Submitted:
03 August 2025
Posted:
04 August 2025
You are already at the latest version
Abstract
Keywords:
1. Introduction
2. Materials and Methods
Animals
CT Technique
Measurements
- Orbital cavity height: Maximal dorsoventral distance of the orbital cavity at the level of the eyeball.
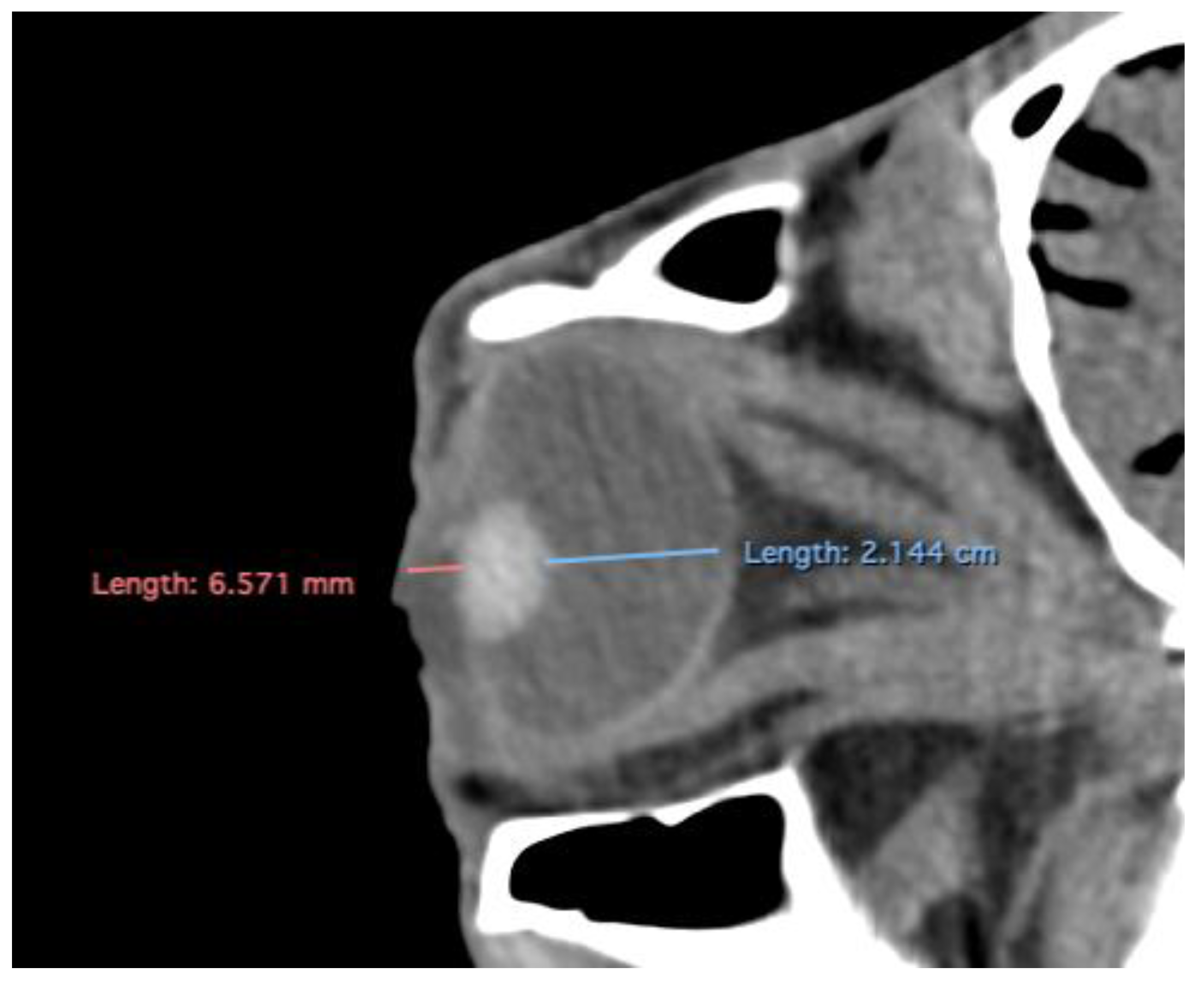
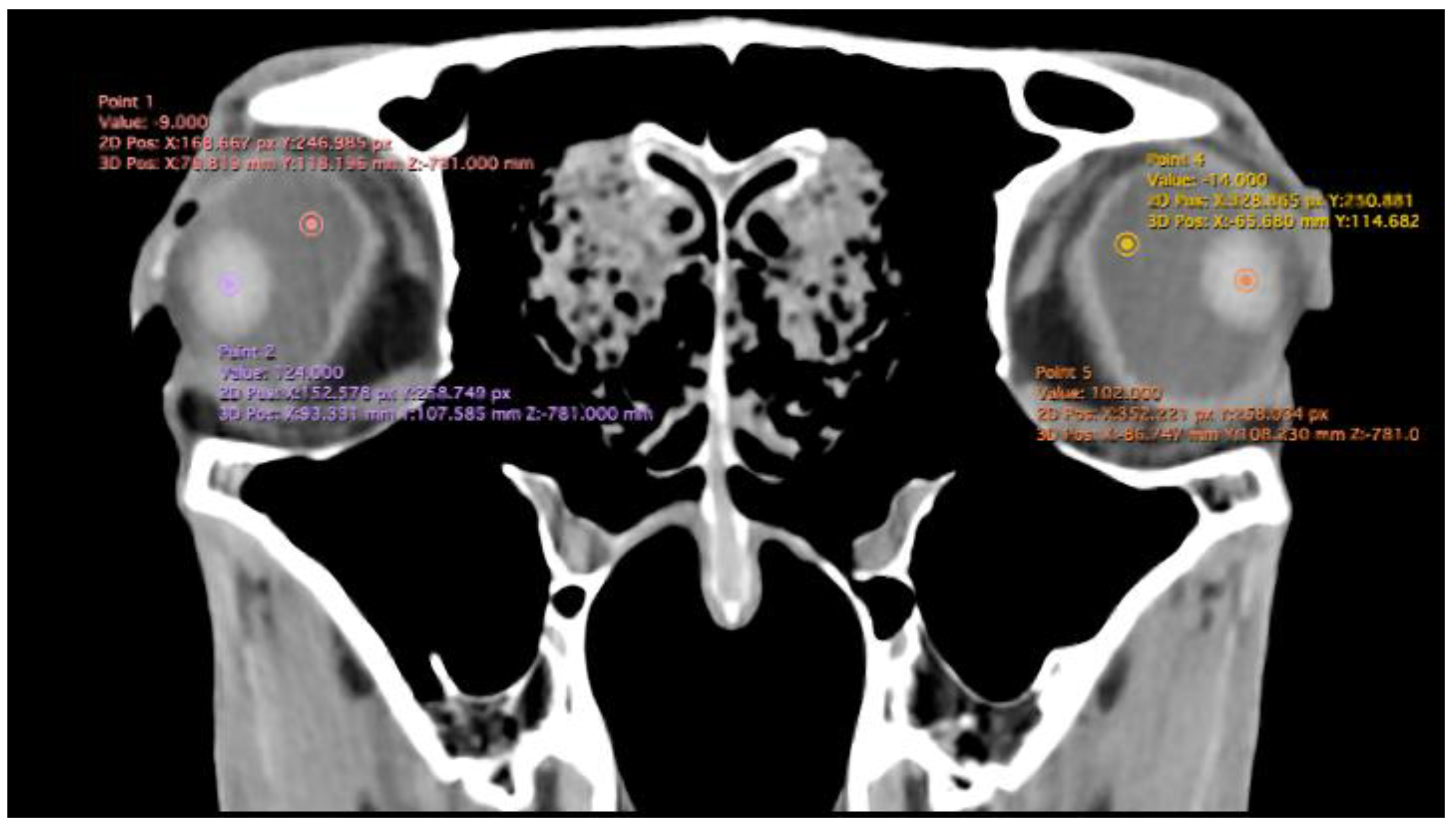
- Anterior chamber, posterior chamber, and lens densities: Attenuation values measured by placing regions of interest (ROIs) centrally in each structure (Figure 3).
