Submitted:
14 May 2025
Posted:
15 May 2025
You are already at the latest version
Abstract

Keywords:
1. Introduction
2. Materials and Methods
2.1. Clinical Cases
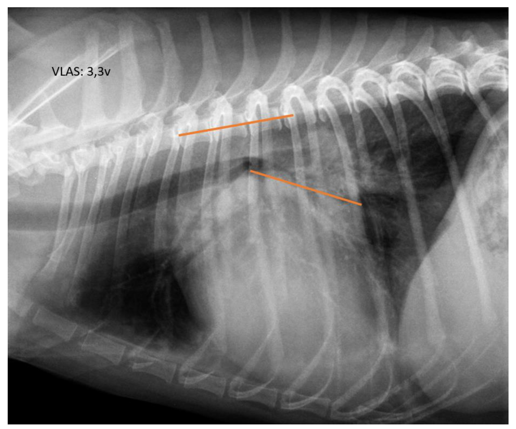
2.2. Radiographic Measurements
2.3. LA/Ao Ratio
2.4. Statistical Analysis
3. Results
3.1. VHS, RLAD and VLAS Usefulness in Detecting LAE
3.2. Descriptive Analysis of the Variables
3.3. Correlation Between VHS, RLAD, VLAS and LA/Ao Ratio
4. Discussion
5. Conclusions
Author Contributions
Funding
Institutional Review Board Statement
Informed Consent Statement
Data Availability Statement
Acknowledgments
Conflicts of Interest
Abbreviations
| AUC | Area Under Curve |
| DMVD | Degenerative mitral valve disease |
| LA/Ao | Left Atrial to Aortic root |
| LAE | Left Atrial Enlargement |
| RLAD | Radiographic Left Atrial Dimension |
| ROC | Receiver Operating Characteristic |
| VHS | Vertebral Heart Size |
| VLAS | Vertebral Left Atrial Size |
References
- Borgarelli, M.; Häggström, J. Canine Degenerative Myxomatous Mitral Valve Disease: Natural History, Clinical Presentation and Therapy. Vet. Clin. N. Am. Small Anim. Pract. 2010, 40, 651–663. [Google Scholar] [CrossRef] [PubMed]
- Fox, P.R.; Sisson, D.; Moïse, N.S. Textbook of Canine and Feline Cardiology: Principles and Clinical Practice; Saunders: Philadelphia, PA, USA, 1998. [Google Scholar]
- Thrall, D.E. Veterinary Diagnostic Radiology, 8th ed.; Elsevier: St. Louis, MO, USA, 2024. [Google Scholar]
- Buchanan, J.W. Vertebral Scale System to Measure Heart Size in Radiographs. Vet. Clin. N. Am. Small Anim. Pract. 2000, 30, 379–93. [Google Scholar] [CrossRef]
- Buchanan, J.W.; Bücheler, J. Vertebral Scale System to Measure Canine Heart Size in Radiographs. J. Am. Vet. Med. Assoc. 1995, 206, 194–199. [Google Scholar] [CrossRef] [PubMed]
- Sánchez Salguero, X.; Prandi, D.; Llabrés-Díaz, F.; Manzanilla, E.G.; Bussadori, C. A Radiographic Measurement of Left Atrial Size in Dogs. Ir. Vet. J. 2018, 71, 1–7. [Google Scholar] [CrossRef] [PubMed]
- Malcolm, E.L.; Visser, L.C.; Phillips, K.L.; Johnson, L.R. Diagnostic Value of Vertebral Left Atrial Size as Determined from Thoracic Radiographs for Assessment of Left Atrial Size in Dogs with Myxomatous Mitral Valve Disease. J. Am. Vet. Med. Assoc. 2018, 253, 1038–1045. [Google Scholar] [CrossRef] [PubMed]
- Bagardi, M.; Manfredi, M.; Zani, D.D.; Brambilla, P.G.; Locatelli, C. Interobserver Variability of Radiographic Methods for the Evaluation of Left Atrial Size in Dogs. Vet. Radiol. Ultrasound 2021, 62, 161–174. [Google Scholar] [CrossRef] [PubMed]
- Puccinelli, C.; Citi, S.; Vezzosi, T.; Garibaldi, S.; Tognetti, R. A Radiographic Study of Breed-Specific Vertebral Heart Score and Vertebral Left Atrial Size in Chihuahuas. Vet. Radiol. Ultrasound 2021, 62, 20–26. [Google Scholar] [CrossRef] [PubMed]
- Höllmer, M.; Willesen, J.L.; Tolver, A.; Koch, J. Comparison of Four Echocardiographic Methods to Determine Left Atrial Size in Dogs. J. Vet. Cardiol. 2016, 18, 137–145. [Google Scholar] [CrossRef] [PubMed]
- Nakamura, R.K.; Tompkins, E.; Russell, N.J.; et al. Left Atrial Rupture Secondary to Myxomatous Mitral Valve Disease in 11 Dogs. J. Am. Anim. Hosp. Assoc. 2014, 50, 405–408. [Google Scholar] [CrossRef] [PubMed]
- Hansson, K.; Häggström, J.; Kvart, C.; Lord, P. Left Atrial to Aortic Root Indices Using Two-Dimensional and M-Mode Echocardiography in Cavalier King Charles Spaniels with and without Left Atrial Enlargement. Vet. Radiol. Ultrasound 2002, 43, 568–575. [Google Scholar] [CrossRef] [PubMed]
- Rishniw, M.; Erb, H.N. Evaluation of Four 2-Dimensional Echocardiographic Methods of Assessing Left Atrial Size in Dogs. J. Vet. Intern. Med. 2000, 14, 429–435. [Google Scholar] [PubMed]
- Hansson, K.; Häggström, J.; Kvart, C.; Lord, P. Interobserver Variability of Vertebral Heart Size Measurements in Dogs with Normal and Enlarged Hearts. Vet. Radiol. Ultrasound 2005, 46, 122–130. [Google Scholar] [CrossRef] [PubMed]




Disclaimer/Publisher’s Note: The statements, opinions and data contained in all publications are solely those of the individual author(s) and contributor(s) and not of MDPI and/or the editor(s). MDPI and/or the editor(s) disclaim responsibility for any injury to people or property resulting from any ideas, methods, instructions or products referred to in the content. |
© 2025 by the authors. Licensee MDPI, Basel, Switzerland. This article is an open access article distributed under the terms and conditions of the Creative Commons Attribution (CC BY) license (http://creativecommons.org/licenses/by/4.0/).