Submitted:
16 April 2025
Posted:
16 April 2025
You are already at the latest version
Abstract
Keywords:
1. Introduction
2. Materials and Methods
2.1. Mouse Grouping and Immunization Protocol
2.2. Sample and Data Collection
2.2.1. Body Weight Measurements
2.2.2. Blood Immune Parameters
2.2.3. Lymphocyte Subsets
2.3. Neutralizing/Antigen-Specific Antibody Detection
2.3.1. Detection of Feline Trivalent Neutralizing Antibody Levels by Fixed Virus Dilution of Serum
2.3.2. In Vitro Detection of Feline Trivalent Antigen-Specific Antibodies
2.4. Immune Cell Count in Blood
2.5. Flow Cytometry Analysis of Immune Cells
2.5.1. Analysis of Immune Cells in Blood
2.5.2. Analysis of Immune Cells in Splenic Single-Cell Suspension
2.5.3. Gating Strategy
2.6. Statistical Analysis
3. Results
3.1. Weight Changes
3.2. Neutralizing/Antigen-Specific Antibody Detection
3.3. Blood Cells Analysis
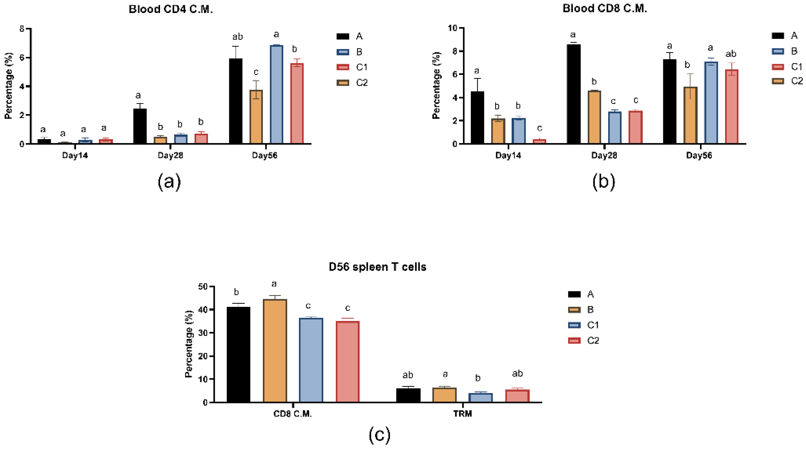
3.4. Flow Cytometry of Immune Cells
4. Discussion
5. Conclusions
Author Contributions
Funding
Institutional Review Board Statement
Informed Consent Statement
Data Availability Statement
Acknowledgments
Conflicts of Interest
References
- Bordicchia, M.; Fumian, T.M.; Van Brussel, K.; Russo, A.G.; Carrai, M.; Le, S.J.; Pesavento, P.A.; Holmes, E.C.; Martella, V.; White, P.; Beatty, J.A.; Shi, M.; Barrs, V.R. Feline Calicivirus Virulent Systemic Disease: Clinical Epidemiology, Analysis of Viral Isolates and In Vitro Efficacy of Novel Antivirals in Australian Outbreaks. Viruses 2021, 13. [Google Scholar] [CrossRef] [PubMed]
- Shi, L.; Huang, S.; Lu, Y.; Su, Y.; Guo, L.; Guo, L.; Xie, W.; Li, X.; Wang, Y.; Yang, S.; Chai, H.; Wang, Y. Cross-species transmission of feline herpesvirus 1 (FHV-1) to chinchillas. Vet Med Sci 2022, 8, 2532–2537. [Google Scholar] [CrossRef]
- Chowdhury, Q.; Alam, S.; Chowdhury, M.S.R.; Hasan, M.; Uddin, M.B.; Hossain, M.M.; Islam, M.R.; Rahman, M.M. First molecular characterization and phylogenetic analysis of the VP2 gene of feline panleukopenia virus in Bangladesh. Arch Virol 2021, 166, 2273–2278. [Google Scholar] [CrossRef]
- Hofmann-Lehmann, R.; Hosie, M.J.; Hartmann, K.; Egberink, H.; Truyen, U.; Tasker, S.; Belák, S.; Boucraut-Baralon, C.; Frymus, T. Lloret, A.J.V. Calicivirus infection in cats. 2022, 14, 937.
