Submitted:
12 August 2024
Posted:
13 August 2024
You are already at the latest version
Abstract
Keywords:
1. Introduction
- There is no significant difference in the prevalence of EEOP between males and females.
- There is no significant difference in the prevalence of EEOP between ancient and modern groups.
- There is no significant difference in the severity of EEOP between males and females.
- There is no significant difference in the severity of EEOP between ancient and modern groups.
2. Materials and Methods
Study Design
Setting
Ethics
CBCT Imaging
Head Orientation and NHP
Participants
Analysis of Ancient Skulls
Error Methodology
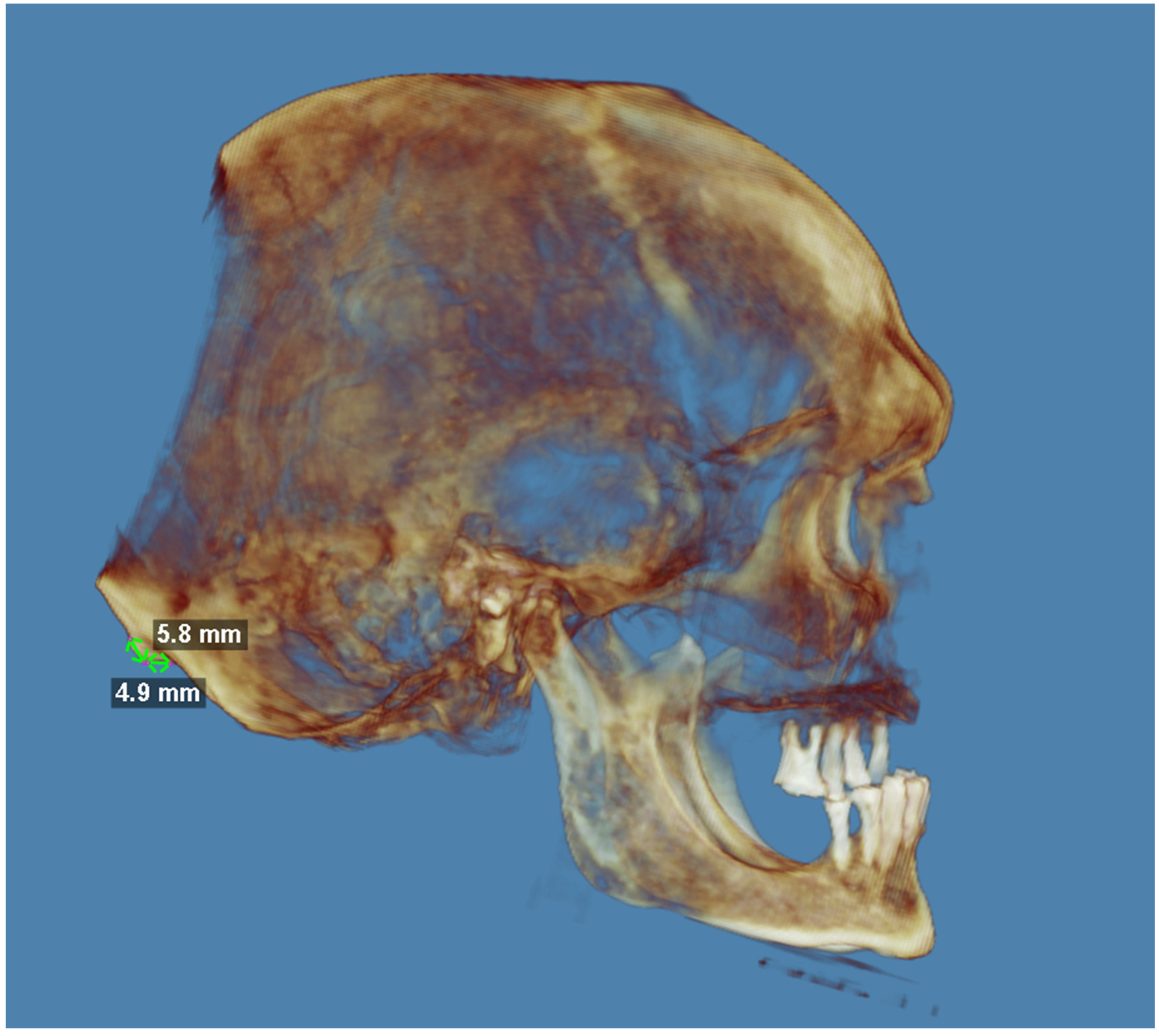
Classification and Measurement
- Class I: EOP < 10 mm
- Class II: 10 mm ≤ EEOP < 20 mm
- Class III: 20 mm ≤ EEOP < 30 mm
- Class IV: EEOP ≥ 30 mm
Statistical Analysis
1. Prevalence of EEOP
- H0 (Null Hypothesis): There is no significant difference in the prevalence of EEOP between males and females.
