Submitted:
28 August 2025
Posted:
29 August 2025
You are already at the latest version
Abstract
Keywords:
1. Introduction
2. Materials and Methods
Ethical Approval
Study Population and Power Calculation
Inclusion Criteria:
Exclusion Criteria:
CBCT Acquisition Protocol
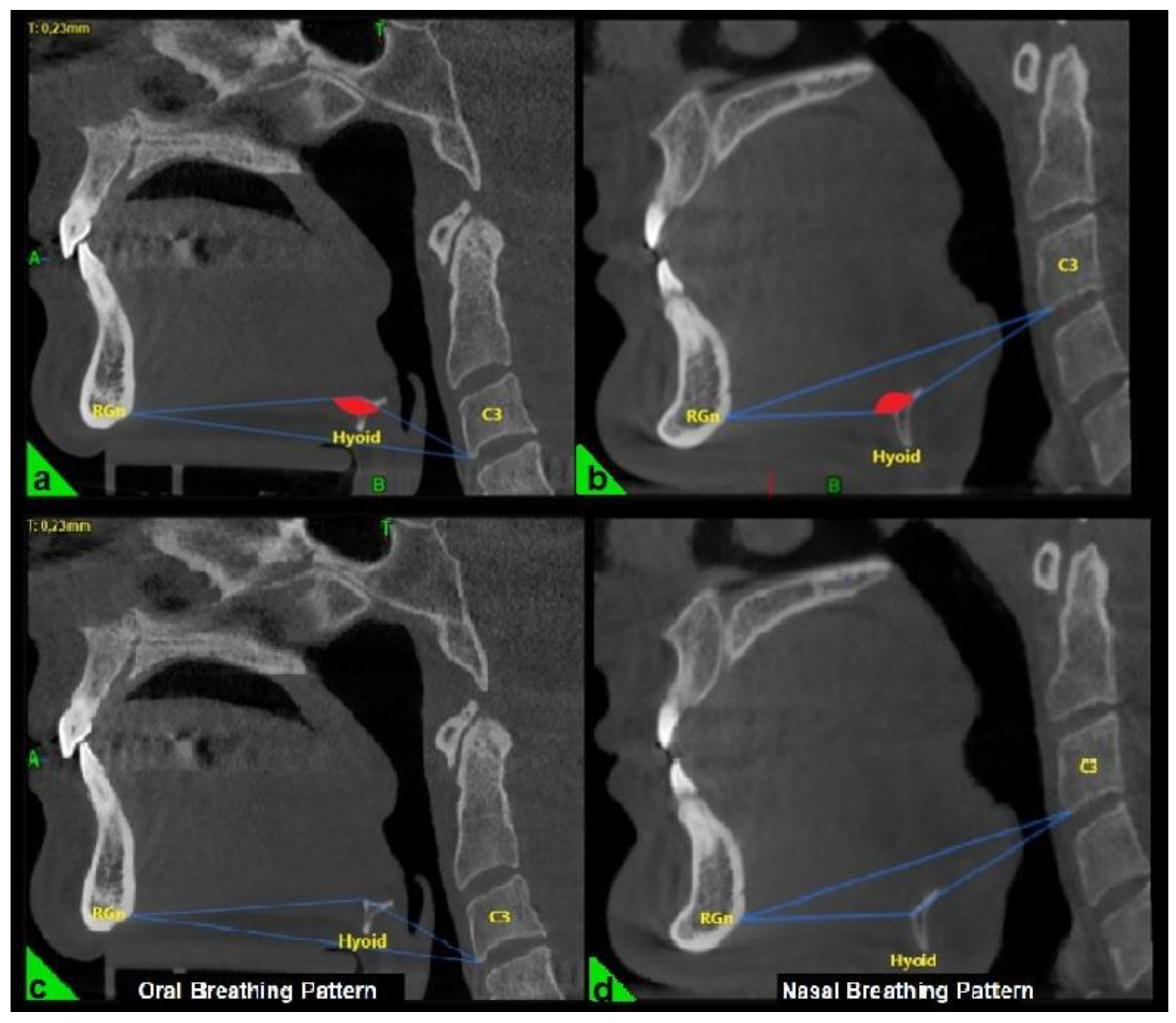
Measurement Procedure
Three-Dimensional Cephalometric Measurements
Participant Grouping Criteria
Statistical Analysis
3. Results
4. Discussion
5. Conclusions
Author Contributions
Funding
Institutional Review Board Statement
Informed Consent Statement
Data Availability Statement
Acknowledgments
Conflicts of Interest
Abbreviations
| CBCT | Cone Beam Computed Tomography |
| ICC | Intraclass Correlation Coefficient |
| RGn | Retrognathion |
| PL | Palatal Plane |
| C3 | Third Cervical Vertebra |
| ANB | A–Nasion–B Angle |
| SNA | Sella-Nasion-A Angle |
| SNB | Sella-Nasion-B Angle |
References
- Jose, N.P.; Shetty, S.; Mogra, S.; Shetty, V.S.; Rangarajan, S.; Mary, L. Evaluation of hyoid bone position and its correlation with pharyngeal airway space in different types of skeletal malocclusion. Contemp. Clin. Dent. 2014, 5, 187–9. [Google Scholar] [CrossRef] [PubMed]
- Auvenshine, R.C.; Pettit, N.J. The hyoid bone: an overview. Cranio® 2018, 38, 6–14. [Google Scholar] [CrossRef] [PubMed]
- de Bakker BS, de Bakker HM, Soerdjbalie-Maikoe V, Dikkers FGJTL: The development of the human hyoid–larynx complex revisited. 2018, 128, 1829–1834.
- Fisher, E.; Austin, D.; Werner, H.M.; Chuang, Y.J.; Bersu, E.; Vorperian, H.K. Hyoid bone fusion and bone density across the lifespan: prediction of age and sex. Forensic Sci. Med. Pathol. 2016, 12, 146–157. [Google Scholar] [CrossRef] [PubMed]
- Bibby R, Preston CJAJoO: The hyoid triangle. 1981, 80, 92–97.
