Preprint
Article

This version is not peer-reviewed.

Isolated Head and Neck Tuberculosis: A Rare Diagnosis and the Central Role of Surgical Biopsy and Histopathological Evaluation in Extrapulmonary Disease

A peer-reviewed article of this preprint also exists.

Submitted:

13 April 2025

Posted:

14 April 2025

You are already at the latest version

Abstract
(1) Background: Extrapulmonary tuberculosis (EPTB) of the head and neck is a rare but difficult diagnosis due to mostly absent pulmonary involvement and high clinical resemblance to neoplastic or chronic inflammatory conditions. This diagnosis still poses a challenge for otorhinolaryngologists, due to non-specific symptoms and the low index of suspicion in non-endemic regions. (2) Methods: This study presents a retrospective review of nine cases of head and neck EPTB diagnosed at two regional hospitals in southern Romania. Patients presented with pharyngeal, laryngeal, or cervical lymph node involvement. All cases underwent surgical biopsies for histopathological and microbiological confirmation, followed by standard anti-tubercular therapy. (3) Results: In all nine cases, surgical biopsies were essential for the accurate diagnosis and excluding malignancy or other granulomatous diseases. Diagnostic delays were observed due to atypical clinical presentations. Integration of biopsy findings with anti-tubercular treatment resulted in favorable disease control and clinical recovery. (4) Conclusions: Head and neck EPTB requires a high index of suspicion and clinical discernment. Surgical biopsy remains a critical diagnostic tool in practice and should be considered early in the diagnostic process when encountering atypical lesions. A timely use improves diagnostic accuracy, may eliminate delays, ensures patient safety, and improves therapeutic outcomes.
Keywords: 
;  ;  ;  ;  

1. Introduction

Tuberculosis (TB) continues to pose a significant global health challenge, despite continuous efforts toward its eradication [1]. According to the World Health Organization (2023), an estimated 10.6 million people developed TB globally in 2022, with 1.4 million deaths among individuals, marking a rebound in mortality after years of decline due to disruptions from the recent COVID-19 pandemic [2]. Europe, although bearing a relatively smaller burden compared to high-incidence regions like Africa or Southeast Asia, still reported approximately 230,000 TB cases in 2022 [3], with significant disparities among countries (WHO, 2023). Within the European Union (EU), the frequency of TB cases ranges significantly, from 2.6 cases per 100.000 population, in Liechtenstein, to 66.2 cases per 100.000 population in Romania [Global tuberculosis report 2023. World Health Organization] [4].
Moreover, in Romania, Dolj county ranks among the top five counties with the highest incidence [5].
Romania continues to be the country with the highest TB incidence in the EU, with 50 to 60 cases per 100,000 inhabitants, nearly five times higher than the EU average (ECDC, 2023). This persistent epidemiological profile underlines the relevance of TB as a national health concern in Romania, particularly in the context of diagnostic delays and underreporting in extrapulmonary disease presentations [6,7].
Pulmonary tuberculosis is by far the most common form of TB, accounting for 79–87% of cases [8,9].
EPTB accounts for 15–20% of all TB cases in immunocompetent individuals, represents a diagnostic dilemma due to its non-specific and wide-ranging symptoms and the absence of hallmark respiratory signs [10]. Among these, head and neck tuberculosis is particularly rare, encompassing less than 1% of all TB localizations, and it is frequently misdiagnosed as malignancy or nonspecific chronic inflammation [11,12]. According to literature data, head and neck presentations of TB are infrequent, with TB cervical lymphadenopathy accounting for over 87% of cases (87–96%), laryngeal TB around 4% of cases (4.3% to 8.5%), followed by TB within the middle ear (1.4% to 3%), nasal TB (1% to 1.4%) and oral or pharyngeal TB (1.4% to 1.7%). TB may manifest in various clinical forms, mimicking neoplastic lesions or other infectious pathologies [13,14,15].
One of the most challenging aspects of head and neck EPTB is that it may occur in the complete absence of pulmonary involvement, making the clinical diagnosis very difficult, with low suspicion towards TB-induced lesions, especially in non-endemic areas. These cases may mimic squamous cell carcinoma [16,17] or granulomatous diseases such as sarcoidosis or Wegener’s granulomatosis [18]. Therefore, histopathological examination via surgical biopsy remains a cornerstone of diagnosis, particularly when imaging and non-invasive methods yield inconclusive results.
This retrospective study addresses nine rare cases of EPTB in the head and neck region encountered in tertiary care centers in southern Romania. All patients were diagnosed through surgical biopsy, with no radiological or microbiological evidence of active pulmonary TB. Depending on the site, the clinical manifestation of EPTB can range from chronic behavior to acute symptoms, with rapid progression to airway obstruction. Our study highlights the clinical diversity of EPTB based on affected region, bringing awareness to the importance of an early diagnosis and treatment in order to avoid life-threatening complications.

2. Materials and Methods

This study is a retrospective observational case series conducted across two tertiary care centers in Romania: The Otorhinolaryngology Departments of the Emergency County Hospital of Craiova and ‘Sfânta Maria’ Clinical Hospital of Bucharest. The study period spanned ten years, from February 2015 to December 2024, and included all eligible cases of EPTB affecting the head and neck regions. The study was approved by the ethics committees of both institutions, and all procedures adhered to institutional and national guidelines on clinical research and patient confidentiality.
A total of nine patients were included in the final analysis. Inclusion criteria required a confirmed histopathological diagnosis of head and neck EPTB and absence of active pulmonary tuberculosis as demonstrated by chest radiography and microbiological testing. Patients presenting with concurrent pulmonary TB, immunodeficiency (including HIV infection), or incomplete medical records were excluded to reduce confounding and ensure diagnostic clarity. The anatomical distribution of the cases included five patients with cervical tuberculous lymphadenitis, three with laryngeal TB, and one with pharyngeal TB.
All cases underwent surgical biopsy under general anesthesia, which served as the definitive diagnostic assessment. Biopsy samples were evaluated for granulomatous inflammation with or without caseating necrosis. Staining techniques like Hematoxylin and eosin (HE) and Ziehl-Neelsen (ZN) were employed for histopathology research. Polymerase chain reaction (PCR) for Mycobacterium tuberculosis was also performed when tissue volume and integrity allowed. Cases were included based on histopathological findings consistent with TB.
Structured data collection was used to extract relevant variables from patient records, including age, sex, presenting symptoms, anatomical site involved, relevant imaging findings, biopsy results, therapeutic outcomes and development of complications. Radiological evaluation through contrast-enhanced computed tomography (CT) was performed in all cases to assess lesion extent and guide surgical interventions. All patients received standard anti-tubercular therapy as per national protocols following confirmation of the diagnosis.
This study primarily utilized descriptive statistical methods to summarize the clinical characteristics and outcomes of the cohort. Due to the small sample size and non-comparative design, no inferential statistics were applied. No patient-identifiable data were collected, and the study adhered to the Declaration of Helsinki and ethical research standards for observational studies.

