Submitted:
03 June 2025
Posted:
05 June 2025
You are already at the latest version
Abstract
Keywords:
1. Introduction
1.1. Definition
1.2. Epidemiology
1.3 Demographics
1.4. Risk Factors
2. Pathophysiology
2.1. Vascular Vulnerability
2.2. Hormonal and Mechanical Factors
2.3. Indlammatory and Other Factors
3. Clinical Presentation
4. Diagnosis of SCAD
4.1. The Role of Invasive Coronary Angiography in SCAD Diagnosis
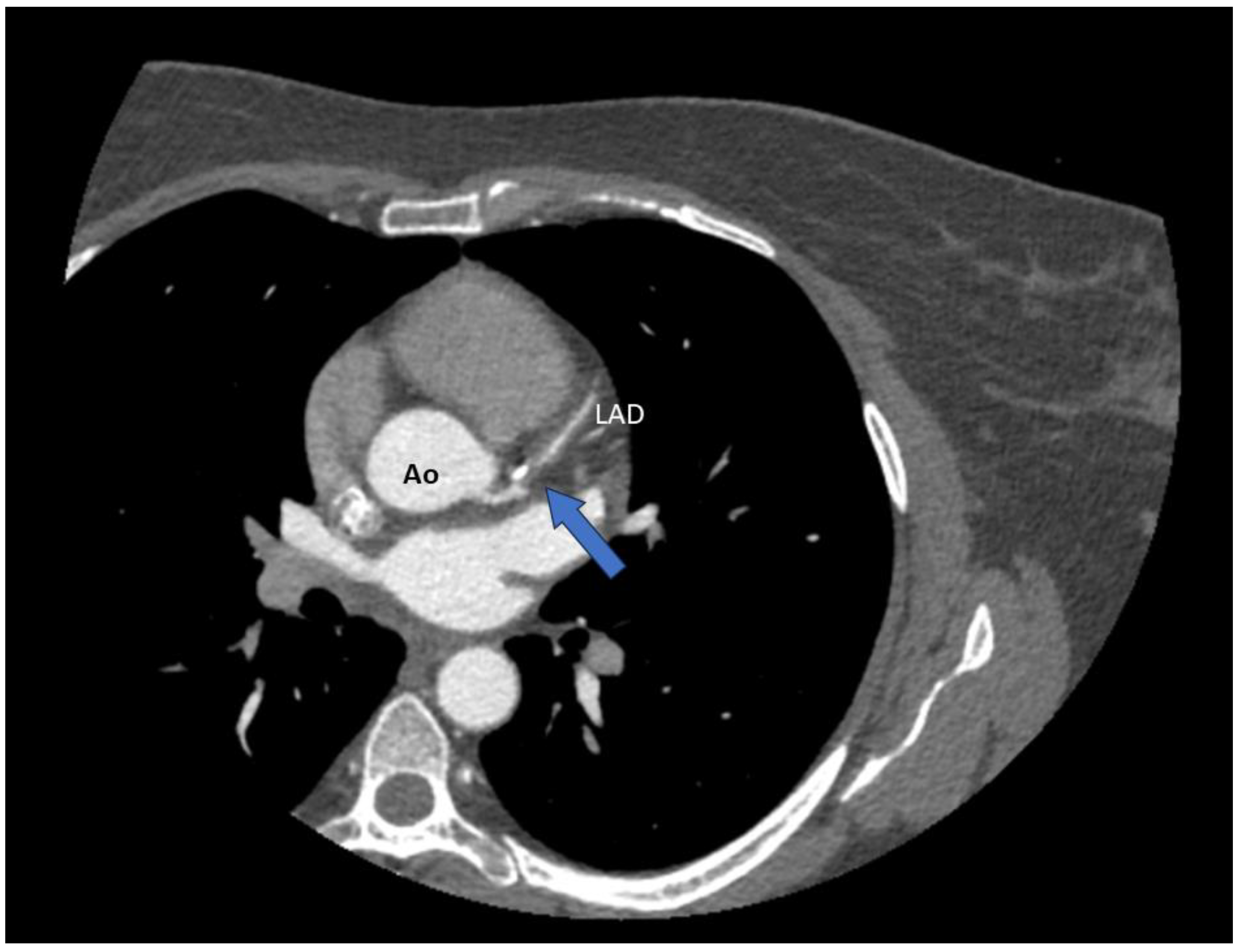
- SCAD type 1 (classic aspect): double lumen and longitudinal filling defect, indicating the presence of a false lumen (wall contrast staining) and visible intimal flap. This aspect is pathognomonic for dissection and easily recognizable; however, it is present in fewer than a third of diagnosed SCAD cases. The presence of contrast inside the coronary wall ("dye hang-up" sign) suggests an already formed dissection, often with a late presentation and fewer chances of further progression[4,30] (Figure 1).
