Preprint
Article

This version is not peer-reviewed.

From Promise to Serendipity: A Breath of Fresh Air Beyond Bronchodilation: Early Data on Hemodynamic and Functional Outcomes with Ensifentrine Nebulization in Severe COPD Associated Pulmonary Hypertension–A Six-Month Retrospective Observational Study

Submitted:

22 October 2025

Posted:

24 October 2025

You are already at the latest version

Abstract
Background: Pulmonary hypertension (PH) is a frequent and serious complication of advanced chronic obstructive pulmonary disease (COPD) and is associated with poor prognosis and limited treatment options. Current management focuses on optimizing COPD care, while the role of pulmonary vasodilators remains controversial. Ensifentrine, a dual phosphodiesterase (PDE) 3/4 inhibitor with bronchodilatory and anti-inflammatory properties, may offer therapeutic benefit in COPD-associated PH. Objective: To retrospectively evaluate the effects of 6 months of nebulized ensifentrine on pulmonary hemodynamics and functional outcomes in patients with severe COPD and associated pre-capillary PH. Methods: We conducted a single-center, retrospective chart review of patients with GOLD stage III and IV COPD and confirmed pre-capillary PH (mean pulmonary artery pressure [mPAP] ≥20 mmHg, pulmonary vascular resistance [PVR] > 2 Wood Units, pulmonary capillary wedge pressure ≤15 mmHg). Five patients treated with nebulized ensifentrine (3 mg twice daily) between September 2024 and May 2025 were analyzed. Hemodynamics via right heart catheterization (RHC) and 6-minute walk distance (6MWD) were assessed at baseline and at 6 months. Results: The cohort (mean age 76 years, 60% male, mean FEV₁ 33.4% predicted) demonstrated severe emphysema and PH (baseline mPAP 53.2 mmHg, PVR 9.5 WU, cardiac index 2.5 L/min/m²). After 6 months, mean changes were: mPAP: decrease by 1.6 mmHg Cardiac index: increase by 0.1 L/min/m² PVR: decrease by 1.0 WU 6MWD: Improved by 31 m
mMRC dyspnea score improved from 3.6 to 3.2, CAT score from 23 to 21.6, and DLCO increased modestly (29%→31.2% predicted). No adverse events, exacerbations, or hospitalizations were observed during this period. The combination of ensifentrine with roflumilast was well tolerated. Conclusions: In this retrospective study, ensifentrine was safe and associated with modest improvements in pulmonary hemodynamics and functional status in severe COPD with pre-capillary PH. These preliminary findings warrant confirmation in larger, prospective controlled trials.
Keywords: 
;  ;  

1. Introduction

Chronic obstructive pulmonary disease (COPD) is one of the top ten causes of death in the United States. As per Centers for Disease Control, nearly 16 million adults in the USA have COPD and many remain undiagnosed. [1] Pulmonary hypertension (PH) is a well-recognized complication of advanced chronic obstructive pulmonary disease (COPD), classified under WHO Group 3 PH. The prevalence of pulmonary hypertension in patients with COPD is estimated at 13 -64% and a meta-analysis suggested a pooled prevalence of around 39% [2]. It arises from chronic hypoxic vasoconstriction and pulmonary vascular remodeling, and contributes to dyspnea, reduced exercise tolerance, right ventricular dysfunction, and excess mortality. Despite its clinical significance, therapeutic options remain limited, with most guidelines recommending optimization of COPD management and long term oxygen therapy as the mainstay of treatment [3].
Systemic pulmonary vasodilators have shown mixed results in COPD-PH. While phosphodiesterase-5 inhibitors and endothelin receptor antagonists may improve hemodynamics, their clinical benefit is inconsistent and concerns exist regarding ventilation–perfusion mismatch and worsening hypoxemia. Consequently, such agents are typically reserved for clinical trials or highly selected cases in specialized centers [4].
Ensifentrine is a novel inhaled dual PDE3/4 inhibitor with bronchodilatory and anti-inflammatory effects. Recent phase III trials (ENHANCE-1 and -2) demonstrated improvements in lung function, quality of life, and symptom burden in moderate-to-severe COPD. However, its effects on pulmonary hemodynamics in COPD patients with confirmed PH have not been previously studied [5].
This retrospective study describes the hemodynamic and functional outcomes in a small cohort of patients with severe COPD and pre-capillary PH treated with nebulized ensifentrine for 6 months.

