Submitted:
25 June 2025
Posted:
26 June 2025
You are already at the latest version
Abstract
Keywords:
1. Introduction
2. Materials and Methods
2.1. Ovariectomized Rat Model
2.2. Lipid Peroxidation
2.3. Cytosolic Iron Assay
2.4. GPX4 Activity
2.5. Staining and Immunohistochemistry Analysis
2.6. Electron Microscopy
2.7. Real-Time Quantitative Polymerase Chain Reaction (RT-qPCR)
2.8. Estern Blotting
2.9. Statistical Analysis
3. Results
3.1. Body Weight, Food Intake, and Serum Glucose
3.2. Lipogenesis and Salivary Lipid Accumulation in OVX Rats and Its Attenuation by Ferrostatin-1
3.3. Ferroptosis-Associated Oxidative Stress Markers
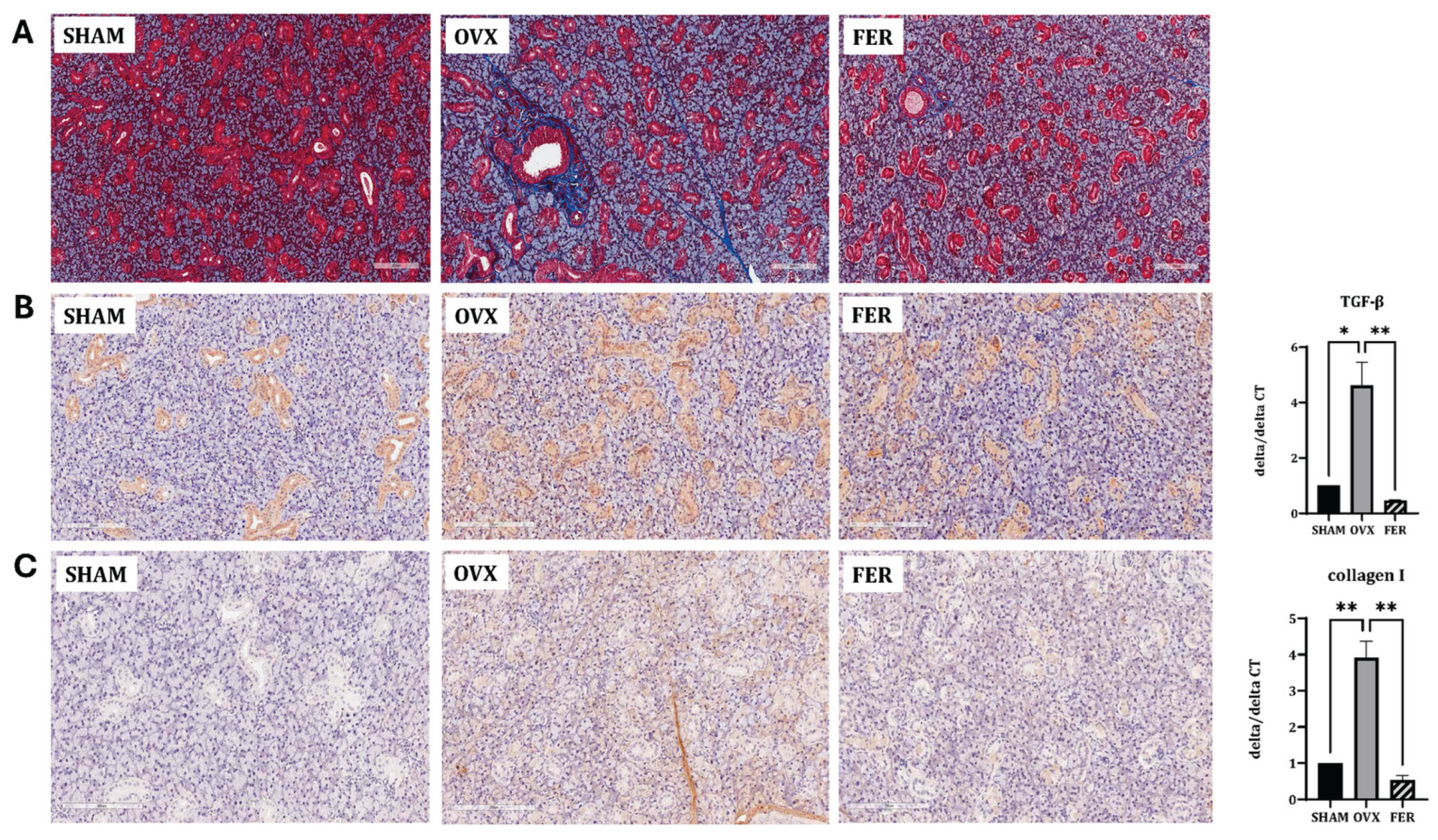
3.4. Ferroptosis-Driven Fibrosis and Inflammation and the Protective Role of Ferrostatin-1
3.5. Ferroptosis-Induced Functional Impairment and the Protective Effect of Ferrostatin-1
3.6. The Effect of Ferrostatin-1 on Mitochondrial Antioxidant Defense
3.7. Mitophagy-Associated Ferroptosis in OVX Salivary Glands
4. Discussion
5. Conclusions
Author Contributions
Funding
Institutional Review Board Statement
Informed Consent Statement
Data Availability Statement
Conflicts of Interest
References
- Finkelstein, J.S.; Brockwell, S.E.; Mehta, V.; Greendale, G.A.; Sowers, M.R.; Ettinger, B.; Lo, J.C.; Johnston, J.M.; Cauley, J.A.; Danielson, M.E.; et al. Bone mineral density changes during the menopause transition in a multiethnic cohort of women. J Clin Endocrinol Metab 2008, 93, 861–868. [Google Scholar] [CrossRef]
- Llaneza, P.; García-Portilla, M.P.; Llaneza-Suárez, D.; Armott, B.; Pérez-López, F.R. Depressive disorders and the menopause transition. Maturitas 2012, 71, 120–130. [Google Scholar] [CrossRef] [PubMed]
- Schneider, B.; van Trotsenburg, M.; Hanke, G.; Bigenzahn, W.; Huber, J. Voice impairment and menopause. Menopause 2004, 11, 151–158. [Google Scholar] [CrossRef]
- D, R.M.; G, K.; K, J.; D, D.; T, V.S.; Dinesh, P. Evaluation of Salivary Flow Rate, pH and Buffer in Pre, Post & Post Menopausal Women on HRT. J Clin Diagn Res 2014, 8, 233–236. [Google Scholar] [CrossRef]
- Shinohara, C.; Ito, K.; Takamatsu, K.; Ogawa, M.; Kajii, Y.; Nohno, K.; Sugano, A.; Funayama, S.; Katakura, A.; Nomura, T.; et al. Factors associated with xerostomia in perimenopausal women. J Obstet Gynaecol Res 2021, 47, 3661–3668. [Google Scholar] [CrossRef] [PubMed]
- Marcotte, H.; Lavoie, M.C. Oral microbial ecology and the role of salivary immunoglobulin A. Microbiol Mol Biol Rev 1998, 62, 71–109. [Google Scholar] [CrossRef]
