Submitted:
04 July 2025
Posted:
07 July 2025
You are already at the latest version
Abstract
Keywords:
1. Introduction
2. Results
2.1. Circling Behavior, Fluorescent Lipidic Products, and Dopamine Content in Striatal Tissue
2.2. Neurodegenerative Damage
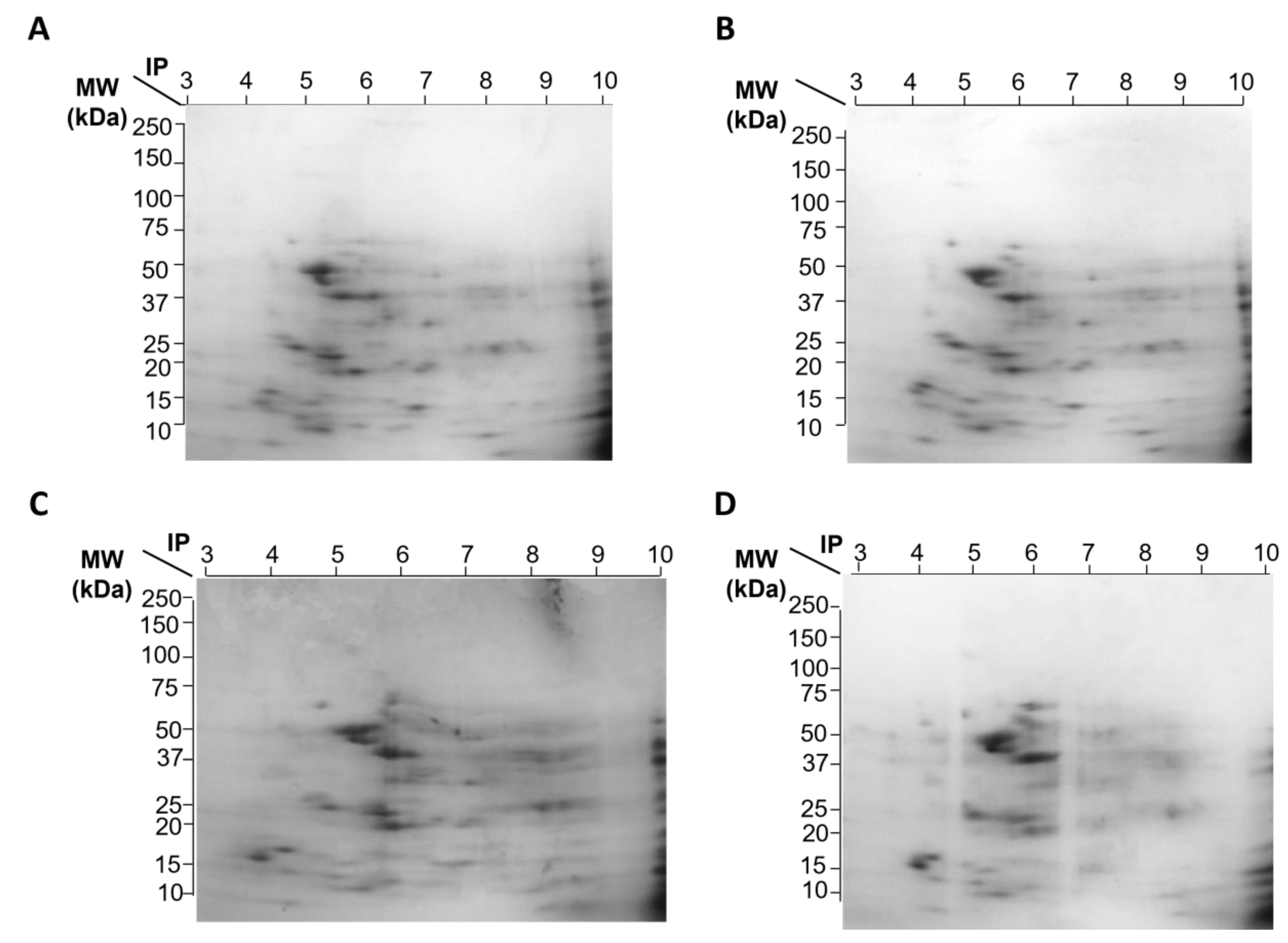
2.3. Protein Expression Patterns from the Rat’s Mesencephalon
2.4. In Silico Protein Identification
2.5. In Silico Protein Interaction
3. Discussion
4. Materials and Methods
4.1. Ethics Statement
4.2. Animals and Treatments
4.3. MPP + Intraestriatal Lesion.
4.4. Circling Behavior
4.5. Striatal Dopamine Levels Measurement
4.6. Fluorescent Lipidic Products Assay
4.7. Immunofluorescence for Tyrosine Hydroxylase in the Striatum of the Rat
4.8. Protein Extraction of Samples
4.9. Two-Dimensional Analysis
4.10. Bioinformatic Analysis
4.11. Protein-Protein Network Analysis
4.12. Statistical Analysis
5. Conclusions
Author Contributions
Funding
Institutional Review Board Statement
Data Availability Statement
Acknowledgments
Conflicts of Interest
References
- Poewe, W.; Seppi, K.; Tanner, C.M.; Halliday, G.M.; Brundin, P.; Volkmann, J.; Schrag, A.-E.; Lang, A.E. Parkinson Disease. Nat Rev Dis Primers 2017, 3, 17013. [Google Scholar] [CrossRef] [PubMed]
- Blandini, F.; Nappi, G.; Tassorelli, C.; Martignoni, E. Functional Changes of the Basal Ganglia Circuitry in Parkinson’s Disease. Progress in Neurobiology 2000, 62, 63–88. [Google Scholar] [CrossRef]
- DeMaagd, G.; Philip, A. Parkinson’s Disease and Its Management: Part 1: Disease Entity, Risk Factors, Pathophysiology, Clinical Presentation, and Diagnosis. P T 2015, 40, 504–532. [Google Scholar] [PubMed]
- Szatmari, S.; Min-Woo Illigens, B.; Siepmann, T.; Pinter, A.; Takats, A.; Bereczki, D. Neuropsychiatric Symptoms in Untreated Parkinson’s Disease. NDT 2017, Volume 13, 815–826. [Google Scholar] [CrossRef]
- Ozansoy, M.; Başak, A.N. The Central Theme of Parkinson’s Disease: α-Synuclein. Mol Neurobiol 2013, 47, 460–465. [Google Scholar] [CrossRef]
- Chinta, S.J.; Andersen, J.K. Redox Imbalance in Parkinson’s Disease. Biochimica et Biophysica Acta (BBA) - General Subjects 2008, 1780, 1362–1367. [Google Scholar] [CrossRef] [PubMed]
- Hirsch, E.C.; Vyas, S.; Hunot, S. Neuroinflammation in Parkinson’s Disease. Parkinsonism & Related Disorders 2012, 18, S210–S212. [Google Scholar] [CrossRef]
- Blum, D.; Torch, S.; Lambeng, N.; Nissou, M.-F.; Benabid, A.-L.; Sadoul, R.; Verna, J.-M. Molecular Pathways Involved in the Neurotoxicity of 6-OHDA, Dopamine and MPTP: Contribution to the Apoptotic Theory in Parkinson’s Disease. Progress in Neurobiology 2001, 65, 135–172. [Google Scholar] [CrossRef]
