Preprint
Article

This version is not peer-reviewed.

Crosstalk of Wnt Signaling Activation and H3K27me3 Epigenetic Modulation in Colorectal Cancer: A Single-Center Population Study from Romania

Submitted:

11 February 2026

Posted:

11 February 2026

You are already at the latest version

Abstract
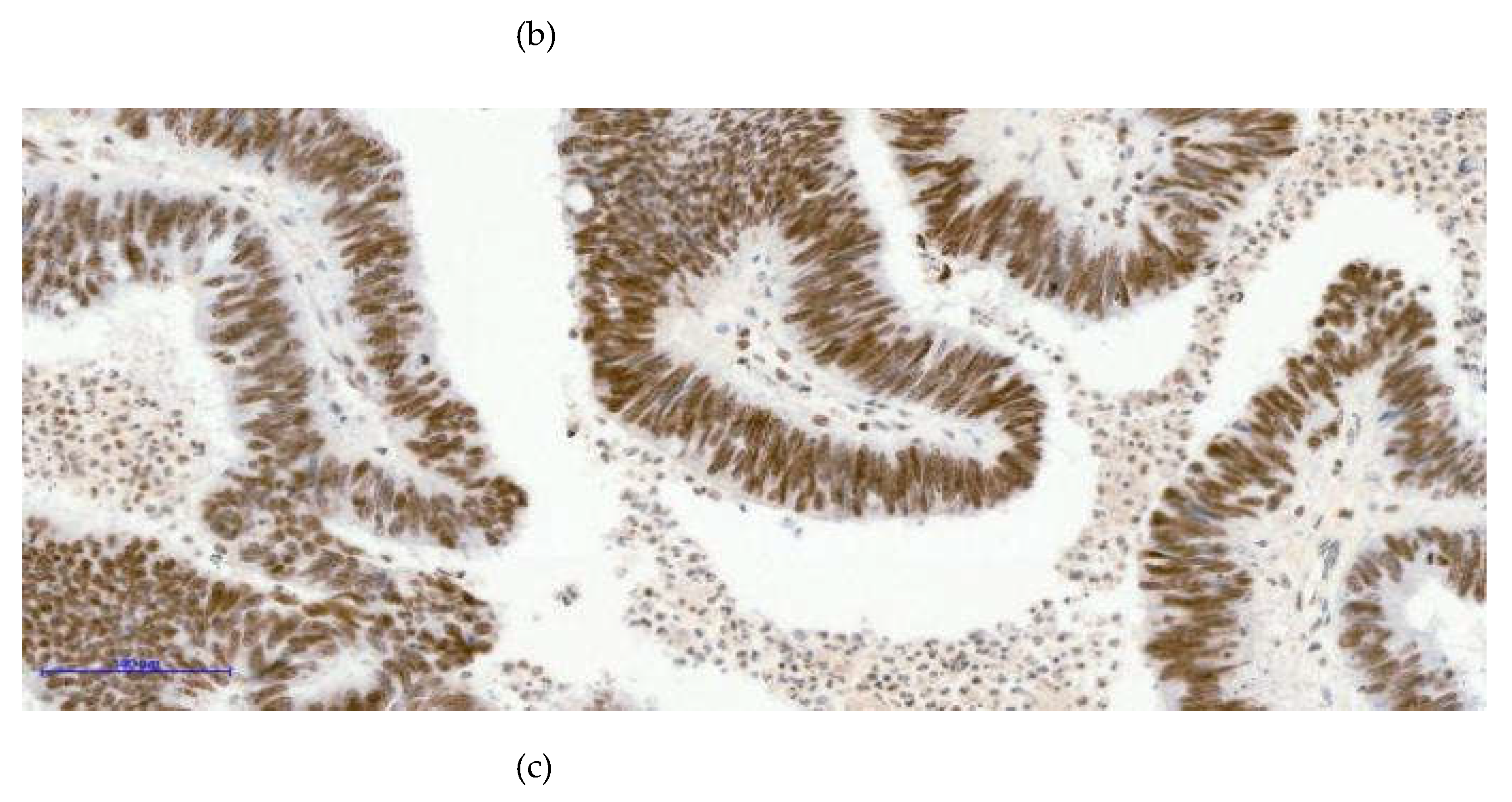
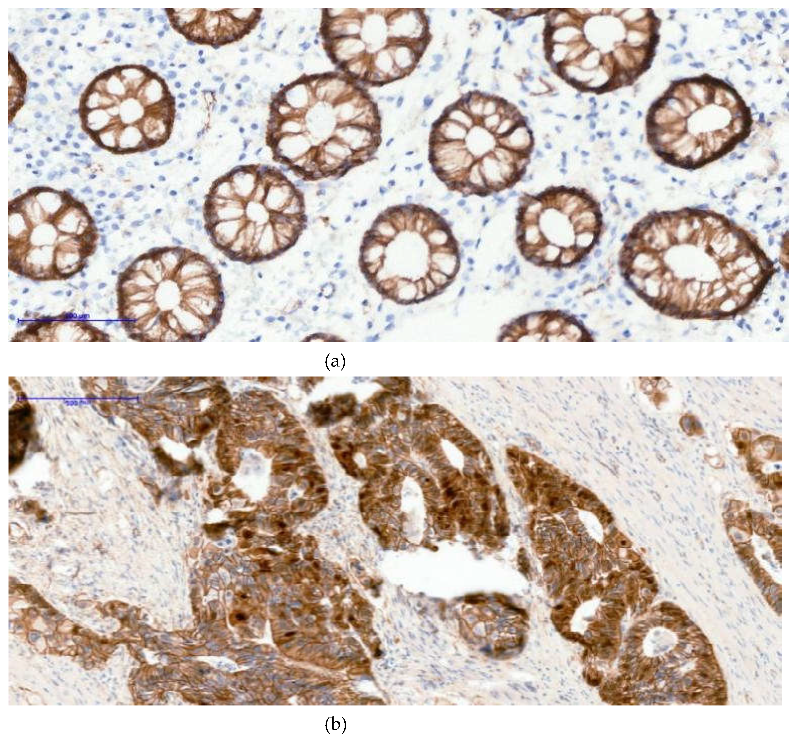
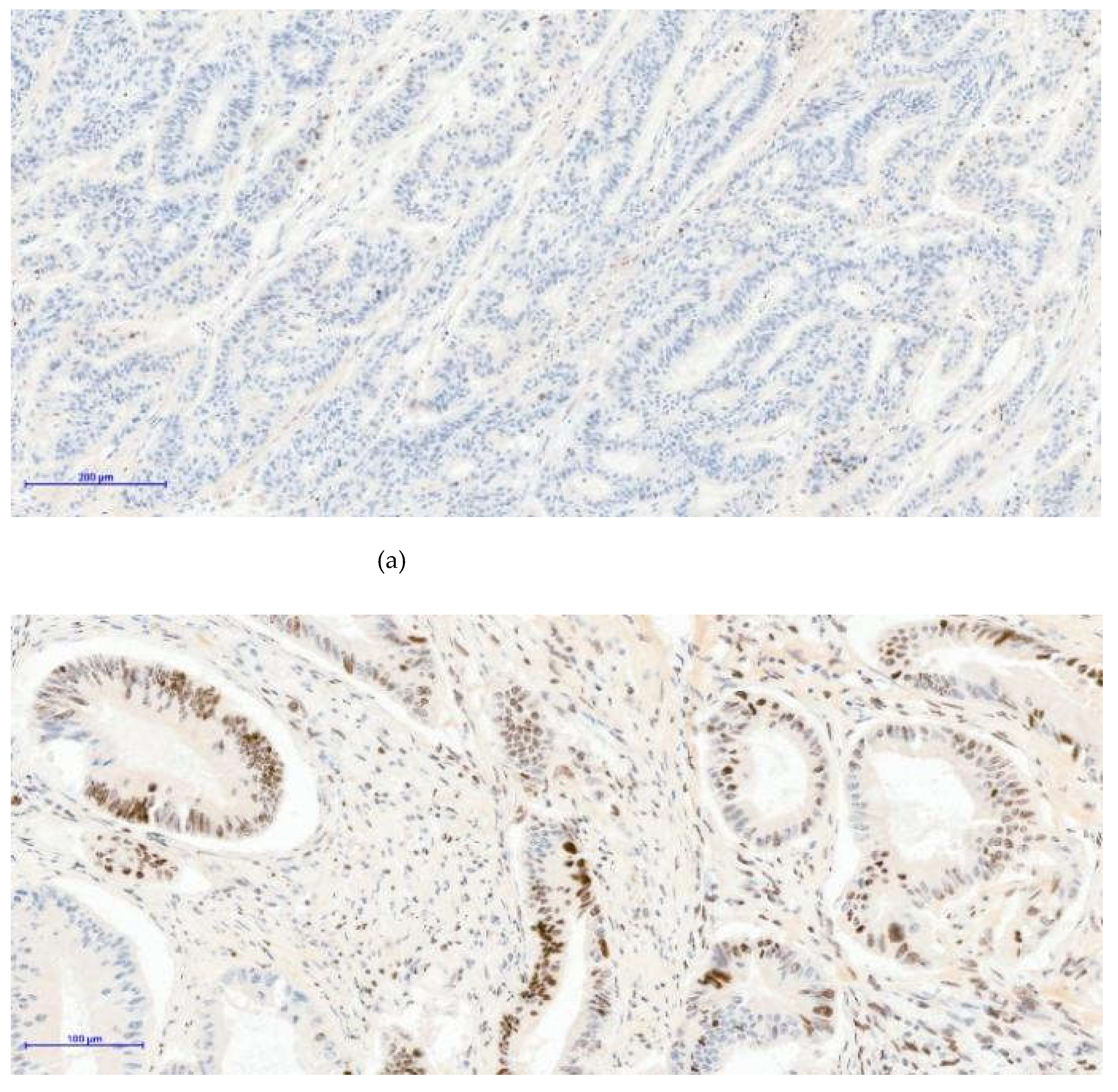
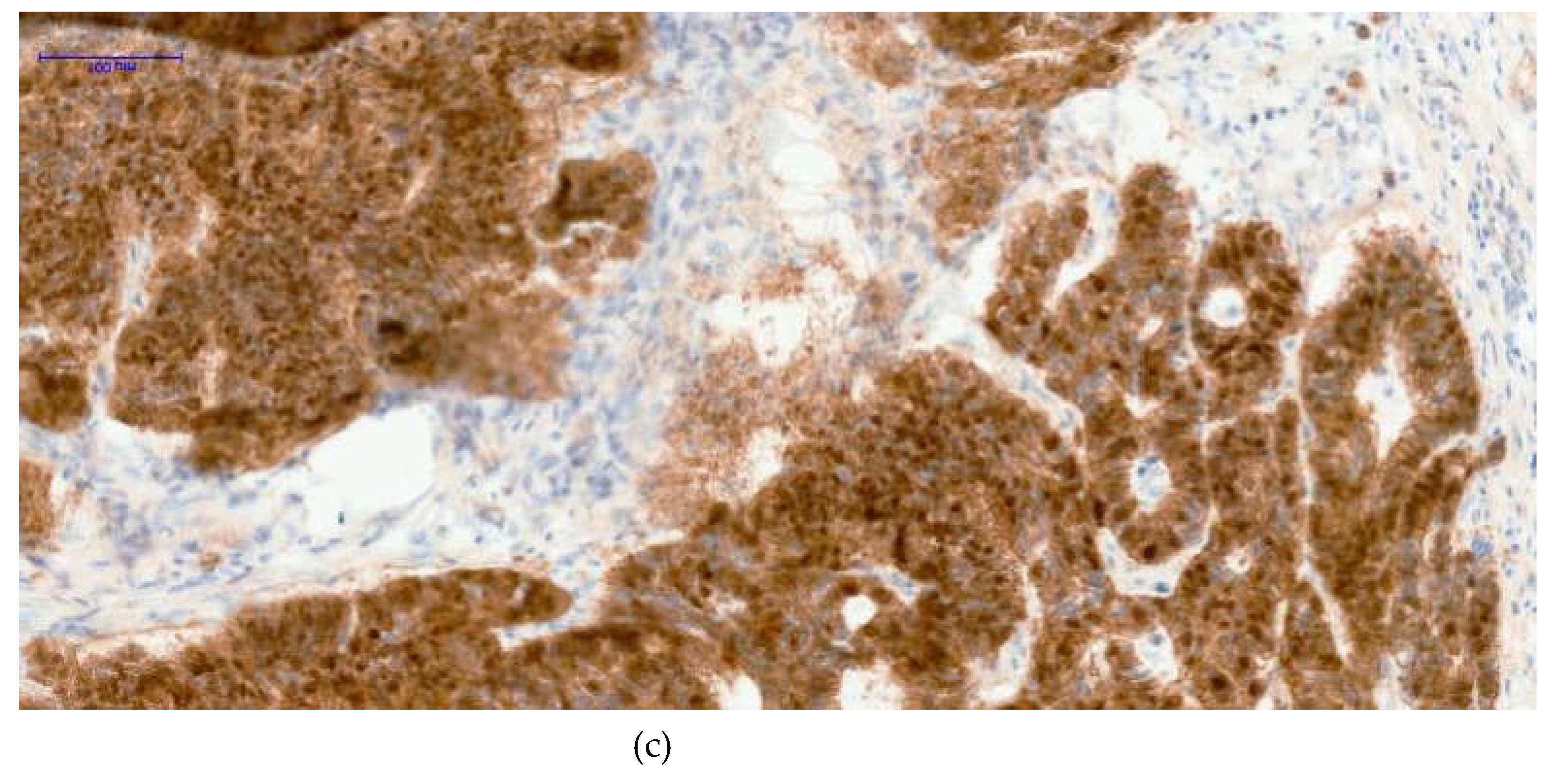
Colorectal cancer is a heterogeneous malignancy characterized by alterations in onco-genic signaling pathways and epigenetic mechanisms involved in