Submitted:
20 September 2024
Posted:
21 September 2024
You are already at the latest version
Abstract
Keywords:
1. Introduction
2. Results
2.1. Analysis of ethylene glycol using GC-MS
2.2. Analysis of glycolic acid using LC-MS/MS
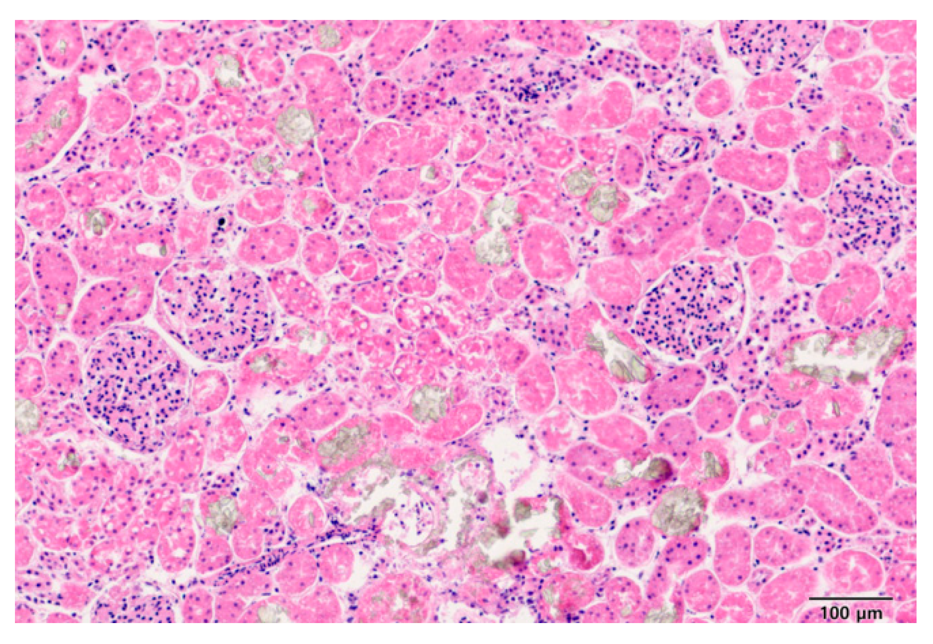
2.3. Analysis of samples suspected to be exposed to antifreeze
3. Discussion
4. Materials and Methods
4.1. Reagents and chemicals
4.2. Sample preparation for mass spectrometry analysis
4.3. GC-MS method
4.4. LC-MS/MS method
4.5. Validation of GC-MS and LC-MS/MS methods
4.6. Forensic examination [necropsy and H&E staining]
4.7. Genetic assay using PCR
Author Contributions
Funding
Informed Consent Statement
Data Availability Statement
Conflicts of Interest
References
- Patočka, J.; Hon, Z. Ethylene glycol, hazardous substance in the household. Acta Med. (Hradec Kralove) 2010, 53, 19–23. [Google Scholar] [CrossRef] [PubMed]
- Baselt, R.C.; Cravey, R.H. Disposition of Toxic Drugs and Chemicals in Man; Biomedical Publications: Davis, CA, 1982; Volume 33. [Google Scholar]
- Amoroso, L.; Cocumelli, C.; Bruni, G.; Brozzi, A.; Tancredi, F.; Grifoni, G.; Mastromattei, A.; Meoli, R.; Di Guardo, G.; Eleni, C. Ethylene glycol toxicity: a retrospective pathological study in cats. Vet. Ital. 2017, 53, 251–254. [Google Scholar] [CrossRef] [PubMed]
- Schweighauser, A.; Francey, T. Ethylene glycol poisoning in three dogs: importance of early diagnosis and role of hemodialysis as a treatment option. Schweiz. Arch. Tierheilkd. 2016, 158, 109–114. [Google Scholar] [CrossRef] [PubMed]
- Porter, W.H.; Rutter, P.W.; Yao, H.H. Simultaneous determination of ethylene glycol and glycolic acid in serum by gas chromatography-mass spectrometry. J. Anal. Toxicol. 1999, 23, 591–597. [Google Scholar] [CrossRef] [PubMed]
- Edinboro, L.E.; Nanco, C.R.; Soghioan, D.M.; Poklis, A. Determination of ethylene glycol in serum utilizing direct injection on a wide-bore capillary column. Ther. Drug Monit. 1993, 15, 220–223. [Google Scholar] [CrossRef] [PubMed]
- Tuero, G.; González, J.; Sahuquillo, L.; Freixa, A.; Gomila, I.; Elorza, M.Á.; Barceló, B. Value of glycolic acid analysis in ethylene glycol poisoning: A clinical case report and systematic review of the literature. Forensic Sci. Int. 2018, 290, e9–e14. [Google Scholar] [CrossRef] [PubMed]
- Jacobsen, D.; Hewlett, T.P.; Webb, R.; Brown, S.T.; Ordinario, A.T.; McMartin, K.E. Ethylene glycol intoxication: evaluation of kinetics and crystalluria. Am. J. Med. 1988, 84, 145–152. [Google Scholar] [CrossRef] [PubMed]
- Eder, A.F.; McGrath, C.M.; Dowdy, Y.G.; Tomaszewski, J.E.; Rosenberg, F.M.; Wilson, R.B.; Wolf, B.A.; Shaw, L.M. Ethylene glycol poisoning: toxicokinetic and analytical factors affecting laboratory diagnosis. Clin. Chem. 1998, 44, 168–177. [Google Scholar] [CrossRef] [PubMed]
- Henderson, W.R.; Brubacher, J. Methanol and ethylene glycol poisoning: a case study and review of current literature. Can. J. Emerg. Med. 2002, 4, 34–40. [Google Scholar] [CrossRef] [PubMed]
- David, D.P.; Bramwell, K.J.; Hamilton, R.S.; Williams, S.R. Ethylene glycol poisoning: case report of a record-high level and a review. J. Emerg. Med. 1997, 15, 653–667. [Google Scholar] [CrossRef] [PubMed]
- Jacobsen, D.; Hewlett, T.P.; Webb, R.; Brown, S.T.; Ordinario, A.T.; McMartin, K.E. Ethylene glycol intoxication: evaluation of kinetics and crystalluria. Am. J. Med. 1988, 84, 145–152. [Google Scholar] [CrossRef] [PubMed]
