Submitted:
05 March 2024
Posted:
06 March 2024
You are already at the latest version
Abstract
Keywords:
1. Introduction
2. Case Reports
2.1. History and Physical Exam
2.2. Laboratory Tests
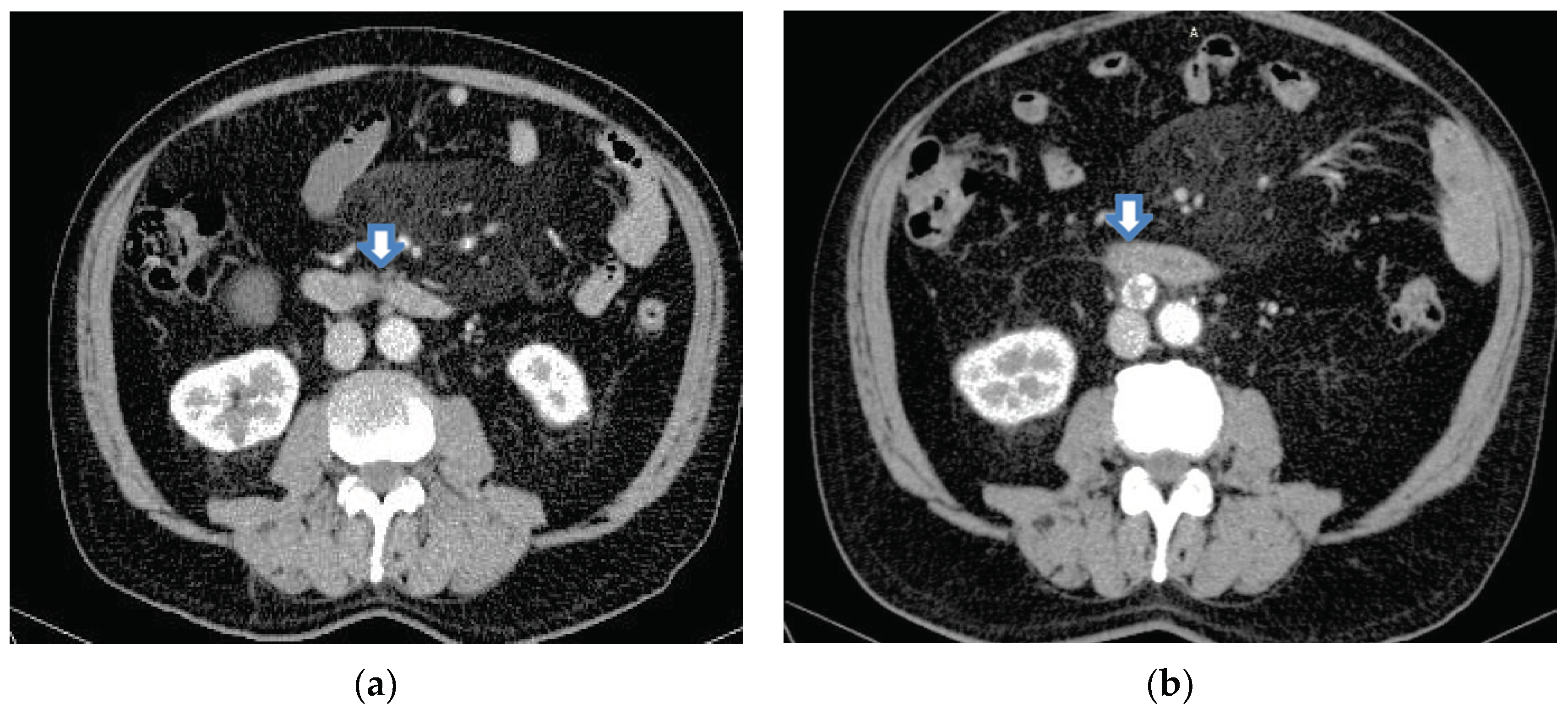
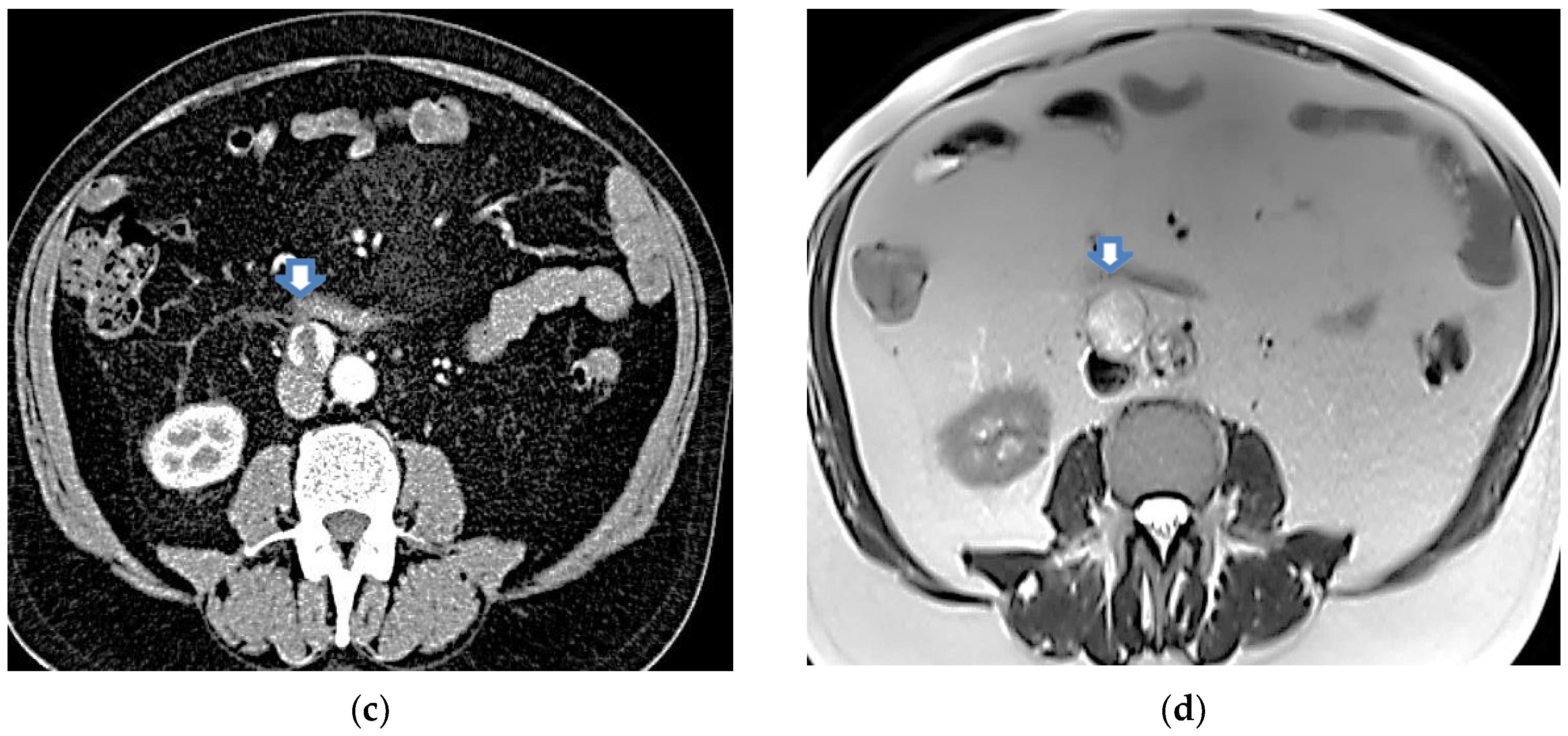
2.3. Imaging Tests
2.4. Surgery
2.5. Clinical Course and Follow-Up
2.6. Histopathological Examination

4. Discussion
Author Contributions
Funding
Institutional Review Board Statement
Informed Consent Statement
Data Availability Statement
Acknowledgments
Conflicts of Interest
References
- Hill QA, Hill A, Berentsen S. Defining autoimmune hemolytic anemia: a systematic review of the terminology used for diagnosis and treatment. Blood Adv. 2019 Jun 25;3(12):1897-1906. PMID: 31235526; PMCID: PMC6595261. [CrossRef]
- Jäger U, Barcellini W, Broome CM, Gertz MA, Hill A, Hill QA, Jilma B, Kuter DJ, Michel M, Montillo M, Röth A, Zeerleder SS, Berentsen S. Diagnosis and treatment of autoimmune hemolytic anemia in adults: Recommendations from the First International Consensus Meeting. Blood Rev. 2020 May; 41:100648. Epub 2019 Dec 5. [CrossRef] [PubMed]
- Sbaraglia M, Bellan E, Dei Tos AP. The 2020 WHO Classification of Soft Tissue Tumours: news and perspectives. Pathologica. 2021 Apr;113(2):70-84. Epub 2020 Nov 3. PMID: 33179614; PMCID: PMC8167394. [CrossRef]
- Johnstone KJ, Strutton GM, Perry-Keene JL, Hazratwala K, Delahunt B. Multifocal anastomosing haemangioma of the kidney with intravascular growth and sinus fat invasion: a rare benign mimic of angiosarcoma. Pathology. 2020 Apr;52(3):394-396. Epub 2020 Feb 26. [CrossRef] [PubMed]
- Montgomery E, Epstein JI. Anastomosing hemangioma of the genitourinary tract: a lesion mimicking angiosarcoma. Am J Surg Pathol. 2009 Sep;33(9):1364-9. [CrossRef] [PubMed]
- Kryvenko ON, Gupta NS, Meier FA, Lee MW, Epstein JI. Anastomosing hemangioma of the genitourinary system: eight cases in the kidney and ovary with immunohistochemical and ultrastructural analysis. Am J Clin Pathol. 2011 Sep;136(3):450-7. [CrossRef] [PubMed]
