Preprint
Case Report

This version is not peer-reviewed.

Mucosal Change like Hypertrophic Gastritis Following Zolbetuximab-Based Therapy in a Conversion Surgery Case of Advanced Gastric Cancer

A peer-reviewed article of this preprint also exists.

Submitted:

28 September 2025

Posted:

30 September 2025

You are already at the latest version

Abstract
Background and Clinical Significance: Zolbetuximab, a claudin 18.2 (CLDN18.2)-targeted monoclonal antibody, has shown promise as a therapeutic approach for patients with advanced gastric cancer expressing this target antigen. While established adverse effects include nausea and vomiting, emerging clinical observations have identified hypoalbuminemia as an additional concern that may impact treatment outcomes and surgical planning. Understanding the potential mechanisms of this adverse effect may be important for optimizing patient management and ensuring safe therapeutic interventions. This case report describes a possible relationship between Zolbetuximab-induced mucosal alterations and protein loss, providing valuable insights for clinicians managing patients receiving this targeted therapy. Case Presentation: We present a 53-year-old male patient diagnosed with unresectable advanced gastric cancer who received Zolbetuximab-based combination therapy. The patient demonstrated a favorable therapeutic response, achieving tumor regression that enabled conversion surgery. During treatment, hypoalbuminemia was observed as a notable adverse effect. Histopathological examination of the surgical specimen revealed hypertrophic gastritis with marked foveolar hyperplasia and increased mucus secretion. These findings suggest a possible mechanistic relationship between Zolbetuximab-induced gastric mucosal changes and the development of hypoalbuminemia, potentially through enhanced protein loss via altered gastric mucosa. Conclusions: This case suggests that Zolbetuximab may induce gastric mucosal changes characterized by hypertrophic gastritis and foveolar hyperplasia, which could potentially contribute to hypoalbuminemia development. Clinicians may consider monitoring albumin levels during Zolbetuximab therapy and implementing appropriate nutritional support strategies when indicated. These findings highlight the potential importance of understanding drug-specific adverse effects to optimize patient outcomes and facilitate safe conversion surgery planning in gastric cancer patients receiving targeted therapy.
Keywords: 
;  ;  ;  ;  

1. Introduction and Clinical Significance

Gastric cancer remains one of the most prevalent malignancies in Japan, with approximately 20% of patients diagnosed at Stage IV [1]. The 5-year survival rate for these patients is extremely low at only 7% [2], making effective chemotherapy crucial for medical oncologists. Treatment options for unresectable advanced gastric cancer have expanded in recent years. Beyond the standard combination of fluoropyrimidines and platinum agents, improved outcomes have been achieved by incorporating targeted therapies based on biomarker testing, including trastuzumab [3], nivolumab [4], and pembrolizumab [5].
Claudins are essential proteins that form tight junctions between cells. The subtype CLDN18.2 (Claudin 18.2) plays a significant role in gastric tissue [6,7]. During carcinogenesis, CLDN18.2 becomes exposed on the cell surface [8,9], making it an attractive therapeutic target for gastric cancer. Chemotherapy incorporating zolbetuximab, a specific antibody against CLDN18.2, received insurance approval in 2024 [10,11]. While nausea and vomiting are the well-known adverse effects of zolbetuximab, hypoalbuminemia has recently gained attention [10,11]. Inflammatory changes in the stomach have been postulated as a potential cause, but detailed examinations in humans are lacking. We report a case where, after achieving response with zolbetuximab and performing conversion surgery, we found histopathological evidence of hypertrophic gastritis, not merely inflammatory changes. As zolbetuximab is a recently approved drug, this observation provides valuable insight for managing hypoalbuminemia and ensuring safe conversion surgery.