3. Results

This study presents the clinical characteristics, histopathological findings and diagnostic challenges from a series of 9 patients diagnosed with rare forms of EPTB affecting the head and neck regions. Given the non-specific and often misleading presentation of EPTB, these cases highlight the critical need for biopsies and histopathological diagnosis before starting standard guideline antitubercular treatment, as well as providing patients with a close follow-up to monitor local disease recurrence. The patients exhibited a wide spectrum of symptoms, including dysphonia, odynophagia, dysphagia, and weight loss, most often mimicking malignancies. Despite the absence of active pulmonary tuberculosis in all cases, definitive diagnosis was achieved through surgical biopsy, which provided essential evidence for differentiating TB from other inflammatory and neoplastic diseases.
For each site of extrapulmonary involvement, surgical biopsy was employed as the diagnostic gold standard. In cases of laryngeal tuberculosis, microlaryngoscopic biopsy under general anesthesia proved to be the most reliable technique, allowing for the acquisition of adequate deep tissue samples. Similarly, in pharyngeal involvement, extended excision of the affected tonsil was essential for establishing a definitive diagnosis, particularly in a case where fine-needle aspiration cytology (FNAC) yielded negative results. For cervical lymphadenopathy, complete excision of the involved lymph nodes was found to be the most effective approach, facilitating accurate diagnosis, minimizing the risk of local recurrence, and contributing to favorable outcomes when combined with ongoing antitubercular therapy. All patient outcomes were favorable, but because of atypical presentations, the correct diagnosis was delayed in all cases, with considerable life-threatening symptoms along the way, such as acute respiratory distress.

3.1. Pharyngeal TB

Pharyngeal tuberculosis is an exceptionally rare [8,9] and challenging condition to diagnose, often masquerading as other infectious diseases or neoplastic processes. Given its non-specific clinical presentation, differentiating pharyngeal TB from malignancies or other chronic infections requires a high amount of suspicion, especially when the symptoms are ambiguous and the patients do not necessarily come from an endemic region. Our case of pharyngeal TB included the tonsillar region in the oropharynx (Figure 1). We report the case of a 55-year-old male patient with a history of alternating residence between urban and rural environments, potentially transitioning between areas of varying TB incidence. He was a former smoker, having stopped tobacco use 2 years prior to presentation. He had no previous history of pulmonary disease.
The patient presented with progressive dysphagia, mild to moderate odynophagia, and ipsilateral enlarged cervical lymph nodes, symptoms that can be frequently and easily mistaken for tonsillar or other pharyngeal malignancies. Local pharyngeal presentation showed right tonsillar hypertrophy with irregular and ulcerated mucosa. Patchy yellow-whitish deposits on the tonsillar surface were likely representing caseous necrosis or local fibrinous exudate. The adjacent oropharyngeal mucosa appeared erythematous, but without gross swelling or purulence, the main lesion being mostly confined to the tonsillar area.
As flexible endoscopy did not yield any additional findings, the main concern was differentiation between hypertrophic tonsillar conditions, especially ruling out a squamous cell carcinoma. In this context, imaging techniques such as ultrasonography of the neck or CT scans, though valuable, were insufficient in confirming the etiology. Chest radiography was inconclusive.
A significant diagnostic challenge arose when, after imaging, fine-needle aspiration cytology (FNAC) failed to provide a definitive diagnosis. In our case, the FNAC specimen was insufficient for an accurate diagnosis, as it consisted largely of acellular necrotic material. Right extended tonsillectomy (extended to the posterior tonsillar pillar) was performed under general anesthesia in order to gather adequate samples for histopathology. The collected sample later confirmed the positive TB diagnosis.
Despite an accurate diagnosis, treatment outcomes can be complicated by related paradoxical responses, such as the development of new cervical lymphadenopathy following TB therapy initiation. In our patient, residual cervical lymphatic involvement and the development of a painful cervical mass needed further surgical management to excise persistent lymph nodes, as anti-tubercular treatment alone was insufficient (Figure 2). Following the surgical excision of the affected cervical lymph nodes, the patient continued standard antitubercular therapy under close clinical supervision. Postoperative evolution was favorable, with gradual resolution of local inflammation and complete healing of the cervical incision site. No further signs of lymphatic reactivation or abscess recurrence were observed during follow-up.
In Romania, the standard antitubercular therapy for EPTB patients consists of a two-month intensive phase with Isoniazid, Rifampicin, Pyrazinamide, and Ethambutol, followed by a four-month continuation phase with Isoniazid and Rifampicin.

3.2. Laryngeal TB

Laryngeal tuberculosis is a rare but clinically significant manifestation of extrapulmonary tuberculosis, easily confused with laryngeal malignancies due to its non-specific symptomatology and clinical presentation. Despite advancements in diagnostic tools, the disease remains challenging to diagnose, if radiological and microbiological investigations yield inconclusive or negative results.
All three patients present in our study were middle-aged to elderly males (45, 52 and 62 years old), all smokers, who presented with symptoms typical of malignancy: dysphonia, odynophagia, dysphagia, and progressive weight loss. Persistent dysphonia in smoker males will lead to a laryngeal biopsy to establish a correct diagnosis as our current protocols indicate, even if symptoms may be consistent with the typical clinical presentation of laryngeal TB. Pulmonary imaging was unremarkable in all cases, and no history of active pulmonary involvement was recorded.
Despite local involvement, all cases demonstrated a pseudo-tumoral appearance. Endoscopic examination of the larynx revealed diffuse mucosal erythema involving the supraglottic and glottic regions, indicative of marked inflammation. The laryngeal mucosa demonstrated a nodular and irregular surface, with changes most prominent over the false vocal cords and arytenoid region, suggestive of an infiltrative disease (Figure 3). A dense purulent exudate, yellowish-white in color, was noted coating the supraglottic space and partially obscuring the glottic inlet. Multiple bulging, rounded mucosal lesions consistent with ulcerations were visualized within the supraglottic compartment of the larynx. Visualization of the true vocal cords was significantly impaired due to the presence of exudate and mucosal swelling, preventing correct assessment of vocal cord mobility. Previous biopsies were collected in two of the three patients; however, the results were inconclusive. All patients had been previously treated for chronic laryngitis for at least 6 months, and weight loss and acute respiratory distress were the main factors that determined these patients to seek medical re-evaluations
In all cases, direct biopsies under general anaesthesia and microscopic guidance provided adequate tissue samples and consequently definitive histopathological evidence of TB. Two patients required the placement of a tracheostomy tube to manage acute respiratory distress prior to biopsy sampling.
Following biopsy and diagnostic confirmation, all patients received standard anti-TB therapy (Isoniazid, Rifampicin, Pyrazinamide, and Ethambutol for two months, followed by Isoniazid and Rifampicin for four months) per the national tuberculosis treatment guidelines. Post-treatment follow-ups revealed complete resolution of laryngeal lesions and symptoms. Patients were successfully decannulated two months after initiation of antitubercular therapy, and the tracheal stomas closed by secondary intention with good healing. The patients were also monitored for cervical masses but did not develop noticeable lesions.