- SCAD type 2- long, diffuse, usually tubular lesion, longer than 20-30 mm, without a visible intimal flap or double lumen. The type 2 lesion does not ameliorate after intracoronary nitroglycerine administration (in contrast with coronary spasm). This type is the most common angiography pattern, being present in over half of SCAD cases (60-70%) [5,31,33] (Figure 2).
- SCAD type 3 - focal coronary stenosis, usually <20 mm, that mimics an obstructive atherosclerotic lesion on angiography. In reality, these lesions are also caused by an intramural hematoma (of shorter dimensions), but angiographically, they cannot be reliably differentiated from atherosclerotic plaque without additional imaging. Type 3 SCAD is identified in less than 5–10% of cases and usually requires confirmation by additional investigations - intravascular ultrasound (IVUS) or optical coherence tomography (OCT) - to identify wall dissection and exclude atheroma [31,32,33].
4.2. Noninvasive Imagistic Methods in SCAD
4.2.1. CT Coronary Angiography
4.2.2. Cardiac Magnetic Resonance
5. Treatment
5.1. Invasive Treatment
5.2. Pharmacotherapy
5.2.1. Antiplatelet Agents
5.2.2. Anticoagulants and Thrombolytics
5.2.3. Beta-Blockers
5.2.4. Statins
5.2.5. Angiotensin-Converting Enzyme inhibitors (ACEIs) and Angiotensin II Receptor Blockers (ARBs)
5.2.6. Other Symptomatic Therapies
6. SCAD in Pregnancy and Postpartum
7. Conclusions
Author Contributions
Funding
Institutional Review Board Statement
Informed Consent Statement
Data Availability Statement
Conflicts of Interest
Abbreviations
| ACEI | Angiotensin-Converting Enzyme Inhibitor |
| ACS | Acute Coronary Syndrome |
| AHA | American Heart Association |
| ARB | Angiotensin II Receptor Blocker |
| CABG | Coronary Artery Bypass Grafting |
| CMR | Cardiac Magnetic Resonance |
| CT | Computer Tomography |
| DAPT | Dual Antiplatelet Therapy |
| ECS | European Society of Cardiology |
| FMD | Fibromuscular Dysplasia |
| IVUS | Intravascular Ultrasound |
| LAD | Left Anterior Descending (artery) |
| LGE | Late Gadolinium Enhancement |
| MACE | Major Adverse Cardiac Events |
| MI | Myocardial Infarction |
| MINOCA | Myocardial Infarction with Non-Obstructive Coronary Arteries |
| NOAC | Non–Vitamin K Antagonist Oral Anticoagulant |
| NSTEMI | Non-ST-Elevation Myocardial Infarction |
| OCT | Optical Coherence Tomography |
| PCI | Percutaneous Coronary Intervention |
| SCAD | Spontaneous Coronary Artery Dissection |
| STEMI | ST-Elevation Myocardial Infarction |
| TIMI | Thrombolysis In Myocardial Infarction (flow grade) |
References
- R. Abdelmaseih, M. Hasan, J. Patel, A. Elhag, and J. Patel, “Spontaneous Coronary Artery Dissection in a Healthy Male: A Case Report and Literature Review,” Cureus, Apr. 2020. [CrossRef]
- P. Pender et al., “Spontaneous Coronary Artery Dissection: A Narrative Review of Epidemiology and Public Health Implications,” Medicina (B Aires), vol. 61, no. 4, p. 650, Apr. 2025. [CrossRef]
- B. A. Bergmark, N. Mathenge, P. A. Merlini, M. B. Lawrence-Wright, and R. P. Giugliano, “Acute coronary syndromes,” The Lancet, vol. 399, no. 10332, pp. 1347–1358, Apr. 2022. [CrossRef]
