Submitted:
05 January 2026
Posted:
06 January 2026
You are already at the latest version
Abstract
Keywords:
1. Introduction


2. Materials and Methods
2.1. Ethical Considerations
2.2. Study Design and Sample Selection

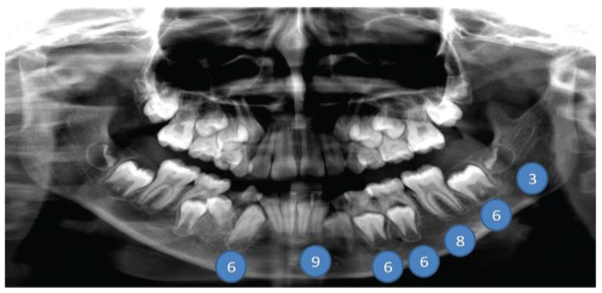
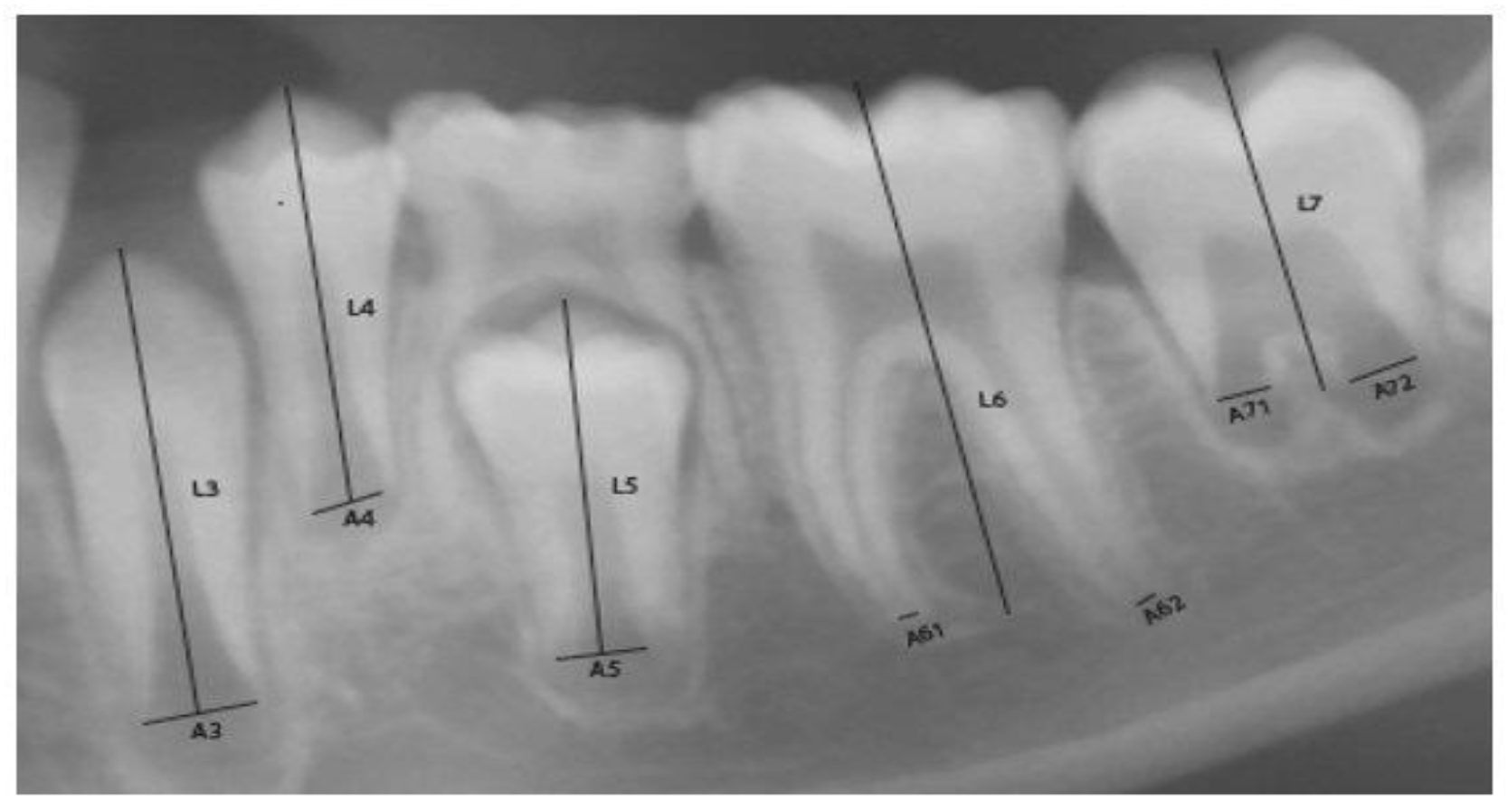
2.3. Dental Age Assessment

2.4. Statistical Analysis
3. Results
3.1. Sexual Dimorphism in Dental Development
3.2. Dental Age Versus Chronological Age

3.3. Demirjian Scores and Group Comparisons
![]() |
![]() |


4. Discussion
5. Conclusions
Supplementary Materials
Author Contributions
Funding
Institutional Review Board Statement
Informed Consent Statement
Data Availability Statement
Conflicts of Interest
References
- Moga, L.I.; Moca, A.E.; Iurcov, R.; Slăvescu, D.; Vaida, L.L. Evaluating the Nolla Method for Dental Age Estimation in Children from Northwestern Romania. Children 2025, 12, 69. [Google Scholar] [CrossRef]
- Lyros, I.; Vastardis, H.; Tsolakis, I.A.; Kotantoula, G.; Lykogeorgos, T.; Tsolakis, A.I. Growth Prediction in Orthodontics: ASystematic Review of Past Methods up to Artificial Intelligence. Children 2025, 12, 1023. [Google Scholar] [CrossRef] [PubMed]
- Jeong, J.U. Aging Unequally: Functional Age Disparities Between Developmental and Non-Developmental Disabilities. Healthcare 2025, 13, 2412. [Google Scholar] [CrossRef] [PubMed]
- Domaradzki, J.; Alvarez, C.; Szafraniec, R.; Koźlenia, D. Biological maturation determines the beneficial effects of high-intensity functional training on cardiorespiratory fitness in male adolescents. PeerJ 2025, 13, e19756. [Google Scholar] [CrossRef]
- Roche, A.F.; Garn, S.M.; Reynolds, E.L.; Robinow, M.; Sontag, L.W. The first seriatim study of human growth and middle aging. Am. J. Phys. Anthropol. 1981, 54, 23–24. [Google Scholar] [CrossRef] [PubMed]
- Miller, B.S.; Sarafoglou, K.; Addo, O.Y. Development of Tanner stage–age adjusted CDC height curves for research and clinical applications. J. Endocr. Soc. 2020, 4, bvaa098. [Google Scholar] [CrossRef]
- Hägg, U.; Taranger, J. Maturation indicators and the pubertal growth spurt. Am. J. Orthod. 1982, 82, 299–309. [Google Scholar] [CrossRef]
- Adarsh, K.; Goyal, J.D.; Kaur, G.P.; Neeharika, T.; Samal, S.; Datla, P.K.V.; Ravuri, P. Longitudinal study on the impact of orthodontic treatment timing on skeletal and dental development in adolescents. J. Pharm. Bioallied Sci. 2025, 17, S460–S462. [Google Scholar] [CrossRef]