2. Case Presentation

A 53-year-old man with a history of cecal surgery and positive hepatitis B surface antigen (HBs antigen) was referred to our hospital after an abnormality was detected during an upper gastrointestinal series screening in his residential area. He consumed approximately 700 mL of beer daily and was a current smoker with a 33-year history of smoking 10 cigarettes per day. He worked in a factory and had no significant family history.
Laboratory data is shown in Table 1. Upper gastrointestinal endoscopy revealed a type 3 tumor in the middle portion of the greater curvature of the gastric body (Figure 1a). Biopsy confirmed poorly differentiated adenocarcinoma (Figure 2a). CT scan suggested peritoneal dissemination (Figure 1b), so after a multidisciplinary conference between internal medicine and surgery departments, systemic chemotherapy was recommended instead of surgery.
Given the patient's HBs antigen positivity, tenofovir was initiated after confirming negative DNA results. While awaiting biomarker test results, which were delayed due to regional factors, S-1 (tegafur/gimeracil/oteracil) plus oxaliplatin therapy was started at the patient's request for prompt treatment initiation.
Biomarker testing revealed HER2 (human epidermal growth factor receptor type 2) negativity and PD-L1 negativity with Combined Positive Score (CPS) of 1-10% using PD-L1 IHC 22C3 pharmDx (Dako) and 1-5% using PD-L1 IHC 28-8 pharmDx (Dako). Microsatellite instability high (MSI-High) was not detected. CLDN18.2 was positive (Figure 2b). Based on these results, treatment was switched to Capecitabine + Oxaliplatin + Zolbetuximab from the subsequent cycle.
The main adverse events included nausea and grade 1 hypoalbuminemia according to the Common Terminology Criteria for Adverse Events (CTCAE) version 5.0. Follow-up endoscopy and CT (Figure 1c,d) showed significant tumor reduction, and peritoneal dissemination had diminished to the point of being undetectable on imaging. After further discussion between internal medicine and surgery departments, conversion surgery was proposed and accepted by the patient. Following six cycles of chemotherapy and confirmation of negative peritoneal cytology, distal gastrectomy with D2 lymph node dissection and Roux-en-Y reconstruction was performed (Figure 3a,b).
Histopathological evaluation confirmed a therapeutic effect of Grade 2b. The macroscopic classification was 0-IIa, measuring 14mm, with a depth of invasion of ypT1a(M). The histological type was predominantly moderately differentiated tubular adenocarcinoma (tub2) with some well-differentiated tubular adenocarcinoma (tub1). No lymphovascular invasion (Ly0, V0) was observed, and all dissected lymph nodes were negative.
Histological examination (Figure 3c–j) revealed foveolar hyperplasia on both the lesser and greater curvatures, suggesting increased gastric mucus secretion. Additionally, pyloric gland metaplasia was observed on the lesser curvature, while on the greater curvature, atrophy of the fundic glands was present but mild. Inflammatory cell infiltration was also observed mild in degree. These findings most closely matched the pathological entity of hypertrophic gastritis.
The postoperative course was uneventful, with no anastomotic complications. Chemotherapy was resumed on postoperative day 34. At the four-month postoperative follow-up, oxaliplatin was omitted due to Grade 1 peripheral neuropathy, but no evidence of recurrence was observed.

