Submitted:
09 September 2025
Posted:
11 September 2025
You are already at the latest version
Abstract

Keywords:
1. Introduction
2. Materials and Methods
2.1. Study Design, Sites, Sampling, and Isolation
Clinical Examination and Case Definitions
2.2. Biochemical Profiling and Phenotypic Validation of A. hydrophila
2.3. Species Confirmation by Molecular Markers
2.4. Genomic DNA Extraction (G-Spin)
2.5. PCR Amplification and Sanger Sequencing
2.6. Molecular Identification (16S rRNA, rpoB, gyrB)
2.7. Sequence Curation and Phylogenetic Inference
2.8. Antimicrobial Susceptibility Testing and MAR Index



- “I” (Intermediate) is not counted as “R”; missing values are excluded from Bi.
- Apply the same formulas per endpoint E ∈ {MAR-Relevant, MAR-All} by restricting call ij to drugs in endpoint E.
2.9. Experimental Infection and LD₅₀ Determination
2.10. Quantification of Biofilm Formation
2.11. Statistical Analysis
3. Results
3.1. Clinical Presentation in Farmed Gourami
3.2. Prevalence and Regional Patterns of Clinical Signs in Gourami (Wilson 95% CIs; Monte Carlo χ² with BH-FDR)
3.3. Biochemical Confirmation of A. hydrophila Identification
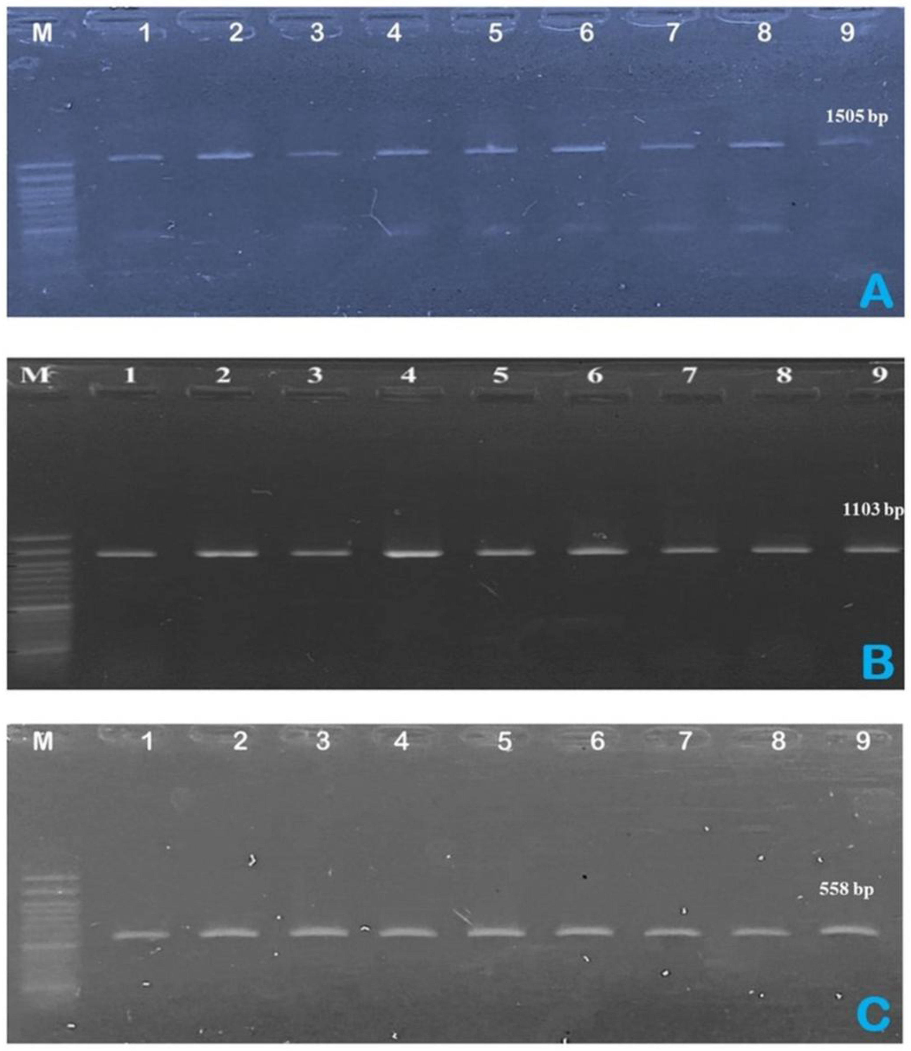
3.4. PCR Amplification and Multilocus Sequence Confirmation (16S, rpoB, gyrB)
3.5. Phylogenetic Placement of Indonesian Isolates Within A. hydrophila
3.6. MAR Indices and Multidrug-Resistance Profiles of A. hydrophila Isolates
3.7. Early Biofilm Cell Attachment (Crystal-Violet OD590)
3.8. Dose-Dependent Survival and LD50 in Gourami Challenged with A. hydrophila
4. Discussion
5. Conclusions
Supplementary Materials
Author Contributions
Funding
Institutional Review Board Statement
Informed Consent Statement
Data Availability Statement
Conflicts of Interest
Abbreviations
| MAR | Multiple Antibiotic Resistance Index |
| EUCAST | European Committee on Antimicrobial Susceptibility Testing |
| ODc | Optical-Density Cut-off (ambang OD untuk klasifikasi biofilm) |
| MS-222 | Tricaine Methanesulfonate (anestetik ikan) |
| MHA | Mueller–Hinton Agar |
| TSA | Tryptic Soy Agar |
| TSB | Tryptic Soy Broth |
| OD₅₉₀/OD₆₀₀ | Optical Density at 590/600 nm |
| MAFFT | Multiple Alignment using Fast Fourier Transform |
| trimAl | Alignment-Trimming Tool (untuk multiple sequence alignment) |
| ModelFinder | Model Selection (BIC) untuk filogenetik |
| IQ-TREE2 | Maximum-Likelihood Phylogenetics |
| UFBoot | Ultrafast Bootstrap |
| SH-aLRT | Shimodaira–Hasegawa Approximate Likelihood-Ratio Test |
| MrBayes | Bayesian Phylogenetics |
| ESS | Effective Sample Size (diagnostik MCMC) |
| iTOL | Interactive Tree Of Life (visualisasi pohon) |
| BH-FDR | Benjamini–Hochberg False Discovery Rate |
| ACUC | Animal Care and Use Committee |
| LD₅₀ | Median Lethal Dose |
References
