Preprint
Case Report

This version is not peer-reviewed.

Configurational Setup for Fully Robotic Distal Pancreatectomy with Splenectomy Using the Hugo™ RAS and Ligasure™ RAS Maryland: First Case Report (with Video)

Submitted:

02 March 2026

Posted:

03 March 2026

You are already at the latest version

Abstract
Background/Objectives: Fully robotic pancreatic resections using the Hugo™ RAS platform haven’t yet been described in the literature. Methods: A 72-year-old male with a cystic lesion in the pancreatic tail underwent a fully robotic distal pancreatectomy and splenectomy using the Hugo RAS and the newly introduced robotic vessel sealer LigaSure RAS. The proposed configurational setup and technical details are described. Results: The procedure was completed safely without complications, blood loss was <50 ml, total duration of surgery was 305 minutes, console time 195 minutes. The postoperative period was uneventful, and the patient discharged on postoperative day 7. Conclusions: Distal pancreatectomy with the Hugo RAS may be feasible and safe in selected cases.
Keywords: 
;  ;  ;  ;  

1. Introduction

Robotic distal pancreatectomy (RDP) has increasingly been performed over the last decade, especially at dedicated high-volume pancreatic centers [1]. Reported advantages include lower conversion and infection rates, reduced blood loss, shorter hospital stays at the price of longer operative time and costs, compared to open (ODP) and laparoscopic (LDP) surgery [2]. Further, RDP significantly reduces ergonomic stress, procedural effort and frustration, visual strain and cognitive overload of the surgeon compared to LDP [3]. For over two decades the da Vinci™ Surgical System (Intuitive Surgical Inc., CA) has been the only available robotic platform in the field of general and HPB-surgery. Lately, several new surgical robot platforms for clinical practice have become available. The Toumai robotic surgical platform (MicroPort®MedBot™ Group Company, Shanghai, China), the MP series robotic platform (Edge Medical Company, Shenzhen, China) as well as the hinotori™ Surgical Robot System (Medicaroid Corporation, Kobe, Japan) has been used in RDP with success [4,5]. While all these platforms share a da Vinci-like single cart architecture, the Hugo™ RAS System (Medtronic, Dublin, Ireland) offers an open console combined with a modular design of four independent arm carts. It was CE-certified for general surgery in late 2022. Due to the initial limited choice of instruments and lack of experience, early reports on its feasible and safe use focused on hernia repair, bariatric and colorectal surgery [6]. Newly, Nagai et al. reported of having performed the first-ever Hugo RAS-assisted RDP [7]. However, key steps of the procedure were laparoscopically done by the bed assistant using a laparoscopic LigaSure Maryland device, including opening the bursa, mobilization of the splenic flexure and vessel sealing and dissection. Hugo RAS was introduced at our institution in 2022, and we had the opportunity to perform the first general surgical procedures in Germany. Since then, our team has gathered pioneering experience of over 330 Hugo-procedures, which allowed us to establish own standard setups for both upper and lower GI surgery [8]. At the same time with an annual volume of about 400 pancreatic procedures our institution is one of the largest certified pancreatic centers in Germany. This experience and the recent market approval of the newly developed LigaSure™ RAS Maryland by Medtronic offer excellent prerequisites for performing safe pancreatic surgery with the Hugo RAS platform. However, the use of Hugo RAS for pancreatic surgery is still off label, since there is no official certification for HPB surgery by EMA or FDA.
This article aims to describe the configurational setup and technical details of a fully robotic RDP using the Hugo RAS and the newly developed LigaSure™ RAS Maryland vessel sealing device.

