Submitted:
10 July 2024
Posted:
11 July 2024
You are already at the latest version
Abstract
Keywords:
1. Introduction
2. Materials and Methods
2.1. DL-Powered Algorithm for AD Detection: Architecture and Training
2.2. Data Selection
2.3. The Ground Truth
2.4. Data Processing
2.5. Statistical Analysis
3. Results
3.1. Data Distribution
3.2. Performance Statistical Results
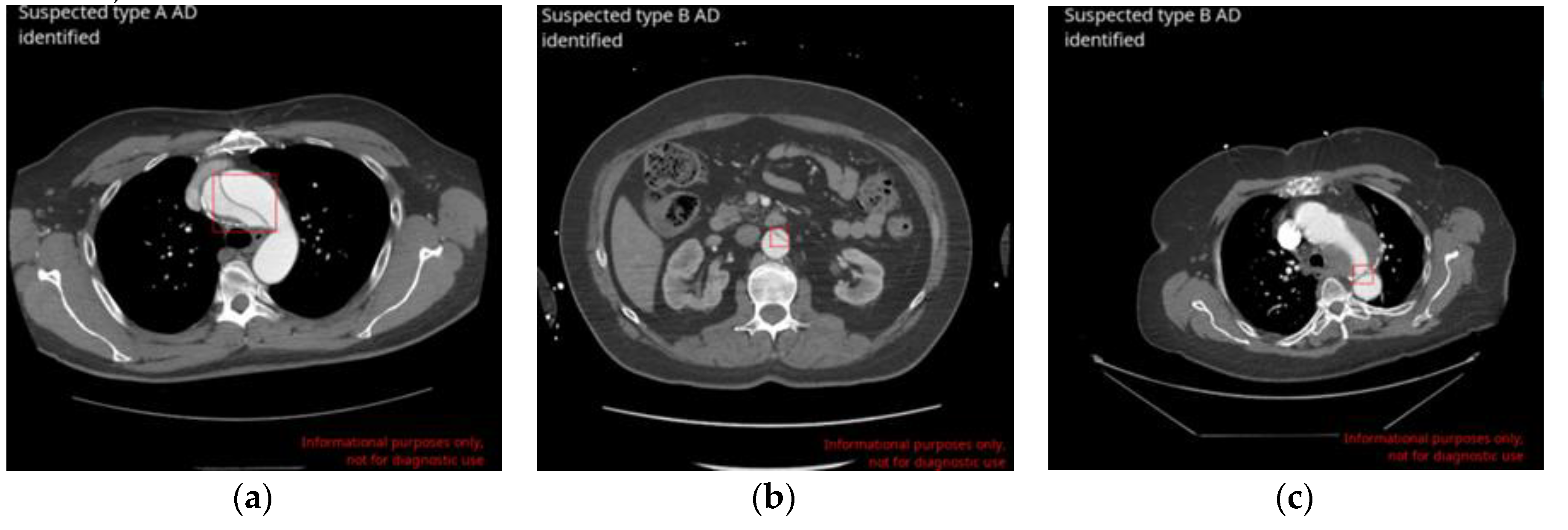
3.3. Stanford AD Type Classification
3.4. Stratified Statistical Analysis Results
3.5. Time to Notification Evaluation Results
4. Discussion
Supplementary Materials
Author Contributions
Funding
Institutional Review Board Statement
Informed Consent Statement
Data Availability Statement
Acknowledgments
Conflicts of Interest
References
- Coady, M.A.; Rizzo, J.A.; Goldstein, L.J.; Elefteriades, J.A. NATURAL HISTORY, PATHOGENESIS, AND ETIOLOGY OF THORACIC AORTIC ANEURYSMS AND DISSECTIONS. Cardiol. Clin. 1999, 17, 615–635. https://doi.org/10.1016/S0733-8651(05)70105-3. [CrossRef]
- Awal, S.S.; Prasad, N.; Biswas, S. CT Evaluation of Aortic Dissection and Other Acute Aortic Syndromes: An Update. Int. J. Radiol. Radiat. Ther. 2022, 159–165. https://doi.org/10.15406/ijrrt.2022.09.00343. [CrossRef]
- Bossone, E.; LaBounty, T.M.; Eagle, K.A. Acute Aortic Syndromes: Diagnosis and Management, an Update. Eur. Heart J. 2018, 39, 739–749d. https://doi.org/10.1093/eurheartj/ehx319. [CrossRef]
- Criado, F.J. Aortic Dissection: A 250-Year Perspective. Tex. Heart Inst. J. 2011, 38, 694–700.