- Newman PJ, Berndt MC, Gorski J, White GC 2nd, Lyman S, Paddock C, Muller WA. PECAM-1 (CD31) cloning and relation to adhesion molecules of the immunoglobulin gene superfamily. Science. 1990 Mar 9;247(4947):1219-22. [CrossRef] [PubMed]
- Lanza F, Healy L, Sutherland DR. Structural and functional features of the CD34 antigen: an update. J Biol Regul Homeost Agents. 2001 Jan-Mar;15(1):1-13. 15. [PubMed]
- Bean GR, Joseph NM, Folpe AL, Horvai AE, Umetsu SE. Recurrent GNA14 mutations in anastomosing haemangiomas. Histopathology. 2018 Aug;73(2):354-357. Epub 2018. 21 May. [CrossRef] [PubMed]
- Lim YH, Bacchiocchi A, Qiu J, Straub R, Bruckner A, Bercovitch L, et al. Somatic GNA14 mutation causes congenital and sporadic vascular tumors through MAPK activation. J Hum Genet. 2016;99(2):443-50.
- Liau JY, Tsai JH, Lan J, Chen CC, Wang YH, Lee JC, Huang HY. GNA11 joins GNAQ and GNA14 as a recurrently mutated gene in anastomosing hemangioma. Virchows Arch. 2020 Mar;476(3):475-481. Epub 2019 Nov 9. [CrossRef] [PubMed]
- Goronzy JJ, Li G, Yang Z, Weyand CM. The janus head of T cell aging - autoimmunity and immunodeficiency. Front Immunol. 2013 Jun 4;4:131. PMID: 23761790; PMCID: PMC3671290. [CrossRef]
- Itinteang T, Chibnall AM, Marsh R, Dunne JC, de Jong S, Davis PF, Leadbitter P, Tan ST. Elevated Serum Levels of Alpha-Fetoprotein in Patients with Infantile Hemangioma Are Not Derived from within the Tumor. Front Surg. 2016 Feb 9;3:5. PMID: 26904545; PMCID: PMC4746268. [CrossRef]
- Shanbhogue K, Khandelwal A, Hajdu C, Cao W, Surabhi VR, Prasad SR. Anastomosing hemangioma: a current update on clinical, pathological and imaging features. Abdom Radiol (NY). 2022 Jul;47(7):2335-2346. Epub 2022 Jun 9. [CrossRef] [PubMed]
- Newton DH, Chen SL, Wu K, Fraker D, Guzzo TJ, Roses RE, Foley PJ 3rd, Fairman RM, Jackson BM. Technique and Outcomes of Concomitant Aortic and Caval Resection and Reconstruction for Retroperitoneal Tumors. Ann Vasc Surg. 2024 Jan; 98:251-257. Epub 2023 Oct 5. [CrossRef] [PubMed]
