Submitted:
17 June 2025
Posted:
19 June 2025
You are already at the latest version
Abstract
Keywords:
1. Introduction
2. Materials and Methods
2.1. Study Design and Participants
2.2. Inclusion and Exclusion Criteria
2.3. Data Collection and Imaging Parameters
- T1-weighted: TR 250 ms, TE 4.76 ms
- T2-weighted: TR 3000–4000 ms, TE 100–120 ms
- Slice thickness: 3 mm, Inter-slice gap: 0.5 mm
- Field of view: 230–280 mm
- Matrix: 205×256 (T1) and 320×320 (T2)
- Diameter of the foramen magnum
- Degree of tonsillar descent (for Groups 2 and 3)
- Area and perimeter of the posterior fossa
- Area and perimeter of the cerebellum
- Area and perimeter of the intracranial cavity
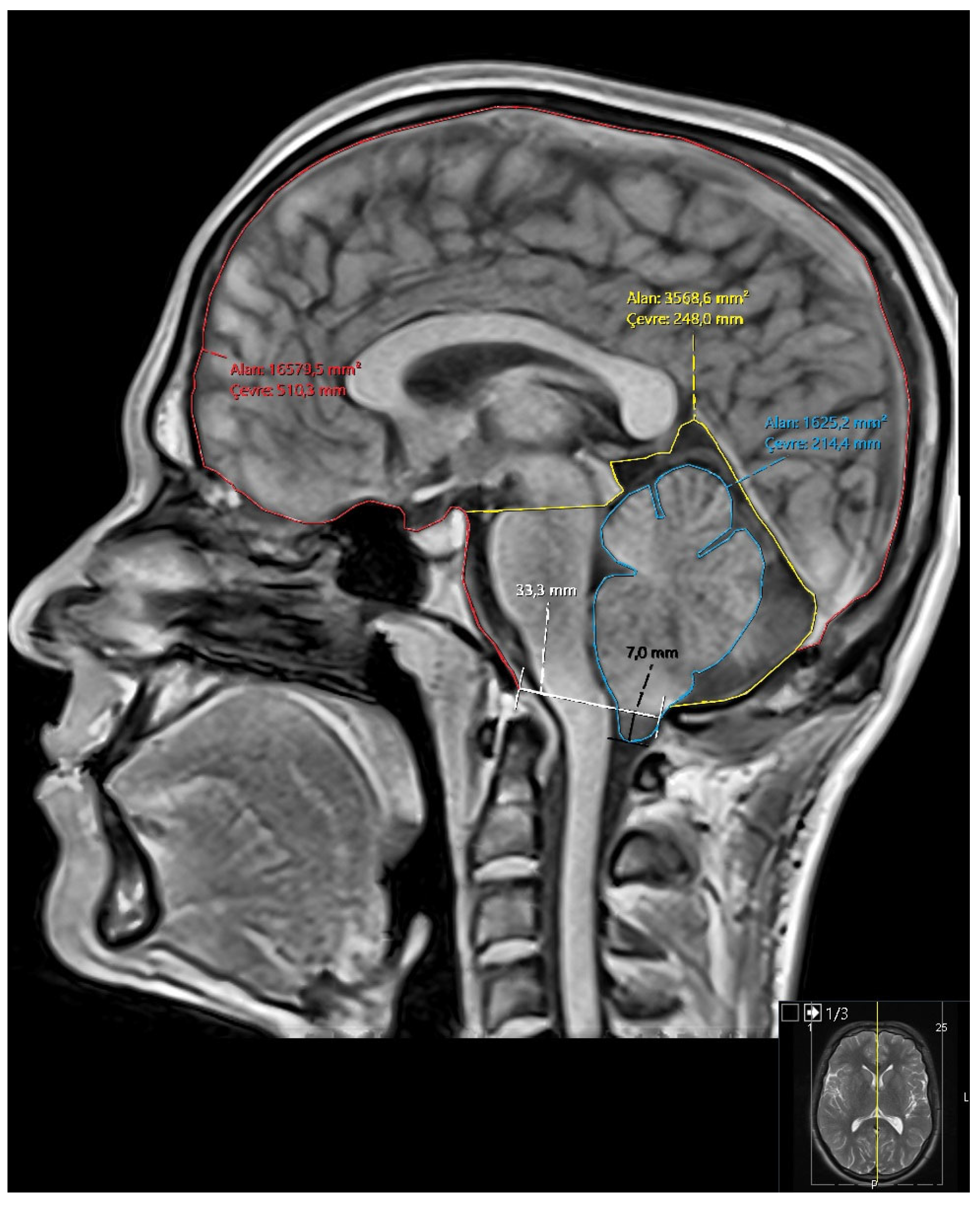
- Ratios: cerebellum/posterior fossa, posterior fossa/intracranial area, cerebellum/intracranial area (Figure 1)
2.4. Group Classification
- Group 1 (Control): Healthy individuals with no pathological findings on brain or spinal MRI
- Group 2 (Chiari): Patients with ≥5 mm cerebellar tonsil herniation
- Group 3 (Chiari + Syringomyelia): Patients with both tonsillar herniation and syringomyelia
- Group 4 (Idiopathic Syringomyelia): Patients who met criteria for idiopathic syringomyelia
2.5. Statistical Analysis
3. Results
3.1. Participants
- Group 1: 36.83 years (range: 18–60),
- Group 2: 34.08 years (19–60),
- Group 3: 42.36 years (24–60),
- Group 4: 41.08 years (18–60).
- Group 1: 37.97 years (range: 18–60),
- Group 2: 38.74 years (18–60),
- Group 3: 42.84 years (23–60),
- Group 4: 34.57 years (18–60) (Figure 2).
3.2. Morphometric Analysis in Female Participants
- Posterior fossa/intracranial area ratio was higher in Group 1 than in Groups 2 and 3; and higher in Group 3 than Group 2 (p < 0.05).
- Cerebellum/posterior fossa ratio was significantly higher in Groups 2 and 3 compared to Group 1 (p < 0.05).
3.3. Morphometric Analysis in Male Participants
