Preprint
Review

This version is not peer-reviewed.

The Many Faces of Parkinsonism: Dissecting Clinical and Molecular Overlap in Multiple System Atrophy and Parkinson's Disease

Submitted:

19 August 2025

Posted:

28 August 2025

You are already at the latest version

Abstract
Multiple system atrophy (MSA) is a rapidly progressive neurodegenerative disorder with heterogeneous clinical manifestations, most commonly parkinsonism (MSA-P) or cerebellar ataxia (MSA-C). MSA-P shares many motor features with Parkinson’s disease (PD), including bradykinesia and rigidity, which often leads to misdiagnosis in early stages. However, disease trajectory, therapeutic responsiveness, and underlying pathology diverge substantially between MSA and PD. In this perspective, we examine the clinical and molecular boundaries between these disorders, with an emphasis on motor phenotypes, diagnostic pitfalls, and emerging translational approaches. We review the limited dopaminergic responsiveness in MSA compared to PD, highlight the geographical variability in MSA phenotypes, and discuss how autonomic dysfunction and cerebellar features contribute to early diagnostic clues. Advances in neuroimaging and fluid biomarkers, such as neurofilament light chain and α-synuclein seeding assays, are beginning to refine differential diagnosis, though clinical utility remains limited in prodromal stages. On a molecular level, PD is increasingly defined by synaptic and extracellular matrix dysfunction in dopaminergic neurons, while MSA pathogenesis is driven by α-synuclein aggregation within oligodendrocytes and lipid metabolic disturbances. Patient-derived induced pluripotent stem cell (iPSC) models have been instrumental in capturing these divergent mechanisms, underscoring the necessity for tailored therapeutic strategies.
Keywords: 
;  ;  

Introduction

Multiple System Atrophy (MSA) is a severe and rapidly progressing neurodegenerative condition that typically manifests in adulthood. It is characterized by a variable combination of autonomic dysfunction, motor impairments, and cerebellar abnormalities (Sidoroff et al., 2022). Clinically, MSA is divided into two motor subtypes: the parkinsonian variant (MSA-P), which presents with features such as bradykinesia, rigidity, and postural instability, and the cerebellar variant (MSA-C), characterized by ataxia, dysarthria, and cerebellar oculomotor signs (Jellinger & Jellinger, 2016). MSA-P is more prevalent in Western populations, where it accounts for approximately 60–80% of all MSA cases. In contrast, MSA-C predominates in East Asian regions, particularly in Japan, Korea, and China, where studies report it comprises up to 67% of diagnosed MSA cases (Fanciulli & Wenning, 2015; Jellinger, 2022) This geographical variability in clinical phenotype may reflect underlying genetic, environmental, or diagnostic practice differences, though the exact reasons remain unclear. Epidemiological studies suggest that regional variations in subtype frequency could also be influenced by differential expression of clinical symptoms that guide initial diagnosis, with MSA-C’s cerebellar signs potentially more recognizable or emphasized in certain healthcare systems (Ozawa et al., 2012).
Despite their pathological distinctions, MSA-P often closely resembles Parkinson’s disease (PD) in its early stages, leading to frequent misdiagnosis. This diagnostic overlap complicates not only clinical care but also delays appropriate therapeutic and prognostic planning. While MSA is largely considered a sporadic disorder, rare genetic associations have been reported. Mutations in the COQ2 gene have been linked to familial cases of MSA, particularly in East Asian populations, though these findings have not been consistently replicated across cohorts (Federoff et al., 2015a) Moreover, genome-wide association studies have yet to identify common variants or variants that distinguish MSA-P from MSA-C on a genetic basis, underscoring the complex and primarily idiopathic nature of the disease. Given the limited efficacy of disease-modifying therapies and the importance of early intervention, a re-evaluation of the motor features that distinguish MSA from PD is urgently needed. In this perspective, we revisit the clinical and paraclinical boundaries between MSA and Parkinsonism, with a particular focus on motor phenotypes and evolving diagnostic tools.

Divergent Therapeutic Strategies in MSA-P, MSA-C, and Parkinson’s Disease

Clinically, pharmacological treatment of MSA-P focuses on dopaminergic agents, although the response is consistently more modest and transient compared to Parkinson’s disease (PD). Approximately one-third of MSA patients may derive symptomatic benefit from levodopa, but improvements typically wane within a year and remain under 50 % efficacy (Perez-Lloret et al., 2015). Dopamine agonists and amantadine are alternative options, though responses are generally weaker than in PD. In contrast, PD patients often navigate early and sustained motor control through levodopa, monoamine oxidase B (MAO-B) inhibitors and COMT inhibitors, with deep brain stimulation as a later option (Höllerhage et al., 123 C.E.).
MSA-C lacks distinct disease-modifying therapies; management centers on cerebellar symptoms via supportive measures such as physiotherapy and occupational therapy. Symptomatic off label use of amantadine or benzodiazepines may offer slight relief for ataxia or tremor, yet none match the motor improvement levels seen with dopaminergic therapies in PD (Youn et al., 2012). Additional agents such as benzodiazepines, baclofen, and vitamin E have been trialed off abel with limited documented efficacy (Perez-Lloret et al., 2015). A key therapeutic distinction between MSA and PD lies in the prominence of autonomic dysfunction. Orthostatic hypotension in MSA is addressed with volume expansion (fludrocortisone) and vasoconstrictors (midodrine, droxidopa); midodrine consistently improves standing blood pressure, while droxidopa offers symptomatic relief with a lower risk of supine hypertension (Eschlböck et al., 2017).
In PD, by contrast, sustained and efficacious symptom control is achieved through established regimens that include levodopa, MAO-B inhibitors, catechol-O-methyltransferase (COMT) inhibitors, and when motor fluctuations develop deep brain stimulation (DBS) may be effective (Olanow et al., 2009; Seppi et al., 2011). Thus, therapeutic strategies diverge significantly: MSA-P shares initial dopaminergic responsiveness with PD but has a poorer prognosis, MSA-C lacks any targeted motor therapy, and autonomic support is a cornerstone in MSA but secondary in PD (Fanciulli & Wenning, 2015; Palma & Kaufmann, 2014).

