Submitted:
22 December 2025
Posted:
22 December 2025
You are already at the latest version
Abstract
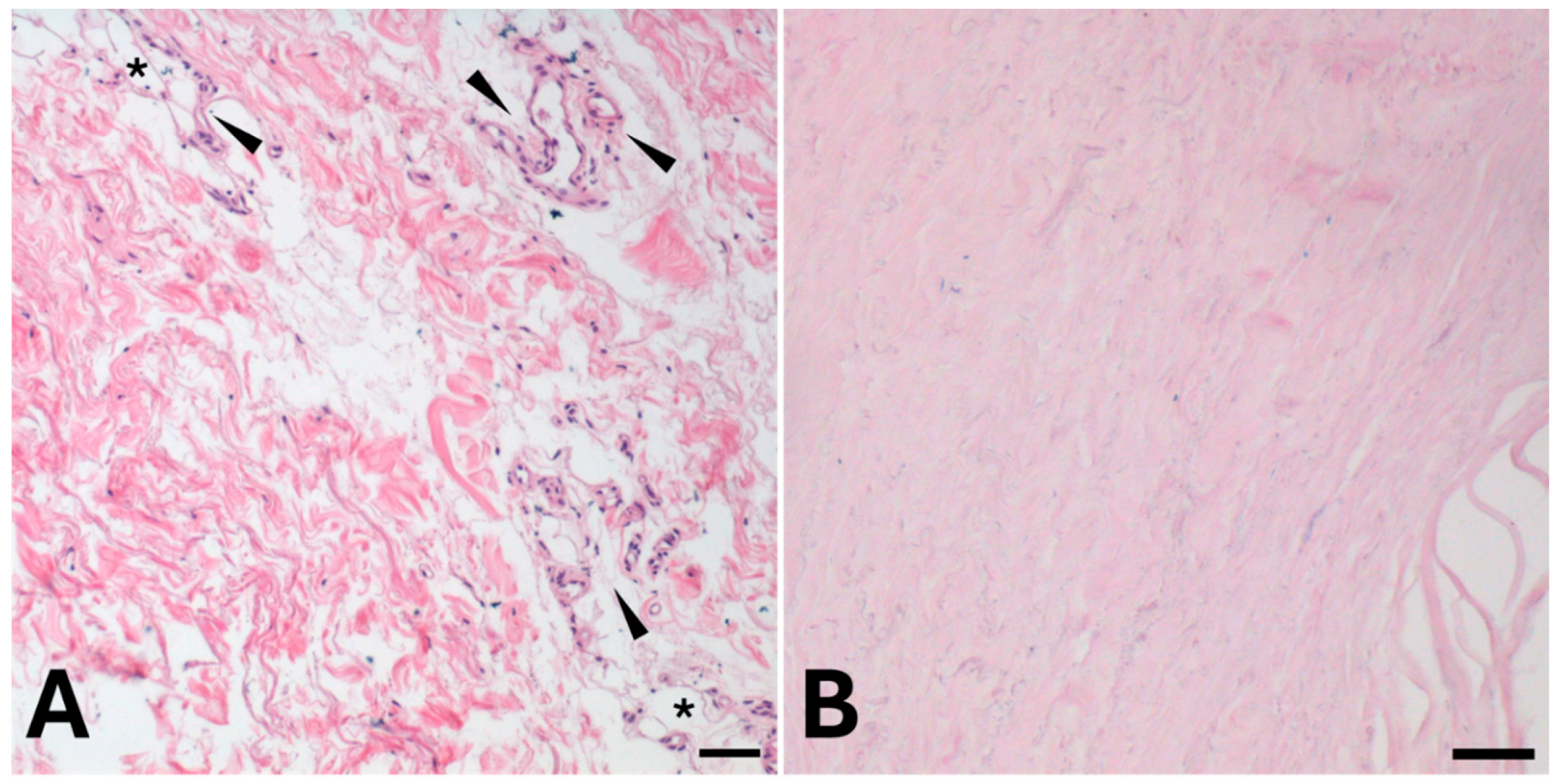
Fascia has traditionally been described as a passive connective tissue mainly composed of Collagen types I and III. Recent research, however, has revealed its structural and functional complexity, suggesting the possible presence of additional collagen types. This study aimed to quantify the presence and distribution of Collagen types I, III, VI, and XII in human superficial and deep fascia to improve understanding of fascial extracellular matrix composition. Superficial and deep fascia samples were collected from 19 adult patients (ages 20–83 years; thigh and lower back). Histology, Azan Mallory staining, hydroxyproline quantification, Western blotting, and immunohistochemistry were performed. Results indicated that deep fascia contained significantly more total collagen than superficial fascia (0.55 ± 0.17 µg/mg vs. 0.36 ± 0.14 µg/mg, p<0.01). Collagen type VI was the most abundant and diffusely distributed subtype in both superficial and deep fascia (mean ratio equal to 0.24 ± 0.13 and 0.27 ± 0.10, respectively), nearly double that of Collagen types I (0.12 ± 0.07 and 0.11 ± 0.08), III (0.13 ± 0.09 and 0.17 ± 0.11), and XII (0.13 ± 0.11 and 0.13 ± 0.04). Moreover, statistically significant anatomical differences were observed, although individual variability remained considerable. Fasciae from the thigh showed higher levels of Collagen types I and III (mean ratio of 0.17 and 0.27, respectively, in deep fascia; 0.14 for both types in superficial fascia), whereas fasciae of the low back region exhibited greater levels of Collagen types VI and XII (ratio equal to 0.33 and 0.15, respectively, in deep fascia; 0.36 and 0.20 in superficial fascia). Overall, these findings highlighted the structural complexity and regional specialization of human fasciae, with potential functional implications for mechanotransduction and tissue adaptation.