3.3. Tuberculous Lymphadenitis

We report five cases that included patients aged 3 to 76 years, with a male predominance (4:1) and a mix of rural and urban backgrounds (2:2). Patients presented with unilateral cervical masses, two of which were complicated by localized suppuration suggestive of abscess formation. Symptoms, including pain, local congestion, and progressive enlargement of the neck masses, started approximately one month prior to presentation, although one patient reported a six-month history of progressive swelling, indicating prolonged diagnostic delays. Descriptive clinical notes in our cases pointed to local involvement of the 3rd and 4th cervical lymph node regions with elevated, dome-shaped masses with tense overlaying skin that had a violaceous to purplish hue suggesting underlying inflammation or ischemia. Presence of central yellow pustular points in the abscess forming cases, suggesting impending or active fistulization as per secondary infections (Figure 4).
Despite these findings, flexible endoscopy and chest CT scans were unremarkable in all cases. Ultrasound examination revealed ill-defined, heterogeneous lymph nodes in close proximity to the sternocleidomastoid muscle, with some demonstrating features suggestive of necrosis. Considering the clinical uncertainty and overlap with malignancies or other types of infections, surgical lymph node excision was performed in all cases. Lymphadenectomy under general anesthesia was preferred over FNAC, which, in the cases with abscess formation, yielded inconclusive results due to the presence of necrotic cells.
Surgical intervention and lymph node excision and biopsy also played a therapeutic role, particularly in cases with abscess formation and necrosis extending to the skin, where drainage and complete excision prevented the further spread of infection. Postoperative wound care included daily sterile dressing, broad-spectrum antibiotics and analgesics to ensure proper healing. After diagnosis confirmation, all patients were subsequently started on standard anti-TB therapy as per national treatment protocols. During follow-up assessments conducted while patients were undergoing antitubercular treatment, no signs of recurrent cervical lymphadenopathy or local disease progression were noted.
All patients exhibited favorable outcomes with complete resolution of symptoms. Follow-up over several months confirmed no recurrence, underscoring the importance of early surgical intervention in complicated TB lymphadenitis cases.

3.4. Histopathological Diagnostic Findings

Histopathological evaluation of pharyngeal, laryngeal, and cervical lymph node biopsies revealed characteristic features of TB infection. HE stained sections consistently demonstrated granulomatous inflammation, characterized by epithelioid cell aggregates, surrounded by peripheral lymphocytic collars—a typical immune response in tuberculosis. Notably, several biopsy specimens exhibited central areas of caseous necrosis, appearing as amorphous, acellular zones with pale staining, further supporting a tuberculous etiology. Although Langhans-type multinucleated giant cells were not universally observed in all fields, their presence was confirmed in deeper tissue levels, along with scattered lymphoid aggregates and reactive hyperplasia (Figure 5).
ZN staining provided microbiological confirmation by highlighting acid-fast bacilli (AFB), appearing as red, curved rods against a blue background. In one specimen, AFB were noted both extracellularly and intracellularly within macrophages, confirming the pathogen’s intraphagocytic localization (Figure 6). In areas with a higher bacillary load, granuloma architecture was less well-defined, suggesting either early-stage lesion development or reduced immune containment, possibly in the context of systemic immunosuppression.