- Liu, Z.; Qiu, A.-W.; Huang, Y.; Yang, Y.; Chen, J.-N.; Gu, T.-T.; Cao, B.-B.; Qiu, Y.-H.; Peng, Y.-P. IL-17A Exacerbates Neuroinflammation and Neurodegeneration by Activating Microglia in Rodent Models of Parkinson’s Disease. Brain, Behavior, and Immunity 2019, 81, 630–645. [Google Scholar] [CrossRef]
- Li, Y.F. A Hypothesis of Monoamine (5-HT) - Glutamate/GABA Long Neural Circuit: Aiming for Fast-Onset Antidepressant Discovery. Pharmacol Ther 2020, 208. [Google Scholar] [CrossRef]
- Yao, S.; Li, L.; Sun, X.; Hua, J.; Zhang, K.; Hao, L.; Liu, L.; Shi, D.; Zhou, H. FTY720 Inhibits MPP+-Induced Microglial Activation by Affecting NLRP3 Inflammasome Activation. J Neuroimmune Pharmacol 2019, 14, 478–492. [Google Scholar] [CrossRef]
- Gratl, V.; Cheung, R.C.; Chen, B.; Taghibiglou, C.; Van Iderstine, S.C.; Adeli, K. Simvastatin, an HMG-CoA Reductase Inhibitor, Induces the Synthesis and Secretion of Apolipoprotein AI in HepG2 Cells and Primary Hamster Hepatocytes. Atherosclerosis 2002, 163, 59–68. [Google Scholar] [CrossRef] [PubMed]
- Michos, E.D.; Sibley, C.T.; Baer, J.T.; Blaha, M.J.; Blumenthal, R.S. Niacin and Statin Combination Therapy for Atherosclerosis Regression and Prevention of Cardiovascular Disease Events. Journal of the American College of Cardiology 2012, 59, 2058–2064. [Google Scholar] [CrossRef]
- Rubio-Osornio, M.; León, C.T.G.-D.; Montes, S.; Rubio, C.; Ríos, C.; Monroy, A.; Morales-Montor, J. Repurposing Simvastatin in Parkinson’s Disease Model: Protection Is throughout Modulation of the Neuro-Inflammatory Response in the Substantia Nigra. IJMS 2023, 24, 10414. [Google Scholar] [CrossRef] [PubMed]
- Aguirre-Vidal, Y.; Montes, S.; Tristan-López, L.; Anaya-Ramos, L.; Teiber, J.; Ríos, C.; Baron-Flores, V.; Monroy-Noyola, A. The Neuroprotective Effect of Lovastatin on MPP + -Induced Neurotoxicity Is Not Mediated by PON2. NeuroToxicology 2015, 48, 166–170. [Google Scholar] [CrossRef]
- Santiago, M.; Hernández-Romero, M.C.; Machado, A.; Cano, J. Zocor Forte® (Simvastatin) Has a Neuroprotective Effect against LPS Striatal Dopaminergic Terminals Injury, Whereas against MPP+ Does Not. European Journal of Pharmacology 2009, 609, 58–64. [Google Scholar] [CrossRef] [PubMed]
- Wood, W.G.; Eckert, G.P.; Igbavboa, U.; Müller, W.E. Statins and Neuroprotection: A Prescription to Move the Field Forward. Annals of the New York Academy of Sciences 2010, 1199, 69–76. [Google Scholar] [CrossRef]
- Barkovich, A.J.; Millen, K.J.; Dobyns, W.B. A Developmental and Genetic Classification for Midbrain-Hindbrain Malformations. Brain 2009, 132, 3199–3230. [Google Scholar] [CrossRef]
