Submitted:
30 January 2026
Posted:
02 February 2026
You are already at the latest version
Abstract
Keywords:
1. Introduction and Objectives
2. Clinical Case Presentation
3. Methodology and Results
4. Discussion
| Parameters | Findings | Interpretation |
| Complete blood count | Lymphocytes: 0.2 x 10³/mm³ Leukocytes: 0.8 x 10³/mm³ Neutrophils: 58.5% Monocytes: 0.14 x 10³/mm³ Hemoglobin: 8.5 g/dl Hematocrit: 25.5% Platelets: 10,000 Red cell distribution width: 14.8% |
Pancytopenia (anemia + thrombocytopenia + leukopenia) - suggests bone marrow involvement Neutropenia Severe lymphopenia Monocytopenia Anisocytosis |
| Procalcitonin (pct) | 4.57 ng/ml | Strong suspicion of severe bacterial infection or sepsis High probability of bacteremia |
| Primary immunodeficiency panel | ***** | ****despite the negative result obtained in the primary immunodeficiency screening panel And in contrast to the clinical and laboratory findings (distinct from the aforementioned panel), immunological abnormalities consistent with primary immunodeficiency are suspected |
| Pcr (genexpert – ultra) in sputum sample | Not detected | Negative for tuberculosis |
| Infectious diseases | Cytomegalovirus–igg: 500.00 u/ml Toxoplasma- igg: 204.00 iu/ml |
Positive igg for toxoplasma and cmv: indicates Prior infection Acquired immunity from prior exposure |
| Pcr panel (lower respiratory tract) | Parainfluenza virus type 3 Adenovirus |
Active infection due to: Parainfluenza virus type 3 Adenovirus |
| IL-6 | 97.40 pg/ml | Marked elevation suggests: Systemic bacterial infection Acute inflammatory response |
| Hepato-biliary enzyme profile | Serum amylase: 870.00 u/l Ast: 157.00 u/l Alt: 135.00 u/l Alkaline phosphatase: 137.00 iu/l |
All of the above show significant serum elevation |
| Blood chemistry | Serum creatinine: 0.46 mg/dl | Serum creatinine + physical findings: - indicates sarcopenia |
| Serum electrolytes | Total calcium: 6.74 mg/dl Serum magnesium: 1.19 mg/dl Potassium: 2.36 mg/dl |
Hypocalcemia Hypomagnesemia Hypokalemia |
| Immunology | Immunoglobulin igg: 484.00 mg/dl Immunoglobulin iga: 22.40 mg/dl |
Hypogammaglobulinemia |
| Anti-nmda (n-methyl-d-aspartate) antibodies | 3.1 iu/ml | Positive for anti-nmda receptor autoimmune encephalitis |
| Ferritin | 755 μg/l | Elevated ferritin - indicative of acute inflammatory process present |
| Fibrinogen | 155.9 mg/dl | Normal fibrinogen (approaching borderline values) |
| Test | Findings | Interpretation |
| Flow cytometry | Erythroid series: Neutrophils: 66.6% Monocytes: 9.9% Eosinophils: 0.47% lymphoid series: T lymphocytes: 16.6% Nk cells: 0.32% B lymphocytes: 2.1% |
Adequate bone marrow sample The described populations – do not exhibit phenotypic alterations for the neoplastic markers studied Conclusion: No evidence of pathological cell infiltration in bone marrow (with the markers studied) |
| Sample type: bone marrow – 3ml | ||
| Exam | Finding | Interpretation |
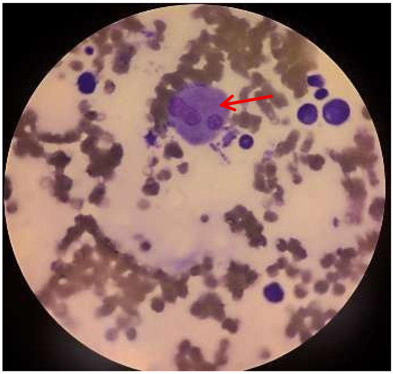
| Bone marrow aspirate |
![]() ![]()
|
