Submitted:
07 August 2024
Posted:
08 August 2024
You are already at the latest version
Abstract
Keywords:
1. Introduction
2. Results
2.1. MTA1 Expression in Canine Clinical UC Samples and Metastatic Sites Compared to Normal Control Bladders
2.2. Relationship between MTA1 Expression and Clinicopathological Characteristics in Canine UC
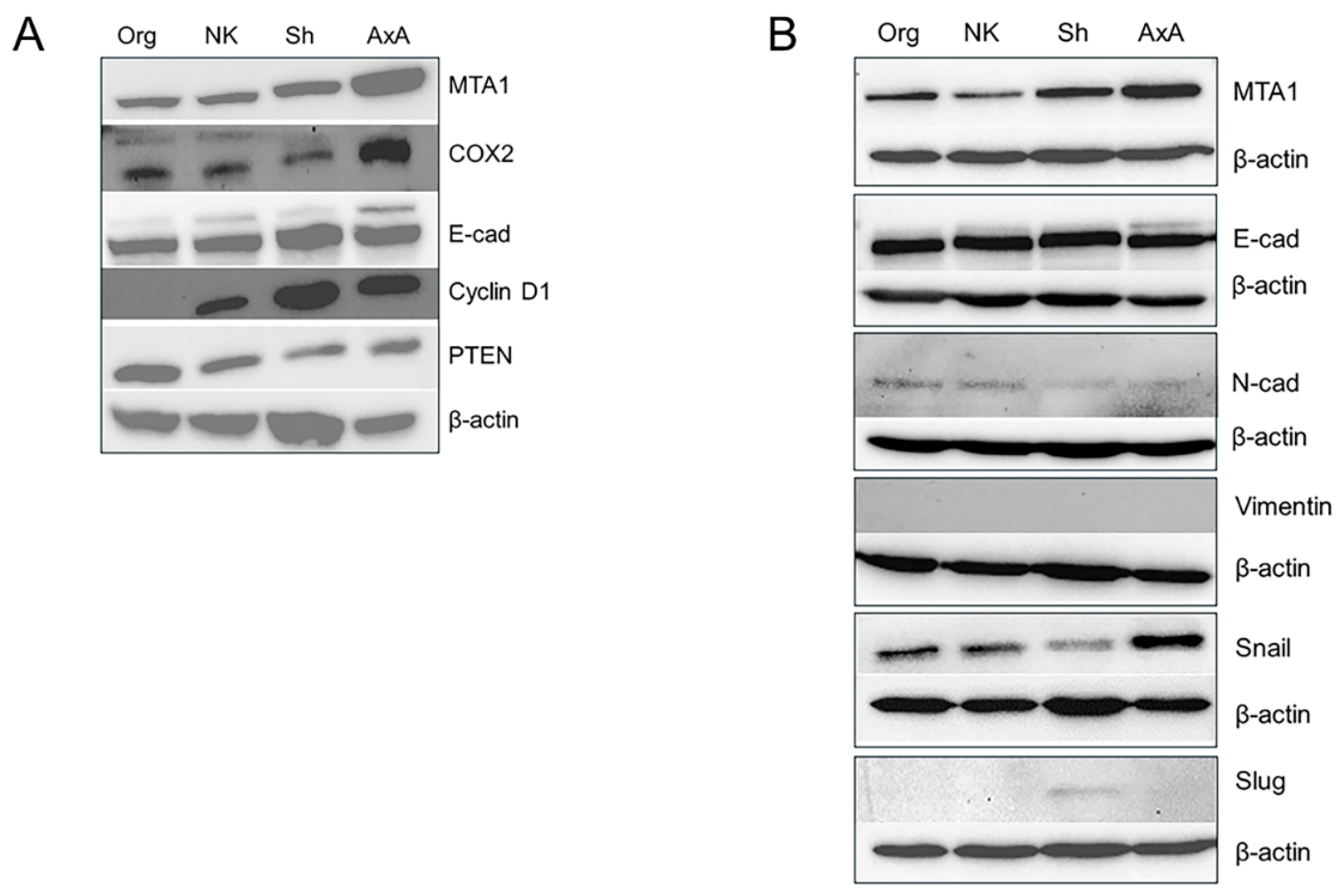
2.3. Expression of MTA1 and Associated Onco-Markers in UC Cell Lines
3. Discussion
4. Materials and Methods
4.1. Samples and Histology
4.2. Immunohistochemistry
4.3. Cell Culture
4.4. Western Blot Analysis
4.5. Statistical Analysis
5. Conclusions
Supplementary Materials
Author Contributions
Funding
Institutional Review Board Statement
Informed Consent Statement
Data Availability Statement
Conflicts of Interest
Abbreviations
| Abbreviation | Definition |
| AKT | V-akt murine thymoma viral oncogene (protein kinase B) |
| ANOVA | Analysis of variance |
| ATCC | American Type Culture Collection |
| AxA | K9TCC-PU-AxA cell line |
| CD31 | Cluster of differentiation 31 |
| CIS | Carcinoma in situ |
| COX2 | Cyclooxygenase 2 |
| DMEM/F12 | Dulbecco’s Modified Eagle Medium/Nutrient Mixture F-12 |
| E-cad | E-cadherin |
| EGFR | Epidermal growth factor receptor |
| EMT | Epithelial-to-mesenchymal transition |
| H&E | Hematoxylin and eosin |
| HER2 | Human epidermal growth factor 2 |
| IHC | Immunohistochemistry |
| K9TCC | Canine transitional cell carcinoma cell line |
| Ki67 | Cellular protein marker of proliferation |
| LIU | Long Island University |
| MTA1 | Metastasis-associated protein 1 |
| mTOR | Mammalian target of rapamycin |
| Nk | K9TCC-PU-Nk cell line |
| NS | Non-significant |
| Org | K9TCC cell line |
| PD-1 | Programmed cell death protein 1 |
| PI3K | Phosphoinositide 3-kinase |
| PTEN | Phosphatase and tensin homolog |
| RTK | Receptor tyrosine kinase |
| SEM | Standard error of mean |
| Sh | K9TCC-PU-Sh cell line |
| TCC | Transitional cell carcinoma |
| UC | Urothelial carcinoma |
References
- Sommer, B.C.; Dhawan, D.; Ratliff, T.L.; Knapp, D.W. Naturally-Occurring Canine Invasive Urothelial Carcinoma: A Model for Emerging Therapies. Bladder Cancer 2018, 4, 149–159. [Google Scholar] [CrossRef] [PubMed]
- Brambilla, E.; Govoni, V.M.; Cavalca, A.M.B.; Laufer-Amorim, R.; Fonseca-Alves, C.E.; Grieco, V. Grading Systems for Canine Urothelial Carcinoma of the Bladder: A Comparative Overview. Animals (Basel) 2022, 12. [Google Scholar] [CrossRef] [PubMed]
- Knapp, D.W.; Dhawan, D.; Ramos-Vara, J.A.; Ratliff, T.L.; Cresswell, G.M.; Utturkar, S.; Sommer, B.C.; Fulkerson, C.M.; Hahn, N.M. Naturally-Occurring Invasive Urothelial Carcinoma in Dogs, a Unique Model to Drive Advances in Managing Muscle Invasive Bladder Cancer in Humans. Front Oncol 2019, 9, 1493. [Google Scholar] [CrossRef] [PubMed]