4. Discussion

TB remains a significant differential diagnosis to make in the field of head and neck surgery, especially in regions with high disease prevalence [19], Romania being one of these regions. Although primarily a pulmonary disease, TB can manifest in the head and neck region, often presenting a diagnostic challenge due to its varied and sometimes atypical clinical presentations.
The most common form of head and neck TB is the involvement of local lymph nodes. Patients present enlarged cervical lymph nodes, that grow slowly, seldom without any local inflammation signs. Other areas in the head and neck can also be affected, including the larynx, oropharynx, and salivary glands [20].
The incidence of head and neck tuberculosis is higher in developing countries, where TB continues to be a significant public health concern [3]. According to literature data, the age of affected patients ranges from as young as 7 months to 74 years. In comparison, our documented cases included patients between 3 and 76 years of age [21]. Patients were equally distributed among rural and urban areas, but mostly, analysing their history, they moved in between geographic areas and from low to high-density living areas.
Studies point out that enlarged cervical lymph nodes are the most common manifestation, accounting for a significant proportion of cases in various studies, ranging from 77% to 84.17% of cases [22]. The results of a meta-analysis showed that EPTB represents almost 15% of tuberculosis cases, and approximately 10–35% of cases can be found in the head and neck region, most frequently in lymph nodes (87.9%), the other most common location being the larynx [20,23,24].
In some studies, TB of the head and neck was found in patients with a history of migration to and from high TB burden areas or in those with immunosuppressive conditions [25], which is also seen in our Romanian cohort, as all our patients moved into dense urban areas from low-density rural areas 5 to 7 years previous to diagnosis [25]. For the most common site for TB in the head and neck region, the cervical lymph nodes, clinical insights often point to neck swelling, and frequently, the diagnosis can be made using fine needle aspiration and cytology exams [26,27]. FNAC and the histopathological exam are commonly used, if not gold standard, diagnostic tools [26,28]. Treatment typically involves standard antitubercular therapy, which is effective in most cases, although multidrug-resistant TB can complicate treatment [29,30,31].
Recent studies also highlight that delayed diagnosis leads to complications such as fistula formation or chronic sinus tracts, reinforcing the need for an early, aggressive diagnostic approach in cases of unexplained cervical lymphadenopathy [32].
Laryngeal TB is another notable manifestation, though less common than enlarged cervical lymph nodes. It can present with symptoms such as dysphonia and dysphagia [19,33]. Tuberculosis is the main cause of granulomatous inflammatory disease of the larynx, followed by syphilis, amyloidosis, granulomatosis with polyangiitis, actinomycosis, sarcoidosis [34,35].
Diagnosing laryngeal tuberculosis presents unique difficulty due to its rarity and the similarity in symptoms to other laryngeal conditions, particularly laryngeal carcinoma [36]. This condition is a form of EPTB that affects less than 1% of all TB cases, often leading to misdiagnosis and delayed treatment. The clinical presentation of laryngeal TB is non-specific, often displaying the characteristics of laryngeal carcinoma due to similar symptoms and laryngoscopic findings, such as ulcerations and mass-like lesions [37]. Laryngoscopy is crucial for visualizing laryngeal lesions, and biopsies are essential for histopathological confirmation. Direct or microscopic laryngoscopy is preferred. The presence of granulomas, giant cells, and caseous necrosis in samples taken are indicative of TB [36,38].
Studies have reported that delayed or misdiagnosed cases of laryngeal TB can lead to progressive airway compromise and irreversible laryngeal fibrosis, resulting in permanent voice changes or airway obstruction [39]. This reinforces the necessity of obtaining biopsies in laryngeal lesions, even when TB is not the primary clinical suspicion.
Laryngeal TB is commonly associated with pulmonary TB, and easily mistaken for laryngeal carcinoma, especially since common symptoms are usually reported by patients, such as hoarseness for several months, dysphagia, weight loss [40].
Given the ease of misdiagnosing TB for carcinoma, a diagnosis of certainty will imply a biopsy of the lesion followed by a histopathological examination [12]. There have been instances where, upon examination of the larynx, polypoid-like changes were seen, as per one of our laryngeal TB cases [15,41,42,43]. Histopathological exam traditionally exhibits granulomas with a central area of caseation surrounded by chronic inflammatory infiltrates and Langhans multinucleated giant cells [44].
Clinical presentation varies from non-specific inflammatory appearance to ulcerative or exophytic lesions. Its inconsistent aspect and capability to mimic a malignant process makes the diagnosis difficult and delays the start of targeted treatment [21]. Various studies found dysphonia as the most common symptom, followed by dyspnea and odynophagia [34,45]. Secondary laryngeal tuberculosis is described in up to 15–37% of TB, but primary laryngeal development is exceptionally rare, with an incidence of only 1% [46]. The main treatment is primarily medical and has excellent results, but long-term surveillance is necessary as local complications can occasionally occur at the level of the larynx. Surgical procedures are required only in those cases where the airway is compromised [47]
Moreover, existing literature suggests that laryngeal TB is increasingly being identified in immunocompetent individuals, especially post-COVID-19, contrasting with historical cases where it was predominantly seen in immunocompromised populations. This further supports the need for routine histopathological exams of suspicious laryngeal lesions, regardless of patient immune status or pulmonary TB history [48]
TB can also affect the oropharynx and oral cavity, though these presentations are rare and often misdiagnosed as other potential malignancies due to its hypertrophic presentation [11]. The involvement of the salivary glands and deep neck spaces is less common but documented in some cases, as literature points out, thus, it should not be completely ruled out in chronic, poorly documented cases of salivary gland pathology [49,50].
Tonsillar tuberculosis, one of the rarer forms of extrapulmonary TB, was confirmed only through excisional biopsy and histopathology exam. Differential diagnosis led us to a large array of pathologies, such as tonsillar tumours, granulomatous lesions (sarcoidosis, actinomicosis), ulceronecrotic tonsillitis and different preneoplastic lesions. Typical lesions of oral tuberculosis are usually irregular, accompanied by painful ulcers which steadily increase in size. Commonly found in the oral region, easily traumatised surfaces are may simply be mistaken for traumatic ulcers or carcinomas, as per our case. [15,51].
Differentiating between tuberculosis (TB) and sarcoidosis in sampled biopsies is a significant challenge due to their overlapping characteristics. Both diseases may resemble each other from a clinical, radiological, and even histopathological point of view. Both conditions are granulomatous diseases, which complicates the histopathological differential diagnosis. Both TB and sarcoidosis present with granulomatous inflammation. TB typically shows caseating granulomas, while sarcoidosis is characterized by non-caseating granulomas. However, necrotizing sarcoidosis can mimic TB, making histopathological differentiation more difficult without additional clinical context or further testing [52,53]. Morphometric analysis may also assist with differential diagnosis. A study highlighted the use of morphometric analysis to differentiate granulomas, noting that sarcoidosis granulomas have increased lymphocytes and fibroblasts, while TB granulomas have more granulocytes and epithelioid cells [52].
Molecular and Culture Tests have been proven useful. The Xpert MTB/RIF assay and QuantiFERON-TB Gold tests have shown high specificity and sensitivity in distinguishing TB from sarcoidosis. These tests can detect mycobacterial DNA or immune response to TB antigens, which are absent in sarcoidosis [54]. The disadvantages of PCR testing is that an adequate FNAC sample or tissue biopsy is always required and QuantiFERON-TB Gold tests do not distinguish active from latent TB.
The differential diagnosis debate has efficiently transitioned into serum biomarkers. Neutrophil to lymphocyte ratio and platelet to lymphocyte ratio have been investigated as potential biomarkers. These markers are significantly higher in TB compared to sarcoidosis, providing a non-invasive diagnostic aid [55].
In patients where non-invasive methods are inconclusive, surgical biopsies remain a definitive and most valuable diagnostic tool. Histological examination of completely excised lymph nodes or other pharyngeal or laryngeal lesions can confirm TB through the presence of mycobacteria or caseating granulomas, thus, the careful surgical gesture that leads to a correct diagnosis remains a near-gold standard for confusing cases [56].
The AFB in macrophages can be a useful indicator of TB, but its reliability varies depending on the context and method of detection. AFB are a hallmark of Mycobacterium tuberculosis infection, and their detection in macrophages is a critical component of TB diagnosis. However, the sensitivity and specificity of AFB detection can be influenced by the site of infection, the method of sample collection, and the staining techniques used. Mycobacterium tuberculosis is an intracellular pathogen that primarily infects macrophages, leading to the formation of granulomas in the lungs. AFB can be visualized within these macrophages, making their presence a potential indicator of TB infection [57]. The relationship between macrophages and Mycobacterium tuberculosis is complex, with macrophages playing a central role in the host’s immune response to TB. This relationship underscores the importance of detecting AFB within macrophages as part of the diagnostic process [58,59]. The ZN staining method is commonly used to detect AFB in various samples, including buffy coat and bone marrow smears. However, the sensitivity of AFB detection using this method can be limited, with detection rates varying significantly across different studies and sample types [60]. In cases of extrapulmonary TB, such as lymphadenitis, the detection of AFB can be challenging. Studies have shown that the sensitivity of conventional methods may not exceed 40% in these cases, highlighting the need for alternative diagnostic approaches [61].
In confusing cases, uncertainty lingers even after the microscopic evaluation of biopsies, particularly when the biopsy samples are taken only from the superficial mucosal layers. In order to avoid this pitfall, multiple and deeper biopsies must be taken from the site of interest. Another aspect that clinicians must not disregard is the coexistence of tuberculosis and carcinoma in the same patient, several cases being reported in the literature [20,33] regarding this particularly rare situation.

