Submitted:
08 January 2026
Posted:
09 January 2026
You are already at the latest version
Abstract
Keywords:
1. Introduction
- Heterogeneous Tissue Appearance: Tumor cells and surrounding tissues exhibit diverse morphological patterns, complicating accurate segmentation [3].
- Complex Microenvironments: The presence of multiple tissue types, such as stroma, necrosis, and inflammatory infiltrates, requires models to capture intricate spatial relationships [14].
- Staining and Imaging Variability: Variations in staining protocols (e.g., hematoxylin and eosin) and imaging conditions introduce noise that affects model robustness [15].
- Morphological Heterogeneity: Cancer cells exhibit vast variations in size, shape, and texture, both within a single image and across different patients and cancer grades [15].
- Multi-Scale Structures: diagnostically relevant features exist at multiple scales, from individual nuclei (micro-scale) to overall tumor architecture (macro-scale). A standard U-Net often struggles to capture this full spectrum of contextual information simultaneously, which can lead to inaccurate boundary delineation and the omission of small, disseminated tumor cells [16,19].
- We introduce and implement a bifurcated decoding mechanism that explicitly decouples boundary detection from region segmentation, leading to more precise and morphologically accurate results.
- The use of a Multi-Scale Feature Extraction Module in the encoder pathway employs parallel aurous convolution layers with different dilation rates to capture contextual information at varying scales, enabling the network to perceive both fine cellular details and broader tissue patterns concurrently.
- A Bifurcated Decoder Pathway separates the task of segmentation into two specialized streams: one focused on resolving the precise boundaries of objects and another dedicated to robust regional classification. This bifurcation allows the model to address the distinct challenges of contour accuracy and internal homogeneity separately, mitigating the common issue of blurred or imprecise edges in segmentation outputs.
- Implemented the MSB-U-Net, a novel segmentation architecture that integrates multi-scale context aggregation and a bifurcated decoder for enhanced performance in histopathology image analysis.
- We rigorously evaluate our proposed model on a public benchmark dataset of breast cancer histopathology images, demonstrating its superiority over state-of-the-art segmentation methods in terms of accuracy, Dice similarity coefficient, and boundary-aware metrics.
2. Related Works
2.1. U-Net Variants and Attention Mechanisms
2.2. U-Net and The Combination Approaches
2.3. Preprocessing and Computational Efficiency
2.4. Weakly Supervised and Self-Supervised Learning
2.5. Other Aspects Related to Segmentation: Classification, Normalization, Data Fusion, and the Integration of Multi-Modal Data
2.6. Gaps and Contributions
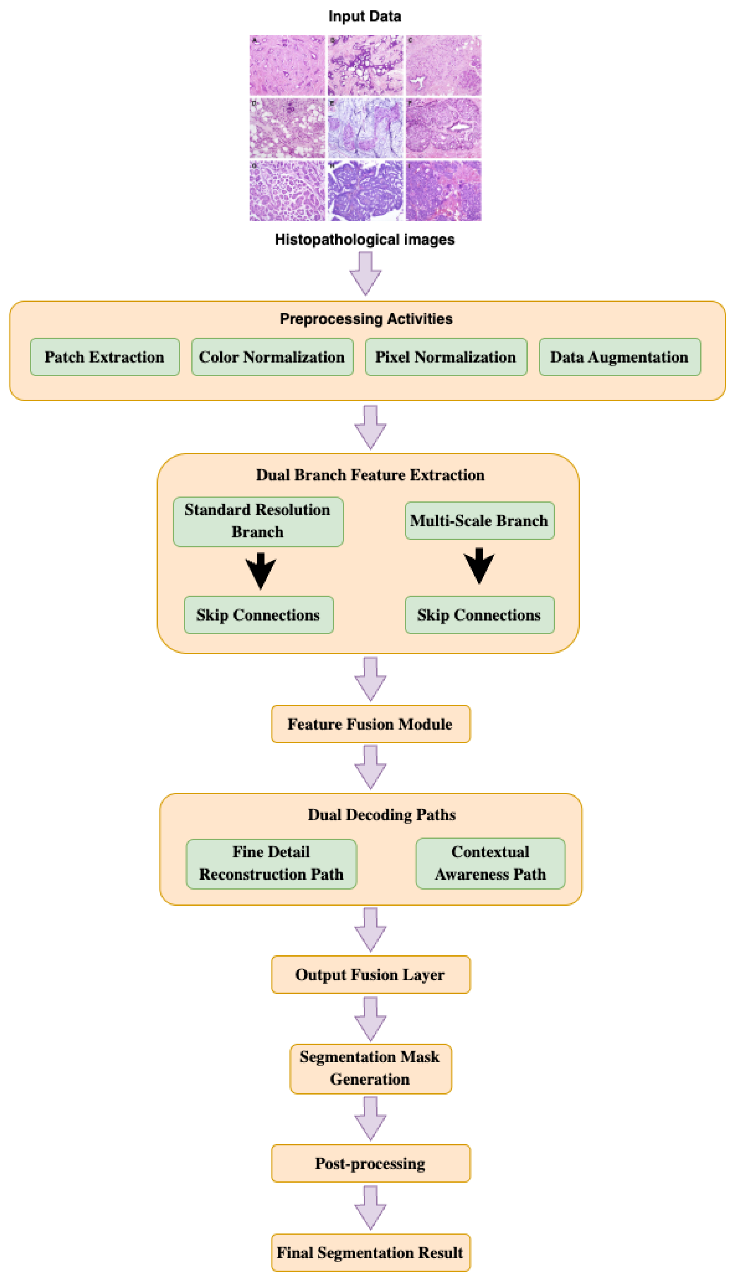
3. Research Methodology
3.1. Proposed Architecture
3.2. Dataset and Input Preprocessing