- Slembrouck, J.; Arifin, O.Z.; Pouil, S.; Subagja, J.; Yani, A.; Asependi, A.; Kristanto, A.H.; Legendre, M. Seasonal variation of giant gourami (Osphronemus goramy) spawning activity and egg production in aquaculture ponds. Aquaculture 2020, 527, 735450. [Google Scholar] [CrossRef]
- Febrianti, R.; Khasani, I.; Rosada, K.K. Assessing the susceptibility of the selected gourami (Osphronemus goramy) to Aeromonas hydrophila. Nusantara Bioscience 2021, 13, 111–120. [Google Scholar] [CrossRef]
- Fernández-Bravo, A.; Figueras, M.J. An update on the genus Aeromonas: Taxonomy, epidemiology, and pathogenicity. Microorganisms 2020, 8, 129. [Google Scholar] [CrossRef]
- Janda, J.M.; Abbott, S.L. The genus Aeromonas: Taxonomy, pathogenicity, and infection. Clinical Microbiology Reviews 2010, 23, 35–73. [Google Scholar] [CrossRef]
- Chen, F.; Sun, J.; Han, Z.; Yang, X.; Xian, J.-A.; Lv, A.; Hu, X.; Shi, H. Isolation, identification and characteristics of Aeromonas veronii from diseased crucian carp (Carassius auratus gibelio). Frontiers in Microbiology 2019, 10, 2742. [Google Scholar] [CrossRef]
- Fajardo, C.; Santos, P.; Passos, R.; Vaz, M.; Azeredo, R.; Machado, M.; Fernández-Boo, S.; Baptista, T.; Costas, B. Early molecular immune responses of turbot (Scophthalmus maximus L.) following infection with Aeromonas salmonicida subsp. salmonicida. International Journal of Molecular Sciences 2023, 24, 12944. [Google Scholar] [CrossRef]
- Rozi, R.; Rahayu, K.; Daruti, D.N.; Stella, M.S.P. Study on characterization, pathogenicity and histopathology of disease caused by Aeromonas hydrophila in gourami (Osphronemus goramy). IOP Conference Series: Earth and Environmental Science 2018, 137, 012003. [Google Scholar] [CrossRef]
- Rozi, R.; Rahayu, K.; Daruti, D.N. Detection and analysis of hemolysin genes in Aeromonas hydrophila isolated from gourami (Osphronemus goramy) by polymerase chain reaction (PCR). IOP Conference Series: Earth and Environmental Science 2018, 137, 012001. [Google Scholar] [CrossRef]
- Rozi, R.; Tyasningsih, W.; Rahmahani, J.; Aksono, E.B.; Yunus, M.; Al Arif, M.A.; Kuncorojati, S.; Kusdarwati, R.; Sari, P.D.W.; Azmai, M.N.A.; Salleh, A.; Khan, N.N.; Suwarno. Designing a novel aerolysin-based multi-epitope vaccine against Aeromonas hydrophila isolated from Osphronemus goramy using reverse vaccinology: An in silico approach. Jurnal Ilmiah Perikanan dan Kelautan 2024, 16, 298–321. [Google Scholar] [CrossRef]
- Wassif, I.M.; Mohammed, R.S. Use of thyme and thymol as immunostimulant agents to control experimental Aeromonas hydrophila infection in Nile tilapia (Oreochromis niloticus). Zagazig Veterinary Journal 2022, 50, 241–254. [Google Scholar] [CrossRef]
