Submitted:
05 September 2024
Posted:
09 September 2024
You are already at the latest version
Abstract
Keywords:
1. Introduction
2. Materials and Methods
Patient Recruitment
Sanger and Next-Generation Sequencing (NGS)
In Silico Splicing Analysis
Cloning
Transfection, RNA Isolation and cDNA Synthesis
Automated Electrophoresis - TapeStation
3. Results
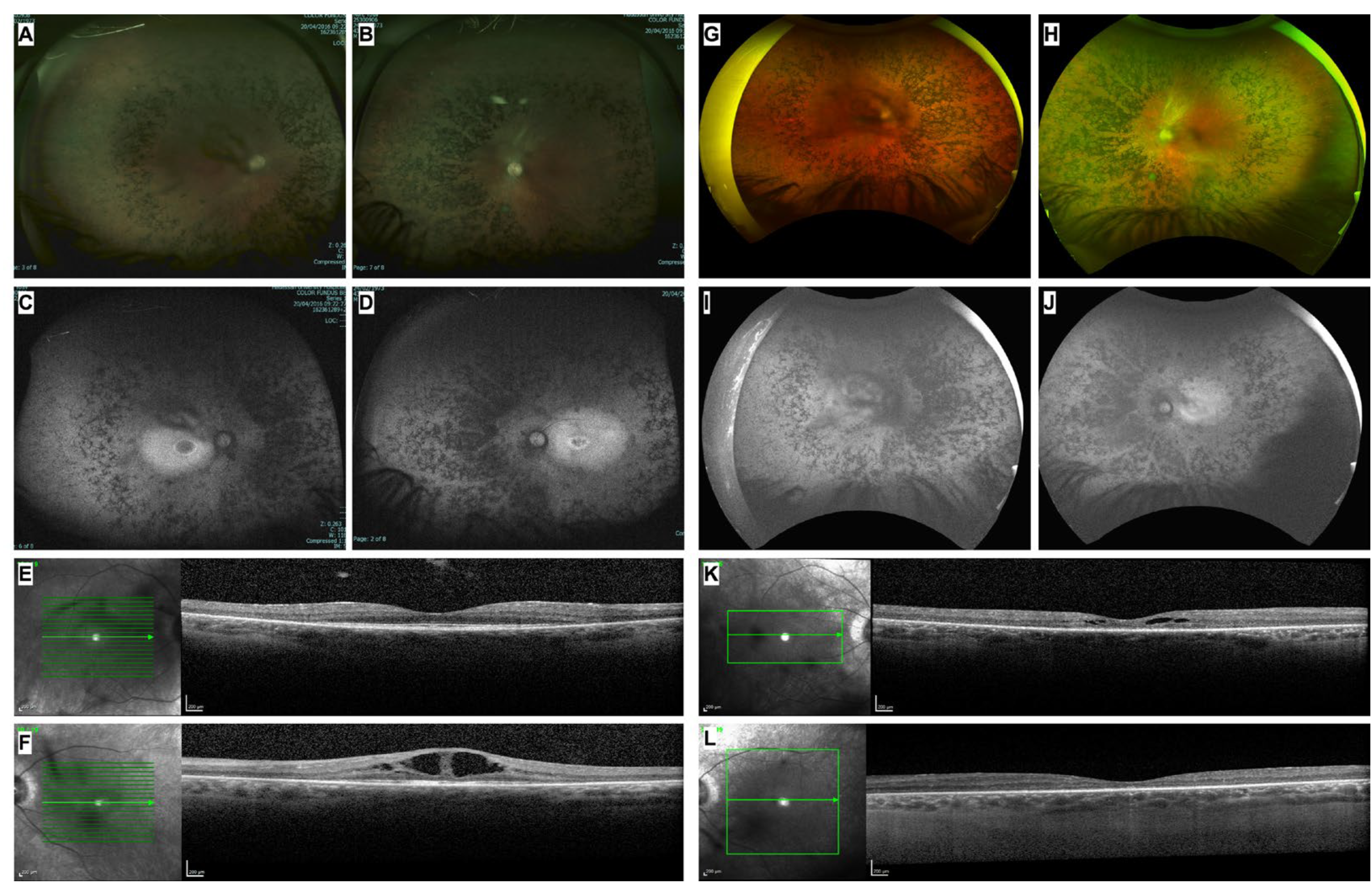
3.1. Clinical analysis
3.2. Variants Identification
3.3. Splicing Assay
4. Discussion
Supplementary Materials
Author Contributions
Funding
Institutional Review Board Statement
Informed Consent Statement
Data Availability Statement
Conflicts of Interest
Acknowledgments
References
- Schneider, N.; Sundaresan, Y.; Gopalakrishnan, P.; Beryozkin, A.; Hanany, M.; Levanon, E.Y.; Banin, E.; Ben-Aroya, S.; Sharon, D. Inherited Retinal Diseases: Linking Genes, Disease-Causing Variants, and Relevant Therapeutic Modalities. Prog Retin Eye Res 2021, 101029. [Google Scholar] [CrossRef] [PubMed]
- Verbakel, S.K.; van Huet, R.A.C.; Boon, C.J.F.; den Hollander, A.I.; Collin, R.W.J.; Klaver, C.C.W.; Hoyng, C.B.; Roepman, R.; Klevering, B.J. Non-Syndromic Retinitis Pigmentosa. Prog Retin Eye Res 2018, 66, 157–186. [Google Scholar] [CrossRef] [PubMed]
- Hartong, D.T.; Berson, E.L.; Dryja, T.P. Retinitis Pigmentosa. Lancet 2006, 368, 1795–1809. [Google Scholar] [CrossRef] [PubMed]
- Ben-Yosef, T. Inherited Retinal Diseases. Int J Mol Sci 2022, 23, 13467. [Google Scholar] [CrossRef] [PubMed]
- Carss, K.J.; Arno, G.; Erwood, M.; Stephens, J.; Sanchis-Juan, A.; Hull, S.; Megy, K.; Grozeva, D.; Dewhurst, E.; Malka, S.; et al. Comprehensive Rare Variant Analysis via Whole-Genome Sequencing to Determine the Molecular Pathology of Inherited Retinal Disease. Am J Hum Genet 2017, 100, 75–90. [Google Scholar] [CrossRef]
- Hayman, T.; Millo, T.; Hendler, K.; Chowers, I.; Gross, M.; Banin, E.; Sharon, D. Whole Exome Sequencing of 491 Individuals with Inherited Retinal Diseases Reveals a Large Spectrum of Variants and Identification of Novel Candidate Genes. J Med Genet 2023, 61, 224–231. [Google Scholar] [CrossRef]
- Weisschuh, N.; Sturm, M.; Baumann, B.; Audo, I.; Ayuso, C.; Bocquet, B.; Branham, K.; Brooks, B.P.; Catalá-Mora, J.; Giorda, R.; et al. Deep-Intronic Variants in CNGB3 Cause Achromatopsia by Pseudoexon Activation. Hum Mutat 2020, 41, 255–264. [Google Scholar] [CrossRef]
- Runhart, E.H.; Valkenburg, D.; Cornelis, S.S.; Khan, M.; Sangermano, R.; Albert, S.; Bax, N.M.; Astuti, G.D.N.; Gilissen, C.; Pott, J.W.R.; et al. Late-Onset Stargardt Disease Due to Mild, Deep-Intronic ABCA4 Alleles. Invest Ophthalmol Vis Sci 2019. [Google Scholar] [CrossRef]