3. Discussion

Zolbetuximab has recently been added as a treatment option for unresectable advanced gastric cancer, showing significant improvements in progression-free survival and overall survival in CLDN18.2-positive cases [10,11]. It is increasingly being used in clinical practice.
The primary adverse effects of zolbetuximab are severe nausea and vomiting, commonly managed with dexamethasone, 5-HT3 receptor antagonists, neurokinin 1 receptor antagonists, as well as olanzapine and histamine H1 receptor antagonists [12]. Ferret model data suggested acute gastric mucosal damage might contribute to these symptoms [13]. Initially, administration of dexamethasone, which has anti-inflammatory properties, was limited during clinical trials. However, after studies confirmed it did not affect treatment efficacy, protocol amendments were made, and dexamethasone is now routinely used for antiemetic management [10,11].
While focus has been placed on nausea, vomiting, and infusion reactions, hypoalbuminemia has garnered attention as more patients receive zolbetuximab post-marketing. Integrated analysis of the SPOTLIGHT and GLOW trials [14] showed all-grade hypoalbuminemia in 19.3% of the zolbetuximab group versus 10.1% in the placebo group, with grade 3 or higher events occurring in 3.8% versus 1.1%, respectively. Our patient also experienced a decrease in serum albumin levels, albeit grade 1 (Table 2.).
Although inflammatory changes in the stomach are suspected to contribute to hypoalbuminemia, detailed pathological examinations using actual specimens have not been previously reported. Moreover, endoscopic observations alone may be insufficient for evaluating gastric inflammation following zolbetuximab administration. In our case, preoperative endoscopy showed closure of the ulcer in the tumor area, but pathologically, changes were observed not only in the superficial layer but also in deeper layers. This suggests that comprehensive pathological evaluation using surgical specimens encompassing all layers might be important.
In our case, while the pepsinogen I and H-K-ATPase-positive fundic glands on the greater curvature were slightly atrophic, MUC5AC-positive gastric epithelium was well-developed on both the lesser and greater curvatures. The glandular tissue on the lesser curvature was pepsinogen I-negative, indicating pyloric gland metaplasia. These findings suggest hypertrophic gastritis, which, to our knowledge, has not been previously reported in association with zolbetuximab, making this observation particularly valuable. No evidence of giant folds suggestive of Ménétrier's disease or signs of infectious etiology such as cytomegalovirus were observed. Additionally, differential diagnoses that could account for mucosal hypertrophy, such as Zollinger-Ellison syndrome, or those characterized by prominent foveolar hyperplasia, such as hyperplastic polyps, were considered but not supported by the histopathological findings.
The mechanism remains speculative due to lack of previous reports. Since CLDN18.2 is a tight junction protein expressed in gastric epithelial cells, zolbetuximab might inhibit tight junction structure and function, causing mucosal damage. The resulting repair response could potentially lead to epithelial cell hyperplasia. Hypertrophic gastritis, apart from conditions like Ménétrier's disease (giant hypertrophic gastritis), is rare, with few other causes such as plasmacytoma [15]. The pathogenesis of hypertrophic gastritis itself requires further research.
In our case, due to the therapeutic effect on the tumor, we did not observe findings suggestive of hypertrophic gastritis when comparing pre- and post-treatment CT and upper endoscopy images regarding gastric wall thickness, surrounding invasion, or macroscopic inflammatory changes of the gastric mucosa. However, as the differentiation between type 4 gastric cancer and hypertrophic gastritis is clinically important and challenging [16], attention to pseudoprogression is necessary from a clinical oncology perspective.
Limitations of our study include the fact that the findings were observed approximately four weeks after the final administration due to necessary perioperative discontinuation, which might have modified the presentation. Additionally, concomitant medications such as capecitabine, oxaliplatin, and tenofovir might have influenced the findings. However, to our knowledge, these drugs have not been associated with hypertrophic gastritis, making zolbetuximab the most likely causative agent. Furthermore, as this is a single case report, the possibility of coincidental findings cannot be excluded, highlighting the need for accumulating more cases. The relationship between these findings and hypoalbuminemia, as well as potential approaches to prevent hypoalbuminemia through management of these changes, remains difficult to discuss due to the paucity of reports.

4. Conclusions

In conclusion, we report a case of hypertrophic gastritis observed in a surgical specimen from a patient who achieved good therapeutic response with zolbetuximab. Further accumulation of similar findings and related knowledge is desirable for the effective clinical application of zolbetuximab in advanced gastric cancer treatment.

Author Contributions

Conceptualization, S.O. and S.S..; methodology, S.S..; software, S.S..; validation, S.S..; formal analysis, S.S. and T.Kabasawa.; investigation, S.S. and T.Kabasawa.; resources, S.S. and T.Kabasawa.; data curation, S.S.; writing—original draft preparation, S.S writing—review and editing, S.O., T.Kabasawa., T.Kanauchi. and S.A.; visualization, S.S. and T.Kabasawa.; supervision, S.S.; project administration, S.S..; funding acquisition, S.S. All authors have read and agreed to the published version of the manuscript.