- Abbott, S.L.; Cheung, W.K.W.; Janda, J.M. The genus Aeromonas: biochemical characteristics, atypical reactions, and phenotypic identification schemes. Journal of Clinical Microbiology 2003, 41, 2348–2357. [Google Scholar] [CrossRef]
- Su, H.; Su, J. Cyprinid viral diseases and vaccine development. Fish & Shellfish Immunology 2018, 83, 84–95. [Google Scholar] [CrossRef]
- Pridgeon, J.W.; Klesius, P.H.; Song, L.; Zhang, D.; Kojima, K.; Mobley, J.A. Identification, virulence, and mass spectrometry of toxic ECP fractions of West Alabama isolates of Aeromonas hydrophila obtained from a 2010 disease outbreak. Veterinary Microbiology 2013, 164, 336–343. [Google Scholar] [CrossRef]
- Zheng, W.; Cao, H.; Yang, X. Grass carp (Ctenopharyngodon idellus) infected with multiple strains of Aeromonas hydrophila. African Journal of Microbiology Research 2012, 6, 4512–4520. [Google Scholar] [CrossRef]
- Ugarte-Torres, A.; Perry, S.; Franko, A.; Church, D.L. Multidrug-resistant Aeromonas hydrophila causing fatal bilateral necrotizing fasciitis in an immunocompromised patient: A case report. Journal of Medical Case Reports 2018, 12, 326. [Google Scholar] [CrossRef]
- Mohanty, S.; Ali, S.M.; Singh, P.K. Necrotizing fasciitis and gas gangrene due to Aeromonas hydrophila in an immunocompetent host: A rare entity. IDCases 2022, 28, e01508. [Google Scholar] [CrossRef]
- Greiner, M.; Anagnostopoulos, A.; Pohl, D.; Zbinden, R.; Zbinden, A. A rare case of severe gastroenteritis caused by Aeromonas hydrophila after colectomy in a patient with anti-Hu syndrome: A case report. BMC Infectious Diseases 2021, 21, 1097. [Google Scholar] [CrossRef] [PubMed]
- Lohumi, Y.; Hussain Bhat, R.A.; Bhat, I.A.; Sidiq, M.J. Enhancing aquaculture sustainability: Role of alternative antimicrobial agents. In Management of Fish Diseases; Springer: Singapore, 2025; pp. 329–352. [Google Scholar] [CrossRef]
- Tindall, B.J.; Rosselló-Móra, R.; Busse, H.-J.; Ludwig, W.; Kämpfer, P. Notes on the characterization of prokaryote strains for taxonomic purposes. International Journal of Systematic and Evolutionary Microbiology 2010, 60, 249–266. [Google Scholar] [CrossRef] [PubMed]
- Richter, M.; Rosselló-Móra, R. Shifting the genomic gold standard for the prokaryotic species definition. Proceedings of the National Academy of Sciences of the USA 2009, 106, 19126–19131. [Google Scholar] [CrossRef]
- Meier-Kolthoff, J.P.; Auch, A.F.; Klenk, H.-P.; Göker, M. Genome sequence-based species delimitation with confidence intervals and improved distance functions. Systematic and Applied Microbiology 2013, 36, 259–267. [Google Scholar] [CrossRef] [PubMed]
- Clarridge, J.E., III. Impact of 16S rRNA gene sequence analysis for identification of bacteria on clinical microbiology and infectious diseases. Clinical Microbiology Reviews 2004, 17, 840–862. [Google Scholar] [CrossRef]