- McQuade, D.J.; Dargan, P.I.; Wood, D.M. Challenges in the diagnosis of ethylene glycol poisoning. Ann. Clin. Biochem. 2014, 51, 167–178. [Google Scholar] [CrossRef] [PubMed]
- Kraut, J.A.; Kurtz, I. Toxic alcohol ingestions: clinical features, diagnosis, and management. Clin. J. Am. Soc. Nephrol. 2008, 3, 208–225. [Google Scholar] [CrossRef] [PubMed]
- Kim, J.; Choi, B. Analysis of antifreeze poisoning trends in companion animals in Korea. J. Vet. Med. Toxicol. 2023, 29, 145–153. [Google Scholar] [PubMed]
- Hong, H.; Li, W.; Li, X.; Huang, B.; Shi, D. Determination of glycolic acid in natural seawater by liquid chromatography coupled with triple quadrupole mass spectrometry. Limnol. Oceanogr. Methods 2017, 15, 631–641. [Google Scholar] [CrossRef]
- Dziadosz, M. Direct analysis of ethylene glycol in human serum on the basis of analyte adduct formation and liquid chromatography–tandem mass spectrometry. J. Chromatogr. B Analyt. Technol. Biomed. Life Sci. 2018, 1072, 100–104. [Google Scholar] [CrossRef] [PubMed]
- Hossain. M.A.; Pervin, R.; Park, N.H.; Kang, J.W.; Lee, K.J.; Suh, J.W.; Park, S.C. Development of a simple and sensitive HPLC method for the determination of rifaximin in serum and its application. Indian J. Pharm. Sci. 2018, 80, 1108–1114. [Google Scholar] [CrossRef]
- Smith, M.; Lee, H. Innovative approaches to the rapid diagnosis of ethylene glycol poisoning in small animals. Vet. Sci. Today 2021, 17, 560–569. [Google Scholar] [PubMed]
- Merck Veterinary Manual. Ethylene glycol toxicosis in animals. Available online: https://www.msdvetmanual.com/toxicology/ethylene-glycol-toxicosis/ethylene-glycol-toxicosis-in-animals (accessed on 5 February 2024).
- Liu, Z.; Jiang, H.; Yang, J.; Wang, T.; Ding, Y.; Liu, J.; Wang, S.; Ye, Z. Analysis of altered microRNA expression profiles in the kidney tissues of ethylene glycol-induced hyperoxaluric rats. Mol. Med. Rep. 2016, 14, 4650–4658. [Google Scholar] [CrossRef] [PubMed]




| Compound Name | Calibration Curve (ng/mL) |
r2 | LOD (ng/mL) |
LOQ (ng/mL) |
Recovery (%) |
RSD (%) |
|---|---|---|---|---|---|---|
| Ethylene glycol | 50–1000 | 0.99 | 25 | 100 | 83.05–91.73 | 0.41–0.96 |
| Glycolic acid | 10–200 | 0.99 | 5 | 20 | 80.92–95.30 | 0.81–1.34 |
| Analytes | Concentration (µg/mL) | ||||
|---|---|---|---|---|---|
| Gastric tissue | Liver tissue | Renal tissue | Other relevant findings | ||
| Case 1 | EG | 82 | 69 | 67 | Organ bleeding, mild calcium oxalate crystals within the kidneys |
| GA | 27 | 29 | 28 | ||
| Case2 | EG | 572 | 395 | 367 | Calcium oxalate crystals within the kidneys |
| GA | 59 | 41 | 46 | ||
| Case3 | EG | 590 | 473 | 359 | Calcium oxalate crystals within the kidneys |
| GA | 98 | 62 | 53 | ||
| Case4 | EG | 541 | 313 | 410 | Calcium oxalate crystals within the kidneys |
| GA | 43 | 50 | 55 | ||
| Case5 | EG | 497 | 387 | 340 | Calcium oxalate crystals within the kidneys |
| GA | 40 | 51 | 42 | ||
Disclaimer/Publisher’s Note: The statements, opinions and data contained in all publications are solely those of the individual author(s) and contributor(s) and not of MDPI and/or the editor(s). MDPI and/or the editor(s) disclaim responsibility for any injury to people or property resulting from any ideas, methods, instructions or products referred to in the content. |
© 2024 by the authors. Licensee MDPI, Basel, Switzerland. This article is an open access article distributed under the terms and conditions of the Creative Commons Attribution (CC BY) license (http://creativecommons.org/licenses/by/4.0/).