- Salehizeinabadi, M.; Ameli, N.; Kouchehbaghi, K.; Arastoo, S.; Neghab, S.; Kornerup, I.M.; Pacheco-Pereira, C. Dental age prediction from panoramic radiographs using machine learning techniques. PLOS Digit. Health 2025, 4, e0001077. [Google Scholar] [CrossRef]
- Vieira, I.; Pereira, M.L.; Caldas, I.M. The applicability of the Demirjian and Willems standards to age estimation of 6–9-year-old Portuguese children. Humans 2025, 5, 6. [Google Scholar] [CrossRef]
- Rebouças, P.R.M.; Alencar, C.R.B.; Arruda, M.J.A.L.L.A.; Lacerda, R.H.W.; Melo, D.P.; Bernardino, Í.M.; Bento, P.M. Identification of dental calcification stages as a predictor of skeletal development phase. Dent. Press J. Orthod. 2021, 26, e2119292. [Google Scholar] [CrossRef]
- Altan, H.; Sönmezgöz, E.; Belevcikli, M.; Altunok Ünlü, N.; Gül, A.; Demiray, M.D.; Altan, A. Dental Age Estimation by Demirjian, Willems, and Cameriere Methods in Children with Familial Mediterranean Fever: A Case–Control Study. Children 2025, 12, 1458. [Google Scholar] [CrossRef]
- Han, S.-Y.; Chang, C.-L.; Wang, Y.-L.; Wang, C.-S.; Lee, W.-J.; Vo, T.T.T.; Chen, Y.-L.; Cheng, C.-Y.; Lee, I.-T. A Narrative Review on Advancing Pediatric Oral Health: Comprehensive Strategies for the Prevention and Management of Dental Challenges in Children. Children 2025, 12, 286. [Google Scholar] [CrossRef] [PubMed]
- Tavares, B.S.; Bittencourt, J.M.; Ramos-Jorge, J.; Paiva, S.M.; Lopes-Silva, J.; Bendo, C.B. Path Model of Risk Factors for Age at Primary Tooth Eruption: A Cohort Study of Preterm and Term Infants. Int. J. Environ. Res. Public Health 2025, 22, 1837. [Google Scholar] [CrossRef]
- Saygili, S.; Tasyapan, S.A.; Cameriere, R.; Cakir Karabas, H.; Koruyucu, M.; Kasimoglu, Y. Dental age estimation in children and adolescents with amelogenesis imperfecta. BMC Oral Health 2025, 25, 1562. [Google Scholar] [CrossRef]
- Kim, N.-H.; Lee, J.-H.; Lee, S.; Choi, Y.J.; Chung, C.J.; Lee, K.-J.; Kim, K.-H. Growth velocity and the pubertal growth spurt across skeletal maturity stages in class II malocclusion: A longitudinal analysis. Children 2025, 12, 1612. [Google Scholar] [CrossRef]
- Badrov, J.; Lauc, T.; Nakaš, E.; Galić, I. Dental age and tooth development in orthodontic patients with agenesis of permanent teeth. Biomed. Res. Int. 2017, 2017, 8683970. [Google Scholar] [CrossRef] [PubMed]
- Teodorescu, I.M.; Preoteasa, E.; Preoteasa, C.T.; Murariu-Măgureanu, C.; Teodorescu, C. Association of Systemic Pathologies on Dental, Periodontal and Orthodontic Status in Children. Biomedicines 2025, 13, 2137. [Google Scholar] [CrossRef]
