Submitted:
03 July 2024
Posted:
04 July 2024
You are already at the latest version
Abstract
Keywords:
1. Introduction
2. Materials and Methods
2.1. Study Design and Overview
2.2. Radiographic and Clinical Assessment
2.2.1. Radiographic Measurements
2.2.2. Force Plate Gait Analysis
2.2.3. The Helsinki Chronic Pain index (HCPI) Questionnaire
2.2.4. Ortolani’s Test
2.3. Histopathology and Bone Implant Contact
2.4. Statistical Analysis
3. Results
3.1. Assessment of Hip Joint Laxity Testing (Ortolani’s test)
3.2. Radiographic Outcomes
3.3. Kinetic Gait Analysis
3.4. Owner Assessment of Pain-Related Behavior
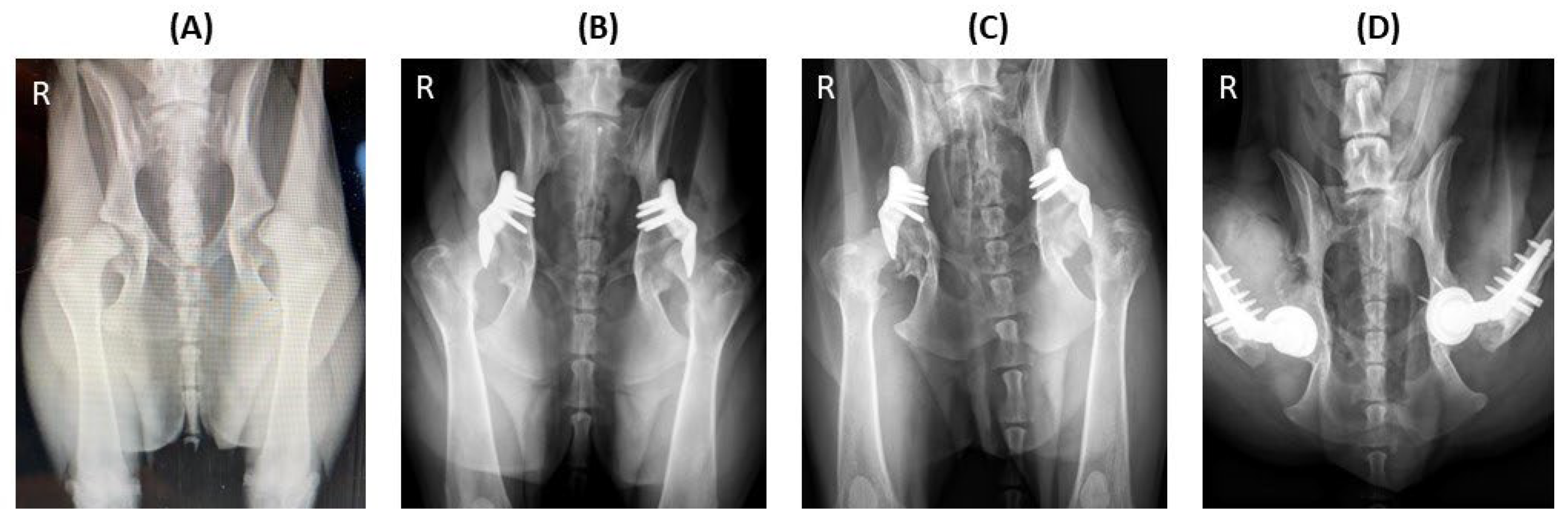
3.5. Complications
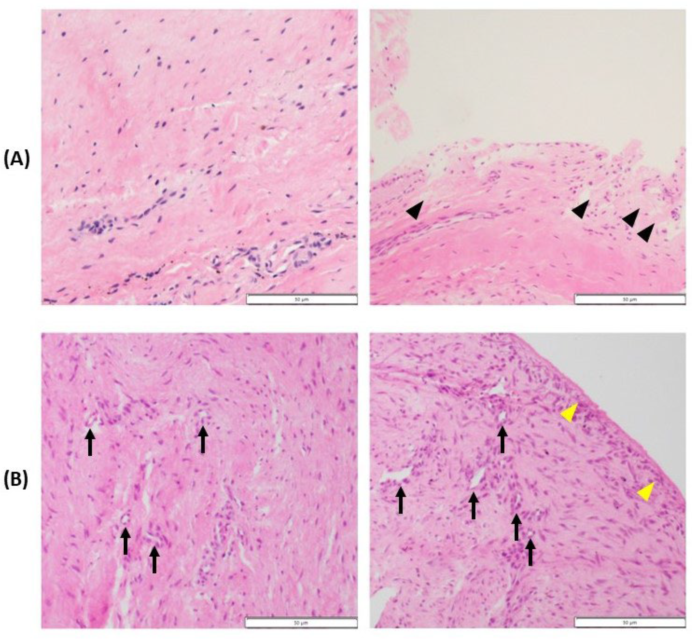
3.6. Histopathology and 3D X-ray Microscopy
4. Discussion
5. Conclusions
Author Contributions
Funding
Institutional Review Board Statement
Informed Consent Statement
Data Availability Statement
Acknowledgments
Conflicts of Interest
References
- Loder RT, Todhunter RJ. The Demographics of Canine Hip Dysplasia in the United States and Canada. J Vet Med. (2017):5723476. [CrossRef]
- Demko J, McLaughlin R. Developmental Orthopedic Disease. Veterinary Clinics of North America: Small Animal Practice. (2005) 35(5):1111-35. [CrossRef]
- Dueland RT, Adams WM, Patricelli AJ, Linn KA, Crump PM. Canine hip dysplasia treated by juvenile pubic symphysiodesis. Part I: two year results of computed tomography and distraction index. Vet Comp Orthop Traumatol. (2010) 23(5):306-17. [CrossRef]
- Vezzoni A, Boiocchi S, Vezzoni L, Vanelli AB, Bronzo V. Double pelvic osteotomy for the treatment of hip dysplasia in young dogs. Vet Comp Orthop Traumatol. (2010) 23(6):444-52. [CrossRef]
- Koch DA, Hazewinkel HAW, Nap RC, Meij BP, Wolvekamp WTC. Radiographic Evaluation and Comparison of Plate Fixation after Triple Pelvic Osteotomy in 32 Dogs with Hip Dysplasia. Vet Comp Orthop Traumatol. (1993) 06(01):09-15. [CrossRef]