- Fadaie, Z.; Khan, M.; Del Pozo-Valero, M.; Cornelis, S.S.; Ayuso, C.; Cremers, F.P.M.; Roosing, S.; The, A. Identification of Splice Defects Due to Noncanonical Splice Site or Deep-Intronic Variants in ABCA4. Hum Mutat 2019, 40, 2365–2376. [Google Scholar] [CrossRef]
- Hufnagel, R.B.; Liang, W.; Duncan, J.L.; Brewer, C.C.; Audo, I.; Ayala, A.R.; Branham, K.; Cheetham, J.K.; Daiger, S.P.; Durham, T.A.; et al. Tissue-Specific Genotype–Phenotype Correlations among USH2A-Related Disorders in the RUSH2A Study. Hum Mutat 2022, 43, 613–624. [Google Scholar] [CrossRef]
- Rivolta, C.; Sweklo, E.A.; Berson, E.L.; Dryja, T.P. Missense Mutation in the USH2A Gene: Association with Recessive Retinitis Pigmentosa without Hearing Loss. Am. J. Hum. Genet. 2000, 66, 1975–1978. [Google Scholar] [CrossRef] [PubMed]
- Yang, Z.; Huang, M.; Wei, X.; Sun, J.; Zhang, F. Case Report: Compound Heterozygous Nonsense PCDH15 Variant and a Novel Deep-Intronic Variant in a Chinese Child with Profound Hearing Loss. Mol Genet Genomic Med 2023, 11. [Google Scholar] [CrossRef] [PubMed]
- Khateb, S.; Zelinger, L.; Ben-Yosef, T.; Merin, S.; Crystal-Shalit, O.; Gross, M.; Banin, E.; Sharon, D. Exome Sequencing Identifies a Founder Frameshift Mutation in an Alternative Exon of USH1C as the Cause of Autosomal Recessive Retinitis Pigmentosa with Late-Onset Hearing Loss. PLoS One 2012, 7, e51566. [Google Scholar] [CrossRef] [PubMed]
- Panneman, D.M.; Hitti-Malin, R.J.; Holtes, L.K.; de Bruijn, S.E.; Reurink, J.; Boonen, E.G.M.; Khan, M.I.; Ali, M.; Andréasson, S.; De Baere, E.; et al. Cost-Effective Sequence Analysis of 113 Genes in 1,192 Probands with Retinitis Pigmentosa and Leber Congenital Amaurosis. Front Cell Dev Biol 2023, 11, 1112270. [Google Scholar] [CrossRef]
- Herrera, W.; Aleman, T.S.; Cideciyan, A. V.; Roman, A.J.; Banin, E.; Ben-Yosef, T.; Gardner, L.M.; Sumaroka, A.; Windsor, E.A.M.; Schwartz, S.B.; et al. Retinal Disease in Usher Syndrome III Caused by Mutations in the Clarin-1 Gene. Invest Ophthalmol Vis Sci 2008, 49, 2651–2660. [Google Scholar] [CrossRef] [PubMed]
- Ness, S.L.; Ben-Yosef, T.; Bar-Lev, A.; Madeo, A.C.; Brewer, C.C.; Avraham, K.B.; Kornreich, R.; Desnick, R.J.; Willner, J.P.; Friedman, T.B.; et al. Genetic Homogeneity and Phenotypic Variability among Ashkenazi Jews with Usher Syndrome Type III. J Med Genet 2003, 40, 767–772. [Google Scholar] [CrossRef]
- Khan, A.O.; Becirovic, E.; Betz, C.; Neuhaus, C.; Altmüller, J.; Maria Riedmayr, L.; Motameny, S.; Nürnberg, G.; Nürnberg, P.; Bolz, H.J. A Deep Intronic CLRN1 (USH3A) Founder Mutation Generates an Aberrant Exon and Underlies Severe Usher Syndrome on the Arabian Peninsula. Sci Rep 2017, 7. [Google Scholar] [CrossRef]