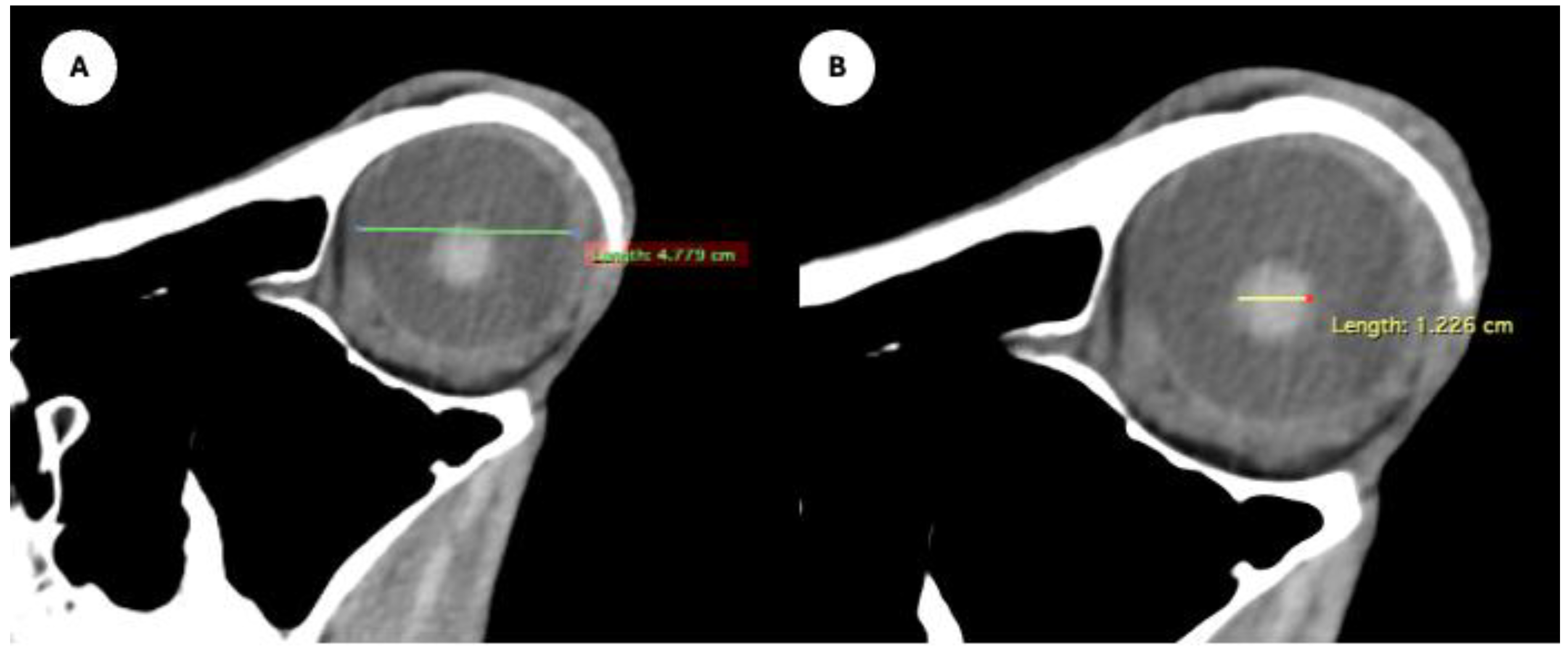
- Eyeball rostrocaudal length: Maximal anteroposterior distance of the eyeball from the internal surface of the cornea to the internal surface of the choroid/retina/sclera (Figure 4A).
- Orbital cavity rostrocaudal length: Maximal anteroposterior distance of the orbital cavity measured at the level of the eyeball.
- Lens rostrocaudal length: Maximum anteroposterior distance of the lens measured along its midline (Figure 4B).