- Partyka, M.; Chałas, R.; Dunin- Wilczyńska, I.; Drohomyretska, M.; Klatka, M. Influence of growth hormone therapy on selected dental and skeletal system parameters. Ann Agric Environ Med 2018, 25, 60–65. [Google Scholar] [CrossRef] [PubMed]
- Tabakcilar, D.; Bundak, R.; Gencay, K. Dental age in precocious and delayed puberty periods. Eur. J. Dent. 2021, 15, 539–545. [Google Scholar] [CrossRef]
- Espinoza-Silva, P.V.; López-Lázaro, S.; Fonseca, G.M. Forensic odontology and dental age estimation research: a scoping review a decade after the NAS report on strengthening forensic science. Forensic Sci Med Pathol 2023, 19, 224–235. [Google Scholar] [CrossRef]
- Bjelopavlovic, M.; Zeigner, A.-K.; Hardt, J.; Petrowski, K. Forensic Dental Age Estimation: Development of New Algorithm Based on the Minimal Necessary Databases. J. Pers. Med. 2022, 12, 1280. [Google Scholar] [CrossRef]
- Rathmann, H.; Reyes-Centeno, H.; Ghirotto, S.; et al. Reconstructing human population history from dental phenotypes. Sci Rep 2017, 7, 12495. [Google Scholar] [CrossRef]
- Velsko, I.M.; Fagernäs, Z.; Tromp, M.; et al. Exploring the potential of dental calculus to shed light on past human migrations in Oceania. Nat Commun 2024, 15, 10191. [Google Scholar] [CrossRef]
- Ubelaker, D.H.; Khosrowshahi, H. Estimation of age in forensic anthropology: Historical perspective and recent methodological advances. Forensic Sci. Res. 2019, 4, 1–9. [Google Scholar] [CrossRef]
- Griffith, J.I.; James, H.F.; Ordoño, J.; Fernández-Crespo, T.; Gerritzen, C.T.; Cheung, C.; Spros, R.; Claeys, P.; Goderis, S.; Veselka, B.; Snoeck, C. Reconstructing prehistoric lifeways using multi-isotope analyses of human enamel, dentine, and bone from Legaire Sur, Spain. PLoS ONE 2025, 20, e0316387. [Google Scholar] [CrossRef]
- Roulias, P.; Kalantzis, N.; Doukaki, D.; Pachiou, A.; Karamesinis, K.; Damanakis, G.; Gizani, S.; Tsolakis, A.I. Teeth Eruption Disorders: A Critical Review. Children 2022, 9, 771. [Google Scholar] [CrossRef]
- Yamaguchi, T.; Hosomichi, K.; Shirota, T.; Miyamoto, Y.; Ono, W.; Ono, N. Primary failure of tooth eruption: Etiology and management. Jpn. Dent. Sci. Rev. 2022, 58, 258–267. [Google Scholar] [CrossRef]
- Panchbhai, A.S. Dental radiographic indicators, a key to age estimation. Dentomaxillofac. Radiol. 2011, 40, 199–212. [Google Scholar] [CrossRef]
- Ratson, T.; Dagon, N.; Aderet, N.; Dolev, E.; Laviv, A.; Davidovitch, M.; Blumer, S. Assessing Children’s Dental Age with Panoramic Radiographs. Children 2022, 9, 1877. [Google Scholar] [CrossRef]