- Capozza, P.; Pratelli, A.; Camero, M.; Lanave, G.; Greco, G.; Pellegrini, F.; Tempesta, M. Feline Coronavirus and Alpha-Herpesvirus Infections: Innate Immune Response and Immune Escape Mechanisms. Animals (Basel) 2021, 11. [Google Scholar]
- Wu, H.; Qiao, P.; Chen, Y.; Liu, C.; Huo, N.; Ding, H.; Wang, X.; Wang, L.; Xi, X. Liu, Y.J.F.i.V.S. Cellular and humoral immune responses in cats vaccinated with feline herpesvirus 1 modified live virus vaccine. 2025, 11, 1516850.
- Li, J.; Zeng, Y.; Peng, J.; Zhou, Y.; Li, L.; Wang, Y.; Ye, Z.; Chen, Q.; Yan, Q.; Li, Q.; Cao, S.; Zhou, D. Assessing immune evasion potential and vaccine suitability of a feline panleukopenia virus strain. Veterinary Vaccine 2024, 3, 100067. [Google Scholar] [CrossRef]
- Tucciarone, C.M.; Franzo, G.; Legnardi, M.; Lazzaro, E.; Zoia, A.; Petini, M.; Furlanello, T.; Caldin, M.; Cecchinato, M.; Drigo, M. Genetic Insights into Feline Parvovirus: Evaluation of Viral Evolutionary Patterns and Association between Phylogeny and Clinical Variables. Viruses 2021, 13. [Google Scholar] [CrossRef]
- Lavelle, E.C.; McEntee, C.P. Vaccine adjuvants: Tailoring innate recognition to send the right message. Immunity 2024, 57, 772–789. [Google Scholar] [CrossRef]
- Wang, C.; Guan, Y.; Lv, M.; Zhang, R.; Guo, Z.; Wei, X.; Du, X.; Yang, J.; Li, T.; Wan, Y.; Su, X.; Huang, X.; Jiang, Z. Manganese Increases the Sensitivity of the cGAS-STING Pathway for Double-Stranded DNA and Is Required for the Host Defense against DNA Viruses. Immunity 2018, 48, 675–687.e7. [Google Scholar] [CrossRef]
- Zhang, R.; Wang, C.; Guan, Y.; Wei, X.; Sha, M.; Yi, M.; Jing, M.; Lv, M.; Guo, W.; Xu, J.; Wan, Y.; Jia, X.M.; Jiang, Z. Manganese salts function as potent adjuvants. Cell Mol Immunol 2021, 18, 1222–1234. [Google Scholar] [CrossRef] [PubMed]
- Yoshihara, K.; Yamada, H.; Hori, A.; Yajima, T.; Kubo, C.; Yoshikai, Y. IL-15 exacerbates collagen-induced arthritis with an enhanced CD4+ T cell response to produce IL-17. Eur J Immunol 2007, 37, 2744–2752. [Google Scholar] [CrossRef] [PubMed]
- Neurath, M.F. IL-23 in inflammatory bowel diseases and colon cancer. Cytokine Growth Factor Rev 2019, 45, 1–8. [Google Scholar] [CrossRef]
- Gao R, Peng J, Zhang L, Chen J, Lv X, Li J, Wang Z, Wei H Luo Q, Porcine interleukin-15, 21 and 23 co-expressed biological preparation material and applications thereof, p. 23.