5. Conclusions

EPTB of the head and neck remains a rare but diagnostically challenging entity, often resembling malignancies or chronic inflammatory conditions. In this retrospective analysis of nine cases from high TB-incidence regions in Romania, we demonstrated that surgical biopsies are still an essential tool for achieving diagnostic accuracy, particularly in cases where imaging, FNAC, and other non-invasive tests yield inconclusive results. The most important feature of our study is that all investigated patients lacked active pulmonary TB involvement, highlighting situations where the need for elevated clinical vigilance is recommended even in the absence of respiratory symptoms.
The necessity for a multidisciplinary approach involving otorhinolaryngologists, infectious disease specialists and pathologists, cannot be overstated. Early surgical biopsy of suspect lesions plays a crucial role in guiding timely antitubercular therapy, ultimately improving patient outcomes, and eliminating possible life-threatening complications.

Author Contributions

Conceptualization, C.A.M. and A.O.; methodology, M.S.C.; software, I.T.; validation, C.A.M., A.O. and I.T.; formal analysis, A.M.G. and A.M.M.; investigation, A.M.G. and O.L.C.; resources, C.D.B. and I.T.; data curation, I.M.L.; writing—original draft preparation, C.A.M.; writing—review and editing, A.O. and R.C.; visualization, M.S.C.; supervision, I.T.; project administration, C.A.M.; funding acquisition, C.A.M. and M.S.C. All authors have read and agreed to the published version of the manuscript.

Funding

This research received no external funding.

Institutional Review Board Statement

The study was conducted in accordance with the Declaration of Helsinki, and approved by the Ethics Review Board of the Clinical Emergency County Hospital in Craiova, Romania (No. 7/19 January 2015) and the Ethics Committee of the ‘Sfânta Maria’ Hospital in Bucharest, Romania (No. 5/20 January 2015).

Informed Consent Statement

Written informed consent was obtained from all subjects involved in the study, attached to their patient data files and archived.

Data Availability Statement

The data presented in this study are available on request from the corresponding author.

Conflicts of Interest

The authors declare no conflicts of interest.

Abbreviations

The following abbreviations are used in this manuscript:
EPTB Extrapulmonary Tuberculosis
TB Tuberculosis
EU European Union
ZN Ziehl-Neelsen
FNAC Fine Needle Aspiration Citology
CT Computed Tomography
HE Hematoxylin and Eosin
AFB Acid-fast Bacilli