Funding

This research received no external funding.

Institutional Review Board Statement

The study was conducted in accordance with the Declaration of Helsinki, and approved by the Institutional Review Board of Yamagata Prefectural Shinjo Hospital (2024-19 and date of approval is March 24th, 2025).

Informed Consent Statement

Informed consent was obtained from the patient.

Data Availability Statement

No new data were created.

Acknowledgments

We would like to thank the pathology technicians for their skillful work. We appreciate clinical and editorial support by our colleague Hidekazu Horiuchi, Kazuo Okumoto, Ken Ito, Keita Cha, Hidekazu Matsumoto, Tomoharu Ishiyama and Shigemi Hachinohe. In the process of preparing this English manuscript, we used artificial intelligence-based language editing tools to enhance clarity and readability (DeepL, Grammarly, Google Translation and Claude).

Conflicts of Interest

The authors declare no conflicts of interest.

Abbreviations

The following abbreviations are used in this manuscript:
CLDN18.2 Claudin 18.2
HER2 Human Epidermal Growth Factor Receptor Type 2
PD-L1 Program Death Ligand-1
IHC Immunohistochemistry
CTCAE Common Terminology Criteria for Adverse Events

References

  1. Association, J.G.C. Gastric Cancer Treatment Guidelines, 7th edition, revised 2025.
  2. Center, N.C. Hospital-based Cancer Registry of Designated Cancer Care Hospitals, 2014-2015 5-year Survival Rate Report. 2023.
  3. Bang, Y.J.; Van Cutsem, E.; Feyereislova, A.; Chung, H.C.; Shen, L.; Sawaki, A.; Lordick, F.; Ohtsu, A.; Omuro, Y.; Satoh, T., et al. Trastuzumab in combination with chemotherapy versus chemotherapy alone for treatment of HER2-positive advanced gastric or gastro-oesophageal junction cancer (ToGA): a phase 3, open-label, randomised controlled trial. Lancet 2010, 376, 687-697. [CrossRef]
  4. Janjigian, Y.Y.; Shitara, K.; Moehler, M.; Garrido, M.; Salman, P.; Shen, L.; Wyrwicz, L.; Yamaguchi, K.; Skoczylas, T.; Campos Bragagnoli, A., et al. First-line nivolumab plus chemotherapy versus chemotherapy alone for advanced gastric, gastro-oesophageal junction, and oesophageal adenocarcinoma (CheckMate 649): a randomised, open-label, phase 3 trial. Lancet 2021, 398, 27-40. [CrossRef]
  5. Rha, S.Y.; Oh, D.Y.; Yañez, P.; Bai, Y.; Ryu, M.H.; Lee, J.; Rivera, F.; Alves, G.V.; Garrido, M.; Shiu, K.K., et al. Pembrolizumab plus chemotherapy versus placebo plus chemotherapy for HER2-negative advanced gastric cancer (KEYNOTE-859): a multicentre, randomised, double-blind, phase 3 trial. Lancet Oncol 2023, 24, 1181-1195. [CrossRef]