- Parsons FJJoa, physiology: The topography and morphology of the human hyoid bone. 1909, 43(Pt 4):279.
- Tallgren A, Solow BJTEJoO: Hyoid bone position, facial morphology and head posture in adults. 1987, 9, 1–8.
- Graber LWJTAO: Hyoid changes following orthopedic treatment of mandibular prognathism. 1978, 48, 33–38.
- AlJulaih GH, Menezes RG: Anatomy, head and neck: Hyoid bone. In: StatPearls [Internet]. edn.: StatPearls Publishing; 2023.
- Cheng, J.-H.; Hsiao, S.-Y.; Chen, C.-M.; Hsu, K.-J. Relationship between hyoid bone and pharyngeal airway in different skeletal patterns. J. Dent. Sci. 2020, 15, 286–293. [Google Scholar] [CrossRef] [PubMed]
- Kocakara, G.; Buyukcavus, M.H.; Orhan, H. Evaluation of pharyngeal airway dimensions and hyoid bone position according to craniofacial growth pattern. Cranio® 2020, 40, 313–323. [Google Scholar] [CrossRef] [PubMed]
- Mortazavi S, Asghari-Moghaddam H, Dehghani M, Aboutorabzade M, Yaloodbardan B, Tohidi E, Hoseini-Zarch S-HJJoc, dentistry e: Hyoid bone position in different facial skeletal patterns. 2018, 10, e346.
- Nejaim, Y.; Aps, J.K.; Groppo, F.C.; Neto, F.H. Evaluation of pharyngeal space and its correlation with mandible and hyoid bone in patients with different skeletal classes and facial types. Am. J. Orthod. Dentofac. Orthop. 2018, 153, 825–833. [Google Scholar] [CrossRef] [PubMed]
- Balseven-Odabasi, A.; Yalcinozan, E.; Keten, A.; Akçan, R.; Tumer, A.R.; Onan, A.; Canturk, N.; Odabasi, O.; Dinc, A.H. Age and sex estimation by metric measurements and fusion of hyoid bone in a Turkish population. J. Forensic Leg. Med. 2013, 20, 496–501. [Google Scholar] [CrossRef] [PubMed]
- Kindschuh SC, Dupras TL, Cowgill LWJAjopa: Determination of sex from the hyoid bone. 2010, 143, 279–284.