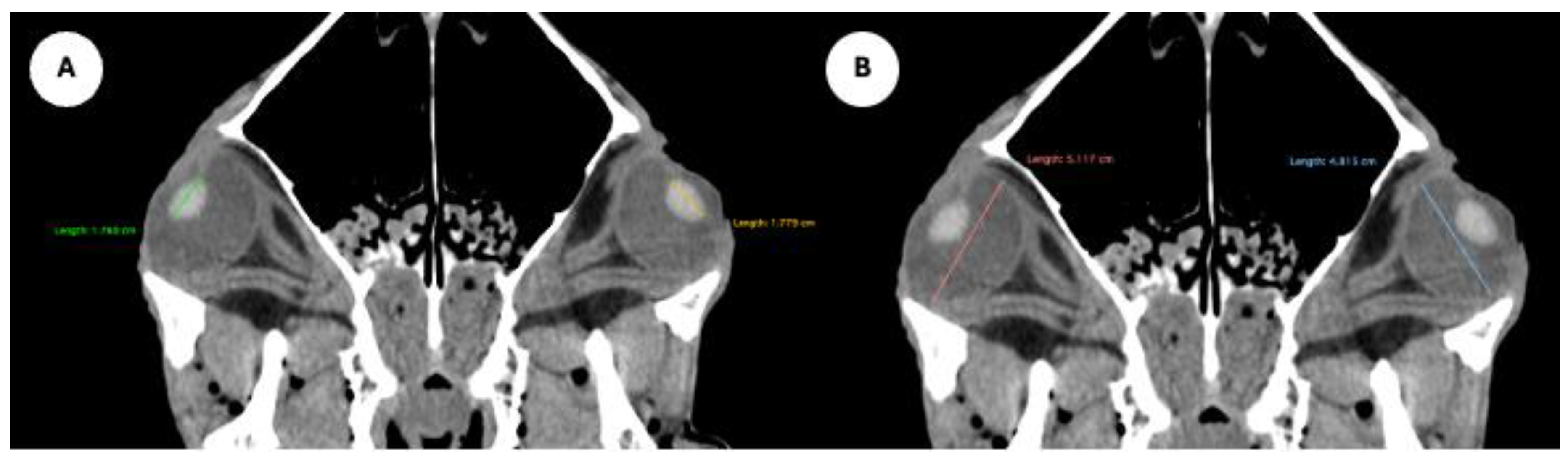
- Anterior and posterior chambers width: Maximal lateromedial distance across the anterior and posterior chambers. (Figure 5)



Statistical Analysis
3. Results
4. Discussion
5. Conclusions
Author Contributions
Funding
Institutional Review Board Statement
Informed Consent Statement
Data Availability Statement
Acknowledgments
Conflicts of Interest
References
- Stoppini, R.; Gilger, B. C. Equine ocular examination basic techniques. In: Equine Ophthalmology, B.C. Gilger (Ed.), 2017, Wiley and Sons, Inc. New York, p. 1-39.
