Preprint
Article

This version is not peer-reviewed.

Genetic Stability and Molecular-Based Environmental Safety Assessment of Transgenic Rice Harboring the HN Gene of Chicken Newcastle Disease Virus

Submitted:

02 March 2026

Posted:

03 March 2026

You are already at the latest version

Abstract
Based on a previously validated head-to-tail dimer vaccine model, we designed a dimeric form of the Newcastle disease virus (NDV) HN protein expressed in rice endosperm (designated as Osr2HN) and initially characterized its molecular expression profile. Previous immunization studies in chickens demonstrated that two doses (0.5 μg) or a single dose (5 μg) of Osr2HN provided complete protection against viral challenge. To facilitate its commercialization, two transgenic rice lines (HN-1 and HN-2) were propagated for three generations to systematically evaluate their molecular characteristics, genetic stability and environmental safety. Insertion site analysis, combined with PCR, qRT-PCR and western blotting, confirmed that the exogenous HN gene was stably integrated into the nuclear genome without sequence variations. The transgenic lines exhibited germination rates, growth cycles and 12 agronomic traits comparable to those of the wild-type TP309, with the exception of increased grain chalkiness in HN-2. No horizontal transfer of the HN gene to weed species was detected, and pollen viability remained unchanged. Field-based biodiversity analysis revealed no adverse effects of the HN gene on pest or weed communities. Collectively, these findings from comprehensive molecular analyses and field evaluations confirm the genetic stability, agronomic performance, and environmental safety of Osr2HN-transgenic rice, providing essential data to support its commercialization as a plant-derived vaccine platform.
Keywords: 
;  ;  ;  ;  ;  

1. Introduction

Newcastle disease (ND), also known as Asian fowl plague or pseudofowl plague, is an acute, highly contagious viral disease of poultry caused by Newcastle disease virus (NDV)[1]. It is classified as a Category A animal disease by the World Organization for Animal Health (WOAH) and a Category I animal disease in China, reflecting its significant impact on poultry health and the economy worldwide. NDV possesses two major surface glycoproteins: the fusion (F) protein and the hemagglutinin-neuraminidase (HN) protein[2,3,4]. HN plays a dual role in receptor recognition and membrane fusion, and serves as a key immunogenic protein, making it an attractive target for vaccine development[5,6,7].
Currently, commercial ND vaccines mainly include inactivated vaccines, live attenuated vaccines and viral vector vaccines[8,9,10,11,12,13,14]. However, due to the genetic diversity and continuous evolution of NDV, especially the widespread prevalence of type VII strains, these traditional vaccines have poor antigenic matching and cross-protection rates are often less than 30%[15,16,17,18,19]. In addition, these vaccines require cold chain storage and transportation and involve multiple immunization procedures, which together increase costs and limit large-scale application[20]. Although ND vaccines have been used for decades, no subunit vaccines have been approved to date, which highlights the urgency of developing a new generation of vaccines that need to have higher safety, efficacy, affordability and genotype coverage[18,21].
Academician Zhang Gaiping’s team recently published a research paper in the internationally renowned journal PNAS titled “A universal design of restructured dimer antigens: Development of a superior vaccine against the paramyxovirus in transgenic rice,” which provides new insights into Newcastle disease vaccine development[22,23]. The study proposes a universal “head-to-tail” dimeric vaccine antigen model. Using the hemagglutinin-neuraminidase (HN) protein, the receptor-binding protein of Newcastle disease virus (NDV), a member of the Paramyxoviridae family, as an example, they successfully produced a highly effective recombinant antigen, Osr2HN, using a rice endosperm expression system. This study highlights the potential of rice-based vaccine production platforms. In recent years, plant bioreactors have made significant progress in several areas[24,25,26]. Plant bioreactors are capable of producing a wide range of products, such as plant tissues that can be processed for oral delivery of food proteins, which can also reduce downstream processing[27,28,29,30,31,32]. Rice (Oryza sativa L.) is a well-established model organism for functional genomics research [33]. It exhibits high yield and broad adaptability, and possesses a mature genetic engineering system, making it a strategic candidate for molecular agriculture[34]. Compared to microbial or animal cell-based systems, rice endosperm bioreactors offer unique advantages, including genetic stability, scalability, low production costs, and the potential for oral vaccine delivery without cold chain reliance. Indeed, recent advances in transgenic rice technology have enabled high-level expression of a variety of recombinant proteins, including vaccines, antibodies, and therapeutic peptides[34,35,36,37].
However, the commercialization of plant-derived vaccines faces significant challenges. The stability of transgenic lines must be verified across multiple generations, and comprehensive assessments of genetic stability, agronomic performance, and biosafety are essential. In particular, issues such as transgenic stability, environmental biosafety, gene flow, and ecological impacts must be addressed to meet regulatory standards and gain public acceptance.
Building on our previous success in expressing highly active NDV HN antigens in rice endosperm, this study aimed to systematically evaluate transgenic rice carrying HN vaccine antigens. Specifically, we focused on three key aspects: (i) multigenerational genetic stability, (ii) molecular-based environmental safety assessment, and (iii) agronomic adaptability and phenotypic performance. These studies will provide critical data for the development and eventual commercialization of rice-based NDV subunit vaccines and will facilitate the establishment of an intermediate testing system for plant-derived vaccines. Therefore, this study aimed to provide essential data to support the acceleration of transgenic rice commercialization by evaluating the genetic stability, agronomic traits, and safety of rice containing the HN antigen and to establish an intermediate testing system.

2. Materials and Methods

2.1. Plant Materials and Measuring Tool

In this study, The HN protein of NDV was successfully constructed and expressed using a rice endosperm reactor. After a long period of screening, two transgenic rice strains, HN-1 and HN-2, were obtained; HN-1 and HN-2 belong to independent transgenic rice strains. All the experimental data were generated based on HN-1 and HN-2. Taipei 309 (TP309) was used as a control variety. For details, please refer to this article[22]. EACKER straightedge (product no. 713319 3m) and electronic vernier calipers (model no. DL91150) were used as the measuring tools.

2.2. Insertion Site Analysis

Young leaves of rice seedlings from generations T1, T2, and T3 were collected, sprayed with sterile water, dried with absorbent paper, and placed into 50 mL Eppendorf tubes. They were immediately frozen in liquid nitrogen for 10 minutes and transported on dry ice to Wuhan Benagen Technology Co, Ltd for insertion site analysis.

2.3. DNA Extraction from Rice Leaves and Spikes

Panicle tissues were randomly collected from transgenic rice strains (generations T1–T3) and TP309 rice plants at the anthesis stage. The collected panicle tissues and weeds samples were quick frozen in liquid nitrogen, transported to the laboratory on dry ice, and stored at -80 ℃ for DNA extraction. Weeds around the experimental fields were collected and preserved using the same method. For each generation, 6 samples were collected respectively for panicles of different transgenic rice varieties and for weeds from different areas around the corresponding paddy fields. DNA samples were extracted from flowering rice spike tissues of T1-T3 generation transgenic rice strains and TP309 plants, which were stored at -80 ℃. DNA extraction was performed using the FastPure® Plant DNA Isolation Mini Kit (DC104-01, Vazyme), following the manufacturer’s instructions. The extracted DNA was stored at -20 ℃. DNA from surrounding weeds was extracted using the same procedure. PCR analysis was used to detect the inheritance of the target gene. Primers sequences specific to the HA gene are listed in Table 1-1 and the PCR reaction system is shown in Table 1-2. The optimal reaction conditions for PCR were as follows: (1) pre-denaturation at 95℃ for 5 min; (2) 35 cycles of amplification at 90 ℃ for 30 s, 60 ℃ for 20 s, and 72 ℃ for 30 s; (3) final extension at 72 ℃ for 5 min; (4) storage at 16 ℃. PCR products were analyzed by agarose gel electrophoresis.