- Sledge, D.G.; Patrick, D.J.; Fitzgerald, S.D.; Xie, Y.; Kiupel, M. Differences in expression of uroplakin III, cytokeratin 7, and cyclooxygenase-2 in canine proliferative urothelial lesions of the urinary bladder. Vet Pathol 2015, 52, 74–82. [Google Scholar] [CrossRef] [PubMed]
- Maeda, S.; Sakai, K.; Kaji, K.; Iio, A.; Nakazawa, M.; Motegi, T.; Yonezawa, T.; Momoi, Y. Lapatinib as first-line treatment for muscle-invasive urothelial carcinoma in dogs. Sci Rep 2022, 12, 4. [Google Scholar] [CrossRef] [PubMed]
- Knapp, D.W.; Ramos-Vara, J.A.; Moore, G.E.; Dhawan, D.; Bonney, P.L.; Young, K.E. Urinary bladder cancer in dogs, a naturally occurring model for cancer biology and drug development. ILAR J 2014, 55, 100–118. [Google Scholar] [CrossRef] [PubMed]
- Knapp, D.W.; Glickman, N.W.; Widmer, W.R.; DeNicola, D.B.; Adams, L.G.; Kuczek, T.; Bonney, P.L.; DeGortari, A.E.; Han, C.; Glickman, L.T. Cisplatin versus cisplatin combined with piroxicam in a canine model of human invasive urinary bladder cancer. Cancer Chemother Pharmacol 2000, 46, 221–226. [Google Scholar] [CrossRef] [PubMed]
- Knapp, D.W.; Ruple-Czerniak, A.; Ramos-Vara, J.A.; Naughton, J.F.; Fulkerson, C.M.; Honkisz, S.I. A Nonselective Cyclooxygenase Inhibitor Enhances the Activity of Vinblastine in a Naturally-Occurring Canine Model of Invasive Urothelial Carcinoma. Bladder Cancer 2016, 2, 241–250. [Google Scholar] [CrossRef] [PubMed]
- Mohammed, S.I.; Craig, B.A.; Mutsaers, A.J.; Glickman, N.W.; Snyder, P.W.; deGortari, A.E.; Schlittler, D.L.; Coffman, K.T.; Bonney, P.L.; Knapp, D.W. Effects of the cyclooxygenase inhibitor, piroxicam, in combination with chemotherapy on tumor response, apoptosis, and angiogenesis in a canine model of human invasive urinary bladder cancer. Mol Cancer Ther 2003, 2, 183–188. [Google Scholar]
- Dias, S.J.; Zhou, X.; Ivanovic, M.; Gailey, M.P.; Dhar, S.; Zhang, L.; He, Z.; Penman, A.D.; Vijayakumar, S.; Levenson, A.S. Nuclear MTA1 overexpression is associated with aggressive prostate cancer, recurrence and metastasis in African Americans. Sci Rep 2013, 3, 2331–2341. [Google Scholar] [CrossRef]
- Luo, H.; Li, H.; Yao, N.; Hu, L.; He, T. Metastasis-associated protein 1 as a new prognostic marker for solid tumors: a meta-analysis of cohort studies. Tumour Biol 2014, 35, 5823–5832. [Google Scholar] [CrossRef] [PubMed]
- Marzook, H.; Deivendran, S.; Kumar, R.; Pillai, M.R. Role of MTA1 in head and neck cancers. Cancer Metastasis Rev 2014, 33, 953–964. [Google Scholar] [CrossRef] [PubMed]