- McMullen, R. J. Advancements in equine ophthalmic imaging enhance understanding of ocular and orbital anatomy and disease in standing sedated horses. J. Am. Vet. Med. Assoc. 2024, 262, S47–S56. [Google Scholar] [CrossRef]
- Gallhoefer, N. S.; Bentley, E.; Ruetten, M.; Grest, P.; Haessig, M.; Kircher, P. R.; Dubielzig, R. R.; Spiess, B. M.; Pot, S. A. Comparison of ultrasonography and histologic examination for identification of ocular diseases of animals: 113 cases (2000–2010). J. Am. Vet. Med. Assoc. 2013, 243, 376–388. [Google Scholar] [CrossRef] [PubMed]
- Dennis, R. Use of magnetic resonance imaging for the investigation of orbital disease in small animals. J. Small Anim Pract. 2000. 41, 145–155. [CrossRef] [PubMed]
- Hollis, A. R.; Dixon, J. J.; Berlato, D.; Murray, R.; Weller, R. Computed tomographic dimensions of the normal adult equine eye. Vet Ophthalmol. 2019, 22, 651–659. [Google Scholar] [CrossRef] [PubMed]
- Grinninger, P.; Skalicky, M.; Nell, B. Evaluation of healthy equine eyes by use of retinoscopy, keratometry, and ultrasonographic biometry. Am J Vet Res. 2010, 71, 677–681. [Google Scholar] [CrossRef]
- Salgüero, R.; Johnson, V.; Williams, D.; Hartley, C.; Holmes, M. ; Dennis R, et al. CT dimensions, volumes and densities of normal canine eyes. Vet Record, 2015, 176, 386. [Google Scholar] [CrossRef]
- Chandrakumar, S.; Linden, A. Z.; Owen, M.; Pemberton, S.; Pinard, C. L.; Matsuyama, A.; Poirier, V. J. Computed tomography measurements of intraocular structures of the feline eye. Vet Record, 2019, 184, 651. [Google Scholar] [CrossRef]
- Fumero-Hernández, M.; Encinoso, M.; Ramírez, A.S.; Fariña, I.M.; Calabuig, P.; Jaber, J.R. Morphometric Study of the Eyeball of the Loggerhead Turtle (Caretta caretta) Using Computed Tomography (CT). Animals, 2023;13,1016. [CrossRef]
- Fumero-Hernández, M.; Encinoso, M.; Ramírez, A. S.; Morales, I.; Pérez, A. S.; Jaber, J. R. A Cadaveric Study Using Computed Tomography for Measuring the Eyeball and Scleral Skeleton of the Atlantic Puffin (Aves, Alcidae, Fratercula arctica). Animals, 2023, 13, 2418. [Google Scholar] [CrossRef]
- Hall, M. I. The anatomical relationships between the avian eye, orbit and sclerotic ring: implications for inferring activity patterns in extinct birds. J Anat. 2008, 212, 781–794. [Google Scholar] [CrossRef]
- Evans, K.E.; McGreevy, P.D. Conformation of the Equine Skull: A Morphometric Study. Anat Histol Embryol. 2006, 35, 221–7. [Google Scholar] [CrossRef]
- Yoo, H.; Lee, S.; Shin, K.; Seo, J. Computed tomographic dimensions and densities of the normal eye in Jeju horses. J Vet Med Sci. 2024. 86, 308–311. [CrossRef]
- Pérez, S.; Encinoso, M.; Corbera, J.A.; Morales, M.; Arencibia, A.; González-rodríguez, E.; Déniz, S.; Melián, C.; Suárez-bonnet, A.; Jaber, J.R. Cranial Structure of Varanus Komodoensis as Revealed by Computed-tomographic Imaging. Animals, 2021, 11, 1078. [Google Scholar] [CrossRef]
- Pérez, S.; Encinoso, M.; Morales, M.; Arencibia, A.; Suárez-Bonnet, A.; González-Rodríguez, E.; Jaber, J.R. Comparative evaluation of the Komodo dragon (Varanus komodoensis) and the Green iguana (Iguana iguana) skull by three dimensional computed tomographic reconstruction. Slov. Vet. Res. 2021, 58, 111–116. [Google Scholar] [CrossRef]