- Cerebellum/posterior fossa ratio was lowest in Group 1 and significantly higher in Groups 2 and 3 (p < 0.05).
- Posterior fossa/intracranial area ratio was significantly higher in Group 1 than all other groups; and in Group 4 compared to Group 2 (p < 0.05).
3.4. Tonsillar Herniation and Correlation Analysis
3.5. Syrinx Location and Distribution
4. Discussion
5. Conclusions
Supplementary Materials
Author Contributions
Funding
Institutional Review Board Statement
Informed Consent Statement
Data Availability Statement
Acknowledgments
Conflicts of Interest
Abbreviations
| Fossa | Posterior Fossa Area |
| Int. Cr. | İntracranial area |
References
- Toh, CH.; Wong, AM-C.; Ng, SH.; Cheung, Y-C.; Wai, YY.; Ng, KK. Syringomyelia: MR Imaging Features and Correlation with Etiology and Clinical Presentation. AJNR Am J Neuroradiol. 2010, 31(5), 912–919. [CrossRef]
- Klekamp, J. Treatment of syringomyelia. Handb Clin Neurol. 2018, 155, 195-215. [CrossRef]
- Flint, G. Syringomyelia: diagnosis and management. Practical neurology 2021, 21(5), 403-411. [CrossRef]
- Costa, F.; Ait Benali, S.; Dantas, F.; Restelli, F.; Mazzapicchi, E.; Baeesa, S.; Yaman, O.; Sharif, S.; Alves, O.L.; Zileli, M.; Botelho, R. Chiari Malformation: Diagnosis, Classifications, Natural History, and Conservative Management. World Federation of Neurosurgical Societies Spine Committee Recommendations. Spine. 2025,50(11), 767-778. [CrossRef]
- Tubbs, R.S.; Oakes WJ. Chiari I malformations and syringomyelia. Semin Pediatr Neurol. 2005, 12(3), 176–181. [CrossRef]
- Tubbs, R.S.; Elton, S.; Grabb, P.; Dockery, D.; Bartolucci, A.A.; Oakes, W.J.; Analysis of the posterior fossa in children with the Chiari 0 malformation. J Neurosurg. 2004, 100(5 Suppl Pediatrics), 445–450. [CrossRef]
- Kular, S.; Cascella, M. Chiari Malformation Type 1. [Updated 2024 Feb 9]. In: StatPearls [Internet]. Treasure Island (FL): StatPearls Publishing; 2025 Jan-. Available from: https://www.ncbi.nlm.nih.gov/books/NBK554609/.