- Guo, J.; Zhao, X.; Li, Y.; Li, G.; Liu, X. Damage to Dopaminergic Neurons by Oxidative Stress in Parkinson’s Disease (Review). Int J Mol Med 2018. [CrossRef]
- Weng, M.; Xie, X.; Liu, C.; Lim, K.-L.; Zhang, C.; Li, L. The Sources of Reactive Oxygen Species and Its Possible Role in the Pathogenesis of Parkinson’s Disease. Parkinson’s Disease 2018, 2018, 1–9. [Google Scholar] [CrossRef]
- Rubio-Osornio, M.; Montes, S.; Heras-Romero, Y.; Guevara, J.; Rubio, C.; Aguilera, P.; Rivera-Mancia, S.; Floriano-Sánchez, E.; Monroy-Noyola, A.; Ríos, C. Induction of Ferroxidase Enzymatic Activity by Copper Reduces MPP+-Evoked Neurotoxicity in Rats. Neuroscience Research 2013, 75, 250–255. [Google Scholar] [CrossRef] [PubMed]
- Rubio-Osornio, M.; Montes, S.; Pérez-Severiano, F.; Aguilera, P.; Floriano-Sánchez, E.; Monroy-Noyola, A.; Rubio, C.; Ríos, C. Copper Reduces Striatal Protein Nitration and Tyrosine Hydroxylase Inactivation Induced by MPP+ in Rats. Neurochemistry International 2009, 54, 447–451. [Google Scholar] [CrossRef]
- Yan, J.; Qiao, L.; Wu, J.; Fan, H.; Sun, J.; Zhang, Y. Simvastatin Protects Dopaminergic Neurons Against MPP+-Induced Oxidative Stress and Regulates the Endogenous Anti-Oxidant System Through ERK. Cell Physiol Biochem 2018, 51, 1957–1968. [Google Scholar] [CrossRef] [PubMed]
- Mollazadeh, H.; Tavana, E.; Fanni, G.; Bo, S.; Banach, M.; Pirro, M.; Von Haehling, S.; Jamialahmadi, T.; Sahebkar, A. Effects of Statins on Mitochondrial Pathways. J cachexia sarcopenia muscle 2021, 12, 237–251. [Google Scholar] [CrossRef] [PubMed]
- Zeng, L.; Hu, P.; Zhang, Y.; Li, M.; Zhao, Y.; Li, S.; Luo, A. Macrophage Migration Inhibitor Factor (MIF): Potential Role in Cognitive Impairment Disorders. Cytokine & Growth Factor Reviews 2024, 77, 67–75. [Google Scholar] [CrossRef]
- Su, C.; Miao, J.; Guo, J. The Relationship between TGF-Β1 and Cognitive Function in the Brain. Brain Research Bulletin 2023, 205, 110820. [Google Scholar] [CrossRef]
- Liu, J.-C.; Lei, S.-Y.; Zhang, D.-H.; He, Q.-Y.; Sun, Y.-Y.; Zhu, H.-J.; Qu, Y.; Zhou, S.-Y.; Yang, Y.; Li, C.; et al. The Pleiotropic Effects of Statins: A Comprehensive Exploration of Neurovascular Unit Modulation and Blood–Brain Barrier Protection. Mol Med 2024, 30, 256. [Google Scholar] [CrossRef]
- Feng, L.; Lai, Q.-M.; Zhou, G.-M.; Yang, L.; Shi, T.-Y.; Jiang, L.; Wang, H.-F. Simvastatin Relieves Myocardial Ischemia/Reperfusion Injury in Rats through Hedgehog Signaling Pathway. European Review for Medical and Pharmacological Sciences 2020, 24, 6400–6408. [Google Scholar] [CrossRef]
- Paxinos, G.; Watson, C. The Rat Brain; 1998; ISBN 9780123741219.