- Banzato, T.; Selleri, P.; Veladiano, I.A.; Martin, A.; Zanetti, E.; Zotti, A. Comparative evaluation of the cadaveric, radiographic and computed tomographic anatomy of the heads of green iguana (Iguana iguana), common tegu (Tupinambis merianae) and bearded dragon (Pogona vitticeps). BMC Vet. Res. 2012, 11, 53. [Google Scholar] [CrossRef] [PubMed]
- González Rodríguez, E.; Encinoso Quintana, M.; Morales Bordon, D.; Garcés, J.G.; Artiles Nuez, H.; Jaber, J.R. Anatomical Description of Rhinoceros Iguana (Cyclura cornuta cornuta) Head by Computed Tomography, Magnetic Resonance Imaging and Gross-Sections. Animals, 2023, 13, 955. [Google Scholar] [CrossRef] [PubMed]
- Andrade, S.B.D.; Araujo, N.L.L.C.D.; Raposo, A.C.S.; Muramoto, C.; Oriá, A.P. Morphometric descriptive report of scleral ossicle rings, by ultrasound and computed tomography, in three Testudines specimens. Ciênc Rural, 2023, 53, 1–10. [Google Scholar] [CrossRef]
- Harman, A. M.; Moore, S.; Hoskins, R.; Keller, P. Horse vision and an explanation for the visual behaviour originally explained by the 'ramp retina'. Equine Vet J. 1999, 31, 384–90. [Google Scholar] [CrossRef]
- Hanggi, E.B.; Ingersoll, J.F. Lateral vision in horses: A behavioral investigation. Behav Process. 2012, 91, 70–76. [Google Scholar] [CrossRef]
- Timney, B.; Keil, K. Visual acuity in the horse. Vision Res. 1992, 32, 2289–93. [Google Scholar] [CrossRef]
- Guo, X.; Sugita, S. Topography of ganglion cells in the retina of the horse. J. Vet. Med. Sci. 2000, 62, 1145–1150. [Google Scholar] [CrossRef]
- Bartol, S.M.; Musick, J.A.; Ochs, A.L. Visual acuity thresholds of juvenile loggerhead sea turtles (Caretta caretta): An electrophysiological approach. J. Comp. Physiol. A Neuroethol. Sens. Neural Behav. Physiol. 2002, 187, 953–960. [Google Scholar] [CrossRef]
- Timney, B.; Macuda, T. Vision and hearing in horses. J Am Vet Med Assoc. 2001, 218, 1567–1574. [Google Scholar] [CrossRef]
- Cappellato, A.; Miletto Petrazzini, M.E.; Bisazza, A.; Dadda, M.; Agrillo, C. Susceptibility to Size Visual Illusions in a Non-Primate Mammal (Equus caballus). Animals 2020, 10, 1673. [Google Scholar] [CrossRef]
- Hall, C.A.; Cassaday, H.J.; Derrington, A.M. The effect of stimulus height on visual discrimination in horses. J Anim Sci. 2003, 81, 1715–1720. [Google Scholar] [CrossRef] [PubMed]
- Yoshimiya, M.; Noriki, S.; Shimbashi, S.; Uesaka, H.; Hyodoh, H. Postmortem changes in porcine eyes on computed tomography images. Leg Med. 2025, 102568. [Google Scholar] [CrossRef] [PubMed]
- Stoeck, C.; Deuster, C.; Fleischmann, T.; Lipiski, M.; Cesarovic, N.; Kozerke, S. Direct comparison of in vivo versus postmortem second-order motion-compensated cardiac diffusion tensor imaging. Magn Reson Med. 2018, 79, 2265–2276. [Google Scholar] [CrossRef] [PubMed]
- Mckenna, M.F.; Goldbogen, J.A.; Leger, J.; Hildebrand, J.A.; Cranford, T.W. Evaluation of postmortem changes in tissue structure in the bottlenose dolphin (Tursiops truncatus). Anat Rec. 2007, 290, 1023–1032. [Google Scholar] [CrossRef]