- Johnson AL, Smith CW, Pijanowski GJ, Hungerford LL. Triple pelvic osteotomy: effect on limb function and progression of degenerative joint disease. J Am Anim Hosp Assoc. (1998) 34(3):260-4. [CrossRef]
- Slocum B, Slocum TD. Current techniques in small animal surgery: Baltimore: Williums & Wilkings (1998).
- Vezzoni A. Complications of Double and Triple Pelvic Osteotomies. Complications in Small Animal Surgery. (2016) 759-77. [CrossRef]
- Tong K, Hayashi K. Obturator nerve impingement as a severe late complication of bilateral triple pelvic osteotomy. Vet Comp Orthop Traumatol. (2012) 25(1):67-70. [CrossRef]
- Jensen DJ, Sertl GO. Sertl shelf arthroplasty (BOP procedure) in the treatment of canine hip dysplasia. Vet Clin North Am Small Anim Pract. (1992) 22(3):683-701. [CrossRef]
- Lussier B, Lanthier T, Martineau-Doizé B. Evaluation of biocompatible osteoconductive polymer shelf arthroplasty for the surgical correction of hip dysplasia in normal dogs. Can J Vet Res. (1994) 58(3):173-80.
- Willemsen K, Tryfonidou MA, Sakkers RJB, Castelein RM, Beukers M, Seevinck PR, et al. Patient-specific 3D-printed shelf implant for the treatment of hip dysplasia tested in an experimental animal pilot in canines. Sci Rep. (2022) 12(1):3032. [CrossRef]
- Kwananocha I, Magré J, Willemsen K, Weinans H, Sakkers RJB, How T, et al. Acetabular rim extension using a personalized titanium implant for treatment of hip dysplasia in dogs: short-term results. Frontiers in Veterinary Science. (2023) 10:1160177. [CrossRef]
- Fédération Cynologique Internationale, Brass W, Paatsama S. Hip Dysplasia: International Certificate and Evaluation of Radiographs: Helsinki: F.C.I. (1983).
- Meomartino L, Fatone G, Potena A, Brunetti A. Morphometric assessment of the canine hip joint using the dorsal acetabular rim view and the centre-edge angle. J Small Anim Pract. (2002) 43(1):2-6. [CrossRef]
- Fluckiger M. Scoring Radiographs for Canine Hip Dysplasia-The Big Three Organisations in the World. European Journal of Compagnion Animal Practice. (2007) 2:135-40.