- Q. Dang, S. Burgess, P. J. Psaltis, S. Fairley, J. Saw, and S. Zaman, “Spontaneous coronary artery dissection: a clinically oriented narrative review,” npj Cardiovascular Health, vol. 1, no. 1, p. 4, May 2024. [CrossRef]
- K. H. Mortensen, L. Thuesen, I. B. Kristensen, and E. H. Christiansen, “Spontaneous coronary artery dissection: A Western Denmark Heart Registry Study,” Catheterization and Cardiovascular Interventions, vol. 74, no. 5, pp. 710–717, Nov. 2009. [CrossRef]
- T. Nishiguchi et al., “Prevalence of spontaneous coronary artery dissection in patients with acute coronary syndrome,” Eur Heart J Acute Cardiovasc Care, vol. 5, no. 3, pp. 263–270, Jun. 2016. [CrossRef]
- Daoulah et al., “Spontaneous Coronary Artery Dissection in the Gulf: G-SCAD Registry,” Angiology, vol. 72, no. 1, pp. 32–43, Jan. 2021. [CrossRef]
- M. Tokura et al., “Clinical features of spontaneous coronary artery dissection,” J Cardiol, vol. 63, no. 2, pp. 119–122, Feb. 2014. [CrossRef]
- G. Rigatelli, G. Rigatelli, P. Rossi, and G. Docali, “Normal angiogram in acute coronary syndromes: The underestimated role of alternative substrates of myocardial ischemia,” Int J Cardiovasc Imaging, vol. 20, no. 6, pp. 471–475, Dec. 2004. [CrossRef]
- D. Stanojevic et al., “A review of the risk and precipitating factors for spontaneous coronary artery dissection,” Front Cardiovasc Med, vol. 10, Dec. 2023. [CrossRef]
- J. Saw, E. Aymong, G. B. J. Mancini, T. Sedlak, A. Starovoytov, and D. Ricci, “Nonatherosclerotic Coronary Artery Disease in Young Women,” Canadian Journal of Cardiology, vol. 30, no. 7, pp. 814–819, Jul. 2014. [CrossRef]
- T. Nishiguchi et al., “Prevalence of spontaneous coronary artery dissection in patients with acute coronary syndrome,” Eur Heart J Acute Cardiovasc Care, vol. 5, no. 3, pp. 263–270, Jun. 2016. [CrossRef]
- T. Nakashima et al., “Prognostic impact of spontaneous coronary artery dissection in young female patients with acute myocardial infarction: A report from the Angina Pectoris–Myocardial Infarction Multicenter Investigators in Japan,” Int J Cardiol, vol. 207, pp. 341–348, Mar. 2016. [CrossRef]
- B. A. Bergmark, N. Mathenge, P. A. Merlini, M. B. Lawrence-Wright, and R. P. Giugliano, “Acute coronary syndromes,” The Lancet, vol. 399, no. 10332, pp. 1347–1358, Apr. 2022. [CrossRef]
- Djokovic et al., “Pathophysiology of spontaneous coronary artery dissection: hematoma, not thrombus,” Front Cardiovasc Med, vol. 10, Oct. 2023. [CrossRef]
- S. Apostolović et al., “Spontaneous coronary artery dissection in women in the generative period: clinical characteristics, treatment, and outcome—a systematic review and meta-analysis,” Front Cardiovasc Med, vol. 11, Feb. 2024. [CrossRef]
- J. Saw, D. Ricci, A. Starovoytov, R. Fox, and C. E. Buller, “Spontaneous Coronary Artery Dissection: Association With Predisposing Arteriopathies and Precipitating Stressors and Cardiovascular Outcomes,” JACC Cardiovasc Interv, vol. 6, no. 1, pp. 44–52, Jan. 2013. [CrossRef]
- M. S. Tweet et al., “Clinical features, management, and prognosis of spontaneous coronary artery dissection,” Circulation, vol. 126, no. 5, pp. 579–588, Jul. 2012. [CrossRef]
- J. Saw, G. B. J. Mancini, and K. H. Humphries, “Contemporary Review on Spontaneous Coronary Artery Dissection,” 2016.
