Submitted:
09 May 2025
Posted:
12 May 2025
You are already at the latest version
Abstract

Keywords:
Introduction
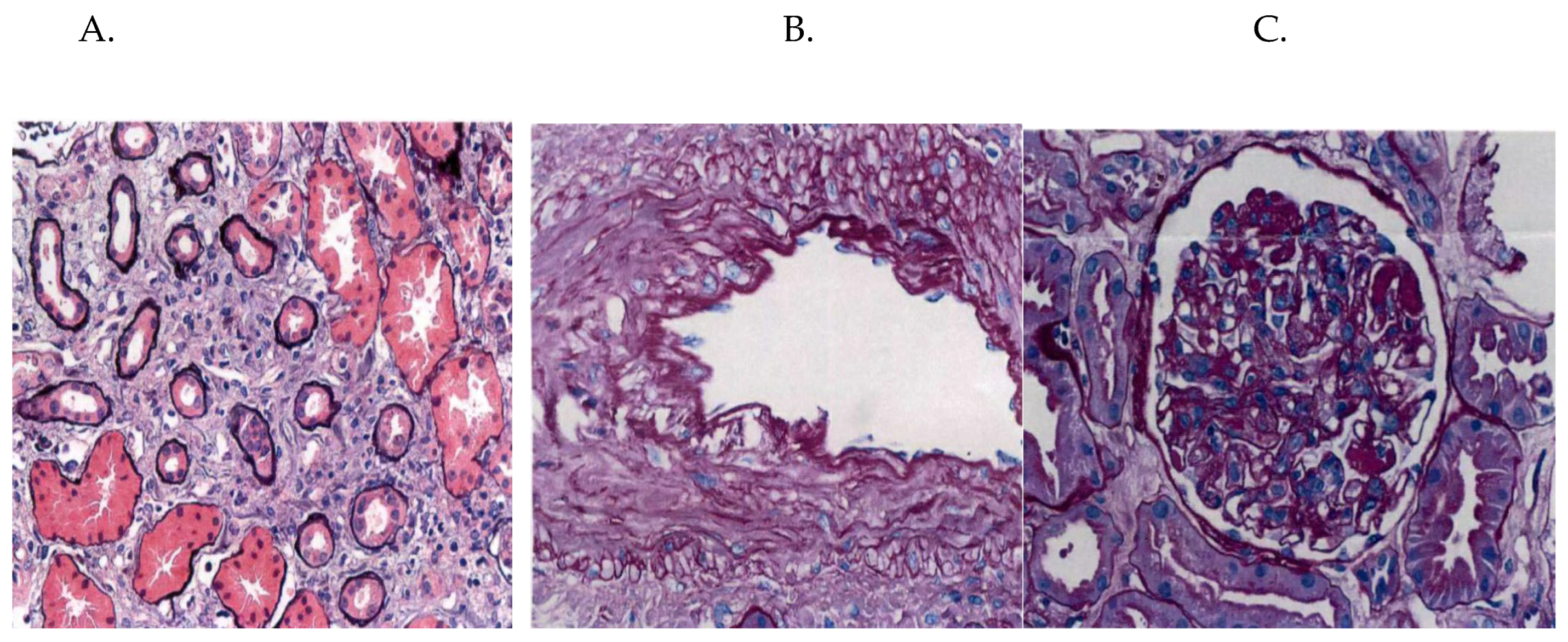
Case Discussion



Discussion
Author Contributions
Funding
Institutional Review Board Statement
Informed Consent Statement
Conflicts of Interest
References
- Website. Available: DEFINE_ME. [cited 12 Sep 2024]. Available: https://www.kidney-international.org/article/S0085-2538(15)55815-8/fulltext.
- Khalighi MA, Chang A. Infection-Related Glomerulonephritis. Glomerular Diseases. 2021;1: 82.
- DEFINE_ME. [cited 12 Sep 2024]. Available: https://www.kidney-international.org/article/S0085-2538(15)55815-8/fulltext.