2. Materials and Methods

Study Design and Setting

This single-center, retrospective observational study included patients treated with ensifentrine between September 2024 and May 2025 at a specialized COPD-PH clinic. Institutional Review Board approval was obtained, and informed consent was secured from all participants prior to data extraction.

Patient Selection

Medical records of 14 patients with end-stage COPD and suspected PH were reviewed. Nine were excluded due to:
  • HFpEF (Heart failure with preserved ejection fraction) confirmed on RHC (Right heart catheterization) (n=2)
  • Severe exacerbation or hospitalization during follow-up (n=2)
  • New acute coronary syndrome (n=1) during the 6 months observational period
  • Endo bronchial valve placement (n=1)
  • Logistic inability to repeat RHC (n=2)
  • Intolerable adverse effects of ensifentrine (nightmares, n=1)
The final cohort comprised 5 patients meeting the following inclusion criteria:
  • Age ≥18 years
  • GOLD (Global Initiative of Chronic Obstructive lung disease) stage III–IV COPD (FEV₁ <50% predicted)
  • 6MWD (Standardized six minute walk distance) < 330 m
  • Pre-capillary PH confirmed by RHC: mPAP (mean pulmonary artery pressure) ≥20 mmHg, PVR (pulmonary vascular resistance) > 2 WU (wood units), PCWP (Pulmonary Capillary wedge pressure) ≤15 mmHg
  • Stable and maximal guideline-based COPD therapy ≥ 6 weeks before ensifentrine initiation.
  • All patients participated in pulmonary rehab at least 3 months prior to initiating Ensifentrine
Exclusion criteria included left heart disease, chronic thromboembolic PH, interstitial lung disease, bronchiectasis, active smoking, systemic autoimmune disease, or changes in background COPD therapy and candidacy for lung transplantation.

Intervention

Patients received nebulized ensifentrine 3 mg twice daily via a standard nebulizer device for 6 months, in addition to their maximal guideline-directed COPD therapy. Four patients were on roflumilast, and all were counseled regarding potential additive adverse effects.

Data Collection

Baseline demographics, comorbidities, medications, pulmonary function tests (PFTs), echocardiography, RHC, 6MWD, and patient-reported outcomes (mMRC: modified medical research council, CAT-COPD assessment test) were collected. RHC and 6MWD were repeated at 6 months. Adverse events and exacerbations were also recorded.

Statistical Analysis

Given the small sample size, outcomes were analyzed descriptively (means ± SD where applicable). No hypothesis testing was performed. Individual patient data trends were reviewed to assess consistency.