- Morandi, A.; Zhaxybayeva, O.; Gogarten, J.P.; Graf, J. Evolutionary and diagnostic implications of intragenomic heterogeneity in the 16S rRNA gene in Aeromonas strains. Journal of Bacteriology 2005, 187, 6561–6564. [Google Scholar] [CrossRef]
- Martínez-Murcia, A.J.; Monera, A.; Saavedra, M.J.; Oncina, R.; López-Álvarez, M.; Lara, E.; Figueras, M.J. Multilocus phylogenetic analysis of the genus Aeromonas. Systematic and Applied Microbiology 2011, 34, 189–199. [Google Scholar] [CrossRef]
- Yáñez, M.A.; Catalán, V.; Apraiz, D.; Figueras, M.J.; Martínez-Murcia, A.J. Phylogenetic analysis of the genus Aeromonas based on gyrB gene sequences. International Journal of Systematic and Evolutionary Microbiology 2003, 53, 875–883. [Google Scholar] [CrossRef]
- Korczak, B.; Christensen, H.; Emler, S.; Frey, J.; Kuhnert, P. Phylogeny of the family Aeromonadaceae based on rpoB sequences. Systematic and Applied Microbiology 2006, 29, 431–439. [Google Scholar] [CrossRef]
- Liu, P.-C.; Chuang, W.-H.; Tu, C.-C.; Lee, K.-K. Purification of a toxic cysteine protease produced by pathogenic Aeromonas hydrophila isolated from rainbow trout. Journal of Basic Microbiology 2010, 50, 538–547. [Google Scholar] [CrossRef] [PubMed]
- Suresh, K.; Pillai, D. Prevalence and characterization of virulence-associated genes and antimicrobial resistance in Aeromonas hydrophila from freshwater finfish farms in Andhra Pradesh, India. Biologia 2023, 78, 2931–2939. [Google Scholar] [CrossRef]
- Vilches, S.; Jiménez, N.; Merino, S.; Tomás, J.M. The Aeromonas dsbA mutation decreased virulence by triggering type III secretion system but not flagella production. Microbial Pathogenesis 2012, 52, 130–139. [Google Scholar] [CrossRef]
- Jiang, X.; Qin, Y.X.; Lin, G.F.; Huang, L.; Huang, B.; Huang, W.S.; Yan, Q.P. FlgN plays important roles in the adhesion of Aeromonas hydrophila to host mucus. Genetics and Molecular Research 2015, 14, 6376–6386. [Google Scholar] [CrossRef]
- Cabello, F.C.; Godfrey, H.P.; Tomova, A.; Ivanova, L.; Dölz, H.; Millanao, A.; Buschmann, A.H. Antimicrobial use in aquaculture re-examined: Its relevance to antimicrobial resistance and to animal and human health. Environmental Microbiology 2013, 15, 1917–1942. [Google Scholar] [CrossRef] [PubMed]
- Krumperman, P.H. Multiple antibiotic resistance indexing of Escherichia coli to identify high-risk sources of fecal contamination of foods. Applied and Environmental Microbiology 1983, 46, 165–170. [Google Scholar] [CrossRef]
- Clinical and Laboratory Standards Institute (CLSI). Performance Standards for Antimicrobial Disk and Dilution Susceptibility Tests for Bacteria Isolated from Animals; VET03, 5th ed.; CLSI: Wayne, PA, USA, 2020. [Google Scholar]
- Clinical and Laboratory Standards Institute (CLSI). Performance Standards for Antimicrobial Susceptibility Testing of Bacteria Isolated from Aquatic Animals; VET04, 1st ed.; CLSI: Wayne, PA, USA, 2020. [Google Scholar]
