Preprint
Article

This version is not peer-reviewed.

MAPLE Deposition of Resorbable Calcium Phosphates on Electrospun Nylon Nanofibres for Bone Tissue Engineering

Submitted:

24 April 2026

Posted:

27 April 2026

You are already at the latest version

Abstract
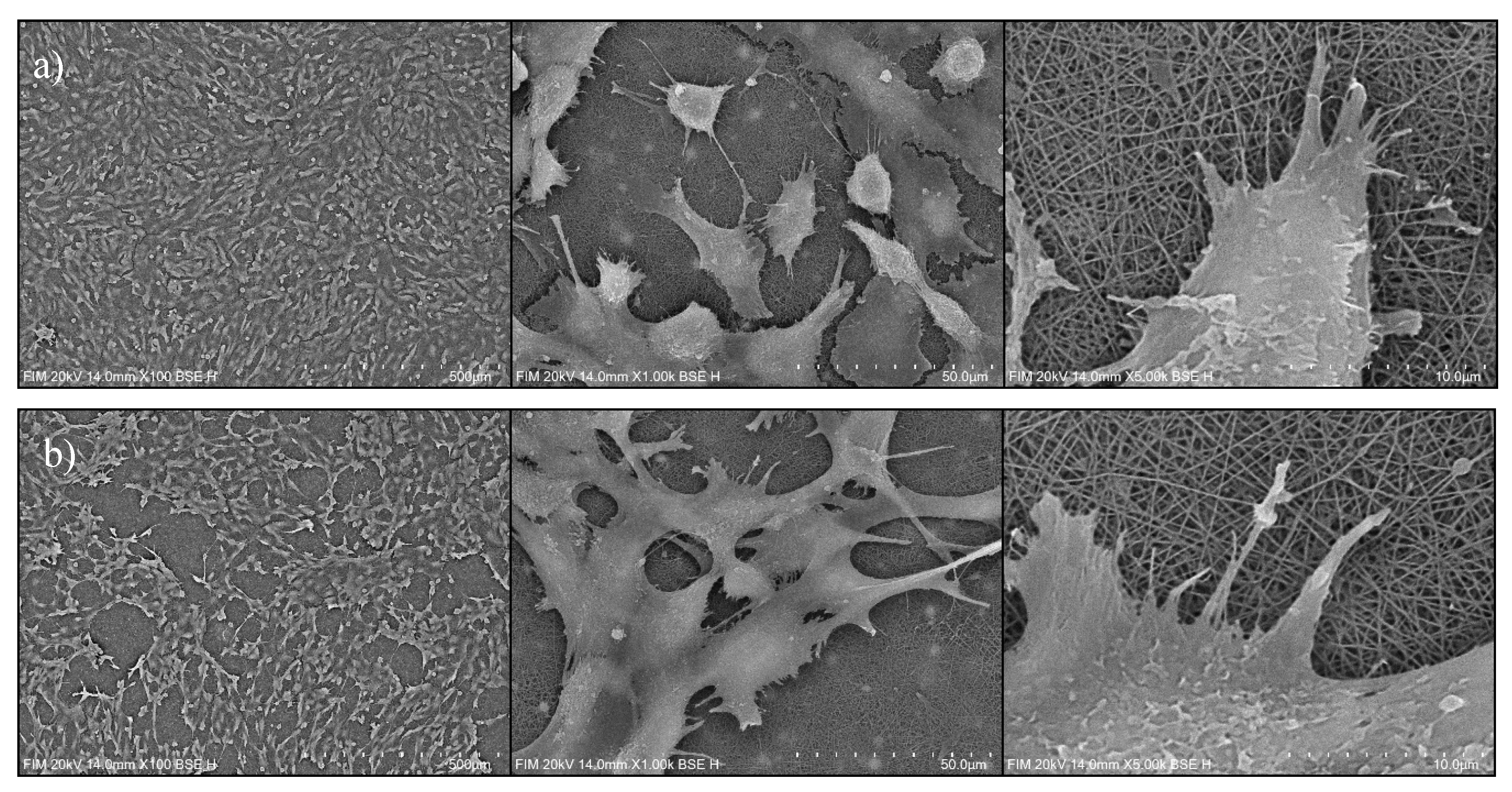
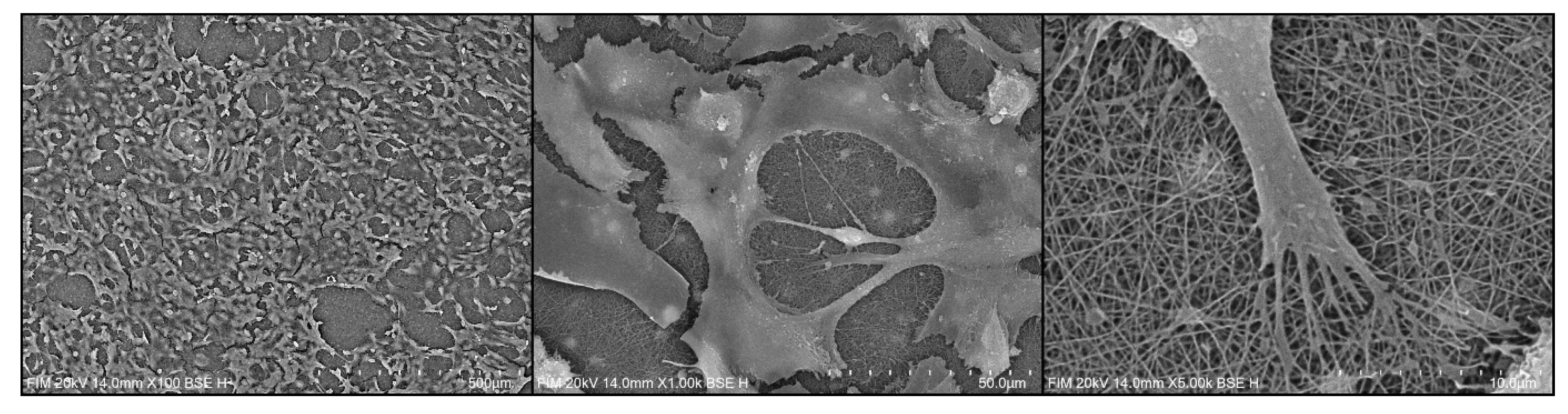
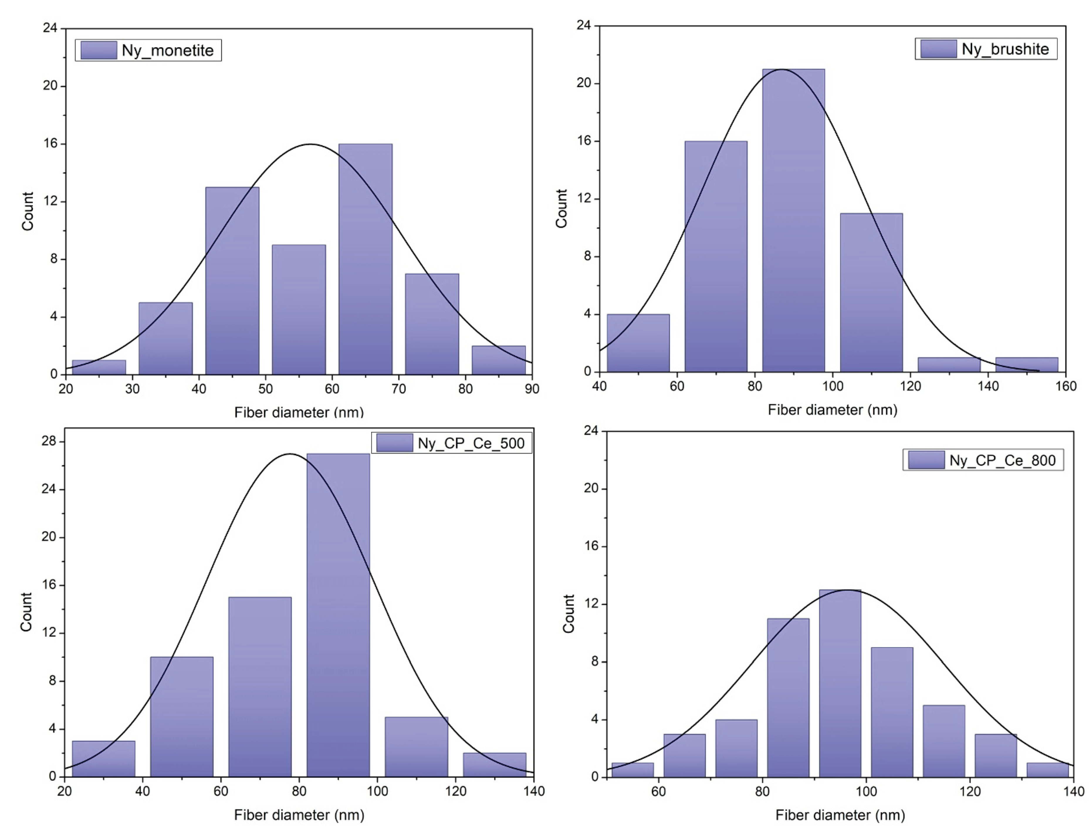
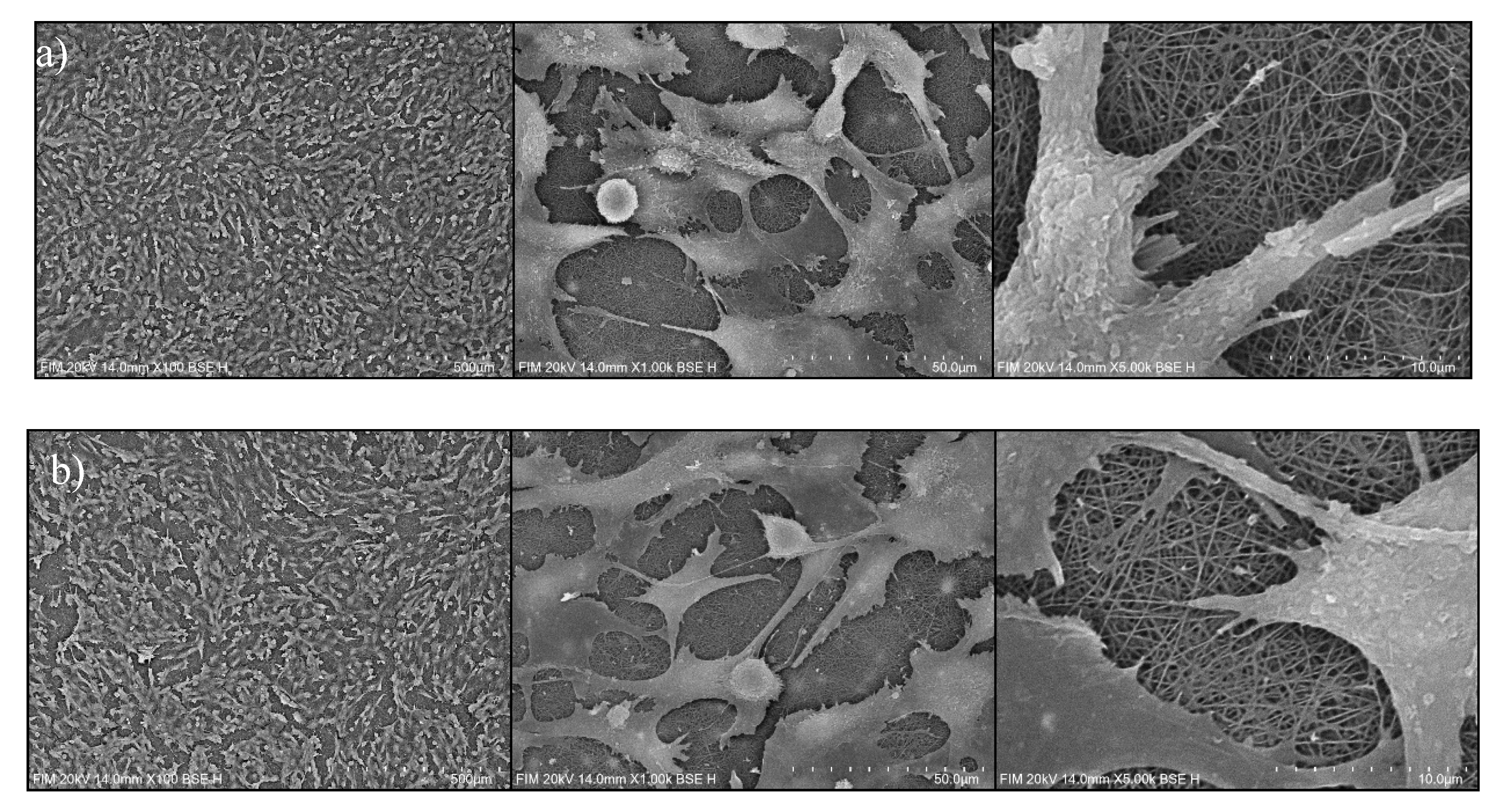
One-dimensional fibrous scaffolds with tunable bioactivity offer promise for bone tissue regeneration, yet optimal calcium phosphate phases for enhancing osteogenic perfor-mance remain underexplored. This study aimed to evaluate the impact of monetite, brushite, and cerium-doped phosphates deposition on electrospun nylon nanofibres func-tionalized via