2. Materials and Methods

2.1. Patient

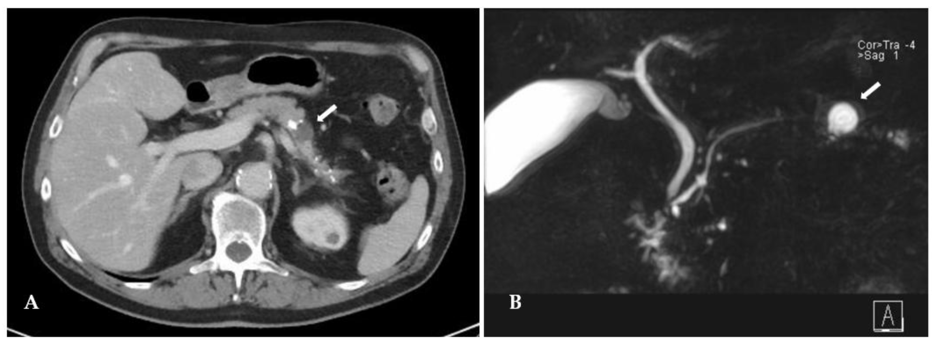
The patient was a 72-year-old man with a body mass index of 25 kg/m² (184 cm, 85 kg) referred to our hospital for evaluation of a cystic lesion of the pancreatic body, incidentally detected on a CT-scan 2 years ago during evaluation of an ulcus of the aortic arch. The patient suffered intermittent episodes of nausea and postprandial epigastric pain, accompanied by 10 kg weight loss over the last 6 months. The lesion grew from 10 mm to 22 mm over 2 years and developed solid enhancing components, seen on CT, MRCP and on endoscopic ultrasonography. Calcifications were present just proximal to the cyst as well as in the pancreatic tail distal to it, which were not present in the pancreatic head (Figure 1). There was no history of alcohol abuse, hypercalcemia, however the patient admitted having been an active chain smoker for over 40 years. Diabetes mellitus was diagnosed two years ago. Tumor markers CA19-9 and CEA were within normal range. The lesion was suspected to be either a side-branch IPMN with worrisome features or a pseudocyst in chronic pancreatic tail pancreatitis. Because of a positive family history for pancreatic cancer the patient declined a wait-and-watch management and was scheduled for a distal pancreatectomy with splenectomy, and a written informed consent was obtained.

2.2. Surgical Setup

The patient was placed in the lithotomy position. Access to the abdomen was achieved in Hasson’s open technique through a vertical incision in the middle line 3 cm above the umbilicus. An 11-mm port was inserted and CO insufflated to a pressure of 12 mmHg. After inspection of the abdominal cavity an 8-mm port was inserted 2 cm below the left costal arch 16 cm apart from the first one, then a second 11-mm port was inserted 3 cm caudal to the midpoint of the first two ports. A second 8-mm port was placed in the epigastric area just to the left of the middle line, 15 cm above the umbilicus. A 12-mm assistant port (Endopath XCEL™, J&JMedtech, USA) was placed in the right upper abdomen at the level of the first trocar and 8 cm apart from it.

2.3. Surgical Procedure

A DP was performed in the clockwise manner in two robotic steps needing one redocking of the system. Both steps were performed using the so-called butterfly-configuration with two arms on each side of the patient (Figure 2).
For step 1 the table was tilted 20° head-up and 20° left-side-up. Arm 1 was appointed to the surgeon’s left hand and carried the bipolar grasper, while arm 2 was appointed to the right hand carrying either the curved monopolar shears or the Ligasure RAS vessel sealer. Arm 3 was connected to the endoscope and arm 4 carried the double fenestrated grasper appointed also to the left hand of the surgeon (Figure 3). During step 1 wide mobilization of the splenic flexure, opening of the omental bursa and division of the short gastric vessels was performed. This allowed an excellent view of the pancreatic body and tail and assessment of the lesion.
Redocking followed for step 2: the table tilt was reduced to 10° head-up and 10° left-side-up. An 8-mm robotic port was inserted in the 12-mm assist port, connected to arm 3 and appointed to the left hand of the surgeon carrying either the bipolar grasper or the Ligasure RAS at a later stage. The endoscope was moved to the supraumbilical port and connected to arm 4. Arm 1 was appointed to the right hand carrying the monopolar shears/Ligasure RAS and arm 2 carried the double-fenestrated grasper as a reverse second right hand to retract the pancreas (Figure 4).
During step 2 the splenic vessels were dissected free under the pancreas, then the splenic artery divided using an Endo GIA Ultra 30 mm white cartridge, the splenic vein divided in the same manner preserving the left gastric and inferior mesenteric veins. The pancreas was divided at the level of its isthmus using a purple cartridge Endo GIA Ultra 60 mm after compressing it for 3 minutes. The pancreatic stump was temporarily covered with a small Tabotamp fleece and a gauze. After that, the pancreatic tail with the spleen was dissected free off the retroperitoneum (suppl. Video 1). Robotic arms were undocked, the supraumbilical incision was increased to 5 cm and a small Alexis wound retractor with a cap inserted. The specimen was retrieved in an Endo Bag through the Alexis retractor (Figure 5). It was then covered again for laparoscopic control of the pancreatic stump, covering it with a Tachsoil fleece, irrigation and drain placement.