- Pakala, S.B.; Rayala, S.K.; Wang, R.A.; Ohshiro, K.; Mudvari, P.; Reddy, S.D.; Zheng, Y.; Pires, R.; Casimiro, S.; Pillai, M.R.; et al. MTA1 promotes STAT3 transcription and pulmonary metastasis in breast cancer. Cancer Res 2013, 73, 3761–3770. [Google Scholar] [CrossRef] [PubMed]
- Levenson, A.S.; Kumar, A.; Zhang, X. MTA family of proteins in prostate cancer: biology, significance, and therapeutic opportunities. Cancer Metastasis Rev 2014, 33, 929–942. [Google Scholar] [CrossRef] [PubMed]
- Levenson, A.S. Metastasis-associated protein 1-mediated antitumor and anticancer activity of dietary stilbenes for prostate cancer chemoprevention and therapy. Semin Cancer Biol 2020. S1044-1579X(1020)30045-30046. [Google Scholar] [CrossRef] [PubMed]
- Zhou, N.; Zhu, X.; Man, L. LINC00963 Functions as an Oncogene in Bladder Cancer by Regulating the miR-766-3p/MTA1 Axis. Cancer Manag Res 2020, 12, 3353–3361. [Google Scholar] [CrossRef] [PubMed]
- Chen, X.; Wang, Y.; Luo, H.; Luo, Z.; Zhang, T.; Yang, N.; Long, X.; Xie, H.; Qiu, W.; Zhang, B.; et al. beta-elemene acts as an antitumor factor and downregulates the expression of survivin, Bcl-xL and Mta-1. Mol Med Rep 2012, 6, 989–995. [Google Scholar] [PubMed]
- Kalluri, R.; Weinberg, R.A. The basics of epithelial-mesenchymal transition. J Clin Invest 2009, 119, 1420–1428. [Google Scholar] [CrossRef] [PubMed]
- Jeanes, A.; Gottardi, C.J.; Yap, A.S. Cadherins and cancer: how does cadherin dysfunction promote tumor progression? Oncogene 2008, 27, 6920–6929. [Google Scholar] [CrossRef]
- Hakim, S.G.; Taubitz, C.; Hoppe, S.; Steller, D.; Rades, D.; Ribbat-Idel, J.; Alsharif, U.; Falougy, M. Prognostic impact of the loss of E-cadherin and de novo expression of N-cadherin at the invasive front of primary and recurrent oral squamous cell carcinoma. Front Oncol 2023, 13, 1151879. [Google Scholar] [CrossRef]
- Tong, D.; Liu, Q.; Liu, G.; Xu, J.; Lan, W.; Jiang, Y.; Xiao, H.; Zhang, D.; Jiang, J. Metformin inhibits castration-induced EMT in prostate cancer by repressing COX2/PGE2/STAT3 axis. Cancer Lett 2017, 389, 23–32. [Google Scholar] [CrossRef]
- Tong, D.; Liu, Q.; Wang, L.A.; Xie, Q.; Pang, J.; Huang, Y.; Wang, L.; Liu, G.; Zhang, D.; Lan, W.; et al. The roles of the COX2/PGE2/EP axis in therapeutic resistance. Cancer Metastasis Rev 2018, 37, 355–368. [Google Scholar] [CrossRef] [PubMed]
- Hu, Q.R.; Huang, Q.X.; Hong, H.; Pan, Y.; Luo, T.; Li, J.; Deng, Z.Y.; Chen, F. Ginsenoside Rh2 and its octyl ester derivative inhibited invasion and metastasis of hepatocellular carcinoma via the c-Jun/COX2/PGE2 pathway. Phytomedicine 2023, 121, 155131. [Google Scholar] [CrossRef] [PubMed]
- Gao, Y.; Guan, Z.; Chen, J.; Xie, H.; Yang, Z.; Fan, J.; Wang, X.; Li, L. CXCL5/CXCR2 axis promotes bladder cancer cell migration and invasion by activating PI3K/AKT-induced upregulation of MMP2/MMP9. Int J Oncol 2015, 47, 690–700. [Google Scholar] [CrossRef] [PubMed]