- H1 (Alternative Hypothesis): There is a significant difference in the prevalence of EEOP between males and females.
- p-value ≈ 0.124
- H0 (Null Hypothesis): There is no significant difference in the prevalence of EEOP between ancient and modern groups.
- H1 (Alternative Hypothesis): There is a significant difference in the prevalence of EEOP between ancient and modern groups.
- p-value ≈ 0.023
2. Severity of EEOP
- H0 (Null Hypothesis): There is no significant difference in the severity of EEOP between males and females.
- H1 (Alternative Hypothesis): There is a significant difference in the severity of EEOP between males and females.
- p-value < 0.001 (using a t-distribution table or calculator).
- ● H0 (Null Hypothesis): There is no significant difference in the severity of EEOP between ancient and modern groups.
- ● H1 (Alternative Hypothesis): There is a significant difference in the severity of EEOP between ancient and modern groups.
- ● p-value < 0.001 (using a t-distribution table or calculator).
3. Results
| Group |
Class I (5 mm ≤ EOP ≤ 10 mm) |
Class II (10 mm ≤ EOP ≤ 20 mm) |
Class III (20 mm ≤ EOP ≤ 30 mm) |
Class IV (EOP ≥ 30 mm) |
|---|---|---|---|---|
| Modern males | n 4 | n 25 | n 2 | N/A |
| Modern females | n 12 | n 9 | n 1 | N/A |
| Ancient cranium | n 2 | N/A | N/A | N/A |
| Group |
Class 0 EOP ≤ 5 mm |
Class I (5 mm ≤ EOP ≤ 10 mm) |
Class II (10 mm ≤ EOP ≤ 20 mm) |
Class III (20 mm ≤ EOP ≤ 30 mm) |
Class IV (EOP ≥ 30 mm) |
|---|---|---|---|---|---|
| Modern males | 4.2 ± 0.6 | 8.2 ± 1.2 | 16.3 ± 3.6 | 22.6 ± 2.1 | N/A |
| Modern females | 3.6 ± 0.8 | 7.5 ± 2.2 | 13.5 ± 2.6 | 20.5 ± 0.2 | N/A |
| Ancient cranium | 3.4 ± 0.6 | 6.1 ± 1.0 | N/A | N/A | N/A |
4. Discussion
5. Conclusions
- o
- Gender Comparison: The null hypothesis stating that there is no significant difference in the prevalence of EEOP between males and females was not rejected. The p-value of approximately 0.124 is greater than the 0.05 significance level, indicating no significant difference in EEOP prevalence between genders.
- o
- Temporal Comparison: The null hypothesis stating that there is no significant difference in the prevalence of EEOP between ancient and modern groups was rejected. With a p-value of approximately 0.023, which is less than 0.05, there is a significant difference in EEOP prevalence between ancient and modern populations. Modern individuals exhibit a higher prevalence compared to their ancient counterparts.
- o
- Gender Comparison: The null hypothesis that there is no significant difference in the severity of EEOP between males and females was rejected. The p-value of less than 0.001 indicates a significant difference in EEOP severity between genders, with notable variations in severity.