3. Results

Baseline Characteristics

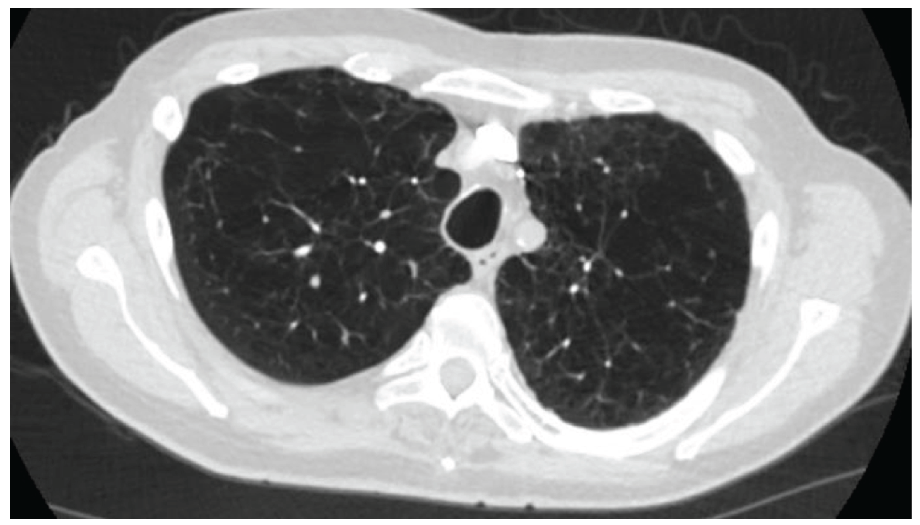
The cohort included 5 patients (mean age 76 years, 60% male, BMI 19.6, Charlson comorbidity index- 9.6). All were former heavy smokers (mean 47 pack-years) and had severe emphysema on imaging (See Figure 1 for a representative CT Chest of one the patients). Two out of five reported moderate exacerbations and another two severe exacerbations in the previous year. Clinical and radiologic evaluation suggested bronchitic phenotype in 3 out of 5 patients in additional to severe emphysema. Bronchitic phenotype was defined by the clinical history of persistent cough associated with mucus production for at-least 3 months in the previous 2 years. Baseline mMRC was 3.6, CAT 23, mean FEV1 (FEV: Forced Expiratory Volume) 33.4% predicted, and DLCO (Diffusion limited Carbon Monoxide) 29% predicted. The mean Hb was 14.6 gm/dl, absolute eosinophil count of 210/mm3. As a part of evaluation for worsening exertional dyspnea, all underwent echocardiography, which revealed pulmonary hypertension with a mean ePASP (estimated pulmonary artery systolic pressure) of 62.4 mm Hg and mean TAPSE (tricuspid annular plane systolic excursion) of 1.42 cm. BNP (Beta natriuretic peptide) averaged 90.4 pg/mL. The mean 6MWD at the time of initial evaluation was 224m. All were deemed not candidates for lung transplantation. See Table 1 for baseline characteristics.
All participants were on guideline-directed therapy including inhaled LABA-LAMA-ICS combinations (1 patient was on LAMA+ LABA INH only), oral roflumilast (n=4), chronic azithromycin (n=4), Chronic prednisone (n=3) and one patient was on subcutaneous Dupilumab. 4 out of 5 patients already participated in pulmonary rehab program prior to enrollment. One patient declined pulmonary rehabilitation. Patients with left heart disease, chronic thromboembolic PH, or systemic inflammatory conditions including autoimmune conditions were excluded. 4 patients were using PEP buddy and Non-invasive ventilator. All 5 patients were on Oxygen supplementation at 1-2 liters/min with exertion and none requiring Oxygen at rest.
Two patients had coronary angiograms done 2 years ago that did not reveal any significant obstructive coronary lesions. 2 patients underwent stress testing that was negative for Ischemia. The fifth patient had no significant coronary artery calcification on the CT Chest. HFpEF was ruled out either by HFpEF Score (3 patients had low probability) or by fluid challenge during right heart catheterization (2 out of 5 patients). Patients who had HFpEF were excluded. Right heart catheterization in 5 patients revealed severe pulmonary hypertension with mean PA of 53.2 mm HG, mean PCWP of 10.2 mm Hg, PVR of 9.5 WU and a mean cardiac index of 2.5L/min/m2. Measurement were taken at the end of expiration for 3 patients and mean cycle values were taken in the other two patients due to wide pressure swings.
Participants received Ensifentrine nebulization (3 mg BID via standard nebulizer) for 6 months with in 3 months of the first right heart catheterization. This was done before an anticipated trial of Sildenafil on a case to case basis, as Ensifentrine received FDA approval at this time and hence a trial of Sildenafil was postponed until a later date. Those patients who were already on roflumilast were extensively counseled about the adverse effects with combination of roflumilast and Ensifentrine after a shared decision process. Ensifentrine Nebulization was considered as a salvage therapy while being on roflumilast, before being considered on a trial of Sildenafil. This involved an extensive risk benefit analysis and patients motivation to try the combination and who agreed for intensive surveillance via ‘my chart’ messaging and answering questionnaire. Furthermore, these patients were carefully monitoring and regularly screened for liver dysfunction, weight loss and depression. Right heart catheterization was repeated approximately 6 months after initiation of first Ensifentrine nebulization.

