Preprint
Case Report

This version is not peer-reviewed.

Stifle joint Arthrodesis for Treating Chronic Osteoarthritis in a Dog

A peer-reviewed article of this preprint also exists.

Submitted:

08 May 2023

Posted:

09 May 2023

You are already at the latest version

Abstract
A two-year-old male Pomeranian dog visited the hospital due to side effects of surgical correction for patellar luxation. Stifle joint arthrodesis (SJA) was performed on the patient’s right leg using autologous bone grafting techniques. The right leg’s femur and tibial joint were angled 120-130◦ and the SJA plate was fixed on the front of the two bones. After performing joint fusion of the right limb, medial patellar luxation (MPL)-corrective surgery was performed to cut the tibial tuberosity on the left leg and the fixing force was increased using the figure-of-eight tension band wiring technique. The results were observed for walking and trotting of the right hind limb, evaluated for 27 days after surgery. It was difficult for the patient to walk because weight loading was not performed for 3 days after surgery; short strides and partial weight bearing were possible 5 to 7 days after surgery. After 10 days, the patient was able to move while bearing weight with a slight disruption. For trotting, the patient showed intermittent normal steps 5 to 7 days after surgery, but the disruption continued. After 14 days, trotting was possible and movements were shown to be maintained during everyday activities.
Keywords: 
;  ;  ;  

1. Introduction

Stifle joint arthrodesis (SJA) is one of the best treatment methods for highly virulent infections, loss of stifle flexion/extension and weakened joints due to bone loss. SJA is per-formed using various fixing methods such as external fixation, plate internal fixation and intramedullary bone fixation [1,2,3]. Recently, autologous cancellous bone grafts have been used in cases of bone loss or where removal is required due to excessive inflammatory damage to cartilage or bone in joints [4]. Cancellous bones are also transplanted to supply various forms of proteins and cells in septic orthopedic injury treatment [5]. There are cases in which joint fusion was applied due to inflammation caused by a fracture of the cubital joint and a fracture of the femur in dogs. In horses, proximal interphalangeal joint arthrodesis has been performed to treat osteoarthritis [6,7,8].
Movement of the stifle joint can be restricted and can cause lameness due to cartilage damage or inflammation caused by stifle joint luxation, which has a prevalence of 10-20% in dogs [9,10]. After surgery, 55% of dogs suffered damage to the stifle cartilage, and 26.3% of these were cruciate ligament ruptures, 43% were of minor complications and 18% were of severe complications [11]. In the event of severe complications accompanied by cartilage damage after medial patellar luxation (MPL), SJA can be an effective surgical method because, otherwise, patients’ quality of life deteriorates due to severe pain and sensory abnormalities.
In this case, a 2-year-old neutered male Pomeranian dog underwent operations to correct MPL twice 5 months ago, but failed to recover and, thus, visited the hospital. This study attempted to evaluate the degree of recovery after applying SJA in patients with se-vere chronic osteoarthritis and lameness due to complications related to repeated reoperation.

