Submitted:
05 August 2024
Posted:
06 August 2024
You are already at the latest version
Abstract
Keywords:
1. Introduction
2. Materials and Methods
2.1. Source of the Material
- Homo sapiens Embryonic and Fetal Stages: Data were derived from Streeter’s illustration [9] based on autopsy material from the Carnegie Institution of Washington.
- Leucoraya ocellata Embryonic and Fetal Stages: Data were taken from the illustrations by Maxwell et al. [10].
- Histological slides of Human Fetal Limb Skeletal Segments from the Archive of Morbid Anatomy (Spedali Civili di Brescia), where all pregnancy terminations between the 16th and 22nd week of gestation were routinely examined and archived (corresponding to Streeter stages 22-23). The selection of slides used in the present study was based on initial prenatal ultrasound diagnosis to exclude skeletal malformations. Two previous studies using the same histological material have been published [3,4] with the study protocol approved by DSMC Ethic Committee of the Brescia University (171.3/07.05.2015).
- Raja asterias juvenile specimens: Twelve juvenile specimens (Table 1) were provided by Aquarium of Livorno (Italy). These specimens were born from internally fertilized eggs, which were anchored in shallow corners. After oviposition from the capsule (from September 2022), the juveniles were reared in seawater in an indoor fish pond at temperature of 18 °C. Embryonic development (not documented in this study) lasted 2-6 months [16]. The approximate age of the examined juveniles was 2 months (specimen 1); 3-5 months (specimens 