Findings

A clinic follow up visit was done 6 months after initiation of the first ensifentrine nebulization along with right heart catheterization. Patients noted improvement predominantly in symptoms of dyspnea more than cough and phlegm production, which resulted in reduction of mMRC score from mean of 3.6 to 3.2 and CAT score from mean of 23 to 21.6. There were no differences in the exacerbation rates when compared to prior 6 months. PFT (Pulmonary function test) was repeated that demonstrated a mean FEV1 of 33.2%, FVC of 80.2 and DLCO of 31.2 % predicted. A follow up 6MWD revealed increase from a mean of 224m to 255m. A repeat right heart catheterization (3 patients underwent simultaneous left and right heart catheterization, due to concern for right ventricular dysfunction, subsequently revealing non-significant coronaries) demonstrated an improvement in mean PA from 53.2 to 51.6 mm Hg, similar mean PCWP of 9.8 and decrease in mean PVR from 9.5 WU to 8.5 WU. Cardiac index was 2.6 L/min/m2, increased by 0.1 L/min/ m². No adverse events or hospitalizations were documented.
At the 6 months follow up after the second right heart catheterization, all of these 5 patients were started on a trial of Sildenafil therapy. Two patient discontinued by 1 month citing dizziness and worsening oxygenation. The remaining 3 patients tolerated the medication without much change in symptoms at a subsequent 3 month follow up visit.

Safety and Tolerability

No adverse events including weight loss by >5%, abnormal liver function test, new onset or worsening depression was noted. There was no change in the frequency of COPD exacerbations, hospitalizations, when compared to 6 similar months of last year. The combination of roflumilast and Ensifentrine was well tolerated by all patients. Of note, one patient (who is not included in this study) discontinued Ensifentrine nebulization due adverse effects of nightmares and “vivid dreams involving snakes” in a week after starting the medication. He was already on Roflumilast.

Outcomes After 6 Months of Ensifentrine

  • Hemodynamics: mPAP decreased from 53.2 → 51.6 mmHg; PVR decreased from 9.5 → 8.5 WU; cardiac index increased from 2.5 → 2.6 L/min/m²; PCWP remained stable (10.2 → 9.8 mmHg).
  • Functional capacity: 6MWD improved from 224 → 255 m (+31 m).
  • Patient-reported outcomes: mMRC decreased from 3.6 → 3.2; CAT score from 23 → 21.6.
  • PFTs: FEV₁ remained stable (33.4%→33.2%), DLCO modestly improved (29%→31.2%).
  • Safety: No weight loss >5%, liver dysfunction, depression, or increased exacerbations were observed. No hospitalizations occurred. The combination with roflumilast was well tolerated.
  • See Table 2 for hemodynamic and function outcomes at baseline and 6 months after Ensifentrine nebulization.