2.4. Acquisition and qRT-PCR Detection of cDNA in Rice Leaves

Rice leaves of T1-T3 generation plants of HN-1 and HN-2 transgenic strains and rice leaves of TP309 strain were randomly selected at the rice poplar flowering stage, with at least three strains in each group. After the rice leaves were removed, they were immediately snap-frozen in liquid nitrogen, transported from Xinjiang to the laboratory by dry ice transport, and stored at -80 ℃ for subsequent experiments. Total RNA was extracted using the FastPure® Universal Plant Total RNA Isolation Kit (Cat: RC411-01, Vazyme). cDNA was sythesized via reverse transcription using the HiScript® II Q RT SuperMix for qRT-PCR (+gDNA wiper) (Cat: R223-01, Vazyme), following the manufacturer’s instructions. The cDNA extracted from leaves of T1–T3 generation transgenic rice and TP309 was used as the template, and was amplified by qRT-PCR using primer pairs for the target genes. The primers used were listed in Table 1-1, and the qRT-PCR reaction system is shown in Table 1-3. The relative expression levels of the exogenous gene in leaves was determined using the 2-ΔΔCt method. Using gene eIF4A as an internal reference. At least three replicate experiments were performed for each sample.

2.5. Western Blot

(1) To assess the expression of the HA protein in mature rice seeds at the protein level, T1-T3 generation transgenic seeds and TP309 seeds, which were harvested simultaneously and stored under identical conditions were used. Seeds from different strains were ground into powder, then mixed with extraction buffer (50 mM Tris with 10 mM NaCl, 1mM EDTA pH9.0) at a ratio of 1:5 (w/v, g·mL-1). The mixture was stirred for 1.5 h, followed by centrifugation at 9000 rpm for 30 min at 4 ℃.
(2) The resulting supernatant was collected take 30μL of the supernatant into 7.5μL of 5×Loadding buffer in a 1.5 mL EP tube, boil in a metal bath at 100 °C for 10 minutes, and finally centrifuge at 12,000 rpm for 2 minutes to the samples.
(3) Place the pre-prepared 10% protein gel in the electrophoresis tank and add 1×SDS electrophoresis buffer solution that covers the sample loading hole. Add the prepared sample to each well. Ar 10-180 kDa Prestained Protein Marker were purchased from Henan Xianyan Biotech Co.,Ltd. (Cat. No. ArP01201) and 180 kDa Prestained Protein Marker were purchased from Vazyme (MP102-01) as indicator markers.
(4) At 80V for 30 minutes, let the sample run to the separation gel. Then adjust the voltage to 120V for 75 minutes until the bromophenol blue indicator runs out of the bottom of the gel. Next, transfer printing is carried out to prepare the sandwich. In the order of filter paper - protein gel - nitrocellulose (NC) membrane- filter paper, air bubbles are expelled during the layer-er-layer accumulation process to ensure that the several components are fully bonded together.
(5) After adding the transfer buffer, transfer was carried out for 95 minutes under the maximum voltage of 300V, 250mA and constant current conditions.
(6) After the transfer was completed, remove the instrument and place the protein membrane in an incubation box containing 5% skimmed milk and block it at room temperature for 1 hour.
(7) After the blocking is completed, The NC membranes washed once by TBST and incubate with the H9N2 AIV-positive chicken serum (gifted by Henan Qixiang Biological Technology Co., Ltd. and storage in the laboratory) was 500-fold diluted and used as primary antibody incubate at room temperature for 1 hour, and wash with TBST three times, each time for 5 minutes;
(8) Subsequently,the NC membranes were incubated with secondary antibody diluted with 5% skimmed milk (The secondary antibody was HRP, Goat Anti-Chicken IgG purchased from Abbkine, Cat# No.A21080), was 5000-fold diluted and used as secondary antibody.
(9) incubated at room temperature for 1 hour.After washed by TBST three times, evenly add the chromogenic solution (ECL chemiluminescence Kit, NCM Biotech‌, Cat# P10100) onto the membrane, take photos and save the images.

2.6. Test Strips for Detecting Antigen Content in Rice

Antigenic titres were determined in three consecutive generations in HN-1 and HN-2 transgenic rice strains. Immunochromatographic test strips (coated by HN specific antibody) developed in the laboratory were used to detect the HA antigen in harvested rice seeds. Rice extracts were prepared by mixing the ground seeds with extraction buffer (25mMPB+200mMNaCl pH5.7) at a mass-to-volume ratio of 1:5 (w/v), followed by stirring at room temperature for 2h. The mixture was then centrifuged at 9,000 rpm and 4 °C to collect the supernatant, referred to as the 2^0 dilution. The extracts were subsequently diluted by serially dilution and used in antigen detection assays.

2.7. Evaluation of Germination and Seedling Emergence Rates

The materials used for evaluating germination and seedling emergence included T1-T3 generation transgenic strains and TP309 seeds harvested simultaneously and stored under identical conditions. 100 seeds were randomly taken from each srain and first placed in a 37 ℃ thermostat for 48 hours and subsequently transferred to 50 ml conical flasks and soaked in water at 25 ℃ in the dark for 36 h. The water was replaced every 12 h to maintain cleanliness. After soaking, the seeds were transferred to 9-cm glass Petri dishes lined with moistened sterile filter paper and incubated at 37℃ until radicle emergence. Once more than 80% of the seeds showed radicle protrusion through the seed coat, they were transferred to a 25 ℃ incubator and moistened regularly to promote germination. Germination was assessed every 12 h and recorded when radicles and shoots were visible. When the shoot reached half the grain length, the seeds were transplanted into moist nutrient soil in the culture room at 28 ℃ during the day and 25 ℃ at night, with a 14 h light/10 h dark photoperiod, 65% RH (Relative Humidity). Seedling emergence data were collected and recorded. Throughout the experiment, the seeds were kept consistently moist. Germination and seedling emergence rates were calculated as percentages. Germination data and seedling emergence data were both recorded consecutively three times, and the experimental results were expressed as percentages.

2.8. Developmental Cycle Analysis

The developmental cycle analysis was performed using T1-T3 generation transgenic rice strains and TP309 control seeds harvested simultaneously and stored under uniform conditions. Seeds were sterilized and germinated in medium. Post-germination, seedlings were transferred to a culture room and then potted in soil. After 20 days, the seedlings were transplanted uniformly to the outdoor field in two strains, HN-1 and HN-2 (Total land length 30 metres, width 20 metres), with a spacing of 50 cm between the different generations and cultivated under adequate irrigation. The developmental cycle was monitored, tracking both vegetative and reproductive growth stages, with the spikelet stage marking the transition between these phases.