2-8); and over 6 months (specimens 9-12). Overnight dead specimens were collected in the morning and immediately fixed in a 10 % buffered formaldehyde solution. Older R. asterias specimens (specimens 13-15) were collected during a scientific campaign conducted by ARPAT team (U.O. Risorsa Ittica e Biodiversità Marina, Livorno) in the waters of Tuscany (North-western Mediterranean Sea) and fixed in formaldehyde solution within 24 hours from capture.
- Data on marine mammals’ pectoral fin (flipper) skeletal development were derived from published X-rays images of bottlenose dolphin (Tursiops truncatus) pectoral flipper bone maturation stages from [7] for comparison with the ossification pattern of human upper limb skeletal.
2.2. Selection and Processing of Human Specimens
2.3. Processing of Raja asterias Specimens
2.4. R. asterias Pectoral Fin X-ray Morphometry
3. Results
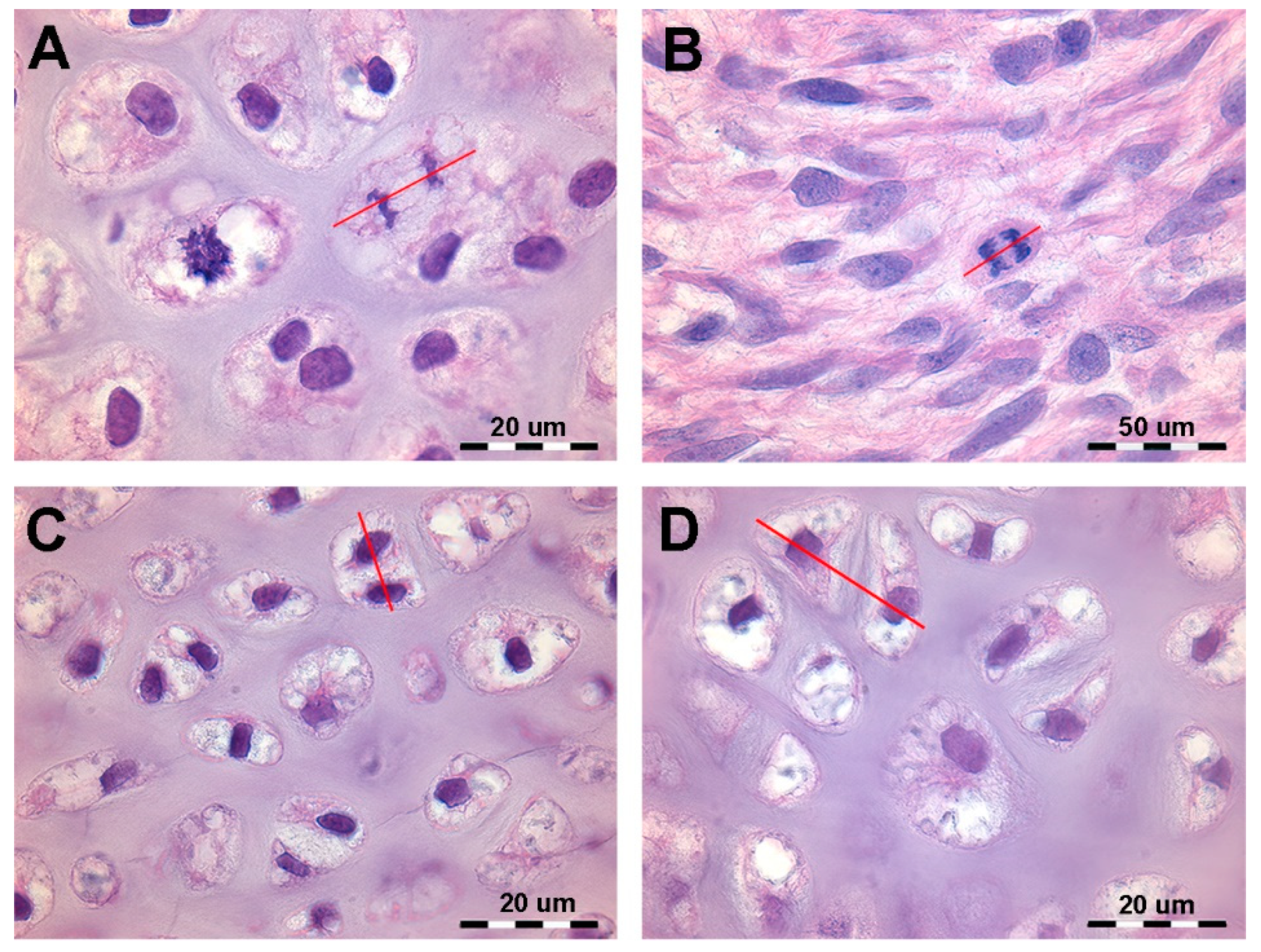
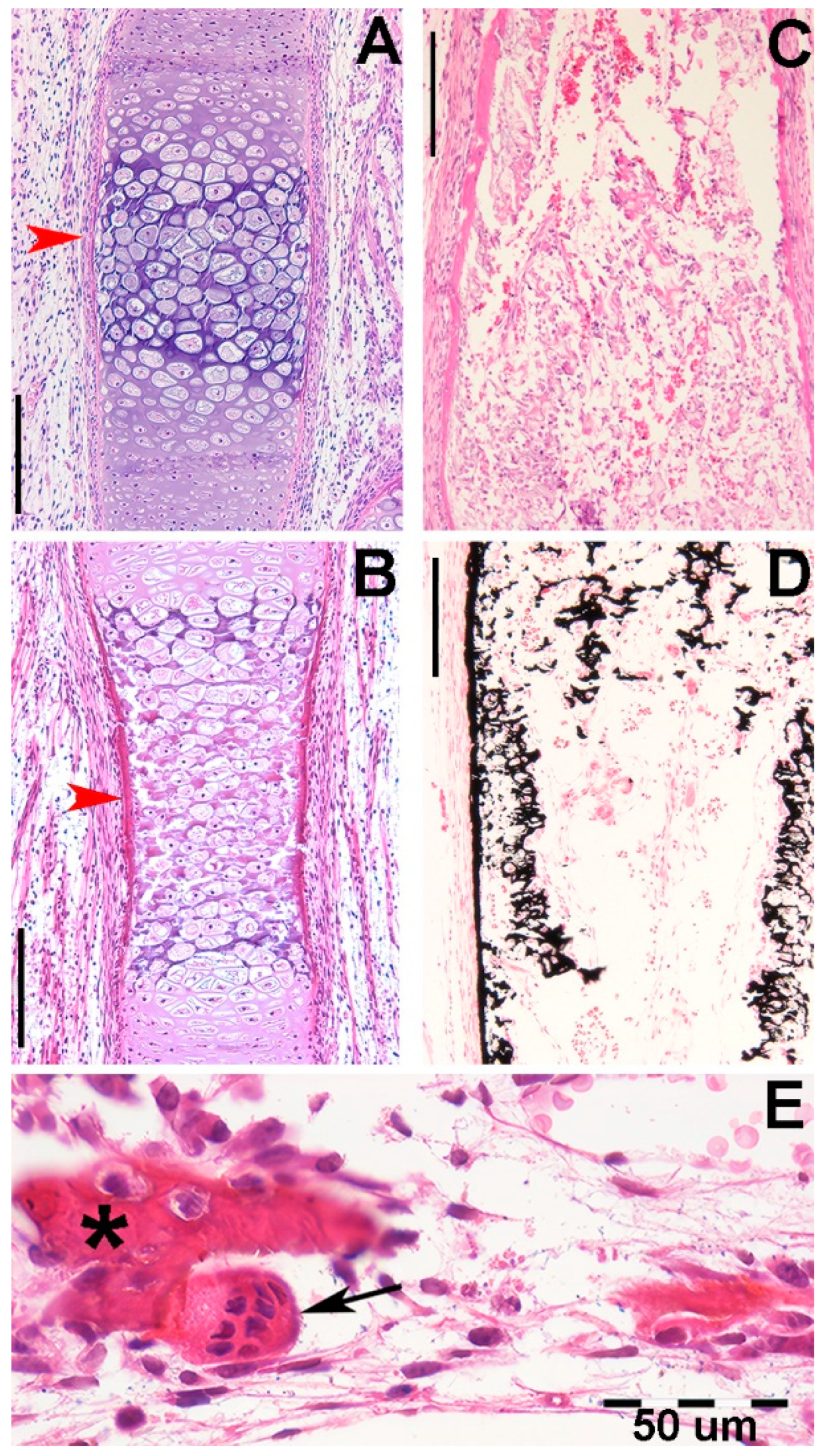
3.1. Early Cartilage Anlagen Development
3.2. Human Fetal upper Limb Histology
3.3. Raja asterias Fin Development and Columnar Patterns



3.4. Comparison with Marine Mammals
4. Discussion
Author Contributions
Funding
Board Statement
Informed Consent Statement
Data Availability Statement
Acknowledgments
Conflicts of Interest
References
- Bonucci, E. Biological Calcification. Ch. 9 Calcifyng Matrices: Cartilage; Springer Verlag: Haidelberg, Germany, 2007; pp. 261–283. [Google Scholar]
- Hall, B.K. Bones and Cartilage. Developmental and evolutionary skeletal biology; Elsevier Academic Press: San Diego, CA, USA, 2005; Volume 40, pp. 498–510. [Google Scholar]