4. Discussion

Pulmonary hypertension (PH) in chronic obstructive pulmonary disease (COPD) is independently associated with reduced survival, higher rates of exacerbations, and impaired quality of life [6]. Even in the setting of maximized inhaled therapy, many patients continue to experience progressive dyspnea and exercise intolerance, driven by pulmonary vascular remodeling and increased right ventricular (RV) afterload, which may ultimately lead to chronic RV dysfunction [7].
The management of COPD-associated PH (COPD-PH) remains an area of considerable uncertainty, as no therapies are currently approved specifically for this indication. Current guidelines emphasize optimization of underlying COPD therapy, initiation of long term oxygenation in selected patients and reserve the use of pulmonary vasodilators for carefully selected cases within specialized centers [3].
Patients with Group 3 PH, especially those with severe obstruction and gas exchange impairment, have been historically excluded from most pulmonary arterial hypertension (PAH) trials. As a result, clinicians are left with little guidance and few therapeutic options. The evidence of specific pulmonary vasodilator therapy in COPD associated PH is conflicting [4]. Our observation suggests that ensifentrine may fill a critical gap in care for patients with dual bronchial and vascular pathology.
In this retrospective cohort, all five patients had very severe COPD (mean FEV₁ 33.4% predicted). Four of the five were receiving domiciliary noninvasive ventilation, and all had severe pre-capillary PH with a mean pulmonary vascular resistance (PVR) of 9.5 Wood units (WU). Echocardiography and hemodynamic data revealed evidence of RV dysfunction, with a mean tricuspid annular plane systolic excursion (TAPSE) of 1.42 cm and a cardiac index of 2.5 L/min/m², in the absence of significant coronary artery disease or HFpEF. These findings highlight the adverse remodeling of the RV that can occur in longstanding COPD-PH, resembling a form of “COPD-associated RV cardiomyopathy”. Functional impairment was profound, as demonstrated by a mean six-minute walk distance (6MWD) of only 224 m, despite optimized medical therapy and a severe emphysematous phenotype.
Traditional pulmonary vasodilators, such as endothelin receptor antagonists and phosphodiesterase-5 inhibitors (PDE5i such as sildenafil), are generally avoided in COPD due to concerns regarding ventilation-perfusion (V/Q) mismatch and hypoxemia, though they may be considered on a case-by-case basis in expert centers or within clinical trials [4]. Previous studies of sildenafil in COPD-PH have yielded conflicting results, with consistent improvements in pulmonary hemodynamics but mixed effects on exercise capacity and oxygenation. A central concern with systemic vasodilators is their potential to exacerbate V/Q mismatch through nonselective vasodilation of poorly ventilated lung regions [4]. By contrast, ensifentrine’s inhaled delivery may mitigate this risk by localizing its effects to better-ventilated areas of the lung.
Preclinical and Phase II studies support the mechanistic rationale for PDE3 and PDE-4 inhibition, showing dose dependent relaxation of airway constriction and anti-inflammatory effect [8]. PDE-3 regulated cAMP and cGMPin airway smooth muscle, which mediates bronchial tone [5]. It is also known that PDE-III inhibition leads to increased myocardial contractility by preventing cAMP breakdown and pulmonary vascular dilatation by preventing cGMP breakdown (e.g milrinone) [9]. In our cohort, the addition of nebulized ensifentrine to standard therapy was associated with subjective improvements in dyspnea, as reflected in modified Medical Research Council (mMRC) and COPD Assessment Test (CAT) scores, although cough and sputum production remained unchanged. Importantly, all patients had a predominant severe emphysema phenotype with dyspnea as the leading symptom; none had coexistent bronchiectasis, and three had chronic bronchitic features.
Hemodynamic changes were only modest with a mean reduction in PVR by 1 WU and an increase in cardiac index of 0.1 L/min/m². These shifts may reflect a possible noise due to an interventional bias or a true therapeutic effect or, yet the consistency of improvement across multiple domains including 6MWD and diffusing capacity for carbon monoxide (DLCO) suggests biological plausibility. On average, 6MWD improved by 31 m. While modest, this gain is clinically meaningful in such a debilitated cohort, many of whom may already be functioning near their physiologic limits. Furthermore, the absence of oxygen desaturation or worsening gas exchange during the six-minute walk test reassures against exacerbation of V/Q mismatch, a common limitation of systemic vasodilator therapy.
The dual mechanism of ensifentrine provides a compelling rationale for its application in COPD-PH, atleast theoretically. PDE3 inhibition increases intracellular cyclic adenosine monophosphate (cAMP), producing smooth muscle relaxation in both the bronchial airways and pulmonary vasculature, leading to bronchodilation and mild pulmonary vasodilation without systemic hypotension. PDE4 inhibition exerts anti-inflammatory effects, potentially attenuating cytokine-mediated vascular remodeling and pulmonary arterial stiffness-key drivers of elevated PVR in Group 3 PH [10]. Importantly, Ensifentrine’s inhaled formulation delivers the drug directly to the lungs, maximizing local efficacy while minimizing systemic side effects, including hypotension.
Our observations suggest that ensifentrine may improve pulmonary hemodynamics, functional outcomes, and right heart performance in patients with severe COPD-PH, although the extent to which these benefits derive from direct vascular effects versus improvements in airflow and inflammation remains uncertain. It is possible that enhanced bronchodilation and anti-inflammatory action with ensifentrine could have mitigated regional hypoxic pulmonary vasoconstriction resulting in improvement in pulmonary vascular resistance. Notably, this is the first report to our knowledge evaluating ensifentrine in patients with COPD-PH confirmed by right heart catheterization.
Data from the ENHANCE trials demonstrated improvements in lung function, symptom burden, and quality of life with ensifentrine in patients with moderate-to-severe COPD over 24 weeks [5]. Our patients did not exhibit any significant improvement in FEV1. Out patients had very severe obstructive physiology and severe emphysema as a predominant phenotype compared to the trial population. Furthermore, our study was observational with very few number of subjects who likely had no reserve or salvageable expiratory airflow.
Combination therapy with ensifentrine and roflumilast also appeared to be well tolerated, without the adverse effects typically associated with PDE4 inhibition, such as weight loss, depression, or hepatotoxicity. One patient not included in the analysis experienced vivid dreams and nightmares requiring discontinuation of therapy within one week, underscoring the need for individualized monitoring. It is currently unknown whether the combination of Roflumilast and Ensifentrine could be considered and further evidence is needed for such an approach. If pursued as a part of salvage therapy for end-stage COPD, each medication should be introduced sequentially rather than simultaneously, with close monitoring for neuropsychiatric or gastrointestinal side effects as part of a shared decision-making process.
Following 6 months of ensifentrine therapy, two patients in this cohort did not tolerate Sildenafil therapy due to side effects, and three reported no clear subjective improvement. However, the absence of objective evaluation in these individuals, combined with the severity of their disease, may have limited the ability to detect meaningful clinical benefit.
Overall, while the study is constrained by its small sample size, retrospective design, and lack of a comparator group, the findings offer surprising insight that ensifentrine may result in favorable pulmonary hemodynamics. However our’s is a small observational case series with no control group. Due to a small number of patients, propensity score matching nor statistics could be implemented for a definitive conclusion. Furthermore, the findings could represent rather a noise than a signal, as many patients were excluded for various reasons and co-morbidities during the final analysis. Larger, prospective randomized trials are warranted to validate these results and determine whether ensifentrine can be integrated earlier (e.g PVR > 3 WU) into treatment algorithms for this challenging and under-treated population.