- Perdiki M, Datseri G, Liapis G, Chondros N, Anastasiou I, Tzardi M, Delladetsima JK, Drakos E. Anastomosing hemangioma: report of two renal cases and analysis of the literature. Diagn Pathol. 2017 Jan 24;12(1):14. PMID: 28118845; PMCID: PMC5260082. [CrossRef]
- Montgomery E, Epstein JI. Anastomosing hemangioma of the genitourinary tract: a lesion mimicking angiosarcoma. Am J Surg Pathol. 2009 Sep;33(9):1364-9. [CrossRef] [PubMed]
- Chen X, Aledia AS, Popson SA, Him L, Hughes CC, George SC. Rapid anastomosis of endothelial progenitor cell-derived vessels with host vasculature is promoted by a high density of cotransplanted fibroblasts. Tissue Eng Part A. 2010 Feb;16(2):585-94. PMID: 19737050; PMCID: PMC2813071. [CrossRef]
- Psaltis PJ, Simari RD. Vascular wall progenitor cells in health and disease. Circ Res. 2015 Apr 10;116(8):1392-412. 16. [CrossRef] [PubMed]
- Sellahewa SG, Li JY, Xiao Q. Updated Perspectives on Direct Vascular Cellular Reprogramming and Their Potential Applications in Tissue Engineered Vascular Grafts. J Funct Biomater. 2022 Dec 30;14(1):21. PMID: 36662068; PMCID: PMC9866165. [CrossRef]
- Jin LU, Liu J, Li Y, Sun S, Mao X, Yang S, Lai Y. Anastomosing hemangioma: The first case report in the bladder. Mol Clin Oncol. 2016 Feb;4(2):310-312. Epub 2015 Dec 8. PMID: 26893881; PMCID: PMC4734195. [CrossRef]
- Johnstone KJ, Strutton GM, Perry-Keene JL, Hazratwala K, Delahunt B. Multifocal anastomosing haemangioma of the kidney with intravascular growth and sinus fat invasion: a rare benign mimic of angiosarcoma. Pathology. 2020 Apr;52(3):394-396. Epub 2020 Feb 26. [CrossRef] [PubMed]
- Seu KG, Papoin J, Fessler R, Hom J, Huang G, Mohandas N, Blanc L, Kalfa TA. Unraveling Macrophage Heterogeneity in Erythroblastic Islands. Front Immunol. 2017 Sep 20;8:1140. PMID: 28979259; PMCID: PMC5611421. [CrossRef]