- Chen, G.; Ran, X.; Li, B.; Li, Y.; He, D.; Huang, B.; Fu, S.; Liu, J.; Wang, W. Sodium Butyrate Inhibits Inflammation and Maintains Epithelium Barrier Integrity in a TNBS-induced Inflammatory Bowel Disease Mice Model. EBioMedicine 2018, 30, 317–325. [Google Scholar] [CrossRef] [PubMed]
- Gomes, A.P.; Price, N.L.; Ling, A.J.; Moslehi, J.J.; Montgomery, M.K.; Rajman, L.; White, J.P.; Teodoro, J.S.; Wrann, C.D.; Hubbard, B.P.; Mercken, E.M.; Palmeira, C.M.; de Cabo, R.; Rolo, A.P.; Turner, N.; Bell, E.L.; Sinclair, D.A. Declining NAD(+) induces a pseudohypoxic state disrupting nuclear-mitochondrial communication during aging. Cell 2013, 155, 1624–1638. [Google Scholar] [CrossRef]
- He, L.; Ding, Y.; Zhou, X.; Li, T.; Yin, Y. Serine signaling governs metabolic homeostasis and health. Trends Endocrinol Metab 2023, 34, 361–372. [Google Scholar] [CrossRef]
- Kalyanaraman, B. NAC, NAC, Knockin' on Heaven's door: Interpreting the mechanism of action of N-acetylcysteine in tumor and immune cells. Redox Biol 2022, 57, 102497. [Google Scholar] [CrossRef]
- Mast, J.; Buyse, J.; Goddeeris, B.M. Dietary L-carnitine supplementation increases antigen-specific immunoglobulin G production in broiler chickens. Br J Nutr 2000, 83, 161–166. [Google Scholar] [CrossRef]
- Meryk, A.; Grasse, M.; Balasco, L.; Kapferer, W.; Grubeck-Loebenstein, B.; Pangrazzi, L. Antioxidants N-Acetylcysteine and Vitamin C Improve T Cell Commitment to Memory and Long-Term Maintenance of Immunological Memory in Old Mice. Antioxidants (Basel) 2020, 9. [Google Scholar]
- Yi, L.; Maier, A.B.; Tao, R.; Lin, Z.; Vaidya, A.; Pendse, S.; Thasma, S.; Andhalkar, N.; Avhad, G.; Kumbhar, V. The efficacy and safety of β-nicotinamide mononucleotide (NMN) supplementation in healthy middle-aged adults: a randomized, multicenter, double-blind, placebo-controlled, parallel-group, dose-dependent clinical trial. Geroscience 2023, 45, 29–43. [Google Scholar] [CrossRef]
- Brown, W.F. VARIANCE ESTIMATION IN THE REED-MUENCH FIFTY PER CENT END-POINT DETERMINATION. Am J Hyg 1964, 79, 37–46. [Google Scholar] [PubMed]
- Shanghai GlinX Biotechnology Co., Ltd,-FiDX. Available online: https://www.glinxbio.com/fidx (Accessed 05 April 2025).
- Huang, C.; Hess, J.; Gill, M.; Hustead, D. A dual-strain feline calicivirus vaccine stimulates broader cross-neutralization antibodies than a single-strain vaccine and lessens clinical signs in vaccinated cats when challenged with a homologous feline calicivirus strain associated with virulent systemic disease. J Feline Med Surg 2010, 12, 129–137. [Google Scholar] [PubMed]
- Lappin, M.R. Feline panleukopenia virus, feline herpesvirus-1 and feline calicivirus antibody responses in seronegative specific pathogen-free kittens after parenteral administration of an inactivated FVRCP vaccine or a modified live FVRCP vaccine. J Feline Med Surg 2012, 14, 161–164. [Google Scholar] [CrossRef]
- Walter, J.; Foley, P.; Yason, C.; Vanderstichel, R.; Muckle, A. Prevalence of feline herpesvirus-1, feline calicivirus, Chlamydia felis, and Bordetella bronchiseptica in a population of shelter cats on Prince Edward Island. Can J Vet Res 2020, 84, 181–188. [Google Scholar] [PubMed]
- Zhao, T.; Cai, Y.; Jiang, Y.; He, X.; Wei, Y.; Yu, Y.; Tian, X. Vaccine adjuvants: mechanisms and platforms. Signal Transduct Target Ther 2023, 8, 283. [Google Scholar] [CrossRef]
- Wang, Z.; Yuan, Y.; Chen, C.; Zhang, C.; Huang, F.; Zhou, M.; Chen, H.; Fu, Z.F.; Zhao, L. Colloidal Manganese Salt Improves the Efficacy of Rabies Vaccines in Mice, Cats, and Dogs. J Virol 2021, 95, e0141421. [Google Scholar] [CrossRef]
- Decout, A.; Katz, J.D.; Venkatraman, S.; Ablasser, A. The cGAS-STING pathway as a therapeutic target in inflammatory diseases. Nat Rev Immunol 2021, 21, 548–569. [Google Scholar] [CrossRef]