3.2.1. Dataset Description

3.2.2. Data Preprocessing and Loading Pipeline
- Parallel Processing: Patch extraction and normalization can be parallelized.
- Caching: Normalized patches can be cached for faster training iterations.
- Memory Management: Use generators for large WSI datasets.
- Quality Control: Implement patch quality filters (focus, artifacts, folding).
3.3. Dual Branch Feature Extraction
- Standard Resolution Branch: This branch processes the image at a fixed resolution, focusing on capturing fine-grained spatial details such as tumor boundaries, nuclear morphology, and glandular structures. These features are essential for identifying subtle histological patterns.
- Multi-Scale Branch: This branch uses dilated convolutions or image pyramid techniques to analyze the image at multiple scales. It is responsible for capturing broader contextual features, such as the relative positioning of tissues, tumor microenvironments, and spatial relationships between different structures.
3.4. Feature Fusion Module
3.5. Dual Decoding Paths
- Fine Detail Reconstruction Path: This decoder focuses on refining high-resolution details. It emphasizes clear boundaries, sharp edges, and accurate contouring of cellular structures. Transposed convolutions or upsampling blocks are typically used to progressively reconstruct the spatial dimensions of the feature map.
- Contextual Awareness Path: This decoder emphasizes maintaining semantic consistency across larger regions of the image. It uses coarser features to ensure that global context is not lost during upsampling, helping to disambiguate areas where texture may be similar but functional identity differs.
3.6. Output Fusion Layer
3.7. Segmentation Mask Generation
3.8. Post-Processing
- Morphological Operations: These include dilation, erosion, opening, and closing to smooth object boundaries, fill holes, and remove spurious pixels.
- Conditional Random Fields (CRF): CRFs can be used to enhance the spatial consistency of the segmentation mask by considering pixel-level dependencies and relationships.
3.9. Final Segmentation Result
4. Results and Discussion
4.1. Implementation Details
4.2. Evaluation Metrics
4.3. Quantitative Results
4.4. Qualitative Results
4.5. Training Dynamics
4.6. Computational Efficiency
4.7. Summary
5. Conclusion and Future Work
5.1 Conclusion
5.2. Future Work
Author Contributions
Funding
Institutional Review Board Statement
Informed Consent Statement
Data Availability Statement
Acknowledgments
Conflicts of Interest
References
- G. Aresta, T. Araújo, S. Kwok, S. S. Chennamsetty, M. Safwan, V. Alex, B. Marami, M. Prastawa, M. Chan, M. Donovan, G. Fernandez, J. Zeineh, M. Kohl, C. Walz, F. Ludwig, S. Braunewell, M. Baust, Q. D. Vu, M. N. N. To, E. Kim, J. T. Kwak, S. Galal, V. Sanchez-Freire, N. Brancati, M. Frucci, D. Riccio, Y. Wang, L. Sun, K. Ma, J. Fang, I. Kone, L. Boulmane, A. Campilho, C. Eloy, A. Polónia, and P. Aguiar, “BACH: Grand challenge on breast cancer histology images,” Medical Image Analysis, vol. 56, pp. 122-139, 2019/08/01/, 2019.