- Urbanová, P.; Hejna, P.; Zátopková, L.; Šafr, M. The morphology of human hyoid bone in relation to sex, age and body proportions. HOMO 2013, 64, 190–204. [Google Scholar] [CrossRef] [PubMed]
- Behlfelt, K.; Linder-Aronson, S.; Neander, P. Posture of the head, the hyoid bone, and the tongue in children with and without enlarged tonsils. Eur. J. Orthod. 1990, 12, 458–467. [Google Scholar] [CrossRef] [PubMed]
- Cuccia, A.M.; Lotti, M.; Caradonna, D. Oral Breathing and Head Posture. Angle Orthod. 2008, 78, 77–82. [Google Scholar] [CrossRef] [PubMed]
- Iwasaki, T.; Suga, H.; Yanagisawa-Minami, A.; Sato, H.; Sato-Hashiguchi, M.; Shirazawa, Y.; Tsujii, T.; Yamamoto, Y.; Kanomi, R.; Yamasaki, Y. Relationships among tongue volume, hyoid position, airway volume and maxillofacial form in paediatric patients with Class-I, Class-II and Class-III malocclusions. Orthod. Craniofacial Res. 2018, 22, 9–15. [Google Scholar] [CrossRef] [PubMed]
- Mohamed, A.S.; Habumugisha, J.; Cheng, B.; Zhao, M.; Guo, Y.; Zou, R.; Wang, F. Three-dimensional evaluation of hyoid bone position in nasal and mouth breathing subjects with skeletal Class I, and Class II. BMC Oral Heal. 2022, 22, 1–12. [Google Scholar] [CrossRef] [PubMed]
- Muñoz ICL, Orta PBJIjopo: Comparison of cephalometric patterns in mouth breathing and nose breathing children. 2014, 78, 1167–1172.
- da Costa, E.D.; Roque-Torres, G.D.; Brasil, D.M.; Bóscolo, F.N.; de Almeida, S.M.; Ambrosano, G.M.B. Correlation between the position of hyoid bone and subregions of the pharyngeal airway space in lateral cephalometry and cone beam computed tomography. Angle Orthod. 2017, 87, 688–695. [Google Scholar] [CrossRef] [PubMed]
- Jiang Y-YJIjoo, surgery m: Correlation between hyoid bone position and airway dimensions in Chinese adolescents by cone beam computed tomography analysis. 2016, 45, 914–921.
- Steiner CCJAjoo: Cephalometrics for you and, me. 1953, 39, 729–755.
- Babu N, Kohli P: Commentary: Reliability in research. Indian Journal of Ophthalmology 2023, 71, 400–401. [CrossRef] [PubMed]
- Bench RWJAJoO: Growth of the cervical vertebrae as related to tongue, face, and denture behavior. 1963, 49, 183–214.
- Kim Y-J, Hong J-S, Hwang Y-I, Park Y-HJAJoO, Orthopedics D: Three-dimensional analysis of pharyngeal airway in preadolescent children with different anteroposterior skeletal patterns. 2010, 137, 306. e301-306. e311.
- Sarı Z, Uysal T, Çatalbağ B, Üşümez S, Bağçiftçi FJTOD: Sınıf I, Sınıf II D II maloklüzyona sahip bireylerde hyoid kemik pozisyonu. 2003, 16:95-101.
- Ceylan IJAUSBEOAD: Degisik ANB Acılarında Dogal BasKonumu ve Hyoid Kemiginin Konumunun Incelenmesi. 1990.
- Kollias I, Krogstad OJTEJoO: Adult craniofacial and pharyngeal changes-a longitudinal cephalometric study between 22 and 42 years of age. Part II: morphological uvulo-glossopharyngeal changes. 1999, 21, 345–355.
- Sağlam AMŞ, Şenışık NEJSDÜSBD: Upper airway morphology and head posture in healthy men and women. 2017, 8, 12–17.
- Adamidis IP, Spyropoulos MNJAJoO, Orthopedics D: Hyoid bone position and orientation in Class I and Class III malocclusions. 1992, 101, 308–312.