- Liu, X.; Wu, Y.; Zhou, Z.; Huang, M.; Deng, W.; Wang, Y.; Zhou, X.; Chen, L.; Li, Y.; Zeng, T.; et al. Celecoxib inhibits the epithelial-to-mesenchymal transition in bladder cancer via the miRNA-145/TGFBR2/Smad3 axis. Int J Mol Med 2019, 44, 683–693. [Google Scholar] [CrossRef] [PubMed]
- Xiong, S.; Huang, W.; Liu, X.; Chen, Q.; Ding, Y.; Huang, H.; Zhang, R.; Guo, J. Celecoxib Synergistically Enhances MLN4924-Induced Cytotoxicity and EMT Inhibition Via AKT and ERK Pathways in Human Urothelial Carcinoma. Cell Transplant 2022, 31, 9636897221077921. [Google Scholar] [CrossRef] [PubMed]
- Ma, K.; Fan, Y.; Dong, X.; Dong, D.; Guo, Y.; Wei, X.; Ning, J.; Geng, Q.; Wang, C.; Hu, Y.; et al. MTA1 promotes epithelial to mesenchymal transition and metastasis in non-small-cell lung cancer. Oncotarget 2017, 8, 38825–38840. [Google Scholar] [CrossRef] [PubMed]
- Li, P.; Cao, G.; Huang, Y.; Wu, W.; Chen, B.; Wang, Z.; Xiong, M. siMTA1-Loaded Exosomes Enhanced Chemotherapeutic Effect of Gemcitabine in Luminal-b Type Breast Cancer by Inhibition of EMT/HIF-alpha and Autophagy Pathways. Front Oncol 2020, 10, 541262. [Google Scholar] [CrossRef] [PubMed]
- Zhang, K.; Fang, T.; Shao, Y.; Wu, Y. TGF-beta-MTA1-SMAD7-SMAD3-SOX4-EZH2 Signaling Axis Promotes Viability, Migration, Invasion and EMT of Hepatocellular Carcinoma Cells. Cancer Manag Res 2021, 13, 7087–7099. [Google Scholar] [CrossRef]
- Li, L.; Liu, J.; Xue, H.; Li, C.; Liu, Q.; Zhou, Y.; Wang, T.; Wang, H.; Qian, H.; Wen, T. A TGF-beta-MTA1-SOX4-EZH2 signaling axis drives epithelial-mesenchymal transition in tumor metastasis. Oncogene 2020, 39, 2125–2139. [Google Scholar] [CrossRef]
- Dhar, S.; Kumar, A.; Gomez, C.R.; Akhtar, I.; Hancock, J.C.; Lage, J.M.; Pound, C.R.; Levenson, A.S. MTA1-activated Epi-microRNA-22 regulates E-cadherin and prostate cancer invasiveness. FEBS Lett 2017, 591, 924–933. [Google Scholar] [CrossRef] [PubMed]
- Dhar, S.; Kumar, A.; Zhang, L.; Rimando, A.M.; Lage, J.M.; Lewin, J.R.; Atfi, A.; Zhang, X.; Levenson, A.S. Dietary pterostilbene is a novel MTA1-targeted chemopreventive and therapeutic agent in prostate cancer. Oncotarget 2016, 7, 18469–18484. [Google Scholar] [CrossRef]
- Wang, H.; Fan, L.; Wei, J.; Weng, Y.; Zhou, L.; Shi, Y.; Zhou, W.; Ma, D.; Wang, C. Akt mediates metastasis-associated gene 1 (MTA1) regulating the expression of E-cadherin and promoting the invasiveness of prostate cancer cells. PLoS One 2012, 7, e46888. [Google Scholar] [CrossRef] [PubMed]
- Pakala, S.B.; Singh, K.; Reddy, S.D.; Ohshiro, K.; Li, D.Q.; Mishra, L.; Kumar, R. TGF-beta1 signaling targets metastasis-associated protein 1, a new effector in epithelial cells. Oncogene 2011, 30, 2230–2241. [Google Scholar] [CrossRef] [PubMed]