2.9. Evaluation of Comprehensive Agronomic Traits

A comprehensive evaluation of agronomic traits related to growth patterns was conducted on transgenic rice strains of the T1-T3 generations at the full maturity stage—which is defined as the period when over 90% of the glumes turn yellow and the basal seeds harden and become resistant to breakage. At this stage, rice spikes from each strain were collected into the corresponding numbered seed bags. After sun-drying for 3 days under outdoor conditions, agronomic traits related to spikes and grains were measured.
The recorded agronomic traits related to growth pattern and their specific definitions were as follows: plant height, defined as the distance from the base of the plant to the tip of the second tallest leaf; effective tillers, referring to the number of tillers bearing spikes with more than five mature seeds, counted from the base upward; flag leaf length, measured from the base to the tip of the flag leaf; flag leaf width, indicating the maximum width of the flag leaf; and single-plant mass, which refers to the mass of the entire plant (with roots) after cleaning and blotting dry with a paper towel to remove surface moisture.
The relevant agronomic traits recorded for rice spikes and their specific definitions were as follows: effective spike number, defined as the number of spikes with more than five mature grains per plant; spike length, the distance from the neck node to the tip of an effective spike; effective spike mass, the mass of the effective spike on a single plant; grain number per spike, the total number of grains in an effective spike; fruiting rate, the percentage of filled grains in an effective spike; grain density, the number of grains per centimeter of spike length; and thousand-grain mass, the mass of 1,000 filled grains.
The recorded seed quality traits and their specific definitions were as follows: brown rice percentage, the ratio of brown rice mass (after hull removal) to the total grain mass (before hull removal); grain length, the average length of 10 grains; grain width, the average width of 10 grains; grain thickness, the average thickness of the rice grains; and chalkiness, the proportion of the white, opaque portion in the rice grain, calculated based on the chalkiness rate under fluorescent light and the average area of the chalky portion.

2.10. Scanning Electron Microscopy Observation of Rice Seeds

Three seeds were randomly selected from each of the different transgenic rice varieties across three generations. Intact grains were gently fractured using tweezers to expose a flat cross-section as uniformly as possible. The cross-sections were mounted on sample stubs with the exposed surface facing upward and then coated with platinum using an ion sputter coater (Cressington 108 Auto). Morphology and particle size of starch granules were examined using an environmental scanning electron microscope (FEI, Model Q45). Multiple observation areas were randomly selected and imaged.

2.11. Identification of Pollen Viability Using the Iodine-Potassium Iodide Staining Method

At the early flowering stage of transgenic rice strains from the T1-T3 generations, mature anthers were collected from the upper, middle, and lower parts of panicles. Three samples were randomly collected from each variety of transgenic rice stains.. These anthers were left at room temperature for 0h, 3h, and 6h, respectively, then transferred onto microscope slides. Each anther was gently crushed with forceps, and 1-2 drops of 1% K-KI solution were added using a Barton’s dropper to fully release the pollen grains. A coverslip was placed over the sample and gently pressed with forceps, followed by a 2-3 min staining. A 10x microscope objective was used to observe randomly selected fields to examine anther morphology and record the proportion of mature anthers. The results were used to assess differences in pollen viability between transgenic strains and the recipient variety.

2.12. Field Biodiversity Evaluation

Field insect diversity survey: When the T3 generation rice cultivated outdoors reached the milky stage, three consecutive rain-free days were selected for sampling. Sticky traps were placed around each rice strain plot, with three random sampling points per strain and two sticky traps at each point. After three days, the sticky traps were collected, and the trapped insects were identified and counted to provide a preliminary assessment of pest presence during the reproductive growth stage. Field plant diversity survey: For the rice cultivated outdoors, plant diversity was surveyed at the tillering stage (immediately after transplanting) and at maturity. At each stage, 3-5 plots per strain were randomly selected. All plants within a 0.25 m² area (50 cm × 50 cm) surrounding each plot were collected, and their species diversity and biomass were recorded to preliminarily assess changes in plant diversity before and after planting of the transgenic materials.

2.13. Statistical Analysis

Data are presented as the mean ± standard error of the mean (SEM). All experiments were conducted under a single-variable design, and P values were calculated using ordinary one-way analysis of variance (ANOVA) with α set to 0.05. All experiments were set up with at least three biological replicates. All data were verified using GraphPad Prism version 8.0 and met the normality of the data and equal variances tested. All graphs were generated using GraphPad Prism version 8.0

3. Results

3.1. Analysis of the Insertion Sites of Exogenous Genes in Transgenic Rice

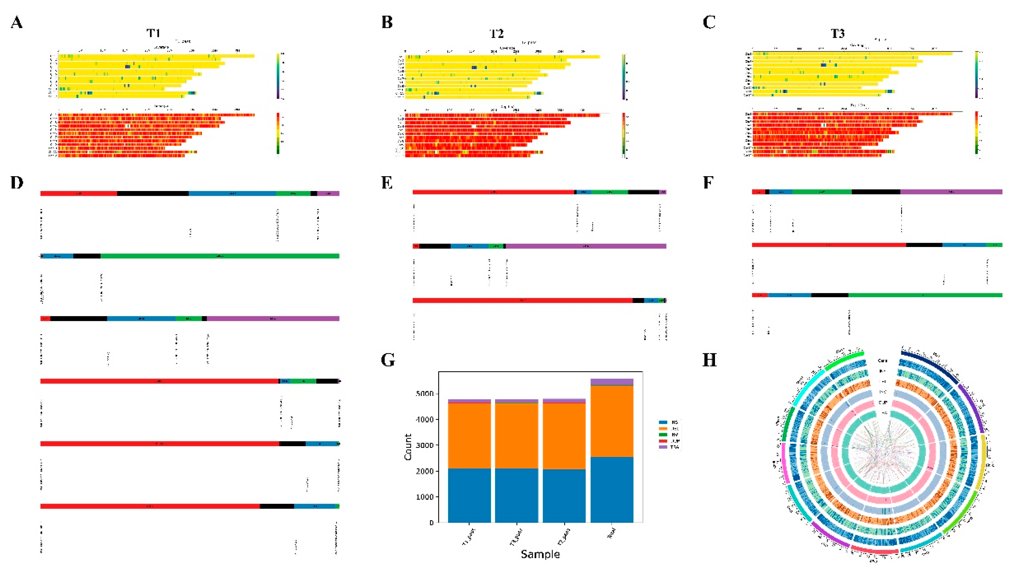
The reference genome size for gene sequencing was 385.71M. The comparison rates of the three samples ranged from 96.22% to 99.78%, coverage of the reference genome ranged from 98.31% to 98.38%, and the average sequencing depth ranged from 25.491X to 39.316X. The insertion sequences in all three samples were integrated into the nuclear chromosomes of the cells (Figs 1A-1C). A comparison of different reads indicated that all three samples exhibited chromosomal translocations relative to the parental genome. Specifically, the regions from 32,680,503 to 32,681,743 bp on chromosome 1 (Chr1) were translocated to Chr3. This translocation allowed for the identification of the upper and lower boundaries of the insertion site on Chr1 and Chr3, respectively. The upper boundary of the insertion on Chr1 was 32,681,743 bp, whereas the lower boundary of the insertion on Chr3 was 31,802,579 bp (Figs 1D-1F). The insertion intervals at the upper and lower borders within the genes were as follows: the upper boundary at Chr1:32,681,743 was located within the gene AGIS_Os01g048210 (Chr1:32, 681, 631–32, 683,642), and the lower boundary at Chr3:31,802,579 was found in the gene AGIS_Os03g046780 (Chr3:31,793,752–31,802,369) as well as in the gene AGIS_Os03g046790 (Chr3:31,803,572–31,804,793). Based on the available sequencing data, the three samples were analyzed using deep variant comparisons of the on-target reads for the upper exogenous sequences, and no variants were identified (Figs 1G and 1H).
Figure 1. Analysis of shoot leaf insertion sites in rice seedlings of T1, T2 and T3 generations. Figs (A), (B) and (C) Average sequencing depth as well as coverage of each window within the genome corresponding to the T1, T2 and T3 generation. Figs (D), (E) and (F) Comparison plot of reads supporting exogenous sequence insertion. Figure (G) Frequency distribution of structural variants across samples. Figure (H) Distribution of each type of structural variation across the genome. Note: INS: insertion, DEL: deletion, INV: inversion, DUP: duplication, TRA: interchromosomal translocation.
Figure 1. Analysis of shoot leaf insertion sites in rice seedlings of T1, T2 and T3 generations. Figs (A), (B) and (C) Average sequencing depth as well as coverage of each window within the genome corresponding to the T1, T2 and T3 generation. Figs (D), (E) and (F) Comparison plot of reads supporting exogenous sequence insertion. Figure (G) Frequency distribution of structural variants across samples. Figure (H) Distribution of each type of structural variation across the genome. Note: INS: insertion, DEL: deletion, INV: inversion, DUP: duplication, TRA: interchromosomal translocation.
Preprints 201021 g001