Hemophagocytosis in bone marrow Suggestive of possible secondary hemophagocytic syndrome Findings include:
|
| Drug/intervention | Dosage and administration | Duration | Rationale | Changes and explanation |
| Ceftriaxone | IV - unspecified dose | 4 days (june 19–23) |
Empirical initiation for confirmed sepsis Gram-negative coverage |
Discontinued on improved infectious profile Add extended coverage |
| Vancomycin | IV - unspecified dose | 11 days (june 19–30) |
Coverage for resistant gram-positive bacteria Suspected meningitis |
Maintained during prolonged febrile course |
| Meropenem | IV - unspecified dose | 7 days June 23–30 |
Broad coverage for suspected nosocomial or resistant infection | Added due to: Elevated pct Pancytopenia |
| TMP-SMX | IV - unspecified dose | 7 days June 23–30 |
Prophylaxis for suspected immunodeficiency under investigation | Indicated after: Pancytopenia Hlh |
| Acyclovir | IV - unspecified dose | 2 days (june 23–25) |
Suspected viral meningoencephalitis | Discontinued after negative viral study results |
| Oseltamivir | Oral - unspecified dose | 2 days (june 23–25) |
Empirical initiation for viral respiratory symptoms | Discontinued: influenza ruled out |
| Fluconazole | IV - unspecified dose | 5 days (june 25–30) |
Fungal prophylaxis due to immunosuppression | Maintained by: Pancytopenia Persistent fever |
| IMV with ett (invasive mechanical ventilation with endotracheal tube) | Ett: 3.5mm fio2: 30 – 65% | 7 days (june 19 – 26) |
Ventilatory support for acute respiratory failure | Gradual weaning based on clinical improvement |
| Niv (non-invasive ventilation) | Mask or Cannula - Unspecified parameters |
4 days (june 26 – 30) |
Transition after mechanical ventilation withdrawal | Withdrawal based on respiratory tolerance |
| Midazolam | IV - continuous infusion | During mechanical ventilation | Deep sedation | Gradual withdrawal as glasgow coma scale score improves |
| Fentanyl | IV - continuous infusion | During mechanical ventilation | Sedation analgesia | Gradual withdrawal in phase of recovery |
| Dexmedetomidine | IV 0.3–1 Mcg/kg/h |
During post-extubation mechanical ventilation | Light sedation for neuroprotection | Adjusted based on level of consciousness |
| Intervention | Details | Duration | Effectiveness |
| Mechanical ventilation | Protective Parameters (PEEP – 8 / FiO2 – 60%) | Day 1 – 7 | Progressive improvement of PaO2/FiO2 Successful Extubation on Day 7 |
| Norepinephrine | 0.1 – 0.3 µg/kg/min IV | Day 1 – 5 | Maintenance of MAP > 65 mmHg Successful progressive Weaning |
| Early rehabilitation | Respiratory and Motor Physiotherapy (Passive and Active) | Day 5 – 23 | Strength/motor recovery Glasgow Coma Scale Score 9 → 13-15 |
| Enteral nutrition | Orogastric Tube Calories and Unspecified Formula | Day 3 – 28 | Good Tolerance Continued nutritional support without complications |
Quadrant A: DWI sequence
|
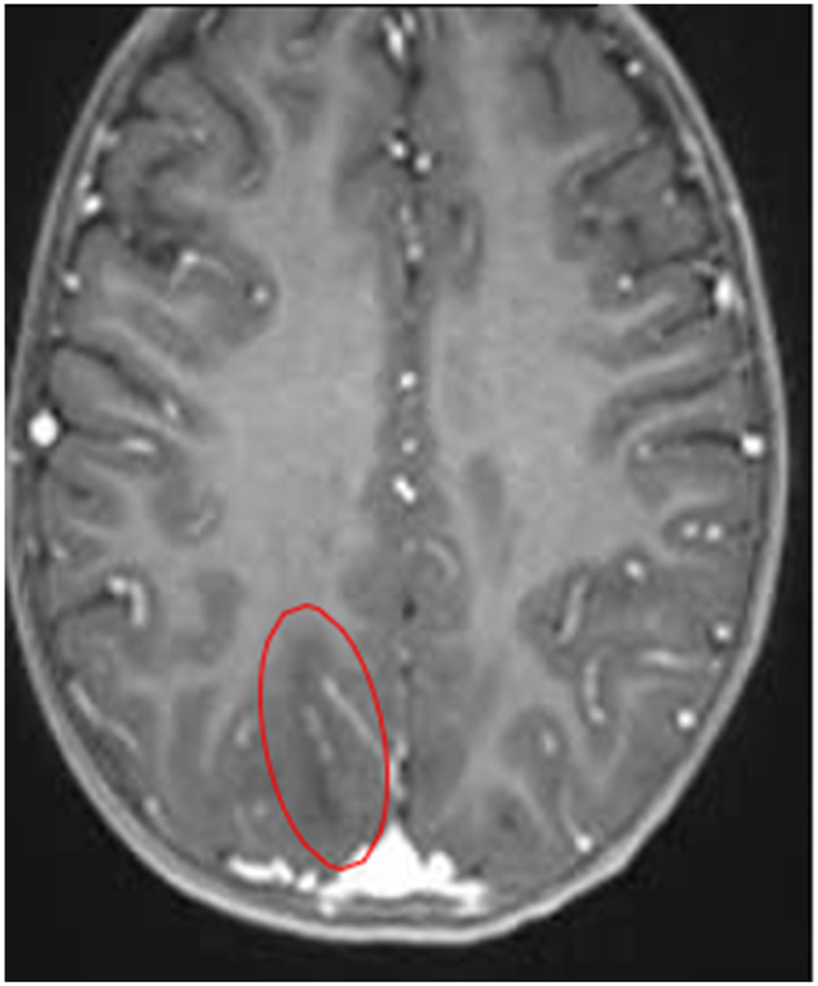
Quadrant B: T2 – FLAIR sequence
|
| A Minimal Right Subcortical Postcentral Parietal Hyperintensity Is Observed This shows restricted diffusion and signal drop on the ADC map Consistent with a Hyperacute Ischemic Focus