- Zermati Y, Fichelson S, Valensi F, Freyssinier JM, Rouyer-Fessard P, Cramer E, et al. El factor de crecimiento transformante inhibe la eritropoyesis bloqueando la proliferación y acelerando la diferenciación de los progenitores eritroides. Exp Hematol. 2000; 28 (8): 885–894. [CrossRef]
- Jaiswal S, Ebert BL. Clonal hematopoiesis in human aging and disease. Science. 2019 Nov 1;366(6465):eaan4673. PMID: 31672865; PMCID: PMC8050831. [CrossRef]
- Fonseca A, Lobo J, Hazard FK, Gell J, Nicholls PK, Weiss RS, Klosterkemper L, Volchenboum SL, Nicholson JC, Frazier AL, Amatruda JF, Bagrodia A, Lockley M, Murray MJ. Advancing clinical and translational research in germ cell tumors (GCT): recommendations from the Malignant Germ Cell International Consortium. Br J Cancer. 2022 Nov; 127(9):1577-1583. Epub 2022 Oct 13. PMID: 36229581; PMCID: PMC9596690. [CrossRef]






| Type of exploration | Exploration | Date of realisation | Time transformation series |
Size cm | Days elapsed |
|---|---|---|---|---|---|
| 1 | TAC | 171120 | nov-20 | 0,01 | 0 |
| 1 | TAC | 40222 | feb-22 | 2,00 | 73 |
| 1 | TAC | 270422 | abr-22 | 1,90 | 83 |
| 2 | PET | 150722 | jul-22 | 2,00 | 150 |
| 1 | TAC | 300922 | sep-22 | 2,80 | 77 |
| 1 | TAC | 100123 | ene-23 | 2,34 | 102 |
| 3 | Eco- endoscopy |
130423 | abr-23 | 2,50 | 94 |
| 4 | RNM | 301123 | nov-23 | 3,40 | 201 |
Disclaimer/Publisher’s Note: The statements, opinions and data contained in all publications are solely those of the individual author(s) and contributor(s) and not of MDPI and/or the editor(s). MDPI and/or the editor(s) disclaim responsibility for any injury to people or property resulting from any ideas, methods, instructions or products referred to in the content. |
© 2024 by the authors. Licensee MDPI, Basel, Switzerland. This article is an open access article distributed under the terms and conditions of the Creative Commons Attribution (CC BY) license (http://creativecommons.org/licenses/by/4.0/).