Submitted:
20 November 2023
Posted:
21 November 2023
You are already at the latest version
Abstract
Keywords:
1. Introduction
2. Results
2.1.“. GlycoIg-stain” detects glycosylation on SDS-PAGE gel
2.2. Staining is semi-quantitative
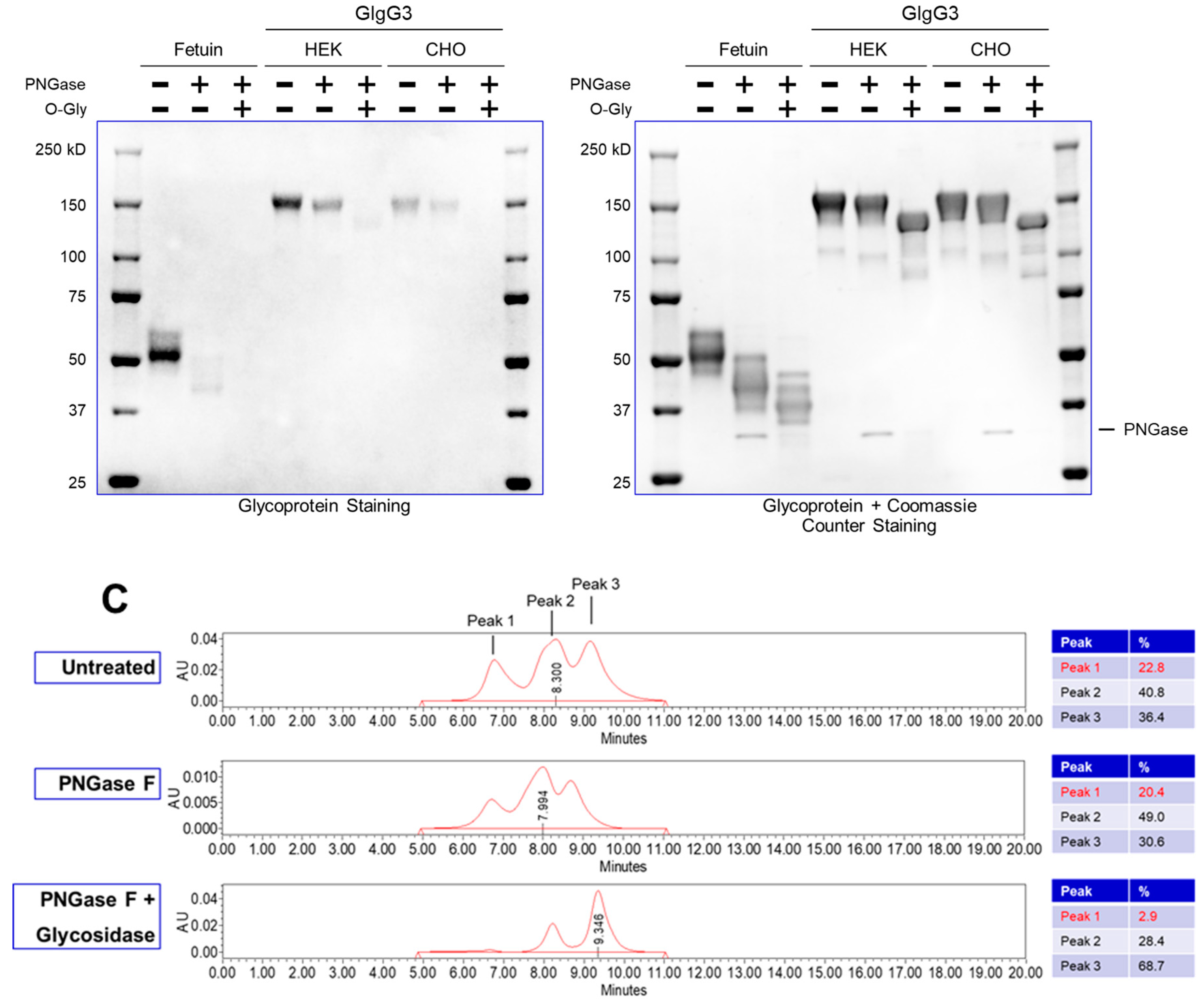
2.3. Glycoprotein staining is independent of glycan architecture
2.4.“. GlycoIg-stain” can detect both linkages (N-linked and O-linked glycosylation) produced from either HEK or CHO cell lines
2.5. Real-time, rapid glycan detection and quantification to guide purification process (ion-exchange)
3. Discussion
4. Materials and Methods
4.1. Materials
4.2. Deglycosylation Reactions
4.3. SDS-PAGE
4.4. “GlycoIg-stain” or staining SDS gel for Glycosylation and Counterstaining with Coomassie
4.5. Gel Imaging and Band Quantitation
4.6. Limits of Detection Quantitation
5. Conclusion
Data Availability
References
- Parodi, A.J., Protein glucosylation and its role in protein folding. Annu Rev Biochem, 2000. 69: p. 69-93. [CrossRef]
- Moremen, K.W., M. Tiemeyer, and A.V. Nairn, Vertebrate protein glycosylation: diversity, synthesis and function. Nat Rev Mol Cell Biol, 2012. 13(7): p. 448-62. [CrossRef]
- Wearsch, P.A., D.R. Peaper, and P. Cresswell, Essential glycan-dependent interactions optimize MHC class I peptide loading. Proc Natl Acad Sci U S A, 2011. 108(12): p. 4950-5. [CrossRef]
- Hayes, J.M., et al., Glycosylation and Fc receptors. Curr Top Microbiol Immunol, 2014. 382: p. 165-99. [CrossRef]
- Sinclair, A.M., Erythropoiesis stimulating agents: approaches to modulate activity. Biologics, 2013. 7: p. 161-74. [CrossRef]
- Chung, C.H., et al., Cetuximab-induced anaphylaxis and IgE specific for galactose-alpha-1,3-galactose. N Engl J Med, 2008. 358(11): p. 1109-17. [CrossRef]
- Shinkawa, T., et al., The absence of fucose but not the presence of galactose or bisecting N-acetylglucosamine of human IgG1 complex-type oligosaccharides shows the critical role of enhancing antibody-dependent cellular cytotoxicity. J Biol Chem, 2003. 278(5): p. 3466-73. [CrossRef]
- Walsh, G., Biopharmaceutical benchmarks 2014. Nat Biotechnol, 2014. 32(10): p. 992-1000. [CrossRef]
- Rudd, P.M., et al., Glycosylation and the immune system. Science, 2001. 291(5512): p. 2370-6. [CrossRef]
- Daëron, M., Fc receptors as adaptive immunoreceptors. Curr Top Microbiol Immunol, 2014. 382: p. 131-64. [CrossRef]
