Submitted:
19 August 2025
Posted:
20 August 2025
You are already at the latest version
Abstract
Keywords:
1. Introduction
- Epithelial tumors, arising from the coelomic epithelium lining the ovary;
- Sex cord-stromal tumors, originating from the ovarian stroma and sex cords;
- Germ cell tumors, derived from primordial germ cells.
2. Methods
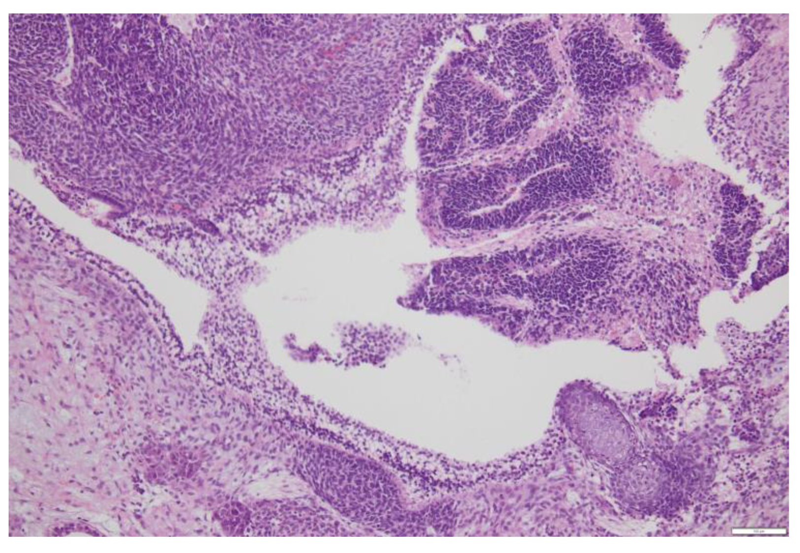
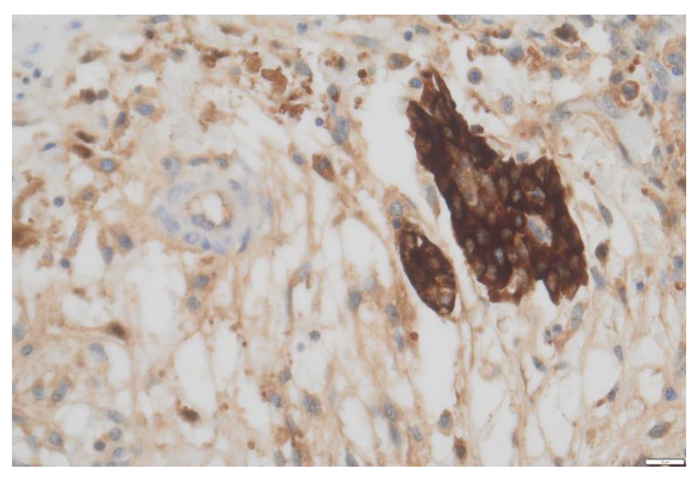
3. Immature Teratomas
3.1. Diagnosis
| aFP | bHCG | LDH | |
| Immature teratoma | +/- | - | - |
3.2. Prognostic Factors
- Grade 1: < 1 low power field (using a 4x objective and a 10x lens, 40x of magnification) per slide;
- Grade 2: ≥ 1 but < 3 low power fields in any slide;
- Grade 3: ≥ 3 low power fields in any slide.
3.3. Management
3.3.1. Management of Stage I Disease
3.3.2. Management in Advanced Stages (II-IV)
3.3.3. Management of Relapses
4. Fertility Outcomes
Follow Up
5. Conclusions
Author Contributions
Funding
Acknowledgments
Conflicts of Interest
References
- Bray, F.; Laversanne, M.; Sung, H.; Ferlay, J.; Siegel, R.L.; Soerjomataram, I.; Jemal, A. Global Cancer Statistics 2022: GLOBOCAN Estimates of Incidence and Mortality Worldwide for 36 Cancers in 185 Countries. CA. Cancer J. Clin. 2024, 74, 229–263. [Google Scholar] [CrossRef]
- Scully, R.E.; Sobin, L.H. Histologic Typing of Ovarian Tumors. Arch. Pathol. Lab. Med. 1987, 111, 794–795. [Google Scholar]
- Robert J. Kurman, Maria Luisa Carcangiu, C. Simon Herrington, Robert H. Young WHO Classification of Tumours of Female Reproductive Organs.