- Munakomi, S.; Sampath, R. Syringomyelia. In: StatPearls [Internet]. Treasure Island (FL): StatPearls Publishing; 2024 Jan–. Available from: https://www.ncbi.nlm.nih.gov/books/NBK537110/.
- Cleveland Clinic. Syringomyelia: What It Is, Symptoms, Causes & Treatment. Cleveland Clinic. 2024. Available from: https://my.clevelandclinic.org/health/diseases/6126-syringomyelia.
- Sharawat, I.K.; Panda, P.K.; Dawman, L.; Panda, P. MRI Insights in Chiari Malformation Type 1 and Variations With Hydrosyringomyelia. Cureus. 2023, 15(3), e35891. [CrossRef]
- Meziani, S.; Handis, C.; Felissi, Y.; Bouchekoura, H.; Morsli, A.; Diagnosis and surgical management of Chiari malformation type I. SVOA Neurology. 2023, 4(5), 134-142. [CrossRef]
- Heiss, J.D.; Patronas, N.; DeVroom, H.L.; Shawker, T.; Ennis, R.; Kammerer, W.; Eghbal, R.; Oldfield, E.H. Elucidating the pathophysiology of syringomyelia. J Neurosurg. 1999, 91(4), 553–562. [CrossRef]
- Milhorat, T. H.; Chou, M. W.; Trinidad, E. M.; Kula, R. W.; Mandell, M.; Wolpert, C.; Speer, M. C. Chiari I Malformation Redefined: Clinical and Radiographic Findings for 364 Symptomatic Patients. Neurosurgery 1999, 44(5), 1005–1017. [CrossRef]
- Bogdanov, E. I.; Faizutdinova, A. T.; Heiss, J. D. Posterior Cranial Fossa and Cervical Spine Morphometric Abnormalities in Symptomatic Chiari Type 0 and Chiari Type 1 Malformation Patients with and without Syringomyelia. Acta Neurochir. 2021, 163, 3051–3064. [CrossRef]
- Tubbs, R. S.; Elton, S.; Grabb, P.; Dockery, D.; Bartolucci, A. A.; Oakes, W. J. Analysis of the Posterior Fossa in Children with the Chiari 0 Malformation. J. Neurosurg. 2004, 100(5 Suppl Pediatrics), 445–450. [CrossRef]
- Giedd, J. N.; Blumenthal, J.; Jeffries, N. O.; Castellanos, F. X.; Liu, H.; Zijdenbos, A.; Paus, T.; Evans, A. C.; Rapoport, J. L. Brain Development during Childhood and Adolescence: A Longitudinal MRI Study. Nat. Neurosci. 1999, 2(10), 861–863. [CrossRef]
- Sowell, E. R.; Thompson, P. M.; Holmes, C. J.; Jernigan, T. L.; Toga, A. W. Mapping Cortical Change across the Human Life Span. Nat. Neurosci. 2003, 6(3), 309–315. [CrossRef]
- Tubbs, R. S.; Elton, S.; Grabb, P. A.; Dockery, S. E.; Bartolucci, A. A.; Oakes, W. J. Analysis of the Posterior Fossa in Children with the Chiari 0 Malformation. J. Neurosurg. Pediatr. 2011, 7(1), 30–36. [CrossRef]
- Uysal, S.; Dursun, N.; Aydin, O. A Rare Cause of Sudden Death: Chiari Malformation Type 1 Associated with Syringomyelia. J Forensic Sci Med. 2016, 2(3), 126-129.