3.2. Analysis of the Genetic Stability of Exogenous Genes at the DNA, RNA and Protein Levels

The presence of exogenous genes HN-1 and HN-2 in the TP309 and T1-T3 generation transformant lines was detected using polymerase chain reaction, with DNA extracted from the rice spike (Figs 2A and 2C) and leaf tissue (Figs 2B and 2D) of each strain as templates. The exogenous HN gene was stably expressed throughout the T1-T3 generations. The relative expression levels of the exogenous genes HN-1 and HN-2 in the TP309 and T1-T3 generation transformant lines were assessed by quantitative reverse transcription polymerase chain reaction, using complementary DNA derived from the leaf tissues of each strain obtained through reverse transcription as a template. HygR served as an endogenous gene and the expression levels of exogenous genes in the rice spike tissues of TP309 were used as a baseline reference. All exogenous insertion genes were expressed in the leaf tissues of HN-1, HN-2 at levels ranging from approximately 8- to 400-fold (Figs 2E, 2F and 2G), demonstrating that the exogenous HN gene can persist across different strains of multi-generation transgenic rice.The chicken Newcastle disease virus HN protein was consistently expressed across all three generations of the transgenic line, as confirmed by western blotting (Figs 2H and 2I). In addition, the antigen titers of different generations of HN were evaluated using a test paper, revealing a relatively stable titer, which was maintained at 2^9 (Figure. 2J). Insertion site analysis, DNA, mRNA and protein levels confirmed that the HN protein of Newcastle Disease Virus (NDV) was stably present in the transgenic line.
Figure 2. Stable presence of HN gene in transgenic rice detected by PCR across generations. (A,B) PCR (amplicon size: 1138 bp) was used to detect HN genes in rice leaves at the flowering stage and in rice spikes in different generations from HN-1. M is marker size, which refers to the size of the DNA fragments; T11–T16 denote six randomly selected rice strains from generation T1, T21–T26 denote six randomly selected rice strains from generation T2, T31–T36 denote six randomly selected rice strains from generation T3, TP indicates TP309, + indicates positive plasmid. (C,D) PCR (amplicon size: 1138 bp) was used to detect HN genes in rice leaves at the flowering stage and in rice spikes in different generations from HN-2.
Figure 2. Stable presence of HN gene in transgenic rice detected by PCR across generations. (A,B) PCR (amplicon size: 1138 bp) was used to detect HN genes in rice leaves at the flowering stage and in rice spikes in different generations from HN-1. M is marker size, which refers to the size of the DNA fragments; T11–T16 denote six randomly selected rice strains from generation T1, T21–T26 denote six randomly selected rice strains from generation T2, T31–T36 denote six randomly selected rice strains from generation T3, TP indicates TP309, + indicates positive plasmid. (C,D) PCR (amplicon size: 1138 bp) was used to detect HN genes in rice leaves at the flowering stage and in rice spikes in different generations from HN-2.
Preprints 201021 g002
Figure 3. HN gene in the leaves of transgenic rice at the flowering stage by q-PCR. (AC) T1, T2, and T3 generations, respectively. HN-1 and HN-2 are screened rice plants that were both successfully transfected with the exogenous HN gene and expressed it successfully; HN-1-1, HN-1-2, and HN-1-3 refer to three biological replicates randomly selected by HN-1; HN-2-1, HN-2-2 and HN-2-3 refer to three randomly selected biological replicates of HN-2 (three randomly selected biological replicates for each generation). These data were statistically significantly different from those above on one-way ANOVA: * p < 0.05, ** p < 0.01, and *** p < 0.001.
Figure 3. HN gene in the leaves of transgenic rice at the flowering stage by q-PCR. (AC) T1, T2, and T3 generations, respectively. HN-1 and HN-2 are screened rice plants that were both successfully transfected with the exogenous HN gene and expressed it successfully; HN-1-1, HN-1-2, and HN-1-3 refer to three biological replicates randomly selected by HN-1; HN-2-1, HN-2-2 and HN-2-3 refer to three randomly selected biological replicates of HN-2 (three randomly selected biological replicates for each generation). These data were statistically significantly different from those above on one-way ANOVA: * p < 0.05, ** p < 0.01, and *** p < 0.001.
Preprints 201021 g003
Figure 4. Protein-level detection of HN protein expression in rice seeds of different generations. (A,B) Expression of HN gene in rice seeds of different generations of HN-1 and HN-2 by Western blot. T11–T13 denote three randomly selected rice strains from generation T1, T21–T23 denote three randomly selected rice strains from generation T2, and T31–T33 denote three randomly selected rice strains from generation T3.(C) Test strips were used to detect the titre of HN antigen in rice seeds of different generations (mass: volume = 1:5).
Figure 4. Protein-level detection of HN protein expression in rice seeds of different generations. (A,B) Expression of HN gene in rice seeds of different generations of HN-1 and HN-2 by Western blot. T11–T13 denote three randomly selected rice strains from generation T1, T21–T23 denote three randomly selected rice strains from generation T2, and T31–T33 denote three randomly selected rice strains from generation T3.(C) Test strips were used to detect the titre of HN antigen in rice seeds of different generations (mass: volume = 1:5).
Preprints 201021 g004