- Joensuu, T.; Hamalainen, R.; Yuan, B.; Johnson, C.; Tegelberg, S.; Gasparini, P.; Zelante, L.; Pirvola, U.; Pakarinen, L.; Lehesjoki, A.E.; et al. Mutations in a Novel Gene with Transmembrane Domains Underlie Usher Syndrome Type 3. Am.J.Hum.Genet. 2001, 69, 673–684. [Google Scholar] [CrossRef]
- Adato, A.; Vreugde, S.; Joensuu, T.; Avidan, N.; Hamalainen, R.; Belenkiy, O.; Olender, T.; Bonne-Tamir, B.; Ben-Asher, E.; Espinos, C.; et al. USH3A Transcripts Encode Clarin-1, a Four-Transmembrane-Domain Protein with a Possible Role in Sensory Synapses. Eur J Hum Genet 2002, 10, 339–350. [Google Scholar] [CrossRef]
- Fields, R.R.; Zhou, G.; Huang, D.; Davis, J.R.; Möller, C.; Jacobson, S.G.; Kimberling, W.J.; Sumegi, J. Usher Syndrome Type III: Revised Genomic Structure of the USH3 Gene and Identification of Novel Mutations. The American Journal of Human Genetics 2002, 71, 607–617. [Google Scholar] [CrossRef]
- Pakarinen, L.; Tuppurainen, K.; Laippala, P.; Mäntyjärvi, M.; Puhakka, H. The Ophthalmological Course of Usher Syndrome Type III. Int Ophthalmol 19 307–311. [CrossRef] [PubMed]
- Marouf, A.; Johnson, B.; Alagramam, K.N. Usher Syndrome IIIA: A Review of the Disorder and Preclinical Research Advances in Therapeutic Approaches. Hum Genet 2022, 141, 759–783. [Google Scholar] [CrossRef] [PubMed]
- Yoshimura, H.; Oshikawa, C.; Nakayama, J.; Moteki, H.; Usami, S.I. Identification of a Novel CLRN1 Gene Mutation in Usher Syndrome Type 3: Two Case Reports. Annals of Otology, Rhinology and Laryngology 2015, 124, 94S–99S. [Google Scholar] [CrossRef] [PubMed]
- Khan, M.I.; Kersten, F.F.J.; Azam, M.; Collin, R.W.J.; Hussain, A.; Shah, S.T.A.; Keunen, J.E.E.; Kremer, H.; Cremers, F.P.M.; Qamar, R.; et al. CLRN1 Mutations Cause Nonsyndromic Retinitis Pigmentosa. Ophthalmology 2011, 118, 1444–1448. [Google Scholar] [CrossRef]
- Panagiotopoulos, A.L.; Karguth, N.; Pavlou, M.; Böhm, S.; Gasparoni, G.; Walter, J.; Graf, A.; Blum, H.; Biel, M.; Riedmayr, L.M.; et al. Antisense Oligonucleotide- and CRISPR-Cas9-Mediated Rescue of MRNA Splicing for a Deep Intronic CLRN1 Mutation. Mol Ther Nucleic Acids 2020, 21, 1050–1061. [Google Scholar] [CrossRef]





Disclaimer/Publisher’s Note: The statements, opinions and data contained in all publications are solely those of the individual author(s) and contributor(s) and not of MDPI and/or the editor(s). MDPI and/or the editor(s) disclaim responsibility for any injury to people or property resulting from any ideas, methods, instructions or products referred to in the content. |
© 2024 by the authors. Licensee MDPI, Basel, Switzerland. This article is an open access article distributed under the terms and conditions of the Creative Commons Attribution (CC BY) license (http://creativecommons.org/licenses/by/4.0/).