Submitted:
07 May 2025
Posted:
08 May 2025
You are already at the latest version
Abstract
Keywords:
1. Introduction
2. Cabozantinib: Mechanisms of Action, Clinical Trials, Adverse Events
2.1. Mechanisms of Action
2.2. Clinical Trials
2.2.1. Renal Cell Carcinoma
2.2.2. Hepatocellular Carcinoma
2.2.3. Medullary Thyroid Carcinoma
2.3. Adverse Events
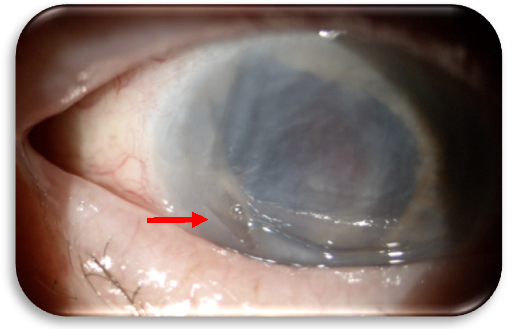
3. Clinical Case
4. Discussion
5. Conclusions
Conflicts of Interest
References
- Cheng, K.; Liu, C.-F.; Rao, G.-W. Anti-Angiogenic Agents: A Review on Vascular Endothelial Growth Factor Receptor-2 (VEGFR-2) Inhibitors. Curr Med Chem 2021, 28, 2540–2564. [Google Scholar] [CrossRef] [PubMed]
- Veeravagu, A.; Hsu, A.; Cai, W.; Hou, L.; Tse, V.; Chen, X. Vascular Endothelial Growth Factor and Vascular Endothelial Growth Factor Receptor Inhibitors as Anti-Angiogenic Agents in Cancer Therapy. Recent Pat Anticancer Drug Discov 2008, 2, 59–71. [Google Scholar] [CrossRef] [PubMed]
- Abou-Alfa, G.K.; Meyer, T.; Cheng, A.-L.; El-Khoueiry, A.B.; Rimassa, L.; Ryoo, B.-Y.; Cicin, I.; Merle, P.; Chen, Y.; Park, J.-W.; et al. Cabozantinib in Patients with Advanced and Progressing Hepatocellular Carcinoma. N Engl J Med 2018, 379, 54–63. [Google Scholar] [CrossRef] [PubMed]
- Schlumberger, M.; Elisei, R.; Müller, S.; Schöffski, P.; Brose, M.; Shah, M.; Licitra, L.; Krajewska, J.; Kreissl, M.C.; Niederle, B.; et al. Overall Survival Analysis of EXAM, a Phase III Trial of Cabozantinib in Patients with Radiographically Progressive Medullary Thyroid Carcinoma. Ann Oncol 2017, 28, 2813–2819. [Google Scholar] [CrossRef] [PubMed]
- Choueiri, T.K.; Escudier, B.; Powles, T.; Tannir, N.M.; Mainwaring, P.N.; Rini, B.I.; Hammers, H.J.; Donskov, F.; Roth, B.J.; Peltola, K.; et al. Cabozantinib versus Everolimus in Advanced Renal Cell Carcinoma (METEOR): Final Results from a Randomised, Open-Label, Phase 3 Trial. Lancet Oncol 2016, 17, 917–927. [Google Scholar] [CrossRef] [PubMed]
- Choueiri, T.K.; Hessel, C.; Halabi, S.; Sanford, B.; Michaelson, M.D.; Hahn, O.; Walsh, M.; Olencki, T.; Picus, J.; Small, E.J.; et al. Cabozantinib versus Sunitinib as Initial Therapy for Metastatic Renal Cell Carcinoma of Intermediate or Poor Risk (Alliance A031203 CABOSUN Randomised Trial): Progression-Free Survival by Independent Review and Overall Survival Update. Eur J Cancer 2018, 94, 115–125. [Google Scholar] [CrossRef] [PubMed]
- Motzer, R.J.; Powles, T.; Burotto, M.; Escudier, B.; Bourlon, M.T.; Shah, A.Y.; Suárez, C.; Hamzaj, A.; Porta, C.; Hocking, C.M.; et al. Nivolumab plus Cabozantinib versus Sunitinib in First-Line Treatment for Advanced Renal Cell Carcinoma (CheckMate 9ER): Long-Term Follow-up Results from an Open-Label, Randomised, Phase 3 Trial. Lancet Oncol 2022, 23, 888–898. [Google Scholar] [CrossRef] [PubMed]