3.3. Comprehensive Evaluation of Agronomic Traits

The number of spikes, the number of grains per spike, and the grain quality of the rice directly determine the overall yield. Yield-related factors during rice development can be categorized as growth morphology, spike status, and grain quality. This study observed agronomic traits associated with these three factors in T1, T2, and T3 rice generations from lines HN-1, HN-2, and TP309. In the T1 generation, the ear length of the HN-1 line was slightly shorter than that of TP309, whereas the differences in the other traits were not significant. The seed-setting percentage of HN-2 was lower than that of TP309 with no significant differences in the remaining traits. When comparing the two lines, HN-1 exhibited a significantly higher seed-setting percentage and grain density per centimeter than HN-2, although the other traits did not show significant differences (Figure. 4A). In the T2 generation, the differences in the 12 agronomic traits between HN-1 and TP309 were not significant. However, the differences between HN-2 and TP309 were significant, particularly regarding the reduction in ear length and weight of the effective panicle. When comparing the two lines, the spike length and effective spike weight of HN-2 were lower than those of HN-1, whereas the differences in the other traits were not significant (Figure. 4B). In the T3 generation, the effective panicle weight of the HN-1 line was significantly lower than that of the TP309 line, with no significant differences in the remaining traits (Figure. 4C). Conversely, the weight of the effective panicle and thousand-grain weight of HN-2 were significantly higher than those of TP309, with no differences in the other traits. When comparing the two lines, the thousand-grain weight of HN-2 was greater than that of HN-1, although the differences in other traits were not significant.
In addition, we measured the grain length, grain width, grain thickness, brown rice weight, chalkiness, and other qualities of the seeds harvested from the T1, T2, and T3 generations. The grain length (Figs 5A and 5D), grain width (Figs 5B and 5D), grain thickness (Figure. 5C), and brown rice yield of the transgenic rice lines HN-1 and HN-2 did not differ significantly from those of TP309 (Figure. 5E). However, the chalkiness rate and degree increased significantly compared with TP309, particularly in the HN-2 rice line, whereas no significant changes were observed in the HN-1 rice line (Figure. 5E). This finding suggests that the increase in the chalky white rate and degree in the HN-2 rice strain, attributed to insufficient insufficient grain filling, may be influenced by various environmental factors, such as climatic conditions and cultivation methods during the grouting period, or maybe an inherent characteristic of this transgenic strain. The data indicated that the growth and development of the rice lines HN-1 and HN-2 were comparable to those of TP309 plants, demonstrating that the agronomic traits of these lines remain robust. Scanning electron microscopy further revealed changes in the internal structure of transgenic rice, showing an increase in branched-chain starch and a decrease in straight-chain starch (Figure. 6). Consequently, the visible increase in chalkiness in the HN-2 rice line makes it easier to break. Because we primarily extracted the target proteins from milled grains, this line shows great potential for applications.
Figure 4. Combined agronomic traits of generation T1–T3 (HN-1 and HN-2 of generations T1–T3 correspond to (AC)) transformant strains and low gluten. On 12 comprehensive agronomic traits recorded in generations T1–T3—(a) height per plant, (b) effective tiller number, (c) length of flag leaf, (d) width of flag leaf, (e) mass per plant, (f) effective spike number, (g) ear length, (h) mass of effective panicle, (i) grain number per panicle, (j) percentage of seed setting, (k) grain density per cm, and (l) thousand-grain mass—the data were statistically significantly different from the above data on one-way ANOVA: * p < 0.05, ** p < 0.01, and *** p < 0.001,. Both HN-1 and HN-2 were assessed with five randomly selected strains.
Figure 4. Combined agronomic traits of generation T1–T3 (HN-1 and HN-2 of generations T1–T3 correspond to (AC)) transformant strains and low gluten. On 12 comprehensive agronomic traits recorded in generations T1–T3—(a) height per plant, (b) effective tiller number, (c) length of flag leaf, (d) width of flag leaf, (e) mass per plant, (f) effective spike number, (g) ear length, (h) mass of effective panicle, (i) grain number per panicle, (j) percentage of seed setting, (k) grain density per cm, and (l) thousand-grain mass—the data were statistically significantly different from the above data on one-way ANOVA: * p < 0.05, ** p < 0.01, and *** p < 0.001,. Both HN-1 and HN-2 were assessed with five randomly selected strains.
Preprints 201021 g005
Figure 5. Grain phenotypes of generation T1–T3 transformant strains and low gluten. (AC) Comparison of rice grain morphology data for each strain in the T1, T2, and T3 generations. From left to right: grain length, grain width, and grain thickness (both HN-1 and HN-2 were assessed with five randomly selected strains). (D) Rice grain phenotypes (brown rice on top, fine rice on bottom, n = 10). (E) Comparison of rice grain quality among the strains. From left to right, in order of brown rice percentage, chalkiness rate and chalkiness degree (n = 3). The data were statistically significantly different from the above data on one-way ANOVA. ns, no significant difference; * p < 0.05; ** p < 0.01; *** p < 0.001.
Figure 5. Grain phenotypes of generation T1–T3 transformant strains and low gluten. (AC) Comparison of rice grain morphology data for each strain in the T1, T2, and T3 generations. From left to right: grain length, grain width, and grain thickness (both HN-1 and HN-2 were assessed with five randomly selected strains). (D) Rice grain phenotypes (brown rice on top, fine rice on bottom, n = 10). (E) Comparison of rice grain quality among the strains. From left to right, in order of brown rice percentage, chalkiness rate and chalkiness degree (n = 3). The data were statistically significantly different from the above data on one-way ANOVA. ns, no significant difference; * p < 0.05; ** p < 0.01; *** p < 0.001.
Preprints 201021 g006
Figure 6. Scanning electron microscope detection of TP309, HN-1, and HN-2 rice grain chalkiness (n = 3).
Figure 6. Scanning electron microscope detection of TP309, HN-1, and HN-2 rice grain chalkiness (n = 3).
Preprints 201021 g007

3.4. Evaluation of Germination Rate, Emergence Rate and Development Period

In the rice seed germination rate determination experiment, the germination rates of HN-1 at 12, 24, 36, and 48 hours were 30.00%, 70.00%, 86.00%, and 96.00%, respectively. The germination rates of HN-2 at 12, 24, 36, and 48 hours were 44.00%, 96.00%, 97.00%, and 97.00%, respectively. In the seedling emergence rate determination experiment, the germination rates of HN-1 at 8, 16, 24, and 32 hours were 30.00%, 70.00%, 86.00%, and 96.00%, respectively, while HN-2 had germination rates of 44.00%, 96.00%, 97.00%, and 97.00% at 8, 16, 24, and 32 hours, respectively. The results indicated that the germination (Figure. 7A) and seedling emergence rates (Figs 7B and 7C) of HN-1, HN-2, and TP309 were comparable, with no statistically significant differences observed. Three successive generations of transgenic rice lines HN-1 and HN-2, along with wild-type rice, were cultivated outdoors to investigate differences in growth and development between the transgenic lines and wild-type plants and to monitor their fertility cycles. The total growth cycles of TP309 and the transgenic lines were relatively stable, fluctuating between 150 and 180 days (Figure. 7D).
Figure 7. Germination and seedling percentage assessment of HN-1 and HN-2 transgenic rice. (A) Visualization of germination rates of HN-1, HN-2, and TP309. (B,C) Germination and seedling percentage of transgenic rice (n = 100). (D) Development and growth cycle of transgenic rice and TP309. The data were statistically significantly different from the above data on one-way ANOVA, where “ns” indicates no significant difference.
Figure 7. Germination and seedling percentage assessment of HN-1 and HN-2 transgenic rice. (A) Visualization of germination rates of HN-1, HN-2, and TP309. (B,C) Germination and seedling percentage of transgenic rice (n = 100). (D) Development and growth cycle of transgenic rice and TP309. The data were statistically significantly different from the above data on one-way ANOVA, where “ns” indicates no significant difference.
Preprints 201021 g008