- Butler JR, Gambino J. Canine Hip Dysplasia: Diagnostic Imaging. Vet Clin North Am Small Anim Pract. (2017) 47(4):777-93. [CrossRef]
- Lavrijsen IC, Heuven HC, Voorhout G, Meij BP, Theyse LF, Leegwater PA, et al. Phenotypic and genetic evaluation of elbow dysplasia in Dutch Labrador Retrievers, Golden Retrievers, and Bernese Mountain dogs. Vet J. (2012) 193(2):486-92. [CrossRef]
- Willemsen K, Tryfonidou M, Sakkers R, Castelein RM, Zadpoor AA, Seevinck P, et al. Patient-specific 3D-printed shelf implant for the treatment of hip dysplasia: Anatomical and biomechanical outcomes in a canine model. J Orthop Res. (2021) 40(5):1154-1162. [CrossRef]
- Hielm-Björkman AK, Kuusela E, Liman A, Markkola A, Saarto E, Huttunen P, et al. Evaluation of methods for assessment of pain associated with chronic osteoarthritis in dogs. J Am Vet Med Assoc. (2003) 222(11):1552-8. [CrossRef]
- Hielm-Björkman AK, Rita H, Tulamo RM. Psychometric testing of the Helsinki chronic pain index by completion of a questionnaire in Finnish by owners of dogs with chronic signs of pain caused by osteoarthritis. Am J Vet Res. (2009) 70(6):727-34. [CrossRef]
- Van Oossterwyck H, Duyck J, Vander Sloten J, Van der Perre G, Jansen J, Wevers M, et al. Use of microfocus computerized tomography as a new technique for characterizing bone tissue around oral implants. J Oral Implantol. (2000) 26(1):5-12. [CrossRef]
- Vidoni B, Bauer V, Bockstahler B, Gumpenberger M, Tichy A, Aghapour M. Early Diagnosis of Canine Hip Laxity: Correlation between Clinical Orthopedic Examinations and the FCI Scoring Method in a Closed Cohort of Rottweilers. Animals (Basel). (2021) 11(2). [CrossRef]
- Budsberg SC, Chambers JN, Lue SL, Foutz TL, Reece L. Prospective evaluation of ground reaction forces in dogs undergoing unilateral total hip replacement. Am J Vet Res.
- (1996) 57(12):1781-5.
- Braden TD, Olivier NB, Blaiset MA, Averill, Samantha, Bolliger CT, Decamp CE. Objective evaluation of total hip replacement in 127 dogs utilizing force plate analysis. Veterinary and Comparative Orthopaedics and Traumatology. (2004) 17:78-81. [CrossRef]
- McLaughlin RM, Jr., Miller CW, Taves CL, Hearn TC, Palmer NC, Anderson GI. Force plate analysis of triple pelvic osteotomy for the treatment of canine hip dysplasia. Vet Surg. (1991) 20(5):291-7. [CrossRef]
- Suwankong N, Meij BP, Van Klaveren NJ, Van Wees AM, Meijer E, Van den Brom WE, et al. Assessment of decompressive surgery in dogs with degenerative lumbosacral stenosis using force plate analysis and questionnaires. Vet Surg. (2007) 36(5):423-31. [CrossRef]
- Fry TR, Clark DM. Canine hip dysplasia: clinical signs and physical diagnosis. Vet Clin North Am Small Anim Pract. (1992) 22(3):551-8. [CrossRef]
- Virag Y, Gumpenberger M, Tichy A, Lutonsky C, Peham C, Bockstahler B. Center of pressure and ground reaction forces in Labrador and Golden Retrievers with and without hip dysplasia at 4, 8, and 12 months of age. Front Vet Sci. (2022) 9:1087693. [CrossRef]
- Fanchon L, Grandjean D. Accuracy of asymmetry indices of ground reaction forces for diagnosis of hind limb lameness in dogs. Am J Vet Res. (2007) 68(10):1089-94. [CrossRef]
- Skurla CT, Egger EL, Schwarz PD, James SP. Owner assessment of the outcome of total hip arthroplasty in dogs. J Am Vet Med Assoc. (2000) 217(7):1010-2. [CrossRef]
