Submitted:
16 December 2023
Posted:
18 December 2023
You are already at the latest version
Abstract
Keywords:
1. Introduction
2. Experimental material and Procedure
2.1. Powder and substrate preparation
2.2 Coating deposition processing
2.3 Characterization
3. Results and discussion
3.1. Microstructure of FeAlC-x(WC-Co) coatings
3.2. Phase compositions
3.3. Microhardness
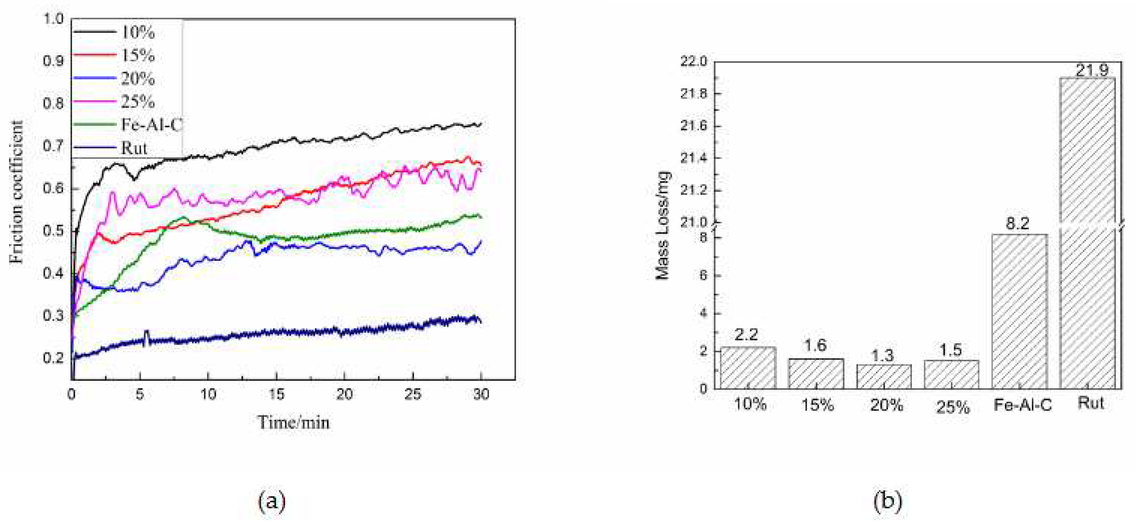
3.4. Tribological properties
3.5. Worn surface and wear mechanisms
4. Conclusions
Author Contributions
Funding
Institutional Review Board Statement
Informed Consent Statement
Data Availability Statement
Conflicts of Interest
References
- Z. J. Ma, D. Tao, Z. Yang, et al., The effect of vermicularity on the thermal conductivity of vermicular graphite cast iron. Mater.Des., 2016, 93, 418–422. [CrossRef]
- F. E. Mariani, G. S. Takeya, et al., Wear and corrosion resistance of Nb-V carbide layers produced in vermicular cast iron using TRD treatments. Surf. Coat. Technol., 2020, 397, 126050. [CrossRef]
- Lin, Y.; He, S.; Lai, D.; Wei, J.; Ji, Q.; Huang, J.; Pan, M. Wear Mechanism and Tool Life Prediction of High-Strength Vermicular Graphite Cast Iron Tools for High-Efficiency Cutting. Wear., 2020, 454-455, 203319. [Google Scholar] [CrossRef]
- S. Zafar, A. K. Sharma, Development and characterisations of WC-12Co microwave clad. Mater. Des. 2014, 96, 241–248. [CrossRef]
- H. Zhou, Q. C. Guo, P. Y. Lin, et al., Influence of H13 steel unit on wear behavior of vermicular cast iron. Appl. Surf. Sci., 255 2008, 255, 3394–3399. [CrossRef]
- P. H. Gao, B. Y. Chen, S. C. Zeng, Z. Yang, et al., Effect of Vacuum Annealing on the Nickel-Based Coatings Deposited on a CGI Cast Iron through Atmospheric Plasma Spraying. Metals., 2020, 10, 963–974. [CrossRef]
- Wang, H.; Qiu, Q.; Gee, M.; Hou, C.; Liu, X.; Song, X. Wear Resistance Enhancement of HVOF-Sprayed WC-Co Coating by Complete Densification of Starting Powder. Mater. Des., 2020, 191, 108586. [Google Scholar] [CrossRef]
- Gao, P.H.; Li, J.P.; Yang, Z.; Guo, Y.C.; Wang, Y.R. Preparation of Al/SiC Composite Coatings on Surface of Aluminum Alloy by Atmospheric Plasma Spraying. Rare. Metal. Mat. Eng., 2015, 44, 2396–2400. [Google Scholar] [CrossRef]
- Gao, P.H.; Chen, B.Y.; Wang, W.; Jia, H.; Li, J.P.; Yang, Z.; Guo, Y.C. Simultaneous increase of friction coefficient and wear resistance through HVOF sprayed WC-(nano WC-Co), Surf. Coat. Technol., 2019, 363, 379. [Google Scholar] [CrossRef]
- Chen, B.; Gao, P.; Zhang, B.; Zhao, D.; Wang, W.; Jin, C.; Yang, Z.; Guo, Y.; Liang, M.; Li, J.; et al. Wear Properties of Iron-Based Alloy Coatings Prepared by Plasma Transfer Arc Cladding. Coatings., 2022, 12, 243. [Google Scholar] [CrossRef]
- W. Y. Yuan, R. F. Li, Z. H. Chen, et al., A comparative study on microstructure and properties of traditional laser cladding and high-speed laser cladding of Ni45 alloy coatings. Surf. Coat. Technol., 2021, 405, 126582. [CrossRef]
- D. Bartkowski, A. Mlynarczak, A. Piasecki, B. Dudziak, M. Goscianski, A. Bartkowska, Microstructure, microhardness and corrosion resistance of Stellite-6 coatings reinforced with WC particles using laser cladding. Opt. Laser. Technol., 2015, 68, 191–201. [CrossRef]