3.5. Evaluation of Survival Competitiveness

Rice typically produces seeds through self-pollination, and the viability of rice pollen is closely linked to its reproductive capacity, which directly influences the competitive survival of rice plants against surrounding vegetation. To assess the competition for survival between transgenic rice lines and TP309 in the field, mature anthers from rice plants at the early flowering stage were collected and subjected to iodine-potassium iodide staining. The pollen status of the transgenic rice and TP309 was observed at various time intervals (t0, t3, and t6). Across the T1 (Figs 8A and 8B), T2 (Figs 8C and 8D), and T3 (Figs 8E and 8F) generations, Statistical analysis revealed no significant changes in the normal pollen rate of the transgenic strains or TP309 over time, nor were there any significant differences in the proportion of normal fertile pollen between the transgenic strains HN-1, HN-2, and TP309. The results of this experiment indicated that the pollen longevity of transgenic rice was stable and highly viable when compared to TP309, demonstrating no significant difference in pollen viability between transgenic rice and TP309 plants. Consequently, both species exhibited similar capabilities in competing for survival against other species in the field.
Figure 8. Comparison of pollen viability between transformant strains of generations T1–T3 and TP309. (A,B) Comparison of pollen viability of generation T1 transformant strain and TP309, respectively. (C,D) Comparison of pollen viability of generation T2 transformant strain and TP309, respectively. (E,F) Comparison of pollen viability of generation T3 transformant strain and TP309, respectively.
Figure 8. Comparison of pollen viability between transformant strains of generations T1–T3 and TP309. (A,B) Comparison of pollen viability of generation T1 transformant strain and TP309, respectively. (C,D) Comparison of pollen viability of generation T2 transformant strain and TP309, respectively. (E,F) Comparison of pollen viability of generation T3 transformant strain and TP309, respectively.
Preprints 201021 g009

3.6. Evaluation of Gene Flow Capacity and Field Biodiversity

To assess the potential for exogenous gene transfer from transgenic rice strains to neighboring plants, leaves from various weed species in outdoor-planted rice fields were collected and analyzed. The presence of the Newcastle disease virus HN gene in non-rice plants was identified using specific primers (Figs 9A and 9B). To evaluate whether transgenic rice would affect the populations and diversity of surrounding organisms in the field, an insect diversity experiment was conducted using the milky rice, which exhibited more severe insect pest issues. Sticky boards were placed within the wild-type and each transgenic rice block (each measuring 50 cm × 50 cm), and the number of lepidopterans and arthropods on the boards was observed three days after placement. The results indicated that the number of lepidopterans around the rice-planting area was significantly higher than that of arthropods. However, there was no significant difference in the species and number of insects between the TP309 block and transgenic strains HN-1 and HN-2 (Figure. 9C). The plant diversity experiment randomly sampled blocks of TP309 and transgenic strains. During the harvesting periods, the species and weights of all other plants in the blocks were recorded. Compared with the TP309 control, the weed species and quality surrounding the transgenic strains HN-1 and HN-2 did not show any significant effects (Figure. 9D). Thus, it can be concluded that the impact of transgenic rice on the biodiversity of the surrounding environment is relatively small.
Figure 9. Safety evaluation of rice strains transgenic for HN-1 and HN-2. (A,B) PCR result of the spread of exogenous genes to surrounding weeds from HN-1 and HN-2. M is marker size, which refers to the size of the DNA fragments, T11–T16 denote six randomly selected rice strains from generation T1, T21–26 denote six randomly selected rice strains from generation T2, T31–36 denote six randomly selected rice strains from generation T3, TP indicates TP309, and + indicates positive plasmid. (C,D) Outdoor field biodiversity analysis of transgenic rice and TP309.
Figure 9. Safety evaluation of rice strains transgenic for HN-1 and HN-2. (A,B) PCR result of the spread of exogenous genes to surrounding weeds from HN-1 and HN-2. M is marker size, which refers to the size of the DNA fragments, T11–T16 denote six randomly selected rice strains from generation T1, T21–26 denote six randomly selected rice strains from generation T2, T31–36 denote six randomly selected rice strains from generation T3, TP indicates TP309, and + indicates positive plasmid. (C,D) Outdoor field biodiversity analysis of transgenic rice and TP309.
Preprints 201021 g010

4. Discussion

In this study, we used a rice endosperm expression system previously established in our laboratory to advance the commercialization of the Newcastle disease vaccine. We verified the stability of exogenous gene integration, expression, and functional trait expression across three successive planting generations. Additionally, compared with TP309, the transgenic rice lines exhibited minimal differences in several physiological traits, including seed germination, developmental cycle, plant growth morphology, spike position, and seed quality. Importantly, the gene insertion did not affect these functional traits. The gene transfer test further demonstrated that the Newcastle disease virus HN gene in transgenic rice did not disperse to neighboring plants in the surrounding area, and the transgenic rice lines HN-1 and HN-2 showed no adverse effects on the local ecosystem. This underscores the advantages of this expression system, which is not only promising for vaccine applications but also serves as a significant reference for producing other medicinal proteins.
These findings provide critical validation for rice-based molecular farming as a promising platform for vaccine development. Compared with traditional Newcastle disease vaccines—including inactivated, live attenuated, and viral vector-based formulations—our rice-derived HN antigen offers several key advantages. First, it directly addresses the challenge of antigenic mismatch, as plant-based systems can be rapidly engineered to express antigens corresponding to prevalent NDV genotypes, such as genotype VII, which currently accounts for most field outbreaks. Second, plant-derived vaccines offer low-cost production without the requirement for specialized fermentation infrastructure or cold-chain logistics, greatly enhancing accessibility in low-resource settings. Third, rice endosperm bioreactors provide the possibility of oral vaccine delivery, which could simplify immunization programs by reducing the need for multiple injections and trained personnel.
Our findings align with and extend previous work on molecular farming. For example, the “head-to-tail” dimer antigen design reported in PNAS demonstrated that rice-expressed HN proteins could induce potent immune responses and achieve complete protection in chickens at remarkably low doses. The present study complements this by providing essential data on genetic stability and biosafety, thereby addressing critical prerequisites for commercialization. Taken together, these advances highlight the potential of transgenic rice to serve as both a cost-effective production platform and a novel oral delivery vehicle for NDV subunit vaccines.
Despite these promising results, several challenges remain before rice-based NDV vaccines can reach practical application. First, although immunogenicity has been demonstrated in controlled experiments, larger-scale and longer-term studies are needed to confirm consistent efficacy under field conditions. Second, the scalability of downstream processing, including antigen extraction and dosage standardization, requires further optimization to meet industrial production standards. Third, public acceptance and regulatory approval of genetically modified crops used for pharmaceutical purposes remain major hurdles. Addressing biosafety concerns, particularly those related to gene flow and food chain contamination, will be crucial for the successful adoption of such vaccines. Finally, it remains necessary to compare the performance of rice-based vaccines with other plant-based systems (e.g., maize, tobacco, or tomato) to determine the most suitable platform for different antigen targets and delivery strategies.

