Submitted:
24 June 2025
Posted:
25 June 2025
You are already at the latest version
Abstract
Keywords:
1. Introduction
2. Case Presentation
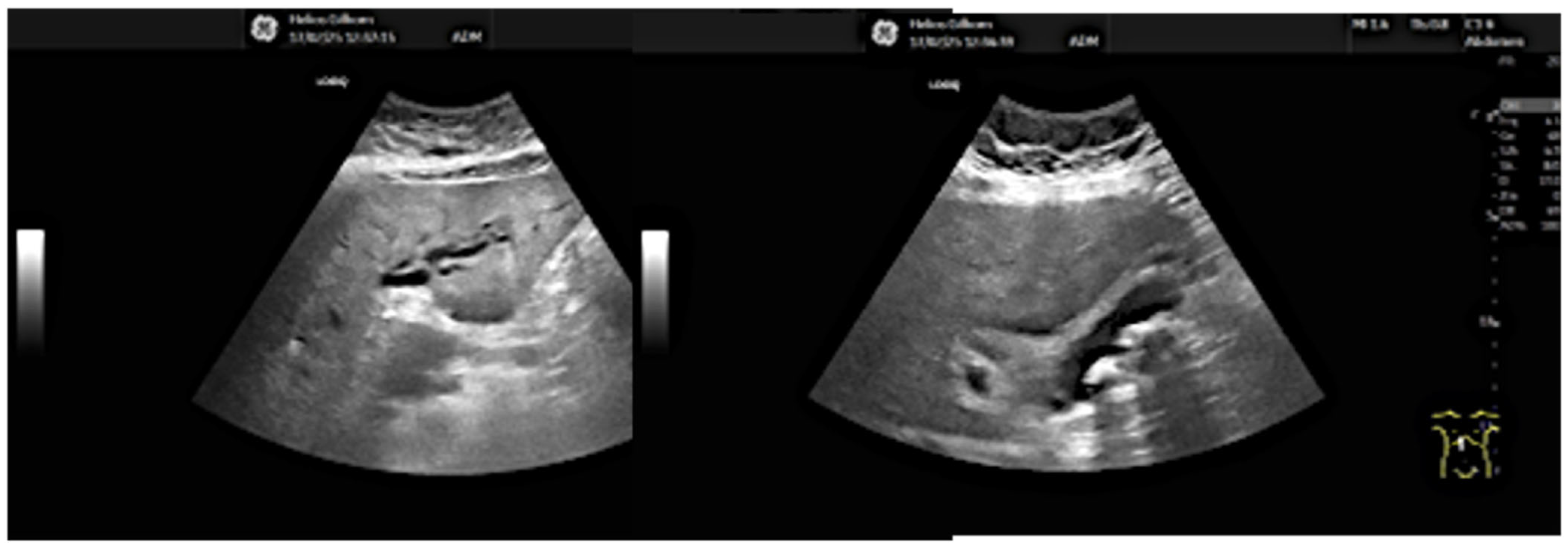
- 13.02: Abdominal ultrasound identified only gallbladder microlithiasis, without bile duct dilation (Figure 1).
- 14.02: First ERCP showed normal bile ducts and papilla, no strictures or filling defects (Figure 2A).
- Following days: Laboratory cholestasis decreased minimally, but jaundice persisted.
- Repeat ultrasound revealed discrete hilar ductal dilation.
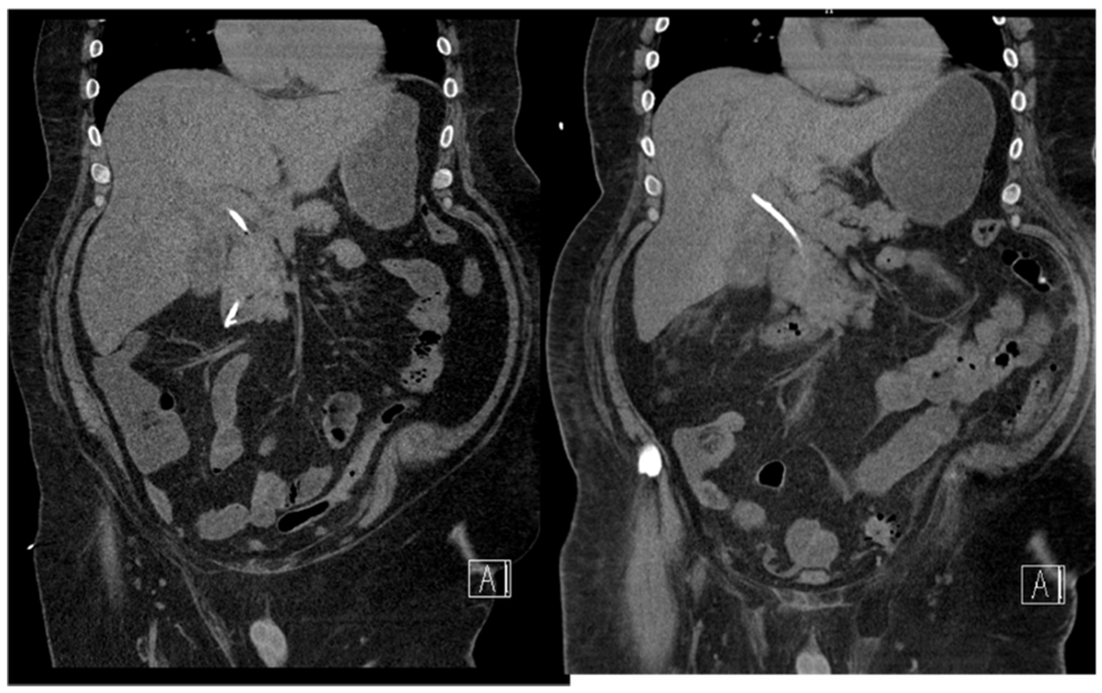
- 18.02: Contrast-enhanced CT demonstrated only mild hilar bile duct dilation, with no mass or lymphadenopathy (Figure 3).