- Wang S-Y, Bu R, Zhang Q, Liang S, Wu J, Liu X-GZS-W, et al. Clinical, Pathological, and Prognostic Characteristics of Glomerulonephritis Related to Staphylococcal Infection. Medicine . 2016;95: e3386. [CrossRef]
- Takayasu M, Hirayama K, Shimohata H, Kobayashi M, Koyama A. Staphylococcus aureus Infection-Related Glomerulonephritis with Dominant IgA Deposition. Int J Mol Sci. 2022;23. [CrossRef]
- Website. Available: https://www.kidney-international.org/action/showCitFormats?doi=10.1038%2Fki.2012.407&pii=S0085-2538%2815%2955815-8.
- Yousif Y, Okada K, Batsford S, Vogt A. Induction of glomerulonephritis in rats with staphylococcal phosphatase: new aspects in post-infectious ICGN. Kidney Int. 1996;50: 290–297. [CrossRef]
- Nadasdy T, Hebert LA. Infection-related glomerulonephritis: understanding mechanisms. Semin Nephrol. 2011;31: 369–375. [CrossRef]
- Glassock RJ, Alvarado A, Prosek J, Hebert C, Parikh S, Satoskar A, et al. Staphylococcus-related glomerulonephritis and poststreptococcal glomerulonephritis: why defining “post” is important in understanding and treating infection-related glomerulonephritis. Am J Kidney Dis. 2015;65: 826–832. [CrossRef]
- Satoskar AA, Nadasdy T. Bacterial Infections and the Kidney. Springer; 2017.
- Website. Available: (https://link.springer.com/article/10.1007/s00467-012-2229-2).
- Okunaga I, Makino S-I, Honda D, Tatsumoto N, Aizawa M, Oda T, et al. IgA-dominant infection-related glomerulonephritis with NAPlr-positive tubulointerstitial nephritis. CEN Case Rep. 2023;12: 402–407. [CrossRef]
- Okabe M, Takamura T, Tajiri A, Tsuboi N, Ishikawa M, Ogura M, et al. A case of infection-related glomerulonephritis with massive eosinophilic infiltration. Clin Nephrol. 2018;90: 142–147. [CrossRef]
- Kanazawa N, Iyoda M, Hayashi J, Honda K, Oda T, Honda H. A case of acute poststreptococcal glomerulonephritis complicated by interstitial nephritis related to streptococcal pyrogenic exotoxin B. Pathol Int. 2022;72: 200–206. [CrossRef]
- Nasr SH, Fidler ME, Valeri AM, Cornell LD, Sethi S, Zoller A, et al. Postinfectious glomerulonephritis in the elderly. J Am Soc Nephrol. 2011;22: 187–195. [CrossRef]
- Boils CL, Nasr SH, Walker PD, Couser WG, Larsen CP. Update on endocarditis-associated glomerulonephritis. Kidney Int. 2015;87: 1241–1249. [CrossRef]
- Yamashita Y, Tanase T, Terada Y, Tamura H, Akiba T, Inoue H, et al. Glomerulonephritis after methicillin-resistant Staphylococcus aureus infection resulting in end-stage renal failure. Intern Med. 2001;40: 424–427. [CrossRef]
- Nakamura T, Ushiyama C, Suzuki Y, Osada S, Inoue T, Shoji H, et al. Hemoperfusion with polymyxin B-immobilized fiber in septic patients with methicillin-resistant Staphylococcus aureus-associated glomerulonephritis. Nephron Clin Pract. 2003;94: c33–9. [CrossRef]
| Laboratory values | Normal levels, unit | Patient’s levels | |
| Day 0 of Admission | Day 12 of Admission | ||
| Blood chemistries | |||
| Creatinine | 0.6-1.23 mg/dl | 1.10 | 1.63 |
| BUN (blood urea nitrogen) | 6-23 mg/dl | 22 | 10 |
| Sodium | 135-145, mmol/L | 130 | 137 |
| Potassium | 3.5-5.3, mmol/L | 4.1 | 3.5 |
| Chloride | 97-107 mmol/L | 89 | 99 |