References

  1. Motta, I.; Boeree, M.; Chesov, D.; Dheda, K.; Gunther, G.; Horsburgh, C.R., Jr.; Kherabi, Y.; Lange, C.; Lienhardt, C.; McIlleron, H.M.; et al. Recent advances in the treatment of tuberculosis. Clin Microbiol Infect 2024, 30, 1107–1114. [Google Scholar] [CrossRef] [PubMed]
  2. Al Khatib, A.; Hassanein, S.; Almari, M.; Koubar, M.; Fakhreddine, S. Tuberculosis morbidity and mortality during the COVID-19 pandemic: a life-threatening complex challenge. Front Cell Infect Microbiol 2024, 14, 1423081. [Google Scholar] [CrossRef] [PubMed]
  3. Lv, H.; Wang, L.; Zhang, X.; Dang, C.; Liu, F.; Zhang, X.; Bai, J.; You, S.; Chen, H.; Zhang, W.; et al. Further analysis of tuberculosis in eight high-burden countries based on the Global Burden of Disease Study 2021 data. Infect Dis Poverty 2024, 13, 70. [Google Scholar] [CrossRef]
  4. Guthmann, J.P.; Haas, W. Tuberculosis in the European Union/European Economic Area: much progress, still many challenges. Euro Surveill 2019, 24. [Google Scholar] [CrossRef] [PubMed]
  5. Mahler, B.; Baiceanu, D.; Stoichita, A.; Dendrino, D.; Mihai, M.; Ciolan, G.; Ibraim, E.; Munteanu, I.; Popa, C.; Burecu, M.; et al. Active Case-Finding: An Effective Solution for Tuberculosis Detection in Vulnerable Groups—The Romanian Experience. Risk Manag Healthc Policy 2024, 17, 1115–1125. [Google Scholar] [CrossRef] [PubMed]
  6. Munteanu, I.; Cioran, N.; van Hest, R.; Abubakar, I.; Story, A.; Chiotan, D.; de Vries, G.; Mahler, B. Tuberculosis Surveillance in Romania Among Vulnerable Risk Groups Between 2015 and 2017. Ther Clin Risk Manag 2022, 18, 439–446. [Google Scholar] [CrossRef]
  7. Golli, A.L.; Nitu, M.F.; Turcu, F.; Popescu, M.; Ciobanu-Mitrache, L.; Olteanu, M. Tuberculosis remains a public health problem in Romania. Int J Tuberc Lung Dis 2019, 23, 226–231. [Google Scholar] [CrossRef]
  8. Arango, L.; Brewin, A.W.; Murray, J.F. The spectrum of tuberculosis as currently seen in a metropolitan hospital. Am Rev Respir Dis 1973, 108, 805–812. [Google Scholar] [CrossRef]
  9. Farer, L.S.; Lowell, A.M.; Meador, M.P. Extrapulmonary tuberculosis in the United States. Am J Epidemiol 1979, 109, 205–217. [Google Scholar] [CrossRef]
  10. Jain, A. Extra pulmonary tuberculosis: a diagnostic dilemma. Indian J Clin Biochem 2011, 26, 269–273. [Google Scholar] [CrossRef]
  11. Mocanu, A.I.; Mocanu, H.; Moldovan, C.; Soare, I.; Niculet, E.; Tatu, A.L.; Vasile, C.I.; Diculencu, D.; Postolache, P.A.; Nechifor, A. Some Manifestations of Tuberculosis in Otorhinolaryngology—Case Series and a Short Review of Related Data from South-Eastern Europe. Infect Drug Resist 2022, 15, 2753–2762. [Google Scholar] [CrossRef] [PubMed]
  12. Xiang, Y.; Huang, C.; He, Y.; Zhang, Q. Cancer or Tuberculosis: A Comprehensive Review of the Clinical and Imaging Features in Diagnosis of the Confusing Mass. Front Oncol 2021, 11, 644150. [Google Scholar] [CrossRef]
  13. Menon, K.; Bem, C.; Gouldesbrough, D.; Strachan, D.R. A clinical review of 128 cases of head and neck tuberculosis presenting over a 10-year period in Bradford, UK. J Laryngol Otol 2007, 121, 362–368. [Google Scholar] [CrossRef]
  14. Bokare, B.; Mehta, K. Otolaryngological Manifestations of Tuberculosis: A Clinical Study. Indian J Otolaryngol Head Neck Surg 2022, 74, 5217–5224. [Google Scholar] [CrossRef] [PubMed]
  15. Sharma, S.; Rana, A.K. ENT manifestations of tuberculosis: an important aspect of ENT practice. Pan Afr Med J 2020, 36, 295. [Google Scholar] [CrossRef] [PubMed]
  16. Moran-Marinos, C.; Llanos-Tejada, F.; Villanueva-Villegas, R.; Vargas-Ponce, K.G.; Salas-Lopez, J. Primary Tuberculosis of the Pharynx in an HIV Context: A Case Report. Clin Med Insights Case Rep 2024, 17, 11795476241251945. [Google Scholar] [CrossRef]
  17. Loddenkemper, R.; Lipman, M.; Zumla, A. Clinical Aspects of Adult Tuberculosis. Cold Spring Harb Perspect Med 2015, 6, a017848. [Google Scholar] [CrossRef]
  18. Cengiz, A.; Goksel, S.; Basal, Y.; Tas Gulen, S.; Doger, F.; Yurekli, Y. Laryngeal Tuberculosis Mimicking Laryngeal Carcinoma on (18)F-FDG PET/CT Imaging. Mol Imaging Radionucl Ther 2018, 27, 81–83. [Google Scholar] [CrossRef]
  19. Bruzgielewicz, A.; Rzepakowska, A.; Osuch-Wojcikewicz, E.; Niemczyk, K.; Chmielewski, R. Tuberculosis of the head and neck—epidemiological and clinical presentation. Arch Med Sci 2014, 10, 1160–1166. [Google Scholar] [CrossRef]
  20. Das, S.; Das, D.; Bhuyan, U.T.; Saikia, N. Head and Neck Tuberculosis: Scenario in a Tertiary Care Hospital of North Eastern India. J Clin Diagn Res 2016, 10, MC04–07. [Google Scholar] [CrossRef]
  21. Naraqi, S.; Raiser, M.W.; Richards, N.M.; Andersen, B.R. Tuberculosis of the larynx masquerading as carcinoma. Ann Otol Rhinol Laryngol 1976, 85, 547–548. [Google Scholar] [CrossRef] [PubMed]
  22. Qian, X.; Albers, A.E.; Nguyen, D.T.M.; Dong, Y.; Zhang, Y.; Schreiber, F.; Sinikovic, B.; Bi, X.; Graviss, E.A. Head and neck tuberculosis: Literature review and meta-analysis. Tuberculosis (Edinb) 2019, 116S, S78–S88. [Google Scholar] [CrossRef] [PubMed]
  23. Rodriguez-Takeuchi, S.Y.; Renjifo, M.E.; Medina, F.J. Extrapulmonary Tuberculosis: Pathophysiology and Imaging Findings. Radiographics 2019, 39, 2023–2037. [Google Scholar] [CrossRef]
  24. Yu, Y.; Xiang, Y.; Liu, H.; Yang, S.; Li, M.; Liu, B.; Xu, D.; Wu, Y.; Li, W.; Fang, T.; et al. Analysis of epidemiological characteristics of extrapulmonary tuberculosis from South-Central China. Front Public Health 2024, 12, 1405358. [Google Scholar] [CrossRef]
  25. Gehrke, T.; Hackenberg, S.; Tecle, N.; Hagen, R.; Scherzad, A. Tuberculosis in the Head and Neck: Changing Trends and Age-Related Patterns. Laryngoscope 2021, 131, 2701–2705. [Google Scholar] [CrossRef] [PubMed]
  26. Monga, S.; Malik, J.N.; Jan, S.; Bahadur, S.; Jetley, S.; Kaur, H. Clinical study of extrapulmonary head and neck tuberculosis in an urban setting. Acta Otorhinolaryngol Ital 2017, 37, 493–499. [Google Scholar] [CrossRef]