- L. Huang, J.Z. Zhou, J.L. Xu, et al., Microstructure and wear resistance of electromagnetic field assisted multi-layer laser clad Fe901 coating. Surf. Coat. Technol., 2020, 395, 125876. [CrossRef]
- L. M. Zhang, D. B. Sun, H. Y. Yu, H. Q. Li, Characteristics of Fe-based alloy coating produced by plasma cladding process. Mater. Sci. Eng. A., 2007, 457, 319–324. [CrossRef]
- Xie, G.Z.; Song, X.L.; Zhang, D.J.; Wang, Y.P; Li, P.H. Microstructure and Corrosion Properties of Thick WC Composite Coating Formed by Plasma Cladding. Appl. Surf. Sci., 2010, 256, 6354–6358. [Google Scholar] [CrossRef]
- Zhang, L.M.; Sun, D.B.; Yu, H.Y.; Li, Y.Q. Characteristics of Fe-based alloy coating produced by plasma cladding process, Mater. Sci. Eng. A, 2007, 457, 319–324. [Google Scholar] [CrossRef]
- Gao, P.H.; Fu, R.T.; Chen, B.Y.; Zeng, S.C.; Zhang, B.; Yang, Z.; Guo, Y.C.; Liang, M.X.; Li, J.P.; Lu, Y.Q.; et al. Corrosion Resistance of CoCrFeNiMn High Entropy Alloy Coating Prepared through Plasma Transfer Arc Claddings. Metals., 2021, 11, 1876. [Google Scholar] [CrossRef]
- Cheng; Xu; Liang; Wu Microstructure and Mechanical Characteristics of Iron-Based Coating Prepared by Plasma Transferred Arc Cladding Process. Mater. Sci. Eng. A., 2008, 492, 407–412. [CrossRef]
- Y. H. Diao, K. M. Zhang, Microstructure and corrosion resistance of TC2 Ti alloy by laser cladding with Ti/TiC/TiB2 powders. Appl. Surf. Sci., 2015, 352, 163–168. [CrossRef]
- G. Z. Xie, X. L. Song, D. J. Zhang, et al., Microstructure and corrosion properties of thick WC composite coating formed by plasma cladding. Appl. Surf. Sci., 2010, 256, 6354–6358. [CrossRef]
- S. F. Zhou, X. Q. Dai, Laser induction hybrid rapid cladding of WC particles reinforced NiCrBSi composite coating. Appl. Surf. Sci., 2010, 256, 4708–4714. [CrossRef]
- Y. B. Peng, W. Zhang, T. C Lia, et al. Effect of WC content on microstructures and mechanical properties of FeCoCrNi high-entropy alloy/WC composite coatings by plasma cladding. Surf. Coat. Technol., 2020, 385, 125326. [CrossRef]
- K. Y. Shi, S. B. Hu, H. F. Zheng, Microstructure and fatigue properties of plasma transferred arc alloying TiC-W-Cr on gray cast iron. Surf. Coat. Technol., 2011, 206, 1211–1217. [CrossRef]
- Liu, Y.; Wu, Y. M. Ma, W. Gao, G.Y. Yang, H. Fu, N.Y. Xi, H. Chen, High temperature wear performance of laser cladding Co06 coating on high-speed train brake disc. Appl. Surf. Sci., 2019, 481, 761–766. [CrossRef]
- J. Li, S.Y. Dong, S.X. Yan, X.T. Liu, B.S. Xu, Microstructure evolution during laser cladding Fe-Cr alloy coatings on ductile cast iron. Opt Laser. Technol., 2018, 108, 255–264. [CrossRef]
- Q. Xiao, W. L. Sun, K. X. Yang, et al., Wear mechanisms and micro-evaluation on WC particles investigation of WC-Fe composite coatings fabricated by laser cladding. Surf. Coat. Technol., 2021, 420, 127341. [CrossRef]
- D. Bartkowski, A. Bartkowska, P. Juri, Laser cladding process of Fe/WC metal matrix composite coatings on low carbon steel using Yb: YAG disk laser. Opt. Laser Technol., 2021, 136, 106784. [CrossRef]
- Q. Y. Wang, Y. C. Xi, Y. H. Zhao, et al., Effects of laser re-melting and annealing on microstructure, mechanical property and corrosion resistance of Fe-based amorphous/ crystalline composite coating. Mater. Charact., 2017, 127, 239–247. [CrossRef]
