Submitted:
27 June 2025
Posted:
30 June 2025
You are already at the latest version
Abstract
Keywords:
1. Introduction
2. Materials and Methods
2.1. Experimental Animals
2.2. Major Reagents and Instruments
2.3. Asthma Model Establishment and Grouping
2.4. SG-IPL Intervention
2.5. Airway Hyperresponsiveness (AHR) Measurement
2.6. Bronchoalveolar Lavage Fluid (BALF) Collection and Analysis
2.7. ELISA Assay
2.8. Lung Histopathological Examination
2.9. RNA Sequencing and Bioinformatic Analysis
2.10. Statistical Analysis
3. Results
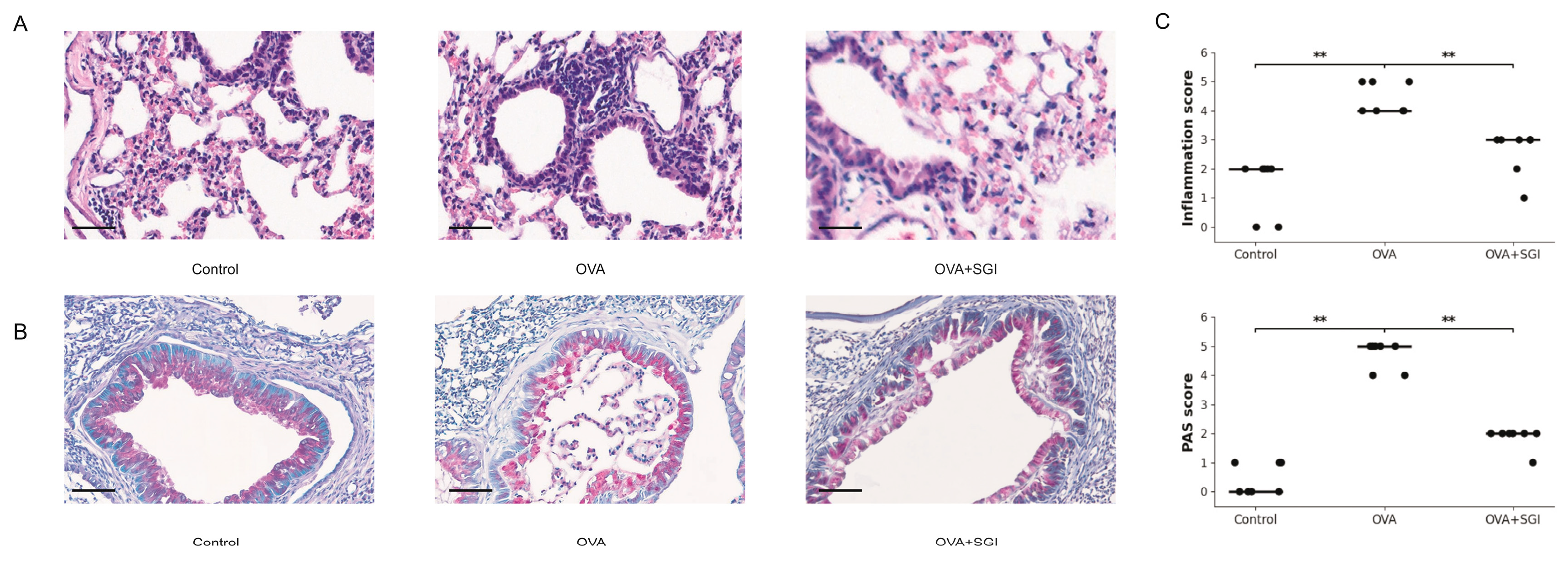
3.1. SG-IPL Intervention Effectively Attenuates Airway Inflammation and Lung Histopathological Damage in Asthmatic Mice

3.2. Transcriptomic Analysis Reveals Global Remodeling of the Lung Tissue Gene Expression Profile by SG-IPL
3.3. Analysis of Differentially Expressed Genes and Pathway Enrichment Reveals the Systemic Anti-inflammatory Effect of SG-IPL
3.4. Transcription Factor Regulatory Network Analysis Identifies Key Upstream Nodes of IPL Intervention
3.5. Protein Interaction and Transcriptional Regulatory Network Analysis Reveals SIRT1 as a Key Upstream Node in IPL-Mediated Anti-inflammatory Effects
4. Discussion
4.1. SG-IPL Intervention Effectively Suppresses Core Pathological Features of Allergic Airway Inflammation
4.2. Transcriptomic Analysis Reveals Global Remodeling of the Lung Tissue Gene Expression Profile by SG-IPL
4.3. Pathway Enrichment Analysis: Precisely Locating the Inflammatory Network Systemically Suppressed by SG-IPL
4.4. Exploration of Upstream Regulatory Mechanisms: The SIRT1/NF-κB Axis as a Potential Core Hub
4.5. Study Limitations and Future Perspectives
5. Conclusions
Author Contributions
Funding
Institutional Review Board Statement
Data Availability Statement
Conflicts of Interest
Abbreviations
| AHR | Airway Hyperresponsiveness |
| KEGG | Kyoto Encyclopedia of Genes and Genomes |
| NF-κB | Nuclear Factor-κB |
