Submitted:
08 April 2025
Posted:
08 April 2025
You are already at the latest version
Abstract
Keywords:
1. Introduction
2. Materials and Methods
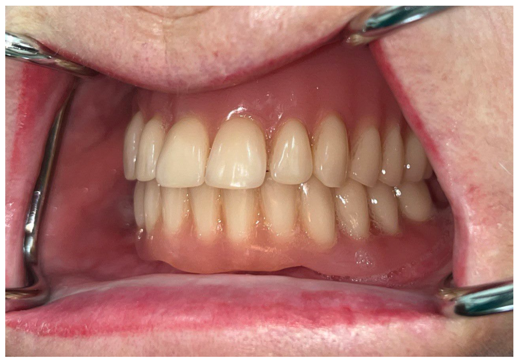
3. Results
4. Discussion
5. Conclusions
Author Contributions
Funding
Institutional Review Board Statement
Informed Consent Statement
Conflicts of Interest
Abbreviations
| CAD-CAM | Computer-Aided Design Computer-Aided Manufacturing |
| CT | Computed Tomography |
| PSI | Patient-Specific Implant |
| VSP | Virtual Surgical Planning |
References
- Conforte JJ, Alves CP, Sánchez Mdel P, Ponzoni D. Impact of trauma and surgical treatment on the quality of life of patients with facial fractures. Int J Oral Maxillofac Surg. 2016 May;45(5):575-81. [CrossRef] [PubMed]
- Hull AM, Lowe T, Devlin M, Finlay P, Koppel D, Stewart AM. Psychological consequences of maxillofacial trauma: a preliminary study. Br J Oral Maxillofac Surg. 2003 Oct;41(5):317-22. [CrossRef] [PubMed]
- Lalloo R, Lucchesi LR, Bisignano C, Castle CD, Dingels ZV, Fox JT, Hamilton EB, Liu Z, Roberts NLS, Sylte DO, Alahdab F, Alipour V, Alsharif U, Arabloo J, Bagherzadeh M, Banach M, Bijani A, Crowe CS, Daryani A, Do HP, Doan LP, Fischer F, Gebremeskel GG, Haagsma JA, Haj-Mirzaian A, Haj-Mirzaian A, Hamidi S, Hoang CL, Irvani SSN, Kasaeian A, Khader YS, Khalilov R, Khoja AT, Kiadaliri AA, Majdan M, Manaf N, Manafi A, Massenburg BB, Mohammadian-Hafshejani A, Morrison SD, Nguyen TH, Nguyen SH, Nguyen CT, Olagunju TO, Otstavnov N, Polinder S, Rabiee N, Rabiee M, Ramezanzadeh K, Ranganathan K, Rezapour A, Safari S, Samy AM, Sanchez Riera L, Shaikh MA, Tran BX, Vahedi P, Vahedian-Azimi A, Zhang ZJ, Pigott DM, Hay SI, Mokdad AH, James SL. Epidemiology of facial fractures: incidence, prevalence and years lived with disability estimates from the Global Burden of Disease 2017 study. Inj Prev. 2020 Oct;26(Supp 1):i27-i35. doi: 10.1136/injuryprev-2019-043297. Epub 2020 Jan 8. Erratum in: Inj Prev. 2023 Feb;29(1):e1. [CrossRef] [PubMed] [PubMed Central]
- Juncar M, Tent PA, Juncar RI, Harangus A, Mircea R. An epidemiological analysis of maxillofacial fractures: a 10-year cross-sectional cohort retrospective study of 1007 patients. BMC Oral Health. 2021 Mar 17;21(1):128. [CrossRef] [PubMed] [PubMed Central]
- Brasileiro BF, Passeri LA. Epidemiological analysis of maxillofacial fractures in Brazil: a 5-year prospective study. Oral Surg Oral Med Oral Pathol Oral Radiol Endod. 2006 Jul;102(1):28-34. [CrossRef] [PubMed]
- Kanala S, Gudipalli S, Perumalla P, Jagalanki K, Polamarasetty PV, Guntaka S, Gudala A, Boyapati RP. Aetiology, prevalence, fracture site and management of maxillofacial trauma. Ann R Coll Surg Engl. 2021 Jan;103(1):18-22. [CrossRef] [PubMed] [PubMed Central]
- Stacey, D Heath M.D.; Doyle, John F. D.D.S.; Mount, Delora L. M.D.; Snyder, Mary C. M.D.; Gutowski, Karol A. M.D.. Management of Mandible Fractures. Plastic and Reconstructive Surgery 117(3):p 48e-60e, March 2006. [CrossRef]