- Mursalim, M.F.; Budiyansah, H.; Raharjo, H.M.; Debnath, P.P.; Sakulworakan, R.; Chokmangmeepisarn, P.; Yindee, J.; Piasomboon, P.; Elayaraja, S.; Rodkhum, C.; Rodkhum, C. Diversity and antimicrobial susceptibility profiles of Aeromonas spp. isolated from diseased freshwater fishes in Thailand. Journal of Fish Diseases 2022, 45, 1917–1932. [Google Scholar] [CrossRef]
- Stepanović, S.; Vuković, D.; Hola, V.; Di Bonaventura, G.; Djukić, S.; Cirković, I.; Ruzicka, F. Quantification of biofilm in microtiter plates: Overview of testing conditions and practical recommendations for assessment of biofilm production by staphylococci. Journal of Microbiological Methods 2007, 68, 175–179. [Google Scholar] [CrossRef]
- Reed, L.J.; Muench, H. A simple method of estimating fifty per cent endpoints. American Journal of Hygiene 1938, 27, 493–497. [Google Scholar]
- Flemming, H.-C.; Wingender, J.; Szewzyk, U.; Steinberg, P.; Rice, S.A.; Kjelleberg, S. Biofilms: An emergent form of bacterial life. Nat. Rev. Microbiol. 2016, 14, 563–575. [Google Scholar] [CrossRef] [PubMed]
- Bridier, T.; Briandet, R.; Thomas, V.; Dubois-Brissonnet, F. Resistance of bacterial biofilms to disinfectants: a review. Biofouling 2011, 27, 1017–1032. [Google Scholar] [CrossRef] [PubMed]
- O’Toole, G.; Stewart, P.S.; Stoodley, P. Biofilms as complex differentiated communities. Annu. Rev. Microbiol. 2000, 54, 49–79. [Google Scholar] [CrossRef]
- O’Toole, G.A. Microtiter Dish Biofilm Formation Assay. J. Vis. Exp. 2011, (47), e2437. [Google Scholar] [CrossRef]
- Madsen, J.S.; Burmølle, M.; Hansen, L.H.; Sørensen, S.J. The interconnection between biofilm formation and horizontal gene transfer. FEMS Immunol. Med. Microbiol. 2012, 65, 183–195. [Google Scholar] [CrossRef]
- Singh, B.; Dahiya, M.; Kumar, V.; Ayyagari, A.; Chaudhari, D.N.; Ahire, J.J. Biofilm and Antimicrobial Resistance: Mechanisms, Implications, and Emerging Solutions. Microbiol. Res. 2025, 16, 183. [Google Scholar] [CrossRef]
- Rasmussen-Ivey, C.R.; Hossain, M.J.; Odom, S.E.; Terhune, J.S.; Hemstreet, W.G.; Shoemaker, C.A.; Zhang, D.; Xu, D.-H.; Griffin, M.J.; Liu, Y.-J.; et al. Classification of a Hypervirulent Aeromonas hydrophila Pathotype Responsible for Epidemic Outbreaks in Warm-Water Fishes. Front. Microbiol. 2016, 7, 1615. [Google Scholar] [CrossRef] [PubMed]
- Zhang, D.; Xu, D.-H.; Shoemaker, C. Experimental Induction of Motile Aeromonas Septicemia in Channel Catfish (Ictalurus punctatus) by Waterborne Challenge with Virulent Aeromonas hydrophila. Aquac. Rep. 2016, 3, 18–23. [Google Scholar] [CrossRef]
