Submitted:
16 July 2024
Posted:
17 July 2024
You are already at the latest version
Abstract
Keywords:
1. Introduction
2. Materials and Methods
2.1. Cell Culture
2.2. MTT Assay
2.3. Cell Growth and Death Assay
2.4. Spheroids Culture
2.5. Tumoroids Culture
2.6. Growth and Viability Assay
2.7. Calcein AM/EtBr Dual Staining
2.8. MitoSOX Staining
2.9. MitoTracker and Caspase 3/7 Staining
2.10. Cell Lysis and Immunoblotting
2.11. Statistical Analysis
3. Results
3.1. p-STAT3 Inhibition Suppresses the Proliferation of BCa Cells
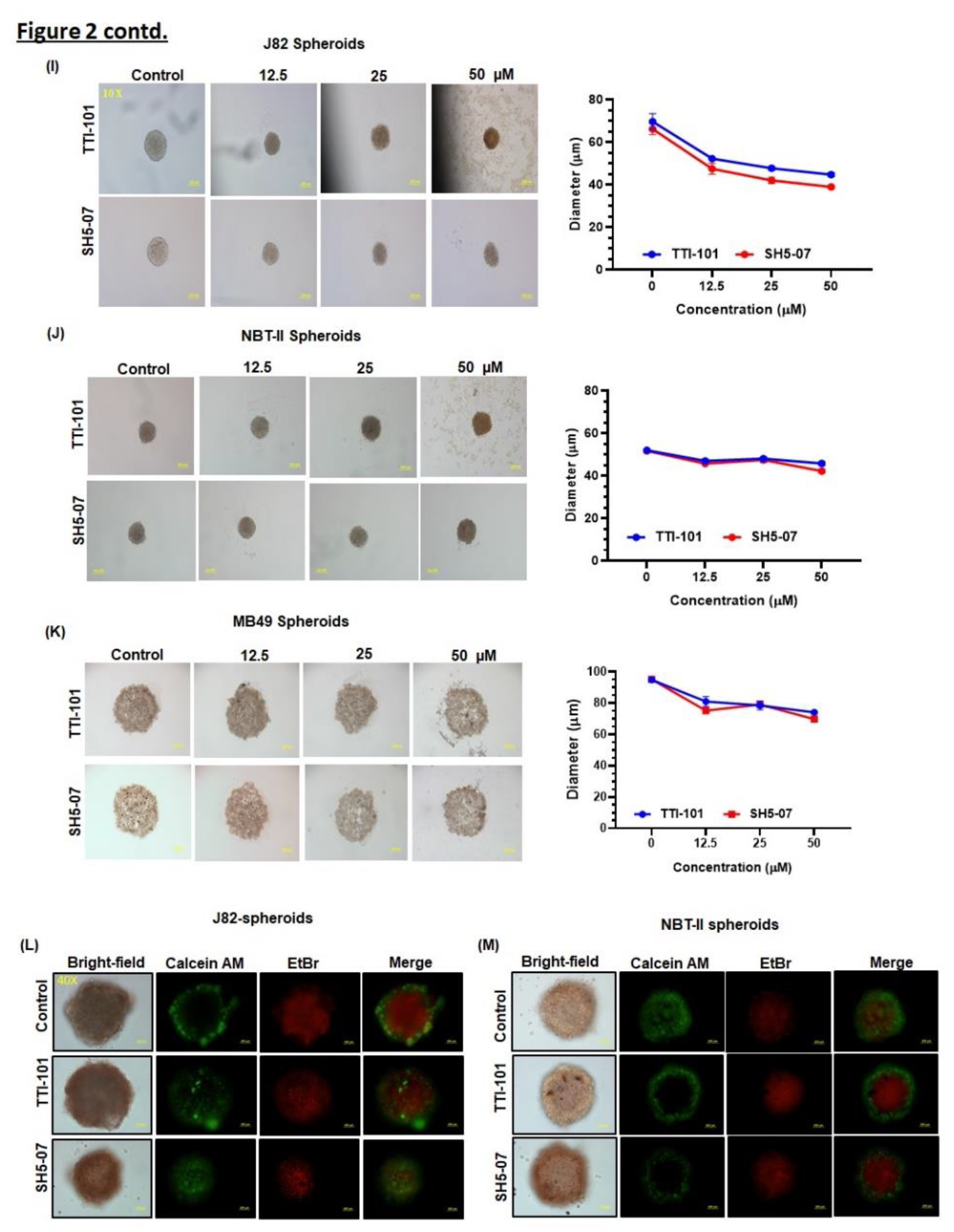
3.2. p-STAT3 Inhibitors Suppressed BCa Growth in 3D Spheroid Models
3.3. p-STAT3 Inhibition Enhanced Apoptosis via Mitochondrial ROS Induction, and Inhibited Stemness in BCa Spheroids
