Preprint
Article

This version is not peer-reviewed.

Clinical and Radiologic Outcomes of Bioinductive Collagen Implant Augmentation in Sugaya Type III Rotator Cuff Retears

Submitted:

10 February 2026

Posted:

11 February 2026

You are already at the latest version

Abstract
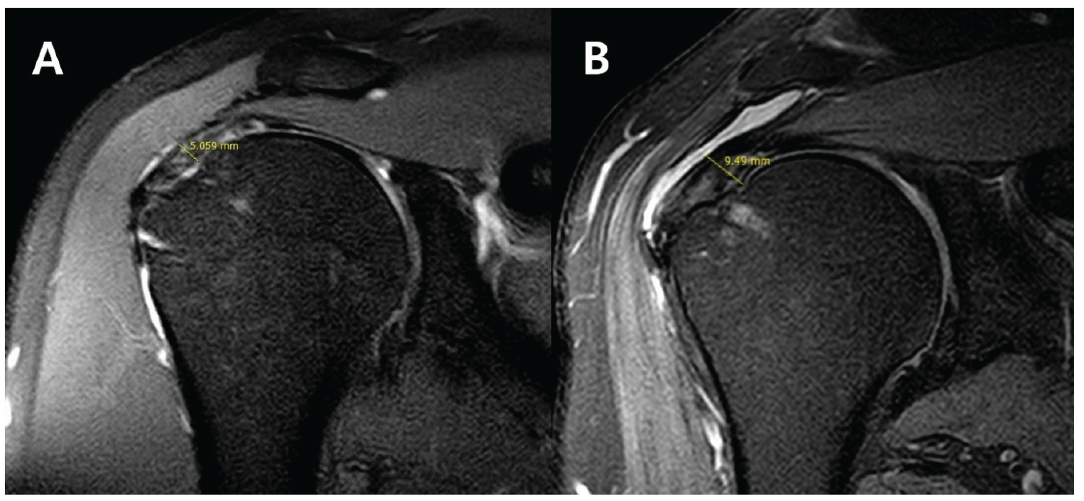
Background Sugaya type III rotator cuff re-tears are defined by a supraspinatus tendon thickness reduced to 50% or less of normal. These patients often experience prolonged pain and functional impairment. When considering reoperation, the burden of a long-term rehabilitation process and high risk of re-tear poses significant challenges for both patients and surgeons. Bioinductive collagen implants possess a mechanism that promotes the formation of new tendon tissue, holding potential to accelerate recovery and reduce re-tears. However, studies applying this technique in patients with Sugaya type III re-tear have not yet been reported. This study aimed to evaluate the clinical and radiologic outcomes of applying this procedure in patients with Sugaya type III re-tear. Method: This retrospective case series (Level IV) study included 15 patients (mean age 61.7 years) with Sugaya type III re-tears confirmed by MRI. All patients underwent arthroscopic rotator cuff repair combined with biologically induced collagen implant augmentation. Clinical outcomes were assessed at preoperative, 6-month, and 12-month postoperative time points using VAS, ASES, SANE, and WORC scores. Imaging findings were assessed via MRI, measuring supraspinatus thickness, and evaluating joint range of motion (ROM) and implant failure. Thickness measurements were performed twice each by an orthopedic surgeon (15 years' experience) and a radiologist (9 years' experience), with mean values used and intra- and inter-observer reliability (ICC) calculated. Results: The average VAS score decreased significantly from 6.5 ± 1.0 to 2.1 ± 0.8 (p < 0.001), and the ASES score improved from 45.2 ± 8.5 to 78.5 ± 8.9 (p < 0.001). SANE and WORC scores also showed significant improvement from 41.0 ± 12.1 to 81.4 ± 9.8 and from 39.6 ± 10.7 to 83.3 ± 10.1 respectively (p < 0.001). Supraspinatus thickness on MRI recovered from 4.5 ± 2.2 mm to 6.9 ± 2.5 mm (p < 0.001). At the final follow-up, all patients’ recovery of full or near-full range of motion was observed, and no implant failure were observed at either 6-month or 12-month follow-ups (0%). For MRI measurements, the inter-observer ICC was 0.93 (95% CI 0.85–0.97), and the intra-observer ICC ranged from 0.94 to 0.95. This indicates a high level of reliability. Conclusion: This study represents the first application of arthroscopic reattachment combined with bioengineered collagen implant augmentation in patients with Sugaya type III rotator cuff re-tears. Short-term follow-up confirmed significant improvement in pain and function, restoration of tendon thickness, and a 0% graft failure rate. This procedure is considered a useful method for treating patients with Sugaya type III re-tear, minimizing rehabilitation periods and avoiding the risk of re-tear.
Keywords: 
;  ;  ;  ;  
Copyright: This open access article is published under a Creative Commons CC BY 4.0 license, which permit the free download, distribution, and reuse, provided that the author and preprint are cited in any reuse.
Prerpints.org logo

Preprints.org is a free preprint server supported by MDPI in Basel, Switzerland.

Subscribe

Disclaimer

Terms of Use

Privacy Policy

Privacy Settings

© 2026 MDPI (Basel, Switzerland) unless otherwise stated