- Peatman, E.; Mohammed, H.; Kirby, A.; Shoemaker, C.A.; Yildirim-Aksoy, M.; Beck, B.H. Mechanisms of Pathogen Virulence and Host Susceptibility in Virulent Aeromonas hydrophila Infections of Channel Catfish (Ictalurus punctatus). Aquaculture 2018, 482, 1–8. [Google Scholar] [CrossRef]
- Donlan, R.M. Biofilms: Microbial life on surfaces. Emerg. Infect. Dis. 2002, 8, 881–890. [Google Scholar] [CrossRef] [PubMed]






| Target | Primer (name) |
Sequence (5′→3′) | Amplicon (bp) | Annealing (°C) | Reference† |
|---|---|---|---|---|---|
| gyrB | Forward (gyrB3F) | TCCGGCGGTCTGCACGGCGT | ~1100 | 55 | Yáñez et al., [25]; Korczak et al., [26] |
| Reverse (gyrB14R) | TTGTCCGGGTTGTACTCGTC | ||||
| rpoB | Forward (PasrpoB-L) | GCAGTSGAAAGARTTCTTTGTTC | ~560 | 54 | Korczak et al., [26] |
| Reverse (RpoB-R) |
GTTGCATGTTNGNACCCAT | ||||
| 16S rRNA | Forward (27F/27f-CM) | AGAGTTTGATCMTGGCTCAG | ~1500 | 56 | Morandi et al [23] |
| Reverse (1492R) | TACGGYTACCTTGTTACGACTT |
| Clinical sign | Mojokerto x/N (%) | Surabaya x/N (%) | Pasuruan x/N (%) | Blitar x/N (%) | Sidoarjo x/N (%) | Monte Carlo p (FDR q) | Overall (x/N, % [95% CI]) |
|---|---|---|---|---|---|---|---|
| N (fish examined) | N = 20 | N = 35 | N = 20 | N = 164 | N = 40 | , | N = 279 |
| Hemorrhagic lesions | 5/20 (25.0%) | 7/35 (20.0%) | 6/20 (30.0%) | 29/164 (17.7%) | 10/40 (25.0%) | 0.6222 (0.6283) | 57/279 (20.4%) [16.1–25.5] |
| Exophthalmia | 4/20 (20.0%) | 5/35 (14.3%) | 0/20 (0.0%) | 28/164 (17.1%) | 9/40 (22.5%) | 0.2588 (0.3926) | 46/279 (16.5%) [12.6–21.3] |
| Skin ulcers/ open wounds |
1/20 (5.0%) | 4/35 (11.4%) | 8/20 (40.0%) | 20/164 (12.2%) | 2/40 (5.0%) | 0.0031 (0.0132) | 35/279 (12.5%) [9.2–16.9] |
| Fin erosion | 0/20 (0.0%) | 0/35 (0.0%) | 2/20 (10.0%) | 15/164 (9.1%) | 6/40 (15.0%) | 0.1021 (0.2211) | 23/279 (8.2%) [5.6–12.1] |
| Scale loss/ desquamation |
0/20 (0.0%) | 10/35 (28.6%) | 0/20 (0.0%) | 21/164 (12.8%) | 0/40 (0.0%) | 0.0004 (0.0059) | 31/279 (11.1%) [7.9–15.3] |
| Renal swelling | 6/20 (30.0%) | 0/35 (0.0%) | 3/20 (15.0%) | 22/164 (13.4%) | 7/40 (17.5%) | 0.0305 (0.0991) | 38/279 (13.6%) [10.1–18.1] |
| Intestinal hemorrhage | 0/20 (0.0%) | 3/35 (8.6%) | 0/20 (0.0%) | 18/164 (11.0%) | 0/40 (0.0%) | 0.0505 (0.1312) | 21/279 (7.5%) [5.0–11.2] |
| Ascites (abdominal fluid) | 1/20 (5.0%) | 1/35 (2.9%) | 1/20 (5.0%) | 9/164 (5.5%) | 5/40 (12.5%) | 0.4428 (0.5233) | 17/279 (6.1%) [3.8–9.5] |
| Digestive-tract damage | 0/20 (0.0%) | 1/35 (2.9%) | 0/20 (0.0%) | 0/164 (0.0%) | 0/40 (0.0%) | 0.1298 (0.2412) | 1/279 (0.4%) [0.1–2.0] |
| Sluggish swimming | 2/20 (10.0%) | 0/35 (0.0%) | 0/20 (0.0%) | 0/164 (0.0%) | 0/40 (0.0%) | 0.0027 (0.0132) | 2/279 (0.7%) [0.2–2.6] |
| Anorexia (loss of appetite) | 1/20 (5.0%) | 2/35 (5.7%) | 0/20 (0.0%) | 3/164 (1.8%) | 0/40 (0.0%) | 0.2996 (0.3926) | 6/279 (2.2%) [1.0–4.6] |