Genomic Variability

While Parkinson’s disease (PD) has well-established genetic contributors, including mutations in SNCA, LRRK2, PARK7, PINK1, and GBA1, the genetic landscape of Multiple System Atrophy (MSA) remains far less defined (Nuytemans et al., 2010). PD displays both familial and sporadic forms, with up to 15% of cases having a known genetic mutation (Figure 1), particularly in early-onset or autosomal dominant patterns (Blauwendraat et al., 2020; T. Stern et al., 2024). In contrast, MSA is largely considered a sporadic disorder, with only rare familial cases reported. A notable exception is the COQ2 gene (Figure 1), which encodes an enzyme involved in coenzyme Q10 biosynthesis. Variants in COQ2 especially the V393A polymorphism have been implicated in familial and sporadic MSA cases in East Asian populations, particularly those with the MSA-C phenotype (Heckman et al., 2014). However, these associations have not been consistently replicated in Western cohorts (Federoff et al., 2015b) raising questions about population-specific risk factors. Genome-wide association studies (GWAS) have thus far failed to identify robust, disease-defining variants for either MSA-P or MSA-C. Furthermore, genes commonly implicated in PD, such as SNCA and LRRK2, do not appear to play a pathogenic role in MSA, although alpha-synuclein aggregates are a shared pathological hallmark (Campese et al., 2021a). The lack of clear genetic differentiation between MSA subtypes underscores the complexity of their etiology and supports the view that both environmental and stochastic factors may contribute to disease manifestation and progression.

Defining Parkinsonism in MSA

Parkinsonism is a clinical syndrome defined by the presence of bradykinesia in combination with at least one of the following: rest tremor, rigidity, or postural instability (Postuma et al., 2015). While MSA-P meets this definition, its presentation often diverges from idiopathic Parkinson’s disease (PD). Patients with MSA-P typically experience symmetrical rigidity, reduced tremor, and limited benefit from dopaminergic therapy. The progression is more aggressive, and motor disability develops earlier than in PD (Sidoroff et al., 2022). Speech impairments, such as early-onset hypophonia and dysarthria, tend to develop more rapidly in MSA (Wenning et al., 2022). Moreover, the presence of early autonomic failure including orthostatic hypotension, urinary incontinence, or erectile dysfunction is a hallmark of MSA and significantly less common in early PD (Sidoroff et al., 2022).
Importantly, MSA carries a considerably worse prognosis than PD. The median survival time from symptom onset in MSA ranges from 6 to 10 years, with respiratory complications and sudden death being common terminal events (Fanciulli & Wenning, 2015; Low et al., 2015). In contrast, individuals with PD typically have a life expectancy that is only modestly reduced compared to the general population, especially in cases with later onset and a good response to dopaminergic treatment (Macleod et al., 2014). This marked disparity in disease trajectory highlights the necessity for early and accurate differential diagnosis. Clinicians should maintain a high degree of clinical vigilance for these features, as prompt and accurate differentiation between MSA and PD is essential for guiding treatment decisions, ensuring prognostic precision, and determining eligibility for clinical trial participation.

Clinical Overlaps and Diagnostic Pitfalls

Although MSA-P shares many motor features with Parkinson’s disease (PD), several aspects of its clinical profile can assist in differentiation. Bradykinesia and rigidity are present in both conditions, but tremor, particularly rest tremor, is less frequent and often atypical in MSA-P, appearing more as postural or action tremor (Fanciulli & Wenning, 2015). Levodopa responsiveness in MSA-P is typically poor or short-lived, in contrast to the sustained benefit observed in most PD cases. Moreover, motor symptoms in MSA-P tend to be symmetric from onset, whereas PD often begins asymmetrically. The early emergence of autonomic dysfunction, cerebellar signs, and pyramidal features further supports a diagnosis of MSA (Sidoroff et al., 2022; Wenning et al., 2022). Importantly, progressive antecollis, stridor, or early falls should raise clinical suspicion of MSA, particularly in patients with rapidly advancing parkinsonism who do not respond to standard dopaminergic therapy. Recognizing these features is critical, as misdiagnosis can delay appropriate management and misdirect patients from relevant clinical trials (Watanabe et al., 2018).