- W. R. Drioua, N. Benamrane, and L. Sais, “Breast Cancer Histopathological Images Segmentation Using Deep Learning,” Sensors (Basel), vol. 23, no. 17, Aug 22, 2023.
- C. V. L. Priya, G. B. V, R. V. B, and S. Ramachandran, “Deep learning approaches for breast cancer detection in histopathology images: A review,” Cancer Biomark, vol. 40, no. 1, pp. 1-25, 2024.
- Kaur, A.; Kaushal, C.; Sandhu, J. K.; Damaševičius, R.; Thakur, N. “Histopathological Image Diagnosis for Breast Cancer Diagnosis Based on Deep Mutual Learning,” Diagnostics, vol. 14, no. 1, pp. 95, 2024.
- Chanchal, K.; Lal, S.; Kini, J. “High-resolution deep transferred ASPPU-Net for nuclei segmentation of histopathology images,” Int J Comput Assist Radiol Surg, vol. 16, no. 12, pp. 2159-2175, Dec, 2021.
- Abhisheka, *!!! REPLACE !!!*; Biswas, S. K.; Purkayastha, B. “A Comprehensive Review on Breast Cancer Detection, Classification and Segmentation Using Deep Learning,” Archives of Computational Methods in Engineering, vol. 30, no. 8, pp. 5023-5052, 2023/11/01, 2023.
- Yuan, Y.; Cheng, Y. “Medical image segmentation with UNet-based multi-scale context fusion,” Scientific Reports, vol. 14, no. 1, pp. 15687, 2024/10/28, 2024.
- Islam, M. R.; Rahman, M. M.; Ali, M. S.; Nafi, A. A. N.; Alam, M. S.; Godder, T. K.; Miah, M. S.; Islam, M. K. “Enhancing breast cancer segmentation and classification: An Ensemble Deep Convolutional Neural Network and U-net approach on ultrasound images,” Machine Learning with Applications, vol. 16, pp. 100555, 2024/06/01/, 2024.
- Chen, J.; Lu, Y.; Yu, Q.; Luo, X.; Adeli, E.; Wang, Y.; Lu, L.; Yuille, A. L.; Zhou, Y. "TransUNet: Transformers Make Strong Encoders for Medical Image Segmentation," Computer Vision and Pattern Recognition, 2021].
- Voon, W.; Hum, Y. C.; Tee, Y. K.; Yap, W.-S.; Nisar, H.; Mokayed, H.; Gupta, N.; Lai, K. W. “Evaluating the effectiveness of stain normalization techniques in automated grading of invasive ductal carcinoma histopathological images,” Scientific Reports, vol. 13, no. 1, pp. 20518, 2023/11/22, 2023.
- Ibrokhimov, J.-Y.; Kang, *!!! REPLACE !!!*. “Two-Stage Deep Learning Method for Breast Cancer Detection Using High-Resolution Mammogram Images,” Applied Sciences, vol. 12, no. 9, pp. 4616, 2022.