- Smith HO, Berwick M, Verschraegen CF, Wiggins C, Lansing L, Muller CY, Qualls CR. Incidence and Survival Rates for Female Malignant Germ Cell Tumors. Obstet Gynecol. [CrossRef]
- Gatta, G.; Van Der Zwan, J.M.; Casali, P.G.; Siesling, S.; Dei Tos, A.P.; Kunkler, I.; Otter, R.; Licitra, L.; Mallone, S.; Tavilla, A.; et al. Rare Cancers Are Not so Rare: The Rare Cancer Burden in Europe. Eur. J. Cancer 2011, 47, 2493–2511. [Google Scholar] [CrossRef] [PubMed]
- Oosterhuis, J.W.; Looijenga, L.H.J. Human Germ Cell Tumours from a Developmental Perspective. Nat. Rev. Cancer 2019, 19, 522–537. [Google Scholar] [CrossRef] [PubMed]
- Gershenson, D.M.; del Junco, G.; Silva, E.G.; Copeland, L.J.; Wharton, J.T.; Rutledge, F.N. Immature Teratoma of the Ovary. Obstet. Gynecol. 1986, 68, 624–629. [Google Scholar]
- Gershenson, D.M. Management of Ovarian Germ Cell Tumors. J. Clin. Oncol. 2007, 25, 2938–2943. [Google Scholar] [CrossRef]
- Lu, K.H.; Gershenson, D.M. Update on the Management of Ovarian Germ Cell Tumors. J. Reprod. Med. 2005, 50, 417–425. [Google Scholar]
- Goyal, L.D.; Kaur, B.; Badyal, R.K. Malignant Mixed Germ Cell Tumors of the Ovary: A Series of Rare Cases. J. Reprod. Infertil. 2019, 20, 231–236. [Google Scholar]
- Abdullahi Idle, S.; Hayes, K.; Ross, J. Ultrasound Features of Immature Ovarian Teratomas: Case Series and Review of Literature. Ultrasound 2020, 28, 82–90. [Google Scholar] [CrossRef]
- Saba, L.; Guerriero, S.; Sulcis, R.; Virgilio, B.; Melis, G.; Mallarini, G. Mature and Immature Ovarian Teratomas: CT, US and MR Imaging Characteristics. Eur. J. Radiol. 2009, 72, 454–463. [Google Scholar] [CrossRef] [PubMed]
- Choudhary, S.; Fasih, N.; Innes, M.M.; Marginean, C. Imaging of Ovarian Teratomas: Appearances and Complications. J. Med. Imaging Radiat. Oncol. 2009, 53, 480–488. [Google Scholar] [CrossRef]
- kurman, R.J.; Hedrick Ellenson, L.; Ronnett, B.M. Blaustein’s Pathology of the Female Genital Tract; Seventh edition.; ISBN 978-3-319-46333-9.
- OʼConnor, D.M.; Norris, H.J. The Influence of Grade on the Outcome of Stage I Ovarian Immature (Malignant) Teratomas and the Reproducibility of Grading: Int. J. Gynecol. Pathol. 1994, 13, 283–289. [Google Scholar] [CrossRef]
- Dicken, B.J.; Billmire, D.F.; Rich, B.; Hazard, F.K.; Nuño, M.; Krailo, M.; Fallahazad, N.; Pashankar, F.; Shaikh, F.; Frazier, A.L. Utility of Frozen Section in Pediatric and Adolescent Malignant Ovarian Nonseminomatous Germ Cell Tumors: A Report from the Children’s Oncology Group. Gynecol. Oncol. 2022, 166, 476–480. [Google Scholar] [CrossRef]
- Sukumaran, R.; Somanathan, T.; Mathews, A.; Kattor, J.; Sambasivan, S.; Nair, R.P. Role of Frozen Section in Intraoperative Assessment of Ovarian Masses: A Tertiary Oncology Center Experience. Indian J. Surg. Oncol. 2014, 5, 99–103. [Google Scholar] [CrossRef]
- Poulos, C.; Cheng, L.; Zhang, S.; Gersell, D.J.; Ulbright, T.M. Analysis of Ovarian Teratomas for Isochromosome 12p: Evidence Supporting a Dual Histogenetic Pathway for Teratomatous Elements. Mod. Pathol. 2006, 19, 766–771. [Google Scholar] [CrossRef]
- Chan, J.K.; Gardner, A.B.; Chan, J.E.; Guan, A.; Alshak, M.; Kapp, D.S. The Influence of Age and Other Prognostic Factors Associated with Survival of Ovarian Immature Teratoma — A Study of 1307 Patients. Gynecol. Oncol. 2016, 142, 446–451. [Google Scholar] [CrossRef]
- Guo, H.; Chen, H.; Wang, W.; Chen, L. Clinicopathological Features, Prognostic Factors, Survival Trends, and Treatment of Malignant Ovarian Germ Cell Tumors: A SEER Database Analysis. Oncol. Res. Treat. 2021, 44, 145–153. [Google Scholar] [CrossRef] [PubMed]