- C. Yang, S. Offen, and J. Saw, “What Is New in Spontaneous Coronary Artery Dissection?,” CJC Open, vol. 6, no. 2, pp. 417–424, Feb. 2024. [CrossRef]
- S. Lobo et al., “Revascularization in Patients With Spontaneous Coronary Artery Dissection and ST-Segment Elevation Myocardial Infarction,” J Am Coll Cardiol, vol. 74, no. 10, pp. 1290–1300, Sep. 2019. [CrossRef]
- M. García-Guimarães et al., “Spontaneous coronary artery dissection and ST-segment elevation myocardial infarction: Does clinical presentation matter?,” Int J Cardiol, vol. 373, pp. 1–6, Feb. 2023. [CrossRef]
- Elkaryoni et al., “Outcomes of ST-Elevation Myocardial Infarction due to spontaneous coronary artery dissection: a nationwide cohort sample,” Eur Heart J, vol. 42, no. Supplement_1, Oct. 2021. [CrossRef]
- P. Motreff et al., “How and when to suspect spontaneous coronary artery dissection: novel insights from a single-centre series on prevalence and angiographic appearance,” EuroIntervention, vol. 12, no. 18, pp. e2236–e2243, Apr. 2017. [CrossRef]
- P. Alves da Silva, C. Bucciarelli-Ducci, and A. Sousa, “Myocardial infarction with non-obstructive coronary arteries: Etiology, diagnosis, treatment and prognosis,” Revista Portuguesa de Cardiologia, vol. 42, no. 7, pp. 655–666, Jul. 2023. [CrossRef]
- N. Mahmoud et al., “Trends of Incidence, Clinical Presentation, and In-Hospital Mortality Among Women With Acute Myocardial Infarction With or Without Spontaneous Coronary Artery Dissection,” JACC Cardiovasc Interv, vol. 11, no. 1, pp. 80–90, Jan. 2018. [CrossRef]
- S. Agewall et al., “ESC working group position paper on myocardial infarction with non-obstructive coronary arteries,” Eur Heart J, p. ehw149, Apr. 2016. [CrossRef]
- D’Amato et al., “Spontaneous Coronary Artery Dissection in Clinical Practice: Pathophysiology and Therapeutic Approaches,” Medicina (B Aires), vol. 60, no. 2, p. 217, Jan. 2024. [CrossRef]
- P. Severino et al., “Myocardial Infarction with Non-Obstructive Coronary Arteries (MINOCA): Focus on Coronary Microvascular Dysfunction and Genetic Susceptibility,” J Clin Med, vol. 12, no. 10, p. 3586, May 2023. [CrossRef]
- D. Adlam et al., “Spontaneous Coronary Artery Dissection: Pitfalls of Angiographic Diagnosis and an Approach to Ambiguous Cases,” Aug. 23, 2021, Elsevier Inc. [CrossRef]
- J. Saw et al., “Canadian Spontaneous Coronary Artery Dissection Cohort Study,” J Am Coll Cardiol, vol. 80, no. 17, pp. 1585–1597, Oct. 2022. [CrossRef]
- J. Saw, “Coronary angiogram classification of spontaneous coronary artery dissection,” Catheterization and Cardiovascular Interventions, vol. 84, no. 7, pp. 1115–1122, Dec. 2014. [CrossRef]
- M. S. Tweet et al., “Spontaneous Coronary Artery Dissection: revascularization versus conservative therapy,” Circ Cardiovasc Interv, vol. 7, no. 6, pp. 777–786, Dec. 2014. [CrossRef]
- R. Mori et al., “Clinical and angiographic features of SCAD type 4,” Int J Cardiol, vol. 377, pp. 22–25, Apr. 2023. [CrossRef]
- J. Saw et al., “Angiographic appearance of spontaneous coronary artery dissection with intramural hematoma proven on intracoronary imaging,” Catheterization and Cardiovascular Interventions, vol. 87, no. 2, Feb. 2016. [CrossRef]
- M. F. Eleid et al., “Coronary Artery Tortuosity in Spontaneous Coronary Artery Dissection,” Circ Cardiovasc Interv, vol. 7, no. 5, pp. 656–662, Oct. 2014. [CrossRef]
- M. Margaritis et al., “Vascular histopathology and connective tissue ultrastructure in spontaneous coronary artery dissection: pathophysiological and clinical implications,” Cardiovasc Res, vol. 118, no. 7, pp. 1835–1848, Jun. 2022. [CrossRef]