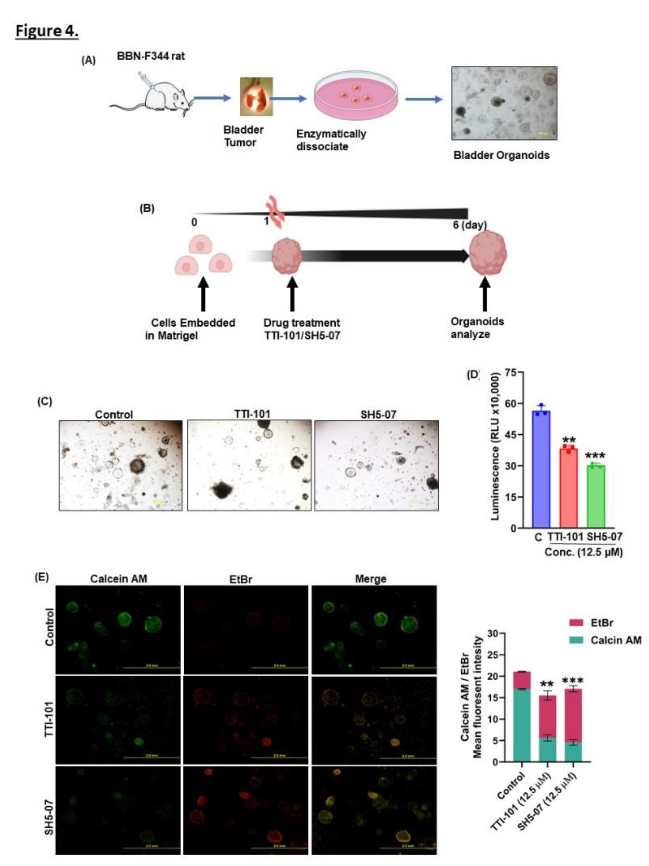
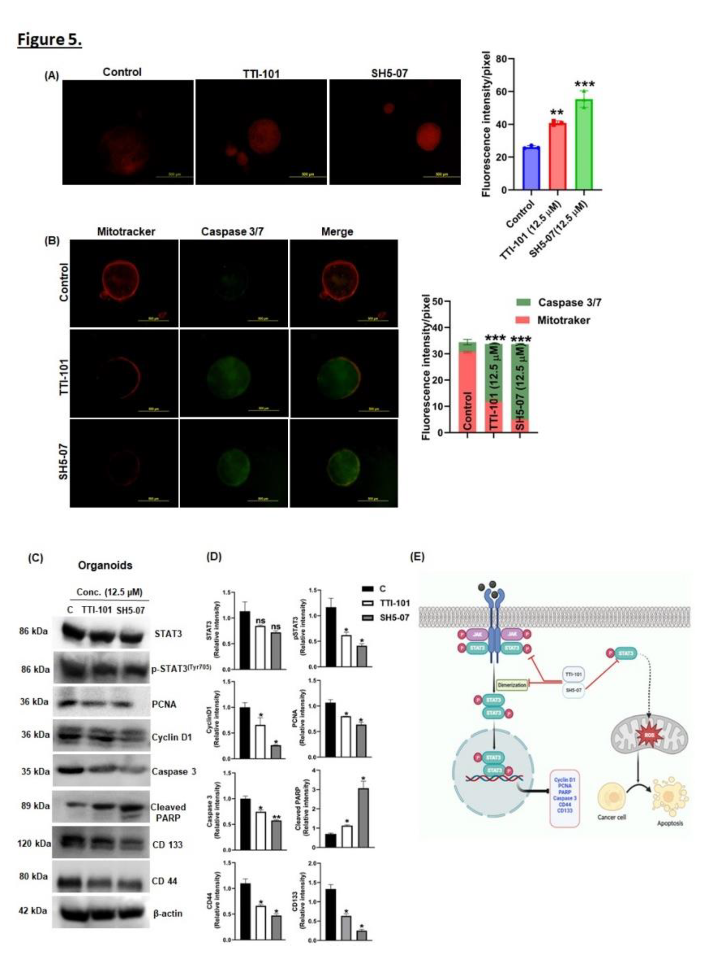
3.4. p-STAT3 Inhibitors Suppressed Rat BCa Tumoroid Growth and Survival
4. Discussion
5. Conclusions
Author Contributions
Funding
Acknowledgments
Conflicts of Interest
References
- Jubber, I.; Ong, S.; Bukavina, L.; Black, P. C.; Compérat, E.; Kamat, A. M.; Kiemeney, L.; Lawrentschuk, N.; Lerner, S. P.; Meeks, J. J.; Moch, H.; Necchi, A.; Panebianco, V.; Sridhar, S. S.; Znaor, A.; Catto, J. W. F.; Cumberbatch, M. G. Epidemiology of bladder cancer in 2023: A systematic review of risk factors. Eur. Urol. 2023, 84, 176–190. [Google Scholar] [CrossRef] [PubMed]
- Siegel, R. L.; Miller, K. D.; Wagle, N. S.; Jemal, A. Cancer Statistics, 2023. Ca. Cancer J. Clin. 2023,73,17–48.