- Allaith S, Tucker LJ, Innes JF, Arthurs G, Vezzoni A, Morrison S, et al. Outcomes and complications reported from a multiuser canine hip replacement registry over a 10-year period. Vet Surg. (2023) 52(2):196-208. [CrossRef]
- Forster KE, Wills A, Torrington AM, Moores AP, Thomson D, Arthurs G, et al. Complications and owner assessment of canine total hip replacement: a multicenter internet based survey. Vet Surg. (2012) 41(5):545-50. [CrossRef]
- Gaspar AR, Hayes G, Ginja C, Ginja MM, Todhunter RJ. The Norberg angle is not an accurate predictor of canine hip conformation based on the distraction index and the dorsolateral subluxation score. Prev Vet Med. (2016) 135:47-52. [CrossRef]
- Janssens L, De Ridder M, Verhoeven G, Gielen I, van Bree H. Comparing Norberg angle, linear femoral overlap and surface femoral overlap in radiographic assessment of the canine hip joint. J Small Anim Pract. (2014) 55(3):135-8. [CrossRef]
- Tomlinson JL, Johnson JC. Quantification of measurement of femoral head coverage and Norberg angle within and among four breeds of dogs. Am J Vet Res. (2000) 61(12):1492-500. [CrossRef]
- Borostyankoi F, Rooks RL, Kobluk CN, Reed AL, Littledike ET. Results of single-session bilateral triple pelvic osteotomy with an eight-hole iliac bone plate in dogs: 95 cases (1996-1999). J Am Vet Med Assoc. (2003) 222(1):54-9. [CrossRef]
- Petazzoni M, Tamburro R. Clinical outcomes of double pelvic osteotomies in eight dogs with hip dysplasia aged 10-28 months. Vet Surg. (2022) 51(2):320-9. [CrossRef]
- Greene LM, Marcellin-Little DJ, Lascelles BD. Associations among exercise duration, lameness severity, and hip joint range of motion in Labrador Retrievers with hip dysplasia. J Am Vet Med Assoc. (2013) 242(11):1528-33. [CrossRef]
- Kunst CM, Pease AP, Nelson NC, Habing G, Ballegeer EA. Computed tomographic identification of dysplasia and progression of osteoarthritis in dog elbows previously assigned OFA grades 0 andVet Radiol Ultrasound. (2014) 55(5):511-20. [CrossRef]
- Andronescu AA, Kelly L, Kearney MT, Lopez MJ. Associations between early radiographic and computed tomographic measures and canine hip joint osteoarthritis at maturity. Am J Vet Res. (2015) 76(1):19-27. [CrossRef]
- Bai X, Li J, Zhao Z, Wang Q, Lv N, Wang Y, et al. In vivo evaluation of osseointegration ability of sintered bionic trabecular porous titanium alloy as artificial hip prosthesis. Front Bioeng Biotechnol. (2022) 10:928216. [CrossRef]
- Mirza MZ, Swenson RD, Lynch SA. Knee cartilage defect: marrow stimulating techniques. Curr Rev Musculoskelet Med. (2015) 8(4):451-6. [CrossRef]
- Chamrad J, Marcián P, Cizek J. Beneficial osseointegration effect of hydroxyapatite coating on cranial implant - FEM investigation. PLoS One. (2021) 16(7):e0254837. [CrossRef]
- Schünemann FH, Galárraga-Vinueza ME, Magini R, Fredel M, Silva F, Souza JCM, et al. Zirconia surface modifications for implant dentistry. Mater Sci Eng C Mater Biol Appl. (2019) 98:1294-305. [CrossRef]
- Wang Y, Wang J, Gao R, Liu X, Feng Z, Zhang C, et al. Biomimetic glycopeptide hydrogel coated PCL/nHA scaffold for enhanced cranial bone regeneration via macrophage M2 polarization-induced osteo-immunomodulation. Biomaterials. (2022) 285:121538. [CrossRef]









| Evaluation | Preoperative day (Visit 1) |
Day of surgery (Visit 2) |
1.5 months follow-up (Visit 3) |
3 months follow-up (Visit 4) |
12 months follow-up (Visit 5) |
|---|---|---|---|---|---|
| Radiograph | xa | x | x | - | - |