- Lauc, G., et al., Loci associated with N-glycosylation of human immunoglobulin G show pleiotropy with autoimmune diseases and haematological cancers. PLoS Genet, 2013. 9(1): p. e1003225. [CrossRef]
- Saldova, R., et al., 5-AZA-2'-deoxycytidine induced demethylation influences N-glycosylation of secreted glycoproteins in ovarian cancer. Epigenetics, 2011. 6(11): p. 1362-72. [CrossRef]
- Hossler, P., S.F. Khattak, and Z.J. Li, Optimal and consistent protein glycosylation in mammalian cell culture. Glycobiology, 2009. 19(9): p. 936-49. [CrossRef]
- El Khoury, G., et al., Bespoke affinity ligands for the purification of therapeutic proteins. Pharmaceutical Bioprocessing, 2015. 3(2): p. 139-152. [CrossRef]
- Liu, H.F., et al., Recovery and purification process development for monoclonal antibody production. MAbs, 2010. 2(5): p. 480-99. [CrossRef]
- Mariño, K., et al., A systematic approach to protein glycosylation analysis: a path through the maze. Nat Chem Biol, 2010. 6(10): p. 713-23. [CrossRef]
- Beck, A., et al., Characterization of therapeutic antibodies and related products. Anal Chem, 2013. 85(2): p. 715-36. [CrossRef]
- Baković, M.P., et al., High-throughput IgG Fc N-glycosylation profiling by mass spectrometry of glycopeptides. J Proteome Res, 2013. 12(2): p. 821-31. [CrossRef]
- Zaia, J., Mass spectrometry and the emerging field of glycomics. Chem Biol, 2008. 15(9): p. 881-92. [CrossRef]
- Mittermayr, S., et al., Multiplexed analytical glycomics: rapid and confident IgG N-glycan structural elucidation. J Proteome Res, 2011. 10(8): p. 3820-9. [CrossRef]
- Varki, A., Biological roles of oligosaccharides: all of the theories are correct. Glycobiology, 1993. 3(2): p. 97-130. [CrossRef]
- Lefebvre, T., et al., Does O-GlcNAc play a role in neurodegenerative diseases? Expert Rev Proteomics, 2005. 2(2): p. 265-75. [CrossRef]
- Eklund, E.A. and H.H. Freeze, The congenital disorders of glycosylation: a multifaceted group of syndromes. NeuroRx, 2006. 3(2): p. 254-63. [CrossRef]
- Helenius, A. and M. Aebi, Intracellular functions of N-linked glycans. Science, 2001. 291(5512): p. 2364-9. [CrossRef]
- Ellgaard, L., M. Molinari, and A. Helenius, Setting the standards: quality control in the secretory pathway. Science, 1999. 286(5446): p. 1882-8. [CrossRef]
- Essentials of Glycobiology, in Essentials of Glycobiology, A. Varki, et al., Editors. 2009, Cold Spring Harbor Laboratory Press Copyright © 2009, The Consortium of Glycobiology Editors, La Jolla, California.: Cold Spring Harbor (NY).
