 131–137. [Google Scholar] [CrossRef] [PubMed]
  7. Chande, N.; Driman, D.K.; Reynolds, R.P.E. Collagenous and lymphocytic colitis: Patient characteristics and clinical presentation. Scand. J. Gastroenterol. 2005, 40, 343–347. [Google Scholar] [CrossRef] [PubMed]
  8. Zenarruzabeitia, O.; Vitallé, J.; Eguizabal, C.; Simhadri, V.R.; Borrego, F. The biology and disease relevance of CD300a, an inhibitory receptor for phosphatidylserine and phosphatidylethanolamine. J. Immunol. 2015, 194, 5053–5060. [Google Scholar] [CrossRef] [PubMed]
  9. Zorro, M.M.; Aguirre-Gamboa, R.; Mayassi, T.; Ciszewski, C.; Barisani, D.; Hu, S.; Weersma, R.K.; Withoff, S.; Li, Y.; Wijmenga, C.; et al. Tissue alarmins and adaptive cytokine induce dynamic and distinct transcriptional responses in tissue-resident intraepithelial cytotoxic T lymphocytes. J. Autoimmun. 2020, 108, 102422. [Google Scholar] [CrossRef] [PubMed]
Figure 1. Endoscopically, most HN lesions reveal 0-Is polyps (arrows). (a)Visual observation finding; (b): narrow-band image.
Figure 1. Endoscopically, most HN lesions reveal 0-Is polyps (arrows). (a)Visual observation finding; (b): narrow-band image.
Preprints 102570 g001
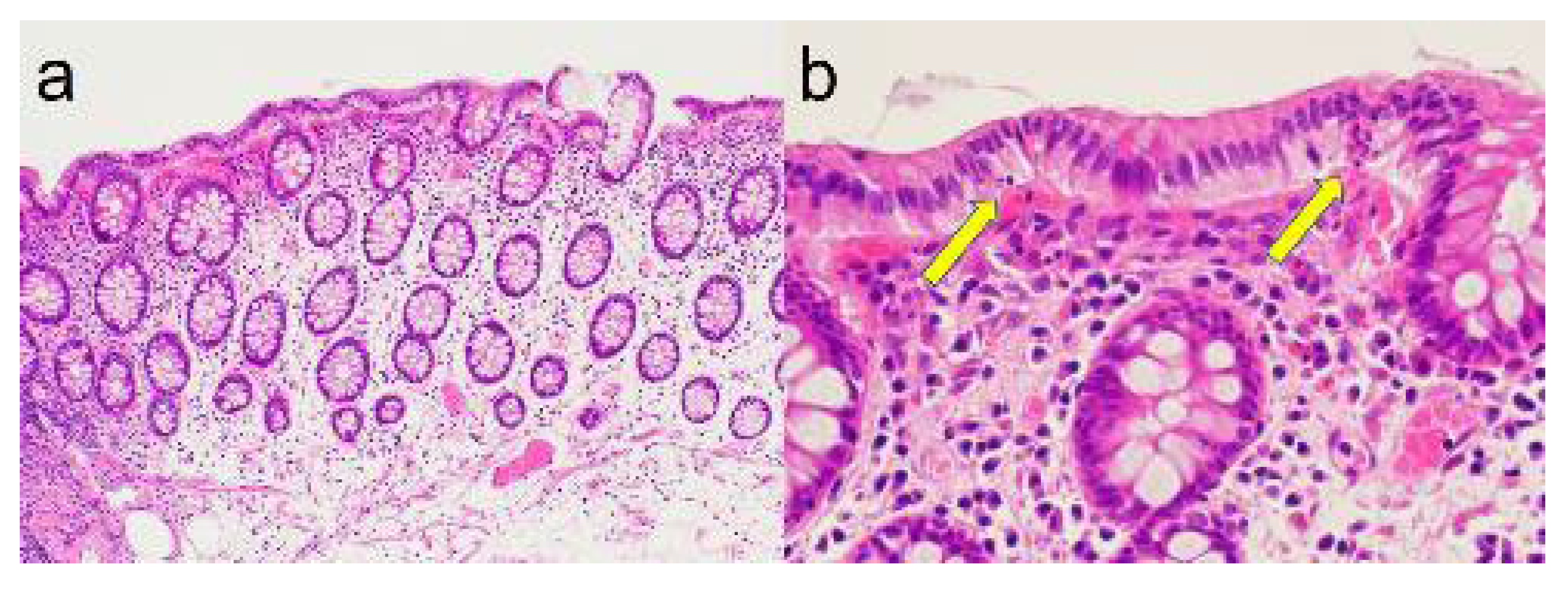
Figure 2. (a) Microscopically, the polypoid CN comprises hyperplastic crypts and does not show serrated change or atypical glands. Localized edema of the lamina propria mucosae is evident (hematoxylin and eosin, 100×). (b) The polypoid CN shows prominent edema in the lamina propria mucosae in association with microscopic features of CN (the nuclear deviation of the mucosal surface epithelial cells and an eosinophilic cytoplasm underneath the chained nuclei, hematoxylin and eosin, 400×). Apoptotic bodies (as a form of nuclear debris) are scattered in the basement membrane side of the surface epithelial cells (arrows).
Figure 2. (a) Microscopically, the polypoid CN comprises hyperplastic crypts and does not show serrated change or atypical glands. Localized edema of the lamina propria mucosae is evident (hematoxylin and eosin, 100×). (b) The polypoid CN shows prominent edema in the lamina propria mucosae in association with microscopic features of CN (the nuclear deviation of the mucosal surface epithelial cells and an eosinophilic cytoplasm underneath the chained nuclei, hematoxylin and eosin, 400×). Apoptotic bodies (as a form of nuclear debris) are scattered in the basement membrane side of the surface epithelial cells (arrows).
Preprints 102570 g002
Figure 3. Apoptotic bodies revealing a “debris pattern” (clustered fragments of nuclear debris) underneath the migrated nuclei are consistently immunoreactive for cleaved caspase-3 (arrows) (cleaved caspase-3, 400×).
Figure 3. Apoptotic bodies revealing a “debris pattern” (clustered fragments of nuclear debris) underneath the migrated nuclei are consistently immunoreactive for cleaved caspase-3 (arrows) (cleaved caspase-3, 400×).
Preprints 102570 g003
Disclaimer/Publisher’s Note: The statements, opinions and data contained in all publications are solely those of the individual author(s) and contributor(s) and not of MDPI and/or the editor(s). MDPI and/or the editor(s) disclaim responsibility for any injury to people or property resulting from any ideas, methods, instructions or products referred to in the content.
Copyright: This open access article is published under a Creative Commons CC BY 4.0 license, which permit the free download, distribution, and reuse, provided that the author and preprint are cited in any reuse.
Prerpints.org logo

Preprints.org is a free preprint server supported by MDPI in Basel, Switzerland.

Subscribe

Disclaimer

Terms of Use

Privacy Policy

Privacy Settings

© 2026 MDPI (Basel, Switzerland) unless otherwise stated