- Triggs, W.J.; Willmore, L.J. In Vivo Lipid Peroxidation in Rat Brain Following Intracortical Fe2+ Injection. Journal of Neurochemistry 1984, 42, 976–980. [Google Scholar] [CrossRef]
- Shen, C.-H. Quantification and Analysis of Proteins. In Diagnostic Molecular Biology; Elsevier, 2019; pp. 187–214 ISBN 978-0-12-802823-0.
- Gasteiger, E. ExPASy: The Proteomics Server for in-Depth Protein Knowledge and Analysis. Nucleic Acids Research 2003, 31, 3784–3788. [Google Scholar] [CrossRef]




|
Experimental Group |
Circling Behavior (Ipsilateral Turns /60 min) |
Lipid Fluorescent Products (Fluorescent Units /mg protein) |
Dopamine Content in Striatal Tissue (μmol/g wet tissue) |
Neurodegenerative Damage (Percentual density of TH positive dopamine fibers) |
|---|---|---|---|---|
|
Control Group |
0 ± 0 |
17.2 ± 2.88 |
61.6 ± 3.91 |
52.3 ± 3.4 |
|
Sim Group |
0 ± 0 |
23.4 ± 3.25 |
65.8 ± 6.5 |
51.4 ± 8.3 |
|
MPP+ Group |
151.1 ± 18.3 |
40.1 ± 4.18 |
20.6 ± 3.1 |
8.9 ± 0.3 |
|
MPP+/Sim Group |
45.5 ± 21.3 |
25.3 ± 2.7 |
47.3 ± 8.4 |
29. 2 ± 0.9 |
| Group | Number of spots | Number of spots that diminishes their expression | Number of spots that increases their expression |
|---|---|---|---|
| Control | 136 | - | - |
| Sim | 90 | 36 | 13 |
| MPP+ | 206 | 33 | 24 |
| MPP+ / Sim | 122 | 24 | 11 |
| SPOT | Protein name | UniProtKB Accession number | Theoretical Mr/pI | Experimental Mr/pI | Possible function | Relative expression (fold change) | ||
|---|---|---|---|---|---|---|---|---|
| Sim | MPP+ | MPP+/Sim | ||||||
| 3001 | Calcium/calmodulin-dependent protein kinase II inhibitor 1 | Q9JI15 | 8.51 / 5.23 | 8.81 / 4.59 | Synapsis | - | - | 1.6 |
| 3101 | Kidney androgen-regulated protein | Q62781 | 11.23 / 3.23 | 10.04 / 3.12 | Hormone | 1.7 | - | - |
| 3302 | Cadherin-1 | Q9R0T4 | 14.78 / 3.93 | 15.4 / 3.0 | Neuron projection | 1.8 | 6.6 | - |
| 3402 | Calsyntenin-1 | Q6Q0N0 | 17.62 / 4.04 | 18.26 / 3.86 | Neuron projection | - | 1.6 | - |
| 3601 | Amyloid-beta A4 protein | P08592 | 30.03 / 4.15 | 27.93 / 4.76 | Cell adhesion | - | 2.9 | - |
| 3701 | Protein SET | Q63945 | 32.1 / 4.12 | 33.66 / 4.62 | Chaperone, DNA-binding | - | 1.5 | 3.4 |
| 3902 | Fasciculation and elongation protein zeta-1 | P97577 | 45.24 / 4.28 | 52.2 / 4.64 | Neuron projection | 4.1 | - | - |
| 3903 | Interleukin-2 receptor subunit beta | P26896 | 57.71 / 5.20 | 57.44 / 4.52 | Cytokine pro inflamamtory | - | 1.5 | - |
| 4201 | Fibronectin type III domain-containing protein 5 | Q8K3V5 | 12.58 / 5.05 | 12.56 / 5.1 | Hormone | 4.4 | - | 4.1 |
| 4601 | Cytochrome c oxidase subunit 2 | P00406 | 25.92 / 4.61 | 25.53 / 5.04 | ATP synthetis | - | 257.3 | - |