- D. Adlam, F. Alfonso, A. Maas, and C. Vrints, “European Society of Cardiology, acute cardiovascular care association, SCAD study group: a position paper on spontaneous coronary artery dissection,” in European heart journal, NLM (Medline), Sep. 2018, pp. 3353–3368. [CrossRef]
- S. N. Hayes et al., “Spontaneous Coronary Artery Dissection: JACC State-of-the-Art Review,” J Am Coll Cardiol, vol. 76, no. 8, pp. 961–984, Aug. 2020. [CrossRef]
- N. Combaret and P. Motreff, “Registre national des dissections coronaires spontanées : le registre DISCO,” Ann Cardiol Angeiol (Paris), vol. 72, no. 6, p. 101684, Dec. 2023. [CrossRef]
- L. Barbieri et al., “Optical Coherence Tomography and Coronary Dissection: Precious Tool or Useless Surplus?,” Front Cardiovasc Med, vol. 9, Apr. 2022. [CrossRef]
- M. S. Tweet, R. Gulati, and S. N. Hayes, “Spontaneous Coronary Artery Dissection,” Jul. 01, 2016, Current Medicine Group LLC 1. [CrossRef]
- R. Prakash, A. Starovoytov, M. Heydari, G. B. J. Mancini, and J. Saw, “Catheter-Induced Iatrogenic Coronary Artery Dissection in Patients With Spontaneous Coronary Artery Dissection,” JACC Cardiovasc Interv, vol. 9, no. 17, pp. 1851–1853, Sep. 2016. [CrossRef]
- N. Pristera, P. Chaudhury, E. H. Van Iterson, and L. S. Cho, “Spontaneous coronary artery dissection: Principles of management,” Cleve Clin J Med, vol. 88, no. 11, pp. 623–630, Nov. 2021. [CrossRef]
- M. F. Eleid, M. S. Tweet, P. M. Young, E. Williamson, S. N. Hayes, and R. Gulati, “Spontaneous coronary artery dissection: challenges of coronary computed tomography angiography,” Eur Heart J Acute Cardiovasc Care, vol. 7, no. 7, pp. 609–613, Oct. 2018. [CrossRef]
- S. Gupta et al., “Role of Coronary CT Angiography in Spontaneous Coronary Artery Dissection,” Radiol Cardiothorac Imaging, vol. 2, no. 6, p. e200364, Dec. 2020. [CrossRef]
- T. Petropoulos et al., “Fibromuscular Dysplasia: A Focused Review for the Cardiologist,” CJC Open, vol. 6, no. 11, pp. 1274–1288, Nov. 2024. [CrossRef]
- S. Offen et al., “Safety of Intracoronary Imaging in Patients With Spontaneous Coronary Artery Dissection,” Canadian Journal of Cardiology, vol. 40, no. 11, pp. 2089–2091, Nov. 2024. [CrossRef]
- Z. Mehmedbegović et al., “Invasive imaging modalities in a spontaneous coronary artery dissection: when ‘believing is seeing,’” Front Cardiovasc Med, vol. 10, Oct. 2023. [CrossRef]
- B. Gudenkauf et al., “Role of Multimodality Imaging in the Assessment of Myocardial Infarction With Nonobstructive Coronary Arteries: Beyond Conventional Coronary Angiography,” J Am Heart Assoc, vol. 11, no. 1, Jan. 2022. [CrossRef]
- M. Spînu, L. H. Onea, C. Homorodean, M. Olinic, M. C. Ober, and D. M. Olinic, “Optical Coherence Tomography—OCT for Characterization of Non-Atherosclerotic Coronary Lesions in Acute Coronary Syndromes,” J Clin Med, vol. 11, no. 1, p. 265, Jan. 2022. [CrossRef]
- S. Offen, J. Saw, M. Kang, T. Grewal, A. Fung, and E. Aymong, “Intracoronary Imaging In Spontaneous Coronary Artery Dissection (SCAD),” Canadian Journal of Cardiology, vol. 39, no. 10, p. S211, Oct. 2023. [CrossRef]
- G. Marrazzo et al., “Multimodality Imaging Approach to Spontaneous Coronary Artery Dissection,” J Clin Med, vol. 12, no. 1, p. 154, Dec. 2022. [CrossRef]
- H. G. Bezerra, M. A. Costa, G. Guagliumi, A. M. Rollins, and D. I. Simon, “Intracoronary Optical Coherence Tomography: A Comprehensive Review,” JACC Cardiovasc Interv, vol. 2, no. 11, pp. 1035–1046, Nov. 2009. [CrossRef]
- F. Saia et al., “Eroded Versus Ruptured Plaques at the Culprit Site of STEMI,” JACC Cardiovasc Imaging, vol. 8, no. 5, pp. 566–575, May 2015. [CrossRef]