|
Hypointense Spots Are Evident in the Right Occipital Region ∙ Suggestive Findings of Hemorrhagic Collection |
Quadrant C: T1/ADC sequence – contrast-enhanced
|
Quadrant D: T2 – FLAIR |
| A hypointense focus is observed in the right subcortical postcentral parietal region Probable areas of demyelination are suspected - Suggesting a possible diagnosis of encephalitis |
Abnormalities in gray-white matter differentiation are observed Hyperintense images are observed in the subcortical white matter – in the following regions: Bilateral occipital Bilateral parieto-occipital |
Quadrant E: T2 – FLAIR Hyperintense Tissue is Evident in Bilateral Maxillary SinusesConsistent with Sinusitis |
5. Conclusions
Conflicts of Interest
References
- Gómez, VG; Martínez, AP. Síndrome hemofagocítico. Pediatr Integral 2021, 25(6), 326.e1–326.e9. [Google Scholar]
- Canna, SW; Marsh, RA. Pediatric hemophagocytic lymphohistiocytosis. Blood 2020, 135(16), 1332–1343. [Google Scholar] [CrossRef] [PubMed]
- Astudillo, P; Parejas, T; Wietstruck, MA; Morales, P; Abarca, K. Hemophagocytic syndrome: clinical characterization and follow-up of a Chilean pediatric cohort. Rev Chil Infectol. 2021, 38(3), 423–431. [Google Scholar]
- Ortiz Saldaña, S; Jaramillo, G. Análisis de exoma completo por NGS: informe preliminar; Hospital de Especialidades Eugenio Espejo: Quito, 12 Sep 2025. [Google Scholar]
- Yam, G; Parrill, A; Damodar, S; Fogel, J; Ayed, N; Syed, M; et al. Anti-N-methyl-D-aspartate receptor encephalitis in children and adolescents: a systematic review and quantitative analysis. J Can Acad Child Adolesc Psychiatry 2021, 30(4), 236–248. [Google Scholar]
- Carreto-Espinosa, C; Enciso-Peláez, S; Iglesias-Leboreiro, J; Bernárdez-Zapata, I; Silva-Ramírez, H; Escobedo-Berumen, L; et al. Autoimmune encephalitis: experience in the pediatric service of Hospital Español de México. Rev Hosp Juarez Mex. 2023, 90(1), 1–7. [Google Scholar]
- Abu-Helalah, M; Abu Lubad, M; Al-Hanaktah, M; Al Tibi, A; Alhousani, M; Drysdale, SB. Epidemiology and clinical burden of human parainfluenza virus infections among hospitalized children under 5 years of age in Jordan. Viruses 2025, 17(2), 170. [Google Scholar] [CrossRef] [PubMed]
- Soler Wenglein, J; Scarsella, L; Kotlewski, C; Heim, A; Aydin, M. Current trends of human adenovirus types among hospitalized children: a systematic review. Viruses 2025, 17(7), 914. [Google Scholar] [CrossRef] [PubMed]
- Tangye, SG; Al-Herz, W; Bousfiha, A; Cunningham-Rundles, C; Franco, JL; Holland, SM; et al. Human inborn errors of immunity: 2022 update. J Clin Immunol. 2022, 42(1), 147–164. [Google Scholar] [CrossRef] [PubMed]
- Toskov, V; Ehl, S. Autoimmune lymphoproliferative immunodeficiencies in childhood: breakdown of immune homeostasis and immune dysregulation. Mol Cell Pediatr. 2023, 10(1), 11. [Google Scholar] [CrossRef] [PubMed]
- Benevenuta, C; Mussinatto, I; Orsi, C; Timeus, FS. Secondary hemophagocytic lymphohistiocytosis in children. Exp Ther Med. 2023, 26(3), 423. [Google Scholar] [CrossRef] [PubMed]