- Hostiuc, S.; Diaconescu, I.; Rusu, M.C.; Negoi, I. Age Estimation Using the Cameriere Methods of Open Apices: A Meta-Analysis. Healthcare 2021, 9, 237. [Google Scholar] [CrossRef]
- Birant, S.; Şirinoğlu Çapan, B. Dental age estimation using Willems methods in children. Int. Dent. J. 2024, 74, S151. [Google Scholar] [CrossRef]
- Carelli, J.; da Silva, G.S.; Gomes, M.V.; Vilalba, T.; Baratto-Filho, F.; Armando Brancher, J.; Beisel-Memmert, S.; Kirschneck, C.; Lopes, C.M.C.d.F.; Moro, A.; et al. Demirjian’s and Cameriere’s Methods for the Assessment of Dental Age Estimation in Children from a Southern Brazilian City. Diagnostics 2024, 14, 1513. [Google Scholar] [CrossRef]
- De Donno, A.; Angrisani, C.; Mele, F.; Introna, F.; Santoro, V. Dental age estimation: Demirjian’s versus the other methods in different populations. A literature review. Med. Sci. Law 2021, 61, 125–129. [Google Scholar] [CrossRef]
- Švábová, P.; Soták, M.; Galis, B.; Kroupová, P.; Bundová, L.; Vojtušová, A.; Masnicová, S.; Beňuš, R. Dental Age Assessment Based on Developmental Stages and Maturity Index of Third Molars for Medico-Legal Purposes. Diagnostics 2024, 14, 1559. [Google Scholar] [CrossRef]
- Tomás, L.F.; Mónico, L.S.; Tomás, I.; et al. The accuracy of estimating chronological age from Demirjian and Nolla methods in a Portuguese and Spanish sample. BMC Oral Health 2014, 14, 160. [Google Scholar] [CrossRef]
- Merdietio Boedi, R.; Angelakopoulos, N.; Franco, A.; et al. Evaluation of Demirjian staging method reproducibility and reliability for dental age estimation between eight forensic experts. Int. J. Legal Med. 2025, 139, 2883–2890. [Google Scholar] [CrossRef]
- Paddenberg, E.; Dees, A.; Proff, P.; Kirschneck, C. Individual dental and skeletal age assessment according to Demirjian and Baccetti: Updated norm values for Central-European patients. J. Orofac. Orthop. 2024, 85, 199–212. [Google Scholar] [CrossRef]
- Ferrillo, M; Migliario, M; Curci, C; Renò, F; Giudice, A; De Sire, A. Skeletal maturation evaluation: which is the reliability of dental calcification Demirjian method versus hand-wrist X-ray in growing subjects? A systematic review. Acta Odontol Scand. Published. 2024, 83, 230–237. [Google Scholar] [CrossRef]
- Demirjian, A.; Goldstein, H.; Tanner, J.M. A new system of dental age assessment. Hum. Biol. 1973, 45, 211–227. Available online: https://pubmed.ncbi.nlm.nih.gov/4714564/.