5. Conclusion

In conclusion, this study provides comprehensive evidence supporting the genetic stability, agronomic feasibility, and biosafety of transgenic rice expressing NDV HN protein. Together with prior immunogenicity studies, these results establish a solid foundation for the development of rice-based NDV subunit vaccines. Integrating genetic engineering advances with rigorous field evaluation and regulatory frameworks will be essential to accelerate the translation of molecular farming technologies into commercial poultry vaccines. Beyond Newcastle disease, the strategies demonstrated here may also inform the broader development of plant-derived vaccines and therapeutics for both animal and human health.

Supplementary Materials

The following supporting information can be downloaded at the website of this paper posted on Preprints.org. Table S1: Primers used to amplify HN and Actin gene; Table S2: PCR system; Table S3: qRT-PCR system.

Author Contributions

L.Z (Lei Zhang), H.C. (Hongyan Chu) designed the experiments and analyzed the data; L.Z (Lei Zhang), H.C. (Hongyan Chu), Z.H., Y.H., W.G., Y.L., F.L., L.H., S.B., W.C., J.Z., S.P., E.Z., and Y.Z., performed the experiments; L.Z (Lei Zhang), and H.C. (Hongyan Chu) wrote the manuscript and prepared the illustrations; Gaiping Zhang (G.Z.) provided financial support. All authors contributed to revisions and approved the final manuscript. All authors have read and agreed to the published version of the manuscript. During the preparation of this manuscript, the authors used DeepSeek for the purposes of information access. The authors have reviewed and edited the output and take full responsibility for the content of this publication.

Funding

This work was supported by Development of rapid detection and diagnostic technology for Giardia, Coccidioidomycosis and Anaplasmosis (2023YFD1801203), key scientific and technological projects of Henan Province (222102110210) and Major Science and Technology Projects in Henan Province (241110310200).

Institutional Review Board Statement

Not applicable.

Informed Consent Statement

Not applicable.

Data Availability Statement

The data from this study are available from the corresponding authors upon request. The restricted availability is due to the authors needing to apply for an environmental release test with these data in order to bring this product to the market and commercialize it.

Acknowledgments

The authors would like to express their sincere gratitude to the staff and plantation managers of the Changji Comprehensive Experimental Base of the Chinese Academy of Agricultural Sciences for their assistance. During the preparation of this manuscript, the authors used DeepSeek for the purposes of information access. The authors have reviewed and edited the output and take full responsibility for the content of this publication. In addition, the data for insertion site analysis of exogenous genes in transgenic rice (Figure 1 in the article) were provided by Wuhan Benan Gene Technology Co. We would like to express our gratitude to this company.

Conflicts of Interest

The authors declare no conflicts of interest.