- Chaves, T.C.; Silva, T.S.d.A.e.; Monteiro, S.A.C.; Watanabe, P.C.A.; Oliveira, A.S.; Grossi, D.B. Craniocervical posture and hyoid bone position in children with mild and moderate asthma and mouth breathing. Int. J. Pediatr. Otorhinolaryngol. 2010, 74, 1021–1027. [Google Scholar] [CrossRef] [PubMed]
- Harari, D.; Redlich, M.; Miri, S.; Hamud, T.; Gross, M. The effect of mouth breathing versus nasal breathing on dentofacial and craniofacial development in orthodontic patients. Laryngoscope 2010, 120, 2089–2093. [Google Scholar] [CrossRef] [PubMed]
- Juliano ML, Machado MAC, Carvalho LBCd, Prado LBFd, Prado GFdJAdn-p: Mouth breathing children have cephalometric patterns similar to those of adult patients with obstructive sleep apnea syndrome. 2009, 67:860-865.
- Chang E-T, Shiao G-MJSM: Craniofacial abnormalities in Chinese patients with obstructive and positional sleep apnea. 2008, 9, 403–410.
- Ulusoy, C.; Bavbek, N.C.; Tuncer, B.B.; Tuncer, C.; Turkoz, C.; Gencturk, Z. Evaluation of airway dimensions and changes in hyoid bone position following class II functional therapy with activator. Acta Odontol. Scand. 2014, 72, 917–925. [Google Scholar] [CrossRef] [PubMed]
- Baka ZM, Fidanboy MJAJoO, Orthopedics D: Pharyngeal airway, hyoid bone, and soft palate changes after Class II treatment with Twin-block and Forsus appliances during the postpeak growth period. 2021, 159, 148–157.


| Sex | Age Group | Breathing Pattern | Class I | Class II | Class III | Total |
|---|---|---|---|---|---|---|
| Female | 8–18 years | Oral | 7 | 4 | 4 | 15 |
| Nasal | 15 | 10 | 5 | 30 | ||
| 19–29 years | Oral | 16 | 7 | 13 | 36 | |
| Nasal | 30 | 19 | 24 | 73 | ||
| 30–40 years | Oral | 4 | 4 | 4 | 12 | |
| Nasal | 17 | 6 | 7 | 30 | ||
| 41–51 years | Oral | 11 | 4 | 4 | 19 | |
| Nasal | 18 | 7 | 13 | 38 | ||
| 52+ years | Oral | 4 | 0 | 1 | 5 | |
| Nasal | 20 | 4 | 6 | 30 | ||
| Male | 8–18 years | Oral | 4 | 2 | 4 | 10 |
| Nasal | 18 | 10 | 6 | 34 | ||
| 19–29 years | Oral | 17 | 8 | 4 | 29 | |
| Nasal | 28 | 11 | 23 | 62 | ||
| 30–40 years | Oral | 4 | 5 | 5 | 14 | |
| Nasal | 21 | 7 | 11 | 39 | ||
| 41–51 years | Oral | 5 | 2 | 2 | 9 | |
| Nasal | 21 | 8 | 7 | 36 | ||
| 52+ years | Oral | 2 | 0 | 2 | 4 | |
| Nasal | 23 | 7 | 8 | 38 | ||
| Total | 269 | 130 | 161 | 560 | ||
| Mean ± Standard Deviation | |
|---|---|
| Hyoid Angle (°) | 88.79 ± 130.86 |
| Hyoid Horizontal Length (mm) | 14.08 ± 3.08 |
| Hyoid Vertical Length (mm) | 62.87 ± 8.14 |
| °: Angle; mm: milimeter | |
| Gender | Age | Breathing | Skeletal pattern | Total | Test statistic | p | |||||
|---|---|---|---|---|---|---|---|---|---|---|---|