| OVA | Ovalbumin |
References
- Song, P., Adeloye, D., Salim, H., Dos Santos, J. P., Campbell, H., Sheikh, A., & Rudan, I. (2022). Global, regional, and national prevalence of asthma in 2019: a systematic analysis and modelling study. Journal of Global Health, 12, 04052. [CrossRef]
- Holgate, S. T., Wenzel, S., Postma, D. S., Weiss, S. T., Renz, H., & Sly, P. D. (2015). Asthma. Nature Reviews Disease Primers, 1, 15025. [CrossRef]
- Pelaia, C., Heffler, E., Crimi, C., Maglio, A., Vatrella, A., Pelaia, G., & Canonica, G. W. (2022). Interleukins 4 and 13 in asthma: Key pathophysiologic cytokines and druggable molecular targets. Frontiers in Pharmacology, 13, 851940. [CrossRef]
- Guilleminault, L., Conde, E., & Reber, L. L. (2022). Pharmacological approaches to target type 2 cytokines in asthma. Pharmacology & Therapeutics, 237, 108167. [CrossRef]
- Pelaia, C., Paoletti, G., Puggioni, F., Racca, F., Pelaia, G., & Canonica, G. W. (2019). Interleukin-5 in the pathophysiology of severe asthma. Frontiers in Physiology, 10, 1514. [CrossRef]
- Manson, M. L., Säfholm, J., James, A., Johnsson, A. K., Bergman, P., Al-Ameri, M., … Bossios, A. (2020). IL-13 and IL-4, but not IL-5 nor IL-17A, induce hyperresponsiveness in isolated human small airways. Journal of Allergy and Clinical Immunology, 145(3), 808–817.e2. [CrossRef]
- Hough, K. P., Curtiss, M. L., Blain, T. J., Liu, R.-M., Trevor, J. L., Deshane, J. S., & Thannickal, V. J. (2020). Airway remodeling in asthma. Frontiers in Medicine, 7, 191. [CrossRef]
- Grainge, C. L., Lau, L. C., Ward, J. A., Dulay, V., Lahiff, G., Wilson, S., … Howarth, P. H. (2011). Effect of bronchoconstriction on airway remodeling in asthma. New England Journal of Medicine, 364(21), 2006–2015. [CrossRef]
- Rico-Rosillo, G., & Vega-Robledo, G. B. (2011). The involvement of NF-κB transcription factor in asthma. Revista Alergia México, 58(2), 107–111. PMID: 21687834.