- Hanlon, L.; Argyle, D.; Bain, D.; Nicolson, L.; Dunham, S.; Golder, M.C.; McDonald, M.; McGillivray, C.; Jarrett, O.; Neil, J.C.; Onions, D.E. Feline leukemia virus DNA vaccine efficacy is enhanced by coadministration with interleukin-12 (IL-12) and IL-18 expression vectors. J Virol 2001, 75, 8424–8433. [Google Scholar] [CrossRef]
- Yang, Y.; Leggat, D.; Herbert, A.; Roberts, P.C.; Sundick, R.S. A novel method to incorporate bioactive cytokines as adjuvants on the surface of virus particles. J Interferon Cytokine Res 2009, 29, 9–22. [Google Scholar] [CrossRef]
- Schluns, K.S.; Williams, K.; Ma, A.; Zheng, X.X.; Lefrançois, L. Cutting edge: requirement for IL-15 in the generation of primary and memory antigen-specific CD8 T cells. J Immunol 2002, 168, 4827–4831. [Google Scholar] [CrossRef]
- Di Sabatino, A.; Calarota, S.A.; Vidali, F.; Macdonald, T.T.; Corazza, G.R. Role of IL-15 in immune-mediated and infectious diseases. Cytokine Growth Factor Rev 2011, 22, 19–33. [Google Scholar] [CrossRef] [PubMed]
- Krueger, J.G.; Eyerich, K.; Kuchroo, V.K.; Ritchlin, C.T.; Abreu, M.T.; Elloso, M.M.; Fourie, A.; Fakharzadeh, S.; Sherlock, J.P.; Yang, Y.W.; Cua, D.J.; McInnes, I.B. IL-23 past, present, and future: a roadmap to advancing IL-23 science and therapy. Front Immunol 2024, 15, 1331217. [Google Scholar] [CrossRef] [PubMed]
- Mehta, H.; Mashiko, S.; Angsana, J.; Rubio, M.; Hsieh, Y.M.; Maari, C.; Reich, K.; Blauvelt, A.; Bissonnette, R.; Muñoz-Elías, E.J.; Sarfati, M. Differential Changes in Inflammatory Mononuclear Phagocyte and T-Cell Profiles within Psoriatic Skin during Treatment with Guselkumab vs. Secukinumab. J Invest Dermatol 2021, 141, 1707–1718.e9. [Google Scholar] [CrossRef]
- Pan, C.; Li, J.; Chen, S.; Yu, H.; Ye, Y. IL-7/IL-15/IL-21/IL-23 effectively promote the generation of human CD8(+) central memory T cells in vitro. Xi Bao Yu Fen Zi Mian Yi Xue Za Zhi 2021, 37, 872–880. [Google Scholar]
- Kaech, S.M.; Wherry, E.J.; Ahmed, R. Effector and memory T-cell differentiation: implications for vaccine development. Nat Rev Immunol 2002, 2, 251–262. [Google Scholar] [CrossRef]
- Vazquez, M.I.; Catalan-Dibene, J.; Zlotnik, A. B cells responses and cytokine production are regulated by their immune microenvironment. Cytokine 2015, 74, 318–326. [Google Scholar] [CrossRef] [PubMed]
- Pulendran, B.; P, S.A.; O'Hagan, D.T. Emerging concepts in the science of vaccine adjuvants. Nat Rev Drug Discov 2021, 20, 454–475. [Google Scholar] [CrossRef]
- Belperron, A.A.; Dailey, C.M.; Booth, C.J.; Bockenstedt, L.K. Marginal zone B-cell depletion impairs murine host defense against Borrelia burgdorferi infection. Infect Immun 2007, 75, 3354–3360. [Google Scholar] [CrossRef]





| Group | Treatment |
| A | 0.1 mL antigen + feline IL-15 (0.5 µg per mouse) + feline IL-23 (0.5 µg per mouse) + NMN (50 µg per mouse) + NAD (50 µg per mouse) + N-Ace (0.6 mg per mouse) + sodium butyrate (1.2 mg per mouse) + serine (1.2 mg per mouse) + L-carnitine (1.2 mg per mouse) |
| B | 0.1 mL antigen +NMN (50 µg per mouse) + NAD (50 µg per mouse) + N-Ace (0.6 mg per mouse) + sodium butyrate (1.2 mg per mouse) + serine (1.2 mg per mouse) + L-carnitine (1.2 mg per mouse) + Mn (200 µg per mouse) |
| C1 | 0.1 mL antigen + Mn (200 µg per mouse) |
| C2 | 0.1 mL commercial vaccine + 0.1 mL PBS |
Disclaimer/Publisher’s Note: The statements, opinions and data contained in all publications are solely those of the individual author(s) and contributor(s) and not of MDPI and/or the editor(s). MDPI and/or the editor(s) disclaim responsibility for any injury to people or property resulting from any ideas, methods, instructions or products referred to in the content. |
© 2025 by the authors. Licensee MDPI, Basel, Switzerland. This article is an open access article distributed under the terms and conditions of the Creative Commons Attribution (CC BY) license (http://creativecommons.org/licenses/by/4.0/).