- Huang, Y. Te; Lin, C.J.; Tsai, Y.Y.; Hsia, N.Y. Bilateral Optic Disc Edema as a Possible Complication of Cabozantinib Use-a Case Report. Eur J Ophthalmol 2023, 33, NP56–NP59. [Google Scholar] [CrossRef] [PubMed]
- Stephenson, K.A.J.; Mckay, B.R.; Paton, K.E. Cabozantinib-Associated Exudative Retinal Detachment and Choroiditis: A Case Report. J Curr Ophthalmol 2024, 36, 103–106. [Google Scholar] [CrossRef] [PubMed]
- Lanfant, L.; Trone, M.C.; Garcin, T.; Gauthier, A.S.; Thuret, G.; Gain, P. [Corneal Perforation with Tyrosine Kinase Inhibitor Chemotherapy: REGORAFENIB]. J Fr Ophtalmol 2021, 44, 544–548. [Google Scholar] [CrossRef] [PubMed]
- Lacy, S.A.; Miles, D.R.; Nguyen, L.T. Clinical Pharmacokinetics and Pharmacodynamics of Cabozantinib. Clin Pharmacokinet 2017, 56, 477–491. [Google Scholar] [CrossRef] [PubMed]
- Grülich, C. Cabozantinib: A MET, RET, and VEGFR2 Tyrosine Kinase Inhibitor. Recent Results Cancer Res 2014, 201, 207–214. [Google Scholar] [CrossRef]
- Yakes, F.M.; Chen, J.; Tan, J.; Yamaguchi, K.; Shi, Y.; Yu, P.; Qian, F.; Chu, F.; Bentzien, F.; Cancilla, B.; et al. Cabozantinib (XL184), a Novel MET and VEGFR2 Inhibitor, Simultaneously Suppresses Metastasis, Angiogenesis, and Tumor Growth. Mol Cancer Ther 2011, 10, 2298–2308. [Google Scholar] [CrossRef] [PubMed]
- AlBarakat, M.M.; Ahmed, Y.B.; Alshwayyat, S.; Ellaithy, A.; Y. Al-Shammari, Y.; Soliman, Y.; Rezq, H.; Abdelazeem, B.; Kunadi, A. The Efficacy and Safety of Cabozantinib in Patients with Metastatic or Advanced Renal Cell Carcinoma: A Systematic Review and Meta-Analysis. Proc (Bayl Univ Med Cent) 2024, 37, 822–830. [Google Scholar] [CrossRef] [PubMed]
- Ljubimov, A. V.; Saghizadeh, M. Progress in Corneal Wound Healing. Prog Retin Eye Res 2015, 49, 17–45. [Google Scholar] [CrossRef] [PubMed]
- Goldhardt, R.; Batawi, H.I.M.; Rosenblatt, M.; Lollett, I. V.; Park, J.J.; Galor, A. Effect of Anti-Vascular Endothelial Growth Factor Therapy on Corneal Nerves. Cornea 2019, 38, 559–564. [Google Scholar] [CrossRef] [PubMed]
- Lu, C.; Zhang, Q.; Zhang, H.; Li, X.; Jiang, Q.; Yao, J. A Small Molecular Multi-Targeting Tyrosine Kinase Inhibitor, Anlotinib, Inhibits Pathological Ocular Neovascularization. Biomed Pharmacother 2021, 138. [Google Scholar] [CrossRef] [PubMed]



Disclaimer/Publisher’s Note: The statements, opinions and data contained in all publications are solely those of the individual author(s) and contributor(s) and not of MDPI and/or the editor(s). MDPI and/or the editor(s) disclaim responsibility for any injury to people or property resulting from any ideas, methods, instructions or products referred to in the content. |
© 2025 by the authors. Licensee MDPI, Basel, Switzerland. This article is an open access article distributed under the terms and conditions of the Creative Commons Attribution (CC BY) license (http://creativecommons.org/licenses/by/4.0/).