- Kwon, H.K.; Kim, J.M.; Shin, S.C.; Sung, E.S.; Kim, H.S.; Park, G.C.; Cheon, Y.I.; Lee, J.C.; Lee, B.J. The mechanism of submandibular gland dysfunction after menopause may be associated with the ferroptosis. Aging (Albany NY) 2020, 12, 21376–21390. [Google Scholar] [CrossRef]
- Cheon, Y.I.; Kim, J.M.; Shin, S.C.; Kim, H.S.; Lee, J.C.; Park, G.C.; Sung, E.S.; Lee, M.; Lee, B.J. Effect of deferoxamine and ferrostatin-1 on salivary gland dysfunction in ovariectomized rats. Aging (Albany NY) 2023, 15, 2418–2432. [Google Scholar] [CrossRef] [PubMed]
- Gao, M.; Yi, J.; Zhu, J.; Minikes, A.M.; Monian, P.; Thompson, C.B.; Jiang, X. Role of Mitochondria in Ferroptosis. Mol Cell 2019, 73, 354–363.e353. [Google Scholar] [CrossRef]
- Lee, S.; Hwang, N.; Seok, B.G.; Lee, S.; Lee, S.J.; Chung, S.W. Autophagy mediates an amplification loop during ferroptosis. Cell Death Dis 2023, 14, 464. [Google Scholar] [CrossRef]
- Sun, K.; Li, C.; Liao, S.; Yao, X.; Ouyang, Y.; Liu, Y.; Wang, Z.; Li, Z.; Yao, F. Ferritinophagy, a form of autophagic ferroptosis: New insights into cancer treatment. Front Pharmacol 2022, 13, 1043344. [Google Scholar] [CrossRef] [PubMed]
- Gan, B. Mitochondrial regulation of ferroptosis. J Cell Biol 2021, 220. [Google Scholar] [CrossRef]
- Chen, G.; Kroemer, G.; Kepp, O. Mitophagy: An Emerging Role in Aging and Age-Associated Diseases. Front Cell Dev Biol 2020, 8, 200. [Google Scholar] [CrossRef]
- Park, G.C.; Bang, S.Y.; Kim, J.M.; Shin, S.C.; Cheon, Y.I.; Kim, K.M.; Park, H.; Sung, E.S.; Lee, M.; Lee, J.C.; et al. Inhibiting Ferroptosis Prevents the Progression of Steatotic Liver Disease in Obese Mice. Antioxidants (Basel) 2024, 13. [Google Scholar] [CrossRef]
- Chen, X.; Kang, R.; Kroemer, G.; Tang, D. Organelle-specific regulation of ferroptosis. Cell Death Differ 2021, 28, 2843–2856. [Google Scholar] [CrossRef]
- Stockwell, B.R. Ferroptosis turns 10: Emerging mechanisms, physiological functions, and therapeutic applications. Cell 2022, 185, 2401–2421. [Google Scholar] [CrossRef] [PubMed]
- Li, J.; Cao, F.; Yin, H.L.; Huang, Z.J.; Lin, Z.T.; Mao, N.; Sun, B.; Wang, G. Ferroptosis: past, present and future. Cell Death Dis 2020, 11, 88. [Google Scholar] [CrossRef]
- Dixon, S.J.; Lemberg, K.M.; Lamprecht, M.R.; Skouta, R.; Zaitsev, E.M.; Gleason, C.E.; Patel, D.N.; Bauer, A.J.; Cantley, A.M.; Yang, W.S.; et al. Ferroptosis: an iron-dependent form of nonapoptotic cell death. Cell 2012, 149, 1060–1072. [Google Scholar] [CrossRef] [PubMed]
- Xie, Y.; Hou, W.; Song, X.; Yu, Y.; Huang, J.; Sun, X.; Kang, R.; Tang, D. Ferroptosis: process and function. Cell Death Differ 2016, 23, 369–379. [Google Scholar] [CrossRef]