- Robertson, A. G.; Meghani, K.; Cooley, L. F.; McLaughlin, K. A.; Fall, L. A.; Yu, Y.; Castro, M. A. A.; Groeneveld, C. S.; de Reyniès, A.; Nazarov, V. I.; Tsvetkov, V. O.; Choy, B.; Raggi, D.; Marandino, L.; Montorsi, F.; Powles, T.; Necchi, A.; Meeks, J. J. Expression-Based Subtypes Define Pathologic Response to Neoadjuvant Immune-Checkpoint Inhibitors in Muscle-Invasive Bladder Cancer. Nat. Commun. 2023, 14, 2126. [Google Scholar] [CrossRef] [PubMed]
- Gómez De Liaño, A.; Duran, I. The Continuing Role of Chemotherapy in the Management of Advanced Urothelial Cancer. Ther. Adv. Urol. 2018, 10, 455–480. [Google Scholar] [CrossRef] [PubMed]
- Turkson, J.; Jove, R. STAT Proteins: Novel Molecular Targets for Cancer Drug Discovery. Oncogene. 2000, 19, 6613–6626. [Google Scholar] [CrossRef] [PubMed]
- Levy, D. E.; Inghirami, G. STAT3: A Multifaceted Oncogene Proc. Nat. Acad. Sci. 2006, 103, 10151–10152. [Google Scholar] [CrossRef]
- Philip Wing-Lok Ho; Lay, E. ; Jian, W.; Parra, D. C.; Keith. Stat3 Activation in Urothelial Stem Cells Leads to Direct Progression to Invasive Bladder Cancer. Cancer Res. 2012, 72, 3135–3142. [CrossRef]
- Mirzaei, S.; Gholami, M. H.; Mahabady, M. K.; Nabavi, N.; Zabolian, A.; Banihashemi, S. M.; Haddadi, A.; Entezari, M.; Hushmandi, K.; Makvandi, P.; Samarghandian, S.; Zarrabi, A.; Ashrafizadeh, M.; Khan, H. Pre-Clinical Investigation of STAT3 Pathway in Bladder Cancer: Paving the Way for Clinical Translation. Biomed. Pharmacother. 2021, 133, 111077. [Google Scholar] [CrossRef] [PubMed]
- Cancer Cells Stemness: A Doorstep to Targeted Therapy. Biochim. Biophys. Acta. Mol. Basis. Dis. 2020, 1866, 165424.