- Pazzaglia, U.E.; Congiu, T.; Sibilia, V.; Pagani, F.; Benetti, A.; Zarattini, G. Relationship between the chondrocyte maturation cycle and the endochondral ossification in the diaphyseal and epiphyseal ossification centers. J. Morphol. 2016, 277, 1187–1198. [Google Scholar] [CrossRef] [PubMed]
- Pazzaglia, U.E.; Congiu, T.; Sibilia, V.; Casati, L.; Minini, A.; Benetti, A. Growth and shaping of metacarpal and carpal cartilage anlagen: application of morphometry to the development of short and long bone. A study of human hand anlagen in the fetal period. J Morphol. 2017, 278, 884–895. [Google Scholar] [CrossRef]
- Hall, B.K. Fins into limbs. Evolution, Development and Transformation; University of Chicago Press: Chicago, USA, 2007. [Google Scholar]
- Pazzaglia, U.E.; Reguzzoni, M.; Manconi, R.; Zecca, P.A.; Zarattini, G.; Campagnolo, M.; Raspanti, M. The combined cartilage growth–calcification patterns in the wing-fins of Rajidae (Chondrichthyes): A divergent model from endochondral ossification of tetrapods. Microsc. Res. Tech. 2022, 85, 3642–3652. [Google Scholar] [CrossRef]
- Barratclough, A.; Sanz-Requena, R.; Marti-Bonmati, L.; Schmitt, T.L.; Jensen, E.; García-Párraga, D. Radiographic assessment of pectoral flipper bone maturation in bottlenose dolphins (Tursiops truncatus), as a novel technique to accurately estimate chronological age. PLoS One. 2019, 14, 0222722. [Google Scholar] [CrossRef] [PubMed]
- Streeter, G.I. Developmental horizons in human embryos. Carnegie Institution of Washigton, Washington, USA. 1951.