  6. Pellino, A.; Brignola, S.; Riello, E.; Niero, M.; Murgioni, S.; Guido, M.; Nappo, F.; Businello, G.; Sbaraglia, M.; Bergamo, F., et al. Association of CLDN18 Protein Expression with Clinicopathological Features and Prognosis in Advanced Gastric and Gastroesophageal Junction Adenocarcinomas. J Pers Med 2021, 11. [CrossRef]
  7. Niimi, T.; Nagashima, K.; Ward, J.M.; Minoo, P.; Zimonjic, D.B.; Popescu, N.C.; Kimura, S. claudin-18, a novel downstream target gene for the T/EBP/NKX2.1 homeodomain transcription factor, encodes lung- and stomach-specific isoforms through alternative splicing. Mol Cell Biol 2001, 21, 7380-7390. [CrossRef]
  8. Shitara, K.; Xu, R.H.; Ajani, J.A.; Moran, D.; Guerrero, A.; Li, R.; Pavese, J.; Matsangou, M.; Bhattacharya, P.; Ueno, Y., et al. Global prevalence of claudin 18 isoform 2 in tumors of patients with locally advanced unresectable or metastatic gastric or gastroesophageal junction adenocarcinoma. Gastric Cancer 2024, 27, 1058-1068. [CrossRef]
  9. Sahin, U.; Koslowski, M.; Dhaene, K.; Usener, D.; Brandenburg, G.; Seitz, G.; Huber, C.; Türeci, O. Claudin-18 splice variant 2 is a pan-cancer target suitable for therapeutic antibody development. Clin Cancer Res 2008, 14, 7624-7634. [CrossRef]
  10. Shitara, K.; Lordick, F.; Bang, Y.J.; Enzinger, P.; Ilson, D.; Shah, M.A.; Van Cutsem, E.; Xu, R.H.; Aprile, G.; Xu, J., et al. Zolbetuximab plus mFOLFOX6 in patients with CLDN18.2-positive, HER2-negative, untreated, locally advanced unresectable or metastatic gastric or gastro-oesophageal junction adenocarcinoma (SPOTLIGHT): a multicentre, randomised, double-blind, phase 3 trial. Lancet 2023, 401, 1655-1668. [CrossRef]
  11. Shah, M.A.; Shitara, K.; Ajani, J.A.; Bang, Y.J.; Enzinger, P.; Ilson, D.; Lordick, F.; Van Cutsem, E.; Gallego Plazas, J.; Huang, J., et al. Zolbetuximab plus CAPOX in CLDN18.2-positive gastric or gastroesophageal junction adenocarcinoma: the randomized, phase 3 GLOW trial. Nat Med 2023, 29, 2133-2141. [CrossRef]
  12. Yakuwa, E.; Shoji, Y.; Oizumi, T.; Kobayashi, Y.; Motoishi, T.; Katagiri, T.; Suzuki, S. Safety and Feasibility of Outpatient Zolbetuximab Administration in Community Cancer Care: A Mixed-methods Analysis. In Vivo 2025, 39, 951-960. [CrossRef]
  13. Kinugasa, F.; Kajikawa, S.; Weng, J.; Ugawa, T.; Fushiki, H.; Yamanaka, Y.; Nagata, M.; Haggerty, G.; Akuzawa, S.; Nakazawa, T., et al. Effect of antiemetics on zolbetuximab-induced gastric injury and emesis in ferrets. J Pharmacol Sci 2024, 156, 161-170. [CrossRef]