Neuroimaging and Biomarkers

MSA is marked by widespread neuronal loss affecting several key brain regions, including the basal ganglia (putamen, caudate nucleus, globus pallidus, substantia nigra, subthalamic nucleus), cerebellum (cerebellar cortex, dentate nucleus), pontine nuclei, inferior olivary nuclei, and pedunculopontine nucleus (Figure 2) (Campese et al., 2021b). In Parkinson’s Disease (PD), neuronal loss is primarily localized to the substantia nigra pars compacta (SNc) (Figure 3) (Palma & Kaufmann, 2014). Structural MRI remains a cornerstone in supporting the diagnosis of multiple system atrophy (MSA). The “hot cross bun” sign reflecting cruciform T2/FLAIR hyperintensity in the pons is frequently observed in MSA-C and, to a lesser degree, in MSA-P. It demonstrates high specificity (>98%) in later-stage disease though may occasionally be seen in other cerebellar or pontine pathologies (Lee et al., n.d.; Weissert et al., n.d.). Putaminal rim hyperintensity and posterior putaminal hypointensity on T2 imaging are also distinctive, particularly in MSA-P; however, these findings increase in diagnostic utility when combined with pontine atrophy and are best appreciated on T2* or high-field sequences (Recio Bermejo et al., 2012). Nevertheless, these signs often emerge only in advanced stages, limiting their early diagnostic value.
Functional imaging modalities such as dopamine transporter (DaT-SCAN) and FDG-PET can reveal dopaminergic cell loss and alterations in cerebral glucose metabolism, respectively. Yet, their specificity in differentiating MSA from Parkinson’s disease (PD) and other atypical parkinsonian disorders is limited in early disease (Campabadal et al., 2021). For instance, striatal dopaminergic deficits are common to both MSA and PD, while cerebellar hypometabolism patterns may overlap with atypical ataxias.
To enhance early diagnostic accuracy, increasing attention has been directed toward fluid biomarkers. Neurofilament light chain (NfL), a marker of axonal degeneration, has been shown to be significantly elevated in the cerebrospinal fluid (CSF) and blood of MSA patients compared to those with PD, reflecting the more aggressive neurodegenerative course of MSA (Abos et al., 2019). In addition, recent developments in α-synuclein seed amplification assays, including real-time quaking-induced conversion (RT-QuIC) and protein misfolding cyclic amplification (PMCA), have demonstrated high sensitivity and specificity in detecting misfolded α-synuclein in CSF samples. Notably, the conformational strains of α-synuclein aggregates differ between MSA and PD, potentially enabling subtype-specific molecular diagnosis, though these methodologies remain in the translational phase and are not yet in routine clinical use (Fairfoul et al., 2016; Fellner et al., 2020). While conventional MRI findings remain valuable for later-stage diagnostic confirmation, their limited sensitivity in early disease underscores the need for integrative diagnostic frameworks. The incorporation of advanced fluid biomarkers, particularly NfL and α-synuclein seeding assays, alongside neuroimaging modalities, offers a promising approach for earlier and more accurate differentiation between MSA subtypes and PD.

Understanding the Pathogenesis of MSA and PD

MSA is characterized by the accumulation of misfolded α-synuclein in oligodendrocytes, forming glial cytoplasmic inclusions that trigger neuroinflammation and neurodegeneration. Unlike Parkinson’s disease, where α-synuclein aggregates in neurons (Cordeiro et al., 2024), MSA’s glial pathology leads to faster progression and broader system involvement. A prion-like spread of α-synuclein is thought to underlie disease propagation (Monzio Compagnoni & Di Fonzo, 2019).
Recent advances have deepened our understanding of MSA pathogenesis, particularly the role of α-synuclein accumulation in oligodendrocytes, which contrasts with its neuronal aggregation in Parkinson’s disease. Despite shared pathology, MSA progresses more rapidly and responds poorly to dopaminergic therapy. Emerging biomarkers such as serum neurofilament light chain and α-synuclein seeding assays may improve early diagnostic accuracy. Additionally, iPSC-derived cellular models now offer a translational platform to study disease-specific mechanisms and screen potential disease-modifying therapies (Krismer et al., 2024).

Modeling MSA and PD Using iPSCs

Induced pluripotent stem cell (iPSC) models have become invaluable for unraveling pathogenic mechanisms in synucleinopathies. In MSA, patient-derived iPSCs differentiated into oligodendrocytes demonstrate hallmark disease features including glial cytoplasmic inclusion (GCI) like α-synuclein aggregation, accompanied by disrupted lipid homeostasis and impaired myelination (Perez-Lloret et al., 2015). In vitro studies indicate that aberrant protein distribution and lipid transport in oligodendrocytes may underlie defective myelin integrity, highlighting a glia-centric pathogenic axis in MSA (Wong et al., 2014).
In contrast, iPSC-derived dopaminergic neurons from PD patients exhibit a pronounced and convergent synaptic dysfunction phenotype (Rike & Stern, 2023; Rosh et al., 2024). Specifically, these cells show significantly reduced rates and amplitudes of spontaneous synaptic currents and transcriptional dysregulation within extracellular matrix and focal adhesion pathways, independent of PD-causing mutations (S. Stern et al., 2022). This neuron-specific phenotype underscores synaptopathy and ECM disorganization as central hallmarks of PD.
These subtype-specific iPSC-derived findings illuminate mechanistic divergence: MSA is characterized by oligodendroglial α-synuclein aggregation and lipid metabolic pathology (Woerman et al., 2018), whereas PD is defined by intrinsic neuronal synaptic and extracellular matrix perturbations (Rosh et al., 2024; Schöndorf et al., 2014). Such insights suggest that targeted therapeutic interventions must be tailored accordingly prioritizing glial lipid metabolism and aggregation processes in MSA, and synaptic/ECM stabilization in PD (Tripathi et al., 2024). Moreover, the evolving adoption of complex co-culture systems and brain organoids promises to refine disease modeling and advance precision therapeutic strategies (Setia & Muotri, 2019).