- Gibbs, C. P.; Kukekov, V. G.; Reith, J. D.; Tchigrinova, O.; Suslov, O. N.; Scott, E. W.; Ghivizzani, S. C.; Ignatova, T. N.; Steindler, D. A. Stem-like Cells in Bone Sarcomas: Implications for Tumorigenesis. Neoplasia. 2005, 7, 967–976. [Google Scholar] [CrossRef]
- Marotta, L. L. C.; Almendro, V.; Marusyk, A.; Shipitsin, M.; Schemme, J.; Walker, S. R.; Bloushtain-Qimron, N.; Kim, J. J.; Choudhury, S. A.; Maruyama, R.; Wu, Z.; Gönen, M.; Mulvey, L. A.; Bessarabova, M. O.; Huh, S. J.; Silver, S. J.; Kim, S. Y.; Park, S. Y.; Lee, H. E.; Anderson, K. S. The JAK2/STAT3 Signaling Pathway Is Required for Growth of CD44+CD24– Stem Cell–like Breast Cancer Cells in Human Tumors. J. Clin. Invest. 2011, 121, 2723–2735. [Google Scholar] [CrossRef] [PubMed]
- Wu, C.-T.; Lin, W.-Y.; Chen, W.-C.; Chen, M.-F. Predictive Value of CD44 in Muscle-Invasive Bladder Cancer and Its Relationship with IL-6 Signaling. Ann. Surg. Oncol. 2018, 25, 3518–3526. [Google Scholar] [CrossRef] [PubMed]
- Wasfy, R. ES.; El-Guindy, D. M. CD133 and CD44 as Cancer Stem Cell Markers in Bladder Carcinoma. Egypt. J. Pathol. 2017, 37, 204–208. [Google Scholar] [CrossRef]
- Singh, S. P.; Asch, A. S.; Rao, C. V. ; Venkateshwar Madka. Bladder Cancer Prevention: Potential Molecular Targets and Their Clinically Relevant Agents. Curr. Pharmacol. Rep. 2023, 9, 275–283. [Google Scholar] [CrossRef]
- Shoemaker, R.; Fox, J.; Juliana, M.; Moeinpour, F.; Grubbs, C. Evaluation of the STAT3 Inhibitor GLG-302 for the Prevention of Estrogen Receptor-Positive and -Negative Mammary Cancers. Oncol. Rep. 2019, 42, 1205–1213. [Google Scholar] [CrossRef] [PubMed]
- Kasembeli, M. M.; Singhmar, P.; Ma, J.; Edralin, J.; Tang, Y.; Adams, C.; Heijnen, C. J.; Kavelaars, A.; Tweardy, D. J. TTI-101: A Competitive Inhibitor of STAT3 That Spares Oxidative Phosphorylation and Reverses Mechanical Allodynia in Mouse Models of Neuropathic Pain. Biochem. Pharmacol. 2021, 192, 114688. [Google Scholar] [CrossRef] [PubMed]
- Yue, P.; Lopez-Tapia, F.; Paladino, D.; Li, Y.; Chen, C.-H.; Namanja, A. T.; Hilliard, T.; Chen, Y.; Tius, M. A.; Turkson, J. Hydroxamic Acid and Benzoic Acid-Based STAT3 Inhibitors Suppress Human Glioma and Breast Cancer Phenotypes in Vitro and in Vivo. Cancer Res. 2016, 76, 652–663. [Google Scholar] [CrossRef] [PubMed]
- Kapałczyńska, M.; Kolenda, T.; Przybyła, W.; Zajączkowska, M.; Teresiak, A.; Filas, V.; Ibbs, M.; Bliźniak, R.; Łuczewski, Ł.; Lamperska, K. 2D and 3D Cell Cultures – a Comparison of Different Types of Cancer Cell Cultures. Arch. Med Sci. 2018, 14, 910–919. [Google Scholar] [CrossRef] [PubMed]
- Wang, H.; Brown, P. C.; Chow, E. C. Y.; Ewart, L.; Ferguson, S. S.; Fitzpatrick, S.; Freedman, B. S.; Guo, G. L.; Hedrich, W.; Heyward, S.; Hickman, J.; Isoherranen, N.; Li, A. P.; Liu, Q.; Mumenthaler, S. M.; Polli, J.; Proctor, W. R.; Ribeiro, A.; Wang, J.; Wange, R. L. 3D Cell Culture Models: Drug Pharmacokinetics, Safety Assessment, and Regulatory Consideration. Clin Transl. Sci. 202,14,1659-1680. [CrossRef]
- Fang, Y.; Eglen, R. M. Three-Dimensional Cell Cultures in Drug Discovery and Development. SLAS Discov. 2017, 22, 456–472. [Google Scholar] [CrossRef] [PubMed]