  14. Shitara, K.; Shah, M.A.; Lordick, F.; Van Cutsem, E.; Ilson, D.H.; Klempner, S.J.; Kang, Y.K.; Lonardi, S.; Hung, Y.P.; Yamaguchi, K., et al. Zolbetuximab in Gastric or Gastroesophageal Junction Adenocarcinoma. N Engl J Med 2024, 391, 1159-1162. [CrossRef]
  15. Goyal, A.; Langer, J.C.; Zutter, M.; Swanson, P.; Kraus, M.D.; Bartlett, N.; Shackelford, G.D.; Longtine, J.A.; Perlmutter, D.H. Primary gastric plasmacytoma: a rare cause of hypertrophic gastritis in an adolescent. J Pediatr Gastroenterol Nutr 1999, 29, 424-430. [CrossRef]
  16. Seo, J.Y.; Kim, D.H.; Ahn, J.Y.; Choi, K.D.; Kim, H.J.; Na, H.K.; Lee, J.H.; Jung, K.W.; Song, H.J.; Lee, G.H., et al. Differential Diagnosis of Thickened Gastric Wall between Hypertrophic Gastritis and Borrmann Type 4 Advanced Gastric Cancer. Gut Liver 2024, 18, 961-969. [CrossRef]
Figure 1. Radiological and endoscopic images. (a) Endoscopic Images (before chemotherapy). (b) Computed tomography Images (before chemotherapy) arrow: peritoneal dissemination. (c) Endoscopic Images (before chemotherapy). (d) Computed tomography Images (after chemotherapy).
Figure 1. Radiological and endoscopic images. (a) Endoscopic Images (before chemotherapy). (b) Computed tomography Images (before chemotherapy) arrow: peritoneal dissemination. (c) Endoscopic Images (before chemotherapy). (d) Computed tomography Images (after chemotherapy).
Preprints 178578 g001
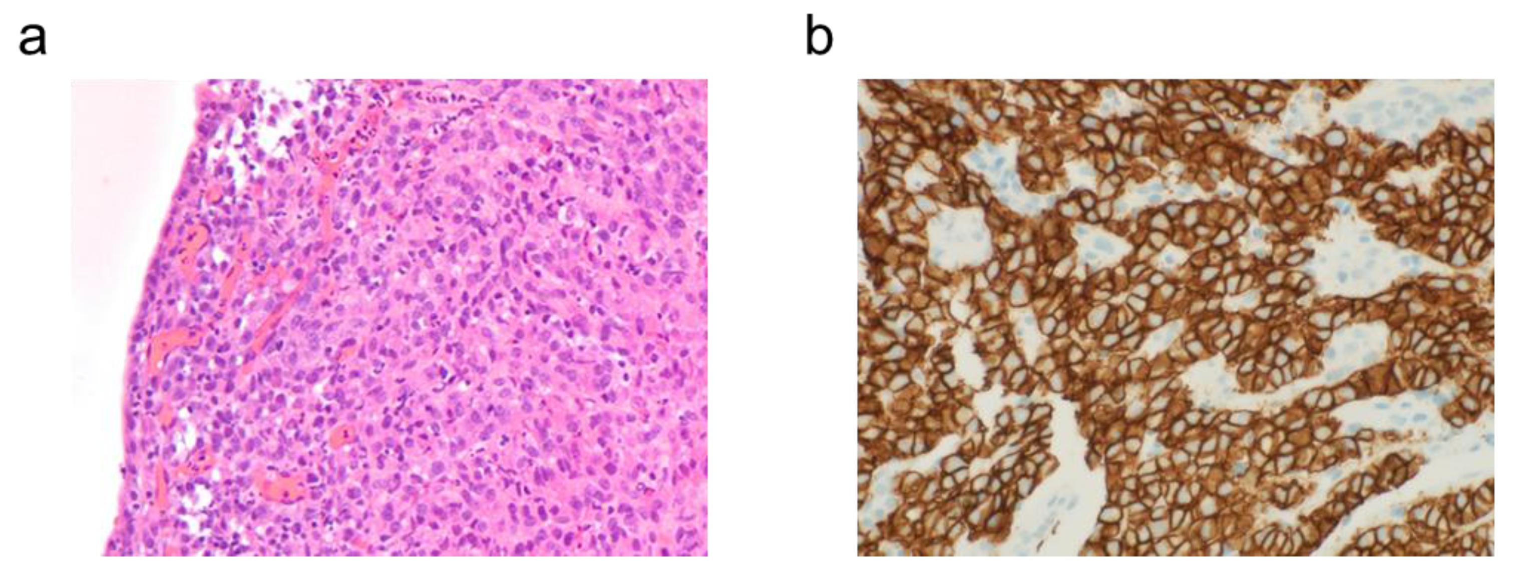
Figure 2. Pathological findings before chemotherapy. (a) Endoscopic biopsy specimen; Hematoxylin and eosin staining, ×100. (b) Endoscopic biopsy specimen; Immunohistochemical staining for CLDN18.2, ×100.
Figure 2. Pathological findings before chemotherapy. (a) Endoscopic biopsy specimen; Hematoxylin and eosin staining, ×100. (b) Endoscopic biopsy specimen; Immunohistochemical staining for CLDN18.2, ×100.
Preprints 178578 g002
Figure 3. Pathological findings after chemotherapy of surgical specimen. (a) Gross photograph of gastric specimen, mucosal aspect (before fixation). (b) Gross photograph of gastric specimen, serosal aspect (after fixation). (c) lesser curvature, hematoxylin and eosin staining, ×40. (d) greater curvature, hematoxylin and eosin staining, ×40. (e) lesser curvature, Immunohistochemical staining for pepsinogenI, ×40. (f) lesser curvature, Immunohistochemical staining for H-K-ATPase, ×40. (g) lesser curvature, Immunohistochemical staining for MUC5AC, ×40. (h) greater curvature, Immunohistochemical staining for pepsinogenI, ×40. (i) greater curvature, Immunohistochemical staining for H-K-ATPase, ×40. (j) greater curvature, Immunohistochemical staining for MUC5AC, ×40.