Emerging Clinical Trials in MSA

Several investigational therapies are currently in clinical evaluation for multiple system atrophy (MSA), marking a shift toward potential disease-modifying approaches. A prominent example is TEV-56286 (Emrusolmin), a small-molecule α-synuclein oligomer modulator developed by Teva (formerly Teva Branded Pharmaceutical R&D). The TOPAS-MSA Phase II trial is recruiting 200 participants across global sites including Israel to evaluate efficacy and safety over a 48-week treatment period (plus follow-up), with primary endpoints focused on motor symptom progression (ClinicalTrials.gov, 2024).
Beyond Teva’s in-house programs, a high-profile collaboration between Teva and MODAG Therapeutics is advancing the development of anle138b, a novel small molecule that targets α-synuclein aggregation. Preclinical data suggest efficacy in synucleinopathies, and future clinical testing is planned, with backing from major foundations including the Michael J. Fox Foundation and Cure Parkinson’s Trust (MODAG GmbH, 2023; The Michael J. Fox Foundation, 2023). These studies exemplify a broader therapeutic transition from symptomatic relief to mechanistically targeted intervention, with Teva–Israel playing a central role in addressing the underlying pathology of MSA. Ongoing enrollment at Israeli clinical centers ensures regional engagement in global trials, facilitating genotype-informed strategies for this rare neurodegenerative disorder.
Among the most promising disease-modifying strategies under investigation for multiple system atrophy (MSA) are ATH434 and TAK-341, each targeting distinct pathogenic pathways. ATH434 (formerly PBT434) is an orally bioavailable small molecule that modulates brain iron homeostasis, thereby reducing oxidative stress and inhibiting α-synuclein aggregation. In the BioMUSE Phase II trial, 77 early-stage MSA patients received ATH434 (50 mg or 75 mg BID) or placebo for 52 weeks. Interim analysis showed a 48% reduction in disease progression at the 50 mg dose, based on modified UMSARS Part I scores (p ≈ 0.03), and MRI assessments revealed significant attenuation of putaminal iron accumulation (p = 0.025) alongside brain volume stabilization (Alterity Therapeutics, 2024a, 2024b). The drug was well tolerated, with improvements observed in mobility, daily functioning, and clinician-rated global impressions, leading to a planned Phase II/III trial (Alterity Therapeutics, 2024c).
In parallel, TAK-341 (also known as UCB7853) represents an antibody-based approach targeting aggregated extracellular α-synuclein. This humanized monoclonal antibody is currently being evaluated in a 52-week Phase II trial (NCT05526391) that will enroll 138 early-stage MSA patients (≤4 years from symptom onset) randomized to receive 13 intravenous infusions of TAK-341 or placebo (ClinicalTrials.gov, 2024). The study’s primary endpoint is a change in UMSARS Part I, supported by secondary outcomes including safety, pharmacokinetics, and CSF biomarker dynamics. As a global, double-blind study spanning multiple continents, it aims to assess whether TAK-341 can neutralize synuclein pathology and delay neurodegeneration (UCB Pharma, 2023).
These ongoing clinical trials reflect a growing momentum in MSA research, shifting from palliative symptom management toward mechanism based, disease modifying therapies. By targeting key pathological processes such as α-synuclein aggregation, iron dysregulation, and neuroinflammation, these innovative compounds represent a critical step toward altering disease progression.

Conclusion

MSA and PD present overlapping motor features but diverge significantly in pathogenesis, progression, treatment response, and prognosis. This article highlights the clinical and molecular distinctions between MSA subtypes and PD, emphasizing diagnostic challenges and the urgent need for an early and accurate differentiation. Advances in imaging and fluid biomarkers, along with patient-derived iPSC models, have provided novel insights into disease mechanisms evealing glial driven pathology in MSA versus synaptic and extracellular matrix dysfunction in PD. Current clinical trials, including those led by Teva and global partners, signal a transformative shift toward disease modifying therapies. Together, these developments underscore the importance of mechanistic precision and personalized strategies in addressing the complex landscape of Parkinsonism.

Author contribution

Roaa Abu Zeid (RZ), as the first author, contributed to the study design, conceptualization, and drafting of the manuscript. Feda Fanadka (FF) assisted with the study design and provided input during manuscript preparation. Shani Stern (SS), the corresponding author, led the conceptualization, supervised the study, critically revised the manuscript for important intellectual content, and contributed significantly to drafting the final version.

Ethics approval and consent to participate

All participants provided informed consent before participating in the study. The study was conducted in accordance with the ethical standards of the institutional research committee and with the 1964 Declaration of Helsinki and its later amendments or comparable ethical standards

Materials availability

Correspondence and requests for materials should be addressed to Prof. Shani Stern