- Crespigny, A.; Bou-Reslan, H.; Nishimura, M.; Phillips, H.; Carano, R.; D'Arceui, H. 3D micro-CT imaging of the Postmortem Brain. J Neurosci Methods, 171, 207-13. [CrossRef]
- Bryce, A.J.; Dandrieux, J.R.; Tyrrell, D.; Milne, M.E. The evolving use of post-mortem veterinary imaging in a university specialist hospital. Forensic Imaging, 2021, 26, 200475. [Google Scholar] [CrossRef]
- Germonpré, J.; Vandekerckhove, L.M.J.; Raes, E.; Chiers, K.; Jans, L.; Vanderperren, K. Post-mortem feasibility of dual-energy computed tomography in the detection of bone edema-like lesions in the equine foot: a proof of concept. Front. Vet. Sci. 2024, 10, 1201017. [Google Scholar] [CrossRef]



| Right eye | Left eye | Both eyes | ||||||||||
|---|---|---|---|---|---|---|---|---|---|---|---|---|
| Mean | Median | Range | sd | Mean | Median | Range | sd | Mean | Median | Range | sd | |
| Ocular bulb height (cm) | 5.19 | 5.20 | (5 - 5.5) | 0.14 | 5.19 | 5.20 | (5 - 5.4) | 0.11 | 5.06 | 5.19 | (5 - 5.5) | 0.13 |
| Ocular bulb width (cm) | 4.29 | 4.25 | (4.1 - 4.6) | 0.14 | 4.27 | 4.27 | (4.1 - 4.47) | 0.10 | 4.18 | 4.26 | (4.1 - 4.6) | 0.12 |
| Ocular bulb length (cm) | 5.09 | 5.08 | (4.86 - 5.4) | 0.16 | 5.09 | 5.10 | (4.78 - 5.32) | 0.18 | 4.98 | 5.1 | (4.78 - 5.4) | 0.17 |
| Orbital cavity height (cm) | 5.27 | 5.23 | (5.1 - 5.5) | 0.10 | 5.28 | 5.27 | (5 - 5.46) | 0.14 | 5.14 | 5.27 | (5 - 5.5) | 0.12 |
| Orbital cavity length (cm) | 6.29 | 6.28 | (6.04 - 6.5) | 0.13 | 6.29 | 6.30 | (6 - 6.6) | 0.15 | 6.14 | 6.3 | (6 - 6.6) | 0.14 |
| Lens height (cm) | 1.53 | 1.52 | (1.47 - 1.66) | 0.05 | 1.53 | 1.52 | (1.4 - 1.63) | 0.06 | 1.50 | 1.52 | (1.4 - 1.66) | 0.06 |
| Lens width (cm) | 1.24 | 1.24 | (1.12 - 1.34) | 0.05 | 1.22 | 1.22 | (1.05 - 1.35) | 0.07 | 1.20 | 1.23 | (1.05 - 1.35) | 0.06 |
| Lens length (cm) | 1.63 | 1.63 | (1.52 - 1.69) | 0.04 | 1.63 | 1.65 | (1.5 - 1.69) | 0.05 | 1.59 | 1.64 | (1.5 - 1.69) | 0.04 |
| Posterior chamber width (cm) | 2.24 | 2.25 | (2.1 - 2.39) | 0.09 | 2.28 | 2.29 | (2.09 - 2.4) | 0.09 | 2.21 | 2.26 | (2.09 - 2.4) | 0.09 |
| Anterior chamber width (cm) | 0.57 | 0.57 | (0.42 - 0.67) | 0.06 | 0.56 | 0.54 | (0.4 - 0.69) | 0.07 | 0.56 | 0.57 | (0.4 - 0.69) | 0.07 |
| Posterior chamber (UH) | -4.62 | -5.00 | (-8 - -2) | 1.63 | -3.81 | -4.00 | (-7 - -2) | 1.50 | -4.26 | -4 | (-8 - -2) | 1.60 |
| Anterior chamber (UH) | -8.57 | -8.00 | (-14 - -6) | 2.13 | -7.48 | -7.00 | (-13 - -4) | 2.02 | -8.05 | -8 | (-14 - -4) | 2.12 |
| Lens (UH) | 129.62 | 129.00 | (113 - 147) | 7.41 | 128.43 | 129.00 | (101 - 139) | 7.62 | 124.93 | 129 | (101 - 147) | 7.45 |
Disclaimer/Publisher’s Note: The statements, opinions and data contained in all publications are solely those of the individual author(s) and contributor(s) and not of MDPI and/or the editor(s). MDPI and/or the editor(s) disclaim responsibility for any injury to people or property resulting from any ideas, methods, instructions or products referred to in the content. |
© 2025 by the authors. Licensee MDPI, Basel, Switzerland. This article is an open access article distributed under the terms and conditions of the Creative Commons Attribution (CC BY) license (http://creativecommons.org/licenses/by/4.0/).