Strengths and Limitations

This study has several limitations that warrant consideration. The most notable is the very small sample size of only five patients, which limits statistical inference and substantially reduces the generalizability of our findings. The retrospective and non-randomized design, conducted within a single specialized center, introduces the potential for selection bias and further constrains external validity. In addition, the absence of an untreated or placebo comparator prevents definitive attribution of observed improvements to ensifentrine. The open-label nature of treatment may also have introduced observer or reporting bias, particularly for subjective outcomes such as dyspnea scores and patient-reported symptom assessments. Finally, while right heart catheterization remains the gold standard for hemodynamic evaluation, measurements in patients with severe obstructive lung disease may be affected by intrathoracic pressure variability, potentially influencing the precision of reported values.
Despite these limitations, this analysis also has several strengths. All patients had pre-capillary pulmonary hypertension confirmed by right heart catheterization, ensuring diagnostic accuracy. The cohort was well characterized clinically and phenotypically, with detailed functional, imaging, and hemodynamic assessments. Patients were also maintained on maximized guideline-directed COPD therapy, allowing the effects of ensifentrine to be assessed in the context of optimized standard care. Finally, the systematic collection of safety outcomes, including tolerability of combined ensifentrine and roflumilast therapy, adds practical insights for real-world clinical use.
Taken together, the study is hypothesis generating for a population in whom therapeutic options remain extremely limited and underscores the need for larger, prospective, multi-center randomized controlled trials to validate these findings.