- Taylor, S.; Miller, C.; Daley, J.O. Oral health considerations for patients with systemic disease. In StatPearls; StatPearls Publishing: Treasure Island, FL, USA, 2025; Available online: https://www.ncbi.nlm.nih.gov/books/NBK617063/.
- Oluwagbemigun, K.; Dietrich, T.; Pischon, N.; Bergmann, M.; Boeing, H. Association between number of teeth and chronic systemic diseases: A cohort study followed for 13 years. PLoS ONE 2015, 10, e0123879. [Google Scholar] [CrossRef]
- Özdemir Çelik, D.S.; Belevcikli, M. Evaluation of dental ages of children with type I diabetes using different dental age estimation methods: a retrospective cohort study. Sci Rep 2015, 44461. [Google Scholar] [CrossRef]
- El-Bialy, T.; Aboul-Azm, S.F.; El-Sakhawy, M. Study of craniofacial morphology and skeletal maturation in juvenile diabetics (Type I). Am. J. Orthod. Dentofacial Orthop. 2000, 118, 189–195. [Google Scholar] [CrossRef]
- Lal, S.; Cheng, B.; Kaplan, S.; et al. Accelerated tooth eruption in children with diabetes mellitus. Pediatrics 2008, 121, e1139–e1143. [Google Scholar] [CrossRef]
- Alexa, I.; Dumitrescu, R.; Chioran, D.; Balean, O.; Bolchis, V.; Sava-Rosianu, R.; Popescu, S.; Galuscan, A.; Jumanca, D. Determinants of Oral Health Outcomes and Quality of Life in Diabetic Patients from Western Romania: A Behavioral Model Approach. Dent. J. 2025, 13, 247. [Google Scholar] [CrossRef]
- Solomon, O.; Beuran, I.A.; Constantin, I.; Leata, R.; Grosu, R.M.; Petrea, M.; Calin, A.; Earar, K. The influence of diabetes in pediatric dentistry. Rom. J. Oral Rehabil. 2024, 169(4), 936–945. [Google Scholar] [CrossRef]
- Grgic, O.; Prijatelj, V.; Dudakovic, A.; Vucic, S.; Dhamo, B.; Trajanoska, K.; Monnereau, C.; Zrimsek, M.; Gautvik, K.M.; Reppe, S.; Shimizu, E.; Haworth, S.; Timpson, N.J.; Jaddoe, V.W.V.; Jarvelin, M.-R.; Evans, D.; Uitterlinden, A.G.; Ongkosuwito, E.M.; van Wijnen, A.J.; Medina-Gomez, C.; Rivadeneira, F.; Wolvius, E.B. Novel genetic determinants of dental maturation in children. J. Dent. Res. 2023, 102, 349–356. [Google Scholar] [CrossRef]
- Ghergie, M.; Ciobotaru, C.D.; Pop, R.; Colceriu-Șimon, I.; Bunta, O.; Pastrav, M.; Feștilă, D. Correlation Between Dental Age, Chronological Age, and Cervical Vertebral Maturation in Patients with Class II Malocclusion: A Retrospective Study in a Romanian Population Group. Children 2025, 12, 398. [Google Scholar] [CrossRef]
- Palanisamy, V.; Rao, A.; Shenoy, R.; Baranya, S.S. Correlation of dental age, skeletal age, and chronological age among children aged 9-14 years: A retrospective study. J Indian Soc Pedod Prev Dent 2016, 34(4), 310–314. [Google Scholar] [CrossRef]
- Kumar, V.; Venkataraghavan, K.; Krishnan, R.; Patil, K.; Munoli, K.; Karthik, S. The relationship between dental age, bone age and chronological age in underweight children. J. Pharm. Bioallied Sci. 2013, 5, S73–S79. [Google Scholar] [CrossRef]