- Öktem, H.; Dilli, A.; Kürkçüoğlu, A.; Soysal, H.; Yazıcı, C.; Pelin, C. Prevalence of Chiari Type I Malformation on Cervical Magnetic Resonance Imaging: A Retrospective Study. Anatomy 2016, 10(1), 40–45.
- Houston, J. R.; Mueller, D. M.; Bapuraj, J. R.; et al. Gender-Specific Differences in Adult Type I Chiari Malformation Morphometrics. Neurology 2016, 86(16 Suppl), Abstract P4.174. Abstract available from: https://www.researchgate.net/publication/313043183.
- Bogdanov, E. I.; Faizutdinova, A. T.; Heiss, J. D. The Small Posterior Cranial Fossa Syndrome and Chiari Malformation Type 0. J. Clin. Med. 2022, 11(18), 5472. [CrossRef]
- Allen, P. A.; O'Connell, M. A.; Kiernan, C.; McGinnity, T. M.; O'Keeffe, F. Intracranial Morphology in Chiari I Malformation: A Volumetric MRI Study. Neurosurg. Rev. 2012, 35(2), 235–242.
- Tubbs, R. S.; McGirt, M. J.; Oakes, W. J. Chiari 0 Malformation: An Explanation of Syringomyelia without Tonsillar Descent. Child’s Nerv. Syst. 2004, 20(7), 440–443. [CrossRef]
- Nishikawa, M.; Sakamoto, H.; Hakuba, A.; Nakanishi, N.; Inoue, Y. Morphometric Analysis of the Posterior Fossa in Patients with Chiari Malformation. Neurosurgery 1997, 40(3), 555–561. [CrossRef]
- Kennedy, D. N.; O'Craven, K. M.; Ticho, B. S.; Goldstein, A. M.; Makris, N.; Henson, J. W.; Caviness, V. S.; Harris, G. J. Gender Differences in Regional Cerebral Volume: A Quantitative MRI Study. Cereb. Cortex 1999, 9(6), 617–629. [CrossRef]
- Heiss, J. D.; Suffredini, G.; Bakhtian, K. D.; Sarntinoranont, M.; Oldfield, E. H. Spinal Cord Syrinx Extent in Patients with Chiari I Malformation: Association with Symptom Severity. J. Neurosurg. Spine 2010, 13(6), 577–582. [CrossRef]
- Oh, C. H.; Lee, M. S.; Kim, Y. J.; Yoon, S. H.; Park, H. C.; Park, C. O. Increased Detection Rate of Syringomyelia by Whole Spine Sagittal Magnetic Resonance Images: Based on the Data from Military Conscription of Korean Young Males. J. Korean Soc. Radiol. 2012, 67(3), 149–156. [CrossRef]
- Saygı, T.; Kayhan, A.; Demirel, N. Morphometric Analysis of the Posterior Fossa and Cervical Spinal Canal in Type 1 Chiari Malformation and Its Effects on Syringomyelia Development. Istanbul Med. J. 2024, 25(3), 207–213. [CrossRef]









| Measurement | Healthy (Mean ± SD) | Chiari (Mean ± SD) | Chiari + Syringomyelia (Mean ± SD) | Idiopatic Syringomyelia (Mean ± SD) |
| Foramen Magnum Diameter | 34.19 ± 2.78 | 34.63 ± 4.77 | 35.29 ± 4.65 | 33.82 ± 3.02 |
| intracranial Perimeter | 466.74 ± 15.19 | 465.59 ± 19.83 | 470.42 ± 17.34 | 462.73 ± 12.93 |