2. Materials and Methods

2.1. History and presurgery

A 2-year-old, 3.9 kg neutered male Pomeranian dog visited the animal hospital with lameness. Normal gait was impaired because the stifle joints of both hind limbs were not loaded with continuous weight bearing. The dog had difficulty using both hind legs due to inflammation and pain caused by the failure of bilateral MPL-corrective surgeries per-formed five months prior. On inspection and palpation, there was a dislocation in the left patella of the hind limb. The tibial tuberosity was internally rotated and the right patella was not detected at palpation. The patient had insoluble muscular atrophy in both hind limbs due to lameness in the stifle joint, and local heat sensation was reported around the stifle joint. Pain and discomfort were accompanied during flexion and extension, and muscular atrophy was confirmed in both hind limbs. The patient preferred to have the knee flexed.
According to X-ray imaging, the screw fixating the bone fragment to the tibial tubercle in the right hind limb remained, and the patella was not recognized in the radiography view, which was consistent with results following palpation (Figure 1A and B). Bone pro-liferation appeared and edema was observed around the stifle joint (Figure 1A and B). Se-vere MPL, periostitis and edema around the stifle joint in the left hind limb were observed (Figure 1A and C). Following a physical examination, neutrophils were reported as slightly increased at 11.71 μL (78.2%), suggesting that inflammatory responses were in progress (Table 1).
The MPL procedure was performed in the left stifle joint because the patella was pre-sent, the joint cartilage was not severely damaged and the cruciate ligament was not rup-tured. In contrast, it was decided to perform the SJA procedure in the right leg because there was no patella, the cruciate ligament was ruptured and arthritis was severe.
Before surgery, antibiotic and anti-inflammatory drugs were applied for about a month to relieve pain, edema and arthritis, and then the surgery was performed. For treatment, amoxicillin/clavulanic acid (Amocla, KUHNIL corp., 12.5 mg/kg) and carprofen (RIMADYL, Zoetis Inc., 2.2 mg/kg) were prescribed bid for 4 weeks. After one month, radiographic findings confirmed that inflammation and edema in both stifle joints were reduced (Figure 2). The owner was informed that stifle joint arthrodesis was to be performed on the right hind limb due to severe osteoarthritis, loss of the patella and rupturing of the cranial cruciate ligament, and that MPL correction was to be performed on the left leg, and the consent of the guardian was obtained.

2.2. Preoperative preparation

Before surgery, the surgical site was shaved to create a sterile area and Betadine (Povidone iodine, Sungkwang Pharm., Korea) was applied for 20 minutes to sterilize the site. Betadine was removed with 70% alcohol, and the surgical area to be operated on was thoroughly disinfected. Next, sterile surgical cloth was placed on the affected area to pre-vent contamination. Cefazolin (25 mg/kg, Cefazolin Inj. Chong Kun Dang Pharm, Korea) was injected intravenously. Propofol 10 mg/kg (Provive, Myungmoon Pharm, Korea) was injected intravenously as a preanesthetic for tracheal intubation, and the patient was positioned in dorsal recumbency for the surgery. After intubation using an endotracheal tube (Rushelit, size ID 3.5 mm, OD 5.3 mm, Teleflex, Malaysia), general anesthesia using isoflurane (Ifran, Hana Pharm, Korea) was induced by forced breathing using a respiratory anesthetic machine (Drager primus, Dragerwerk AG & Co. KGaA, Germany) with a volume of 50 to 60 cc. In addition, normal saline (Saline 100 ml Bag, Sejung Korea, Korea) was instilled intravenously to maintain adequate perfusion and circulation during surgery.

2.3. Stifle arthrodesis

A skin incision in the right stifle joint for SJA was made anteriorly between the right femur and tibia. The skin and fascia were cut into a 15 cm longitudinal section, and the fascia were isolated by approaching the medial side of the quadriceps femoris muscle (Figure 3A).
After incising the articular capsule, the femur and tibia were exposed by rotating the joint capsule 180° laterally using Allis tissue forceps (23cm, KASCO, Pakistan) (Figure 3B). A rupture of the cranial cruciate ligament was confirmed in the process of exposing the stifle joint. The tissue attached around the stifle joint was partially removed, and fibrous adhesive tissue that interfered with flexural movement was separated and removed (Figure 3C). The distal end of the femur and the proximal end of the tibia were flattened with a bone file and rasp (Bone rasp and File, Professional, Pakistan) and a rongeur (Single bone rongeur, 12cm, Mabson industry, Pakistan), allowing the plate and the joint surface to be attached. Cancellous bone was extracted during the process of flattening the joint surface. It was stored in an empty syringe to avoid contamination as an autologous graft for improving bone union. In order to fix the stifle joint at an angle of 120-130°, a guide pin using K-wire (1.4mm×229mm, General Vet Products, Australia) was inserted through the medial surface of the tibia in an upward direction of 45° to medial condyle of the femur. In the same way, the stifle joint was fixed using two guide pins in an 'x' shape (Figure 4AB, d). Cancellous bone tissue was transplanted into the stifle joint cavity. The angle and location of the plate (ID = 2.0 mm and length = 8.5 cm, Orthotech, Korea) for SJA were confirmed using a C-arm machine (7700 Compact C-Arm, Hi Tech International Group Inc, America) and fixed on the front of the femur and tibia. The screws used for fixing the plate were 1.5 mm and 2.0 mm in size (Veterinary Instrumentation, Doiff, Korea) and were inserted from the proximal part of the femur to the distal part and, alternately, from the distal part of the tibia to the proximal part (Figure 4A and B).