- Hameed, Z.; Garcia-Zapirain, B.; Aguirre, J. J.; Isaza-Ruget, M. A. Multiclass classification of breast cancer histopathology images using multilevel features of deep convolutional neural network. Scientific Reports 2022/09/16, 2022, vol. 12(no. 1), pp. 15600. [Google Scholar] [CrossRef]
- Krithiga, R.; Geetha, P. Breast Cancer Detection, Segmentation and Classification on Histopathology Images Analysis: A Systematic Review. Archives of Computational Methods in Engineering 2021/06/01, 2021, vol. 28(no. 4), 2607–2619. [Google Scholar] [CrossRef]
- Han; Lin, J.; Mai, J.; Wang, Y.; Zhang, Q.; Zhao, B.; Chen, X.; Pan, X.; Shi, Z.; Xu, Z.; Yao, S.; Yan, L.; Lin, H.; Huang, X.; Liang, C.; Han, G.; Liu, Z. Multi-layer pseudo-supervision for histopathology tissue semantic segmentation using patch-level classification labels. Medical Image Analysis 2022/08/01/, 2022, vol. 80, pp. 102487. [Google Scholar] [CrossRef] [PubMed]
- Juhong, A.; Li, B.; Yao, C. Y.; Yang, C. W.; Agnew, D. W.; Lei, Y. L.; Huang, X.; Piyawattanametha, W.; Qiu, Z. Super-resolution and segmentation deep learning for breast cancer histopathology image analysis. Biomed Opt Express 2023, vol. 14(no. 1), 18–36. [Google Scholar] [CrossRef]
- Pan, P.; Zhang, C.; Sun, J.; Guo, L. Multi-scale conv-attention U-Net for medical image segmentation. Scientific Reports 2025, vol. 15(no. 1), pp. 12041 2025. [Google Scholar] [CrossRef] [PubMed]
- Cheng; Deng, J.; Xiao, J.; Yanyan, M.; Kang, J.; Gai, J.; Zhang, B.; Zhao, F. Attention based multi-scale nested network for biomedical image segmentation. Heliyon 2024, vol. 10(no. 14), pp. e33892, 2024/07/30/. [Google Scholar] [CrossRef] [PubMed]
- Roshan, S.; Tanha, J.; Zarrin, M.; Babaei, A. F.; Nikkhah, H.; Jafari, Z. A deep ensemble medical image segmentation with novel sampling method and loss function. Computers in Biology and Medicine 2024/04/01/, 2024, vol. 172, pp. 108305. [Google Scholar] [CrossRef]
- Pan, X.; Zhang, H.; Deng, H.; Wang, H.; Li, L.; Liu, Z.; Wang, L.; An, Y.; Lu, C.; Liu, Z.; Han, C.; Lan, R. Weakly supervised histopathology tissue semantic segmentation with multi-scale voting and online noise suppression. Engineering Applications of Artificial Intelligence 2025/09/15/, 2025, vol. 156, pp. 111100. [Google Scholar] [CrossRef]
- Aghababaie, Z.; Jamart, K.; Chan, C. H. A.; Amirapu, S.; Cheng, L. K.; Paskaranandavadivel, N.; Avci, R.; Angeli, T. R. A V-Net Based Deep Learning Model for Segmentation and Classification of Histological Images of Gastric Ablation; pp. 1436–1439.
- Lagree, A.; Mohebpour, M.; Meti, N.; Saednia, K.; Lu, F.-I.; Slodkowska, E.; Gandhi, S.; Rakovitch, E.; Shenfield, A.; Sadeghi-Naini, A.; Tran, W. T. A review and comparison of breast tumor cell nuclei segmentation performances using deep convolutional neural networks. Scientific Reports 2021, vol. 11(no. 1), pp. 8025, 2021/04/13. [Google Scholar] [CrossRef]
- Sulaiman; Anand, V.; Gupta, S.; Rajab, A.; Alshahrani, H.; Al Reshan, M. S.; Shaikh, A.; Hamdi, M. Attention based UNet model for breast cancer segmentation using BUSI dataset. Scientific Reports 2024, vol. 14(no. 1), pp. 22422, 2024/09/28. [Google Scholar] [CrossRef]
- Li; Ma, J.; Wen, T.; Tian, Z.; Liang, H.-N. HI-Net: A novel histopathologic image segmentation model for metastatic breast cancer via lightweight dataset construction. Heliyon 2024, vol. 10(no. 19), pp. e38410, 2024/10/15/. [Google Scholar] [CrossRef]
- Ciga, O.; Xu, T.; Martel, A. L. Self supervised contrastive learning for digital histopathology. Machine Learning with Applications 2022/03/15/, 2022, vol. 7, pp. 100198. [Google Scholar] [CrossRef]
- Zhang, M.; Dong, B.; Li, Q. Deep Active Contour Network for Medical Image Segmentation. Medical Image Computing and Computer Assisted Intervention – MICCAI 2020: 23rd International Conference Proceedings, Part IV, Lima, Peru; Lima, Peru, October 4–8, 2020; 2020; pp. 321–331. [Google Scholar]
- Allapakam, V.; Karuna, Y. An ensemble deep learning model for medical image fusion with Siamese neural networks and VGG-19. PLOS ONE 2024, vol. 19(no. 10), pp. e0309651. [Google Scholar] [CrossRef]
- Boumaraf, S.; Liu, X.; Zheng, Z.; Ma, X.; Ferkous, C. A new transfer learning based approach to magnification dependent and independent classification of breast cancer in histopathological images. Biomedical Signal Processing and Control 2021/01/01/, 2021, vol. 63, pp. 102192. [Google Scholar] [CrossRef]
- Khalil, M.-A.; Lee, Y.-C.; Lien, H.-C.; Jeng, Y.-M.; Wang, C.-W. Fast Segmentation of Metastatic Foci in H&E Whole-Slide Images for Breast Cancer Diagnosis. Diagnostics 2022, vol. 12(no. 4), pp. 990. [Google Scholar]
- Roth; Zhang, L.; Yang, D.; Milletari, F.; Xu, Z.; Wang, X.; Xu, D. Weakly Supervised Segmentation from Extreme Points," Large-Scale Annotation of Biomedical Data and Expert Label Synthesis and Hardware Aware Learning for Medical Imaging and Computer Assisted Intervention.; pp. 42–50.