- Uhtoff, H.K. The embryology of the human locomotor system; Springer Verlag, Berlin: Heidelberg, Germany, 1990. [Google Scholar]
- Maxwell, E.E.; Fröbisch, N.B.; Heppleston, A.C. Variability and conservation in late chondrichthyan development: ontogeny of the winter skate (Leucoraja ocellata). Anat. Rec. 2008, 291, 1079–1087. [Google Scholar] [CrossRef] [PubMed]
- Bejder, L. and Hall, B.K. Limbs in whales and limblessness in other vertebrates: mechanisms of evolutionary and developmental transformation and loss. Evol. Dev. 2002, 4, 445–458. [Google Scholar] [CrossRef]
- Calzada, N. and Aguilar, A. Flipper development in the Mediterranean striped dolphin (Stenella coeruleoalba). Anat. Rec. 1996, 245, 708–714. [Google Scholar] [CrossRef]
- Cooper, L.N.; Berta, A.; Dawson, S.D.; Reidenberg, J.S. Evolution of hyperphalangy and digit reduction in the cetacean manus. Anat. Rec. 2007, 290, 654–672. [Google Scholar] [CrossRef] [PubMed]
- Cooper, L.N.; Sears, K.E.; Armfield, B.A.; Kala, B.; Hubler, M.; Thewissen, J.G.M. Review and experimental evaluation of the embryonic development and evolutionary history of flipper development and hyperphalangy in dolphins (Cetacea: Mammalia). Genesis. 2018, 56, 23076. [Google Scholar] [CrossRef] [PubMed]
- De Carvalho, A.P.M.; Lima, J.Y.; Azevedo, C.T.; Botta, S.; Queiroz, F.F.D.; Campos, A.S.; Barbosa, L.D.A.; Silveira, L.S.D. Ossification pattern of estuarine dolphin (Sotalia guianensis) forelimbs, from the coast of the state of Espírito Santo, Brazil. PloS one. 2015, 10, 0127435. [Google Scholar] [CrossRef]
- Serena, F.; Mancusi, C.; Barone, M. Field identification guide to the skates (Rajidae) of the Mediterranean Sea. Guidelines for data collection and analysis. Biol. Mar, Mediterr. 2010, 17, 204. [Google Scholar]
- Rivas, R.; Shapiro, F. Structural stages in the development of the long bones and epiphyses: a study in the New Zealand white rabbit. J. Bone Joint Surg. 2002, 84, 85–100. [Google Scholar] [CrossRef] [PubMed]
- Stewart, T.A.; Lemberg, J.B.; Taft, N.K.; Yoo, I.; Daeschler, E.B.; Shubin, N.H. Fin ray patterns at the fin-to-limb transition. Proceedings of the National Academy of Sciences. 2020, 117, 1612–1620. [Google Scholar] [CrossRef]
- Ahringer, J. . Control of cell polarity and mitotic spindle positioning in animal cells. Curr. Opinion in Cell Biol. 2003, 15, 73–81. [Google Scholar] [CrossRef]
- Morin, X.; Bellaïche, Y. Mitotic spindle orientation in asymmetric and symmetric cell divisions during animal development. Dev. Cell. 2011, 21, 102–119. [Google Scholar] [CrossRef] [PubMed]
- Pazzaglia, U.E.; Reguzzoni, M.; Casati, L.; Sibilia, V.; Zarattini, G.; Raspanti, M. New morphological evidence of the ‘fate’of growth plate hypertrophic chondrocytes in the general context of endochondral ossification. J. Anat. 2020, 236, 305–316. [Google Scholar] [CrossRef]
- Pazzaglia, U.E.; Reguzzoni, M.; Milanese, C.; Manconi, R.; Lanteri, L.; Cubeddu, T.; Zarattini, G.; Zecca, P.A.; Raspanti, M. . Skeletal calcification patterns of batoid, teleost, and mammalian models: Calcified cartilage versus bone matrix. J. Micros. Res. Techn. 2023, 86, 1568–1582. [Google Scholar] [CrossRef]
- Pazzaglia, U.E.; Reguzzoni, M.; Manconi, R.; Lanteri, L.; Zarattini, G.; Zecca, P.A.; Raspanti, M. Fin systems comparative anatomy in model Batoidea Raja asterias and Torpedo marmorata: Insights and relatioships between musculo-skeletal layout, locomotion and morphology. J. Anat. 2023, 243, 605–617. [Google Scholar] [CrossRef] [PubMed]
- Schaefer, J.T.; Summers, A.P. Batoid wing skeletal structure: novel morphologies, mechanical implications, and phylogenetic patterns. J Morphol. 2005, 264, 298–313. [Google Scholar] [CrossRef] [PubMed]
- Dean, M.N.; Mull, C.G.; Gorb, S.N.; Summers, A.P. Ontogeny of the tessellated skeleton: insight from the skeletal growth of the round stingray Urobatis halleri. J. Anat. 2009, 215, 227–239. [Google Scholar] [CrossRef]