2.4. Reconstruction of MPL

After performing SJA of the right hind limb, MPL correction in the left hind limb was performed. The approach was carried out by making a vertical incision of about 10 cm in the craniolateral parts around the stifle joint. After the fascia and articular capsule were incised to expose the trochlea of the femur, tracheoplasty was performed in a wedge shape to secure the depth of the trochlea. Then, the shaped articular cartilage was inserted into the femoral trochlea. Then, a tibial tuberosity which had moved toward the inside was cut using a bone saw and moved laterally to fit the patella into the trochlear groove with K-wire (Figure 4A and C). The stability was further enhanced using the figure-of-eight tension band wiring technique. Before suturing, the distal tibia was rotated internally and externally 2-3 times to confirm that the patella (Figure 4A and C) remained stable in the newly formed trochlear groove. Subsequently, routine closure was performed in the order of joint capsule, muscle, subcutaneous tissue and skin.

2.5. Postoperative management

After SJA and MPL surgery, cephalexin capsules (25 mg/kg, Donghwa Pharm, Korea) and carprofen tablets (2.2 mg/kg, Zoetis Inc, America) were prescribed bid for 10 days to prevent inflammation. During the hospitalization period after the surgery, a cold com-press was applied to the stifle joint twice a day for pain management, and proprioceptive exercises were performed for 5-10 minutes twice a day on a balance ball to prevent muscle atrophy and balance loss. For the rest of the time, the patient was allowed to rest in the cage for sufficient recovery. For 3 days following surgery, the dog’s lameness score was checked and light walking was induced twice a day for 10-20 minutes without a leash to prevent muscular atrophy. Ten days after surgery, the patient was discharged after being prescribed carprofen sid 4.4 mg/kg for 20 days for pain relief because there was no evident problem.

2.6. Lameness score

The lameness score was evaluated on postoperative days 3, 5, 7, 10, 14, 17, 22 and 27 during walking and trotting on the right hind limb to assess the degree of recovery. The evaluation was performed using the method proposed by Millis and Levine [12] (Table 2). Walking and trotting were evaluated by video recordings. Walking is characterized by a four-beat gait, while a diagonal fast two-beat gait is classified as trotting.

2.7. Results

After performing SJA and MPL surgery on the patient, the walking of the right hind limb was observed for 27 days, and the results are shown in Figure 5. For 3 days after surgery, walking was at grade 5 and did not carry a continuous weight load. From days 5 to 7, walking improved to grade 3, and the dog was able to take short steps and partial weight bearing was possible (Figure 5A). From days 14 to 27, walking improved to grade 1 with slight lameness, but the patient was able to bear weight and move around (Figure 5A). In the trotting analysis, the dog could not load his weight and trotting was at grade 5 for the first 3 days after surgery, and grade 2 from days 5 to 7, with occasional normal trotting but still showing lameness (Figure 5B). From days 10 to 27, trotting improved to grade 1, with slight lameness, but the dog was able to trot normally (Figure 5B).