| Surface floating tendency | 0/20 (0.0%) | 0/35 (0.0%) | 0/20 (0.0%) | 3/164 (1.8%) | 0/40 (0.0%) | 0.6283 (0.6283) | 3/279 (1.1%) [0.4–3.1] |
| Bubbling via operculum | 0/20 (0.0%) | 2/35 (5.7%) | 0/20 (0.0%) | 2/164 (1.2%) | 1/40 (2.5%) | 0.3020 (0.3926) | 5/279 (1.8%) [0.8–4.1] |
| Parameter | Result of biochemical test |
|---|---|
| Colony morphology | Cream, Circular, Convex, Entire, Echinulate |
| Gram stain | Gram Negative |
| Shape | rod |
| O/F | Fermentative |
| Motility | motile |
| Oxidase, Catalase, Methyl Red (MR), Simmons citrate, Gelatinase, Arginine dihydrolase (ADH), Lysine decarboxylase (LDH). | + |
| 6.5% NaCl growth, Ornithine decarboxylase (ODC), Urease, H₂S production; Vibriostatic O/129 (10/150 µg) | - |
| TSIA | A/A, G |
| Acid production from: | |
| - D - Glucose, D-Galaktose, Lactose, Maltose, D-Mannitol, D-Mannose, and Sucrose |
+ |
| - Dulcitol, Raffinose, D-Sorbitol, D-Xylose, Inositol, and Inulin |
- |
| Isolate | 16S rRNA (%ID) | 16S (%Cov) | rpoB (%ID) | rpoB (%Cov) | gyrB (%ID) | gyrB (%Cov) | Species call |
|---|---|---|---|---|---|---|---|
| WS38 | 99.49 | 99 | 99.24 | 99 | 98.23 | 98 | A. hydrophila |
| TM25 | 99.58 | 99 | 99.05 | 99 | 98.88 | 98 | A. hydrophila |
| KS77 | 99.59 | 99 | 99.85 | 99 | 98.25 | 98 | A. hydrophila |
| PP26 | 99.38 | 99 | 99.43 | 99 | 98.3 | 98 | A. hydrophila |
| GB59 | 99.29 | 99 | 99.64 | 99 | 98.98 | 98 | A. hydrophila |
| SB59 | 99.35 | 99 | 99.45 | 99 | 98.05 | 98 | A. hydrophila |
| SB66 | 99.44 | 99 | 99.8 | 99 | 98.75 | 98 | A. hydrophila |
| SS26 | 99.18 | 99 | 99.1 | 99 | 98.3 | 98 | A. hydrophila |
| WS48 | 99.63 | 99 | 99.6 | 99 | 98.2 | 98 | A. hydrophila |
| Metric | gyrB | 16S rRNA | rpoB |
|---|---|---|---|
| Species-level concordance to reference (%) | ≥95–100 | 70–85 | 90–97 |
| Median UFBoot at species node (ML) | 95–100 | 70–90 | 93–100 |
| Median BPP at species node (BI) | 0.98–1.00 | 0.85–0.98 | 0.98–1.00 |
| No. of well-supported subclades | 3–5 | 1–2 | 3–4 |
| Misassignment correction (n/N) | 0–1/N | 1–3/N | 0–1/N |
| Antimicrobial agent (number of strains tested) | Abbrev | Drug class | AST disk content | Susceptible n (%) | Intermediate n (%) | Resistant n (%) |
|---|---|---|---|---|---|---|
| Chloramphenicol (9) | CHL | Amphenicol | 30 µg | 0 (0.00) | 3 (33.33) | 6 (66.67) |
| Streptomycin (9) | STR | Aminoglycoside | 10 µg | 0 (0.00) | 0 (0.00) | 9 (100.00) |
| Tetracycline (9) | TET (TE) | Tetracycline | 30 µg | 4 (44.44) | 0 (0.00) | 5 (55.56) |
| Amoxicillin (9) | AMX (AML) | β-lactam – Aminopenicillin | 25 µg | 1 (11.11) | 4 (44.44) | 4 (44.44) |
| Ampicillin (9) | AMP | β-lactam – Aminopenicillin | 10 µg | 0 (0.00) | 0 (0.00) | 9 (100.00) |
| Ciprofloxacin (9) | CIP | Fluoroquinolone | 5 µg | 9 (100.00) | 0 (0.00) | 0 (0.00) |
| Azithromycin (9) | AZM | Macrolide (Azalide) | 15 µg | 0 (0.00) | 0 (0.00) | 9 (100.00) |