| 4701 | Sulfotransferase 4A1 | P63047 | 33.05 / 5.33 | 33.71 / 5.09 | Steroid metabolic process | - | 4.2 | - |
| 5101 | Protein S100-A8 | P50115 | 10.10 / 5.69 | 10.48 / 5.41 | Inflammatory response | - | - | 11.2 |
| 5301 | Succinate dehydrogenase assembly factor 2, mitochondrial | Q5RJQ7 | 16.68 / 5.39 | 16.23 / 5.57 | Regulation of canonical Wnt signaling pathway | 2.1 | - | - |
| 5701 | Myocilin | Q9R1J4 | 31.28 / 5.64 | 31.4 / 5.61 | ERBB2-ERBB3 signaling pathway | - | 1.5 | - |
| 5801 | RUN domain-containing protein 3B | Q3B7K9 | 44.79 / 5.09 | 44.58 / 5.47 | Ras-like GTPase signaling | - | 2.3 | - |
| 5901 | Carcinoembryonic antigen-related cell adhesion molecule 1 | P16573 | 50.76 / 5.31 | 50.09 / 5.36 | Cell adhesion | 2.0 | 1.7 | 5.5 |
| 5902 | Cadherin-6 | P55280 | 82.06 / 4.73 | 79.2 / 5.46 | Cell adhesion | - | 1.5 | - |
| 5903 | Neurocan core protein | P55067 | 67.38 / 5.22 | 69.16 / 5.52 | Cell adhesion | 17.5 | - | 13.1 |
| 6401 | Death domain-containing membrane protein NRADD | Q8K5A9 | 19.47 / 5.31 | 19.56 / 5.75 | Brain development | - | - | 1.8 |
| 6501 | Synaptosomal-associated protein 23 | O70377 | 23.23 / 4.80 | 23.35 / 5.77 | Synapsis | - | 3.4 | 15.7 |
| 6801 | snRNA-activating protein complex subunit 2 | Q68FX5 | 38.56 / 5.83 | 38.97 / 5.83 | Transcription regulation | 7.5 | - | - |
| 7101 | Dolichyl-diphosphooligosaccharide--protein glycosyltransferase subunit DAD1 | P61805 | 12.36 / 6.49 | 11.1 / 6.09 | Apoptosis | - | - | 2.3 |
| 7102 | Mitochondrial import inner membrane translocase subunit Tim9 | Q9WV97 | 10.24 / 6.95 | 10.47 / 6.67 | Chaperone | 3.2 | - | - |
| 7501 | ATP synthase subunit s, mitochondrial | Q5XIM4 | 20.28 / 6.57 | 21.97 / 6.82 | ATP synthesis | 3.9 | - | 1.9 |
| 7701 | B- and T-lymphocyte attenuator | Q6PNM1 | 31.11 / 6.77 | 32.59 / 6.63 | Adaptive immunity | 2.1 | 9.5 | - |
| 7702 | Non-structural maintenance of chromosomes element 1 homolog | Q499U6 | 30.70 / 6.57 | 30.86 / 6.31 | DNA repair | 1.5 | - | 16.0 |
| 7802 | Protein O-mannose kinase | Q4V8A9 | 40.05 / 6.27 | 39.34 / 6.37 | Brain development | - | 5.8 | - |
| 7803 | Pyruvate dehydrogenase E1 component subunit alpha, somatic form, mitochondrial | P26284 | 40.19 / 6.82 | 40.11 / 6.86 | Oxidoreductase | - | 2.2 | 2.2 |
| 7901 | Calcium/calmodulin-dependent protein kinase kinase 2 | O88831 | 64.31 / 5.64 | 65 / 6.11 | Activation of protein kinase | - | - | 15.3 |
| 7906 | AP-4 complex subunit mu-1 | Q2PWT8 | 49.85 / 6.07 | 49.66 / 6.71 | Protein transport | - | - | 5.1 |
