Submitted:
23 June 2025
Posted:
24 June 2025
You are already at the latest version
Abstract
Keywords:
1. Introduction
2. Materials and Methods
2.1. Statistical Reliability
2.2. Demographic Characteristics
2.3. Diagnostic Criteria
2.4. Immunohistochemistry
2.5. Quantification and Assessment
2.6. Statistical Analysis
3. Results
3.1. Demographic Characteristics
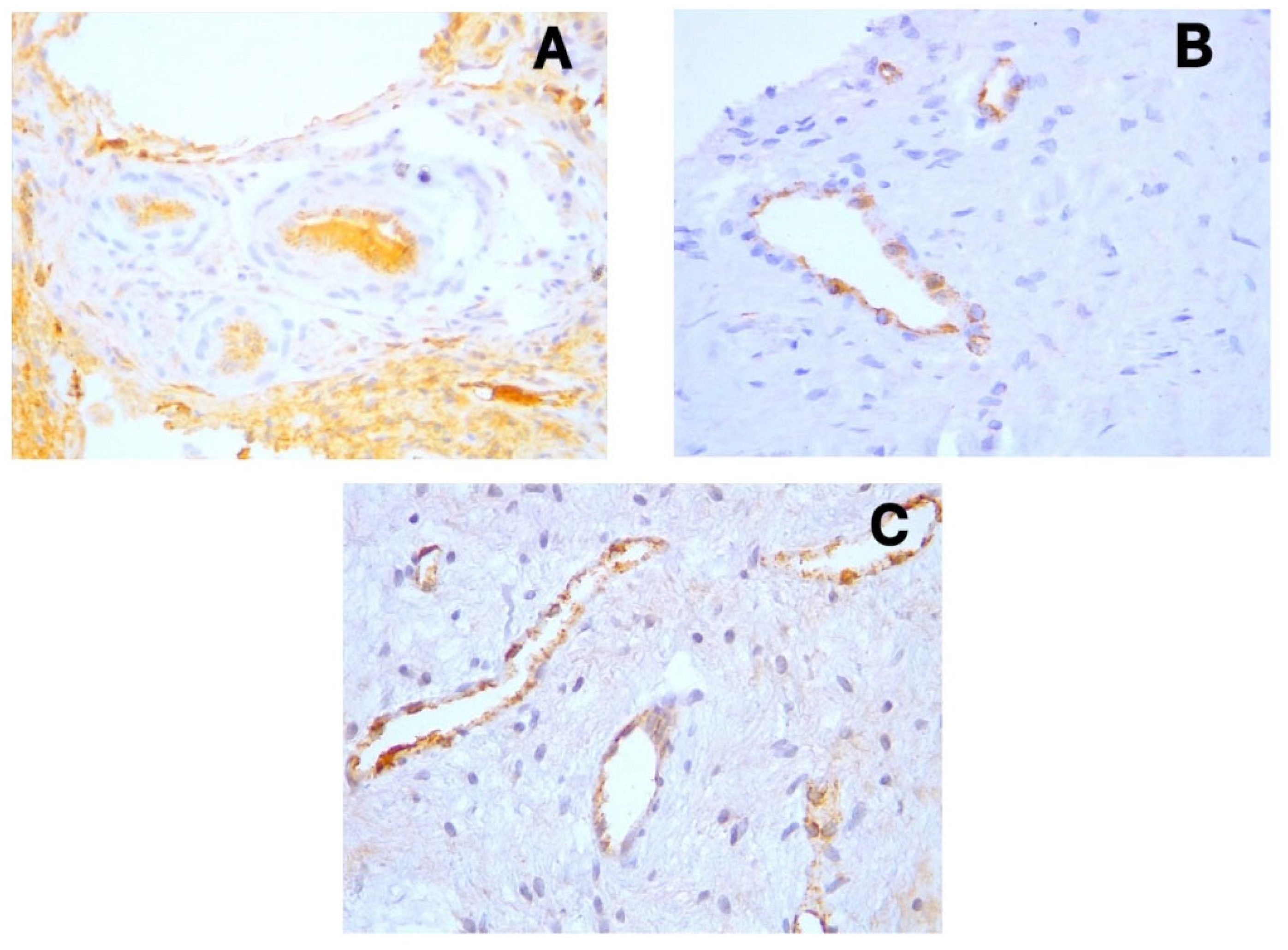
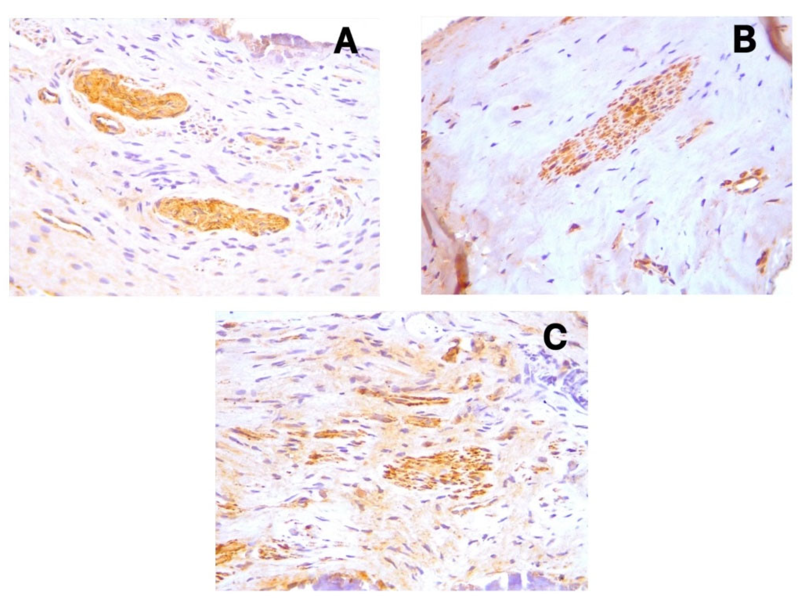
3.2. Immunohistochemical Findings
3.3. Vessel and Nerve Density Analysis
3.4. Correlation Analysis
4. Discussion
4.1. Lymphatic Vessels in Dental Pulp
4.2. Blood Vessel Changes in Pulpitis
4.3. Neural Tissue Response to Inflammation
4.4. Clinical Implications and Limitations
4.5. Future Directions
5. Conclusions
6. Patents
Author Contributions
Funding
Data Availability Statement
Conflicts of Interest
References
- Ghannam MG, Alameddine H, Bordoni B. Anatomy, head and neck, pulp (Tooth). 2019. https://europepmc.org/article/NBK/nbk537112.