3. Discussion

In dogs and cats, stifle osteoarthritis causes pain, reduces activity levels and causes lameness orthopedically [13]. The most common cause of stifle osteoarthritis is luxating patella (LP), but severe stifle osteoarthritis is one of the main causes of cranial cruciate ligament rupture (CCLR) [14,15]. The cranial cruciate ligament is the most important element in maintaining and protecting stifle joint function in dogs and cats. CCLR is more likely to occur in large dogs with an active lifestyle than in small dogs, with a 5.5 times higher probability, and for every 5 kg increase in body weight, the complication rate in-creases by 1.3 times. In small dogs, it can also occur due to inflammation after LP surgery [11]. In particular, Pomeranians are the breed most affected by LP, accounting for 41.2% of cases evaluated from 1974 to 2012 [16]. SJA is applied when pain and dysfunction are severe or when it is impossible to use other surgical options. Thus, SJA is performed as a surgical treatment to reduce pain and improve quality of life [17].
This is a case report on the use of SJA in a 2-year-old Pomeranian who underwent two surgeries for MPL treatment, but did not fully recover and developed CCLR, joint inflammation, hind limb lameness and persistent pain. SJA is a surgical method to alleviate pain and maximize joint mobility by connecting joint surfaces together and then fixing them with plates and screws, allowing normal daily life activities when complete recovery is achieved. This method is used in cases where the joint is damaged due to congenital abnormalities or inflammation caused by trauma, causing difficulty in maintaining normal joint function. The use of autologous cancellous grafts is recommended if there is a great deal of damage to the joint area or if recovery from septic damage is required [6]. In this study, the patient had CCLR, severe pain and inflammation in the stifle joint and loss of joint function. Therefore, we performed SJA with autogenous cancellous grafting on the right limb and MPL-corrective surgery on the left limb. Gait analysis was conducted to observe the results of walking and trotting through the lameness score after surgery. Before the surgery, the patient was unable to walk on the right hind limb and relied on the left hind limb for daily activities. During palpation of the hind limb area, the patient screamed due to pain and could not be treated. However, three days after surgery, the pain had al-most disappeared, and the patient tried to bear weight on the right hind limb with some intermittent stepping. By the fifth day, the patient was observed walking with obvious lameness. After 10 days, walking was possible at grade 1, and the patient showed only a slight degree of lameness that did not interfere with daily activities. However, there was compensatory abnormal walking, and trotting reached grade 1 after 14 days, which was 4 days later than walking.
Since the stifle joint was fixed using SJA, compensatory gait was observed during walking and trotting using the hip and tarsal joints. This was not a normal movement, but showed a circumduction gait in the form of a line motion. We suggest that there are no more after-effects because the stifle joint did not show any signs of instability, and there was no swelling or inflammation a month after surgery. When autogenous cancellous grafting using the metaphyses of the humerus was performed with cubital joint arthrodesis, successful fusion was observed 6 weeks after surgery, with some lameness remaining, but stable fixation of the joint and improvement in walking were observed, which constitute results similar to those of this study [18].
Since dogs have four legs on the ground and have different weight distributions, there is a difference in the proportion of weight loads on the cranial and caudal legs. In general, dogs support about 30% of their body weight on each of the cranial legs and 20% on each of the caudal legs in a standing position. Regarding the difference between walking and trotting, walking speeds in medium and large dogs range from 0.7 to 1.0 m/sec, during which about 60% of the weight is applied to the fore limbs and 40% to the hind limbs. In the case of trotting, the speed ranges from 1.7 to 2.0 m/sec, and the weight bearing is 100 to 120% on each front limb and 65 to 70% on each hind limb [12]. If a dog moves to reduce weight bearing on a limb, the weight bearing on the other limbs increases. If this condition persists for a long time, a limb that is under constant load can cause joint problems, so it is necessary to treat the painful limb as soon as possible.
In this case, the patient was unable to use the right hind limb due to the side effects of two stifle joint surgeries; however, walking and trotting were possible about 14 days after SJA and MPL operations, reducing the weight bearing on the left hind limb. The lameness score shown in Figure 5 is a widely used tool in dog lameness evaluation because walking and trotting are easily evaluated without specialized equipment. Since dogs walk symmetrically, the degree of walking can be easily distinguished visually. When measuring lameness, the degree of lameness is insufficiently confirmed in walking due to the low amount of force, but the degree of lameness increases in trotting, which induces a higher amount of force when compared to walking. Therefore, to evaluate walking in detail, both walking and trotting gaits should be examined.