Conflict of Interest

The authors declare no competing interests

References

  1. Abos, A., Baggio, H. C., Segura, B., Campabadal, A., Uribe, C., Giraldo, D. M., Perez-Soriano, A., Muñoz, E., Compta, Y., Junque, C., & Marti, M. J. (2019). Differentiation of multiple system atrophy from Parkinson’s disease by structural connectivity derived from probabilistic tractography. Scientific Reports, 9(1). [CrossRef]
  2. Blauwendraat, C., Nalls, M. A., & Singleton, A. B. (2020). The genetic architecture of Parkinson’s disease. In The Lancet Neurology (Vol. 19, Issue 2, pp. 170–178). Lancet Publishing Group. [CrossRef]
  3. Campabadal, A., Segura, B., Junque, C., & Iranzo, A. (2021). Structural and functional magnetic resonance imaging in isolated REM sleep behavior disorder: A systematic review of studies using neuroimaging software. In Sleep Medicine Reviews (Vol. 59). W.B. Saunders Ltd. [CrossRef]
  4. Campese, N., Fanciulli, A., Stefanova, N., Haybaeck, J., Kiechl, S., & Wenning, G. K. (2021a). Neuropathology of multiple system atrophy: Kurt Jellinger`s legacy. In Journal of Neural Transmission (Vol. 128, Issue 10, pp. 1481–1494). Springer. [CrossRef]
  5. Campese, N., Fanciulli, A., Stefanova, N., Haybaeck, J., Kiechl, S., & Wenning, G. K. (2021b). Neuropathology of multiple system atrophy: Kurt Jellinger`s legacy. In Journal of Neural Transmission (Vol. 128, Issue 10, pp. 1481–1494). Springer. [CrossRef]
  6. Cordeiro, D., Stern, T., & Stern, S. (2024). Focusing on the tetra-partite synapse in Parkinson s disease research using human patient-derived neurons. In Neural Regeneration Research (Vol. 19, Issue 5, pp. 979–981). Wolters Kluwer Medknow Publications. [CrossRef]
  7. Eschlböck, S., Wenning, G., & Fanciulli, A. (2017). Evidence-based treatment of neurogenic orthostatic hypotension and related symptoms. In Journal of Neural Transmission (Vol. 124, Issue 12, pp. 1567–1605). Springer-Verlag Wien. [CrossRef]
  8. Fairfoul, G., McGuire, L. I., Pal, S., Ironside, J. W., Neumann, J., Christie, S., Joachim, C., Esiri, M., Evetts, S. G., Rolinski, M., Baig, F., Ruffmann, C., Wade-Martins, R., Hu, M. T. M., Parkkinen, L., & Green, A. J. E. (2016). Alpha-synuclein RT-QuIC in the CSF of patients with alpha-synucleinopathies. Annals of Clinical and Translational Neurology, 3(10), 812–818. [CrossRef]
  9. Fanciulli, A., & Wenning, G. K. (2015). Multiple-System Atrophy. New England Journal of Medicine, 372(3), 249–263. [CrossRef]
  10. Federoff, M., Schottlaender, L. V., Houlden, H., & Singleton, A. (2015a). Multiple system atrophy: The application of genetics in understanding etiology. In Clinical Autonomic Research (Vol. 25, Issue 1, pp. 19–36). Dr. Dietrich Steinkopff Verlag GmbH and Co. KG. [CrossRef]
  11. Federoff, M., Schottlaender, L. V., Houlden, H., & Singleton, A. (2015b). Multiple system atrophy: The application of genetics in understanding etiology. In Clinical Autonomic Research (Vol. 25, Issue 1, pp. 19–36). Dr. Dietrich Steinkopff Verlag GmbH and Co. KG. [CrossRef]
  12. Fellner, L., Jellinger, K. A., Wenning, G. K., & Haybaeck, J. (2020). Commentary: Discriminating α-synuclein strains in parkinson’s disease and multiple system atrophy. Frontiers in Neuroscience, 14. [CrossRef]
  13. Heckman, M. G., Schottlaender, L., Soto-Ortolaza, A. I., Diehl, N. N., Rayaprolu, S., Ogaki, K., Fujioka, S., Murray, M. E., Cheshire, W. P., Uitti, R. J., Wszolek, Z. K., Farrer, M. J., Sailer, A., Singleton, A. B., Chinnery, P. F., Keogh, M. J., Gentleman, S. M., Holton, J. L., Aoife, K., … Ross, O. A. (2014). LRRK2 exonic variants and risk of multiple system atrophy.
  14. Höllerhage, M., Becktepe, J., Classen, · Joseph, Deuschl, · Günther, Ebersbach, G., Hopfner, F., & Lingor, · Paul. (123 C.E.). · Matthias Löhle 9,10 · Sylvia Maaß 8 · Monika Pötter-Nerger 11 · Per Odin 12,13 · Dirk Woitalla 14 · German Parkinson’s Guidelines Group · Claudia Trenkwalder 15. Journal of Neurology, 271(8), 7071–7101. [CrossRef]
  15. Jellinger, K. A. (2022). Heterogeneity of Multiple System Atrophy: An Update. In Biomedicines (Vol. 10, Issue 3). MDPI. [CrossRef]
  16. Krismer, F., Péran, P., Beliveau, V., Seppi, K., Arribarat, G., Pavy-Le Traon, A., Meissner, W. G., Foubert-Samier, A., Fabbri, M., Schocke, M. M., Gordon, M. F., Wenning, G. K., Poewe, W., Rascol, O., & Scherfler, C. (2024). Progressive Brain Atrophy in Multiple System Atrophy: A Longitudinal, Multicenter, Magnetic Resonance Imaging Study. Movement Disorders, 39(1), 119–129. [CrossRef]
  17. Lee, W.-H., Lee, C.-C., Shyu, W.-C., Chong, P.-N., & Lin, S.-Z. (n.d.). Hyperintense Putaminal Rim Sign Is Not a Hallmark of Multiple System Atrophy at 3T.