- 18.02: Longitudinal endoscopic ultrasound did not demonstrate any focal mass lesions; only a slight thickening of the bile duct wall was observed.
- 18.02: Second ERCP again found no obstructive lesion; a 10Fr/10cm plastic stent was placed empirically (Figure 2B). No clinical or biochemical improvement was observed.
- Serial sonography showed no new findings post-stenting.






- 1.03: The patient was urgently readmitted with worsening jaundice, hypotension, fever, lactic acidosis, AKI, and profound sepsis biomarkers (bilirubin 20 mg/dL, CRP 34 mg/dL, PCT >100 ng/mL).
- ○
- CT at readmission: No significant interval change, plastc stent in itu, no evidence of ductal dilation or masses (Figure 4).
-
4.03: Diagnostic laparoscopy excluded cholecystitis and cirrhosis; the liver appeared soft, non-cirrhotic, the gallbladder was normal, and no peritonitis or abscess was identified.Despite maximal therapy, the patient died on 5 March 2025.Autopsy:
- Marked regional lymph node metastases (Figure 9),
- Right-sided pulmonary thromb- and tumorembolism (Figure 10).
- All histopathological images are from autopsy specimens (March 2025).
- No liver abscess or intra-abdominal infection was identified.
- With infiltration into adjacent soft tissue and neighboring liver parenchyma
- With regional lymph node metastases (5/5; apN2)
- With lymphangiosis carcinomatosa (L1)
- With local hemangioinvasion (including larger branches of the hepatic artery/portal vein) and evidence of tumor cells in the area of the right-sided pulmonary artery embolism (V1)
- With perineural infiltration (Pn1)
- ○
- UICC Classification (8th edition, 2020):
- ▪
- apT3, apN2, apM0, GX, L1, V1, Pn1
- ○
- Stage IVA T3, N2, M0 (UICC/AJCC 8th edition)
- ○
- Bismuth-Corlette Classification Type IV
3. Discussion
4. Diagnostic Delay and Imaging Pitfalls
5. ERCP and the Timing of Advanced Endoscopy
6. Paraneoplastic Clues and Missed Opportunities
7. Multidisciplinary Management and System Delays
Biliary Sepsis and Limitations of Stenting
8. Autopsy Findings and Lessons Learned
9. Key Takeaways for Clinical Practice
- Early escalation to digital cholangioscopy is essential in unresolved, unexplained cholestasis, particularly when MRI is unavailable or inconclusive.
- Structured cancer screening should be considered in patients with idiopathic DVT, especially in those over 50 or with other risk factors.
- Repeated negative ERCPs should not delay referral to advanced endoscopy or MDT.
- Plastic stenting may be insufficient in diffuse, infiltrative pCCA; alternative drainage or SEMS should be considered when feasible.
- MDT and fast-track pathways are crucial to reduce delays between tissue diagnosis and oncology management, though the impact on outcomes in advanced cases remains debated.
- Autopsy remains essential for learning and quality assurance in complex oncological cases.