- Seidel, R.; Lyons, K.; Blumer, M.; Zaslansky, P.; Fratzl, P.; Weaver, J.C.; Dean, M.N. Ultrastructural and developmental features of the tessellated endoskeleton of elasmobranchs (sharks and rays). J. Anat. 2016, 229, 681–702. [Google Scholar] [CrossRef] [PubMed]
- Seidel, R.; Blumer, M.; Zaslansky, P.; Knötel, D.; Huber, D.R.; Weaver, J.C.; Fratzl, P.; Omelon, S.; Bertinetti, L.; Dean, M.N. Ultrastructural, material and crystallographic description of endophytic masses - A possible damage response in shark and ray tessellated calcified cartilage. J Struct Biol. 2017, 198, 5–18. [Google Scholar] [CrossRef] [PubMed]
- Wolff, J. Das Gesetz der Transformation des Knochen; Hirschwald: Berlin, Germany, 1892. [Google Scholar]
- Carter, D.R. Mechanical loading histories and cortical bone remodeling. Calc. Tissue Int. 1984, 36, 19–24. [Google Scholar] [CrossRef] [PubMed]
- Frost, H.M. Bone mechanostat: a 2003 update. Anat. Rec. 2003, 275, 1081–1101. [Google Scholar] [CrossRef]
- Huiskes, R. If bone is the answer, then what is the question? J. Anat. 2000, 197, 145–56. [Google Scholar] [CrossRef]
- Pivonka, P. Multiscale mechanobiology of bone remodeling and adaptation; Springer International Publishing: Cham, Switzerland, 2017. [Google Scholar]
- Dodds, G.S. Row formation and other types of arrangement of cartilage cells in endochondral ossification. Anat Rec. 1930, 46, 385–99. [Google Scholar] [CrossRef]
- Hunziker, E.B.; Kapfinger, E.; Geiss, J. The structural architecture of adult mammalian cartilage evolves by a synchronized process of tissue resorption and neo-formation during post-natal development. Osteoarthr Cartilage. 2007, 15, 403–413. [Google Scholar] [CrossRef] [PubMed]
- Byers, P.D.; Brown, R.A. Cell columns in articular cartilage physes questioned: a review. Osteoarthr Cartilage. 2006, 14, 3–12. [Google Scholar] [CrossRef]
- Pazzaglia, U.E.; Reguzzoni, M.; Pagani, F.; Sibilia, V.; Congiu, T.; Salvi, A.G.; Benetti, A. Study of endochondral ossification in human fetalcartilage anlagen of metacarpals: comparative morphology of mineral deposition in cartilage and in the periosteal bone matrix. Anat. Rec. 2018, 301, 571–580. [Google Scholar] [CrossRef]
- Darwin, C. The origin of the species by means of natural selection or the preservation of favoured races in the struggle for life. J Murrey ed, London. 1872.
- Pazzaglia, U.E.; Congiu, T.; Marchese, M.; Zarattini, G.; Dell’Orbo, C. The canalicular system and the osteoblast domain in human secondary osteons. Anat. Histol. Embryol. 2012, 41, 410–418. [Google Scholar] [CrossRef]
- Dawson, S.D. Patterns of ossification in the manus of the harbor porpoise (Phocoena phocoena): Hyperphalangy and delta-shaped bones. J. Morphol. 2003, 258, 200–206. [Google Scholar] [CrossRef] [PubMed]
- Uhen, M.D. Evolution of marine mammals: back to the sea after 300 million years. Anat. Rec. 2007, 290, 514–542. [Google Scholar] [CrossRef] [PubMed]







| Nr. | Group | Sex | Weight (g) | Pectoral fins width (cm) | Total length (cm) |
| 1 | A | n.a. | 1.20 | 4.0 | 7.6 |
| 2 | B | n.a. | 2.10 | 5.0 | 8.2 |
| 3 | B | n.a. | 2.20 | 5.5 | 9.2 |
| 4 | B | n.a. | 2.80 | 6.0 | 9.6 |
| 5 | B | n.a. | 2.95 | 6.3 | 9.7 |
| 6 | B | n.a. | 3.10 | 6.3 | 9.9 |
| 7 | B | n.a. | 3.25 | 6.5 | n.a. |
| 8 | B | n.a. | 4.30 | 7.6 | 10.8 |
| 9 | C | F | 8.50 | 9.9 | 12.7 |
| 10 | C | M | 9.70 | 10.8 | 14.6 |
| 11 | C | F | 9.90 | 11.7 | 16.3 |
| 12 | C | F | 10.50 | 12.5 | 16.9 |
| 13 | D | M | 260.0 | 19.0 | 25.0 |
| 14 | D | M | 350.0 | 27.5 | 40.0 |
| 15 | D | M | 769.0 | 34.0 | 52.5 |
Disclaimer/Publisher’s Note: The statements, opinions and data contained in all publications are solely those of the individual author(s) and contributor(s) and not of MDPI and/or the editor(s). MDPI and/or the editor(s) disclaim responsibility for any injury to people or property resulting from any ideas, methods, instructions or products referred to in the content. |
© 2024 by the authors. Licensee MDPI, Basel, Switzerland. This article is an open access article distributed under the terms and conditions of the Creative Commons Attribution (CC BY) license (http://creativecommons.org/licenses/by/4.0/).