| CT scan | xb | xb | - | xb | xb |
| Osteophyte size* | x | x | - | x | x |
| OA scoring** | xa,b | x | - | x | x |
| FCI scoring | x | - | - | - | - |
| Force plate gait analysis | x | - | x | x | x |
| HCPI | x | - | x | x | x |
| Ortolani’s test | x | x | x | x | x |
| Evaluation | Visit 1 | Visit 2 |
Visit 3 (24 – 92 days) |
Visit 4 (68 - 289 days) |
Visit 5 (270 - 553 days) |
|---|---|---|---|---|---|
| CT scan* | 61/61 (100%) | 61/61 (100%) | - | 50/61 (82%) | 45/61 (74%) |
| OA scoring* | 61/61 (100%) | 61/61 (100%) | - | 50/61 (82%) | 45/61 (74%) |
| Force plate* | 51/61 (84%) | - | 54/61 (89%) | 46/61 (75%) | 44/61 (72%) |
| HCPI** | 33/41 (80%) | - | 21/41 (51%) | 23/41 (56%) | 25/37Ɨ (68%) |
| Ortolani’s test* | 61/61 (100%) | 61/61 (100%) | 55/61 (90%) | 50/61 (82%) | 45/61 (74%) |
| Outcome measurements | Visit 1 | Visit 2 | Visit 3 | Visit 4 | Visit 5 | p-value | |
|---|---|---|---|---|---|---|---|
|
CT-scan measurements (Mean SD) |
NA (◦) | 88.5 12.6 a | 137.6 19.2 b | - | 134.3 19.0 b | 131.5 17.8 b | < 0.000 |
| LFO (%) | 24.3 16.2 a | 83.8 16.4 b | - | 79.8 18.2 b | 78.1 17.4 b | < 0.001 | |
| PC (%) | 34.7 17.3 a | 82.3 20.0 b | - | 80.2 18.8 b | 77.4 19.5 b | < 0.001 | |
|
GRFs (Mean SD) |
PVF (%BW) | 40.9 5.8 | - | 38.9 4.8 | 39.8 5.4 | 40.9 6.0 | 0.166 |
| P/T index | 0.62 0.1 | - | 0.58 0.1 | 0.59 0.1 | 0.61 0.1 | 0.067 | |
| VI (%BW.s) | 14.2 3.0 | - | 13.8 3.4 | 14.3 3.0 | 14.6 4.0 | 0.705 | |
| Breaking force (%BW) | 6.38 1.7 | - | 6.11 1.6 | 6.41 1.5 | 6.43 1.9 | 0.726 | |
| Propulsion force (%BW) | 6.64 1.5 a | - | 5.99 1.6 a,b | 5.78 1.4 b | 5.58 1.9 b | 0.007 | |
| HCPI (%) (Mean SD) | 30.29 13.55 a | - | 21.86 12.39 b | 19.37 11.54 b | 18.27 12.0 b | 0.002 | |
| Parameters | Dog 1 | Dog 2 | Dog 3 | Dog 4 | |||
|---|---|---|---|---|---|---|---|
| Breed | Newfoundland | Border Collie | German Shepherd dog | Bernese mountain dog | |||
| Age at surgery (m) | 9 | 12 | 7 | 8 | 12 | ||
| Body weight (kg) | 38.6 | 43.7 | 13.8 | 26.8 | 35.6 | ||
| Hip no. | 23 | 34 | 37 | 24 | 25 | 53 | |
| Side | left | right | right | right | left | right | |
| Lead time (days) | 122 | 107 | 48 | 49 | 74 | ||
| FCI score | D | E | E | D | E | B | |
| Preoperatieve NA (◦) | 87 | 83 | 82 | 94 | 86 | 104 | |
| Osteophyte size (mm)* | Visit 1 | 2.4 | 3.4 | 1.7 | 1.8 | 1.9 | 0 |
| Visit 2 | 4.2 | 4.4 | 2.3 | 4 | 3 | 0 | |
| Last CT (days)** | 6.3 (68) | na | na | 7.3 (336) | 5.3(91) | 3.6 (528) | |
| OA scoring* | Visit 1 | 2 | 2 | 1 | 1 | 1 | 0 |
| Visit 2 | 2 | 2 | 2 | 2 | 2 | 0 | |
| Last CT | 3 | na | na | 3 | 3 | 2 | |
| Complication | 2 broken screws and severe OA | broken implant and severe OA | 4 broken screws | severe OA | severe OA | septic arthritis | |
| Follow up time until complication (days) | 246 | 178 | 215 | 291 | 291 | 528 | |
Disclaimer/Publisher’s Note: The statements, opinions and data contained in all publications are solely those of the individual author(s) and contributor(s) and not of MDPI and/or the editor(s). MDPI and/or the editor(s) disclaim responsibility for any injury to people or property resulting from any ideas, methods, instructions or products referred to in the content. |
© 2024 by the authors. Licensee MDPI, Basel, Switzerland. This article is an open access article distributed under the terms and conditions of the Creative Commons Attribution (CC BY) license (http://creativecommons.org/licenses/by/4.0/).