- Tuncay Cagatay, S.; Cimen, I.; Savas, B.; Banerjee, S. MTA-1 expression is associated with metastasis and epithelial to mesenchymal transition in colorectal cancer cells. Tumour Biol 2013, 34, 1189–1204. [Google Scholar] [CrossRef]
- Xu, C.; Hua, F.; Chen, Y.; Huang, H.; Ye, W.; Yu, Y.; Shen, Z. MTA1 promotes metastasis of MPM via suppression of E-cadherin. J Exp Clin Cancer Res 2015, 34, 151. [Google Scholar] [CrossRef] [PubMed]
- Knapp, D.W.; Chan, T.C.; Kuczek, T.; Reagan, W.J.; Park, B. Evaluation of in vitro cytotoxicity of nonsteroidal anti-inflammatory drugs against canine tumor cells. Am J Vet Res 1995, 56, 801–805. [Google Scholar] [CrossRef] [PubMed]
- Dhawan, D.; Ramos-Vara, J.A.; Stewart, J.C.; Zheng, R.; Knapp, D.W. Canine invasive transitional cell carcinoma cell lines: in vitro tools to complement a relevant animal model of invasive urinary bladder cancer. Urol Oncol 2009, 27, 284–292. [Google Scholar] [CrossRef]
- Kumar, A.; Dholakia, K.; Sikorska, G.; Martinez, L.A.; Levenson, A.S. MTA1-Dependent Anticancer Activity of Gnetin C in Prostate Cancer. Nutrients 2019, 11, 2096-2007. [Google Scholar] [CrossRef]
- Kumar, A.; Dhar, S.; Campanelli, G.; Butt, N.A.; Schallheim, J.M.; Gomez, C.R.; Levenson, A.S. MTA1 drives malignant progression and bone metastasis in prostate cancer. Mol Oncol 2018, 12, 1596–1607. [Google Scholar] [CrossRef]
- Gadkari, K.; Kolhatkar, U.; Hemani, R.; Campanelli, G.; Cai, Q.; Kumar, A.; Levenson, A.S. Therapeutic Potential of Gnetin C in Prostate Cancer: A Pre-Clinical Study. Nutrients 2020, 12, 3631–3642. [Google Scholar] [CrossRef] [PubMed]
- Dhar, S.; Kumar, A.; Li, K.; Tzivion, G.; Levenson, A.S. Resveratrol regulates PTEN/Akt pathway through inhibition of MTA1/HDAC unit of the NuRD complex in prostate cancer. Biochim Biophys Acta 2015, 1853, 265–275. [Google Scholar] [CrossRef]
- Gomes, L.R.; Terra, L.F.; Sogayar, M.C.; Labriola, L. Epithelial-mesenchymal transition: implications in cancer progression and metastasis. Curr Pharm Biotechnol 2011, 12, 1881–1890. [Google Scholar] [CrossRef] [PubMed]
- Bolos, V.; Peinado, H.; Perez-Moreno, M.A.; Fraga, M.F.; Esteller, M.; Cano, A. The transcription factor Slug represses E-cadherin expression and induces epithelial to mesenchymal transitions: a comparison with Snail and E47 repressors. J Cell Sci 2003, 116, 499–511. [Google Scholar] [CrossRef]
- Cano, A.; Perez-Moreno, M.A.; Rodrigo, I.; Locascio, A.; Blanco, M.J.; del Barrio, M.G.; Portillo, F.; Nieto, M.A. The transcription factor snail controls epithelial-mesenchymal transitions by repressing E-cadherin expression. Nat Cell Biol 2000, 2, 76–83. [Google Scholar] [CrossRef] [PubMed]