- L. Räber et al., “Clinical use of intracoronary imaging. Part 1: guidance and optimization of coronary interventions. An expert consensus document of the European Association of Percutaneous Cardiovascular Interventions,” Eur Heart J, vol. 39, no. 35, pp. 3281–3300, Sep. 2018. [CrossRef]
- S. N. Hayes et al., “Spontaneous coronary artery dissection: Current state of the science: A scientific statement from the American Heart Association,” Circulation, vol. 137, no. 19, pp. e523–e557, 2018. [CrossRef]
- L. Hebsgaard et al., “Co-registration of optical coherence tomography and X-ray angiography in percutaneous coronary intervention. The Does Optical Coherence Tomography Optimize Revascularization (DOCTOR) fusion study,” Int J Cardiol, vol. 182, pp. 272–278, Mar. 2015. [CrossRef]
- M. Paulo et al., “Combined Use of OCT and IVUS in Spontaneous Coronary Artery Dissection,” JACC Cardiovasc Imaging, vol. 6, no. 7, pp. 830–832, Jul. 2013. [CrossRef]
- S. E. Nissen et al., “Intravascular ultrasound assessment of lumen size and wall morphology in normal subjects and patients with coronary artery disease.,” Circulation, vol. 84, no. 3, pp. 1087–1099, Sep. 1991. [CrossRef]
- Morena et al., “Advances in the Management of Spontaneous Coronary Artery Dissection (SCAD): A Comprehensive Review,” Rev Cardiovasc Med, vol. 25, no. 9, Sep. 2024. [CrossRef]
- M. S. Nasr, M. Haber, and S. R. Nasr, “A Noninvasive Diagnostic Approach for Identifying Spontaneous Coronary Artery Dissection (SCAD) in Young Women: A Case Report and Review of the Literature,” Cureus, Feb. 2025. [CrossRef]
- M. S. Tweet, N. J. Akhtar, S. N. Hayes, P. J. Best, R. Gulati, and P. A. Araoz, “Spontaneous coronary artery dissection: Acute findings on coronary computed tomography angiography,” Eur Heart J Acute Cardiovasc Care, vol. 8, no. 5, pp. 467–475, Aug. 2019. [CrossRef]
- E. Pozo-Osinalde et al., “Characteristic findings of acute spontaneous coronary artery dissection by cardiac computed tomography,” Coron Artery Dis, vol. 31, no. 3, pp. 293–299, May 2020. [CrossRef]
- S. Sharma et al., “Risk Factors, Imaging Findings, and Sex Differences in Spontaneous Coronary Artery Dissection,” Am J Cardiol, vol. 123, no. 11, pp. 1783–1787, Jun. 2019. [CrossRef]
- C. Brízido, S. Madeira, C. Silva, C. Strong, A. Tralhão, and M. Almeida, “Spontaneous coronary artery dissection: A review for clinical and interventional cardiologists,” Revista Portuguesa de Cardiologia, vol. 42, no. 3, pp. 269–276, Mar. 2023. [CrossRef]
- V. Pergola et al., “Spontaneous coronary artery dissection: the emerging role of coronary computed tomography,” Eur Heart J Cardiovasc Imaging, vol. 24, no. 7, pp. 839–850, Jun. 2023. [CrossRef]
- N. Lionakis, A. Briasoulis, V. Zouganeli, S. Dimopoulos, D. Kalpakos, and C. Kourek, “Spontaneous coronary artery dissection: A review of diagnostic methods and management strategies,” World J Cardiol, vol. 14, no. 10, pp. 522–536, Oct. 2022. [CrossRef]
- J. Chandrasekhar, J. Thakkar, A. Starovoytov, J. Mayo, and J. Saw, “Characteristics of spontaneous coronary artery dissection on cardiac magnetic resonance imaging,” Cardiovasc Diagn Ther, vol. 10, no. 3, pp. 636–638, Jun. 2020. [CrossRef]
- E. Feldbaum et al., “Management of spontaneous coronary artery dissection: Trends over time,” Vascular Medicine, vol. 28, no. 2, pp. 131–138, Apr. 2023. [CrossRef]
- S. Hassan, R. Prakash, A. Starovoytov, and J. Saw, “Natural History of Spontaneous Coronary Artery Dissection With Spontaneous Angiographic Healing,” JACC Cardiovasc Interv, vol. 12, no. 6, pp. 518–527, Mar. 2019. [CrossRef]