- Bergamini, A.; Sarwar, N.; Ferrandina, G.; Scarfone, G.; Short, D.; Aguiar, X.; Camnasio, C.; Kaur, B.; Savage, P.M.; Cormio, G.; et al. Can We Replace Adjuvant Chemotherapy with Surveillance for Stage IA-C Immature Ovarian Teratomas of Any Grade? An International Multicenter Analysis. Eur. J. Cancer 2020, 137, 136–143. [Google Scholar] [CrossRef]
- Mangili, G.; Giorda, G.; Ferrandina, G.; Cormio, G.; Cassani, C.; Savarese, A.; Danese, S.; Carnelli, M.; Vasta, F.M.; Perrone, A.M.; et al. Surveillance Alone in Stage I Malignant Ovarian Germ Cell Tumors: A MITO (Multicenter Italian Trials in Ovarian Cancer) Prospective Observational Study. Int. J. Gynecol. Cancer 2021, 31, 1242–1247. [Google Scholar] [CrossRef] [PubMed]
- Bergamini, A.; Sarwar, N.; Ferrandina, G.; Scarfone, G.; Short, D.; Aguiar, X.; Camnasio, C.; Kaur, B.; Savage, P.M.; Cormio, G.; et al. Response to Letter Entitled: Re: Can We Replace Adjuvant Chemotherapy with Surveillance for Stage IA-C Immature Ovarian Teratomas of Any Grade? An International Multicenter Analysis. Eur. J. Cancer 2021, 152, 257–258. [Google Scholar] [CrossRef] [PubMed]
- Norris, H.J.; Zirkin, H.J.; Benson, W.L. Immature (Malignant) Teratoma of the Ovary.A Clinical and Pathologic Study of 58 Cases. Cancer 1976, 37, 2359–2372. [Google Scholar] [CrossRef]
- Pashankar, F.; Hale, J.P.; Dang, H.; Krailo, M.; Brady, W.E.; Rodriguez-Galindo, C.; Nicholson, J.C.; Murray, M.J.; Bilmire, D.F.; Stoneham, S.; et al. Is Adjuvant Chemotherapy Indicated in Ovarian Immature Teratomas? A Combined Data Analysis from the Malignant Germ Cell Tumor International Collaborative: Adjuvant Chemotherapy in Ovarian ITs. Cancer 2016, 122, 230–237. [Google Scholar] [CrossRef]
- Prat, J. ; FIGO Committee on Gynecologic Oncology Staging Classification for Cancer of the Ovary, Fallopian Tube, and Peritoneum. Int. J. Gynecol. Obstet. 2014, 124, 1–5. [Google Scholar] [CrossRef]
- Chan, J.K.; Tewari, K.S.; Waller, S.; Cheung, M.K.; Shin, J.Y.; Osann, K.; Kapp, D.S. The Influence of Conservative Surgical Practices for Malignant Ovarian Germ Cell Tumors: Ovarian Germ Cell Tumors. J. Surg. Oncol. 2008, 98, 111–116. [Google Scholar] [CrossRef] [PubMed]
- Lai, C.-H.; Chang, T.-C.; Hsueh, S.; Wu, T.-I.; Chao, A.; Chou, H.-H.; Wang, P.-N. Outcome and Prognostic Factors in Ovarian Germ Cell Malignancies. Gynecol. Oncol. 2005, 96, 784–791. [Google Scholar] [CrossRef]
- Murugaesu, N.; Schmid, P.; Dancey, G.; Agarwal, R.; Holden, L.; McNeish, I.; Savage, P.M.; Newlands, E.S.; Rustin, G.J.S.; Seckl, M.J. Malignant Ovarian Germ Cell Tumors: Identification of Novel Prognostic Markers and Long-Term Outcome After Multimodality Treatment. J. Clin. Oncol. 2006, 24, 4862–4866. [Google Scholar] [CrossRef] [PubMed]
- Jorge, S.; Jones, N.L.; Chen, L.; Hou, J.Y.; Tergas, A.I.; Burke, W.M.; Ananth, C.V.; Neugut, A.I.; Herhshman, D.L.; Wright, J.D. Characteristics, Treatment and Outcomes of Women with Immature Ovarian Teratoma, 1998–2012. Gynecol. Oncol. 2016, 142, 261–266. [Google Scholar] [CrossRef]
- Mangili, G.; Sigismondi, C.; Gadducci, A.; Cormio, G.; Scollo, P.; Tateo, S.; Ferrandina, G.; Greggi, S.; Candiani, M.; Lorusso, D. Outcome and Risk Factors for Recurrence in Malignant Ovarian Germ Cell Tumors: A MITO-9 Retrospective Study. Int. J. Gynecol. Cancer 2011, 21, 1414–1421. [Google Scholar] [CrossRef]
- Kwan, M.-Y.; Kalle, W.; Lau, G.T.C.; Chan, J.K.C. Is Gliomatosis Peritonei Derived from the Associated Ovarian Teratoma? Hum. Pathol. 2004, 35, 685–688. [Google Scholar] [CrossRef] [PubMed]