| Class I | Class II | Class III | |||||||||
| Female | 8-18 years | Oral | -173.77±2.37 | -171.34±3.09 | -169.37±5.96 | -171.95±2 | Age | 5.411 | 0.320 | ||
| Nasal | 161.73±2.87 | 153.28±6.68 | 158.3±4.11 | 159.17±2.65 | Breathing | 39505.984 | <0.001 | ||||
| Total | 60.73±37.92 | 60.53±45.44 | 12.67±64.04 | 53.19±26.14 | Skeletal pattern | 0.006 | 0.998 | ||||
| 19-29 years | Oral | -170.4±1.87 | -168.37±3.65 | -160.11±3.41 | -166.63±1.81 | Age*Breathing | 2.994 | 0.605 | |||
| Nasal | 164.15±1.68 | 161.26±2.56 | 158.52±3.85 | 162.12±1.49 | Age*Skeletsel pattern | 7.323 | 0.600 | ||||
| Total | 52.31±26.38 | 78.71±32.5 | 48.7±28.23 | 58.48±16.5 | Breathing*Skeletsel patern | 2.488 | 0.319 | ||||
| 30-40 years | Oral | -167.76±2.45 | -168.19±4.28 | -170.08±2.24 | -168.68±1.67 | Age*Breathing*Skeletsel pattern | 17.153 | 0.088 | |||
| Nasal | 163.23±3.35 | 161.87±4.51 | 149.82±9.45 | 160.75±3.04 | |||||||
| Total | 110.5±32.37 | 29.85±59.96 | 33.49±54.39 | 72.96±25.79 | |||||||
| 41-51 years | Oral | -167.36±2.33 | -170.5±3.94 | -167.21±7.34 | -167.99±2.07 | ||||||
| Nasal | 154.92±3.77 | 167.07±3.29 | 159.15±3.71 | 159.09±2.21 | |||||||
| Total | 35.21±32.86 | 44.32±57.11 | 82.36±38.59 | 53.55±22.91 | |||||||
| Over 52 years | Oral | -166.96±3.96 | -161.63±3.51 | -165.9±2.16 | -164.91±1.81 | ||||||
| Nasal | 154.3±3.22 | 148.38±15.77 | 160.15±3.79 | 154.91±2.95 | |||||||
| Total | 109.83±27.66 | -6.62±65.52 | -2.87±60.42 | 61.3±25.64 | |||||||
| Total | Oral | -169.91±1.03 | -168.21±1.69 | -164.9±2.04 | -168.13±0.88 | ||||||
| Nasal | 160.76±1.24 | 160.46±2.3 | 158.06±2.28 | 160.15±0.99 | |||||||
| Total | 69.42±14.09 | 55.07±20.84 | 46.91±18.86 | ||||||||
| Male | 8-18 years | Oral | -170.45±1.2A | -173.33±2.73A | -173.56±1.24A | -172.4±1.08A | Age | 15.257 | 0.011 | ||
| Nasal | 144.51±4.12B | 159.92±5.57B | 160.07±6.18B | 152±3.16BC | Breathing | 57136.488 | <0.001 | ||||
| Total | 95.75±29.5 | 57.38±49.48 | 38.75±56.52 | 73.6±23.68ab | Skeletal pattern | 2.005 | 0.377 | ||||
| 19-29 years | Oral | -174.31±1.43A | -169.13±3.85A | -164.81±4.81A | -169.4±2.31A | Age*Breathing | 20.319 | 0.002 | |||
| Nasal | 151.8±3.01B | 158.19±3.29B | 152.91±3.07B | 153.6±1.77B | Age*Skeletsel pattern | 9.977 | 0.359 | ||||
| Total | 118.15±21.65 | 70.9±43.06 | 114.25±24.52 | 109.8±15.53a | Breathing*Skeletsel patern | 0.797 | 0.676 | ||||
| 30-40 years | Oral | -173.06±2.79A | -172.03±2.68A | -175.22±0.97A | -173.3±1.33A | Age*Breathing*Skeletsel pattern | 20.926 | 0.029 | |||
| Nasal | 149.23±2.41B | 151.2±5.34B | 159.09±3.28B | 152.3±1.93B | |||||||