- Chen J, Xu H, Xia K, Cheng S, Zhang Q. Resolvin E1 accelerates pulp repair by regulating inflammation and stimulating dentin regeneration in dental pulp stem cells. Stem Cell Research & Therapy. 2021;12:1-14. [CrossRef]
- Vaseenon S, Weekate K, Srisuwan T, Chattipakorn N, Chattipakorn S. Observation of inflammation, oxidative stress, mitochondrial dynamics, and apoptosis in dental pulp following a diagnosis of irreversible pulpitis. European Endodontic Journal. 2023;8(2):148. [CrossRef]
- Khalaf MS, Khalaf BS, Abass SM. Management of trauma to the anterior segment of the maxilla: alveolar fracture and primary incisors crown and root fracture. Journal of baghdad college of dentistry. 2021;33(2):16-20. [CrossRef]
- Al-Dahan ZA, Khalaf MS, Al-Assadi AH. Apexification and periapical healing of immature teeth using Mineral Trioxide Aggregate. Journal of baghdad college of dentistry. 2014;26(3):108-12. [CrossRef]
- Wiśniewska K, Rybak Z, Szymonowicz M, Kuropka P, Dobrzyński M. Review on the lymphatic vessels in the dental pulp. Biology. 2021;10(12):1257. [CrossRef]
- Baru O, Nutu A, Braicu C, Cismaru CA, Berindan-Neagoe I, Buduru S, et al. Angiogenesis in regenerative dentistry: are we far enough for therapy? International Journal of Molecular Sciences. 2021;22(2):929. [CrossRef]
- Berggreen E, Haug SR, Mkonyi LE, Bletsa A. Characterization of the dental lymphatic system and identification of cells immunopositive to specific lymphatic markers. European journal of oral sciences. 2009;117(1):34-42. [CrossRef]
- Pimenta F, Sá A, Gomez R. Lymphangiogenesis in human dental pulp. International endodontic journal. 2003;36(12):853-6. [CrossRef]
- Takahashi S, Ambe K, Kon H, Takada S, Ohno T, Watanabe H. Immunohistochemical investigation of lymphatic vessel formation control in mouse tooth development: Lymphatic vessel-forming factors and receptors in tooth development in mice. Tissue and Cell. 2012;44(3):170-81. [CrossRef]
- Rodd HD, Boissonade FM. Immunocytochemical investigation of neurovascular relationships in human tooth pulp. Journal of anatomy. 2003;202(2):195-203. [CrossRef]
- Szeląg E, Popecki P, Puła B. Expression of CD31, podoplanin and Sox18 in dental pulp. Book ofAbstracts Katowice: 7th International ScientificConference of Medical Students and YoungDoctors. 2012:28.
- Gerli R, Secciani I, Sozio F, Rossi A, Weber E, Lorenzini G. Absence of lymphatic vessels in human dental pulp: a morphological study. European journal of oral sciences. 2010;118(2):110-7. [CrossRef]
- Martin A, Gasse H, Staszyk C. Absence of lymphatic vessels in the dog dental pulp: an immunohistochemical study. Journal of Anatomy. 2010;217(5):609-15. [CrossRef]
- Lohrberg M, Wilting J. The lymphatic vascular system of the mouse head. Cell and Tissue Research. 2016;366(3):667-77. [CrossRef]
- Mahdee AF, Alhelal AG, Whitworth J, Eastham J, Gillespie J. Evidence for complex physiological processes in the enamel organ of the rodent mandibular incisor throughout amelogenesis. Medical Journal of Babylon. 2017;14(1):68-82. https://search.emarefa.net/detail/BIM-792238.