- Bentivegna, E.; Gonthier, C.; Uzan, C.; Genestie, C.; Duvillard, P.; Morice, P.; Gouy, S. Gliomatosis Peritonei: A Particular Entity With Specific Outcomes Within the Growing Teratoma Syndrome. Int. J. Gynecol. Cancer 2015, 25, 244–249. [Google Scholar] [CrossRef]
- Liang, L.; Zhang, Y.; Malpica, A.; Ramalingam, P.; Euscher, E.D.; Fuller, G.N.; Liu, J. Gliomatosis Peritonei: A Clinicopathologic and Immunohistochemical Study of 21 Cases. Mod. Pathol. 2015, 28, 1613–1620. [Google Scholar] [CrossRef]
- Bonazzi, C.; Peccatori, F.; Colombo, N.; Lucchini, V.; Cantù, M.G.; Mangioni, C. Pure Ovarian Immature Teratoma, a Unique and Curable Disease: 10 Years’ Experience of 32 Prospectively Treated Patients. Obstet. Gynecol. 1994, 84, 598–604. [Google Scholar]
- Mangili, G.; Scarfone, G.; Gadducci, A.; Sigismondi, C.; Ferrandina, G.; Scibilia, G.; Viganò, R.; Tateo, S.; Villa, A.; Lorusso, D. Is Adjuvant Chemotherapy Indicated in Stage I Pure Immature Ovarian Teratoma (IT)? A Multicentre Italian Trial in Ovarian Cancer (MITO-9). Gynecol. Oncol. 2010, 119, 48–52. [Google Scholar] [CrossRef]
- Vicus, D.; Beiner, M.E.; Clarke, B.; Klachook, S.; Le, L.W.; Laframboise, S.; Mackay, H. Ovarian Immature Teratoma: Treatment and Outcome in a Single Institutional Cohort. Gynecol. Oncol. 2011, 123, 50–53. [Google Scholar] [CrossRef]
- Alwazzan, A.B.; Popowich, S.; Dean, E.; Robinson, C.; Lotocki, R.; Altman, A.D. Pure Immature Teratoma of the Ovary in Adults. Int. J. Gynecol. Cancer 2015, 25, 1616–1622. [Google Scholar] [CrossRef] [PubMed]
- Reddihalli, P.V.; Subbian, A.; Umadevi, K.; Rathod, P.S.; Krishnappa, S.; Nanaiah, S.P.; Bafna, U.D. Immature Teratoma of Ovary – Outcome Following Primary and Secondary Surgery: Study of a Single Institution Cohort. Eur. J. Obstet. Gynecol. Reprod. Biol. 2015, 192, 17–21. [Google Scholar] [CrossRef] [PubMed]
- Mangili, G.; Sigismondi, C.; Lorusso, D.; Cormio, G.; Candiani, M.; Scarfone, G.; Mascilini, F.; Gadducci, A.; Mosconi, A.M.; Scollo, P.; et al. The Role of Staging and Adjuvant Chemotherapy in Stage I Malignant Ovarian Germ Cell Tumors (MOGTs): The MITO-9 Study. Ann. Oncol. 2017, 28, 333–338. [Google Scholar] [CrossRef] [PubMed]
- Newton, C.; Murali, K.; Ahmad, A.; Hockings, H.; Graham, R.; Liberale, V.; Sarker, S.-J.; Ledermann, J.; Berney, D.M.; Shamash, J.; et al. A Multicentre Retrospective Cohort Study of Ovarian Germ Cell Tumours: Evidence for Chemotherapy de-Escalation and Alignment of Paediatric and Adult Practice. Eur. J. Cancer 2019, 113, 19–27. [Google Scholar] [CrossRef]
- Wang, D.; Zhu, S.; Jia, C.; Cao, D.; Wu, M.; Shen, K.; Yang, J.; Xiang, Y. Role of Staging Surgery and Adjuvant Chemotherapy in Adult Patients with Apparent Stage I Pure Immature Ovarian Teratoma after Fertility-Sparing Surgery. Int. J. Gynecol. Cancer 2020, 30, 664–669. [Google Scholar] [CrossRef]
- Nasioudis, D.; Frey, M.K.; Chapman-Davis, E.; Caputo, T.A.; Holcomb, K.M. Surveillance Only for High-Risk FIGO Stage IA/IB Malignant Ovarian Germ Cell Tumors: Results From a National Cancer Database. Am. J. Clin. Oncol. 2021, 44, 195–199. [Google Scholar] [CrossRef]
- Graham, R.; MacDonald, N.D.; Lockley, M.; Miller, R.; Butler, J.; Murali, K.; Sarker, S.-J.; Banerjee, S.; Stoneham, S.; Shamash, J.; et al. Surgical Management and Outcomes for Stage 1 Malignant Ovarian Germ Cell Tumours: A UK Multicentre Retrospective Cohort Study. Eur. J. Obstet. Gynecol. Reprod. Biol. 2022, 271, 138–144. [Google Scholar] [CrossRef]
- Zhang, X.; Yang, J.; Wang, J.; Zhang, Y.; Yang, J. Early Stage Ovarian Immature Teratoma, Surveillance or Chemotherapy after Surgery? A Propensity Score Matched Analysis. Gynecol. Oncol. Rep. 2022, 40, 100976. [Google Scholar] [CrossRef]