- Oh, S.J.; Shin, Y.Y.; Ahn, J.S.; Park, H.J.; Kang, M.J.; Shin, T.H.; Lee, B.C.; Kim, W.K.; Oh, J.M.; Lee, D.; et al. TGFβ2-Driven Ferritin Degradation and Subsequent Ferroptosis Underlie Salivary Gland Dysfunction in Postmenopausal Conditions. Adv Sci (Weinh) 2024, 11, e2400660. [Google Scholar] [CrossRef]
- Lai, W.; Wang, B.; Huang, R.; Zhang, C.; Fu, P.; Ma, L. Ferroptosis in organ fibrosis: From mechanisms to therapeutic medicines. J Transl Int Med 2024, 12, 22–34. [Google Scholar] [CrossRef] [PubMed]
- Mao, T.; Wei, W.; Chen, B.; Chen, Y.; Liang, S.; Chen, G.; Liu, Z.; Wu, X.; Wu, L.; Li, X.; et al. Salivary gland protective and antiinflammatory effects of genistein in Sjögren's syndrome by inhibiting Xist/ACSL4-mediated ferroptosis following binding to estrogen receptor-alpha. Cell Mol Biol Lett 2024, 29, 147. [Google Scholar] [CrossRef]
- Chen, Y.; Li, X.; Wang, S.; Miao, R.; Zhong, J. Targeting Iron Metabolism and Ferroptosis as Novel Therapeutic Approaches in Cardiovascular Diseases. Nutrients 2023, 15. [Google Scholar] [CrossRef]
- Kim, J.M.; Kim, D.H.; Kim, W.T.; Shin, S.C.; Cheon, Y.I.; Park, G.C.; Lee, H.W.; Lee, B.J. Amifostine and Melatonin Prevent Acute Salivary Gland Dysfunction 10 Days After Radiation Through Anti-Ferroptosis and Anti-Ferritinophagy Effects. Int J Mol Sci 2024, 25. [Google Scholar] [CrossRef] [PubMed]
- Zhang, X.D.; Liu, Z.Y.; Wang, M.S.; Guo, Y.X.; Wang, X.K.; Luo, K.; Huang, S.; Li, R.F. Mechanisms and regulations of ferroptosis. Front Immunol 2023, 14, 1269451. [Google Scholar] [CrossRef] [PubMed]
- Sun, S.; Shen, J.; Jiang, J.; Wang, F.; Min, J. Targeting ferroptosis opens new avenues for the development of novel therapeutics. Signal Transduct Target Ther 2023, 8, 372. [Google Scholar] [CrossRef]
- Rochette, L.; Dogon, G.; Rigal, E.; Zeller, M.; Cottin, Y.; Vergely, C. Lipid Peroxidation and Iron Metabolism: Two Corner Stones in the Homeostasis Control of Ferroptosis. Int J Mol Sci 2022, 24. [Google Scholar] [CrossRef]
- Liu, P.; Feng, Y.; Li, H.; Chen, X.; Wang, G.; Xu, S.; Li, Y.; Zhao, L. Ferrostatin-1 alleviates lipopolysaccharide-induced acute lung injury via inhibiting ferroptosis. Cell Mol Biol Lett 2020, 25, 10. [Google Scholar] [CrossRef]
- Miotto, G.; Rossetto, M.; Di Paolo, M.L.; Orian, L.; Venerando, R.; Roveri, A.; Vučković, A.M.; Bosello Travain, V.; Zaccarin, M.; Zennaro, L.; et al. Insight into the mechanism of ferroptosis inhibition by ferrostatin-1. Redox Biol 2020, 28, 101328. [Google Scholar] [CrossRef]
- Scarpellini, C.; Klejborowska, G.; Lanthier, C.; Hassannia, B.; Vanden Berghe, T.; Augustyns, K. Beyond ferrostatin-1: a comprehensive review of ferroptosis inhibitors. Trends Pharmacol Sci 2023, 44, 902–916. [Google Scholar] [CrossRef]
