Submitted:
19 April 2024
Posted:
23 April 2024
You are already at the latest version
Abstract
Keywords:
1. Introduction
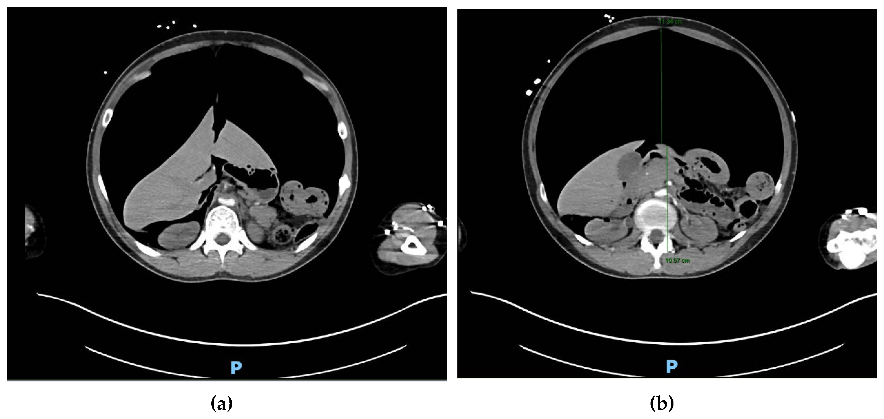
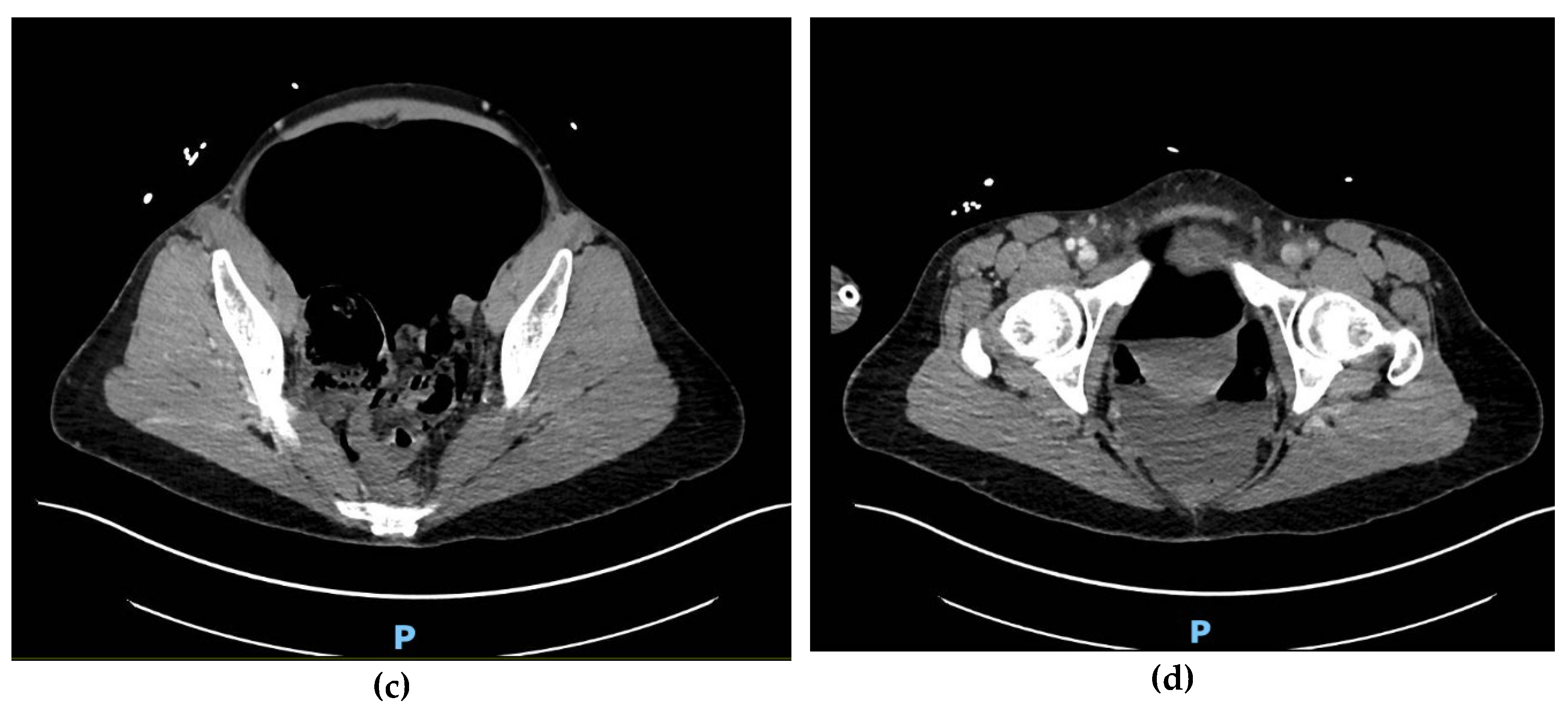
2. Case Presentation
3. Discussion
4. Conclusions
Author Contributions
Funding
Institutional Review Board Statement
Informed Consent Statement
Data Availability Statement
Conflicts of Interest
References
- Naito, H.; Hanafusa, H.; Hongo, T.; Yumoto, T.; Yorifuji, T.; Weissman, A.; Rittenberger, J.C.; Guyette, F.X.; Fujishima, M.; Maeyama, H.; Nakao, A. Effect of stomach inflation during cardiopulmonary resuscitation on return of spontaneous circulation in out-of-hospital cardiac arrest patients: A retrospective observational study. Resuscitation 2023, 193, 109994. [Google Scholar] [CrossRef]
- Seth, A.K.; Bansal, R.K. Endoscopic insufflation–induced gastric barotrauma during percutaneous endoscopic gastrostomy: A report of three patients and review of literature. Journal of Digestive Endoscopy 2021, 12, 103–106. [Google Scholar] [CrossRef]
- Ferrara, G.; Kolli, V.S.; Arnaudov, S.; Whiteley, G. Tension pneumoperitoneum. BMJ Case Rep 2018. [Google Scholar] [CrossRef]
- Spoormans, I.; Van Hoorenbeeck, K.; Balliu, L.; Jorens, P.G. Gastric perforation after cardiopulmonary resuscitation: Review of the literature. Resuscitation 2010, 81, 272–280. [Google Scholar] [CrossRef] [PubMed]
- Offerman, S.R.; Holmes, J.F.; Wisner, D.H. Gastric rupture and massive pneumoperitoneum after bystander cardiopulmonary resuscitation. J Emerg Med 2001, 21, 137–139. [Google Scholar] [CrossRef] [PubMed]
- Carvalho, M.; Godinho, P.; Moura, A.; Silva, C.; Tourais, I.; Marques, M.; Machado, H.S. Gastric rupture after bag mask ventilation: A review under a case report. J Anesth Clin Res 2016, 7, 617. [Google Scholar] [CrossRef]
- Bednarz, S.; Filipovic, M.; Schoch, O.; Mauermann, E. Gastric rupture after bag-mask-ventilation. Respir Med Case Rep 2015, 16, 1–2. [Google Scholar] [CrossRef] [PubMed]
- Theodorou, C.M.; Chen, P.; Vanover, M.A.; Saadai, P.; Brown, E.G.; Haas, K.B.; Hirose, S. Total gastrectomy with delayed Hunt-Lawrence pouch reconstruction for neonatal gastric perforation presenting with hematemesis. Journal of Pediatric Surgery Case Reports 2020, 63, 101686. [Google Scholar] [CrossRef] [PubMed]
- Linch, D.; McDonald, A.; McNicol, L. Tension pneumoperitoneum complicating cardiac resuscitation. Intensive Care Med 1979, 5, 93–94. [Google Scholar] [CrossRef]
- Buffington, C.W.; Wells, C.M.Q.; Soose, R. J. Expiratory upper airway obstruction caused by the soft palate during bag-mask ventilation. Open Journal of Anesthesiology 2012, 2, 38–43. [Google Scholar] [CrossRef]