- Li, S.; Zhang, X.; Zhang, T.; Yin, M.; Cao, D.; Xiang, Y.; Yang, J. Prognostic Factors for Pure Ovarian Immature Teratoma and the Role of Adjuvant Chemotherapy in Stage I Diseases. Ann. Med. 2023, 55. [Google Scholar] [CrossRef] [PubMed]
- Marino, G.; Grassi, T.; De Ponti, E.; Negri, S.; Testa, F.; Giuliani, D.; Delle Marchette, M.; Dell’Oro, C.; Fumagalli, D.; Donatiello, G.; et al. Outcome of Patients with Stage I Immature Teratoma after Surveillance or Adjuvant Chemotherapy. Front. Oncol. 2024, 14, 1330481. [Google Scholar] [CrossRef] [PubMed]
- Ray-Coquard, I.; Morice, P.; Lorusso, D.; Prat, J.; Oaknin, A.; Pautier, P.; Colombo, N. Non-Epithelial Ovarian Cancer: ESMO Clinical Practice Guidelines for Diagnosis, Treatment and Follow-Up. Ann. Oncol. 2018, 29, iv1–iv18. [Google Scholar] [CrossRef]
- Armstrong, D.K.; Alvarez, R.D.; Bakkum-Gamez, J.N.; Barroilhet, L.; Behbakht, K.; Berchuck, A.; Berek, J.S.; Chen, L.; Cristea, M.; DeRosa, M.; et al. NCCN Guidelines Insights: Ovarian Cancer, Version 1.2019. J. Natl. Compr. Canc. Netw. 2019, 17, 896–909. [Google Scholar] [CrossRef] [PubMed]
- Liu, Q.; Ding, X.; Yang, J.; Cao, D.; Shen, K.; Lang, J.; Zhang, G.; Xin, X.; Xie, X.; Wu, Y. The Significance of Comprehensive Staging Surgery in Malignant Ovarian Germ Cell Tumors. Gynecol. Oncol. 2013, 131, 551–554. [Google Scholar] [CrossRef]
- Mahdi, H.; Swensen, R.E.; Hanna, R.; Kumar, S.; Ali-Fehmi, R.; Semaan, A.; Tamimi, H.; Morris, R.T.; Munkarah, A.R. Prognostic Impact of Lymphadenectomy in Clinically Early Stage Malignant Germ Cell Tumour of the Ovary. Br. J. Cancer 2011, 105, 493–497. [Google Scholar] [CrossRef]
- Zhao, T.; Liu, Y.; Wang, X.; Zhang, H.; Lu, Y. Ovarian Cystectomy in the Treatment of Apparent Early-Stage Immature Teratoma. J. Int. Med. Res. 2017, 45, 771–780. [Google Scholar] [CrossRef]
- Wang, D.; Zhu, S.; Jia, C.; Cao, D.; Yang, J.; Xiang, Y. Oncological and Reproductive Outcomes of Cystectomy Compared with Unilateral Salpingo-Oophorectomy as Fertility-Sparing Surgery in Patients with Apparent Early Stage Pure Immature Ovarian Teratomas. Ann. Surg. Oncol. 2021, 28, 6684–6693. [Google Scholar] [CrossRef]
- Mangili, G.; Sigismondi, C.; Lorusso, D.; Pignata, S. Surveillance Policy for Stage IA Malignant Ovarian Germ Cell Tumors in Children and Young Adults. J. Clin. Oncol. 2014, 32, 2814–2815. [Google Scholar] [CrossRef]
- Alsdorf, W.; Seidel, C.; Bokemeyer, C.; Oing, C. Current Pharmacotherapy for Testicular Germ Cell Cancer. Expert Opin. Pharmacother. 2019, 20, 837–850. [Google Scholar] [CrossRef] [PubMed]
- Cushing, B.; Giller, R.; Ablin, A.; Cohen, L.; Cullen, J.; Hawkins, E.; Heifetz, S.A.; Krailo, M.; Lauer, S.J.; Marina, N.; et al. Surgical Resection Alone Is Effective Treatment for Ovarian Immature Teratoma in Children and Adolescents: A Report of the Pediatric Oncology Group and the Children’s Cancer Group. Am. J. Obstet. Gynecol. 1999, 181, 353–358. [Google Scholar] [CrossRef] [PubMed]
- Marina, N.M.; Cushing, B.; Giller, R.; Cohen, L.; Lauer, S.J.; Ablin, A.; Weetman, R.; Cullen, J.; Rogers, P.; Vinocur, C.; et al. Complete Surgical Excision Is Effective Treatment for Children With Immature Teratomas With or Without Malignant Elements: A Pediatric Oncology Group/Children’s Cancer Group Intergroup Study. J. Clin. Oncol. 1999, 17, 2137–2137. [Google Scholar] [CrossRef] [PubMed]
- Chaudhary, U.B.; Haldas, J.R. Long-Term Complications of Chemotherapy for Germ Cell Tumours. Drugs 2003, 63, 1565–1577. [Google Scholar] [CrossRef]
- Maroto, P.; Anguera, G.; Martin, C. Long-Term Toxicity of the Treatment for Germ Cell-Cancer. A Review. Crit. Rev. Oncol. Hematol. 2018, 121, 62–67. [Google Scholar] [CrossRef]
