Submitted:
27 April 2023
Posted:
28 April 2023
You are already at the latest version
Abstract
Keywords:
1. Introduction
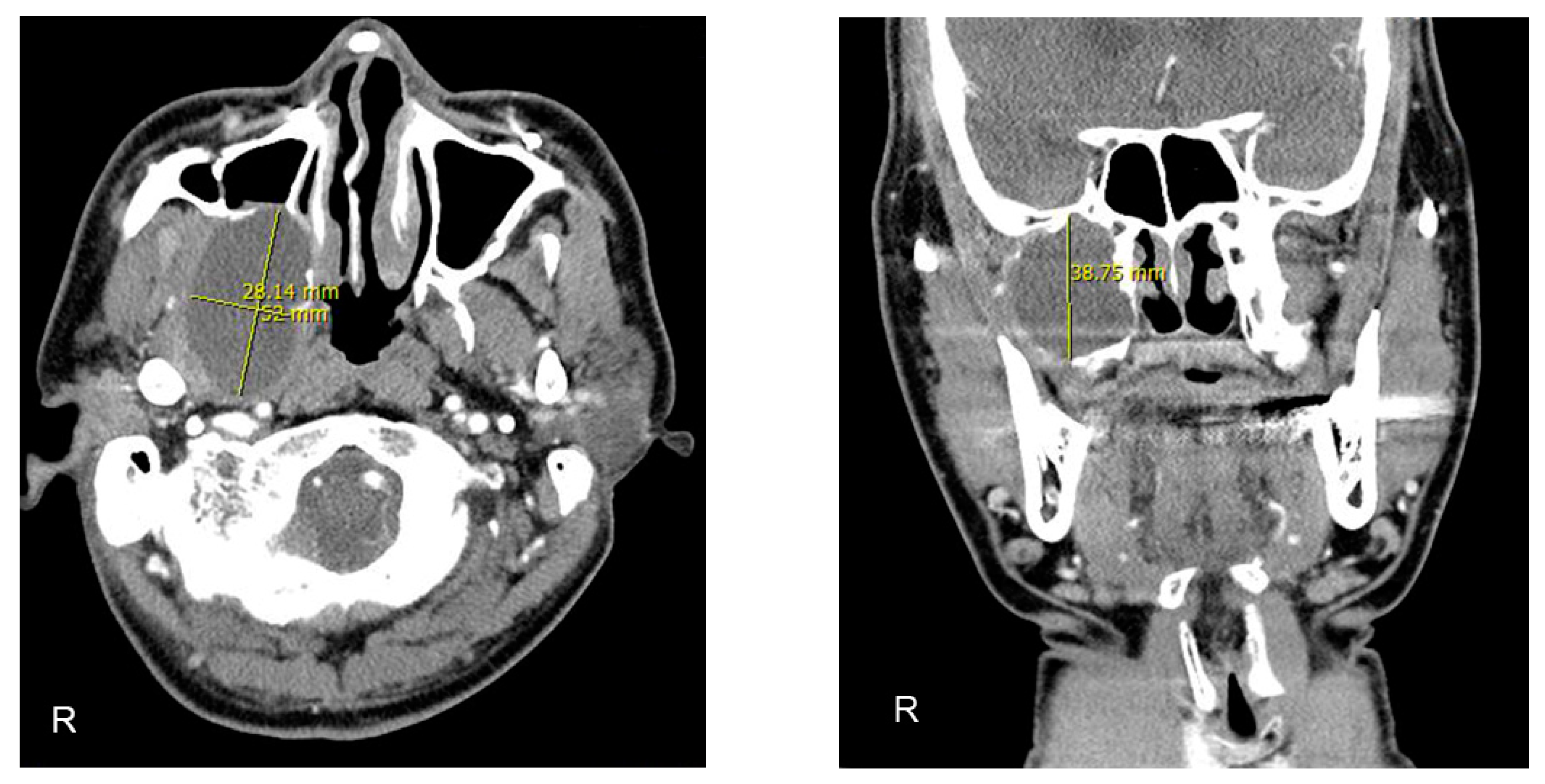
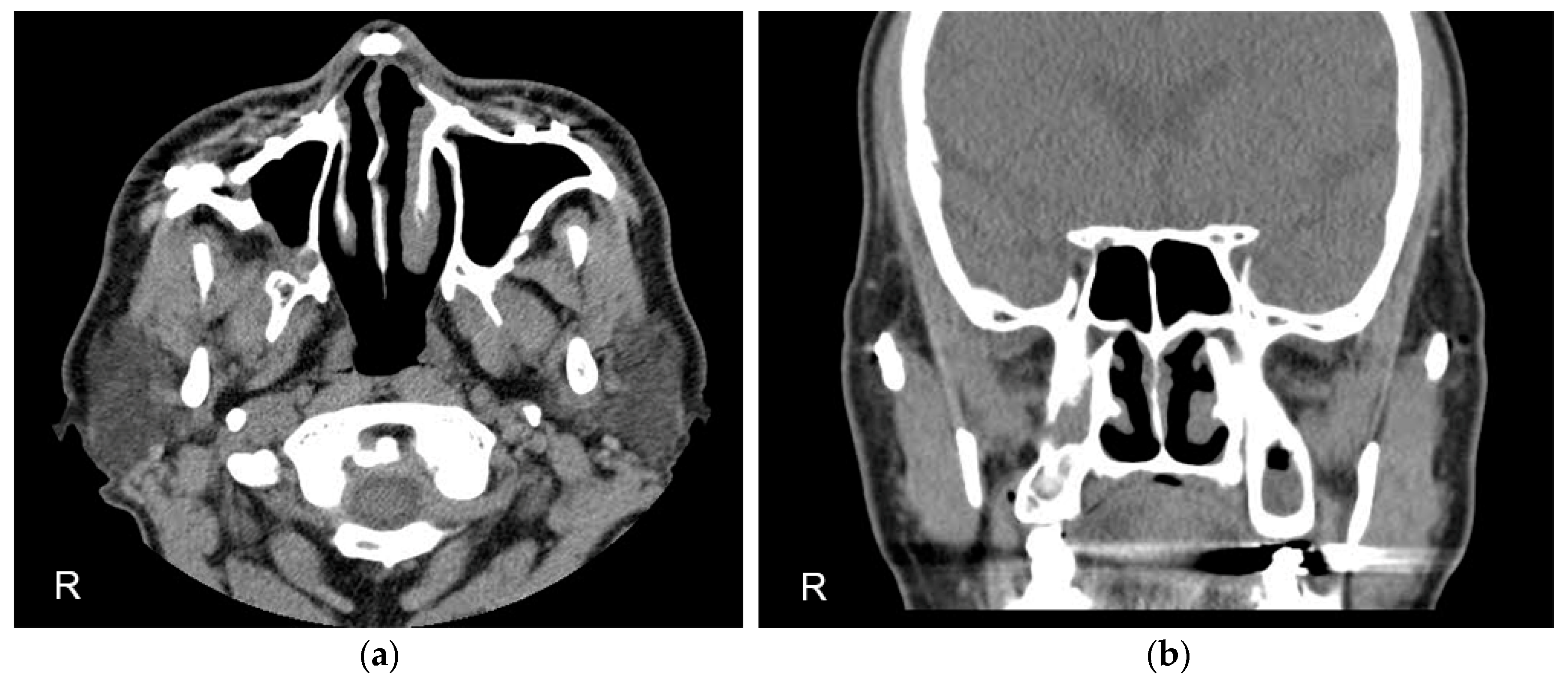
2. Case Report




3. Discussion
4. Conclusions
Author Contributions
Funding
Institutional Review Board Statement
Informed Consent Statement
Conflicts of Interest
References
- Mete O, Wenig BM: Update from the 5th Edition of the World Health Organization Classification of Head and Neck Tumors: Overview of the 2022 WHO Classification of Head and Neck Neuroendocrine Neoplasms. Head and neck pathology 2022, 16(1):123-142.
- Bourgeois SL, Jr., Nelson BL: Surgical ciliated cyst of the mandible secondary to simultaneous Le Fort I osteotomy and genioplasty: report of case and review of the literature. Oral surgery, oral medicine, oral pathology, oral radiology, and endodontics 2005, 100(1):36-39.
- Amin M, Witherow H, Lee R, Blenkinsopp PJJoo, surgery m: Surgical ciliated cyst after maxillary orthognathic surgery: report of a case. 2003, 61(1):138-141.
- Joo W, Funaki T, Yoshioka F, Rhoton Jr ALJCA: Microsurgical anatomy of the infratemporal fossa. 2013, 26(4):455-469.
- Tiwari RJJoC-MS: Surgical landmarks of the infratemporal fossa. 1998, 26(2):84-86.
- Chung HJ, Moon IS, Cho H-J, Kim C-H, Sharhan SSA, Chang JH, Yoon J-H: Analysis of Surgical Approaches to Skull Base Tumors Involving the Pterygopalatine and Infratemporal Fossa. Journal of Craniofacial Surgery 2019, 30(2).
- Haidar H, Deveze A, Lavieille JP: Mini-invasive surgery of infratemporal fossa schwannomas. The Journal of Laryngology & Otology 2015, 129(2):187-193.