- Xu; Sun, Y.; Zhang, Y.; Liu, T.; Wang, X.; Hu, D.; Huang, S.; Li, J.; Zhang, F.; Li, G. Stain Normalization of Histopathological Images Based on Deep Learning: A Review. Diagnostics vol. 15(no. 8), pp. 1032, 2025. [CrossRef] [PubMed]
- Chikkala, R. B.; Anuradha, C.; Murty, P. S. R. C.; Rajeswari, S.; Rajeswaran, N.; Murugappan, M.; Chowdhury, M. E. H. Enhancing Breast Cancer Diagnosis With Bidirectional Recurrent Neural Networks: A Novel Approach for Histopathological Image Multi-Classification. IEEE Access 2025, vol. 13, 41682–41707. [Google Scholar] [CrossRef]
- Song, Y.; Roy, M.; Zhong, M.; Chen, L.; Lin, M.; Zhang, R. Multimodal Data Fusion for Whole-Slide Histopathology Image Classification. Journal of Healthcare Informatics Research 2025, vol. 9(no. 4), 513–532 2025. [Google Scholar] [CrossRef]
- Ben Rabah; Sattar, A.; Ibrahim, A.; Serag, A. A Multimodal Deep Learning Model for the Classification of Breast Cancer Subtypes. Diagnostics vol. 15(no. 8), pp. 995, 2025. [CrossRef]
- Amgad, M.; Elfandy, H.; Hussein, H.; Atteya, L. A.; Elsebaie, M. A. T.; Abo Elnasr, L. S.; Sakr, R. A.; Salem, H. S. E.; Ismail, A. F.; Saad, A. M.; Ahmed, J.; Elsebaie, M. A. T.; Rahman, M.; Ruhban, I. A.; Elgazar, N. M.; Alagha, Y.; Osman, M. H.; Alhusseiny, A. M.; Khalaf, M. M.; Younes, A.-A. F.; Abdulkarim, A.; Younes, D. M.; Gadallah, A. M.; Elkashash, A. M.; Fala, S. Y.; Zaki, B. M.; Beezley, J.; Chittajallu, D. R.; Manthey, D.; Gutman, D. A.; Cooper, L. A. D. Structured crowdsourcing enables convolutional segmentation of histology images. Bioinformatics 2019, vol. 35(no. 18), 3461–3467. [Google Scholar] [CrossRef]






| Model | mIoU (%) | DSC (%) |
| HistoSegNet | 47.63 | 66.41 |
| SC-CAM | 66.37 | 83.42 |
| OAA | 66.46 | 82.55 |
| Grad-CAM+ | 56.73 | 76.53 |
| CG-NET | 59.76 | 77.62 |
| Multi-Layer Pesudo Supervision | 68.9 | 81.2 |
| MSB-UNet | 84.4 | 91.3 |
Disclaimer/Publisher’s Note: The statements, opinions and data contained in all publications are solely those of the individual author(s) and contributor(s) and not of MDPI and/or the editor(s). MDPI and/or the editor(s) disclaim responsibility for any injury to people or property resulting from any ideas, methods, instructions or products referred to in the content. |
© 2026 by the authors. Licensee MDPI, Basel, Switzerland. This article is an open access article distributed under the terms and conditions of the Creative Commons Attribution (CC BY) license (http://creativecommons.org/licenses/by/4.0/).