- van den Belt-Dusebout, A.W.; de Wit, R.; Gietema, J.A.; Horenblas, S.; Louwman, M.W.J.; Ribot, J.G.; Hoekstra, H.J.; Ouwens, G.M.; Aleman, B.M.P.; van Leeuwen, F.E. Treatment-Specific Risks of Second Malignancies and Cardiovascular Disease in 5-Year Survivors of Testicular Cancer. J. Clin. Oncol. 2007, 25, 4370–4378. [Google Scholar] [CrossRef] [PubMed]
- Boshoff, C.; Begent, R.H.J.; Oliver, R.T.D.; Rustin, G.J.; Newlands, E.S.; Andrews, R.; Skelton, M.; Holden, L.; Ong, J. Secondary Tumours Following Etoposide Containing Therapy for Germ Cell Cancer. Ann. Oncol. 1995, 6, 35–40. [Google Scholar] [CrossRef]
- Skalleberg, J.; Solheim, O.; Fosså, S.D.; Småstuen, M.C.; Osnes, T.; Gundersen, P.O.M.; Bunne, M. Long-Term Ototoxicity in Women after Cisplatin Treatment for Ovarian Germ Cell Cancer. Gynecol. Oncol. 2017, 145, 148–153. [Google Scholar] [CrossRef]
- Solheim, O.; Skalleberg, J.; Warncke, T.; Ørstavik, K.; Tropé, C.; Fosså, S.D. Long-Term Neurotoxicity and Raynaud’s Phenomenon in Patients Treated with Cisplatin-Based Chemotherapy for Malignant Ovarian Germ Cell Tumor. Acta Obstet. Gynecol. Scand. 2019, 98, 240–249. [Google Scholar] [CrossRef]
- Chan, J.L.; Wang, E.T. Oncofertility for Women with Gynecologic Malignancies. Gynecol. Oncol. 2017, 144, 631–636. [Google Scholar] [CrossRef]
- Li, S.; Wang, Y.; Zhang, X.; Zhang, T.; Yin, M.; Yang, J. Role of Adjuvant Chemotherapy in Stage I Pure Ovarian Immature Teratoma: A Systematic Review and Meta-Analysis. Cancers 2023, 15, 1741. [Google Scholar] [CrossRef]
- Palenzuela, G.; Martin, E.; Meunier, A.; Beuzeboc, P.; Laurence, V.; Orbach, D.; Frappaz, D. Comprehensive Staging Allows for Excellent Outcome in Patients With Localized Malignant Germ Cell Tumor of the Ovary. Ann. Surg. 2008, 248, 836–841. [Google Scholar] [CrossRef]
- Marino, G.; Negri, S.; Testa, F.; Giuliani, D.; De Ponti, E.; Bombelli, M.; Pecis Cavagna, G.; Lugotti, D.; Jaconi, M.; Casiraghi, A.; et al. Oncologic and Fertility Outcome in Patients with Advanced Stage Ovarian Immature Teratomas. Gynecol. Oncol. Rep. 2025, 58, 101715. [Google Scholar] [CrossRef]
- Bafna, U.D.; Umadevi, K.; Kumaran, C.; Nagarathna, D.S.; Shashikala, P.; Tanseem, R. Germ Cell Tumors of the Ovary: Is There a Role for Aggressive Cytoreductive Surgery for Nondysgerminomatous Tumors? Int. J. Gynecol. Cancer 2001, 11, 300–304. [Google Scholar] [CrossRef]
- Talukdar, S.; Kumar, S.; Bhatla, N.; Mathur, S.; Thulkar, S.; Kumar, L. Neo-Adjuvant Chemotherapy in the Treatment of Advanced Malignant Germ Cell Tumors of Ovary. Gynecol. Oncol. 2014, 132, 28–32. [Google Scholar] [CrossRef] [PubMed]
- Zanetta, G.; Bonazzi, C.; Cantù, M.G.; Bini†, S.; Locatelli, A.; Bratina, G.; Mangioni, C. Survival and Reproductive Function After Treatment of Malignant Germ Cell Ovarian Tumors. J. Clin. Oncol. 2001, 19, 1015–1020. [Google Scholar] [CrossRef] [PubMed]
- Brown, J.; Friedlander, M.; Backes, F.J.; Harter, P.; O’Connor, D.M.; De La Motte Rouge, T.; Lorusso, D.; Maenpaa, J.; Kim, J.-W.; Tenney, M.E.; et al. Gynecologic Cancer Intergroup (GCIG) Consensus Review for Ovarian Germ Cell Tumors. Int. J. Gynecol. Cancer 2014, 24, S48–S54. [Google Scholar] [CrossRef]
- Nasioudis, D.; Chapman-Davis, E.; Frey, M.K.; Caputo, T.A.; Witkin, S.S.; Holcomb, K. Prognostic Significance of Residual Disease in Advanced Stage Malignant Ovarian Germ Cell Tumors. Int. J. Gynecol. Cancer 2019, 29, 554–559. [Google Scholar] [CrossRef] [PubMed]
- Fumagalli, D.; Jayraj, A.; Olearo, E.; Capasso, I.; Hsu, H.-C.; Tzur, Y.; Piedimonte, S.; Jugeli, B.; Santana, B.N.; De Vitis, L.A.; et al. Primary versus Interval Cytoreductive Surgery in Patients with Rare Epithelial or Non-Epithelial Ovarian Cancer. Int. J. Gynecol. Cancer 2025, 35, 101664. [Google Scholar] [CrossRef]