| Total | 106.73±26.79 | 16.52±53.48 | 69.94±43.97 | 77±21.96ab | |||||||
| 41-51 years | Oral | -172.84±1.39A | -175.41±1.55A | -170.92±2.5A | -172.6±1.28A | ||||||
| Nasal | 149.29±4.48B | 148.68±6.12B | 140.66±7.57B | 148.1±3.24BC | |||||||
| Total | 80.66±34.25 | 19.04±58.91 | -41.09±51.56 | 31.9±26.57b | |||||||
| Over 52 years | Oral | -169±3.03A | -169.29±4.71A | -169.81±1.72A | -169.4±1.77A | ||||||
| Nasal | 144.17±3.66B | 134.03±7.51B | 141.29±6.15B | 141.6±2.96C | |||||||
| Total | 105.34±24.41 | 23.73±51.5 | 37.59±49.3 | 73±21.15ab | |||||||
| Total | Oral | -172.2±0.76 | -172.3±1.3 | -171.2±1.33 | -171.9±0.71 | ||||||
| Nasal | 148.2±1.54 | 152.5±2.54 | 152.8±1.99 | 150.4±1.11 | |||||||
| Total | 105±11.81 | 44.9±22.1 | 60.4±18.88 | ||||||||
| Gender | Age | Breathing | Skeletal pattern | Total | Test statistic | p | |||||
|---|---|---|---|---|---|---|---|---|---|---|---|
| Class I | Class II | Class III | |||||||||
| Female | 8-18 years | Oral | 12.87±0.57 | 10.18±0.58 | 12.28±0.8 | 12±0.48 | Age | 17.213 | 0.009 | ||
| Nasal | 12.96±0.74 | 12.88±0.99 | 10.59±0.53 | 12.4±0.51 | Breathing | 0.010 | 0.920 | ||||
| Total | 12.79±0.44 | 12.11±0.8 | 11.34±0.54 | 12.16±0.32a | Skeletal pattern | 0.129 | 0.940 | ||||
| 19-29 years | Oral | 12.64±0.53 | 12.47±0.82 | 13.27±0.77 | 12.73±0.35 | Age*Breathing | 2.293 | 0.709 | |||
| Nasal | 12.09±0.3 | 12.96±0.61 | 13.26±0.47 | 12.65±0.25 | Age*Skeletsel pattern | 13.773 | 0.175 | ||||
| Total | 12.25±0.25 | 12.75±0.46 | 13.23±0.4 | 12.66±0.2ab | Breathing*Skeletsel patern | 2.114 | 0.369 | ||||
| 30-40 years | Oral | 13.31±1.08 | 14.26±1.98 | 12.47±1.08 | 13.35±0.79 | Age*Breathing*Skeletsel pattern | 11.316 | 0.290 | |||
| Nasal | 14.13±0.65 | 12.92±1.06 | 13.78±0.85 | 13.75±0.46 | |||||||
| Total | 13.9±0.55 | 13.46±0.98 | 13.31±0.67 | 13.62±0.37b | |||||||
| 41-51 years | Oral | 13.22±0.85 | 12.93±0.95 | 14.27±0.77 | 13.38±0.55 | ||||||
| Nasal | 12.41±0.5 | 12.59±0.47 | 13.2±0.98 | 12.53±0.33 | |||||||
| Total | 12.67±0.43 | 12.71±0.43 | 13.45±0.77 | 12.81±0.28ab | |||||||
| Over 52 years | Oral | 12.41±1.24 | 14.05±1.23 | 14.73±0.8 | 13.81±0.64 | ||||||
| Nasal | 13.95±0.56 | 14.89±3.06 | 13.26±1.01 | 13.88±0.54 | |||||||
| Total | 13.67±0.53 | 14.47±1.54 | 14±0.66 | 13.78±0.37b | |||||||
| Total | Oral | 12.86±0.3 | 12.71±0.55 | 13.32±0.37 | 12.98±0.23 | ||||||
| Nasal | 12.89±0.23 | 12.84±0.36 | 12.95±0.31 | 12.88±0.16 | |||||||
| Total | 12.87±0.19 | 12.77±0.29 | 13.07±0.23 | ||||||||
| Male | 8-18 years | Oral | 11.94±1.67 | 13.56±1.06 | 14.55±1.1 | 13.4±0.77 | Age | 7.140 | 0.170 | ||