- Henry, C.J.; McCaw, D.L.; Turnquist, S.E.; Tyler, J.W.; Bravo, L.; Sheafor, S.; Straw, R.C.; Dernell, W.S.; Madewell, B.R.; Jorgensen, L.; et al. Clinical evaluation of mitoxantrone and piroxicam in a canine model of human invasive urinary bladder carcinoma. Clin Cancer Res 2003, 9, 906–911. [Google Scholar]
- Gibson, E.A.; Culp, W.T.N. Canine Prostate Cancer: Current Treatments and the Role of Interventional Oncology. Vet Sci 2024, 11. [Google Scholar] [CrossRef]
- Liu, W.; Xia, Y.; Li, M.; Abulajiang, G.; Wang, H.; Su, L.; Li, C.; Shi, Y.; Zhang, W.; Xu, S.; et al. Prognostic value of MTA1, SOX4 and EZH2 expression in esophageal squamous cell carcinoma. Exp Ther Med 2021, 22, 722. [Google Scholar] [CrossRef]
- Li, P.; Cao, W.; Ding, R.; Cheng, M.; Xu, X.; Chen, S.; Chen, B.; Cao, G.; Xiong, M. Expression and Prognostic Significance of Metastasis-Associated Protein 1 in Gastrointestinal Cancer. Front Oncol 2020, 10, 542330. [Google Scholar] [CrossRef]
- Lv, Z.Y.; Zhao, Z.S.; Ye, Z.Y.; Wang, Y.Y.; Wang, H.J.; Yang, Q. Metastasis-associated protein 1 (MTA1) in gastric cancer tissues is positively associated with poorer prognosis. Pathol Res Pract 2018, 214, 536–541. [Google Scholar] [CrossRef]
- Prisco, M.G.; Zannoni, G.F.; De Stefano, I.; Vellone, V.G.; Tortorella, L.; Fagotti, A.; Mereu, L.; Scambia, G.; Gallo, D. Prognostic role of metastasis tumor antigen 1 in patients with ovarian cancer: a clinical study. Hum Pathol 2012, 43, 282–288. [Google Scholar] [CrossRef] [PubMed]
- Ma, K.; Fan, Y.; Hu, Y. Prognostic and clinical significance of metastasis-associated gene 1 overexpression in solid cancers: A meta-analysis. Medicine (Baltimore) 2018, 97, e12292. [Google Scholar] [CrossRef] [PubMed]
- Dyrskjot, L.; Kruhoffer, M.; Thykjaer, T.; Marcussen, N.; Jensen, J.L.; Moller, K.; Orntoft, T.F. Gene expression in the urinary bladder: a common carcinoma in situ gene expression signature exists disregarding histopathological classification. Cancer Res 2004, 64, 4040–4048. [Google Scholar] [CrossRef] [PubMed]
- Cekanova, M.; Uddin, M.J.; Bartges, J.W.; Callens, A.; Legendre, A.M.; Rathore, K.; Wright, L.; Carter, A.; Marnett, L.J. Molecular imaging of cyclooxygenase-2 in canine transitional cell carcinomas in vitro and in vivo. Cancer Prev Res (Phila) 2013, 6, 466–476. [Google Scholar] [CrossRef] [PubMed]
- Agrawal, U.; Kumari, N.; Vasudeva, P.; Mohanty, N.K.; Saxena, S. Overexpression of COX2 indicates poor survival in urothelial bladder cancer. Ann Diagn Pathol 2018, 34, 50–55. [Google Scholar] [CrossRef] [PubMed]
- Knapp, D.W.; Richardson, R.C.; Bottoms, G.D.; Teclaw, R.; Chan, T.C. Phase I trial of piroxicam in 62 dogs bearing naturally occurring tumors. Cancer Chemother Pharmacol 1992, 29, 214–218. [Google Scholar] [CrossRef] [PubMed]