3. Results

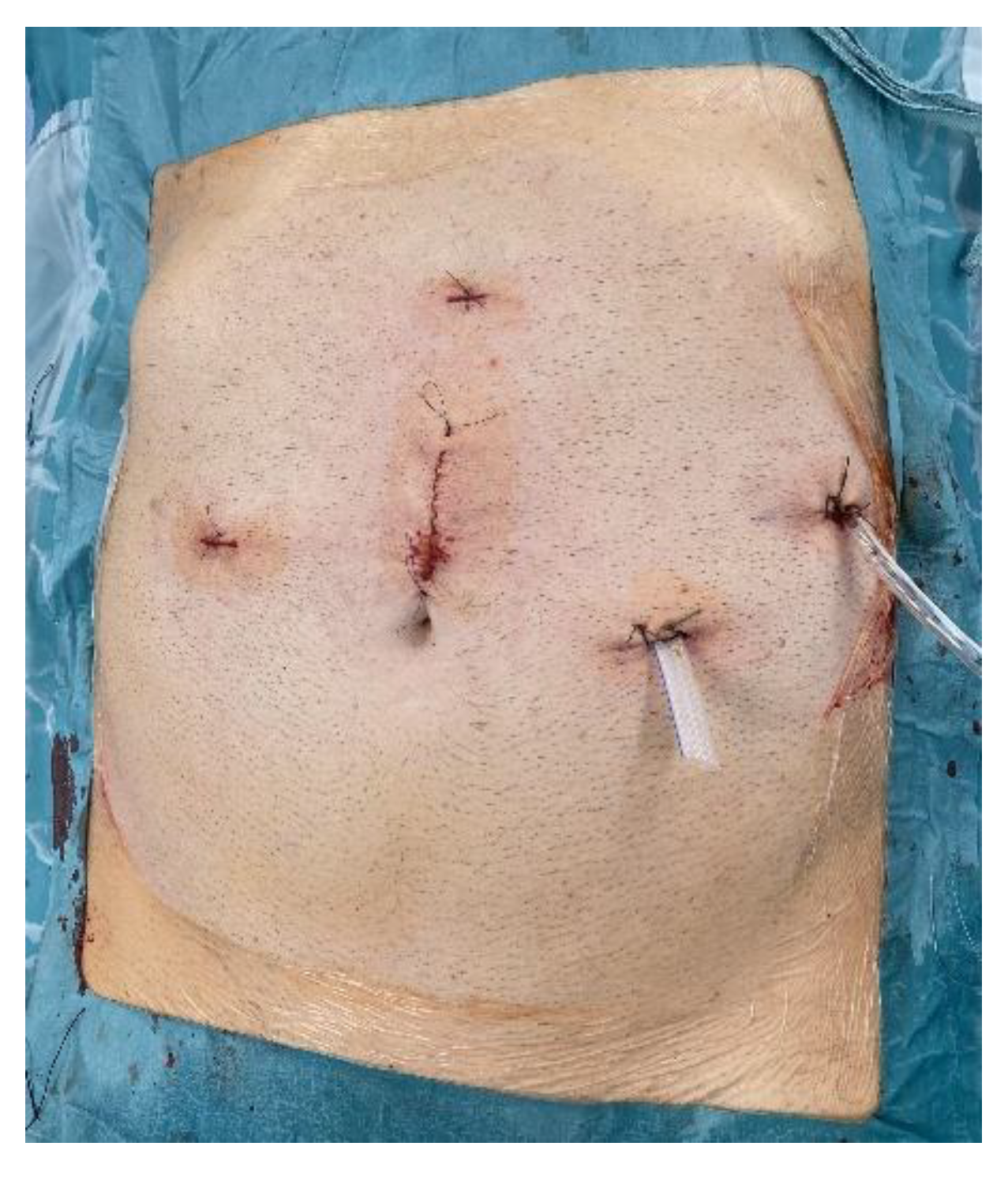
The frozen section confirmed a R0-resection of the lesion and found no malignancy. On final histology a pseudocyst and chronic pancreatitis in the pancreatic tail were reported, no IPMN was detected. The total duration of surgery was 305 minutes, the console time - 195 minutes. Blood loss was less than 50 ml. No device malfunction or arm collisions occurred. There were no perioperative complications; the drains were tested negative for amylase and lipase at days 3 and 5 and consequently removed (Figure 6). The patient recovered fast and was discharged on postoperative day 7.