  18. Low, P. A., Reich, S. G., Jankovic, J., Shults, C. W., Stern, M. B., Novak, P., Tanner, C. M., Gilman, S., Marshall, F. J., Wooten, F., Racette, B., Chelimsky, T., Singer, W., Sletten, D. M., Sandroni, P., & Mandrekar, J. (2015). Natural history of multiple system atrophy in the USA: A prospective cohort study. The Lancet Neurology, 14(7), 710–719. [CrossRef]
  19. Macleod, A. D., Taylor, K. S. M., & Counsell, C. E. (2014). Mortality in Parkinson’s disease: A systematic review and meta-analysis. Movement Disorders, 29(13), 1615–1622. [CrossRef]
  20. Monzio Compagnoni, G., & Di Fonzo, A. (2019). Understanding the pathogenesis of multiple system atrophy: state of the art and future perspectives. In Acta neuropathologica communications (Vol. 7, Issue 1, p. 113). NLM (Medline). [CrossRef]
  21. Nuytemans, K., Theuns, J., Cruts, M., & Van Broeckhoven, C. (2010). Genetic etiology of Parkinson disease associated with mutations in the SNCA, PARK2, PINK1, PARK7, and LRRK2 genes: A mutation update. In Human Mutation (Vol. 31, Issue 7, pp. 763–780). Wiley-Liss Inc. [CrossRef]
  22. Olanow, C. W., Stern, M. B., & Sethi, K. (2009). The scientific and clinical basis for the treatment of Parkinson disease (2009). Neurology, 72(21 SUPPL. 4). [CrossRef]
  23. Ozawa, T., Revesz, T., Paviour, D., Lees, A. J., Quinn, N., Tada, M., Kakita, A., Onodera, O., Wakabayashi, K., Takahashi, H., Nishizawa, M., & Holton, J. L. (2012). Difference in MSA phenotype distribution between populations: Genetics or environment? In Journal of Parkinson’s Disease (Vol. 2, Issue 1, pp. 7–18). [CrossRef]
  24. Palma, J. A., & Kaufmann, H. (2014). Autonomic disorders predicting Parkinson’s disease. Parkinsonism and Related Disorders, 20(SUPPL.1). [CrossRef]
  25. Perez-Lloret, S., Flabeau, O., Fernagut, P. O., Pavy-Le Traon, A., Rey, M. V., Foubert-Samier, A., Tison, F., Rascol, O., & Meissner, W. G. (2015). Current Concepts in the Treatment of Multiple System Atrophy. Movement Disorders Clinical Practice, 2(1), 6–16. [CrossRef]
  26. Postuma, R. B., Berg, D., Stern, M., Poewe, W., Olanow, C. W., Oertel, W., Obeso, J., Marek, K., Litvan, I., Lang, A. E., Halliday, G., Goetz, C. G., Gasser, T., Dubois, B., Chan, P., Bloem, B. R., Adler, C. H., & Deuschl, G. (2015). MDS clinical diagnostic criteria for Parkinson’s disease. In Movement Disorders (Vol. 30, Issue 12, pp. 1591–1601). John Wiley and Sons Inc. [CrossRef]
  27. Recio Bermejo, M., Navarro Muñoz, S., Espejo Martinez, B., Mangas Aveleira, C., & García Ruiz, R. (2012). “Hot-cross bun sign” in multiple system atrophy: A presentation of 3 cases. Neurología (English Edition), 27(5), 314–315. [CrossRef]
  28. Rike, W. A., & Stern, S. (2023). Proteins and Transcriptional Dysregulation of the Brain Extracellular Matrix in Parkinson’s Disease: A Systematic Review. In International Journal of Molecular Sciences (Vol. 24, Issue 8). Multidisciplinary Digital Publishing Institute (MDPI). [CrossRef]
  29. Rosh, I., Tripathi, U., Hussein, Y., Rike, W. A., Djamus, J., Shklyar, B., Manole, A., Houlden, H., Winkler, J., Gage, F. H., & Stern, S. (2024). Synaptic dysfunction and extracellular matrix dysregulation in dopaminergic neurons from sporadic and E326K-GBA1 Parkinson’s disease patients. Npj Parkinson’s Disease, 10(1). [CrossRef]
  30. Schöndorf, D. C., Aureli, M., McAllister, F. E., Hindley, C. J., Mayer, F., Schmid, B., Sardi, S. P., Valsecchi, M., Hoffmann, S., Schwarz, L. K., Hedrich, U., Berg, D., Shihabuddin, L. S., Hu, J., Pruszak, J., Gygi, S. P., Sonnino, S., Gasser, T., & Deleidi, M. (2014). IPSC-derived neurons from GBA1-associated Parkinson’s disease patients show autophagic defects and impaired calcium homeostasis. Nature Communications, 5. [CrossRef]
  31. Seppi, K., Weintraub, D., Coelho, M., Perez-Lloret, S., Fox, S. H., Katzenschlager, R., Hametner, E. M., Poewe, W., Rascol, O., Goetz, C. G., & Sampaio, C. (2011). The movement disorder society evidence-based medicine review update: Treatments for the non-motor symptoms of Parkinson’s disease. Movement Disorders, 26(SUPPL. 3). [CrossRef]
  32. Setia, H., & Muotri, A. R. (2019). Brain organoids as a model system for human neurodevelopment and disease. In Seminars in Cell and Developmental Biology (Vol. 95, pp. 93–97). Elsevier Ltd. [CrossRef]
  33. Sidoroff, V., Bower, P., Stefanova, N., Fanciulli, A., Stankovic, I., Poewe, W., Seppi, K., Wenning, G. K., & Krismer, F. (2022). Disease-Modifying Therapies for Multiple System Atrophy: Where Are We in 2022? In Journal of Parkinson’s Disease (Vol. 12, Issue 5, pp. 1369–1387). IOS Press BV. [CrossRef]