- Paris, K; Wall, LA. The treatment of primary immune deficiencies: lessons learned and future opportunities. Clin Rev Allergy Immunol. 2023, 65, 19–30. [Google Scholar] [CrossRef] [PubMed]
- Raymond, LS; Leiding, J; Forbes-Satter, LR. Diagnostic modalities in primary immunodeficiency. Clin Rev Allergy Immunol. 2022, 63, 90–98. [Google Scholar] [CrossRef] [PubMed]
- Vélez, R; Benítez, A. Historical series of posterior reversible encephalopathy syndrome at a national pediatric referral hospital. Gac Med Junta Benefic Guayaquil 2023, 1(1), 27–36. [Google Scholar] [CrossRef]
- Ortiz Saldaña, S; Jaramillo, G. Whole-exome sequencing analysis by next-generation sequencing (NGS): preliminary report; Hospital de Especialidades Eugenio Espejo: Quito, Ecuador, 12 Sep 2025. [Google Scholar]
- Mütze, U; Reischl-Hajiabadi, A; Kölker, S. Classic isovaleric acidemia. In GeneReviews® [Internet]; Adam, MP, Feldman, J, Mirzaa, GM, et al., Eds.; University of Washington: Seattle (WA), 2024. [Google Scholar]
- Lin, Y; Zhou, Y; Wang, J; et al. Large-scale newborn screening for organic acidemias: incidence and genetic profiles from 2014 to 2023. Sci Rep. 2025, 15, 15625. [Google Scholar]
- Couce, ML; Castiñeiras, DE; Bóveda, MD; et al. Newborn screening programmes for inborn errors of metabolism: prevalence and outcomes. Orphanet J Rare Dis. 2024, 19, 204. [Google Scholar] [CrossRef] [PubMed]
- Thimm, E; Nuoffer, JM; Baumgartner, MR. Isovaleric acidemia: epidemiology, diagnosis and outcome in the era of newborn screening. J Rare Dis. 2025, 11(4), 92. [Google Scholar]
- Kuron, D; Höglund, P; Henter, JI; et al. Epidemiology of haemophagocytic lymphohistiocytosis at a national level. Br J Haematol. 2023, 201(3), 475–483. [Google Scholar] [CrossRef] [PubMed]
- Benevenuta, C; Colafati, GS; D’Argenio, P; et al. Secondary hemophagocytic lymphohistiocytosis in children: a literature review. Children (Basel) 2023, 10(8), 1341. [Google Scholar] [CrossRef] [PubMed]
- Wu, Y; Chen, Y; Wang, J; et al. Hemophagocytic lymphohistiocytosis: current treatment advances and emerging targeted therapies. Front Immunol. 2024, 15, 1387452. [Google Scholar]
- Gioia, C; Roncarolo, MG; Gattorno, M. Pathogenesis of hemophagocytic lymphohistiocytosis and macrophage activation syndrome. Int J Mol Sci. 2024, 25(11), 592. [Google Scholar] [CrossRef] [PubMed]
Disclaimer/Publisher’s Note: The statements, opinions and data contained in all publications are solely those of the individual author(s) and contributor(s) and not of MDPI and/or the editor(s). MDPI and/or the editor(s) disclaim responsibility for any injury to people or property resulting from any ideas, methods, instructions or products referred to in the content. |
© 2026 by the authors. Licensee MDPI, Basel, Switzerland. This article is an open access article distributed under the terms and conditions of the Creative Commons Attribution (CC BY) license (http://creativecommons.org/licenses/by/4.0/).