4. Discussion

A wide range of surgical procedures with the Hugo RAS has been reported in the literature since the introduction of this novel robotic platform in 2022. After initial experience in urology and gynecology, the volume of evidence in the field of general surgery has recently been growing [6,7,8]. The authors of this case report have successfully performed over 330 general surgical procedures with the Hugo RAS, including gastric and upper GI-tumor resections, splenectomies, adrenalectomies, fundoplications, deroofing of liver cysts, cholecystectomies, hernia repairs and the whole spectrum of colorectal resections for benign and malignant disease. At the same time the team has an extensive experience in pancreatic surgery with more than 7000 procedures over the last 20 years and our institution is certified as a high-volume pancreatic center by the German Society of General and Visceral Surgery.
Hugo RAS is still a novel robotic platform, characterized by an open console offering ergonomic and communication advantages for the surgical team. The second specific feature of the system is its modular design with four independent arm carts, which can be positioned virtually anywhere around the table, allowing extreme flexibility and freedom of port and instrument positioning. The most important advantage of Hugo lies in the opportunity to adapt its configuration to the specific characteristics of the patient’s body, the targeted organ and the individual preferences of the surgeon. Drawbacks of the platform include a currently limited choice of instruments, lacking irrigation-suction, clipping and stapling devices. The first generation Ligasure RAS used in this case is not articulated but straight, so it must be moved between arms to allow an optimal working angle and reach. A second generation articulated robotic Ligasure Maryland is in the pipeline but still not available on the market. In the present case the use of Ligasure RAS allowed us to perform a fully robotic distal pancreatectomy. However, the manipulation of the straight instrument was tricky, required application through different arms at different stages and gave a certain laparoscopic flair to the robotic procedure, unfortunately without the haptic feedback.
Some of the technical aspects of the procedure deserve to be addressed separately. Our choice for a lithotomy instead of prone position used by other authors may offer advantage in case of conversion to laparoscopy and does not interfere with the movement of the robotic arms or the position of the bed assistant. An epigastric port is not usually used by us for upper GI surgery with the Hugo; however, in this case we had to position the ports in a line lower than usual to allow for a good reach over the whole upper abdomen. As Hugo instruments are about 10 cm shorter than Da Vinci’s ones the access to the region of the spleen and uppermost short gastric vessels may be an issue, that’s why we chose to have an additional port as high as possible for the first step of the procedure. During the second step we used an 8-in-12 mm port-in-port technique, which is our preferred method to reduce the number of ports in colorectal surgery and works well with the Hugo arms. The robotic port was removed only for the 3 applications of the stapler through the 12 mm port. We also used two 11-mm ports to allow different endoscope positions and thus an optimal view of the surgical field. No Air-Seal access port was used and we never use it with Hugo: exact dissection in the correct anatomic plane and bloodless operative field results in minimal smoke production, which doesn’t interfere with the surgical view. A liver-retractor was also omitted in this case, because of a relatively small left lobe and the intragastric approach. If a Nathanson retractor is needed the insertion place of the epigastric port may be used, however the arm carts of Hugo are quite bulky, and an external retractor may easily interfere with their movement. That’s why we prefer using intracorporeal liver retraction with sutures for robotic upper GI surgery. Another specific feature of our technique is the intentional use of Hugo’s 0° endoscope in all robotic procedures, since it provides a predictable straightforward movement and prevents the carrying arm from extreme positions, thus reducing the risk of arm collisions. Alternatively, a 30° endoscope is available and may be used as a surgeon’s preference. Another major difference from the technique described by Nagai et al. is represented by the arm configuration: we stick to the “butterfly” universal setup for all Hugo RAS procedures, including this pancreatic resection. The 3-1 cart setup used by Nagai et al. is often used by a solid fraction of Hugo-surgeons for various types of procedures to provide more space for the bed assistant. In our opinion the 2-2 set-up offers more freedom and variability for instruments allocation and less arm collisions. Moreover, in fully robotic DP the bed assistant is rarely in the vicinity of the arms.