10. Figure Legends


References
- Banales, J.M.; Marin, J.J.G.; Lamarca, A.; et al. Cholangiocarcinoma 2020: the next horizon in mechanisms and management. Nat Rev Gastroenterol Hepatol. 2020, 17, 557–588. [Google Scholar] [CrossRef]
- Rizvi, S.; Gores, G.J. Pathogenesis, diagnosis, and management of cholangiocarcinoma. Gastroenterology. 2013, 145, 1215–1229.e1. [Google Scholar]
- Harrison, J.M.; Visser, B.C. Cholangiocarcinoma. Surg Clin North Am. 2024, 104, 1281–1293. [Google Scholar] [CrossRef] [PubMed]
- Khorana, A.A. Cancer-associated thrombosis: Updates and controversies. Hematology Am Soc Hematol Educ Program. 2012, 2012, 626–630. [Google Scholar] [CrossRef] [PubMed]
- Mauro, A.; Mazza, S.; Scalvini, D.; Lusetti, F.; et al. The Role of Cholangioscopy in Biliary Diseases. Diagnostics (Basel). 2023, 13, 2933. [Google Scholar] [CrossRef] [PubMed]
- Navaneethan, U.; Hasan, M.K.; Lourdusamy, V.; et al. Single-operator cholangioscopy and targeted biopsies in the diagnosis of indeterminate biliary strictures: a systematic review. Gastrointest Endosc. 2015, 82, 608–614.e2. [Google Scholar] [CrossRef] [PubMed]
- Portillo-Romero, A.; et al. Acute pulmonary tumour embolism and right systolic dysfunction in a hidden intrahepatic cholangiocarcinoma: case report. Eur Heart J Case Rep. 2023, 7, ytad29. [Google Scholar] [CrossRef] [PubMed]
- Luca, T.; et al. Intraductal Papillary Neoplasms of the Bile Duct: Clinical Case Insights and Literature Review. Clin Pract. 2024, 14, 1669–1681. [Google Scholar]
- Sayama, H.; et al. TOKYO criteria 2024 for the assessment of clinical outcomes of endoscopic biliary drainage. Dig Endosc 2024, 36, 1195–1210. [Google Scholar]
- Singer, M.; Deutschman, C.S.; Seymour, C.W.; et al. The third international consensus definitions for sepsis and septic shock (Sepsis-3). JAMA. 2016, 315, 801–810. [Google Scholar] [CrossRef] [PubMed]
- Affarah, L.; et al. Still elusive: Developments in the accurate diagnosis of indeterminate biliarystrictures. World J Gastrointest Endosc. 2024, 16, 297–304. [Google Scholar] [CrossRef] [PubMed]
- Yeh, J.J.; Chen, S.C.; Huang, S.S.; et al. Pulmonary tumor embolism from cholangiocarcinoma: a case report and literature review. Thorac Cancer. 2016, 7, 674–678. [Google Scholar]
- Roberts, K.E.; Hamele-Bena, D.; Saqi, A.; Stein, C.A.; Cole, R.P. Pulmonary tumor embolism: a review of the literature. Am J Med. 2003, 115, 228–232. [Google Scholar] [CrossRef] [PubMed]
- European Association for the Study of the Liver. EASL Clinical Practice Guidelines: Cholangiocarcinoma. J Hepatol. 2023, 79, 768–828.
- Zhang, D.; et al. Endoscopic treatment of unresectable perihilar cholangiocarcinoma: beyond biliary drainage. Therap Adv Gastroenterol. 2025, 18, 17562848251328595. [Google Scholar] [CrossRef] [PubMed]
- Tang, R.S.Y. Endoscopic evaluation of indeterminate biliary strictures: Cholangioscopy, endoscopic ultrasound, or both? Dig Endosc. 2024, 36, 778–788. [Google Scholar] [CrossRef] [PubMed]
- Ietto, G.; Amico, F.; Pettinato, G.; Iori, V.; Carcano, G. Laparoscopy in Emergency: Why Not? Advantages of Laparoscopy in Major Emergency: A Review. Life (Basel). 2021, 11, 917. [Google Scholar] [PubMed]
- Yuri, T.; et al. Trousseau’s Syndrome Caused by Intrahepatic Cholangiocarcinoma: An Autopsy Case Report and Literature Review. Case Rep Oncol. 2014, 7, 376–382. [Google Scholar] [CrossRef] [PubMed]
- Pfrepper, C.; et al. Predictors for thromboembolism in patients with cholangiocarcinoma. Journal of Cancer Research and Clinical Oncology 148, 2415–2426. [CrossRef] [PubMed]
- Ohaegbulam, K.C.; Koethe, Y.; Fung, A.; Mayo, S.C.; Grossberg, A.J.; Chen, E.Y.; Sharzehi, K.; Kardosh, A.; Farsad, K.; Rocha, F.G.; Thomas, C.R.; Nabavizadeh, N. The multidisciplinary management of cholangiocarcinoma. Epub 2022 Nov 16. Cancer. 2023, 129, 184–214. [Google Scholar] [CrossRef] [PubMed]




Disclaimer/Publisher’s Note: The statements, opinions and data contained in all publications are solely those of the individual author(s) and contributor(s) and not of MDPI and/or the editor(s). MDPI and/or the editor(s) disclaim responsibility for any injury to people or property resulting from any ideas, methods, instructions or products referred to in the content. |
© 2025 by the authors. Licensee MDPI, Basel, Switzerland. This article is an open access article distributed under the terms and conditions of the Creative Commons Attribution (CC BY) license (http://creativecommons.org/licenses/by/4.0/).