Submitted:
23 December 2025
Posted:
23 December 2025
You are already at the latest version
Abstract
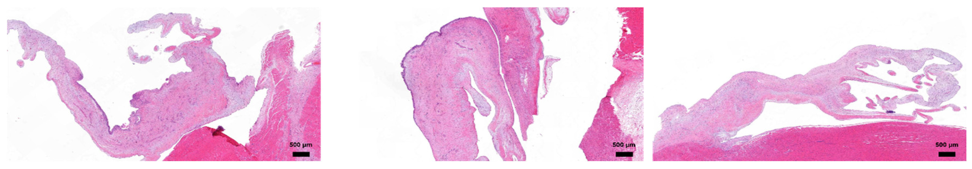
Polyurethane-based implantable devices(PUIDs) delivered via catheter are increasingly used in structural heart interventions; however, limited in vivo data exist regarding their long-term biostability and biological safety. This study evaluated a balloon-shaped implant made of Pellethane®, a polyether-based polyurethane, designed as a three-dimensional intracardiac spacer and deployed via percutaneous femoral vein access. The device was chronically positioned adjacent to the tricuspid valve annulus in seven pigs for 24 weeks. Explanted devices and surrounding tissues were evaluated through material characterization (SEM, GPC, FT-IR, and 1H-NMR) and histological analysis. SEM and FT-IR confirmed preserved surface morphology and chemical bonds, GPC showed stable molecular weight, and ¹H-NMR revealed intact urethane and ether linkages. Materials characterization revealed no evidence of hydrolytic or oxidative degradation, indicating structural stability of the devices. Histological analysis showed stable device positioning with minimal thrombosis or inflammatory response. Biocompatibility was confirmed via ISO 10993-1:2018 Standard, and extractable substances were evaluated under aggressive extraction conditions specified by ISO 10993-18:2020, with no toxicologically significant findings. These findings support the long-term biostability and biological safety of the PUIDs in dynamic cardiac environments, informing future design criteria for catheter-delivered cardiovascular devices.