- Thepmalee, C.; Sawasdee, N.; Jenkham, P.; Thephinlap, C.; Khoothiam, K.; Suwannasom, N.; Chokchaisiri, R.; Panya, A.; Yenchitsomanus, P.-T. Anti-Cancer Effect of a Phytochemical Compound - 7R-Acetylmelodorinol - against Triple-Negative Breast Cancer Cells. Biomed Pharmacother. 2023, 1, 166, 115286. [Google Scholar] [CrossRef] [PubMed]
- Mohammed, A. ; Mark Steven Miller; Lubet, R. A.; Suen, C. S.; Sei, S.; Shoemaker, R. H.; Juliana, M. M.; Moeinpour, F. L.; Grubbs, C. J. Combination of Erlotinib and Naproxen Employing Pulsatile or Intermittent Dosing Profoundly Inhibits Urinary Bladder Cancers. Cancer Prev. Res. 2020, 13, 273–282. [Google Scholar] [CrossRef]
- Wang, Y.; Day, M. L.; Simeone, D. M.; Palmbos, P. L. 3-D Cell Culture System for Studying Invasion and Evaluating Therapeutics in Bladder Cancer. J. Vis. Exp. 2018, 139, 58345. [Google Scholar]
- Yoshida, T.; Kates, M.; Sopko, N. A.; Liu, X.; Singh, A. K.; Bishai, W. R.; Joice, G.; McConkey, D. J.; Bivalacqua, T. J. Ex Vivo Culture of Tumor Cells from N-Methyl-N-Nitrosourea-Induced Bladder Cancer in Rats: Development of Organoids and an Immortalized Cell Line. Urol. Oncol. 2018, 36, 23–160. [Google Scholar] [CrossRef] [PubMed]
- Tatokoro, M.; Koga, F.; Yoshida, S.; Kawakami, S.; Fujii, Y.; Neckers, L.; Kihara, K. Potential Role of Hsp90 Inhibitors in Overcoming Cisplatin Resistance of Bladder Cancer-Initiating Cells. Int. J. Cancer. 2011, 131, 987–996. [Google Scholar] [CrossRef] [PubMed]
- Gatta; Melocchi; Bugatti; Missale; Lonardi; Zanetti; Cristinelli; Belotti; Simeone; Ronca; Grillo; Licini; Bresciani; Tardanico; Chan; Giurisato; Calza; Vermi. Hyper-Activation of STAT3 Sustains Progression of Non-Papillary Basal-Type Bladder Cancer via FOSL1 Regulome. Cancers. 2019, 11, 1219.
- Keith; Espinosa, I. ; Chao, M. P.; Wong, D.; Ailles, L.; Diehn, M.; Gill, H.; Presti, J. C.; Chang, H. Y.; Matt; Shortliffe, L. D.; Weissman, I. L. Identification, Molecular Characterization, Clinical Prognosis, and Therapeutic Targeting of Human Bladder Tumor-Initiating Cells. Proc. Natl. Acad. Sci. U S A. 2009, 106, 14016–14021.
- Amara, C. S.; Kami Reddy, K. R.; Yuntao, Y.; Chan, Y. S.; Piyarathna, D. W. B.; Dobrolecki, L. E.; Shih, D. J. H.; Shi, Z.; Xu, J.; Huang, S.; Ellis, M. J.; Apolo, A. B.; Ballester, L. Y.; Gao, J.; Hansel, D. E.; Lotan, Y.; Hodges, H. C.; Lerner, S. P.; Creighton, C. J.; Sreekumar, A.; Zheng, W.J.; Msaouel, P.; Kavuri, S.M.; Putluri, N. The IL6/JAK/STAT3 Signaling Axis Is a Therapeutic Vulnerability in SMARCB1-Deficient Bladder Cancer. Nat. Commun. 2024, 15, 1373. [Google Scholar] [CrossRef] [PubMed]
- Yue, P.; Lopez-Tapia, F.; Paladino, D.; Li, Y.; Chen, C.-H.; Namanja, A. T.; Hilliard, T.; Chen, Y.; Tius, M. A.; Turkson, J. Hydroxamic Acid and Benzoic Acid-Based STAT3 Inhibitors Suppress Human Glioma and Breast Cancer Phenotypes in Vitro and in Vivo. Cancer Res. 2016, 76, 652–663. [Google Scholar] [CrossRef] [PubMed]
- Yujiro Tsujita; Akio Horiguchi; Tasaki, S. ; Isono, M.; Asano, T.; Ito, K.; Asano, T.; Yoshine Mayumi; Toshihiro Kushibiki. STAT3 Inhibition by WP1066 Suppresses the Growth and Invasiveness of Bladder Cancer Cells. Oncol. Rep. 2017, 38, 2197–2204. [CrossRef]
- Baek, N.; Seo, O. W.; Kim, M.; Hulme, J.; An, S. S. A. Monitoring the Effects of Doxorubicin on 3D-Spheroid Tumor Cells in Real-Time. Onco. Targets. Ther. 2016, 9, 7207–7218. [Google Scholar] [CrossRef] [PubMed]