- Knapp, D.W.; Henry, C.J.; Widmer, W.R.; Tan, K.M.; Moore, G.E.; Ramos-Vara, J.A.; Lucroy, M.D.; Greenberg, C.B.; Greene, S.N.; Abbo, A.H.; et al. Randomized trial of cisplatin versus firocoxib versus cisplatin/firocoxib in dogs with transitional cell carcinoma of the urinary bladder. J Vet Intern Med 2013, 27, 126–133. [Google Scholar] [CrossRef] [PubMed]
- Wang, T.; Li, W.; Huang, H.; Wang, C. Metastasis-Associated 1 (MTA1) Gene Expression Promotes Angiogenesis in Mouse Xenografts from Human Non-Small Cell Lung Cancer (NSCLC) Cells. Med Sci Monit 2019, 25, 484–491. [Google Scholar] [CrossRef] [PubMed]
- Lin, X.; Zheng, L.; Song, H.; Xiao, J.; Pan, B.; Chen, H.; Jin, X.; Yu, H. Effects of microRNA-183 on epithelial-mesenchymal transition, proliferation, migration, invasion and apoptosis in human pancreatic cancer SW1900 cells by targeting MTA1. Exp Mol Pathol 2017, 102, 522–532. [Google Scholar] [CrossRef]
- Cao, J.M.; Li, G.Z.; Han, M.; Xu, H.L.; Huang, K.M. MiR-30c-5p suppresses migration, invasion and epithelial to mesenchymal transition of gastric cancer via targeting MTA1. Biomed Pharmacother 2017, 93, 554–560. [Google Scholar] [CrossRef]
- Yang, C.L.; Zheng, X.L.; Ye, K.; Ge, H.; Sun, Y.N.; Lu, Y.F.; Fan, Q.X. MicroRNA-183 Acts as a Tumor Suppressor in Human Non-Small Cell Lung Cancer by Down-Regulating MTA1. Cell Physiol Biochem 2018, 46, 93–106. [Google Scholar] [CrossRef] [PubMed]
- Lin, S.J.; Kao, C.F.; Wang, F.I.; Jeng, C.R.; Lee, J.J.; Wang, L.Y.; Chang, H.W.; Chen, Y.J.; Liu, C.H.; Pang, V.F. Urothelial Carcinomas of the Urinary Bladder With Plasmacytoid or Rhabdoid Features and Tendency of Epithelial-Mesenchymal Transition in 3 Dogs. Vet Pathol 2018, 55, 673–677. [Google Scholar] [CrossRef] [PubMed]
- Sicairos, B.; Alam, S.; Du, Y. A comprehensive analysis of different types of databases reveals that CDH1 mRNA and E-cadherin protein are not downregulated in most carcinoma tissues and carcinoma cell lines. BMC Cancer 2023, 23, 441. [Google Scholar] [CrossRef] [PubMed]
- Liu, J.; Cai, M.; Chen, J.; Liao, Y.; Mai, S.; Li, Y.; Huang, X.; Liu, Y.; Zhang, J.; Kung, H.; et al. alpha4 contributes to bladder urothelial carcinoma cell invasion and/or metastasis via regulation of E-cadherin and is a predictor of outcome in bladder urothelial carcinoma patients. Eur J Cancer 2014, 50, 840–851. [Google Scholar] [CrossRef] [PubMed]
- Valli, V.E.; Norris, A.; Jacobs, R.M.; Laing, E.; Withrow, S.; Macy, D.; Tomlinson, J.; McCaw, D.; Ogilvie, G.K.; Pidgeon, G.; et al. Pathology of canine bladder and urethral cancer and correlation with tumour progression and survival. J Comp Pathol 1995, 113, 113–130. [Google Scholar] [CrossRef]