- S. F. Zhou, Y. B. Xu, B. Q. Liao, et al., Effect of laser remelting on microstructure and properties of WC reinforced Fe-based amorphous composite coating by laser cladding. Opt. Laser. Technol., 2018, 103, 8–16. [CrossRef]
- C. P. Paul, H. Alemohammad, E. Toyserkani, A. Khajepour, S. Corbin, Cladding of WC-12Co on low carbon steel using a pulsed Nd:YAG laser. Mater. Sci. Eng. A., 2007, 464, 170–176. [CrossRef]
- S. S. Babu, S. A. David, R. P. Martukanitz, K. D. Parks, Toward prediction of microstructural evolution during laser surface alloying. Metall. Mater. Trans. A., 2002, 33, 1189–1200. [CrossRef]
- Z. L. Li, H Wei, Q Shan, et al., Formation mechanism and stability of the phase in the interface of tungsten carbide particles reinforced iron matrix composites: First principles calculations and experiments. J. Mater. Res., 2016, 31, 2376–2383. [CrossRef]
- Alireza Mostajeran, Reza Shoja-Razavi, Morteza Hadi, et al., Evaluation of mechanical properites of WC-FeAl composite coating fabricated by laser cladding method. Int. J. Refract. Met. Hard. Mater., 2020, 88, 105199. [CrossRef]
- J. Q. Zhang, J. B. Li, Z. J. Gu, et al., Effect of WC-12Co content on wear and electrochemical corrosion properties of Ni-Cu/WC-12Co composite coatings deposited by laser cladding. Surf. Coat. Technol., 2020, 393, 125807. [CrossRef]
- Y. B. Peng, W. Zhang, T. C. Li, et al., Microstructures and mechanical properties of FeCoCrNi high entropy alloy/WC reinforcing particles composite coatings prepared by laser cladding and plasma cladding. Int. J. Refract. Met. Hard Mater., 2019, 84, 105144. [CrossRef]











| Element | C | Al | Si | Mn | Fe |
| wt % | 5.76 | 3.87 | 3.34 | 1.17 | Bal. |
| Elements | Co | C | Fe | O | W |
| wt.% | 11.9 | 5.36 | 0.028 | 0.11 | Balance |
| Current /A |
Plasma gas-flow L/min |
Protective Gas flow L/min |
Powder Feeding rate rad/min |
Scanning velocity mm/min |
Distance from Torch Exit to the Substrate mm |
| 65 | 1.5 | 10 | 12 | 120 | 12 |
| Element | C | Fe | W | Mn | Si | Cr | Al | |
| Point | ||||||||
| 1 | 5.97 | 43.33 | 50.70 | - | - | - | - | |
| 2 | 7.60 | 70.23 | 20.31 | 55.86 | - | 0.81 | - | |
| 3 | 86.42 | 13.58 | - | - | - | - | - | |
| 4 | 11.49 | 14.98 | 73.53 | - | - | - | - | |
| 5 | 6.00 | 89.79 | - | - | 3.19 | - | 1.02 | |
| Element | C | Fe | W | O | Si | Cr | Al | |
| Point | ||||||||
| 1 | 34.16 | 36.21 | 24.3 | - | 4.42 | 0.9 | - | |
| 2 | 34.34 | 44.34 | - | 16.87 | 2.22 | - | 2.24 | |
| 3 | 10.56 | 32.31 | - | 56.33 | 0.8 | - | - | |
| 4 | 11.49 | 14.98 | 73.53 | - | - | - | - | |
| 5 | 6.00 | 89.79 | - | - | 3.19 | - | 1.02 | |
Disclaimer/Publisher’s Note: The statements, opinions and data contained in all publications are solely those of the individual author(s) and contributor(s) and not of MDPI and/or the editor(s). MDPI and/or the editor(s) disclaim responsibility for any injury to people or property resulting from any ideas, methods, instructions or products referred to in the content. |
© 2023 by the authors. Licensee MDPI, Basel, Switzerland. This article is an open access article distributed under the terms and conditions of the Creative Commons Attribution (CC BY) license (http://creativecommons.org/licenses/by/4.0/).