  34. Stern, S., Lau, S., Manole, A., Rosh, I., Percia, M. M., Ben Ezer, R., Shokhirev, M. N., Qiu, F., Schafer, S., Mansour, A. A. F., Mangan, K. P., Stern, T., Ofer, P., Stern, Y., Diniz Mendes, A. P., Djamus, J., Moore, L. R., Nayak, R., Laufer, S. H., … Gage, F. H. (2022). Reduced synaptic activity and dysregulated extracellular matrix pathways in midbrain neurons from Parkinson’s disease patients. Npj Parkinson’s Disease, 8(1). [CrossRef]
  35. Stern, T., Hussein, Y., Cordeiro, D., Sadis, H., Garin-Shkolnik, T., Spiegel, R., Cohen, S., Harari, R., Schlesinger, I., & Stern, S. (2024). Case Report: A Case of a Patient with Smith–Magenis Syndrome and Early-Onset Parkinson’s Disease. International Journal of Molecular Sciences, 25(15). [CrossRef]
  36. Tripathi, U., Rosh, I., Ben Ezer, R., Nayak, R., Hussein, Y., Choudhary, A., Djamus, J., Manole, A., Houlden, H., Gage, F. H., & Stern, S. (2024). Upregulated ECM genes and increased synaptic activity in Parkinson’s human DA neurons with PINK1/ PRKN mutations. Npj Parkinson’s Disease, 10(1). [CrossRef]
  37. Watanabe, H., Riku, Y., Hara, K., Kawabata, K., Nakamura, T., Ito, M., Hirayama, M., Yoshida, M., Katsuno, M., & Sobue, G. (2018). Clinical and Imaging Features of Multiple System Atrophy: Challenges for an Early and Clinically Definitive Diagnosis. J Mov Disord, 11(3), 107–120. [CrossRef]
  38. Weissert, R., Hacein-Bey, L., Wang, B., Guan, H., Liu, M., Ren, H., Lin, N., Tan, Y., & Fan, S. (n.d.). The “‘hot cross bun sign’” in patients with autoimmune cerebellar ataxia: A case report and literature review.
  39. Wenning, G. K., Stankovic, I., Vignatelli, L., Fanciulli, A., Calandra-Buonaura, G., Seppi, K., Palma, J. A., Meissner, W. G., Krismer, F., Berg, D., Cortelli, P., Freeman, R., Halliday, G., Höglinger, G., Lang, A., Ling, H., Litvan, I., Low, P., Miki, Y., … Kaufmann, H. (2022). The Movement Disorder Society Criteria for the Diagnosis of Multiple System Atrophy. In Movement Disorders (Vol. 37, Issue 6, pp. 1131–1148). John Wiley and Sons Inc. [CrossRef]
  40. Woerman, A. L., Watts, J. C., Aoyagi, A., Giles, K., Middleton, L. T., & Prusiner, S. B. (2018). A-synuclein: Multiple system atrophy prions. Cold Spring Harbor Perspectives in Medicine, 8(7). [CrossRef]
  41. Wong, J. H., Halliday, G. M., & Kim, W. S. (2014). Exploring Myelin Dysfunction in Multiple System Atrophy. Experimental Neurobiology, 23(4), 337–344. [CrossRef]
  42. Youn, J., Shin, H., Kim, J. S., & Cho, J. W. (2012). Preliminary Study of Intravenous Amantadine Treatment for Ataxia Management in Patients with Probable Multiple System Atrophy with Predominant Cerebellar Ataxia Corresponding author. In Journal of Movement Disorders (Vol. 5). www.e-jmd.org.
  43. https://clinicaltrials.gov/study/NCT06568237?term=AREA%5BNCTIdSearch%5D(NCT06568237)&rank=1.
  44. https://www.michaeljfox.org/news/news-context-mixed-results-two-experimental-drugs-targeting-alpha-synuclein.
  45. https://www.tevapharm.com/news-and-media/latest-news/teva-and-modag-announce-licensing-collaboration-for-neurodegenerative-disease-drug-candidate/.
  46. https://www.globenewswire.com/news-release/2025/04/28/3069098/0/en/Alterity-Therapeutics-Presents-ATH434-201-Phase-2-Clinical-Trial-Results-at-European-MSA-Symposium.html?utm_source=chatgpt.com.
  47. https://cndlifesciences.com/ath434-phase-2-results/?utm_source=chatgpt.com.
  48. https://www.hra.nhs.uk/planning-and-improving-research/application-summaries/research-summaries/phase-2-study-of-tak-341-for-multiple-system-atrophy/?utm_source=chatgpt.com.
Figure 1. Pathological and anatomical distinctions between Parkinson’s Disease (PD) and Multiple System Atrophy (MSA) subtypes as classic α-synucleinopathies. Both PD and MSA are characterized by abnormal aggregation of α-synuclein, but differ in their pathological inclusions and anatomical targets. Genetically, PD is associated with several variants including in the SNCA, LRRK2, PARK2, PINK1, DJ-1, and GBA1 genes, while MSA is poorly linked to COQ2 variants and other potential risk variants are currently under investigation. In PD, α-synuclein accumulates in neurons as Lewy bodies (LB), primarily affecting the substantia nigra pars compacta (SNpc) and leading to dopaminergic neurodegeneration. This results in a slowly progressive parkinsonian syndrome with early L-DOPA responsiveness. In contrast, MSA features glial cytoplasmic inclusions (GCI) and manifests in two motor subtypes: 1. MSA-P (parkinsonian type) involves striatonigral degeneration, affecting the putamen (dorsolateral caudal), caudate nucleus, substantia nigra, globus pallidus, and subthalamic nucleus, leading to a rapidly progressive parkinsonism with poor L-DOPA response. 2. MSA-C (cerebellar type) which is characterized by olivopontocerebellar atrophy (OPCA), with neuronal loss in the cerebellar vermis and hemispheres, dentate nucleus, inferior olivary nuclei, and pontine basis with cerebellopontine fibers, resulting in prominent cerebellar signs.