- Gawinecka, J.; Schönrath, F.; Eckardstein, A. von Acute Aortic Dissection: Pathogenesis, Risk Factors and Diagnosis. Swiss Med. Wkly. 2017, 147, w14489–w14489. https://doi.org/10.4414/smw.2017.14489. [CrossRef]
- Harris, R.J.; Kim, S.; Lohr, J.; Towey, S.; Velichkovich, Z.; Kabachenko, T.; Driscoll, I.; Baker, B. Classification of Aortic Dissection and Rupture on Post-Contrast CT Images Using a Convolutional Neural Network. J. Digit. Imaging 2019, 32, 939–946. https://doi.org/10.1007/s10278-019-00281-5. [CrossRef]
- Isselbacher, E.M.; Preventza, O.; Hamilton Black, J.; Augoustides, J.G.; Beck, A.W.; Bolen, M.A.; Braverman, A.C.; Bray, B.E.; Brown-Zimmerman, M.M.; Chen, E.P.; et al. 2022 ACC/AHA Guideline for the Diagnosis and Management of Aortic Disease: A Report of the American Heart Association/American College of Cardiology Joint Committee on Clinical Practice Guidelines. Circulation 2022, 146, e334–e482. https://doi.org/10.1161/CIR.0000000000001106. [CrossRef]
- Chang, P.D.; Kuoy, E.; Grinband, J.; Weinberg, B.D.; Thompson, M.; Homo, R.; Chen, J.; Abcede, H.; Shafie, M.; Sugrue, L.; et al. Hybrid 3D/2D Convolutional Neural Network for Hemorrhage Evaluation on Head CT. Am. J. Neuroradiol. 2018, 39, 1609–1616. https://doi.org/10.3174/ajnr.A5742. [CrossRef]
- Hata, A.; Yanagawa, M.; Yamagata, K.; Suzuki, Y.; Kido, S.; Kawata, A.; Doi, S.; Yoshida, Y.; Miyata, T.; Tsubamoto, M.; et al. Deep Learning Algorithm for Detection of Aortic Dissection on Non-Contrast-Enhanced CT. Eur. Radiol. 2021, 31, 1151–1159. https://doi.org/10.1007/s00330-020-07213-w. [CrossRef]
- Huang, L.-T.; Tsai, Y.-S.; Liou, C.-F.; Lee, T.-H.; Kuo, P.-T.P.; Huang, H.-S.; Wang, C.-K. Automated Stanford Classification of Aortic Dissection Using a 2-Step Hierarchical Neural Network at Computed Tomography Angiography. Eur. Radiol. 2022, 32, 2277–2285. https://doi.org/10.1007/s00330-021-08370-2. [CrossRef]
- Yi, Y.; Mao, L.; Wang, C.; Guo, Y.; Luo, X.; Jia, D.; Lei, Y.; Pan, J.; Li, J.; Li, S.; et al. Advanced Warning of Aortic Dissection on Non-Contrast CT: The Combination of Deep Learning and Morphological Characteristics. Front. Cardiovasc. Med. 2022, 8. https://doi.org/10.3389/fcvm.2021.762958. [CrossRef]
- U.S FOOD & DRUGS ADMINISTRATION. BriefCase for AD - K222329. 510(k) Premarket Notification. 2022.