| 8001 | Scrapie-responsive protein 1Scrapie-responsive protein 1 | Q9Z0K6 | 9.06 / 7.58 | 9.67 / 7.73 | Mesenchymal stem cell proliferation | 1.9 | - | - |
| 8101 | Macrophage migration inhibitory factor | P30904 | 12.34 / 7.28 | 11.66 / 7.79 | Inflammatory response | 3.9 | - | - |
| 8203 | WAP four-disulfide core domain protein 2 | Q8CHN3 | 12.39 / 8.89 | 11.91 / 8.19 | Serine protease inhibitor | - | 1.6 | - |
| 8301 | Allograft inflammatory factor 1 | P55009 | 16.69 / 7.83 | 16.48 / 7.55 | Cytoskeleton | 1.5 | 3.2 | - |
| 8401 | Vascular endothelial growth factor B | O35485 | 19.56 / 7.36 | 20.17 / 7.2 | Angiogenesis | 1.7 | 2.0 | - |
| 8501 | Metalloproteinase inhibitor 4 | P81556 | 22.55 / 6.88 | 21.45 / 7.32 | Notch signaling pathway, central nervous system development | - | 4.8 | - |
| 8601 | Adenylate kinase 4, mitochondrial | Q9WUS0 | 25.20 / 7.80 | 25.61 / 8.02 | Brain development | 4.3 | - | - |
| 8701 | Protein FAM221A | Q4V8D7 | 32.90 / 7.49 | 31.02 / 7.29 | Unknown | 3.3 | - | - |
| 8802 | TGF-β1 | P17246 | 44.33 / 8.59 | 43.13 / 8.0 | Inflammatory response | 4.4 | - | 2.3 |
| 8803 | BarH-like 2 homeobox protein | O88181 | 41.46 / 8.60 | 42.98 / 8.28 | Neuron differentiation | 28.0 | - | - |
| 8901 | Serine protease HTRA1 | Q9QZK5 | 48.97 / 7.55 | 47.6 / 7.43 | Negative regulation of transforming growth factor beta receptor signaling pathway | 41.3 | 2.1 | 5.2 |
| 9001 | Mitochondrial import inner membrane translocase subunit Tim13 | P62076 | 10.45 / 8.41 | 9.78 / 8.31 | Protein transport | 23.6 | 2.2 | 1.9 |
| 9002 | Protein WFDC9 | Q6IE41 | 6.39 / 8.19 | 7.63 / 8.56 | Unknown | 5.9 | 4.5 | 2.0 |
| 9101 | Caspase-8 | Q9JHX4 | 10.83 / 9.13 | 11.78 / 9.5 | Apoptosis | - | 9.2 | - |
| 9302 | Pituitary tumor-transforming gene 1 protein-interacting protein | Q6P767 | 16.90 / 8.88 | 15.04 / 8.76 | Apoptosis | 13.8 | - | - |
| 9403 | Insulin-like growth factor I | P08025 | 17.83 / 9.77 | 17.84 / 9.45 | Growth factor | - | 3.8 | - |
| 9702 | Interferon-inducible double-stranded RNA-dependent protein kinase activator A | Q4V8C7 | 34.35 / 8.81 | 35.18 / 8.67 | RNA-mediated gene silencing | - | 3.2 | - |
| SPOT | Protein name | UniProtKB Accession number | Theoretical Mr/pI | Experimental Mr/pI | Possible function | Relative expression (fold change) | ||
|---|---|---|---|---|---|---|---|---|
| Sim | MPP+ | MPP+/Sim | ||||||
| 3202 | ATP synthase subunit delta, mitochondal | P30049 | 13.36 / 4.5 | 13.56 / 4.59 | ATP synthesis | 1.6 | - | 2.0 |
| 3401 | Amyloid-beta precursor protein | P05067 | 16.50 / 4.55 | 16.8 / 4.57 | Axonogenesis | 1.7 | - | 1.9 |
| 3601 | Apolipoprotein D | P05090 | 26.99 / 4.67 | 27.93 / 4.76 | Transport and binding of bilin | 1.7 | - | - |