- o
- Temporal Comparison: The null hypothesis that there is no significant difference in the severity of EEOP between ancient and modern groups was rejected. The p-value of less than 0.001 shows a significant difference in the severity of EEOP, with modern individuals displaying more pronounced severity compared to ancient individuals.
Author Contributions
Funding
Institutional Review Board Statement
Informed Consent Statement
Data Availability Statement
Acknowledgments
Conflicts of Interest
References
- Zhang, Y.; Schepartz, L. A. Three-Dimensional Geometric Morphometric Studies of Modern Human Occipital Variation. PLoS ONE 2021, 16(1), e0245445. [Google Scholar] [CrossRef] [PubMed]
- Çağlayan, F.; Polat, B.; Tugluoglu Dalci, H. L.; Oncu, E.; Kuzey, N.; Guller, H. An Anatomorphometric Study of Occipital Spurs and Their Association with Dental Occlusion. Cureus 2024, 16(1), e51827. [Google Scholar] [CrossRef] [PubMed]
- Nishikawa, Y.; Watanabe, K.; Chihara, T.; Sakamoto, J.; Komatsuzaki, T.; Kawano, K.; Kobayashi, A.; Inoue, K.; Maeda, N.; Tanaka, S.; Hyngstrom, A. Influence of Forward Head Posture on Muscle Activation Pattern of the Trapezius Pars Descendens Muscle in Young Adults. Sci. Rep. 2022, 12(1), 19484. [Google Scholar] [CrossRef] [PubMed]
- Langley, N. R.; Dudzik, B.; Cloutier, A. A Decision Tree for Nonmetric Sex Assessment from the Skull. J. Forensic Sci. 2018, 63, 31–37. [Google Scholar] [CrossRef] [PubMed]
- Jacques, T.; Jaouen, A.; Kuchcinski, G.; Badr, S.; Demondion, X.; Cotten, A. Enlarged External Occipital Protuberance in Young French Individuals’ Head CT: Stability in Prevalence, Size, and Type between 2011 and 2019. Sci. Rep. 2020, 10(1), 6518. [Google Scholar] [CrossRef] [PubMed]
- Porrino, J.; Sunku, P.; Wang, A.; Haims, A.; Richardson, M. L. Exophytic External Occipital Protuberance Pre- and Post-iPhone Introduction: A Retrospective Cohort. Yale J. Biol. Med. 2021, 94, 65–71. [Google Scholar] [PubMed]
- Shahar, D.; Sayers, M. G. A Morphological Adaptation? The Prevalence of Enlarged External Occipital Protuberance in Young Adults. J. Anat. 2016, 229, 286–291. [Google Scholar] [CrossRef] [PubMed]
- Shahar, D.; Evans, J.; Sayers, M. G. L. Large Enthesophytes in Teenage Skulls: Mechanical, Inflammatory, and Genetic Considerations. Clin. Biomech. 2018, 53, 60–64. [Google Scholar] [CrossRef] [PubMed]
- Macrì, M.; D’Albis, G.; D’Albis, V.; Pegreffi, F.; Festa, F. Periodontal Health and Its Relationship with Psychological Stress: A Cross-Sectional Study. J. Clin. Med. 2024, 13(10), 2942. [Google Scholar] [CrossRef]
- Macrì, M.; Rotelli, C.; Pegreffi, F.; Festa, F. Non-Pharmacological Pain Treatment of Patients with Myofascial Pain Syndrome of the Masticatory Muscles—Case Series. Biomedicines 2023, 11(10), 2799. [Google Scholar] [CrossRef] [PubMed]
- Festa, F.; Lopedote, N.; Rotelli, C.; Caulo, M.; Macrì, M. Correlation between Functional Magnetic Resonance and Symptomatologic Examination in Adult Patients with Myofascial Pain Syndrome of the Masticatory Muscles. Appl. Sci. 2023, 13(13), 7934. [Google Scholar] [CrossRef]
- Macrì, M.; Rendina, F.; Feragalli, B.; Pegreffi, F.; Festa, F. Prevalence of Ponticulus Posticus and Migraine in 220 Orthodontic Patients: A Cross-Sectional Study. Biology 2023, 12(3), 471. [Google Scholar] [CrossRef] [PubMed]