- Bharadwaj, P.; Nicola, L.; Breau-Brunel, M.; Sensini, F.; Tanova-Yotova, N.; Atanasov, P.; Lobig, F.; Blankenburg, M. Unlocking the Value: Quantifying the Return on Investment of Hospital Artificial Intelligence. J. Am. Coll. Radiol. JACR 2024, S1546-1440(24)00292-8. https://doi.org/10.1016/j.jacr.2024.02.034. [CrossRef]


| The inclusion criteria for CINA-CHEST (AD) |
|---|
|
Chest or thoraco-abdominal CTA scans Age≥18 yo Matrix size≥512 x 512 (rectangular matrix accepted), Axial acquisition only Slice thickness≤3 mm with no gap between successive slices Radiation dose parameters: 60 kVp to 160 kVp Reconstruction diameter above 200 mm Density threshold in the Aorta≥140 HU Soft tissue reconstruction kernel Field of view including the aortic arch and thoracic aorta |
| The exclusion criteria for CINA-CHEST (AD) |
|
Parameters not compatible with acquisition protocol Thoracic aorta out of the field of view Significant motion artefacts (Uninterpretable images) Significant streak artefacts (Uninterpretable images) Significant noise (Uninterpretable images) Bad bolus timing (Uninterpretable images) |
| Characteristic | Parameters | AD Dataset (1,303 cases) |
AD positive cases (137 cases) |
|---|---|---|---|
| Age | Mean ± SD | 58.8 ± 16.4 y/o | 59.0 ± 13.3 y/o |
| Sex | Male | 609 (46.7%) | 84 (61.3%) |
| Female | 692 (53.3%) | 53 (38.7%) | |
| Scanner makers | GE | 259 (19.9%) | 77 (56,2%) |
| Philips | 489 (37.5%) | 14 (10.2%) | |
| Siemens | 474 (36.4%) | 33 (24.1%) | |
| Canon | 76 (5.8%) | 13 (9.5%) | |
| Hitachi | 4 (0.3%) | 0 (0.0%) | |
| PNMS | 1 (0.08%) | 0 (0.0%) | |
| Slice thickness | <1.5mm | 456 (35%) | 53 (38.7%) |
| 1.5mm < ST < 3mm | 629 (48%) | 56 (40.9%) | |
| =3mm | 218 (17%) | 28 (20.4%) |
| Characteristic | CINA-CHEST (AD) |
|---|---|
| Sensitivity [95% CI], % | 94.2 [88.8 – 97.5] |
| Specificity [95% CI], % | 97.3 [96.2 - 98.1] |
| Accuracy [95% CI], % | 96.9 [95.8 - 97.8] |
| ROC AUC [95% CI] | 0.96 [0.95 - 0.97] |
| MCC | 0.85 |
| PPV, % | 80.1% |
| NPV, % | 99.3% |
| Main reasons for false negatives (n=8) | Main reasons for false positives (n=32) |
|---|---|
| Intramural hematoma (IMH) (4) | Inadequate contrast opacification (13) |
| Penetrating atherosclerotic Ulcer (PAU) (2) | Motion artefacts (10) |
| Acquisition artefacts (2) | Instances of pathology mimicking dissection (7) |
| Interference from stent grafts (2) |
| AD Type | Sensitivity [95% CI], % | Specificity [95% CI], % | Accuracy [95% CI], % |
|---|---|---|---|
| Type A | 100 [92.8-100] | 99.4 [98.8-99.8] | 99.5 [98.9-99.8] |
| Type B | 89.2 [79.3-94.9] | 97.9 [97.0-98.7] | 97.5 [96.4-98.3] |
| Parameter | Condition | Sensitivity [95% CI], % | Specificity [95% CI], % | Accuracy [95% CI], % |
|---|---|---|---|---|
| Age | 18 ≤ Age < 40 | 100 [47.8-100] | 97.7 [94.3-99.4] | 97.9 [94.5-99.4] |
| 40 ≤ Age ≤ 60 | 97.1 [89.9-99.6] | 98.2 [96.3-99.3] | 98.0 [96.3-99.1] | |
| Age > 60 | 90.5 [80.4-96.4] | 96.5 [94.7-97.8] | 95.9 [94.1-97.3] | |