matrix-assisted pulsed laser evaporation (MAPLE). Six nylon fibre composi-tions were synthesized, coated with three calcium phosphate phases, calcined at varying temperatures (500–800 °C) before laser deposition. Physicochemical properties were as-sessed using energy-dispersive X-ray spectroscopy (EDX), scanning electron microscopy (SEM), and fibre diameter measurements. Biocompatibility assays following MC3T3 pre-osteoblast seeding and incubation evaluated biological performance. EDX confirmed homogeneous phase deposition; SEM showed phase- and temperature-dependent mor-phology, with monetite yielding uniform granular structures and cerium-doped phos-phate at 800 °C forming dense aggregates. Brushite-coated fibres exhibited superior preos-teoblast metabolic activity versus monetite variants, indicating phase-specific stimulation of bone cells growth. These phosphate-functionalized nylon fibres retain structural integ-rity, hierarchical porosity, and enhanced bioactivity, providing a versatile electrospin-ning-MAPLE platform for customizable bone grafts with clinical potential.
Keywords: 
;  ;  ;  ;  ;  ;  ;  ;  
Copyright: This open access article is published under a Creative Commons CC BY 4.0 license, which permit the free download, distribution, and reuse, provided that the author and preprint are cited in any reuse.
Prerpints.org logo

Preprints.org is a free preprint server supported by MDPI in Basel, Switzerland.

Subscribe

Disclaimer

Terms of Use

Privacy Policy

Privacy Settings

© 2026 MDPI (Basel, Switzerland) unless otherwise stated