Submitted:
03 June 2025
Posted:
04 June 2025
You are already at the latest version
Abstract
Keywords:
1. Introduction
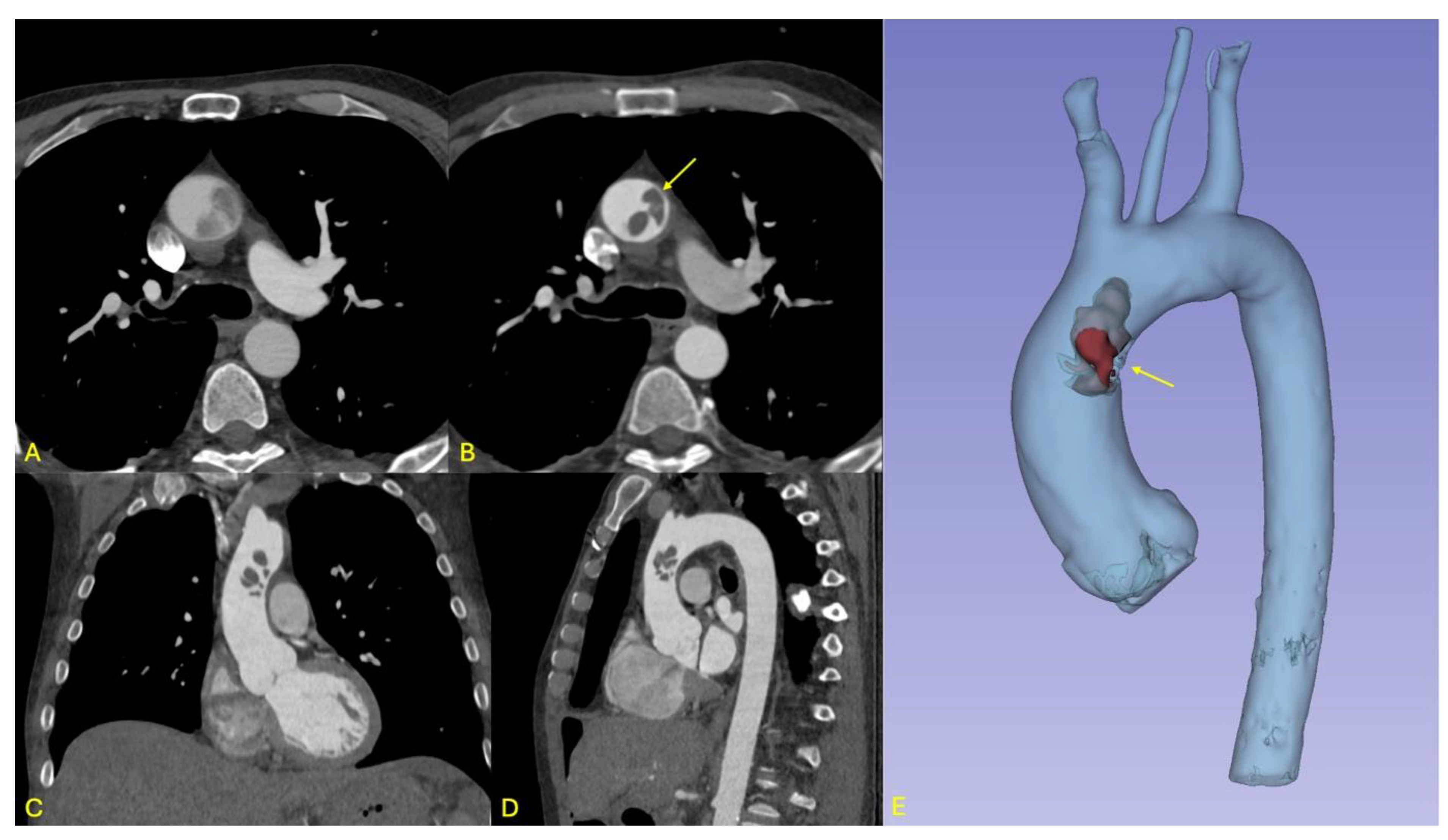
2. PATIENT 1: Surgical Management of Floating Aortic Thrombus
3. PATIENT 2: Conservative Management of Floating Aortic Thrombus
4. Discussion
5. Conclusions
Author Contributions
Funding
Institutional Review Board Statement
Informed Consent Statement
Data Availability Statement
Conflicts of Interest
References
- Ghoweba M, Gnasigamany J, Chiluveri M, McClish J. A Ticking Time Bomb: A Case of Floating Distal Aortic Arch Intraluminal Thrombus. Cureus 2022, 14, e32212. [Google Scholar] [CrossRef] [PubMed] [PubMed Central]
- Lupinetti FM, Warner J, Jones TK, Herndon SP. Comparison of human tissues and mechanical prostheses for aortic valve replacement in children. Circulation. 1997, 96, 321–325. [Google Scholar] [CrossRef] [PubMed]
- Mobile Menace: Floating Aortic Arch Thrombus. Schattner, Ami et al. The American Journal of Medicine 2016, 129, e23–e24. [Google Scholar]
- Varki, A. Trousseau's syndrome: multiple definitions and multiple mechanisms. Blood. 2007, 110, 1723–1729. [Google Scholar] [CrossRef] [PubMed] [PubMed Central]
- Avelino MC, de Miranda CLVM, de Sousa CSM, Bastos BB, de Sousa RSM. Free-floating thrombus in the aortic arch. Radiol Bras. 2017, 50, 406–407. [Google Scholar] [CrossRef] [PubMed] [PubMed Central]
- Oki, N. , Inoue, Y. & Kotani, S. Free-floating thrombus of the aorta: 3 case reports. Surg Case Rep 2021, 7, 141. [Google Scholar] [CrossRef] [PubMed]
- Yang, P. , Li, Y., Huang, Y. et al. A giant floating thrombus in the ascending aorta: a case report. BMC Surg 2020, 20, 321. [Google Scholar] [CrossRef] [PubMed]
- Choi JB, Choi SH, Kim NH, Jeong JW. Floating thrombus in the proximal aortic arch. Tex Heart Inst J. 2004, 31, 432–434. [Google Scholar] [PubMed] [PubMed Central]
- Noh TO, Seo PW. Floating thrombus in aortic arch. Korean J Thorac Cardiovasc Surg. 2013, 46, 464–466. [Google Scholar] [CrossRef] [PubMed] [PubMed Central]
- Weiss S, Bühlmann R, von Allmen RS, Makaloski V, Carrel TP, Schmidli J, Wyss TR. Management of floating thrombus in the aortic arch. J Thorac Cardiovasc Surg. 2016, 152, 810–817. [Google Scholar] [CrossRef] [PubMed]
- Christou N, Gourgiotis I, Dakis K, Liasidis C. Embolic strokes in a patient with a large floating thrombus in the ascending aorta. Hippokratia. 2021, 25, 172–174. [Google Scholar] [PubMed] [PubMed Central]
- Parato VM, Prifti E, Pezzuoli F, Labanti B, Baboci A. Huge ascending aortic aneurysm with an intraluminal thrombus in an embolic event-free patient. Interv Med Appl Sci. 2015, 7, 30–32. [Google Scholar] [CrossRef] [PubMed] [PubMed Central]