References

  1. Ul-Rahman, A.; Ishaq, H.M.; Raza, M.A.; Shabbir, M.Z. Zoonotic potential of Newcastle disease virus: Old and novel perspectives related to public health. Rev Med Virol. 2022, 32, e2246. [Google Scholar] [CrossRef]
  2. Costa-Hurtado, M.; Afonso, C.L.; Miller, P.J.; Shepherd, E.; Cha, R.M.; Smith, D.; Spackman, E.; Kapczynski, D.R. Previous infection with virulent strains of Newcastle disease virus reduces highly pathogenic avian influenza virus replication, disease, and mortality in chickens. Vet Res. 2015, 46, 97. [Google Scholar] [CrossRef]
  3. Chen, L.; Song, J.; Liu, H.; Cai, J.; Lin, Q.; Xu, C.; Ding, C.; Liao, M. Phylodynamic analyses of class I Newcastle disease virus isolated in China. Transbound Emerg Dis. 2021, 68, 1294–1304. [Google Scholar] [CrossRef]
  4. Berihulay, H.; Luo, W.; Lao, A.; Ji, J.; Cai, M.; Shu, D.; Luo, C. Exploring the genetic basis of Newcastle disease virus in chickens: a comprehensive review. Front Immunol. 2025, 16, 1614794. [Google Scholar] [CrossRef] [PubMed]
  5. Zhang, D.; Ding, Z.; Xu, X. Pathologic Mechanisms of the Newcastle Disease Virus. Viruses 2023, 15. [Google Scholar] [CrossRef]
  6. Liu, Y.; Sun, C.; Chi, M.; Wen, H.; Zhao, L.; Song, Y.; Liu, N.; Wang, Z. Genetic characterization and phylogenetic analysis of Newcastle disease virus from China. Infect Genet Evol. 2019, 75, 103958. [Google Scholar] [CrossRef] [PubMed]
  7. Li, J.; Ling, M.; Sun, Y.; Di, H.; Cong, Y.; Yu, H.; Cong, Y. Characterization of Newcastle disease virus obtained from toco toucan. J Vet Sci. 2020, 21, e19. [Google Scholar] [CrossRef] [PubMed]
  8. Shahar, E.; Haddas, R.; Goldenberg, D.; Lublin, A.; Bloch, I.; Bachner Hinenzon, N.; Pitcovski, J. Newcastle disease virus: is an updated attenuated vaccine needed? Avian Pathol. 2018, 47, 467–478. [Google Scholar] [CrossRef]
  9. Hu, Z.; He, X.; Deng, J.; Hu, J.; Liu, X. Current situation and future direction of Newcastle disease vaccines. Vet Res. 2022, 53, 99. [Google Scholar] [CrossRef]
  10. Hein, R.; Koopman, R.; García, M.; Armour, N.; Dunn, J.R.; Barbosa, T.; Martinez, A. Review of Poultry Recombinant Vector Vaccines. Avian Dis. 2021, 65, 438–452. [Google Scholar] [CrossRef]
  11. Gomes, C.W.C.; Funkler, G.; Andretta, I.; Gonçalves, M.O.; Santos, H.F.; Cruz, C.E.F. Newcastle disease vaccination in captive-bred wild birds. Trop Anim Health Prod. 2018, 50, 1349–1353. [Google Scholar] [CrossRef] [PubMed]
  12. Huma, I.; Azeem, S.; Naz, S.; Yaqub, T.; Mushtaq, M.H.; Azam, M. A Newcastle disease live virus vaccine is safe and efficacious at various storage conditions. Vet Ital. 2024, 59. [Google Scholar]
  13. Ruan, B.; Liu, Q.; Chen, Y.; Niu, X.; Wang, X.; Zhang, C.; Guo, M.; Zhang, X. Generation and evaluation of a vaccine candidate of attenuated and heat-resistant genotype VIII Newcastle disease virus. Poult Sci. 2020, 99, 3437–3444. [Google Scholar] [CrossRef]
  14. Liu, M.; Shen, X.; Li, J.; Yu, Y.; Fan, J.; Jia, X.; Dai, Y. Efficacy of Newcastle disease LaSota vaccine-induced hemagglutination inhibition antibodies against challenges with heterologous virulent strains of genotypes VII and IX. Vet Immunol Immunopathol. 2023, 259, 110591. [Google Scholar] [CrossRef]
  15. Eid, A.A.M.; Hussein, A.; Hassanin, O.; Elbakrey, R.M.; Daines, R.; Sadeyen, J.R.; Abdien, H.M.F.; Chrzastek, K. Newcastle Disease Genotype VII Prevalence in Poultry and Wild Birds in Egypt. Viruses 2022, 14. [Google Scholar] [CrossRef]
  16. Sultan, H.A.; Talaat, S.; Elfeil, W.K.; Selim, K.; Kutkat, M.A.; Amer, S.A.; Choi, K.S. Protective efficacy of the Newcastle disease virus genotype VII-matched vaccine in commercial layers. Poult Sci. 2020, 99, 1275–1286. [Google Scholar] [CrossRef]
  17. Mayers, J.; Mansfield, K.L.; Brown, I.H. The role of vaccination in risk mitigation and control of Newcastle disease in poultry. Vaccine 2017, 35, 5974–5980. [Google Scholar] [CrossRef] [PubMed]
  18. Dimitrov, K.M.; Afonso, C.L.; Yu, Q.; Miller, P.J. Newcastle disease vaccines-A solved problem or a continuous challenge? Vet Microbiol. 2017, 206, 126–136. [Google Scholar] [CrossRef]
  19. Absalón, A.E.; Cortés-Espinosa, D.V.; Lucio, E.; Miller, P.J.; Afonso, C.L. Epidemiology, control, and prevention of Newcastle disease in endemic regions: Latin America. Trop Anim Health Prod. 2019, 51, 1033–1048. [Google Scholar] [CrossRef]
  20. Bello, M.B.; Yusoff, K.; Ideris, A.; Hair-Bejo, M.; Peeters, B.P.H.; Omar, A.R. Diagnostic and Vaccination Approaches for Newcastle Disease Virus in Poultry: The Current and Emerging Perspectives. Biomed Res Int. 2018, 2018, 7278459. [Google Scholar] [CrossRef] [PubMed]
  21. Dharmayanti, N.I.; Nurjanah, D.; Nuradji, H.; Suyatno, T.; Indriani, R. Newcastle disease virus: the past and current situation in Indonesia. J Vet Sci. 2024, 25, e3. [Google Scholar] [CrossRef]
  22. Ma, F.; Xu, Q.; Wang, A.; Yang, D.; Li, Q.; Guo, J.; Zhang, L.; Ou, J. A universal design of restructured dimer antigens: Development of a superior vaccine against the paramyxovirus in transgenic rice. Proc Natl Acad Sci U S A 2024, 121, e2305745121. [Google Scholar] [CrossRef]
  23. Main, M.; Frame, B.; Wang, K. Rice, Japonica (Oryza sativa L.). Methods Mol Biol. 2015, 1223, 169–180. [Google Scholar]
  24. Streatfield, S.J.; Howard, J.A. Plant-based vaccines. Int J Parasitol. 2003, 33, 479–493. [Google Scholar] [CrossRef]
  25. Santoni, M.; Gecchele, E.; Zampieri, R.; Avesani, L. Plant-Based Systems for Vaccine Production. Methods Mol Biol. 2022, 2412, 95–115. [Google Scholar] [PubMed]
  26. Loza-Rubio, E.; Rojas-Anaya, E. Vaccine production in plant systems--an aid to the control of viral diseases in domestic animals: a review. Acta Vet Hung 2010, 58, 511–522. [Google Scholar] [CrossRef]
  27. Webster, D.E.; Thomas, M.C.; Huang, Z.; Wesselingh, S.L. The development of a plant-based vaccine for measles. Vaccine 2005, 23, 1859–1865. [Google Scholar] [CrossRef] [PubMed]
  28. Thanavala, Y.; Lugade, A.A. Oral transgenic plant-based vaccine for hepatitis B. Immunol Res. 2010, 46, 4–11. [Google Scholar] [CrossRef]
  29. Stander, J.; Mbewana, S.; Meyers, A.E. Plant-Derived Human Vaccines: Recent Developments. BioDrugs 2022, 36, 573–589. [Google Scholar] [CrossRef] [PubMed]
  30. LeBlanc, Z.; Waterhouse, P.; Bally, J. Plant-Based Vaccines: The Way Ahead? Viruses 2020, 13. [Google Scholar] [CrossRef]
  31. Daniell, H.; Singh, N.D.; Mason, H.; Streatfield, S.J. Plant-made vaccine antigens and biopharmaceuticals. Trends Plant Sci. 2009, 14, 669–679. [Google Scholar] [CrossRef] [PubMed]
  32. Shahid, N.; Samiullah, T.R.; Shakoor, S.; Latif, A.; Yasmeen, A.; Azam, S.; Shahid, A.A.; Husnain, T. Early Stage Development of a Newcastle Disease Vaccine Candidate in Corn. Front Vet Sci. 2020, 7, 499. [Google Scholar] [CrossRef]
  33. Shimamoto, K.; Kyozuka, J. Rice as a model for comparative genomics of plants. Annu Rev Plant Biol. 2002, 53, 399–419. [Google Scholar] [CrossRef]
  34. Azegami, T.; Itoh, H.; Kiyono, H.; Yuki, Y. Novel transgenic rice-based vaccines. Arch Immunol Ther Exp (Warsz) 2015, 63, 87–99. [Google Scholar] [CrossRef]
  35. Yuki, Y.; Kiyono, H. [MucoRice: development of rice-based oral vaccine]. Nihon Rinsho Meneki Gakkai Kaishi 2008, 31, 369–374. [Google Scholar] [CrossRef] [PubMed]
  36. Rice, J.; Ainley, W.M.; Shewen, P. Plant-made vaccines: biotechnology and immunology in animal health. Anim Health Res Rev. 2005, 6, 199–209. [Google Scholar] [CrossRef]
  37. Ou, J.; Guo, Z.; Shi, J.; Wang, X.; Liu, J.; Shi, B.; Guo, F.; Zhang, C. Transgenic rice endosperm as a bioreactor for molecular pharming. Plant Cell Rep. 2014, 33, 585–594. [Google Scholar] [CrossRef] [PubMed]
Disclaimer/Publisher’s Note: The statements, opinions and data contained in all publications are solely those of the individual author(s) and contributor(s) and not of MDPI and/or the editor(s). MDPI and/or the editor(s) disclaim responsibility for any injury to people or property resulting from any ideas, methods, instructions or products referred to in the content.
Copyright: This open access article is published under a Creative Commons CC BY 4.0 license, which permit the free download, distribution, and reuse, provided that the author and preprint are cited in any reuse.
Prerpints.org logo

Preprints.org is a free preprint server supported by MDPI in Basel, Switzerland.

Subscribe

Disclaimer

Terms of Use

Privacy Policy

Privacy Settings

© 2026 MDPI (Basel, Switzerland) unless otherwise stated