- Bowman, F.P.; Menegazzi, J.J.; Check, B.D.; Duckett, T.M. Lower esophageal sphincter pressure during prolonged cardiac arrest and resuscitation. Annals of Emergency Medicine 1995, 26, 216–219. [Google Scholar] [CrossRef] [PubMed]
- Custer, J.R.; Polley, T.Z.; Moler, F. Gastric perforation following cardiopulmonary resuscitation in a child: Report of a case and review of the literature. Pediatric Emergency Care 1987, 3, 24–27. [Google Scholar] [CrossRef] [PubMed]
- Melker, R.J. Recommendation for ventilation during cardiopulmonary resuscitation: Time for a change? Crit Care Med 1985, 13, 882–883. [Google Scholar] [CrossRef] [PubMed]
- Yang, Z.; Liang, H.; Li, J.; Qiu, S.; He, Z.; Li, J.; Cao, Z.; Yan, P.; Liang, Q.; Zeng, L.; Liu, R.; Liang, Z. Comparing the efficacy of bag-valve mask, endotracheal intubation, and laryngeal mask airway for subjects with out-of-hospital cardiac arrest: An indirect meta-analysis. Ann Transl Med 2019, 7, 257. [Google Scholar] [CrossRef] [PubMed]
- Khoury, A.; Hugonnot, S.; Cossus, J.; De Luca, A.; Desmettre, T.; Sall, F.S.; Capellier, G. From mouth-to-mouth to bag-valve-mask ventilation: Evolution and characteristics of actual devices—A review of the literature. BioMed Research International 2014. [Google Scholar] [CrossRef]
- Aufderheide, T.P.; Sigurdsson, G.; Pirrallo, R.G.; Yannopoulos, D.; McKnite, S.; von Briesen, C.; Sparks, C.W.; Conrad, C.J.; Provo, T.A.; Lurie, K.G. Hyperventilation-induced hypotension during cardiopulmonary resuscitation. Circulation 2004, 109, 1960–1965. [Google Scholar] [CrossRef] [PubMed]
- O'Hanlon, K.P. Gastric rupture with pneumoperitoneum after mouth-to-nose breathing in an infant. The Journal of Emergency Medicine 2010, 39, 312–315. [Google Scholar] [CrossRef] [PubMed]
- Cassebaum, W.H.; Carberry, D.M.; Stefko, P. Rupture of the stomach from mouth-to-mouth resuscitation. The Journal of Trauma: Injury, Infection, and Critical Care 1974, 14, 811–814. [Google Scholar] [CrossRef]

Disclaimer/Publisher’s Note: The statements, opinions and data contained in all publications are solely those of the individual author(s) and contributor(s) and not of MDPI and/or the editor(s). MDPI and/or the editor(s) disclaim responsibility for any injury to people or property resulting from any ideas, methods, instructions or products referred to in the content. |
© 2024 by the authors. Licensee MDPI, Basel, Switzerland. This article is an open access article distributed under the terms and conditions of the Creative Commons Attribution (CC BY) license (http://creativecommons.org/licenses/by/4.0/).