- Kim ME, Lee JS. Advances in the Regulation of Inflammatory Mediators in Nitric Oxide Synthase: Implications for Disease Modulation and Therapeutic Approaches. International Journal of Molecular Sciences. 2025;26(3):1204. [CrossRef]
- Mahdee A, Eastham J, Whitworth J, Gillespie J. Evidence for changing nerve growth factor signalling mechanisms during development, maturation and ageing in the rat molar pulp. International Endodontic Journal. 2019;52(2):211-22. [CrossRef]
- Amita, K. Prognostic Significance of Lymphatic Vessel Density by D2-40 Immune Marker and Mast Cell Density in Invasive Breast Cancer: A Cross Sectional Study at Tertiary Care Hospital in South India. Online Journal of Health and Allied Sciences. 2022;21(1). https://www.ojhas.org/issue81/2022-1-5.html.
- Vyberg M, Nielsen S, Bzorek M, Røge R. External quality assessments of CD31 immunoassays-The NordiQC experience. Vascular Cell. 2020;12(1):4. [CrossRef]
- Abdulrahman A-qG, Endytiastuti E, Ardhani R, Sudarso ISR, Pidhatika B, Fauzi MB, et al. Evaluating the Efficacy of Gelatin-Chitosan-Tetraethyl Orthosilicate Calcium Hydroxide Composite as a Dental Pulp Medicament on COX-2, PGP 9.5, TNF-α Expression and Neutrophil number. F1000Research. 2025;13:1258. [CrossRef]
- Odell, EW. Cawson's Essentials of Oral Pathology and Oral Medicine - E-Book: Cawson's Essentials of Oral Pathology and Oral Medicine - E-Book: Elsevier; 2024. https://shortlink.uk/Zcyi+.
- Qi LW, Xie YF, Wang WN, Liu J, Yang KG, Chen K, et al. High microvessel and lymphatic vessel density predict poor prognosis in patients with esophageal squamous cell carcinoma. PeerJ. 2024;12:e18080. [CrossRef]
- Galler KM, Weber M, Korkmaz Y, Widbiller M, Feuerer M. Inflammatory response mechanisms of the dentine–pulp complex and the periapical tissues. International journal of molecular sciences. 2021;22(3):1480. [CrossRef]
- Singla B, Aithabathula RV, Kiran S, Kapil S, Kumar S, Singh UP. Reactive oxygen species in regulating lymphangiogenesis and lymphatic function. Cells. 2022;11(11):1750. [CrossRef]
- Colombo JS, Jia S, D'Souza RN. Modeling hypoxia induced factors to treat pulpal inflammation and drive regeneration. Journal of Endodontics. 2020;46(9):S19-S25. [CrossRef]
- Zhan C, Huang M, Yang X, Hou J. Dental nerves: a neglected mediator of pulpitis. International Endodontic Journal. 2021;54(1):85-99. [CrossRef]
- Diogenes, A. Trigeminal sensory neurons and pulp regeneration. Journal of endodontics. 2020;46(9):S71-S80. [CrossRef]
- Caviedes-Bucheli J, Lopez-Moncayo LF, Muñoz-Alvear HD, Gomez-Sosa JF, Diaz-Barrera LE, Curtidor H, et al. Expression of substance P, calcitonin gene-related peptide and vascular endothelial growth factor in human dental pulp under different clinical stimuli. BMC Oral Health. 2021;21:1-8. [CrossRef]
- Maeda, H. Aging and senescence of dental pulp and hard tissues of the tooth. Frontiers in cell and developmental biology. 2020;8:605996. [CrossRef]





| Biomarker | Acute Pulpitis | Chronic Pulpitis | Control | P-Value |
|---|---|---|---|---|
| CD31* | 50.3 (25.5-88.2) | 39.2 (26.2-49.8) | 25.8 (17.8-49.0) | 0.001 |
| PGP9.5* | 4.0 (2.0-4.0) | 3.0 (1.0-4.0) | 4.0 (3.0-4.0) | 0.161 |
| D2-40† | 28.35 ± 10.6 | 24.72 ± 9.0 | 22.72 ± 6.8 | 0.299 |
| Variable | CD31 | PGP9.5 | D2-40 | Age |
|---|---|---|---|---|
| CD31 | 1.0 | -0.024 | 0.389* | -0.03 |
| PGP9.5 | -0.024 | 1.0 | 0.146 | -0.500** |
| D2-40 | 0.389* | 0.146 | 1.0 | -0.079 |
| Age | -0.03 | -0.500** | -0.079 | 1.0 |
Disclaimer/Publisher’s Note: The statements, opinions and data contained in all publications are solely those of the individual author(s) and contributor(s) and not of MDPI and/or the editor(s). MDPI and/or the editor(s) disclaim responsibility for any injury to people or property resulting from any ideas, methods, instructions or products referred to in the content. |
© 2025 by the authors. Licensee MDPI, Basel, Switzerland. This article is an open access article distributed under the terms and conditions of the Creative Commons Attribution (CC BY) license (http://creativecommons.org/licenses/by/4.0/).