Future Directions

The findings from this retrospective analysis highlight several important directions for future research. Foremost, larger multi-center randomized controlled trials are needed to rigorously evaluate the role of ensifentrine in patients with COPD-associated pulmonary hypertension, ideally employing co-primary endpoints that include both hemodynamic response and functional capacity. Beyond clinical outcomes, mechanistic studies using advanced imaging techniques—such as cardiac MRI, perfusion scans, or gas exchange assessments—would provide valuable insights into the drug’s potential impact on pulmonary vascular remodeling and right ventricular function. Additionally, future investigations should focus on identifying patient subgroups most likely to benefit from PDE3/4 inhibition. For example, analyses stratified by emphysema-dominant versus bronchitic phenotypes, as well as by prior responsiveness to phosphodiesterase inhibitors, may reveal clinically meaningful patterns of treatment response. Incorporating biomarker-driven approaches to stratification may further refine patient selection and optimize therapeutic benefit. Together, these avenues of research will be critical for establishing the role of ensifentrine in the management of this complex and under-treated population

5. Conclusions

In this retrospective study, nebulized ensifentrine was safe and associated with modest improvements in pulmonary hemodynamics, functional capacity, and dyspnea in patients with severe COPD and precapillary PH. These findings highlight the potential of ensifentrine as a dual-modality therapy targeting both airway obstruction and pulmonary vascular dysfunction. Due to the lack of control group and small sample size, the certainty of the findings is limited. Larger prospective studies are needed to confirm these preliminary observations.

Author Contributions

Author R.P contributed to the conception and design of the study, , analyzed the findings, drafted the manuscript, and provided critical revisions. Author J.K contributed to data analysis and critically revised the manuscript for important intellectual content. Author I.M contributed for data collection and critically revised the manuscript. Author J.S provided critical revisions and supervised the overall project. All authors approved the final version of the manuscript and agree to be accountable for all aspects of the work.

Funding

This research received no external funding.

Institutional Review Board Statement

Approved by the local Institutional Review Board.

Informed Consent Statement

Written informed consent obtained from all participants.

Data Availability Statement

Data available upon reasonable request to the corresponding author.

Acknowledgments

The authors have reviewed and edited the output and take full responsibility for the content of this publication.

Conflicts of Interest

The authors declare no conflicts of interest.