- Macrì, M.; Flores, N.V.G.; Stefanelli, R.; Pegreffi, F.; Festa, F. Interpreting the Prevalence of Musculoskeletal Pain Impacting Italian and Peruvian Dentists Likewise: A Cross-Sectional Study. Front. Public Health 2023, 11, 1090683. [Google Scholar] [CrossRef] [PubMed]
- Beals, K. L.; Smith, C. L.; Dodd, S. M. Brain Size, Cranial Morphology, Climate, and Time Machines. Curr. Anthropol. 1984, 25, 301–330. [Google Scholar] [CrossRef]
- Clement, J. G.; Feng, R.; Meissner, I. The Development of Methods for Assessing the Age and Sex of Ancient Egyptian Mummies from the Shape of the Occipital Bun. J. Anat. 2020, 237, 669–681. [Google Scholar]
- Dart, R. A. Australopithecus Africanus: The Man-Ape of South Africa. Nature 1925, 115, 195–199. [Google Scholar] [CrossRef]
- Jankauskas, R.; Luchtanas, L.; Stulpinas, A.; Vabalas, A.; Vaitkus, S. Significance of the Occipital Bun in Forensic Anthropology: Comparative Study from the Medieval and Contemporary Lithuanian Populations. Forensic Sci. Int. 2019, 301, 217–222. [Google Scholar] [CrossRef]
- Krishan, K.; Chatterjee, P. M.; Kanchan, T. Estimation of Sex from Occipital Condylar Length: An Autopsy Study from North India. J. Forensic Legal Med. 2017, 48, 29–34. [Google Scholar] [CrossRef]
- Lee, M. K.; Shaffer, J. R.; Leslie, E. J.; Orlova, E.; Carlson, J. C.; Feingold, E.; Weinberg, S. M. Genome-Wide Association Study of Facial Morphology Reveals Novel Associations with FREM1 and PARK2. PLoS ONE 2018, 13(2), e0191753. [Google Scholar] [CrossRef] [PubMed]
- Liu, Y.; Zhang, D.; Liu, S. Biomechanical Role of Occipital Bun on Stress Distribution in the Human Skull: A Finite Element Analysis. Comput. Methods Biomech. Biomed. Eng. 2020, 23, 179–185. [Google Scholar] [CrossRef]
- Macrì, M.; Ritrovato, L.; Pisanelli, E.L.; Festa, F. Elastodontic Therapy with Oral Bioactivator Devices: A Review. Appl. Sci. 2023, 13(15), 8868. [Google Scholar] [CrossRef]
- Schultz, A. H. The Skeleton of the Neanderthal Man. Proc. Am. Philos. Soc. 1940, 83, 655–670. [Google Scholar]
- Sheehan, M. J.; Jablonski, N. G. Occipital Bun Variation in Modern Humans: Genetic and Evolutionary Perspectives. Am. J. Phys. Anthropol. 2017, 163, 226–241. [Google Scholar] [CrossRef]
- Strait, D. S.; Weber, G. W.; Neubauer, S.; Chalk, J.; Richmond, B. G.; Lucas, P. W.; Smith, A. L. The Feeding Biomechanics and Dietary Ecology of Australopithecus africanus. Proc. Natl. Acad. Sci. USA 2015, 112, 1304–1309. [Google Scholar] [CrossRef] [PubMed]



Disclaimer/Publisher’s Note: The statements, opinions and data contained in all publications are solely those of the individual author(s) and contributor(s) and not of MDPI and/or the editor(s). MDPI and/or the editor(s) disclaim responsibility for any injury to people or property resulting from any ideas, methods, instructions or products referred to in the content. |
© 2024 by the authors. Licensee MDPI, Basel, Switzerland. This article is an open access article distributed under the terms and conditions of the Creative Commons Attribution (CC BY) license (https://creativecommons.org/licenses/by/4.0/).