gene regulation. Ab-errant activation of the Wnt/β-catenin pathway represents a central molecular event in colorectal tumorigenesis, while histone-associated epigenetic modifications may contribute to tumor progression and variability. This study aimed to investigate the relationship between Wnt pathway activation and histone H3 lysine 27 trimethylation in colorectal cancer and to examine their associations with clinicopathological and molecular characteristics. A retrospective observational study was performed on 83 colorectal adenocarcinoma cases using immunohistochemical evaluation of nuclear β-catenin and H3K27me3 expression in formalin-fixed, paraffin-embedded tumor samples, together with molecular analysis of KRAS, NRAS, and BRAF mutations and microsatellite instability status. Nuclear β-catenin expression was observed in 39.8% of cases, while H3K27me3 exhibited negative, mosaic, or diffuse nuclear staining pat-terns. Nuclear β-catenin expression was significantly associated with patient sex and age, whereas H3K27me3 expression patterns were significantly associated with tumor location, histological grade, disease stage, and metastatic status. These results indicate that Wnt pathway activation and H3K27me3-associated epigenetic alterations fre-quently coexist in colorectal cancer and support the value of integrated molecular and epigenetic assessment.
Keywords: 
;  ;  ;  
Copyright: This open access article is published under a Creative Commons CC BY 4.0 license, which permit the free download, distribution, and reuse, provided that the author and preprint are cited in any reuse.
Prerpints.org logo

Preprints.org is a free preprint server supported by MDPI in Basel, Switzerland.

Subscribe

Disclaimer

Terms of Use

Privacy Policy

Privacy Settings

© 2026 MDPI (Basel, Switzerland) unless otherwise stated