- Xie, Q.; Sun, Y.; Xu, H.; Chen, T.; Xiang, H.; Liu, H.; Wang, R.; Tan, B.; Yi, Q.; Tian, J.; et al. Ferrostatin-1 improves BMSC survival by inhibiting ferroptosis. Arch Biochem Biophys 2023, 736, 109535. [Google Scholar] [CrossRef]
- Basit, F.; van Oppen, L.M.; Schöckel, L.; Bossenbroek, H.M.; van Emst-de Vries, S.E.; Hermeling, J.C.; Grefte, S.; Kopitz, C.; Heroult, M.; Hgm Willems, P.; et al. Mitochondrial complex I inhibition triggers a mitophagy-dependent ROS increase leading to necroptosis and ferroptosis in melanoma cells. Cell Death Dis 2017, 8, e2716. [Google Scholar] [CrossRef]
- Zhou, R.; Zhang, Z.; Li, X.; Duan, Q.; Miao, Y.; Zhang, T.; Wang, M.; Li, J.; Zhang, W.; Wang, L.; et al. Autophagy in High-Fat Diet and Streptozotocin-Induced Metabolic Cardiomyopathy: Mechanisms and Therapeutic Implications. Int J Mol Sci 2025, 26. [Google Scholar] [CrossRef] [PubMed]
- Gao, M.; Monian, P.; Quadri, N.; Ramasamy, R.; Jiang, X. Glutaminolysis and Transferrin Regulate Ferroptosis. Mol Cell 2015, 59, 298–308. [Google Scholar] [CrossRef] [PubMed]
- Iorio, R.; Celenza, G.; Petricca, S. Mitophagy: Molecular Mechanisms, New Concepts on Parkin Activation and the Emerging Role of AMPK/ULK1 Axis. Cells 2021, 11. [Google Scholar] [CrossRef] [PubMed]
- Dhingra, R.; Rabinovich-Nikitin, I.; Kirshenbaum, L.A. Ulk1/Rab9-mediated alternative mitophagy confers cardioprotection during energy stress. J Clin Invest 2019, 129, 509–512. [Google Scholar] [CrossRef]








| Gene | Sequence (5‘-3‘) | |
|---|---|---|
| Forward | Reverse | |
| GAPDH | GCAAGTTCAACGGCACAG | CGCCAGTAGACTCCACGAC |
| SREBP-1c | TGCCCTAAGGGTCAAAACCA | TGGCGGGCACTACTTAGGAA |
| ChREBP | CAGATGCGGGACATGTTTGA | AATAAAGGTCGGATGAGGATGCT |
| FAS | CTTGGGTGCCGATTACAACC | GCCCTCCCGTACACTCACTC |
| ACC | AGGAAGATGGTGTCCCGCTCTG | GGGGAGATGTGCTGGGTCAT |
| TGF-β1 | ACTACGCCAAAGAAGTCACCC | GCCCTGTATTCCGTCTCCTT |
| CollagenI | TGGATGGCTGCACGAGT | TTGGGATGGAGGGAGTTTA |
| OPA1 | TCTCAGCCTTGCTGTGTCAGAC | TTCCGTCTCTAGGTTAAAGCGCG |
| MFN1 | CCAGGTACAGATGTCACCACAG | TTGGAGAGCCGCTCATTCACCT |
Disclaimer/Publisher’s Note: The statements, opinions and data contained in all publications are solely those of the individual author(s) and contributor(s) and not of MDPI and/or the editor(s). MDPI and/or the editor(s) disclaim responsibility for any injury to people or property resulting from any ideas, methods, instructions or products referred to in the content. |
© 2025 by the authors. Licensee MDPI, Basel, Switzerland. This article is an open access article distributed under the terms and conditions of the Creative Commons Attribution (CC BY) license (http://creativecommons.org/licenses/by/4.0/).