- Yeung, F., Hoberg, J. E., Ramsey, C. S., Keller, M. D., Jones, D. R., Frye, R. A., & Mayo, M. W. (2004). Modulation of NF-κB–dependent transcription and cell survival by the SIRT1 deacetylase. EMBO Journal, 23(12), 2369–2380. [CrossRef]
- Zhang, H., Sun, Y., Rong, W., Cao, W., Wang, Y., & Yan, L. (2018). miR-221 participates in the airway epithelial cell injury in asthma via targeting SIRT1. Experimental Lung Research, 44(6), 272–279. [CrossRef]
- Pavlov, V. A., & Tracey, K. J. (2017). Neural regulation of immunity: Molecular mechanisms and clinical translation. Nature Neuroscience, 20(2), 156–166. [CrossRef]
- Lei, Q., Jiang, Z., Shao, Y., Xu, X., & Zhou, X. (2024). Stellate ganglion, inflammation, and arrhythmias: A new perspective on neuroimmune regulation. Frontiers in Cardiovascular Medicine, 11, 1453127. [CrossRef]
- Duan, Q., Zhang, H., Zhao, K., Hu, H., Zhou, Y., & Yang, D. (2025). Stellate ganglia block reduces airway hyperresponsiveness by modulating the IKK/NF-κB/IL-4/IL-5/IL-13 pathway in ovalbumin-induced asthmatic mice. Respiratory Research, 26(1), 65. [CrossRef]
- Hamblin, M. R. (2017). Mechanisms and applications of the anti-inflammatory effects of photobiomodulation. AIMS Biophysics, 4(3), 337–361. [CrossRef]
- Al Balah, O. F., Rafie, M., & Osama, A. R. (2025). Immunomodulatory effects of photobiomodulation: A comprehensive review. Lasers in Medical Science, 40, 187. [CrossRef]
- Xiao, H., Zhang, Q.-N., Sun, Q.-X., Li, L.-D., Yi, L.-D., & Chen, H. (2022). Transcriptomic analysis reveals a link between Hippo signaling pathway and macrophages in lungs of mice with OVA-induced allergic asthma. Journal of Inflammation Research, 15, 423–437. [CrossRef]
- Corren, J. (2013). Role of interleukin-13 in asthma. Current Allergy and Asthma Reports, 13(5), 415–420. [CrossRef]
- Edwards, M. R., Bartlett, N. W., Clarke, D., Birrell, M., Belvisi, M., & Johnston, S. L. (2009). Targeting the NF-κB pathway in asthma and chronic obstructive pulmonary disease. Pharmacology & Therapeutics, 121(1), 1–13. [CrossRef]
- Colley, T., Mercado, N., Kunori, Y., Brightling, C., Bhavsar, P. K., Barnes, P. J., & Ito, K. (2016). Defective sirtuin-1 increases IL-4 expression through acetylation of GATA-3 in patients with severe asthma. Journal of Allergy and Clinical Immunology, 137(5), 1595–1597.e7. [CrossRef]
- Wenzel, S. E. (2012). Asthma phenotypes: The evolution from clinical to molecular approaches. Nature Medicine, 18(5), 716–725. [CrossRef]
- Barnes, P. J. (2018). Immunology of asthma and chronic obstructive pulmonary disease. Nature Reviews Immunology, 18(1), 59–71. [CrossRef]
- Papi, A., Brightling, C., Pedersen, S. E., & Reddel, H. K. (2018). Asthma. Lancet, 391(10122), 783–800. [CrossRef]
- Barnes, P. J., & Adcock, I. M. (2009). Transcription factors and asthma. European Respiratory Journal, 34(3), 523–533. [CrossRef]
- O’Byrne, P. M., & Pavord, I. D. (2013). The role of inflammation in airway disease. Advanced Drug Delivery Reviews, 64(13), 214–220. [CrossRef]
- Tracey, K. J. (2002). The inflammatory reflex. Nature, 420(6917), 853–859. [CrossRef]
- Chavan, S. S., & Tracey, K. J. (2017). Essential neuroscience in immunology: A basis for mediating immunity by the nervous system. Journal of Immunology, 198(9), 3389–3397. [CrossRef]
- Chung, H., Dai, T., Sharma, S. K., Huang, Y. Y., Carroll, J. D., & Hamblin, M. R. (2012). The nuts and bolts of low-level laser (light) therapy. Annals of Biomedical Engineering, 40(2), 516–533. [CrossRef]
- Seumois, G., Zapardiel-Gonzalo, J., White, B., Singh, D., Schulten, V., Dillon, M., … Peters, M. C. (2016). Transcriptional profiling of Th2 cells identifies pathogenic features associated with asthma. Journal of Immunology, 197(2), 655–664. [CrossRef]







Disclaimer/Publisher’s Note: The statements, opinions and data contained in all publications are solely those of the individual author(s) and contributor(s) and not of MDPI and/or the editor(s). MDPI and/or the editor(s) disclaim responsibility for any injury to people or property resulting from any ideas, methods, instructions or products referred to in the content. |
© 2025 by the authors. Licensee MDPI, Basel, Switzerland. This article is an open access article distributed under the terms and conditions of the Creative Commons Attribution (CC BY) license (http://creativecommons.org/licenses/by/4.0/).