  27. Penjor, D.; Pradhan, B. Diagnostic dilemma in a patient with nasopharyngeal tuberculosis: A case report and literature review. SAGE Open Med Case Rep 2022, 10, 2050313–221131389. [Google Scholar] [CrossRef] [PubMed]
  28. Li, W.; Sha, W. Diagnosis of Chest Wall Tuberculosis Using Fine Needle Aspiration: A Single-Center Experience. Infect Drug Resist 2023, 16, 2281–2290. [Google Scholar] [CrossRef]
  29. Seung, K.J.; Keshavjee, S.; Rich, M.L. Multidrug-Resistant Tuberculosis and Extensively Drug-Resistant Tuberculosis. Cold Spring Harb Perspect Med 2015, 5, a017863. [Google Scholar] [CrossRef]
  30. Mase, S.R.; Chorba, T. Treatment of Drug-Resistant Tuberculosis. Clin Chest Med 2019, 40, 775–795. [Google Scholar] [CrossRef]
  31. Jang, J.G.; Chung, J.H. Diagnosis and treatment of multidrug-resistant tuberculosis. Yeungnam Univ J Med 2020, 37, 277–285. [Google Scholar] [CrossRef]
  32. Deveci, H.S.; Kule, M.; Kule, Z.A.; Habesoglu, T.E. Diagnostic challenges in cervical tuberculous lymphadenitis: A review. North Clin Istanb 2016, 3, 150–155. [Google Scholar] [CrossRef] [PubMed]
  33. Kandah, E.; Konda, R.; Malik, B.; Madadha, A.; Kunadi, A. Dysphagia as the Presenting Symptom of Laryngeal Tuberculosis. Cureus 2021, 13, e14495. [Google Scholar] [CrossRef] [PubMed]
  34. Agarwal, R.; Gupta, L.; Singh, M.; Yashaswini, N.; Saxena, A.; Khurana, N.; Chaudhary, D. Primary Laryngeal Tuberculosis: A Series of 15 Cases. Head Neck Pathol 2019, 13, 339–343. [Google Scholar] [CrossRef]
  35. Nerurkar, N.K.; Jahnavi., *!!! REPLACE !!!*. Laryngeal Tuberculosis: Current Patterns of Presentation and Management. Indian J Otolaryngol Head Neck Surg 2024, 76, 904–909. [Google Scholar] [CrossRef] [PubMed]
  36. Agarwal, R.D.; Marino, M.D.; Whalen, M.J.; Walker, R.J. Unusual Presentation of Extrapulmonary Tuberculosis as Laryngeal Mass in an Atypical Patient. Case Rep Med 2024, 2024, 9912317. [Google Scholar] [CrossRef]
  37. Gautam, A.; Kumar, H.; Gapizov, A.; Paudel, P.; Gautam, R. Navigating the Complexities of Laryngeal Tuberculosis: A Comprehensive Case Report and Literature Review. Cureus 2023, 15, e46505. [Google Scholar] [CrossRef]
  38. Zang, J.; Tian, Y.; Jiang, X.; Lin, X.Y. Appearance and morphologic features of laryngeal tuberculosis using laryngoscopy: A retrospective cross-sectional study. Medicine (Baltimore) 2020, 99, e23770. [Google Scholar] [CrossRef]
  39. Ozudogru, E.; Cakli, H.; Altuntas, E.E.; Gurbuz, M.K. Effects of laryngeal tuberculosis on vocal fold functions: case report. Acta Otorhinolaryngol Ital 2005, 25, 374–377. [Google Scholar]
  40. Eltilib, M.; Boyd, W.; Saramago, I.; Askin, F.; Zamora, C. Laryngeal tuberculosis mimicking malignancy: A case report. Clin Case Rep 2020, 8, 1209–1212. [Google Scholar] [CrossRef]
  41. Pino Rivero, V.; Marcos Garcia, M.; Gonzalez Palomino, A.; Trinidad Ruiz, G.; Pardo Romero, G.; Pimentel Leo, J.J.; Blasco Huelva, A. [Laryngeal tuberculosis masquerading as carcinoma. Report of one case and literature review]. An Otorrinolaringol Ibero Am 2005, 32, 47–53. [Google Scholar] [PubMed]
  42. Kiakojuri, K.; Hasanjani Roushan, M.R. Laryngeal tuberculosis without pulmonary involvement. Caspian J Intern Med 2012, 3, 397–399. [Google Scholar]
  43. Matsuura, H.; Yamaji, Y. Laryngeal tuberculosis: a forgotten disease. QJM 2017, 110, 521. [Google Scholar] [CrossRef]
  44. Schluger, N.W. Changing approaches to the diagnosis of tuberculosis. Am J Respir Crit Care Med 2001, 164, 2020–2024. [Google Scholar] [CrossRef] [PubMed]
  45. Migliorelli, A.; Mazzocco, T.; Bonsembiante, A.; Bugada, D.; Fantini, M.; Elli, F.; Stacchini, M. Laryngeal tubercolosis: a case report with focus on voice assessment and review of the literature. Acta Otorhinolaryngol Ital 2022, 42, 407–414. [Google Scholar] [CrossRef] [PubMed]
  46. Lodha, J.V.; Sharma, A.; Virmani, N.; Bihani, A.; Dabholkar, J.P. Secondary laryngeal tuberculosis revisited. Lung India 2015, 32, 462–464. [Google Scholar] [CrossRef]
  47. Malvi, A.; Jain, S. Laryngeal Trauma, Its Types, and Management. Cureus 2022, 14, e29877. [Google Scholar] [CrossRef]
  48. Visca, D.; Ong, C.W.M.; Tiberi, S.; Centis, R.; D’Ambrosio, L.; Chen, B.; Mueller, J.; Mueller, P.; Duarte, R.; Dalcolmo, M.; et al. Tuberculosis and COVID-19 interaction: A review of biological, clinical and public health effects. Pulmonology 2021, 27, 151–165. [Google Scholar] [CrossRef] [PubMed]
  49. Bussu, F.; Parrilla, C.; Rizzo, D.; Almadori, G.; Paludetti, G.; Galli, J. Clinical approach and treatment of benign and malignant parotid masses, personal experience. Acta Otorhinolaryngol Ital 2011, 31, 135–143. [Google Scholar]
  50. Iro, H.; Zenk, J. Salivary gland diseases in children. GMS Curr Top Otorhinolaryngol Head Neck Surg 2014, 13, Doc06. [Google Scholar] [CrossRef]
  51. Das, A.; Das, S.K.; Pandit, S.; Basuthakur, S. Tonsillar tuberculosis: a forgotten clinical entity. J Family Med Prim Care 2015, 4, 124–126. [Google Scholar] [CrossRef] [PubMed]
  52. Tussupbekova, M.; Bakenova, R.; Stabayeva, L.; Imanbayeva, G.; Nygyzbayeva, R.; Mussabekova, S.; Tayzhanova, D. Clinic—Morphologic and Morphometric Criteria for Differential Diagnosis of Sarcoidosis and Pulmonary Tuberculosis. Open Access Maced J Med Sci 2019, 7, 1480–1485. [Google Scholar] [CrossRef]
  53. Francis, N.; Khouly, M.; Komala, G.; Yavuz, S. A Case of Coexistent Sarcoidosis and Tuberculosis: A Diagnostic Dilemma. Cureus 2023, 15, e37667. [Google Scholar] [CrossRef]
  54. He, X.; Zhang, Y.; Zhou, Y.; Li, L.; Li, Q. Xpert MTB/RIF assay for the differential diagnosis between sarcoidosis and tuberculosis intrathoracic lymphadenopathy. BMC Infect Dis 2023, 23, 725. [Google Scholar] [CrossRef] [PubMed]
  55. Iliaz, S.; Iliaz, R.; Ortakoylu, G.; Bahadir, A.; Bagci, B.A.; Caglar, E. Value of neutrophil/lymphocyte ratio in the differential diagnosis of sarcoidosis and tuberculosis. Ann Thorac Med 2014, 9, 232–235. [Google Scholar] [CrossRef]
  56. Tahiri, I.; Yacoubi, R.; Elhouari, O.; Anajar, S.; Loubna, T.; Hajjij, A.; Zalagh, M.; Snoussi, K.; Essaadi, M.; Benariba, F. The Role of Surgery in the Treatment of Cervical Lymph Node Tuberculosis. Cureus 2023, 15, e38824. [Google Scholar] [CrossRef] [PubMed]
