Preprint
Article

This version is not peer-reviewed.

Radiofrequency Ablation for Recurrent Pleural Mesothelioma

Submitted:

05 December 2025

Posted:

08 December 2025

You are already at the latest version

Abstract
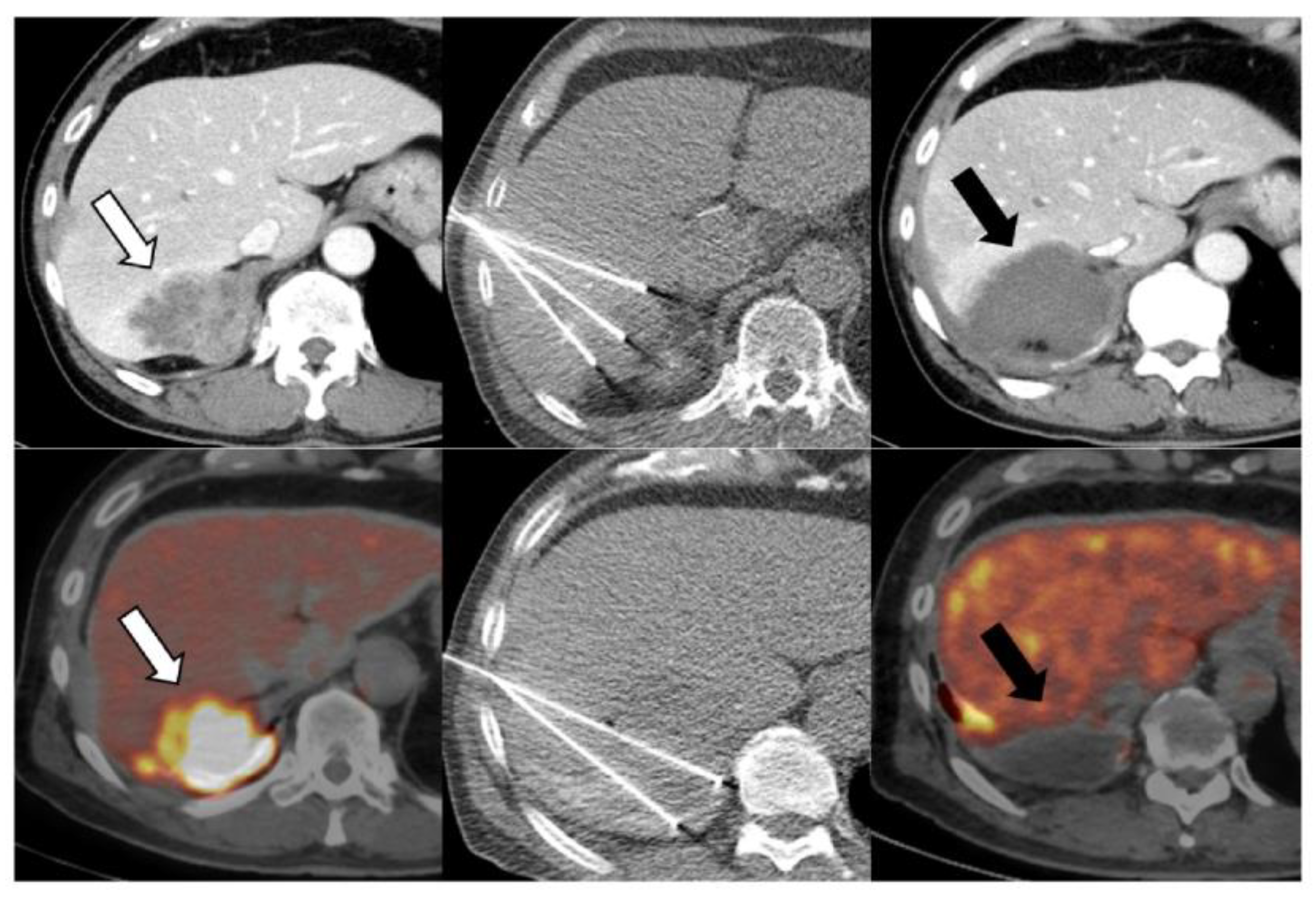
Background/Objectives: Pleural mesothelioma (PM) frequently recurs despite multimodal therapy. Here, we aimed to retrospectively evaluate the safety and potential clinical benefit of radiofrequency ablation (RFA) for recurrent PM. Methods: Fourteen consecutive patients underwent CT-guided RFA between July 2019 and June 2025. The cohort comprised 13 men and 1 woman, with a median age of 69 (range, 54–77) years. All patients had previously received systemic therapy and 12 had undergone surgery. Seven patients (50%) presented with multiple lesions, and 25 tumors (median diameter 1.8 cm; range, 0.5–7.0 cm) were treated in 23 sessions. Outcomes assessed were local tumor control, complications, and survival. Local progression and overall survival were estimated using Kaplan–Meier analysis. Adverse events were classified according to the Society of Interventional Radiology guidelines. Results: Technical success was achieved in all sessions. Two tumors showed local recurrence, corresponding to 1- and 2-year local progression rates of 10.6%. Seven patients showed distant metastases, most of whom subsequently received systemic therapy. Three patients died, two from disease progression and one from treatment-related gastrointestinal perforation during therapy for an unrelated cancer. The overall survival rates were 100%, 100%, and 60% at 1, 3, and 5 years, respectively. Major and minor complications occurred in one case each (4.3%): a refractory skin ulcer and retroperitoneal hematoma, respectively. Conclusions: RFA was technically feasible and generally well tolerated, and helped achieve encouraging local control and survival in patients with recurrent PM, warranting further evaluation of RFA as a complementary approach in multimodal treatment strategies.
Keywords: 
;  ;  ;  ;  
Copyright: This open access article is published under a Creative Commons CC BY 4.0 license, which permit the free download, distribution, and reuse, provided that the author and preprint are cited in any reuse.
Prerpints.org logo

Preprints.org is a free preprint server supported by MDPI in Basel, Switzerland.

Subscribe

Disclaimer

Terms of Use

Privacy Policy

Privacy Settings

© 2025 MDPI (Basel, Switzerland) unless otherwise stated