- Tabak, L.A., The role of mucin-type O-glycans in eukaryotic development. Semin Cell Dev Biol, 2010. 21(6): p. 616-21. [CrossRef]
- Jedrzejewski, P.M., et al., Applying quality by design to glycoprotein therapeutics: experimental and computational efforts of process control. Pharmaceutical Bioprocessing, 2013. 1(1): p. 51-69. [CrossRef]
- del Val, I.J., C. Kontoravdi, and J.M. Nagy, Towards the implementation of quality by design to the production of therapeutic monoclonal antibodies with desired glycosylation patterns. Biotechnol Prog, 2010. 26(6): p. 1505-27. [CrossRef]
- Rathore, A.S., Roadmap for implementation of quality by design (QbD) for biotechnology products. Trends Biotechnol, 2009. 27(9): p. 546-53. [CrossRef]
- Wardi, A.H. and G.A. Michos, Alcian blue staining of glycoproteins in acrylamide disc electrophoresis. Anal Biochem, 1972. 49(2): p. 607-9. [CrossRef]
- Green, M.R., J.V. Pastewka, and A.C. Peacock, Differential staining of phosphoproteins on polyacrylamide gels with a cationic carbocyanine dye. Anal Biochem, 1973. 56(1): p. 43-51. [CrossRef]
- Clarke, J.T., SIMPLIFIED "DISC" (POLYACRYLAMIDE GEL) ELECTROPHORESIS. Ann N Y Acad Sci, 1964. 121: p. 428-36.
- Schiestl, M., et al., Acceptable changes in quality attributes of glycosylated biopharmaceuticals. Nat Biotechnol, 2011. 29(4): p. 310-2. [CrossRef]
- Research, C.f.D.E.a.R.C.f.B.E.a., Quality Considerations in Demonstrating Biosimilarity of a Therapeutic Protein Product to a Reference Product Guidance for Industry. FDA Guidance Document, 2015. FDA-2011-D-0602.
- Use, C.f.M.P.f.H., Guideline on similar biological medicinal products containing biotechnology-derived proteins as active substance: quality issues (revision 1). European Medicines Agency, 2014.
- Liu, H., et al., Characterization of lower molecular weight artifact bands of recombinant monoclonal IgG1 antibodies on non-reducing SDS-PAGE. Biotechnol Lett, 2007. 29(11): p. 1611-22. [CrossRef]
- Taylor, F.R., et al., Suppression of sodium dodecyl sulfate-polyacrylamide gel electrophoresis sample preparation artifacts for analysis of IgG4 half-antibody. Anal Biochem, 2006. 353(2): p. 204-8. [CrossRef]
- Zhu, Z.C., et al., Investigation of monoclonal antibody fragmentation artifacts in non-reducing SDS-PAGE. J Pharm Biomed Anal, 2013. 83: p. 89-95. [CrossRef]






| Name | Size (kDa) | pI | Cell line | Transfection type | Glycosylation |
|---|---|---|---|---|---|
| G-IgG1 | 133.95 | 6.3 | HEK/CHO | Transient/Stable | N-linked |
| G-IgG2 | 101.82 | 6.2 | CHO | Stable | N-linked |
| G-IgG3 | 111.28 | 8.7 | HEK/CHO | Transient/Stable | N-linked + O-linked |
| G-IgG4 | 77.63 | 6.1 | CHO | Stable | N-linked |
| Method # | Enzymatic (PNGase) | “GlycoIg Stain” method |
|---|---|---|
| Cost (estimated; 100 samples) | < $500 | < $500 |
| Time (estimated) excluding SDS-PAGE) | 1h-24h | 1h |
| Estimation quality | Qualitative | Semi-quantitative |
| Number of gels | One | One (compatible with Coomassie Blue à protein loading control) |
Disclaimer/Publisher’s Note: The statements, opinions and data contained in all publications are solely those of the individual author(s) and contributor(s) and not of MDPI and/or the editor(s). MDPI and/or the editor(s) disclaim responsibility for any injury to people or property resulting from any ideas, methods, instructions or products referred to in the content. |
© 2023 by the authors. Licensee MDPI, Basel, Switzerland. This article is an open access article distributed under the terms and conditions of the Creative Commons Attribution (CC BY) license (http://creativecommons.org/licenses/by/4.0/).