4. Conclusions

In the present study, we evaluated the degree of recovery through walking and trot-ting lameness scores after SJA in a patient who could not use their hind limb due to side effects after MPL-corrective surgery. Through future technological advances, it is hoped that SJA will be widely used as a surgical method for recovery in animals suffering from joint pain.

Author Contributions

S.H.L., Y.H.R., D.B.L., J.H.C. and C.H.K. contributed to the data collection and execution. S.H.L., Y.H.R., D.B.L., J.H.C. and C.H.K. contributed to the data interpretation. S.H.L and C.H.K. contributed to the study design, data interpretation, and manuscript preparation. All authors have read and agreed to the published version of the manuscript.

Conflicts of Interest

The authors declare no conflict of interest.

References

  1. Conway, J.D.; Mont, M.A.; Bezwada, H.P. Arthrodesis of the knee. J Bone Joint Surg Am. 2004, 86, 835-848.
  2. Klinger, H.M.; Spahn, G.; Schultz, W.; Baums, M.H. Arthrodesis of the knee after failed infected knee arthroplasty. Knee Surg Sports Traumatol Atrhrosc. 2006, 14, 447-453. [CrossRef]
  3. Choi, N.Y.; In, Y.; Yang, Y.J.; Kim, J.I. Arthrodesis of the Knee with a Huckstep Nail Following the Treatment Failure of an Infected Total Knee Arthroplasty. Knee Surgery & Related Research. 2008, 20, 175-180. [CrossRef]
  4. Seo, J.P.; Yamaga, T.; Tsuzuki, N.; Yamada, K.; Haneda, S.; Furuoka, H.; Tabata, Y.; Sasaki, N. Minimally invasive proximal interphalangeal joint arthrodesis using a locking compression plate and tissue engineering in horses: A pilot study. Can Vet J. 2014, 55, 1050-1056.
  5. Groom, L.J.; Gaughan, E.M.; Lillich, J.D.; Valentino, L.W. Arthrodesis of the proximal interphalangeal joint affected with septic arthritis in 8 horses. Can Vet J. 2000, 41, 117-123.
  6. Seo, J.Y.; Park, J.Y.; Cho, J.Y.; Kim, B.H.; Seo, J.P. Proximal Interphalangeal Joint (PIPJ) Arthrodesis for Treating PIPJ Osteo-arthritis in a Horse. J vet Clin. 2019, 36, 292-295.
  7. Silveira, F.; Isobel, C.M.; Anna, M.C.; Macdonald, N.J.; Rutherford, S.; Tiffinger, K.; Faux, I.; Alvarez, J.R,; Kulendra, E.; Tav-ola, F.; Santos, B.; Burton, N.J. Outcome following surgical stabilization of distal diaphyseal and supracondylar femoral fractures in dogs. Can Vet J. 2020, 61, 1073-1079.