| Posterior Fossa Perimeter | 235.93 ± 13.70 | 215.68 ± 9.36 | 218.40 ± 10.76 | 217.82 ± 9.21 |
| Cerebellum Perimeter | 162.22 ± 14.91 | 170.69 ± 13.70 | 171.66 ± 13.93 | 159.49 ± 17.25 |
| İntracranial Area | 14230.10 ± 874.84 | 14207.31 ± 1133.66 | 14480.87 ± 1124.79 | 14042.73 ± 889.31 |
| Posterior Fossa Area | 3025.94 ± 287.07 | 2748.22 ± 235.44 | 3787.49 ± 4497.64 | 2824.09 ± 185.54 |
| Cerebellum Area | 1242.60 ± 241.88 | 1421.41 ± 171.25 | 1450.79 ± 214.13 | 1223.66 ± 187.90 |
| Cerebellum / Fossa. Ratio | 0.423 ± 0.199 | 0.517 ± 0.042 | 0.484 ± 0.103 | 0.434 ± 0.064 |
| P.Fos / int. Cr. Ratio | 0.213 ± 0.018 | 0.194 ± 0.017 | 0.257 ± 0.283 | 0.202 ± 0.016 |
| Cerebellum / int. Cr. Ratio | 0.088 ± 0.017 | 0.100 ± 0.012 | 0.100 ± 0.013 | 0.087 ± 0.012 |
| Measurement | Healthy (Mean ± SD) | Chiari (Mean ± SD) | Chiari + Syringomyelia (Mean ± SD) | Idiopatic Syringomyelia (Mean ± SD) |
| Foramen Magnum Diameter | 36.02 ± 2.70 | 35.38 ± 3.76 | 37.61 ± 4.91 | 34.41 ± 4.06 |
| İntracranial Perimeter | 487.22 ± 16.20 | 487.45 ± 18.54 | 484.16 ± 25.01 | 479.25 ± 42.49 |
| Posterior Fossa Perimeter | 290.17 ± 386.09 | 223.51 ± 13.38 | 224.97 ± 10.26 | 226.88 ± 15.31 |
| Cerebellum Perimeter | 165.15 ± 12.66 | 172.02 ± 14.64 | 179.86 ± 16.50 | 164.48 ± 13.62 |
| İntracranial Area | 15238.88 ± 1051.16 | 15385.07 ± 1322.68 | 14553.84 ± 4049.92 | 15153.08 ± 1150.84 |
| Posterior Fossa Area | 3231.17 ± 465.48 | 2971.29 ± 300.12 | 2978.95 ± 251.44 | 3065.40 ± 217.21 |
| Cerebellum Area | 1286.03 ± 130.95 | 1463.55 ± 168.59 | 1441.55 ± 139.99 | 1328.27 ± 188.41 |
| Cerebellum / Fossa Ratio | 0.474 ± 0.645 | 0.494 ± 0.052 | 0.485 ± 0.041 | 0.434 ± 0.054 |
| Fossa / int.Cr. Ratio | 0.212 ± 0.030 | 0.193 ± 0.012 | 0.347 ± 0.575 | 0.203 ± 0.015 |
| Cerebellum / int.Cr Ratio | 0.085 ± 0.010 | 0.095 ± 0.008 | 0.162 ± 0.253 | 0.088 ± 0.012 |
Disclaimer/Publisher’s Note: The statements, opinions and data contained in all publications are solely those of the individual author(s) and contributor(s) and not of MDPI and/or the editor(s). MDPI and/or the editor(s) disclaim responsibility for any injury to people or property resulting from any ideas, methods, instructions or products referred to in the content. |
© 2025 by the authors. Licensee MDPI, Basel, Switzerland. This article is an open access article distributed under the terms and conditions of the Creative Commons Attribution (CC BY) license (http://creativecommons.org/licenses/by/4.0/).