| Nasal | 14.59±0.83 | 14.73±1.64 | 16.03±1.75 | 14.8±0.66 | Breathing | 1.940 | 0.170 | ||||
| Total | 13.9±0.59 | 14.37±1.17 | 15.5±1.17 | 14.3±0.51 | Skeletal pattern | 1.090 | 0.588 | ||||
| 19-29 years | Oral | 13.6±1.24 | 14.04±1.5 | 18.4±2.53 | 15.3±1.21 | Age*Breathing | 5.190 | 0.312 | |||
| Nasal | 15.18±0.75 | 16.03±1.17 | 15.16±0.86 | 15.3±0.5 | Age*Skeletsel pattern | 15.650 | 0.115 | ||||
| Total | 14.97±0.68 | 15.5±0.95 | 15.67±0.84 | 15.3±0.46 | Breathing*Skeletsel patern | 1.910 | 0.398 | ||||
| 30-40 years | Oral | 15.88±1.79 | 15.89±0.95 | 15.65±0.77 | 15.8±0.64 | Age*Breathing*Skeletsel pattern | 8.900 | 0.455 | |||
| Nasal | 15.76±0.71 | 14.64±0.89 | 15.62±1.26 | 15.5±0.57 | |||||||
| Total | 15.78±0.65 | 15.16±0.66 | 15.63±0.93 | 15.5±0.41 | |||||||
| 41-51 years | Oral | 13.93±1.13 | 14.04±1.82 | 15.96±1.14 | 14.8±0.76 | ||||||
| Nasal | 14.93±0.73 | 14.94±1.75 | 13.98±1.2 | 14.7±0.58 | |||||||
| Total | 14.58±0.57 | 14.58±1.22 | 15.14±0.86 | 14.7±0.45 | |||||||
| Over 52 years | Oral | 14.82±0.71 | 14.4±1.05 | 11.6±0.68 | 13.6±0.65 | ||||||
| Nasal | 15.66±0.79 | 15.42±1.66 | 14.46±0.98 | 15.4±0.6 | |||||||
| Toplam | 15.52±0.68 | 15.05±1.09 | 13.51±0.81 | 14.8±0.48 | |||||||
| Total | Oral | 14±0.55 | 14.5±0.5 | 15.1±0.63 | 14.5±0.33 | ||||||
| Nasal | 15.2±0.34 | 15±0.54 | 15.1±0.52 | 15.1±0.25 | |||||||
| Total | 15±0.3 | 14.8±0.38 | 15.1±0.42 | ||||||||
| Gender | Age | Breathing | Skeletal pattern | Total | Test statistic | p | |||||
|---|---|---|---|---|---|---|---|---|---|---|---|
| Class I | Class II | Class III | |||||||||
| Female | 8-18 years | Oral | 55.06±1.05 | 54.79±1.61 | 58.3±3.88 | 55.85±1.19 | Age | 38.846 | <0.001 | ||
| Nasal | 55.6±1.49 | 57.99±2.19 | 60.3±2.69 | 57.23±1.1 | Breathing | 52.214 | <0.001 | ||||
| Total | 55.63±0.99 | 57.08±1.66 | 59.42±2.16 | 56.7±0.77a | Skeletal pattern | 0.112 | 0.947 | ||||
| 19-29 years | Oral | 54.14±1.16 | 52.5±0.7 | 51.82±1.47 | 52.94±0.73 | Age*Breathing | 6.299 | 0.232 | |||
| Nasal | 57.73±0.98 | 58.42±1.2 | 59.36±1.44 | 58.44±0.69 | Age*Skeletsel pattern | 9.914 | 0.388 | ||||
| Total | 56.44±0.77 | 56.88±1.01 | 56.6±1.26 | 56.53±0.58a | Breathing*Skeletsel patern | 8.225 | 0.029 | ||||
| 30-40 years | Oral | 62.53±0.77 | 52.71±1.83 | 58.14±1.47 | 57.79±1.54 | Age*Breathing*Skeletsel pattern | 15.648 | 0.122 | |||
| Nasal | 59.55±1.06 | 63.87±2.44 | 62.96±3.63 | 61.13±1.13 | |||||||
| Total | 60.34±0.85 | 59.4±2.55 | 61.2±2.44 | 60.12±0.92b | |||||||
| 41-51 years | Oral | 57.19±1.4 | 57.59±2.54 | 55.15±2.16 | 56.84±1.04 | ||||||
| Nasal | 62.29±1.67 | 62.66±1.55 | 62.83±2.03 | 62.49±1.05 | |||||||