  8. Elaine, V.D.; Aaron. R.; Stan. V.; Guillaume, R.; Albert, C.L.; Brianna, M.; Ron, B.A. Evaluation of post-operative complica-tions, outcome, and long-term owner satisfaction of elbow arthrodesis (EA) in 22 dogs. PLoS ONE. 2021, 16, 1-12. [CrossRef]
  9. Baker, S,G.; Roush, J.K.; Unis, M.D.; Wodiske, T. Comparison of four commercial devices to measure limb circumference in dogs. Vet Comp Orthop Traumatol. 2010, 6, 406-410. [CrossRef]
  10. Linney, W.R.; Hammer, D.L.; Shott, S. Surgical treatment of medial patellar luxation without femoral trochlear groove deepening procedures in dogs: 91 cases (1998–2009). J Am Vet Med Assoc. 2011, 23, 1-5. [CrossRef]
  11. Stanke, N.J.; Stephenson, N.; Hayashi, K. Retrospective risk factor assessment for complication following tibial tuberosity transposition in 137 canine stifles with medial patellar luxation. Can Vet J. 2014, 55, 349-356.
  12. Millis, D.L.; Levine, D. Canine Rehabilitation and Physical Therapy. Philadelphia, PA: Elsevier. 2014. 2nd Edition.
  13. Sarierler, M.; Akin, I.; Belge, A.; Kilic, N. Patellar fracture and patellar tendon rupture in a dog. Turk J Vet Anim Sci. 2013, 37, 121-124. [CrossRef]
  14. Pond, M.G.; Nuki, G. Experimental-induced osteoarthritis in the dog. Ann Rheum Dis. 1973, 32, 387-388. [CrossRef]
  15. Vasseur, P.B.; Berry, C.R. Progression of stifle osteoarthrosis following reconstruction of the cranial cruciate ligament in 21 dogs. J Am Anim Hosp Assoc. 1992, 28, 129-136.
  16. Wangdee, C.; Theyse, L.F.H.; Techakumphu, M.; Soontornvipart, K.; Hazewinkel, H.A. Evaluation of surgical treatment of medial patellar luxation in Pomeranian dogs. Vet Comp Orthop Traumatol. 2013, 26, 435–439. [CrossRef]
  17. Cook, J.L.; Payne, J.T. Surgical Treatment of Osteoarthritis James. Vet Clin North Am Small Anim Prct. 1997, 27, 931-944.
  18. Lee, H.I.; Alam, R.; Kim, N.S. Elbow Arthrodesis with bone Autograft for the Management of Gunshot Fracture in a Dog. J Vet Clin. 2005, 22, 60-64.
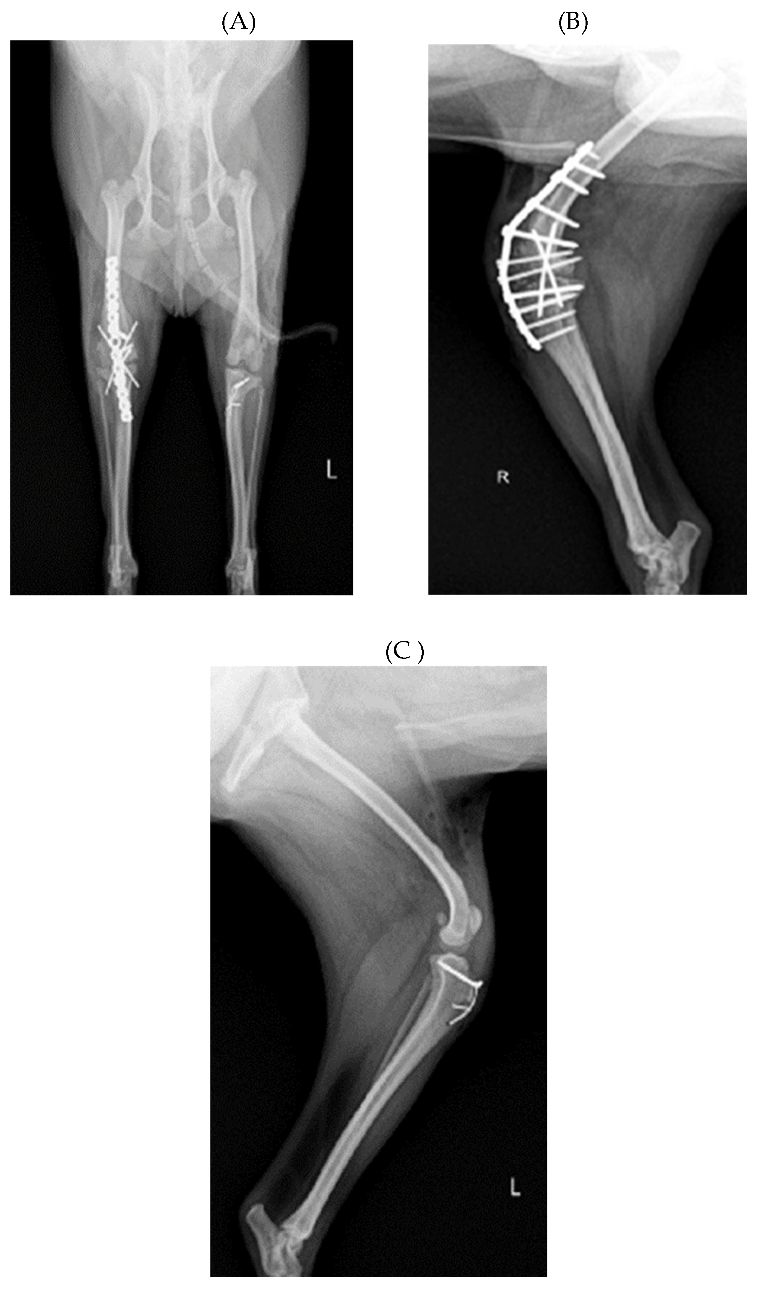
Figure 1. A 2-year-old Pomeranian dog had chronic weight-bearing lameness of the stifle joints in both hind limbs. (A) Craniocaudal radiographic views of the stifle joints of the dog. (B) Lateral radiographic views of the right stifle joints. (C) Medial radiographic views of the left stifle joints. a: osteophyte, b: periostitis, c: residual screw for tibial tuberosity transposition, d: periostitis, R: right, L: left.