5. Conclusions

In conclusion we successfully performed a fully robotic distal pancreatectomy with splenectomy with the Hugo RAS implementing the Ligasure RAS. To our knowledge this is the first reported pancreatic resection using the Hugo platform from Europe and second published Hugo RAS RDP after that of Nagai et al. worldwide. As pancreatic surgery is complex and demanding, the regular use of the Hugo RAS platform for such procedures will strongly rely on the introduction of a wide spectrum of advanced robotic instruments at least analogue to the ones of the DaVinci system. Until that time, Hugo robotic assisted surgery of the pancreas will remain an off-label use restricted to a small number of Hugo-experienced, high-volume pancreatic surgeons.

Supplementary Materials

The following supporting information can be downloaded at: https://www.mdpi.com/article/doi/s1.

Author Contributions

Conceptualization, O.B. and W.U.; methodology, O.B., H.S., T.F. and W.U.; writing—original draft preparation, O.B.; writing—review and editing, H.S., T.F. and W.U.; supervision, O.B., W.U., and T. F..; project administration, O.B. and W.U. All authors have read and agreed to the published version of the manuscript.

Funding

This research received no external funding.

Institutional Review Board Statement

Ethical review and approval were waived for this case report, as it did not involve research data and all identifying information was removed.

Informed Consent Statement

Written informed consent has been obtained from the patient to publish this paper.

Data Availability Statement

All raw data analysed and presented in this article are available and saved on the data server of Katholisches Klinikum Bochum and access may be requested at any time by addressing the corresponding author.

Acknowledgments

The authors gratefully appreciate the full support of our dedicated robotic team of nurses Kim Lara Cardone, Ulrike Butz, Lydia Herdt, Antonia Willemsen and Beate Gatner-Pytlasinski.

Conflicts of Interest

H.S. does not have any conflicts of interest. O.B. and W.U. contribute to the advisory board of Medtronic. O.B. and T.F. have received consultant and proctor honoraria from Medtronic and Touch Surgery.