- J. Saw et al., “Spontaneous Coronary Artery Dissection: Clinical Outcomes and Risk of Recurrence,” J Am Coll Cardiol, vol. 70, no. 9, pp. 1148–1158, Aug. 2017. [CrossRef]
- B. Maričić et al., “An analysis of published cases of cutting balloon use in spontaneous coronary artery dissection,” Front Cardiovasc Med, vol. 10, Nov. 2023. [CrossRef]
- E. Cerrato et al., “Antiplatelet therapy in patients with conservatively managed spontaneous coronary artery dissection from the multicentre DISCO registry,” Eur Heart J, vol. 42, no. 33, pp. 3161–3171, Aug. 2021. [CrossRef]
- R. A. Byrne et al., “2023 ESC Guidelines for the management of acute coronary syndromes,” Eur Heart J, vol. 44, no. 38, pp. 3720–3826, Oct. 2023. [CrossRef]
- G. Chi, H. Najafi, S. M. Montazerin, and J. J. Lee, “Factors associated with recurrent spontaneous coronary artery dissection: a systematic review and meta-analysis,” Coron Artery Dis, Jul. 2022. [CrossRef]
- T. Sedlak, A. Starovoytov, K. Humphries, and J. Saw, “Coronary Flow Reserve in Patients With Prior Spontaneous Coronary Artery Dissection and Recurrent Angina,” J Am Heart Assoc, vol. 9, no. 16, Aug. 2020. [CrossRef]
- M. S. Tweet, S. N. Hayes, E. Codsi, R. Gulati, C. H. Rose, and P. J. M. Best, “Spontaneous Coronary Artery Dissection Associated With Pregnancy,” J Am Coll Cardiol, vol. 70, no. 4, pp. 426–435, Jul. 2017. [CrossRef]
- H. Ito, L. Taylor, M. Bowman, E. T. A. Fry, J. B. Hermiller, and J. W. Van Tassel, “Presentation and Therapy of Spontaneous Coronary Artery Dissection and Comparisons of Postpartum Versus Nonpostpartum Cases,” Am J Cardiol, vol. 107, no. 11, pp. 1590–1596, Jun. 2011. [CrossRef]
- J. R. Cade et al., “Pregnancy-associated spontaneous coronary artery dissection: insights from a case series of 13 patients,” Eur Heart J Cardiovasc Imaging, vol. 18, no. 1, pp. 54–61, Jan. 2017. [CrossRef]
- Havakuk, S. Goland, A. Mehra, and U. Elkayam, “Pregnancy and the Risk of Spontaneous Coronary Artery Dissection,” Circ Cardiovasc Interv, vol. 10, no. 3, Mar. 2017. [CrossRef]
- V. Regitz-Zagrosek et al., “2018 ESC Guidelines for the management of cardiovascular diseases during pregnancy,” Eur Heart J, vol. 39, no. 34, pp. 3165–3241, Sep. 2018. [CrossRef]




| SCAD Type (Angiographic) | Features | Comments |
| Type 1 (Classic) | Multiple lumens or contrast staining (visible flap) through vessel wall[35]. | Pathognomonic (“flap”). <30% of SCAD; suggests an intimal tear. Often managed conservatively. |
| Type 2 (Diffuse) | Long, smooth narrowing (>20 mm) of the mid-to-distal artery; lumen caliber tapers over the segment [35]. | The most common type. Variant 2A: normal distal segment; 2B: extends to vessel tip. Typically heals with conservative treatment. |
| Type 3 (Focal) | Short (<20 mm) tubular stenosis mimicking an atherosclerotic plaque [35]. | Rarest. Requires OCT/IVUS for confirmation of intramural hematoma. |
| Type 4 (Occlusion) | Total occlusion of the vessel, with abrupt cutoff on angiography [34]. | Less common. Often presents as STEMI; may require PCI. |
Disclaimer/Publisher’s Note: The statements, opinions and data contained in all publications are solely those of the individual author(s) and contributor(s) and not of MDPI and/or the editor(s). MDPI and/or the editor(s) disclaim responsibility for any injury to people or property resulting from any ideas, methods, instructions or products referred to in the content. |
© 2025 by the authors. Licensee MDPI, Basel, Switzerland. This article is an open access article distributed under the terms and conditions of the Creative Commons Attribution (CC BY) license (http://creativecommons.org/licenses/by/4.0/).