Figure 1. A 2-year-old Pomeranian dog had chronic weight-bearing lameness of the stifle joints in both hind limbs. (A) Craniocaudal radiographic views of the stifle joints of the dog. (B) Lateral radiographic views of the right stifle joints. (C) Medial radiographic views of the left stifle joints. a: osteophyte, b: periostitis, c: residual screw for tibial tuberosity transposition, d: periostitis, R: right, L: left.
Preprints 73081 g001
Figure 2. Preoperative craniocaudal (A) and mediolateral (B, C) radiograph of the right and left stifle joints. Antiinflammatory drugs reduced pain, lower fever, and decrease in-flammation (swelling and damage) after the drugs applied for about a month. Arrow showed images with significantly reduced inflammation and edema compared to a month ago.
Figure 2. Preoperative craniocaudal (A) and mediolateral (B, C) radiograph of the right and left stifle joints. Antiinflammatory drugs reduced pain, lower fever, and decrease in-flammation (swelling and damage) after the drugs applied for about a month. Arrow showed images with significantly reduced inflammation and edema compared to a month ago.
Preprints 73081 g002
Figure 3. Intraoperative images of the stifle joint. (A) The process of removing the attached tissue around the joint to expose the stifle joint. (B) The process of exposing the stifle joint and identifying the cranial cruciate ligament injury and degenerative arthritis. (C) Process of removing adhesive tissue for stifle joint arthrodesis.
Figure 3. Intraoperative images of the stifle joint. (A) The process of removing the attached tissue around the joint to expose the stifle joint. (B) The process of exposing the stifle joint and identifying the cranial cruciate ligament injury and degenerative arthritis. (C) Process of removing adhesive tissue for stifle joint arthrodesis.
Preprints 73081 g003
Figure 4. Radiograph images performed the stifle joint arthrodesis on right hind limbs and the medial patellar luxation correction on the left hind leg. (A) Craniocaudal radiographic view of the both stifle joint. (B) Medioalteral radiopraphic view of stifle joints following SJA. (C) Postoperative mediolateral view of MPL in the left hindlimb.
Figure 4. Radiograph images performed the stifle joint arthrodesis on right hind limbs and the medial patellar luxation correction on the left hind leg. (A) Craniocaudal radiographic view of the both stifle joint. (B) Medioalteral radiopraphic view of stifle joints following SJA. (C) Postoperative mediolateral view of MPL in the left hindlimb.
Preprints 73081 g004