- Li G, Chen Y, Wang H, Liu Y, Liu H, Sun H, Wang Z. Case report: Surgical strategies of a giant thrombus from the ascending aorta to the arch. Front Cardiovasc Med. 2023, 10, 1091303. [Google Scholar] [CrossRef] [PubMed] [PubMed Central]
- Majdi Gueldich, Mariantonietta Piscitelli, Haytham Derbel, Khaoula Boughanmi, Eric Bergoend, Nora Chanai, Thierry Folliguet, Antonio Fiore, Floating thrombus in the ascending aorta revealed by peripheral arterial embolism. Interactive CardioVascular and Thoracic Surgery 2020, 30, 762–764. [CrossRef]
- Endovascular stent graft for symptomatic mobile thrombus of the thoracic aorta. Fueglistaler, Philipp et al. Journal of Vascular Surgery 2005, 42, 781–783. [Google Scholar]
- Nguyen Q, Ma X, Vervoort D, Luc JGY. Management Strategies for Descending Thoracic Aortic Thrombus: A Review of the Literature. Innovations 2022, 17, 283–296. [Google Scholar] [CrossRef] [PubMed] [PubMed Central]
- Floating Thoracic and Abdominal Aortic Thrombus: Endovascular Solutions to Unexpected Findings. A Minimal Invasive Treatment With a High Primary Success. Rivera, Elena García et al. European Journal of Vascular and Endovascular Surgery 2019, 58, e733–e734. [Google Scholar]
- Zivkovic I, Milacic P, Mihajlovic V, Krasic S, Lesanovic J, Peric M, Zdravkovic D. Surgical treatment of ascending aorta floating thrombus in a patient with recent SARS-CoV-2 infection. Cardiovasc Diagn Ther. 2021, 11, 467–471. [Google Scholar] [CrossRef] [PubMed] [PubMed Central]
- Mouselimis, D, Giesen, A, Donas, K. et al. Successful Conservative Treatment of Mobile Aortic Thrombus Causing Acute Limb Ischemia. J Am Coll Cardiol Case Rep. 2023, 11, 101770. [Google Scholar] [CrossRef]
- Grassl K, Hangler H, Gratl A, et al. A Free-Floating Aortic Thrombus: An Uncommon Approach to Handle a Rare Clinical Entity. Journal of Endovascular Therapy 2024, 15266028241256817. [CrossRef] [PubMed]



Disclaimer/Publisher’s Note: The statements, opinions and data contained in all publications are solely those of the individual author(s) and contributor(s) and not of MDPI and/or the editor(s). MDPI and/or the editor(s) disclaim responsibility for any injury to people or property resulting from any ideas, methods, instructions or products referred to in the content. |
© 2025 by the authors. Licensee MDPI, Basel, Switzerland. This article is an open access article distributed under the terms and conditions of the Creative Commons Attribution (CC BY) license (http://creativecommons.org/licenses/by/4.0/).