| 3701 | Clusterin | P10909 | 33.81 / 4.66 | 33.66 / 4.62 | Chaperone | 2.4 | - | - |
| 3903 | Alpha-2-HS-glycoprotein | P02765 | 57.05 / 4.50 | 57.44 / 4.52 | Endocytosis | - | - | 6.0 |
| 4501 | Apolipoprotein A-I | P02647 | 21.06 / 5.1 | 21.57 / 5.06 | Cholesterol transport | 2.3 | - | - |
| 5801 | T-complex protein 1 subunit epsilon | P48643 | 43.72 / 5.4 | 44.58 / 5.47 | Chaperone, ATP synthesis | - | - | 1.8 |
| 5904 | Fibrinogen gamma chain | P02679 | 51.39 / 5.59 | 50.44 / 5.65 | Hemostasis | - | 5.5 | - |
| 7101 | Fatty acid-binding protein, liver | P07148 | 10.87 / 6.09 | 11.1 / 6.09 | Binds cholesterol | - | 2.1 | - |
| 7401 | Peroxiredoxin-1 | P35700 | 20.77 / 6.59 | 20.3 / 6.59 | Oxidative stress | - | 2.1 | - |
| 7501 | Superoxide dismutase (SOD2) | P04179 | 22.28 / 6.86 | 21.97 / 6.82 | Oxidative stress | - | 2.1 | - |
| 7603 | Cyclin-dependent kinase 1 (CDK1) | P06493 | 31.71 / 6.92 | 30.78 / 6.91 | Cell cycle | - | 4.1 | - |
| 7702 | Complement C4-B | P0C0L5 | 30.09 / 6.39 | 30.86 / 6.31 | Immune response | - | 1.6 | - |
| 7705 | Alpha-enolase | P06733 | 33.85 / 6.95 | 34.39 / 6.86 | Neuron development | - | 1.7 | - |
| 7902 | Aldehyde dehydrogenase (Aldh2) | P47738 | 54.58 / 6.27 | 54.58 / 6.17 | Clearance of cellular formaldehyde | 2.5 | 3.8 | - |
| 7905 | Cellular tumor antigen p53 | P04637 | 51.09 / 6.54 | 50.14 / 6.56 | Apoptosis | - | 6.9 | - |
| 7906 | Glutamate dehydrogenase 1 (GLUD1) | P00367 | 50.48 / 6.76 | 49.66 / 6.71 | Catalyzes the conversion of L-glutamate into alpha-ketoglutarate | - | 1.8 | - |
| 8101 | Hemoglobin subunit beta | P68871 | 11.77 / 7.74 | 11.66 / 7.79 | Oxygen transport | - | 1.6 | - |
| 8203 | Hemoglobin subunit alpha | P69905 | 12.11 / 8.16 | 11.91 / 8.19 | Oxygen transport | 2.1 | - | - |
| 8601 | Glutathione S-transferase P 1 | P19157 | 25.12 / 8.07 | 25.61 / 8.02 | Prevent neurodegeneration | - | 1.5 | - |
| 9803 | Glyceraldehyde-3-phosphate | P16858 | 38.47 / 8.35 | 38.72 / 8.45 | Glycolysis | 1.5 | - | - |
Disclaimer/Publisher’s Note: The statements, opinions and data contained in all publications are solely those of the individual author(s) and contributor(s) and not of MDPI and/or the editor(s). MDPI and/or the editor(s) disclaim responsibility for any injury to people or property resulting from any ideas, methods, instructions or products referred to in the content. |
© 2025 by the authors. Licensee MDPI, Basel, Switzerland. This article is an open access article distributed under the terms and conditions of the Creative Commons Attribution (CC BY) license (http://creativecommons.org/licenses/by/4.0/).