Figure 5. Variation in values of lameness score after operation of SJA and MPL. (A) Walk assessment. (B) Trot assessment.
Figure 5. Variation in values of lameness score after operation of SJA and MPL. (A) Walk assessment. (B) Trot assessment.
Preprints 73081 g005
Table 1. Complete blood cell count and blood biochemistry.
Table 1. Complete blood cell count and blood biochemistry.
Description Result Unit Reference range
HCT 43.4 % 37.3∼61.7
HGB 14.6 g/dL 13.1∼20.5
RBC 7.57 10x12/L 5.65∼8.87
MCH 19.3 pg 21.2∼25.9
MCHC 33.6 g/dL 32∼37.9
MCV 57.3 fL 61.6∼73.5
RDW-CV 23.2 % 13.6∼21.7
RETIC 57.5 10x3/μL 10∼110
PLT 494 10x9/L 148∼484
MPV 14.2 fL 8.7∼13.2
PCT 0.7 % 0.14∼0.46
WBC 14.99 10x9/L 5.05∼16.76
WBC-BASO 0.02 10x9/L 0∼0.1
WBC-EOS 0.66 10x9/L 0.06∼1.23
WBC-LYM 2.1 10x/L 1.05∼5.1
WBC-MONO 0.5 10x9/L 0.16∼1.12
WBC-NEU 11.71 10x9/L 2.95∼11.64
RETHGB 22.3 K/uL 22.3∼29.6
ALT 85 U/L 10∼125
ALKP 82 U/L 23∼212
BUN 15 mg/dl 7∼27
CREA 0.6 mg/dl 0.5∼1.8
BUN/CR 27 mg/dl 6∼20
TP 7.4 g/L 5.2∼8.2
ALB 3.4 g/L 2.3∼4
GLOB 4 g/L 2.5∼4.5
GLU 82 mg/dl 74∼143
Table 2. Lameness Evaluation at a Walk and a Trot.
Table 2. Lameness Evaluation at a Walk and a Trot.
Score Assessment
Lameness Evaluation at a Walk
0 Walks normally; Trots normally
1 Slight lameness; Slight lameness
2 Obvious weight-bearing lameness
3 Severe weight-bearing lameness
4 Intermittent non–weight-bearing lameness
5 Continuous non–weight-bearing lameness
Lameness Evaluation at a Trot
0 Trots normally
1 Slight lameness
2 Obvious weight-bearing lameness
3 Severe weight-bearing lameness
4 Intermittent non–weight-bearing lameness
5 Continuous non–weight-bearing lameness
Disclaimer/Publisher’s Note: The statements, opinions and data contained in all publications are solely those of the individual author(s) and contributor(s) and not of MDPI and/or the editor(s). MDPI and/or the editor(s) disclaim responsibility for any injury to people or property resulting from any ideas, methods, instructions or products referred to in the content.
Copyright: This open access article is published under a Creative Commons CC BY 4.0 license, which permit the free download, distribution, and reuse, provided that the author and preprint are cited in any reuse.
Prerpints.org logo

Preprints.org is a free preprint server supported by MDPI in Basel, Switzerland.

Subscribe

Disclaimer

Terms of Use

Privacy Policy

Privacy Settings

© 2026 MDPI (Basel, Switzerland) unless otherwise stated