- Merard, R.; Ganesan, R.; Hirschowitz, L. Growing Teratoma Syndrome: A Report of 2 Cases and Review of the Literature. Int. J. Gynecol. Pathol. 2015, 34, 465–472. [Google Scholar] [CrossRef]
- Chan Wah Hak, C.; Coyle, C.; Kocache, A.; Short, D.; Sarwar, N.; Seckl, M.J.; Gonzalez, M.A. Emergency Etoposide-Cisplatin (Em-EP) for Patients with Germ Cell Tumours (GCT) and Trophoblastic Neoplasia (TN). BMC Cancer 2019, 19, 770. [Google Scholar] [CrossRef]
- Gaffan, J.; Holden, L.; Newlands, E.S.; Short, D.; Fuller, S.; Begent, R.H.J.; Rustin, G.J.S.; Seckl, M.J. Infertility Rates Following POMB/ACE Chemotherapy for Male and Female Germ Cell Tumours – a Retrospective Long-Term Follow-up Study. Br. J. Cancer 2003, 89, 1849–1854. [Google Scholar] [CrossRef] [PubMed]
- Peate, M.; Meiser, B.; Hickey, M.; Friedlander, M. The Fertility-Related Concerns, Needs and Preferences of Younger Women with Breast Cancer: A Systematic Review. Breast Cancer Res. Treat. 2009, 116, 215–223. [Google Scholar] [CrossRef]
- Loren, A.W.; Mangu, P.B.; Beck, L.N.; Brennan, L.; Magdalinski, A.J.; Partridge, A.H.; Quinn, G.; Wallace, W.H.; Oktay, K. Fertility Preservation for Patients With Cancer: American Society of Clinical Oncology Clinical Practice Guideline Update. J. Clin. Oncol. 2013, 31, 2500–2510. [Google Scholar] [CrossRef]
- Low, J.J.H.; Perrin, L.C.; Crandon, A.J.; Hacker, N.F. Conservative Surgery to Preserve Ovarian Function in Patients with Malignant Ovarian Germ Cell Tumors: A Review of 74 Cases. Cancer 2000, 89, 391–398. [Google Scholar] [CrossRef] [PubMed]
- Tangir, J. Reproductive Function after Conservative Surgery and Chemotherapy for Malignant Germ Celltumors of the Ovary. Obstet. Gynecol. 2003, 101, 251–257. [Google Scholar] [CrossRef] [PubMed]
- Tamauchi, S.; Kajiyama, H.; Yoshihara, M.; Ikeda, Y.; Yoshikawa, N.; Nishino, K.; Utsumi, F.; Niimi, K.; Suzuki, S.; Kikkawa, F. Reproductive Outcomes of 105 Malignant Ovarian Germ Cell Tumor Survivors: A Multicenter Study. Am. J. Obstet. Gynecol. 2018, 219, 385.e1–385.e7. [Google Scholar] [CrossRef]
- Marino, G.; Grassi, T.; De Ponti, E.; Testa, F.; Negri, S.; Giuliani, D.; Seca, M.; Bombelli, M.; Santagati, A.; Bertoni, M.; et al. Fertility Outcomes in Stage I Ovarian Immature Teratomas. Int. J. Gynecol. Cancer 2024, 34, 1416–1422. [Google Scholar] [CrossRef]
- Vazquez, I.; Rustin, G.J.S. Current Controversies in the Management of Germ Cell Ovarian Tumours. Curr. Opin. Oncol. 2013, 25, 539–545. [Google Scholar] [CrossRef]
- Salani, R.; Backes, F.J.; Fung Kee Fung, M.; Holschneider, C.H.; Parker, L.P.; Bristow, R.E.; Goff, B.A. Posttreatment Surveillance and Diagnosis of Recurrence in Women with Gynecologic Malignancies: Society of Gynecologic Oncologists Recommendations. Am. J. Obstet. Gynecol. 2011, 204, 466–478. [Google Scholar] [CrossRef] [PubMed]
- Dark, G.G.; Bower, M.; Newlands, E.S.; Paradinas, F.; Rustin, G.J. Surveillance Policy for Stage I Ovarian Germ Cell Tumors. J. Clin. Oncol. 1997, 15, 620–624. [Google Scholar] [CrossRef] [PubMed]
- Seckl, M.J.; Kaur, B.; Ghorani, E.; Bergamini, A.; Mangili, G. Controversies in Malignant Ovarian Germ Cell Tumors. Int. J. Gynecol. Cancer 2025, 35, 101670. [Google Scholar] [CrossRef] [PubMed]


| Dysgerminoma Non-dysgerminoma
|
| Author and year of publication | N patients |
Stage (IA/IB/IC) |
Grade (G1/G2/G3) | FSS | Chemo | Relapses | Deaths |
| Bonazzi, 1994 [35] | 26 | 18/0/8 | 7/13/6 | 26/26 | 6/26 | 2/26 | 0/26 |
| Mangili, 2010 [36] | 28 | 19/2/7 | 9/12/7 | 24/28 | 9/28 | 6/28 | 0/28 |