Figure 3. Pathological findings after chemotherapy of surgical specimen. (a) Gross photograph of gastric specimen, mucosal aspect (before fixation). (b) Gross photograph of gastric specimen, serosal aspect (after fixation). (c) lesser curvature, hematoxylin and eosin staining, ×40. (d) greater curvature, hematoxylin and eosin staining, ×40. (e) lesser curvature, Immunohistochemical staining for pepsinogenI, ×40. (f) lesser curvature, Immunohistochemical staining for H-K-ATPase, ×40. (g) lesser curvature, Immunohistochemical staining for MUC5AC, ×40. (h) greater curvature, Immunohistochemical staining for pepsinogenI, ×40. (i) greater curvature, Immunohistochemical staining for H-K-ATPase, ×40. (j) greater curvature, Immunohistochemical staining for MUC5AC, ×40.
Preprints 178578 g003
Table 1. Laboratory findings at the time of first visit.
Table 1. Laboratory findings at the time of first visit.
Biochemistry Immunology
TP 6.9 g/dL CRP 0.02 mg/dL
Alb 4.3 g/dL
AST 15 U/L Hematology
ALT 17 U/L WBC 9,920 /uL
Total Bil 0.69 mg/dL Hb 14.8 g/dL
LDH 187 U/L Plt 259 103/uL
ALP 66 U/L
Crea 0.77 mg/dL Tumor Markers
UN 13.6 mg/dL CEA 4.46 ng/mL
Na 141 mmol/L CA19-9 6.61 U/mL
K 4.3 mmol/L
Cl 104 mmol/L
CRP: C-reactive protein, CEA: Carcinoembryonic antigen, CA19-9: Cancer Antigen 19-9.
Table 2. Changes in serum albumin levels. The cycle number indicates the number of administration cycles of the zolbetuximab regimen.
Table 2. Changes in serum albumin levels. The cycle number indicates the number of administration cycles of the zolbetuximab regimen.
At time Alb (g/dL)
Baseline 4.3
S11+Oxaliplatin 4.4
cycle 1 4.2
cycle 2 3.9
cycle 3 3.9
cycle 4 4.0
cycle 5 3.5
cycle 6 3.6
Surgery 3.3
After Surgery 3.3
cycle 7 3.8
cycle 8 3.7
Cycle 9 3.5
Disclaimer/Publisher’s Note: The statements, opinions and data contained in all publications are solely those of the individual author(s) and contributor(s) and not of MDPI and/or the editor(s). MDPI and/or the editor(s) disclaim responsibility for any injury to people or property resulting from any ideas, methods, instructions or products referred to in the content.
Copyright: This open access article is published under a Creative Commons CC BY 4.0 license, which permit the free download, distribution, and reuse, provided that the author and preprint are cited in any reuse.
Prerpints.org logo

Preprints.org is a free preprint server supported by MDPI in Basel, Switzerland.

Subscribe

Disclaimer

Terms of Use

Privacy Policy

Privacy Settings

© 2026 MDPI (Basel, Switzerland) unless otherwise stated