- Demirjian, A.; Buschang, P.H.; Tanguay, R.; Patterson, D.K. Interrelationships among measures of somatic, skeletal, dental, and sexual maturity. Am. J. Orthod. 1985, 88, 433–438. [Google Scholar] [CrossRef]
- Bedia, A.S.; Bedia, S.V.; Mulla, S.A.; Patil, A. Comparative evaluation of dental age vs. chronological age in healthy and underweight children aged 8–16 years: A cross-sectional study. Cureus 2025, 17, e79619. [Google Scholar] [CrossRef]
- Kanbur, N.O.; Kanli, A.; Derman, O.; Eifan, A.; Ataç, A. The relationships between dental age, chronological age and bone age in Turkish adolescents with constitutional delay of growth. J. Pediatr. Endocrinol. Metab. 2006, 19, 979–985. [Google Scholar] [CrossRef]
- Engström, C.; Engström, H.; Sagne, S. Lower third molar development in relation to skeletal maturity and chronological age. Angle Orthod. 1983, 53, 97–106. [Google Scholar] [CrossRef]
- Sierra, A.M. Assessment of dental and skeletal maturity: A new approach. Angle Orthod. 1987, 57, 194–208. [Google Scholar] [CrossRef]
- Vallejo-Bolaños, E.; España-López, A.J.; Muñoz-Hoyos, A.; Fernandez-Garcia, J.M. The relationship between bone age, chronological age and dental age in children with isolated growth hormone deficiency. Int. J. Paediatr. Dent. 1999, 9, 201–206. [Google Scholar] [CrossRef]
- Saraç, F.; Baydemir Kılınç, B.; Çelikel, P.; Büyüksefil, M.; Yazıcı, M.B.; Şimşek Derelioğlu, S. Correlations between Dental Age, Skeletal Age, and Mandibular Morphologic Index Changes in Turkish Children in Eastern Anatolia and Their Chronological Age during the Pubertal Growth Spurt Period: A Cross-Sectional Study. Diagnostics 2024, 14, 887. [Google Scholar] [CrossRef] [PubMed]
- Krailassiri, S.; Anuwongnukroh, N.; Dechkunakorn, S. Relationships between dental calcification stages and skeletal maturity indicators in Thai individuals. Angle Orthod 2002, 72, 155–166. [Google Scholar] [CrossRef]
- Harano, T.; Asahara, M. Evolution of tooth morphological complexity and its association with the position of tooth eruption in the jaw in non-mammalian synapsids. PeerJ 2024, 12, e17784. [Google Scholar] [CrossRef] [PubMed]
- Levesque, G.Y.; Demirjian, A. The inter-examiner variation in rating dental formation from radiographs. J Dent Res. 1980, 59, 1123–1126. [Google Scholar] [CrossRef]
Disclaimer/Publisher’s Note: The statements, opinions and data contained in all publications are solely those of the individual author(s) and contributor(s) and not of MDPI and/or the editor(s). MDPI and/or the editor(s) disclaim responsibility for any injury to people or property resulting from any ideas, methods, instructions or products referred to in the content. |
© 2026 by the authors. Licensee MDPI, Basel, Switzerland. This article is an open access article distributed under the terms and conditions of the Creative Commons Attribution (CC BY) license (http://creativecommons.org/licenses/by/4.0/).