| Bicarbonate | 22-29 mmol/L | 24 | 26 |
| Anion Gap | 10-19 mmol/L | 17 | 12 |
| Uric acid | 3.7-8 mg/dl | 7.3 | |
| Albumin | 3.7-5.1 g/dl | 3.5 | |
| HbA1c | 4- 5.6 % | 5.9 | |
| Complete blood counts | |||
| White blood count | 3.5-10 x10(9)/L | 26.9, neutrophilic | 11.4, neutrophilic |
| Hemoglobin | 13.5-17 g/dl | 12.5 | 7.4 |
| Platelets | 150-400 x10(9)/L | 346 | 568 |
| Urine analysis | |||
| pH | 4.8-8 | 5.5 | 5.5 |
| Specific gravity | 1.001-1.035 | 1.042 | 1.014 |
| Glucose | Negative | Negative | Negative |
| Blood | Negative | Trace | 2+ |
| Protein | Negative | 1+ | Trace |
| Bilirubin | Negative | Negative | Negative |
| Nitrites | Negative | Negative | Negative |
| Leukocyte esterase | Negative | Negative | Negative |
| WBC | <5/HPF | 0-2 | 0-2 |
| RBC | <5/HPF | 0-2 | 21-50 |
| Bacteria | 0-940/HPF | 22 | 54 |
| Casts | 11-20 | 3-5 | |
| Protein/creatinine ratio | <=0.11 mg/mg Cr | 0.32 | |
| Protein, quantitative | mg/dl | 40 | |
| Creatinine | mg/dl | 64 | 126 |
| Osmolality | 50-1200 mOsm/kg H2O | 370 | |
| Sodium | mmol/L | <20 | |
| Potassium | mmol/L | 16.5 | |
| Hepatitis Panel | |
| Hepatitis A total Antibody (Ab) | Non-reactive (NR) |
| Hepatitis B surface Ab | <3.5 |
| Hepatitis B surface antigen | NR |
| Hepatitis C Ab | NR |
| Immunology | |
| ANA Titer | 1:180, homogenous pattern |
| Centromere Ab | <0.2, Negative |
| Chromatin Ab | <0.2, Negative |
| Double-stranded Deoxyribonucleoside Ab | 2, Negative |
| JO-1 Ab | <0.2, Negative |
| Ribosomal P Ab | <0.2, Negative |
| Ribonucleoprotein | <0.2, Negative |
| Anti-topoisomerase I (Scl-70) Ab | <0.2, Negative |
| Smith Ab | <0.2, Negative |
| Anti Ro (SSA) Ab | <0.2, Negative |
| Anti La (SSB) Ab | <0.2, Negative |
| Myeloperoxidase Ab | <0.2, Negative |
| Proteinase 3 Ab | <0.2, Negative |
| Immunoglobulin (Ig), Normal values in brackets | |
| IgA | 783 (70-400) |
| IgG | 723 (700-1600) |
| IgM | 78 (40-230) |
| Complements, Normal values in brackets | |
| C3 | 88 (75-180) |
| C4 | 21 (10-40) |
| Syphilis Ab | NR |
| Cryoglobulin | Negative |
| Laboratory values | Normal levels, unit | Patient’s levels (Most Recent) |
| Blood chemistries | ||
| Creatinine | 0.6-1.23 mg/dl | 1.07 |
| BUN (blood urea nitrogen) | 6-23 mg/dl | 20 |
| EGFR | >=60 | 78 |
| Sodium | 135-145, mmol/L | 140 |
| Potassium | 3.5-5.3, mmol/L | 4.6 |
| Chloride | 97-107 mmol/L | 102 |
| Bicarbonate | 22-29 mmol/L | 30 |
| Complete blood counts | ||
| White blood count | 3.5-10 x10(9)/L | 10.5 |
| Hemoglobin | 13.5-17 g/dl | 7.3 |
| Platelets | 150-400 x10(9)/L | 375 |
Disclaimer/Publisher’s Note: The statements, opinions and data contained in all publications are solely those of the individual author(s) and contributor(s) and not of MDPI and/or the editor(s). MDPI and/or the editor(s) disclaim responsibility for any injury to people or property resulting from any ideas, methods, instructions or products referred to in the content. |
© 2025 by the authors. Licensee MDPI, Basel, Switzerland. This article is an open access article distributed under the terms and conditions of the Creative Commons Attribution (CC BY) license (http://creativecommons.org/licenses/by/4.0/).