References

  1. Foroutani, L; Gonzalez, A; Wang, JJ; Aburayya, BI; Ganjouei, AA; Feng, J; Thornblade, LW; Hirose, K; Maker, AV; Nakakura, E; Corvera, CU; Alseidi, A; Adam, MA. Minimally Invasive Distal Pancreatectomy as the Standard of Care in the US: Are We There Yet? Cancers (Basel). 2025, 17, 3015. [Google Scholar] [CrossRef] [PubMed]
  2. Wang, J; Liu, Y; Wu, Y. Comparison of the perioperative outcomes of robotic vs. open distal pancreatectomy: a meta-analysis of propensity-score-matched studies. Front Surg. 2025, 12, 1611773. [Google Scholar] [CrossRef] [PubMed]
  3. De Pastena, M; Paiella, S; Esposito, A; Venturini, E; Vedovi, E; Strazzer, M; Caselli, C; Malleo, G; Lionetto, G; Pea, A; Landoni, L; Danese, E; Salvia, R. Minimally invasive Distal Pancreatectomy eRgonOMic analysis - the DP-ROM trial: An explorative, prospective, observational, cohort study trial. Surg Endosc. 2025, 39, 8702–8709. [Google Scholar] [CrossRef] [PubMed]
  4. Chen, WB; Zou, WB; Zhang, M; Leng, JJ; Zhang, C; Du, JD; Hu, YR; Wang, DW; Ye, JF; Zhu, W; Zhang, TQ; Peng, L; Feng, J; Zhang, C; Chai, WG; Yang, J; Lu, HF; Zhao, GD. Robotic hepatobiliary and pancreatic surgery using the chinese domestic robotic platforms: a multicenter retrospective cohort study on prospectively collected data. Int J Surg. 2025. [Google Scholar] [CrossRef] [PubMed]
  5. Ide, T; Egawa, N; Ito, K; Tanaka, T; Noshiro, H. Robotic distal pancreatectomy using a novel surgical robot platform "hinotori™" (with video). J Hepatobiliary Pancreat Sci. 2025, 32, 415–417. [Google Scholar] [CrossRef] [PubMed]
  6. Romero-Marcos, JM; Sánchez-Romero, A; González-Abós, S; Cuenca-Gómez, C; Sánchez-Guillén, L; Sampson-Dávila, JG; Altet-Torné, J; Arroyo-Sebastián, A; Delgado-Rivilla, S. Application of the Hugo™ RAS robotic system in general surgery: a scoping review. J Robot Surg. 2025, 19, 289. [Google Scholar] [CrossRef] [PubMed]
  7. Nagai, K; Yamane, K; Sato, A; Nishino, H; Nishio, T; Sakamoto, K; Ogiso, S; Uchida, Y; Ito, T; Ishii, T; Hisamori, S; Obama, K; Hatano, E. Robot-Assisted Distal Pancreatectomy Using the Hugo RAS System via the Supragastric Approach: First Nationwide Case Report (With Video). Asian J Endosc Surg. 2026, 19, e70239. [Google Scholar] [CrossRef] [PubMed]
  8. Belyaev, O; Fahlbusch, T; Slobodkin, I; Uhl, W. Use of HugoTM RAS in General Surgery: The First 70 Cases at a German Centre and a Systematic Review of the Literature. J Clin Med. 2024, 13, 3678. [Google Scholar] [CrossRef] [PubMed]
Figure 1. Preoperative CT (A) and MRCP (B) images of a cystic lesion (white arrow) in the pancreatic body.
Figure 1. Preoperative CT (A) and MRCP (B) images of a cystic lesion (white arrow) in the pancreatic body.
Preprints 201080 g001
Figure 2. Operating room with docked robotic arms of the Hugo RAS.
Figure 2. Operating room with docked robotic arms of the Hugo RAS.
Preprints 201080 g002
Figure 3. Configurational setup for step 1 of RDP with the Hugo RAS.
Figure 3. Configurational setup for step 1 of RDP with the Hugo RAS.
Preprints 201080 g003
Figure 4. Configurational setup for step 2 of RDP with the Hugo RAS.
Figure 4. Configurational setup for step 2 of RDP with the Hugo RAS.
Preprints 201080 g004
Figure 5. View of ports and wound retractor during specimen extraction (A); specimen consisting of pancreatic tail, spleen and omentum (B); cut surface of the cystic lesion (C).
Figure 5. View of ports and wound retractor during specimen extraction (A); specimen consisting of pancreatic tail, spleen and omentum (B); cut surface of the cystic lesion (C).
Preprints 201080 g005
Figure 6. Final view of abdomen with inserted drains at the end of surgery.
Figure 6. Final view of abdomen with inserted drains at the end of surgery.
Preprints 201080 g006
Disclaimer/Publisher’s Note: The statements, opinions and data contained in all publications are solely those of the individual author(s) and contributor(s) and not of MDPI and/or the editor(s). MDPI and/or the editor(s) disclaim responsibility for any injury to people or property resulting from any ideas, methods, instructions or products referred to in the content.
Copyright: This open access article is published under a Creative Commons CC BY 4.0 license, which permit the free download, distribution, and reuse, provided that the author and preprint are cited in any reuse.
Prerpints.org logo

Preprints.org is a free preprint server supported by MDPI in Basel, Switzerland.

Subscribe

Disclaimer

Terms of Use

Privacy Policy

Privacy Settings

© 2026 MDPI (Basel, Switzerland) unless otherwise stated