| Vicus, 2011 [37] | 32 | 27/0/5 | 13/11/8 | 29/32 | 5/32 | 4/32 | 3/32 |
| Alwazzan, 2015 [38] | 22 | 12/1/9 | 8/2/12 | 19/22 | 16/22 | 0/22 | 0/22 |
| Pashankar, 2015* [25] | 43 | 502/147 (IB-IC) | - | - | 43/43 | 1/43 | 1/43 |
| Reddihalli, 2015 [39] | 16 | 5/0/5 | - | 15/16 | 15/16 | 0/16 | 0/16 |
| Jorge, 2016 [30] | 756 | - | - | - | 379/756 | - | 13/756 |
| Chan, 2016 [19] | 418 | - | 103/114/118 (83 missing) | - | - | - | 2/418 |
| Mangili, 2017 [40] | 49 | 22/2/12 (13 unknown) |
- | - | 15/49 | 11/49 | - |
| Newton, 2019* [41] | 32 | - | - | - | 6/32 | 2/32 | 0/32 |
| Bergamini, 2020 [21] | 108 | 66/3/39 | 31/41/36 | 100/108 | 27/108 | 11/108 | 1/108 |
| Wang, 2020 [42] | 75 | 14/0/12 (49 unknown) |
35/25/15 | 75/75 | 51/75 | 4/75 | 1/75 |
| Mangili, 2021 [22] | 24 | 16/1/7 | 9/2/13 | 24/24 | 5/24 | 1/24 | 0/24 |
| Nasioudis, 2021 [43] | 272 | - | 0/115/157 | - | 170/272 | - | 8/272 |
| Graham, 2022 [44] | 39 | 26/0/7 (6 undefined) |
11/15/12 | 38/39 | 6/39 | 6/39 | 0/39 |
| Zhang, 2022 [45] | 32 | 6/0/26 | 12/20 (G2-G3) | 32/32 | 16/32 | 2/32 | 0/32 |
| Li, 2023 [46] | 126 | 55/0/71 | 39/57/30 | 105/126 | 81/126 | 13/126 | 2/126 |
| Marino, 2024 [47] | 74 | 59/1/14 | 28/28/18 | 74/74 | 9/74 | 10/74 | 0/74 |
| - Not reported or not possible to extrapolate from aggregate MOGCTs data * Adult population | |||||||
| Pulmonary toxicity (Bleomycin) Neuropathy (Platin) Nephrotoxicity (Platin) Raynaud’s phenomenon Cardiovascular impairment High tone hearing loss (Platin) Osteoporosis (if radical surgery) Infertility Acute Myeloid Leukemia (Etoposide) |
| Author and year of publication | N patients | Stage (II/III/IV) | Grade (G1/G2/G3) | FSS | Chemo | Relapses | Deaths |
| Bonazzi, 1994 [35] | 5 | 2/3/0 | 2/2/1 | 4/5 | 3/5 | 3/5 | 0/5 |
| Vicus, 2011 [37] | 2 | 1/1/0 | 0/1/1 | 1/2 | 2/2 | 1/2 | 1/2 |
| Alwazzan, 2015 [38] | 5 | 3/2/0 | - | - | 4/5 | 1/5 | 0/5 |
| Pashankar, 2015* [25] | 38 | 5/27/6 | - | - | 38/38 | 9/38 | 5/38 |
| Reddihalli, 2015 [39] | 5 | 0/5/0 | - | - | 5/5 | 4/5 | 1/5 |
| Jorge, 2016 [30] | 236 | 68/143/25 | - | - | 190/236 | - | 48/236 |
| Chan, 2016 [19] | 116 | 24/71/21 | 8/22/58 (28 missing) |
- | - | - | 21/116 |
| Newton, 2019* [41] | 10 | - | - | - | - | 2/10 | - |
| Marino, 2025 [67] | 17 | 4/12/1 | 2/6/9 | 13/17 | 14/17 | 5/17 | 0/17 |
| - Not reported or not possible to extrapolate from aggregate MOGCTs data * Adult population | |||||||
| Timing | Clinical examination | Ultrasound | Tumor markers | Chest radiography | Total body CT scan |
| I year | Each month | Every 2 months | Every 2 weeks (first 6 months), then monthly | Every 2 months | Every 3 months (if no laparoscopic second look) or at 12 months |
| II year | Every 2 months | Every 4 months | Every 2 months | Every 4 months | - |
| III year | Every 3 months | Every 6 months | Every 3 months | Every 6 months | - |
| IV year | Every 4 months | - | Every 4 months | Every 8 months | - |
| V-X year | Every 6 months | - | Every 6 months | Annualy | - |
Disclaimer/Publisher’s Note: The statements, opinions and data contained in all publications are solely those of the individual author(s) and contributor(s) and not of MDPI and/or the editor(s). MDPI and/or the editor(s) disclaim responsibility for any injury to people or property resulting from any ideas, methods, instructions or products referred to in the content. |
© 2025 by the authors. Licensee MDPI, Basel, Switzerland. This article is an open access article distributed under the terms and conditions of the Creative Commons Attribution (CC BY) license (http://creativecommons.org/licenses/by/4.0/).