Figure 1. Pathological and anatomical distinctions between Parkinson’s Disease (PD) and Multiple System Atrophy (MSA) subtypes as classic α-synucleinopathies. Both PD and MSA are characterized by abnormal aggregation of α-synuclein, but differ in their pathological inclusions and anatomical targets. Genetically, PD is associated with several variants including in the SNCA, LRRK2, PARK2, PINK1, DJ-1, and GBA1 genes, while MSA is poorly linked to COQ2 variants and other potential risk variants are currently under investigation. In PD, α-synuclein accumulates in neurons as Lewy bodies (LB), primarily affecting the substantia nigra pars compacta (SNpc) and leading to dopaminergic neurodegeneration. This results in a slowly progressive parkinsonian syndrome with early L-DOPA responsiveness. In contrast, MSA features glial cytoplasmic inclusions (GCI) and manifests in two motor subtypes: 1. MSA-P (parkinsonian type) involves striatonigral degeneration, affecting the putamen (dorsolateral caudal), caudate nucleus, substantia nigra, globus pallidus, and subthalamic nucleus, leading to a rapidly progressive parkinsonism with poor L-DOPA response. 2. MSA-C (cerebellar type) which is characterized by olivopontocerebellar atrophy (OPCA), with neuronal loss in the cerebellar vermis and hemispheres, dentate nucleus, inferior olivary nuclei, and pontine basis with cerebellopontine fibers, resulting in prominent cerebellar signs.
Preprints 173094 g001
Figure 2. MRI brain scans from a healthy subject highlighting regions typically affected in Multiple System Atrophy (MSA): (a) Axial T2-weighted image of the posterior fossa showing a normally sized pons with no signal abnormalities. (b) Axial T2*-weighted image demonstrating normal, symmetrical signal intensity and volume of the putamen bilaterally. (c) Axial T2-weighted image of the brainstem depicting symmetrical middle cerebellar peduncles with normal signal intensity. (d) Sagittal T1-weighted image showing preserved volume of the midbrain (red arrow) and pons (blue arrow) with a normal midbrain-to-pons ratio, as well as intact cerebellum.
Figure 2. MRI brain scans from a healthy subject highlighting regions typically affected in Multiple System Atrophy (MSA): (a) Axial T2-weighted image of the posterior fossa showing a normally sized pons with no signal abnormalities. (b) Axial T2*-weighted image demonstrating normal, symmetrical signal intensity and volume of the putamen bilaterally. (c) Axial T2-weighted image of the brainstem depicting symmetrical middle cerebellar peduncles with normal signal intensity. (d) Sagittal T1-weighted image showing preserved volume of the midbrain (red arrow) and pons (blue arrow) with a normal midbrain-to-pons ratio, as well as intact cerebellum.
Preprints 173094 g002
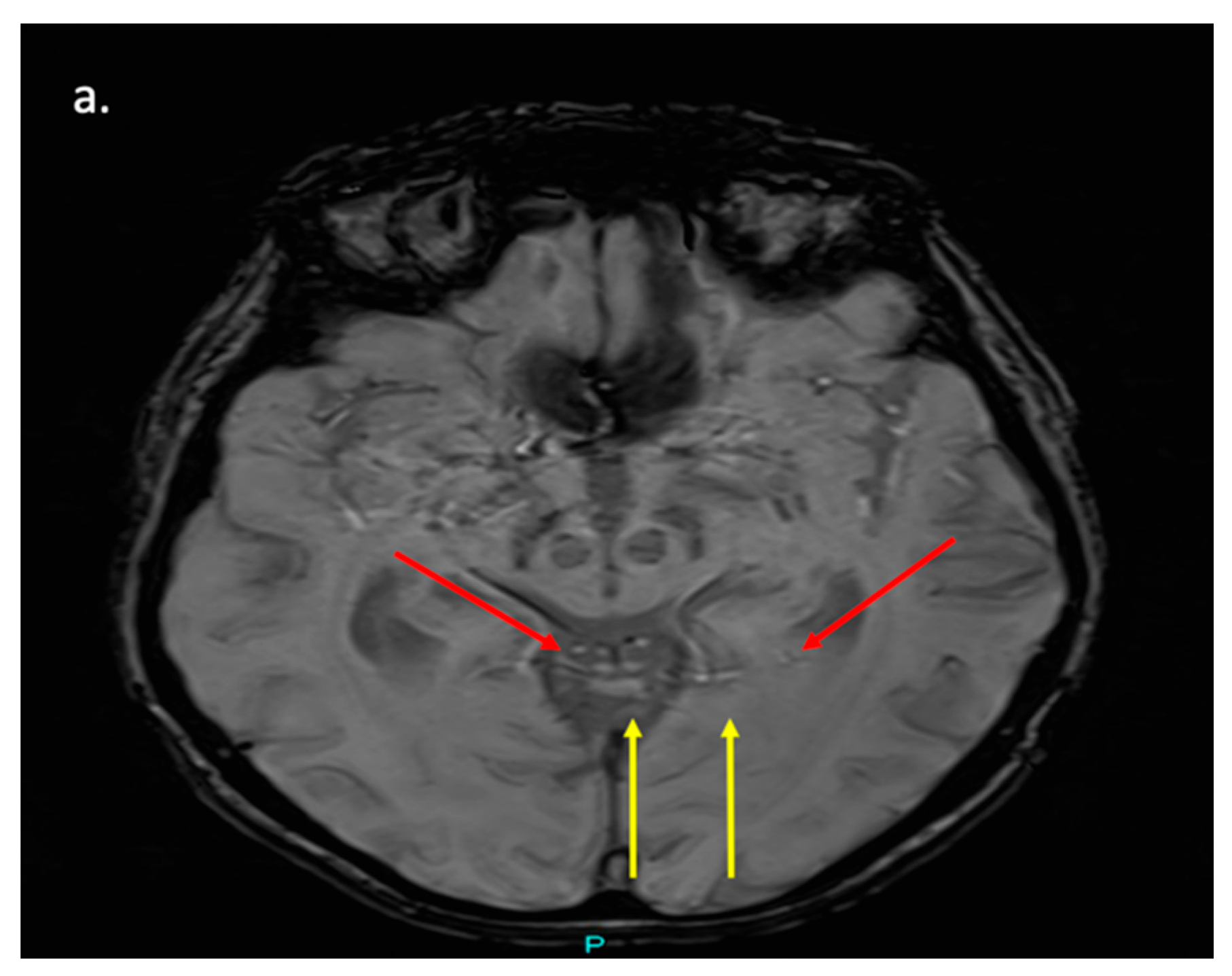
Figure 3. MRI Brain Image Highlighting Key Regions Commonly Affected in Parkinson’s Disease (PD). Axial T2*-weighted MRI at the level of the midbrain in a healthy control brain. The image demonstrates normal susceptibility-related signal dropout in the substantia nigra pars compacta (red arrows) and red nucleus (yellow arrows), reflecting typical iron deposition patterns seen in non-pathological aging.
Figure 3. MRI Brain Image Highlighting Key Regions Commonly Affected in Parkinson’s Disease (PD). Axial T2*-weighted MRI at the level of the midbrain in a healthy control brain. The image demonstrates normal susceptibility-related signal dropout in the substantia nigra pars compacta (red arrows) and red nucleus (yellow arrows), reflecting typical iron deposition patterns seen in non-pathological aging.
Preprints 173094 g003
Disclaimer/Publisher’s Note: The statements, opinions and data contained in all publications are solely those of the individual author(s) and contributor(s) and not of MDPI and/or the editor(s). MDPI and/or the editor(s) disclaim responsibility for any injury to people or property resulting from any ideas, methods, instructions or products referred to in the content.
Copyright: This open access article is published under a Creative Commons CC BY 4.0 license, which permit the free download, distribution, and reuse, provided that the author and preprint are cited in any reuse.
Prerpints.org logo

Preprints.org is a free preprint server supported by MDPI in Basel, Switzerland.

Subscribe

Disclaimer

Terms of Use

Privacy Policy

Privacy Settings

© 2026 MDPI (Basel, Switzerland) unless otherwise stated