- Hopkins R, Seel D: The use of a Le Fort I osteotomy as a surgical approach. The British journal of oral surgery 1975, 13(1):27-32.
- Brown DH: The Le Fort I maxillary osteotomy approach to surgery of the skull base. The Journal of otolaryngology 1989, 18(6):289-292.
- Kramer F-J, Baethge C, Swennen G, Teltzrow T, Schulze A, Berten J, Brachvogel PJJoCS: Intra-and perioperative complications of the LeFort I osteotomy: a prospective evaluation of 1000 patients. 2004, 15(6):971-977.
- Basu MK, Rout PGJ, Rippin JW, Smith AJ: The post-operative maxillary cyst: Experience with 23 cases. International Journal of Oral and Maxillofacial Surgery 1988, 17(5):282-284.
- Iinuma T, Mizutani A, Miyakawa KJPO: Postoperative cysts of the maxilla: A review of 474 cases. 1974, 67:427-436.
- Gregory GJJoS: Surgical ciliated cysts of the maxilla: report of cases. 1958, 16:251-253.
- Yoshikawa Y, Nakajima T, Kaneshiro S, Sakaguchi M: Effective treatment of the postoperative maxillary cyst by marsupialization. Journal of Oral and Maxillofacial Surgery 1982, 40(8):487-491.
Disclaimer/Publisher’s Note: The statements, opinions and data contained in all publications are solely those of the individual author(s) and contributor(s) and not of MDPI and/or the editor(s). MDPI and/or the editor(s) disclaim responsibility for any injury to people or property resulting from any ideas, methods, instructions or products referred to in the content. |
© 2023 by the authors. Licensee MDPI, Basel, Switzerland. This article is an open access article distributed under the terms and conditions of the Creative Commons Attribution (CC BY) license (http://creativecommons.org/licenses/by/4.0/).