  57. Lukey, P.T.; Hooker, E.U. 17 macrophage virulence assays. Methods Mol Med 2001, 54, 271–280. [Google Scholar] [CrossRef]
  58. Berthrong, M. Biology of the mycobacterioses. The macrophage-tubercle bacillus relationship and resistance to tuberculosis. Ann N Y Acad Sci 1968, 154, 157–166. [Google Scholar] [CrossRef]
  59. Guirado, E.; Schlesinger, L.S.; Kaplan, G. Macrophages in tuberculosis: friend or foe. Semin Immunopathol 2013, 35, 563–583. [Google Scholar] [CrossRef]
  60. Sen, R.; Singh, S.; Singh, H.P.; Sen, J.; Yadav, M.S.; Arora, B.R. Demonstration of acid-fast bacilli in buffy coat and bone marrow smear--a diagnostic tool in pulmonary tuberculosis. J Indian Med Assoc 1996, 94, 379–380. [Google Scholar]
  61. Nigussie, M.; Mamo, G. Detection of acid fast bacilli (AFB) in tuberculous lymphadenitis among adult Ethiopians. Ethiop Med J 2010, 48, 277–283. [Google Scholar] [PubMed]
Figure 1. (a) Clinical presentation of tonsillar TB at diagnosis; (b) Clinical presentation of tonsillar TB after treatment.
Figure 1. (a) Clinical presentation of tonsillar TB at diagnosis; (b) Clinical presentation of tonsillar TB after treatment.
Preprints 155764 g001
Figure 2. (a) Right cervical region during antitubercular therapy with ongoing abscess formation; (b) Right cervical region after surgery and antitubercular therapy.
Figure 2. (a) Right cervical region during antitubercular therapy with ongoing abscess formation; (b) Right cervical region after surgery and antitubercular therapy.
Preprints 155764 g002
Figure 3. (a) Clinical presentation of laryngeal TB with glottic involvement; (b) Clinical presentation of laryngeal TB with supraglottic and glottic involvement, dense exudate and narrowed airway.
Figure 3. (a) Clinical presentation of laryngeal TB with glottic involvement; (b) Clinical presentation of laryngeal TB with supraglottic and glottic involvement, dense exudate and narrowed airway.
Preprints 155764 g003
Figure 4. (a) Clinical presentation of TB lymphadenitis in a male patient—level IV cervical lymph node station; (b) Clinical presentation of TB lymphadenitis in a female patient—level III cervical lymph node station.
Figure 4. (a) Clinical presentation of TB lymphadenitis in a male patient—level IV cervical lymph node station; (b) Clinical presentation of TB lymphadenitis in a female patient—level III cervical lymph node station.
Preprints 155764 g004
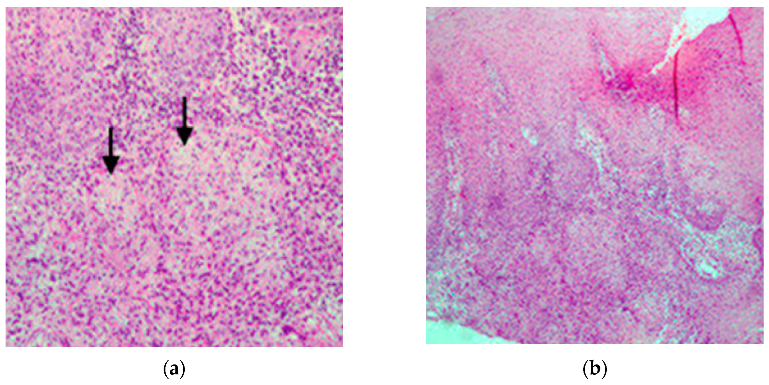
Figure 5. (a) Moderate-power HE. Granulomatous inflammation within lymphoid tissue, two centrally placed arrows highlight epithelioid granulomas, composed of elongated, pale-staining epithelioid histiocytes surrounded by a rim of mononuclear lymphocytes; (b) Low-power HE. Overview of the mucosal architecture and submucosal lymphoid aggregates. Extensive granulomatous inflammation, occupying the subepithelial tissue. The granulomas are less distinct at this magnification, but areas of caseating necrosis are evident in the deeper zones of the tissue.
Figure 5. (a) Moderate-power HE. Granulomatous inflammation within lymphoid tissue, two centrally placed arrows highlight epithelioid granulomas, composed of elongated, pale-staining epithelioid histiocytes surrounded by a rim of mononuclear lymphocytes; (b) Low-power HE. Overview of the mucosal architecture and submucosal lymphoid aggregates. Extensive granulomatous inflammation, occupying the subepithelial tissue. The granulomas are less distinct at this magnification, but areas of caseating necrosis are evident in the deeper zones of the tissue.
Preprints 155764 g005
Figure 6. (a) Moderate-power ZN staining. Necrotizing granulomatous lesion with AFB. Rod-shaped, red-staining bacilli, consistent with Mycobacterium tuberculosis, embedded within a background of pale blue inflammatory cells and necrotic debris. The surrounding tissue architecture shows poorly organized granulomas, with scattered epithelioid histiocytes and lymphocytes; (b) High-power ZN staining. Detailed view of the cellular inflammatory infiltrate and numerous AFB. Multiple curved, red bacilli are clearly visible scattered among the blue-stained inflammatory background, composed predominantly of macrophages, histiocytes, and occasional lymphocytes. Some bacilli appear to be intracellular, within macrophages—an important feature of Mycobacterium tuberculosis pathology.
Figure 6. (a) Moderate-power ZN staining. Necrotizing granulomatous lesion with AFB. Rod-shaped, red-staining bacilli, consistent with Mycobacterium tuberculosis, embedded within a background of pale blue inflammatory cells and necrotic debris. The surrounding tissue architecture shows poorly organized granulomas, with scattered epithelioid histiocytes and lymphocytes; (b) High-power ZN staining. Detailed view of the cellular inflammatory infiltrate and numerous AFB. Multiple curved, red bacilli are clearly visible scattered among the blue-stained inflammatory background, composed predominantly of macrophages, histiocytes, and occasional lymphocytes. Some bacilli appear to be intracellular, within macrophages—an important feature of Mycobacterium tuberculosis pathology.
Preprints 155764 g006
Disclaimer/Publisher’s Note: The statements, opinions and data contained in all publications are solely those of the individual author(s) and contributor(s) and not of MDPI and/or the editor(s). MDPI and/or the editor(s) disclaim responsibility for any injury to people or property resulting from any ideas, methods, instructions or products referred to in the content.
Copyright: This open access article is published under a Creative Commons CC BY 4.0 license, which permit the free download, distribution, and reuse, provided that the author and preprint are cited in any reuse.
Prerpints.org logo

Preprints.org is a free preprint server supported by MDPI in Basel, Switzerland.

Subscribe

Disclaimer

Terms of Use

Privacy Policy

Privacy Settings

© 2026 MDPI (Basel, Switzerland) unless otherwise stated