- Campanelli, G.; Deabel, R.A.; Puaar, A.; Devarakonda, L.S.; Parupathi, P.; Zhang, J.; Waxner, N.; Yang, C.; Kumar, A.; Levenson, A.S. Molecular Efficacy of Gnetin C as Dual-Targeted Therapy for Castrate-Resistant Prostate Cancer. Mol Nutr Food Res 2023, 67, e2300479. [Google Scholar] [CrossRef]






| CaseNo. | Breed | Sexa | Age (Year) | Distant Metastasis | Mitotic Count per 2.37 mm2 | Lamina Propria Invasion | Muscular Invasion | Vascular Invasion | Meuten Grade (Low/High) | Valli Grade (1-3) |
|---|---|---|---|---|---|---|---|---|---|---|
| 1 | Mixed | MC | 14 | Yes | 14 | Yes | Yes | Yes | High | 3 |
| 2 | Mixed | MC | 9 | Yes | 13 | Yes | Yes | Yes | High | 3 |
| 3 | Mixed | FS | 9 | Yes | 17 | Yes | No | No | High | 3 |
| 4 | Collie | FS | 11 | Yes | 6 | Yes | Yes | No | High | 3 |
| 5 | Pembroke Welsh Corgi | FS | 11 | Yes | 21 | Yes | Yes | Yes | High | 3 |
| 6 | Beagle | FS | 13 | Yes | 6 | Yes | Yes | Yes | High | 3 |
| 7 | German Shorthair Pointer | F | 15 | Yes | 10 | Yes | Yes | Yes | High | 3 |
| 8 | Tibetan spaniel | MC | 15 | Yes | 6 | Yes | Yes | Yes | High | 3 |
| 9 | Golden Retriever | FS | 11 | Yes | 23 | Yes | Yes | Yes | High | 3 |
| 10 | Bichon | MC | 16 | Yes | 16 | Yes | No | No | High | 3 |
| 11 | Lhasa Apso | FS | 14 | Yes | 19 | Yes | Yes | Yes | High | 3 |
| 12 | Mixed | MC | 12 | No | 24 | Yes | Yes | Yes | High | 3 |
| 13 | Mixed | MC | 14 | No | 41 | Yes | Yes | No | High | 3 |
| 14 | Mixed | MC | 15 | No | 4 | Yes | N/A | N/A | High | 3 |
| 15 | Cairn Terrier | MC | 12 | No | 14 | Yes | Yes | No | High | 2 |
| 16 | Jack Russel Terrier | FS | 13 | No | 24 | Yes | Yes | No | High | 3 |
| 17 | Maltese | MC | 14 | No | 27 | Yes | No | No | High | 3 |
| 18 | Labrador Retriever | F | 14 | No | 67 | Yes | Yes | Yes | High | 2 |
| 19 | Labrador Retriever | FS | 10 | No | 8 | Yes | Yes | No | High | 3 |
| 20 | Shetland sheepdog | FS | 9 | No | 21 | Yes | No | No | High | 3 |
| 21 | Miniature Dachshund | FS | 17 | No | 23 | Yes | No | No | High | 2 |
| 22 | Chihuahua | FS | 14 | No | 11 | Yes | Yes | Yes | High | 3 |
| 23 | Bichon Frise | MC | 13 | No | 1 | Yes | No | Yes | High | 2 |
Disclaimer/Publisher’s Note: The statements, opinions and data contained in all publications are solely those of the individual author(s) and contributor(s) and not of MDPI and/or the editor(s). MDPI and/or the editor(s) disclaim responsibility for any injury to people or property resulting from any ideas, methods, instructions or products referred to in the content. |
© 2024 by the authors. Licensee MDPI, Basel, Switzerland. This article is an open access article distributed under the terms and conditions of the Creative Commons Attribution (CC BY) license (http://creativecommons.org/licenses/by/4.0/).