References

  1. CDC National Trends in COPD. Chronic Obstructive Pulmonary Disease (COPD). May 22, 2024. Accessed September 14, 2025. https://www.cdc.gov/copd/php/case-reporting/national-trends-in-copd.html.
  2. Zhang, L.; Liu, Y.; Zhao, S.; et al. The Incidence and Prevalence of Pulmonary Hypertension in the COPD Population: A Systematic Review and Meta-Analysis. Int J Chron Obstruct Pulmon Dis. 2022, 17, 1365–1379. [Google Scholar] [CrossRef] [PubMed]
  3. Humbert, M.; Kovacs, G.; Hoeper, M.M.; et al. 2022 ESC/ERS Guidelines for the diagnosis and treatment of pulmonary hypertension: Developed by the task force for the diagnosis and treatment of pulmonary hypertension of the European Society of Cardiology (ESC) and the European Respiratory Society (ERS). Endorsed by the International Society for Heart and Lung Transplantation (ISHLT) and the European Reference Network on rare respiratory diseases (ERN-LUNG). Eur Heart J. 2022, 43, 3618–3731. [Google Scholar] [CrossRef] [PubMed]
  4. Arif, R.; Pandey, A.; Zhao, Y.; Arsenault-Mehta, K.; Khoujah, D.; Mehta, S. Treatment of pulmonary hypertension associated with COPD: a systematic review. ERJ Open Res. 2022, 8. [Google Scholar] [CrossRef] [PubMed]
  5. Anzueto, A.; Barjaktarevic, I.Z.; Siler, T.M.; et al. Ensifentrine, a Novel Phosphodiesterase 3 and 4 Inhibitor for the Treatment of Chronic Obstructive Pulmonary Disease: Randomized, Double-Blind, Placebo-controlled, Multicenter Phase III Trials (the ENHANCE Trials). Am J Respir Crit Care Med 208, 406–416. [CrossRef] [PubMed]
  6. Medrek, S.K.; Sharafkhaneh, A.; Spiegelman, A.M.; Kak, A.; Pandit, L.M. Admission for COPD Exacerbation Is Associated with the Clinical Diagnosis of Pulmonary Hypertension: Results from a Retrospective Longitudinal Study of a Veteran Population. COPD J Chronic Obstr Pulm Dis. 2017, 14, 484–489. [Google Scholar] [CrossRef] [PubMed]
  7. Blanco, I.; Tura-Ceide, O.; Peinado, V.I.; Barberà, J.A. Updated Perspectives on Pulmonary Hypertension in COPD. Int J Chron Obstruct Pulmon Dis. 2020, 15, 1315–1324. [Google Scholar] [CrossRef] [PubMed]
  8. Faruqi, M.A.; Khan, M.M.K.S.; Mannino, D.M. Perspectives on Ensifentrine and Its Therapeutic Potential in the Treatment of COPD: Evidence to Date. Int J Chron Obstruct Pulmon Dis. 2024, 19, 11–16. [Google Scholar] [CrossRef] [PubMed]
  9. Ayres, J.K.; Maani, C.V. Milrinone. In StatPearls; StatPearls Publishing, 2025; Accessed September 14, 2025; http://www.ncbi.nlm.nih.gov/books/NBK532943/.
  10. Liu, S.F.; Nambiar Veetil, N.; Li, Q.; Kucherenko, M.M.; Knosalla, C.; Kuebler, W.M. Pulmonary hypertension: Linking inflammation and pulmonary arterial stiffening. Front Immunol. 2022, 13. [Google Scholar] [CrossRef] [PubMed]
Figure 1. Computer tomography of one of the patients, axial view, lung window at the level of trachea showing severe emphysema.
Figure 1. Computer tomography of one of the patients, axial view, lung window at the level of trachea showing severe emphysema.
Preprints 181925 g001
Table 1. Baseline characteristics of the 5 patients. All these patients has severe emphysema on imaging and a mean FEV1 of 33%, on maximum medical therapy. See text for further details.
Table 1. Baseline characteristics of the 5 patients. All these patients has severe emphysema on imaging and a mean FEV1 of 33%, on maximum medical therapy. See text for further details.
Preprints 181925 i001
Table 2. Functional and hemodynamic outcomes at baseline and 6 months after Ensifentrine nebulization.
Table 2. Functional and hemodynamic outcomes at baseline and 6 months after Ensifentrine nebulization.
Preprints 181925 i002
Disclaimer/Publisher’s Note: The statements, opinions and data contained in all publications are solely those of the individual author(s) and contributor(s) and not of MDPI and/or the editor(s). MDPI and/or the editor(s) disclaim responsibility for any injury to people or property resulting from any ideas, methods, instructions or products referred to in the content.
Copyright: This open access article is published under a Creative Commons CC BY 4.0 license, which permit the free download, distribution, and reuse, provided that the author and preprint are cited in any reuse.
Prerpints.org logo

Preprints.org is a free preprint server supported by MDPI in Basel, Switzerland.

Subscribe

Disclaimer

Terms of Use

Privacy Policy

Privacy Settings

© 2026 MDPI (Basel, Switzerland) unless otherwise stated