| Penicillin G (benzylpenicillin) (9) | PEN (P) | β-lactam – Natural penicillin | 10 U | 0 (0.00) | 0 (0.00) | 9 (100.00) |
| Doxycycline (9) | DOX (DO) | Tetracycline | 30 µg | 7 (77.78) | 0 (0.00) | 2 (22.22) |
| Rifampicin (9) | RIF | Rifamycin | 5 µg | 0 (0.00) | 0 (0.00) | 9 (100.00) |
| Erythromycin (9) | ERY (E) | Macrolide | 15 µg | 2 (22.22) | 2 (22.22) | 5 (55.56) |
| Cefixime (9) | CFM | Cephalosporin | 5 µg | 0 (0.00) | 0 (0.00) | 9 (100.00) |
| Clindamycin (9) | CLI (DA) | Lincosamide | 2 µg | 0 (0.00) | 0 (0.00) | 9 (100.00) |
| Cefadroxil (9) | CFD | Cephalosporin | 30 µg | 0 (0.00) | 0 (0.00) | 9 (100.00) |
| Gentamicin (9) | GEN (CN) | Aminoglycoside | 10 µg | 2 (22.22) | 0 (0.00) | 7 (77.78) |
| Novobiocin (9) | NB | Aminocoumarin (GyrB inhibitor) | 5 µg | 0 (0.00) | 0 (0.00) | 9 (100.00) |
| Vancomycin (9) | VAN (VA) | Glycopeptide | 30 µg | 0 (0.00) | 0 (0.00) | 9 (100.00) |
| Oxytetracycline (9) | OXT (OT) | Tetracycline | 30 µg | 5 (55.56) | 0 (0.00) | 4 (44.44) |
| Bacterial Code | Isolates Source | No. of Resistant Antibiotics | Resistance Profile | Number of Antibiotic Classes | MAR Index | Stance Level |
|---|---|---|---|---|---|---|
| WS38 | Gouramy | 10 | STR, AMP, AZM, P, RIF, CFM, CLI, CFD, NB, VAN | 9 | 0.556 | MDR |
| TM25 | Gouramy | 10 | STR, AMP, AZM, P, RIF, CFM, CLI, CFD, NB, VAN | 9 | 0.556 | MDR |
| KS77 | Gouramy | 11 | STR, AMP, AZM, P, RIF, CFM, CLI, CFD, GEN, NB, VAN | 9 | 0.611 | MDR |
| PP26 | Gouramy | 12 | CHL, STR, AMP, AZM, P, RIF, CFM, CLI, CFD, GEN, NB, VAN | 10 | 0.667 | MDR |
| GB59 | Gouramy | 14 | CHL, STR, TET, AMP, AZM, P, RIF, ERY, CFM, CLI, CFD, GEN, NB, VAN | 12 | 0.778 | MDR |
| SB59 | Gouramy | 16 | CHL, STR, TET, AMX, AMP, AZM, P, RIF, ERY, CFM, CLI, CFD, GEN, NB, VAN, OXT | 12 | 0.889 | MDR |
| SB66 | Gouramy | 16 | CHL, STR, TET, AMX, AMP, AZM, P, RIF, ERY, CFM, CLI, CFD, GEN, NB, VAN, OXT | 12 | 0.889 | MDR |
| SS26 | Gouramy | 17 | CHL, STR, TET, AMX, AMP, AZM, P, DOX, RIF, ERY, CFM, CLI, CFD, GEN, NB, VAN, OXT | 12 | 0.944 | MDR |
| WS48 | Gouramy | 17 | CHL, STR, TET, AMX, AMP, AZM, P, DOX, RIF, ERY, CFM, CLI, CFD, GEN, NB, VAN, OXT | 12 | 0.944 | MDR |
Disclaimer/Publisher’s Note: The statements, opinions and data contained in all publications are solely those of the individual author(s) and contributor(s) and not of MDPI and/or the editor(s). MDPI and/or the editor(s) disclaim responsibility for any injury to people or property resulting from any ideas, methods, instructions or products referred to in the content. |
© 2025 by the authors. Licensee MDPI, Basel, Switzerland. This article is an open access article distributed under the terms and conditions of the Creative Commons Attribution (CC BY) license (http://creativecommons.org/licenses/by/4.0/).