| Total | 60.26±1.2 | 60.82±1.54 | 61.02±1.84 | 60.52±0.84b | |||||||
| Over 52 years | Oral | 56.43±2.39 | 58.02±1.47 | 51.29±0.74 | 54.94±1.26 | ||||||
| Nasal | 64±0.97 | 63.72±5.68 | 62.37±3.35 | 63.77±1.14 | |||||||
| Total | 62.81±1.07 | 60.87±2.97 | 56.83±2.61 | 60.91±1.07b | |||||||
| Total | Oral | 56.14±0.69A | 54.77±0.79A | 53.66±0.91A | 55.03±0.47 | ||||||
| Nasal | 59.83±0.59B | 60.06±0.9B | 61.06±0.99B | 60.19±0.44 | |||||||
| Total | 58.65±0.48 | 58.15±0.71 | 58.34±0.81 | ||||||||
| Male | 8-18 years | Oral | 51.76±2.64 | 54.54±1.04 | 57.99±2.49 | 54.8±1.42 | Age | 84.460 | <0.001 | ||
| Nasal | 65.95±2.19 | 58.2±3.7 | 61.26±2.5 | 63±1.66 | Breathing | 72.180 | <0.001 | ||||
| Total | 63.47±2.21 | 57.08±2.59 | 60.07±1.84 | 60.7±1.39a | Skeletal pattern | 10.850 | 0.008 | ||||
| 19-29 years | Oral | 62.59±0.82 | 62.83±2.68 | 62.15±3.79 | 62.5±1.43 | Age*Breathing | 8.650 | 0.109 | |||
| Nasal | 67.38±0.89 | 69.27±1.88 | 68.02±1.44 | 68±0.67 | Age*Skeletsel pattern | 15.740 | 0.127 | ||||
| Total | 66.74±0.85 | 67.55±1.72 | 67.08±1.41 | 67.1±0.67b | Breathing*Skeletsel patern | 1.280 | 0.536 | ||||
| 30-40 years | Oral | 65.07±3.42 | 68.46±1 | 63.92±0.81 | 66±1.22 | Age*Breathing*Skeletsel pattern | 10.270 | 0.373 | |||
| Nasal | 69.03±0.93 | 72.86±1.8 | 66.75±1.88 | 69.2±0.88 | |||||||
| Total | 68.57±0.89 | 71.03±1.31 | 66±1.43 | 68.4±0.72bc | |||||||
| 41-51 years | Oral | 64.95±2.34 | 66.03±2.27 | 62.14±1.5 | 64±1.16 | ||||||
| Nasal | 70.7±1.14 | 73.81±1.58 | 66.53±4.08 | 71±0.84 | |||||||
| Total | 69.39±1.06 | 70.7±1.87 | 63.97±1.94 | 68.3±0.91bc | |||||||
| Over 52 years | Oral | 66.23±3.22 | 64.93±2.5 | 59.26±3.53 | 63.5±1.92 | ||||||
| Nasal | 73.39±1.07 | 80.32±3.74 | 69.75±2.3 | 73.6±1.17 | |||||||
| Toplam | 72.41±1.09 | 74.72±3.58 | 66.26±2.48 | 71.2±1.08c | |||||||
| Total | Oral | 62.5±1.57 | 63.8±1.35 | 61.2±0.95 | 62.5±0.75 | ||||||
| Nasal | 69.5±0.55 | 70.2±1.52 | 67.1±0.9 | 69±0.47 | |||||||
| Total | 68.4±0.56a | 67.8±1.11ab | 65.3±0.78b | ||||||||
Disclaimer/Publisher’s Note: The statements, opinions and data contained in all publications are solely those of the individual author(s) and contributor(s) and not of MDPI and/or the editor(s). MDPI and/or the editor(s) disclaim responsibility for any injury to people or property resulting from any ideas, methods, instructions or products referred to in the content. |
© 2025 by the authors. Licensee MDPI, Basel, Switzerland. This article is an open access article distributed under the terms and conditions of the Creative Commons Attribution (CC BY) license (http://creativecommons.org/licenses/by/4.0/).