- Mittler, F.; Obeïd, P.; Rulina, A. V.; Haguet, V.; Gidrol, X.; Balakirev, M. Y. High-Content Monitoring of Drug Effects in a 3D Spheroid Model. Front. Oncol. 2017, 7, 293. [Google Scholar] [CrossRef] [PubMed]
- Jung, K. B.; Kwon, O.; Lee, M.-O.; Lee, H.; Son, Y. S.; Habib, O.; Oh, J.-H.; Cho, H.-S.; Jung, C.-R.; Kim, J.; Son, M.-Y. Blockade of STAT3 Causes Severe in Vitro and in Vivo Maturation Defects in Intestinal Organoids Derived from Human Embryonic Stem Cells. J. Clin. Med. 2019, 8, 976. [Google Scholar] [CrossRef] [PubMed]
- Fiorillo, M.; Ózsvári, B.; Sotgia, F.; Lisanti, M. P. High ATP Production Fuels Cancer Drug Resistance and Metastasis: Implications for Mitochondrial ATP Depletion Therapy. Front. Oncol. 2021, 11. [Google Scholar] [CrossRef] [PubMed]
- Tošić, I.; Frank, D. A. STAT3 as a Mediator of Oncogenic Cellular Metabolism: Pathogenic and Therapeutic Implications. Neoplasia. 2021, 23, 1167–1178. [Google Scholar] [CrossRef]
- Bhatti, J. S.; Bhatti, G. K.; Reddy, P. H. Mitochondrial Dysfunction and Oxidative Stress in Metabolic Disorders — a Step towards Mitochondria Based Therapeutic Strategies. Biochim. Biophys. Acta Mol. Basis Dis. 2017, 1863, 1066–1077. [Google Scholar] [CrossRef] [PubMed]
- Zhang, J.; Yeong Shik Kim; Kim, C.; Shanmugam, M. K.; Kodappully Sivaraman Siveen; Newsholme, P.; Ramar Perumal Samym; Amudha Deivasigamanim; Lina; Wang, L.; Boon Cher Goh; Alan Prem Kumar; Hui, K. M.; Sethi, G. Nimbolide-Induced Oxidative Stress Abrogates STAT3 Signaling Cascade and Inhibits Tumor Growth in Transgenic Adenocarcinoma of Mouse Prostate Model. Antioxid. Redox Signaling. 2016, 24, 575–589. [CrossRef]
- Levy, D. E.; Lee, C. What Does Stat3 Do? J. Clin. Invest. 2002, 109 (9), 1143–1148. [CrossRef]
- Gu, Y.; Mohammad, I.; Liu, Z. Overview of the STAT-3 Signaling Pathway in Cancer and the Development of Specific Inhibitors (Review). Oncol. Lett. 2020, 19, 2585–2594. [Google Scholar] [CrossRef] [PubMed]
- Fischer, U.; Jänicke, R. U.; Schulze-Osthoff, K. Many Cuts to Ruin: A Comprehensive Update of Caspase Substrates. Cell Death Differ. 2003, 10, 76–100. [Google Scholar] [CrossRef] [PubMed]
- Kaufmann, S. H.; Desnoyers, S.; Ottaviano, Y.; Davidson, N. E.; Poirier, G. G. Specific Proteolytic Cleavage of Poly(ADP-Ribose) Polymerase: An Early Marker of Chemotherapy-Induced Apoptosis. Cancer Res. 1993, 53, 3976–3985. [Google Scholar] [PubMed]
- Li, Y.; Lin, K.; Yang, Z.; Han, N.; Quan, X.; Guo, X.; Li, C. Bladder Cancer Stem Cells: Clonal Origin and Therapeutic Perspectives. Oncotarget. 2017, 8, 66668–66679. [Google Scholar] [CrossRef] [PubMed]





Disclaimer/Publisher’s Note: The statements, opinions and data contained in all publications are solely those of the individual author(s) and contributor(s) and not of MDPI and/or the editor(s). MDPI and/or the editor(s) disclaim responsibility for any injury to people or property resulting from any ideas, methods, instructions or products referred to in the content. |
© 2024 by the authors. Licensee MDPI, Basel, Switzerland. This article is an open access article distributed under the terms and conditions of the Creative Commons Attribution (CC BY) license (http://creativecommons.org/licenses/by/4.0/).