| Sex | Male | 96.4 [89.9-99.2] | 96.9 [95.1-98.3] | 96.9 [95.1-98.1] |
| Female | 90.6 [79.3-96.9] | 97.5 [95.9-98.6] | 96.9 [95.4-98.1] | |
| Scanner makers* | GE | 94.8 [87.2-98.6] | 96.2 [92.2-98.4] | 95.8 [92.5-97.9] |
| Philips | 92.2 [66.1-99.8] | 96.8 [94.8-98.2] | 96.7 [94.6-98.1] | |
| Siemens | 93.9 [79.8-99.3] | 97.7 [95.8-98.9] | 97.5 [95.6-98.7] | |
| Canon | 93.3 [62.1-99.6] | 100 [92.8-100] | 98.7 [92.9-99.9] | |
| Slice thickness | <1.5mm | 90.5 [79.3-96.9] | 97.7 [95.8-98.9] | 96.9 [94.9-98.3] |
| 1.5mm < ST < 3mm | 98.2 [90.5-99.9] | 96.7 [94.9-98.0] | 96.8 [95.1-98.0] | |
| =3mm | 92.9 [76.5-99.1] | 97.8 [94.7-99.4] | 97.2 [94.1-99.0] |
| Parameter | Harris et al. 2019[6] | Hata et al. 2020[9] | Huang et al. 2022[10] | Yi et al. 2022[11] | Current study |
|---|---|---|---|---|---|
| Image type | CTA | non-enhanced CT | CTA | non-enhanced CT | CTA |
| Architecture | 5-layer CNN | CNN Xception | 2-step network: attention U-net and ResNeXt | deep integrated model: 2.5D U-net, ResNet34 | 2-step 2.5D U-Net: aorta isolation and dissection detection |
| Model | 2D | 2D | 3D | 3D | 3D |
| Population | 34,577 cases (112 AD pos) | 170 cases (85 AD pos) | 298 cases (51 pos: 22 type A; 29 type B) | 452 cases (internal cohort (341): 139 AD pos. external cohort (111): 46 AD pos.) |
1,303 cases (137 AD pos) |
| Enrolment | retrospective | retrospective | retrospective | retrospective | retrospective |
| Samples | Multicenter, multiscanner | One center | One center | Internal center and external center | Multicenter, multiscanner, multinational |
| Sensitivity | 87.8% | 91.8% | Type A: 95.5% Type B: 79.3% |
Internal: 86.2% External: 97.8% |
All: 94.2% Type A: 100% Type B: 89.2% |
| Specificity | 96.0% | 88.2% | Type A: 98.5% Type B: 94.0% |
Internal: 92.3% External: 55.4% |
All: 97.3% Type A: 99.4% Type B: 97.9% |
| Features | Triage Mean time to notification: 23.5 ± 21.0 [SD] seconds |
Triage Comparison with experts (5 readers): Sensitivity: 90.6% Specificity: 94.1% |
Type A/B classification | Triage Comparison with experts (3 readers): Internal experts: Mean Sensitivity: 72.7% Mean Specificity: 98.3% External experts: Mean Sensitivity: 40.6% Mean Specificity: 94.0% |
Triage Type A/B classification Mean time to notification: 27.9 ± 8.2 [SD] seconds |
Disclaimer/Publisher’s Note: The statements, opinions and data contained in all publications are solely those of the individual author(s) and contributor(s) and not of MDPI and/or the editor(s). MDPI and/or the editor(s) disclaim responsibility for any injury to people or property resulting from any ideas, methods, instructions or products referred to in the content. |
© 2024 by the authors. Licensee MDPI, Basel, Switzerland. This article is an open access article distributed under the terms and conditions of the Creative Commons Attribution (CC BY) license (http://creativecommons.org/licenses/by/4.0/).