- Panesar K, Susarla SM. Mandibular Fractures: Diagnosis and Management. Semin Plast Surg. 2021 Oct 11;35(4):238-249. [CrossRef] [PubMed] [PubMed Central]
- Cawood JI, Howell RA. A classification of the edentulous jaws. Int J Oral Maxillofac Surg. 1988 Aug;17(4):232-6. [CrossRef] [PubMed]
- Luhr HG, Reidick T, Merten HA. Results of treatment of fractures of the atrophic edentulous mandible by compression plating: a retrospective evaluation of 84 consecutive cases. J Oral Maxillofac Surg. 1996 Mar;54(3):250-4; discussion 254-5. [CrossRef] [PubMed]
- Ellis E 3rd, Price C. Treatment protocol for fractures of the atrophic mandible. J Oral Maxillofac Surg. 2008 Mar;66(3):421-35. [CrossRef] [PubMed]
- Flores-Hidalgo A, Altay MA, Atencio IC, Manlove AE, Schneider KM, Baur DA, Quereshy FA. Management of fractures of the atrophic mandible: a case series. Oral Surg Oral Med Oral Pathol Oral Radiol. 2015 Jun;119(6):619-27. [CrossRef] [PubMed]
- Mugino H, Takagi S, Oya R, Nakamura S, Ikemura K. Miniplate osteosynthesis of fractures of the edentulous mandible. Clin Oral Investig. 2005 Dec;9(4):266-70. [CrossRef] [PubMed]
- Novelli G, Sconza C, Ardito E, Bozzetti A. Surgical treatment of the atrophic mandibular fractures by locked plates systems: our experience and a literature review. Craniomaxillofac Trauma Reconstr. 2012 Jun;5(2):65-74. [CrossRef] [PubMed] [PubMed Central]
- Reconstruction of an Atrophic Mandibular Fracture via a Customized, Intraoral Approach: A Novel Technique in the Treatment of Atrophic Mandibular Fractures Rekawek, PeterYoshikane, Frances et al. Journal of Oral and Maxillofacial Surgery, Volume 80, Issue 9, S94 - S95.
- Abbate, V.; Committeri, U.; Troise, S.; Bonavolontà, P.; Vaira, L.A.; Gabriele, G.; Biglioli, F.; Tarabbia, F.; Califano, L.; Dell’Aversana Orabona, G. Virtual Surgical Reduction in Atrophic Edentulous Mandible Fractures: A Novel Approach Based on “in House” Digital Work-Flow. Appl. Sci. 2023, 13, 1474. [CrossRef]
- Caruso DP, Aquino VM, Hajibandeh JT. Management of Atrophic Edentulous Mandible Fractures Utilizing Virtual Surgical Planning and Patient-Specific Implants. Craniomaxillofac Trauma Reconstr. 2024 Jun 6:19433875241259808. [CrossRef] [PubMed] [PubMed Central]
- Duran-Rodriguez G, Gómez-Delgado A, López JP. Management of Bilateral Condylar Fractures in an Edentulous Patient with Atrophic Mandible Using CADCAM Technology. J Maxillofac Oral Surg. 2022 Mar;21(1):124-128. [CrossRef] [PubMed] [PubMed Central]













Disclaimer/Publisher’s Note: The statements, opinions and data contained in all publications are solely those of the individual author(s) and contributor(s) and not of MDPI and/or the editor(s). MDPI and/or the editor(s) disclaim responsibility for any injury to people or property resulting from any ideas, methods, instructions or products referred to in the content. |
© 2025 by the authors. Licensee MDPI, Basel, Switzerland. This article is an open access article distributed under the terms and conditions of the Creative Commons Attribution (CC BY) license (http://creativecommons.org/licenses/by/4.0/).